弥漫性膜性增生性肾小球肾炎(diffuse membranoproliferative glomerulonephritis)又称系膜毛细血管性肾小球肾炎(mesangiocapillary glomerulonephritis),其病变特点为弥漫性肾小球毛细血管壁增厚和系膜增生。各种年龄都可发病,但多见于青年和中年人。起病缓慢,是一种慢性进行性疾病。早期症状不明显,临床症状表现不一,常有血尿、蛋白尿。约半数起病时即表现为肾病综合征,并常有高血压和肾功能不全。有些病人的血清补体降低,故又称为低补体血症性肾小球肾炎(hypocomplementemic glomerulonephritis)。
【病理变化】
肾小球系膜细胞和基质增生。系膜区增宽,其间常有数量不等的中性粒细胞浸润。增生的系膜组织逐渐向周围毛细血管伸展,侵入毛细血管基底膜与内皮细胞之间,使毛细血管壁增厚,管腔狭窄(图12-13)。应用银染法可见增厚的毛细血管壁呈车轨状或分层状。由于系膜增生,系膜区增宽,使毛细血管丛呈分叶状。严重时可使轴心处呈结节状。病变继续发展,增生的系膜组织可环绕全部毛细血管壁,使管壁显著增厚,管腔狭小甚至阻塞。有时部分肾小球内可有新月体形成。晚期,系膜及肾小球纤维化、硬化,整个肾小球形成无结构的玻璃样小团。相应的肾小管萎缩,间质纤维组织增生,有多数淋巴细胞及单核细胞浸润。

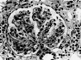
图12-13 膜性增生性肾小球肾炎
肾小球系膜细胞增多,增生的系膜组织侵犯毛细血管,毛细血管壁增厚,腔狭小,肾小球丛呈分叶状
电镜观察可见肾小球系膜增生,毛细血管基底膜不规则增厚。增生的系膜组织沿毛细血管基底膜和内皮细胞之间向毛细血管周围部分伸展,甚至环绕全部毛细血管壁,使毛细血管壁增厚。肾小球内有大量电子致密物沉积。根据沉积物的部位,可将膜性增生性肾小球肾炎分为3型:
Ⅰ型电子致密物沉积在肾小球基底膜内侧,内皮细胞下,大小不等,常聚积成大团块状(图12-14,图12-15)。系膜内和上皮细胞下偶然也可见有少量小而不规则的沉积物。

图12-14 膜性增生性肾小球肾炎Ⅰ型示意图
肾小球系膜增生并侵入周围毛细血管,血管壁增厚,基底膜内侧内皮细胞下有电子致密沉积物

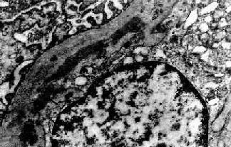
图12-15 膜性增生性肾小球肾炎 Ⅰ型
肾小球毛细血管基底膜内侧,内皮细胞下电子致密沉积物,部分上皮细胞足突消失
Ⅱ型肾小球毛细血管基底膜不规则增厚。在基底膜致密层内有高电子密度的粗大呈带状的沉积物(图12-16)。故这型肾炎又称为致密沉积物性肾小球肾炎或致密沉积物病。

图12-16 膜性增生性肾小球肾炎Ⅱ型示意图
肾小球系膜增生并侵入周围毛细血管,血管壁增厚,毛细血管基底膜致密层内有高电子密度致密沉积物,粗大呈带状
Ⅲ型肾小球毛细血管基底膜内皮细胞下和上皮细胞下都有电子致密物沉积,并可伴有基底膜断裂。
免疫荧光检查,Ⅰ型显示IgG和C3沿肾小球毛细血管和系膜区内呈颗粒状荧光,有时也有少量C1q,C4及C2。Ⅱ型时主要有大量C3沉积,一般无其他早期的补体成分和免疫球蛋白。可能说明在这种肾炎的发病中,补体主要通过替代途径激活。
【临床病理联系】
肾小球内大量C3沉积,说明肾炎发病过程中大量补体被消耗,故病人血清补体降低。
早期病变主要在系膜,血管壁变化较轻,症状不明显,或仅有轻度蛋白尿或血尿。病变逐渐发展侵犯毛细血管壁可引起肾病综合征。晚期,系膜硬化,肾小球毛细血管腔狭小或阻塞,肾小球纤维化,肾小球血流减少,可导致高血压和肾功能不全。
【结局】
病变为慢性进行性,病程长,对激素或免疫抑制剂治疗效果短暂或不明显,可逐渐发展为弥漫性硬化性肾小球肾炎。约50%的病人在10年内发生慢性肾功能衰竭。肾移植后复发率也较高,尤其是Ⅱ型膜性增生性肾炎预后更差。