3 概述
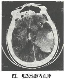
迟发性外伤性脑内血肿在文献中虽早有报道,但自CT扫描应用以后,才较多地被发现,并引起人们重视。自从CT问世之后,对迟发性外伤性脑内血肿的概念已较明确,即头部外伤后,首次CT检查未发现脑内血肿,经过一段时间后再次检查始出现脑内血肿者;或于清除颅内血肿一段时间后又在脑内不同部位发现血肿者。本病的临床特点可以概括为中、老年病人,减速性暴力所致中至重型颅脑损伤,伤后3~6天内症状和体征渐次加重,或有局限性癫痫,意识进行性恶化,特别是曾有低血压、脑脊液外引流、过度换气或强力脱水的病例,应及时复查CT。
8 流行病学
迟发性外伤性脑内血肿发病率约在1%~10%之间,多见于年龄较大的颅脑外伤病人,发病高峰常在脑挫裂伤后3天内或于清除其他脑内血肿突然减压之后。
9 病因
迟发性外伤性脑内血肿是在外伤后或于清除颅内血肿一段时间后又在脑内不同部位形成血肿。
11 迟发性外伤性脑内血肿的临床表现
大部分迟发性外伤性脑内血肿患者的原发伤不重,病人在经过一阶段好转或稳定期,数天或数周后又逐渐或突然出现意识障碍,出现局灶性神经体征或原有症状体征加重,部分患者的原发伤可以很重,伤后意识障碍亦可一直无改善或加重。复查CT才证实为迟发性脑内血肿。
12 迟发性外伤性脑内血肿的并发症
2.重症患者易并发上消化道出血,应早期采取相应措施加以预防。
3.长期昏迷患者易发生肺部感染、水电解质平衡紊乱、下丘脑功能紊乱、营养不良、褥疮等,在加强护理措施的同时,应及时予以相应的处理。
15 鉴别诊断
在鉴别诊断上,此种“迟发性卒中”与高血压性脑出血不同,在年龄、血肿分布和病史等方面可以区别。对于脑血管畸形、颅内动脉瘤和肿瘤内出血,在有外伤史的情况下,术前难以决然区分,脑血管造影、CT检查和病程的特点有助于鉴别诊断。
16 迟发性外伤性脑内血肿的治疗
17 预后
迟发性外伤性脑内血肿的预后较差,病死率为25%~55%,提高救治水平的关键在于加强临床观察,尽早复查CT,及时诊断、迅速清除血肿,并给予合理的术后处理。
