肾盂肾炎
A+医学百科 >> 疾病百科 >> 炎症 >> 肾盂肾炎 |
肾盂肾炎 【概述】
肾盂肾炎(pyelonephritis)是指肾脏盂的炎症,大都由细菌感染引起,一般伴下泌尿道炎症,临床上
不易严格区分。根据临床病程及疾病,肾盂肾炎可分为急性及慢性两期,慢性肾盂肾炎是导致慢性肾功能不全的重要原因。 此处主要介绍慢性肾盂肾炎。
【诊断】
1.病史 急性肾盂肾炎病史可作为诊断的参考,但不能作为依据。因多数非梗阻性慢性肾盂肾炎患者,既往可无泌尿系感染病史,也无其它肾病史。常陷匿起病,氮质血症症状可为患者首发症状,诊断时应予注意。
2.临床表现 有间断反应出现尿路刺激症状,一般较轻,不如急性肾盂肾炎明显,常伴有乏力、食欲不振、腰酸痛,可有低热或无发热。晚期可因肾功能损害而出现头晕、头痛、恶心、呕吐等尿毒症症状。亦可出现多尿、夜尿增多、低血钾、低血钠或慢性肾小管性酸中毒。部分患者病情隐袭或不典型,宜注意。
3.辅助检查
⑴尿常规:尿蛋白一般为微量或少量。若尿蛋白>3.0/24小时,则提示非本病的可能。尿沉渣可有少量红细胞及白细胞。若发现白细胞管型有助于诊断,但非本病所特有。
⑵尿培养:同急性肾盂肾炎,但阳性率较低,有时需反复检查方可获得阳性结果。阴性尿细菌培养患者中约有20%可找到原浆型菌株,此系致病菌在抗菌药物、抗体等作用下,为了适应不良的环境而求得生存的一种变异能力,胞膜虽破裂,但原浆质仍在,一旦环境有利即可重新繁殖。膀胱灭菌后尿培养及尿液抗体包裹细菌检查阳性时,有助本病诊断,据此可与膀胱炎相鉴别。
⑶肾功能检查:通常有肾小管功能减退(尿浓缩功能减退,酚红排泄率降低等),可有尿钠、尿钾排出增多,代谢性酸中毒;尿少时血钾可增高。晚期出现肾小球功能障碍、血尿素氮及肌酐增高,并导致尿毒症。
急性肾盂肾炎实的验室检查 :
一、尿常规 脓尿(每高倍视野≥5个白细胞)为其特征性改变,若平均每高倍视野中有0-3个白细胞,而个别视野中可见成堆白细胞,仍有诊断意义。尿中白细胞也可间歇性出现。红细胞数目多少不一,常提示合并其它肾脏疾患的可能。如发现白细胞管型。特别是粘有细菌者,尤有诊断意义。

二、尿的细菌学检查 尿细胞培养及菌落计数是确诊的重要指标。目前多采用新鲜清洁中段尿培养法,尿细胞培养阳性,菌落计数>1×108/L(10万/ml),即有诊断价值,1-10×107/L(1万-10万/ml)为可疑,应重复培养,若培养为阴性,诊断有怀疑时,需进一步排除多种因素的影响,如①已用或正在应用抗菌药物治疗。②大量饮水,补液后尿液过度稀释。③尿液 pH<5.0或>8.5。④泌尿系统功能异常、畸形或有梗阻。⑤粪链球菌感染因其繁殖力低,菌落计数0.5×107/L(5000/ml)即有诊断意义。⑥需用其它特殊培养基方能生长的病原体。亦可采用耻骨上膀胱穿刺尿培养法,如有细菌生长即可确诊。新鲜中段尿直接涂片,用革兰染色后镜检,找到细菌,或新鲜中段尿10ml离心后取沉渣直接涂片找细菌,每高倍视野细菌数15-20个以上,均具有诊断意义。
三、其它检查 尿沉渣抗体包裹细菌检查,阳性时有助诊断,膀胱炎为阳性,有鉴别诊断价值。
急性肾盂肾炎一般不出现肾功能损害。X线及肾盂造影检查可了解尿路系统有无结石、梗阻、畸形、肾下垂等情况、以利根治。
【治疗措施】
(一)一般治疗 目的在于缓解症状,防止复发,减少肾实质的损害。应鼓励患者多饮水,勤排尿,以降低髓质渗透压,提高机体吞噬细胞功能,冲洗掉膀胱内的细胞。
