4 概述
横纹肌肉瘤是由分化程度不同的横纹肌母细胞构成的高度恶性肿瘤,自出生至成年人均可发生,但多见于10岁以下的儿童,平均7-8岁,是儿童时期最常见的眶内恶性肿瘤。进展迅速,如不及时治疗,多在一年内死亡。
5 症状与体征
(1) 发生、发展迅速的眼球突出和眶部肿物是该病最显著的特征。
(2) 肿瘤常发生在眶上部,眼球突出伴下移位,眼睑隆起,遮盖眼球。肿瘤位于肌锥内者,常发生眼球轴性突出。部分患者就诊时,眼球突出于睑裂外,结膜充血坏死,角膜暴露干燥。眼睑充血水肿,皮温升高。
6 诊断
1. 儿童时期进展迅速的眶部肿物应首先与此病鉴别。部分病例发病前有外伤史,可能为诱因或巧合,易与眶内出血混淆。
2. 超声检查B超检查显示肿瘤呈不规则形或类圆形,边界尚清,内为不规则的低回声区或无回声区,回声稀疏而散在。声衰不著,无压缩性。彩色多谱勒超声显示肿瘤内为丰富的动脉血流信号。
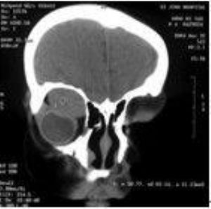
3. CT扫描 肿瘤多位于眶上部,形状不规则,或呈锥形、类圆形(图)等,边界清晰或不清晰,密度均一,肿瘤内如有出血,则密度不均。
4. MRI扫描 肿瘤T1WI呈中等信号,T2WI呈中高信号。肿瘤内如有坏死腔或出血腔时则可见到与肿瘤实质信号不一的片状区。
冠状位CT显示右眶上部横纹肌肉瘤,肿瘤呈椭圆形,边界清晰,均质,眼球受压变性,骨质无破坏。(请见下图)

7 鉴别诊断
1. 眶蜂窝组织炎 儿童副鼻窦发育不完善,屏障作用弱,易引起眶蜂窝组织炎。表现为发热,外周血检查白细胞明显升高。眼睑、结膜、眶部严重充血水肿,不能扪及肿物,影像学检查见眶内及眶周弥漫高密度影,斑驳状,边界不清。常伴感冒症状,眶周可见化脓灶。
2. 绿色瘤 为急性白血病的眼眶侵犯。患者贫血貌,可双眼发病,影像学检查肿瘤与眼球或眶壁呈铸造样,晚期可侵蚀骨质,外周血和骨髓穿刺检查均可见异常增多的幼稚造血细胞。
3. 眶内急性出血和血肿 眶内静脉性血管畸形的患者由于外伤及其它引起颈静脉压升高的诱因导致眶内急性出血并形成血肿,眼球突出进展迅速,甚至脱出于睑裂外,眶压增高,结膜下可见瘀血。影像学检查可见眶内大小不等的出血腔或孤立的血肿,MRI扫描可显示有液平、彩色多谱勒超声检查病变内无血流信号是重要鉴别点。
4. 眶内毛细血管瘤 患儿生后三个月眼球突出发展迅速,可合并皮下紫红色肿物,哭闹时眼球突出明显加重。影像学检查可发现眶内弥漫的小片状占位病变,彩色多普勒超声具有鉴别意义,表现为弥漫的红、蓝点状血流,可探及动脉频谱。