通常应鼓励患者多饮水、勤排尿,以降低髓质渗透压,提高机体吞噬细胞功能。有发热等全身感染症状应卧床休息。服用碳酸氢钠1g,每日3次,可碱化尿液,减轻膀胱刺激刺激症状,并对氨基糖甙类抗生素、青霉素、红霉素及磺胺等有增强疗效作用,但可使四环素、呋喃咀啶的药效下降。有诱发因素者应治疗,如肾结石、输尿管畸形等。抗感染治疗最好在尿细菌培养及药物敏感试验下进行。
(二)抗感染治疗
1.急性肾盂肾炎 因引起尿路感染的主要细菌是革兰阴性菌,其中以大肠杆菌为主。初发的急性肾盂明炎可选用复方磺胺甲恶唑(SMZ-TMP)2片,日2次,或吡哌酸0.5g,日3~4次,诺氟沙星0.2g,日3次,疗程7~14天。感染严重有败血症者宜静脉给药。根据尿培养结果选用敏感药物。如头孢哌酮,阿米卡星毒素对葡萄球菌、克雷伯菌、变形杆菌,绿脓杆菌、大肠杆菌的敏感率均在90%以上。前者1~2g,每8~12小时1次,后者0.4g,每8~12小时1次。氟喹诺酮类药物对变形杆菌、枸橼酸杆菌及克雷伯菌敏感率在80%以上。哌拉西林、氨苄西林、呋啁妥因对D群肠球菌100%敏感。用法,前2者1~2,每6时1次;后者0.1g,日3次。真菌感染用酮康唑0.2g,日3次。或氟康唑50mg,日2次。
新生儿,婴儿和5岁以下的幼儿急性肾盂肾炎多数伴有泌尿道畸形和功能障碍,故不易根除,但有些功能障碍如膀胱输尿管返流可随年龄增长而消失。一次性或多次尿感在肾组织中形成局灶性疤痕,甚至影响肾发育,近年来主张用药前尽可能先做中段尿细胞培养,停药后第2、4、6周应复查尿培养,以期及时发现和处理。
2.慢性肾盂肾炎 急性发作者按急性肾盂肾炎治疗,反复发作作者应通过尿细菌培养并确定菌型,明确此次再发是复发或重新感染。
复发:指治疗后菌株转阴性,但在停药后的6周内再发,且致病菌和先前感染的完全相同。复发的常见原因有①尿路解剖上或功能上异常,引起尿流不畅。可通过静脉肾盂造影或逆行肾盂造影以明确之,如有明显解剖异常情况存在,需手术加以纠正。如果梗阻因素难以解除,则根据药敏选用恰当抗菌药治疗6周。②抗菌药选用不当或剂量和疗程不足,常易复发,可按药敏选择用药,治疗4周。③由于病变部位瘢痕形成,血流量差,病灶内抗菌药浓度不足,可试用较大剂量杀菌类型抗菌药治疗如先锋霉素、氨苄青霉素、羟苄青霉素、乙基因梭霉素等,疗程6周。
一年内如尿感发作在3次或3次以上的者又称复发性尿感,可考虑长程低剂量治疗。一般选毒性低的抗菌药物,如复方磺胺甲恶唑或呋喃坦丁每晚一粒,服用1年或更长,约605患者菌尿转阴。男性因前列腺炎引起复发者,宜同时治疗慢性前列朱炎,选用脂溶性抗菌药物如复方磺胺甲恶唑;环内沙星0.5g,日2次;利福平0.45~0.6g,顿服,疗程宜长达3月。必要时手术切除病变(增生、肿瘤)这前列腺。
如果经两个疗程的足量抗菌治疗后,尿菌仍持续阳性,可考虑长程低剂量治疗。一般采用复方新诺明或呋喃叮每晚一次,可以服用1年或更长,约60%患者菌转阴。
再感染:指菌尿转阴后,另一种与先前不同的致病菌侵入尿路引起的感染,一般在菌尿转阴6周后再发。妇女的尿感再发,85%是重新感染,可按首次发作的治疗方法处理,并嘱患患者重视尿感的预防。同时应全面检查,有无易感因素存在,予以去除。
目录 |
慢性肾盂肾炎的中医辨证及治疗
一.中医辨证:
(1)脾肾两亏症状:小便频数,淋涩不已,反复发作,遇劳尤甚,伴有呕恶纳呆,腹胀便搪,畏寒肢冷,面浮肢肿,腰酸膝软。舌淡苔白或有齿印,脉沉弱。
证候分析:久病未愈,阴阳俱虚,脾肾亏虚,膀胱气化不力,下元不固,水道不畅,故小便频数、淋涩不已、反复发作、遇劳尤甚;脾虚湿阻气滞,则呕恶纳呆、腹胀便溏;脾g两虚不能温运水湿,泛滥肌肤,故面浮肢肿;肾虚不能温阳暖体,故畏寒肢冷;腰为肾府,肾虚,则腰膝酸软;舌淡苔白、脉沉弱是为脾肾亏损;舌边有齿印是为湿浊内阻之象。
(2)肾虚湿热留滞症状:小便频急,涩痛不已,时好时发,遇劳尤甚,伴乏力多汗,眩晕耳鸣,腰膝酸软,手足心热,口唇干燥。舌红少苦或无苔,脉细带数或沉细。
证候分析:肾为水火之宅,元阴元阳之根,邪热久留,导致肾之气阴亏损,造成膀胱气化无力,加上湿热留恋,水道不利,故小便频急、涩痛不已、时好时发、遇劳尤甚;汗为阴液,肾气亏虚,故乏力多汗;阴虚则髓海不足,脑失所养,故眩晕耳鸣;肾气不足则腰膝酸软;阴虚内热,则手足心热、口唇干燥;舌红少苦或无苔、脉细带数或沉细是为肾气阴两虚之象。
二.中药治疗:
长期使用抗生素后,细菌产生了耐药性,或进入细胞内,使抗生素失去杀菌能力;所以应该用中药配合抗生素治疗,用中药配合抗生素治疗,抵制耐药性,没有毒副作用,预后好,一般选择中药配合抗生素使用,由于抗生素长期使用,损伤大,在抗生素停药后,坚持使用大复方道地取材的中药进行治疗,可以完全治愈肾盂肾炎,防止复发。应该选择针对急性肾盂肾炎的病因、病机,其经过合理组方,采用现代科技精制而成的优质中成药。以清热解毒,利湿通淋为主,辅以补肾固本,活血化瘀,扶正祛邪,提高机体免疫力为组方之法,选用道地优质中草药精制的中药。如银花泌炎灵片。
金银花主治热淋下焦湿热证,对尿频、尿急、尿涩痛、尿短赤、尿淋沥,尿赤黄、腰痛、腹胀痛等疗效显著,以“清热解毒之冠”而著称的道地药材金银花为君药配伍,主要成份共计十味名贵药材,利用金银花、半枝莲、扁蓄、瞿麦、石韦、川木通、车前子、淡竹叶、桑寄生、灯心草的多靶点协同作用,具有标本同治、攻补兼施的特点,充分体现了传统中医理论“七分治,三分养”的治疗特色,能有效巩固疗效,降低肾盂肾炎复发。
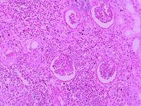
【病理改变】
急性肾盂肾炎 病变可为单侧或双侧,局限或广泛,可轻可重,轻者仅累及肾盂粘膜。重者肾脏肿大,切面可见粘膜充血溃疡,小脓肿形成。如伴梗阻,则肾盏增宽,少数严重患者,其肾乳头及锥体部可见坏死,坏死组织随尿液排出称坏死性乳头炎,镜下可见肾间质水肿,嗜中性粒细胞浸润。
慢性肾盂肾炎 肾盂及肾盏有慢性炎症表现。肾盂扩大、畸形,肾皮质及乳头部有瘢痕形成,肾脏较正常缩小,两侧病变常不对称,肾髓质变形,肾盂肾盏粘膜及输尿管管壁增蚅,严重者肾实质广泛萎缩。
【临床表现】
(一)急性肾盂肾炎 本病可发生于各种年龄,但以育龄妇女最多见,起病争骤,主要有下列症状。
1.一般症状 高热、寒战,体温多在38~39℃之间,也可高达40℃。热型不一,一般呈弛张型,也可呈间歇或稽留型。伴头痛、全身酸痛,热退时可朋大汗等。
2.泌尿系症状 患者有腰痛,多为钝痛或酸痛,程度不一,少数有腹部绞能,沿输输尿管向膀胱方向放射,体检时在上输尿管点(腹直肌外缘与脐平线交叉点)或肋腰点(腰大肌外缘与十二肋交叉点)有压痛,肾叩痛阳性。患者常有尿频、尿急、尿痛等膀胱刺激症状,在上午性感染时,可先于全身症状出现。儿童患者的泌尿系系症状常不明显,起病时除高热等全身症状外,常有惊厥、抽搐发作。
3.胃肠道症状 可有食欲不振、恶心、呕吐,个别患者可有中上腹或全腹疼痛。
(二)慢性肾盂肾炎 症状较急性期轻,有时可表现为无症状性尿。半数以上患者有急性肾盂肾炎既往史,其后有乏力、低热、厌食及腰酸腰痛等症状,并伴有尿频、尿急、尿痛等下尿路刺激症状。急性发作表现也时出现。以往将病程超过半年或1年者乐为慢性肾盂肾炎,近年来提出肾盂肾盏有瘢痕形成,静脉肾盂造影见到肾盂肾盏变形、积水、肾外形不光滑,或二肾大小不等才称慢性肾盂肾炎。可有肾小管功能损害,如浓缩功能减退,低渗、低比重尿,夜尿增多及肾小管性酸中毒等。至晚期,可出现肾小球功能损害,氮质血症直至尿毒症。肾性高血压很多由慢性肾盂炎引起,一般认为患者高肾素血症及一些缩血管多肽的释放和血管硬化、狭窄等病变有关。少数患者切除一侧病肾后,高血压得以改善。
慢性肾盂肾炎时临床表现复杂,容易反复发作,其原因为:①诱发因素的存在;②肾盂肾盏粘膜、肾乳头部因瘢痕变形,有利于致病菌潜伏;③长期使用抗生素后,细菌产生了耐药性,或进入细胞内,使抗生素失去杀菌能力;④在体液免疫或抗生素作用下,细菌胞膜不能形成,以原浆质形式存在,在髓质渗环境下仍有生命力,故一旦环境有利,重新生长胸膜并繁殖再毒辣,此即原浆型菌株(L型)。所以,慢性肾盂肾炎被认为是较难根治而逐渐进展的疾病。
【辅助检查】
急性期时可有急性炎症的发现,如血白细胞数升高,中性粒细胞的有百分比增高,下列检查对诊断更有重要意义。
(一)尿常规检查 是最简便而可靠的检测泌尿道感染的方法。宜留清晨第一次尿液待测,凡每个高倍视野下超过5个(>5个/Hp)白细胞称为脓尿。现用试纸法检测白血球,简称尿入联,机理是白细胞中含有酯酶,可产生哚酚与试纸中的重氮盐产生紫色反应,当白细胞超过10个/ml时呈阳性反应,但甲醛等防腐剂可造成假阳性反应。试纸中应用Griess硝酸盐还原试验,即肠道细菌能将尿中的硝酸盐还原成亚硝酸盐而使试纸显色(粉红色),革兰阳性性菌和假单胞菌对此不敏感,大量维生素C可呈假阳性反应,患者宜在服用此药后至少10小时以上收集尿标本。急性泌尿道感染时除有脓尿外,常可发现白细胞管型,菌尿,有时可伴显微镜下血尿或肉眼血尿,尤其是布鱼虾杆菌、奴卡杆菌及放线菌(包括结核杆菌)感染时。偶见微量蛋白尿,如有较多蛋白尿则提示肾小球受累及。
(二)尿细胞学检查 以往认为清洁中段尿培养菌落计数大于105/ml有临床意义,小于104/ml为污染所致,现大量事实证明约92%革兰氏阴性细菌引起的尿路感染菌落计数大于105/ml,仅70%左右的革兰阳性菌引起的尿路感染菌计数超过105/ml,而20%~30%的患者其菌计数仅有103~105/ml,尤其是大多数下尿路感染乾。菌落计数不高的原因有:尿频尿急等刺激症状明显使尿液在膀胱内逗留的时间太短暂不利于细菌的繁殖;抗菌药物的治疗;快速利尿;特别酸化的尿不利于细菌生长繁殖;尿路梗阻;腔外感染;或是厌氧菌等需要特殊培养基的细菌感染。革兰阳性细菌分裂慢,且有疑集倾向,故菌落叶计数往往偏低,因此有临床症状者菌落计数在103~104/ml也需考虑感染存在。
(三)无创伤性感染的定位检查
1.尿浓缩能力 理论上急慢性肾盂肾为常伴肾小管浓缩功能的障碍,可能与受损的髓质产生的前列腺素有关,应用前列腺素合成的抑制剂(消炎痛)可以阻断此现象,感染清除后肾小管的浓缩功能可以恢复,双侧性的感染较单侧性的感染易发现尿液浓缩能力的障碍,但此试验不够敏感,故不能作为常规来推广。
2.尿酸的测定 有报道肾盂肾炎者约有25%的患者尿中乳酸脱氢酶(LDH)高于下尿路感染者。肾盂肾炎时尿中的N-乙酰-β-D氨基葡萄酶高于下尿路感染者,因此酶存在于肾小管的上皮细胞内,迄今能作为泌尿道感染的定位诊断的尿酶仍在研究中。
3.尿C反应蛋白测定 文献报道血清C反应蛋白在影响到肾实质的上尿路感染时间显增高,病程中隔日随C反应蛋白(CRP)水平有助于估计疗效,即CRP一目了然示有效,上升示无效。急性膀胱炎时CRP并不升高。但其他感染性疾病时CRP也可能升高,以及假阳性的存在影响了该试验的定位意义。
4.尿抗体包裹细菌分析 用免疫荧光分析证实来自肾脏的细菌包裹着抗体,可和荧光标记的抗体IgG结合呈阳性反应来自膀胱的细菌不被特异性的抗体所包裹,故近年来尿液抗体包裹性细菌(ACB)分析较广泛地用于上下尿路感染的定位诊断。其准确性约83%。但某些前列腺炎、膀胱炎及大量蛋白尿可出现假阳性。
另外尿β2微球蛋白测定也有助于鉴别上、下尿路感染,上尿路感染易影响肾小管对分子蛋白质的再吸收,尿β2微球蛋白升高,而下尿路感染尿β2微球蛋白不会升高。
5.直接定位法 直接法中,Stamey的输尿管导管法准确性较高,但必须通过膀胱镜检查或用Skinny针经皮穿刺肾盂取尿,故为创伤性检查法而不常用,Fairley的膀胱冲洗灭菌后尿培养法准确度大于90%,且简便易行,临床常用。具体方法为从导管中注入0.2%新霉素溶液40ml使膀胱灭菌,再以盐水冲洗,然后收集流入膀胱内的尿液作培养,每10分钟取尿标本一次,连续3次。如为膀胱炎,经上法灭菌后细菌培养应为阴性;如为肾盂肾炎,则仍为阳性,且菌落数递次上升。
(四)X线检查 由于急性泌尿道感染本身容易产生膀胱输尿管返流,故静脉或逆行肾盂造影宜在感染消除后4~8周后进行,急性肾盂肾炎以及无并发症的复发性泌尿道感染并不主张常规做肾盂造影。对慢性或久治不愈患者,视需要分别可作尿路平片、静脉肾盂造影、逆行肾盂造影、排尿时膀胱输尿管造影,以检查有无梗阻、结石、输悄管狭窄或受压、肾下垂、泌尿系先天性畸形以及膀光输管返流现象等。此外,还可了解肾盂、肾盏形成及功能,代藉以与肾结核、肾肿瘤等鉴别。慢性肾盂肾炎的肾盂呈轻度扩张或杵核,并可有瘢痕性畸形。肾功能不全时需用2倍或3倍课桌一碘造影剂作静脉快速滴入,并多次摄片才能使造影得到满意效果。肾血管造影可显示慢性肾盂肾炎的血小管有不同程度的扭曲。必要时可作肾CT扫描或核磁共振扫描,以排队其他肾脏疾患。
(五)同位素肾图检查 可了解分肾功能、尿路梗阻、膀胱输尿管返流及膀胱残余尿情况。急性肾盂肾炎的肾图特点为高峰后移,分泌段出现较正常延缓0.5~1.0分钟,排泄段下降缓慢;慢性肾盂肾炎分泌段斜率降低,峰顶变钝或增宽而后移,排泄段起始时间延迟,呈搜索物线状。但上述改变并无明显特异性。
(六)超声波检查 是目前应用最广泛,最简便的方法,它能筛选泌尿道发育不全、先天性畸形、多囊肾、肾动脉狭窄所致的肾脏大小不匀、结石、肾盂重茺积水、肿瘤及前列是腺疾病等。
【鉴别诊断】
急性肾盂明炎一般有典型症状和尿液异常发现,诊断不难。如仅有高热而尿路症状不明显者,应与各种发热疾病相鉴别。腹痛、腰痛明显者要与胆囊炎、阑尾炎、盆腔炎、肾周脓肿等鉴别,一般经多次小便检查后即能明确诊断。慢性肾盂肾炎的泌尿道症状不明显,尿常规无明显改变或尿液异常间歇出现,易被误诊。在女性,凡有不明热、腰酸、乏力、轻度泌尿道症状者无应考虑本病的可能性。须反复检查尿常规及培养及寻找证据,伴高血压的慢性肾盂肾炎需与高血压病鉴别。此外,尚需与下列诸病鉴别。
(一)肾结核 泌道生殖道结核常同时伴发,它是最常见的肺外结核,多系血行性感染,急性期有发热(低热),盗汗乏力,腰痛,尿频,尿急,尿痛,血尿等症状,约20%病例可无临床表现,又称寂静型尿感,数年后肾实质破坏,结核的肉芽肿,干酪样变先累及髓质,乳头区,继而乳头坏死,肾盂肾盏变形,皮质变薄,偶可累及肾周围组织,后期肾功能受损,膀胱挛缩。肺部X线检查,前列腺,副睾,盆腔结核的检出有助于此病的诊断。尿液检查有血尿(镜下血尿或肉眼血尿),脓尿,阳性皮肤试验(PPD),尿结核培养,检出率高达90%以上,而静脉肾盂造影仅能发现较晚期的病例,近年来多聚酶联反应(PCR)法检测尿结核杆菌的脱氧核糖核酸已广泛应用于诊断中,其特异性,阳性率高达95%。
(二)慢性肾小球肾炎 如有浮肿、大量蛋白尿则鉴别不难。肾盂肾炎的尿蛋白量一般在1~2g/d以下,若大于3g则多属肾小球病变。但本病与隐匿性肾炎较难鉴别,后者尿常规中有较多红细胞,而肾盂肾炎则以白细胞为主。此外,尿培养,长期观察患者有无低热、尿频等症状亦有助鉴别。晚期肾炎继发泌尿道感染,鉴别困难,此时可详细病史,结合临床特点加以分析。
(三)前列腺为 50岁以上的男性因有前列腺增生,肥大,放置导尿道管、膀胱镜检等易得此病。急性前列腺炎除畏寒发热,血白细胞总数升高外,腰骶和会阴部疼痛,以致从立不安,尿频、尿痛,尿液检查有脓细胞,与急性膀胱炎易相混淆。慢性前列腺炎除尿检异常外临床症状多不明显。前列腺按摩得到的前列腺液检查,白细胞数>10个/HP,B超前腺有助于鉴别诊断。
【预防】
对慢性肾盂肾炎病人要增强体制,提高机体的防御能力。消除各种诱发因素如糖尿病、肾结石及尿路梗阻等。积极寻找并去除炎性病灶,如男性的前列腺炎,女性的尿道旁腺炎、阴道炎及宫颈炎。减少不必要的导尿及泌尿道器械操作,如必需保留导尿应预防性应用抗菌药物。女性再毁灭性性生活有关者,应于性生活后即排尿,并内服一剂SMZ-TMP。怀孕期及月经期更应注意外阴清洁。更年期服用尼尔雌醇1~2mg,每月~2次,以增强局部低抗力。
肾盂肾炎的病因
肾盂肾炎是由各种致病微生物直接侵袭所引起的肾盂肾盏粘膜和肾小管肾间质感染性炎症近年来发现在一些肾盂肾炎患者的肾疤痕组织中存在病菌抗原表明在肾盂肾炎的发病机理中免疫性肾组织损害也可以是炎症的原因之一
肾盂肾炎的病因-肾盂肾炎专题
肾盂肾炎又称上尿路感染,可分为急性肾盂肾炎与慢性肾盂肾炎两种。急性肾盂肾炎多发生于生育年龄的女性,病人常有腰痛、肾区压痛、叩痛、伴寒战、发热,头痛、恶心呕吐等全身症状,以及尿频尿急和尿痛等膀胱刺激征,验血可见白细胞增高。一般无高血压或氮质血症。病人尿液混浊,可有肉眼血尿,尿常规镜检有多量白细胞或脓细胞,可有少许红细胞及管型,蛋白少许至中等量。慢性肾盂肾炎多系急性肾盂肾炎治疗不及时、不彻底而引起,一般认为病程超过6个月以上即慢性。若为尿路梗阻引起者,诱发因素未及时纠正、消除,炎症长期不消退,可逐渐转为慢性,最终导致尿毒症。
由于肾小管损害比肾小球重而且早,故常出现肾小管功能不全症状,如多尿、夜尿,尿比重低,肾小管性酸中毒等。也有的病人,以青壮年多见,因病变累及肾血管常迅速发生恶性高血压,并早期出现心肾功能损害及眼底血管变化。大肠杆菌为主要致病菌。肾益肾炎的易感因素是多方面的,主要因素与感染有关。
(1)由于女性尿道短,细菌容易侵入,感染机会多,故女性发病率比男性高8~10倍。
(2)女性尿道口有大肠杆菌存在,性交往往是引起感染的重要原因。
(3)妊娠妇女雌激素分泌增多,输尿管张力降低,蠕动减弱,导致尿路不畅,尿液反流的发生率较高,故妊娠期的尿路感染,多数为肾益肾炎。肾益肾炎多由膀胱炎上行感染所致,尤其膀脱-输尿管返流,是上行感染的重要原因。
(4)膀胱炎如未能及时或充分的治疗,约有30~50%可上行引起肾盂肾炎。
(5)尿路梗阻,如尿路结石、肿瘤、狭窄、前列腺肥大及神经源性膀胱等,致使尿流不畅,局部抗菌能力降低,有利于感染及压力增高,是肾孟肾炎的重要诱因。尿路梗阻者约60%并发肾孟肾炎。
(6)肾实质病变,如肾小球肾炎、肾囊肿、肾肿瘤及慢性肾小管间质性疾病。可使肾脏局部抗菌能力减退,易并发肾益肾炎。
(7)全身性因素,如糖尿病、高血压、长期低血钾、心力衰竭及许多慢性消耗性疾病易并发肾孟肾炎。有学者认为,除上行性感染外,肾孟肾炎还可经血液和淋巴道及附近脏器直接感染,与免疫也有一定关系。
肾盂肾炎并发症
肾盂肾炎患者,经有效抗生素治疗,一般在2~3天内症状会明显改善,若无改善,症状加重,出现持续高热、血白细胞显著增加,应考虑到并发症的出现。肾盂肾炎常见的并发症有:
①肾乳头坏死:是严重并发症之一,常发生于糖尿病或尿路梗阻的肾盂肾炎患者,可并发败血症或导致急性肾功能衰竭。
②肾周围脓肿:由严重肾盂肾炎直接扩展来,占90%,致病菌多是革兰阴性杆菌,以大肠杆菌常见,多存在在糖尿病、尿路结石等不利因素,病人常出现明显的单侧腰痛和压痛,向健侧弯腰时,疼痛加剧。治疗宜用强有力抗菌素,加强支持治疗,或切开引流。
③并发感染性结石:结石的成分以磷酸铵镁为主,这是由于变形杆菌等所含的尿素酶,可分解尿中的尿素,使尿素呈碱性,而磷酸盐在碱性尿中的溶解度明显降低,易产生沉淀而形成磷酸铵镁和磷灰石性结石。
④革兰阴性杆菌败血症:多发生于急性、严重性肾盂肾炎,表现来势凶险,突然寒战、高热、常引起休克,死亡率达50%,应积极给予强有力抗菌素,加强支持治疗。
肾盂肾炎饮食
肾小球肾炎分型多,临床表现复杂,饮食治疗原则要根据病人的肾功能状况和蛋白尿的程度来确定,亦应注意病人的水肿和血压情况.做综合分析后再确定如何饮食治疗。
限制蛋白质 急性肾小球肾炎发病3~6天.肾小球滤过率下降,会产生一过性的氮质血症。因此,应限制蛋白质饮食.在限制的范围内应选食优质蛋白质食物,如牛奶、鸡蛋、瘦肉、鱼等。当病情好转,尿量增多,每天尿量>1000毫升时,可开始逐渐增加蛋白质摄入量。但每曰不得超过0.8克/公斤体重。
低盐低钠饮食有水肿和高血压的病人应采用低盐、无盐膳食。低盐膳食一般每日用食盐小于3克或酱油10-15毫升。凡含盐多的食品均应避免食用,如咸菜、泡菜、成蛋、松花蛋、腌肉、海味、挂面等。无盐饮食是烹调时不加食盐或酱油,可用糖、醋、芝麻酱、番茄酱来调味。
限制高钾食物 当出现少尿、无尿或血钾升高时,应限制含钾丰富的蔬菜及水果,如黄豆芽、韭菜、青蒜、芹菜、菜花、香椿、菠菜、竹笋、百合、干红枣、鲜蘑菇、紫菜、榨菜、川冬菜、冬菇、杏、藕、高粱、玉米、扁豆、番茄、丝瓜、苦瓜等。限制入液量 应根据病人每天的尿量多少来控制入液量.一般的补充方法是除补充与前一日排出尿量等量的液体外,再多摄入液体500~1000毫升。如果尿量少或伴有水肿者,每日入的液体量应不超过1000毫升。
供给适量热能和脂肪 急性肾小球肾炎的病人应卧床休息.热量不要过高,膳食中脂肪的含量不宜多,且应以含多不饱和脂肪酸丰富的油脂为主,即以植物油为主。
供给充足的维生素 由于限制含钾较多的食物,摄入的蔬菜和水果就要减少,维生素的摄入会明显减少,容易造成维生素缺乏症。应补充各种维生素制剂,尤其是维生素c,每日不应少于300毫克。
肾盂肾炎的中药治疗
肾盂肾炎以女子多见,属中医淋症范畴。分急性和慢性两种。
急性肾盂肾炎常有发热,尿急, 尿频,尿痛,尿热等症状。属湿热症,方用人正散加减。本方为木通6克,瞿麦10克,扁蓄10克,川黄柏10克,车前子15克,石苇15克,茅根30克,小蓟30克。饮食方面应忌食一切咸味调味品和含高蛋白的食物,应多食一些含维生素C的蔬菜和水果。
慢性肾盂肾炎常以菌尿,尿常规改变为主,伴有腰酸,乏力,气短,头晕,浮肿,消瘦等症状。中医认为属脾肾两虚症型。本方组成为:党参10克,百术10克,陈皮10克,熟地10克,泽泻10克,黄芪20克,茯苓20克,山药15克,杜仲15克,砂仁6克,木香3克,生甘草5克。如果畏寒肢冷者可加炮附子6克,肉桂10克;血尿为主者可加旱莲草15克,小蓟30克。饮食方面宜吃清淡而易消化的低盐或无盐饮食。近年来认为对于慢性肾功能不全者适当补充必需氨基酸可提高疗效。
为什么肾盂肾炎的病人有时症状重而无细菌尿?
肾盂肾炎以慢性患者较为多见。这样的病人可因各种诱因反复发作,出现尿频、尿急、尿痛、血尿、灼热等症状。尿常规检查异常,尿培养可找到致病细菌。但有一部分病人虽然症状较重,但尿的细菌培养却无阳性发现。临床上,这样的病例并不少见,尤其是灶性或愈合之肾盂肾炎,尿常规呈低细菌数或无菌。肾盂肾炎时无细菌尿的原因可能为:
①最常见的原因为,抗炎药物及化学疗法的使用抑制了细菌的活性。
②患侧输尿管的阻塞,使细菌不能随尿排出。
③尿酸碱度(pH值)在5.0以下或高度的尿液稀释(尿比重在1.003以下),不利于细菌的生长。
④迅速的尿流使细菌无机会繁殖,或某些细菌生长较慢或不易繁殖。
⑤也有一种理论认为,慢性肾盂肾炎为一种无菌性疾病,开始由细菌感染引起,以后细菌消失,而感染由细菌毒素的持续或自体免疫机制维持。
急性肾盂肾炎的症状
提要:急性肾盂肾炎症状
急性肾盂肾炎症状
①全身表现:起病大多数急骤、常有寒战或畏寒、高热、体温可达39℃以上,全身不适、头痛、乏力、食欲减退、有时恶心或呕吐等。
②尿路系统症状:最突出的是膀胱刺激症状即尿频、尿急、尿痛等,每次排尿量少,甚至有尿淋漓、大部分病人有腰痛或向会阴部下传的腹痛。
③轻症患者可无全身表现,仅有尿频、尿急、尿痛等膀胱刺激症状。
慢性肾盂肾炎的症状
症状较急性期轻,有时可表现为无症状性尿。半数以上患者有急性肾盂肾炎既往史,其后有乏力、低热、厌食及腰酸腰痛等症状,并伴有尿频、尿急、尿痛等下尿路刺激症状。急性发作表现也时出现。以往将病程超过半年或1年者乐为慢性肾盂肾炎,近年来提出肾盂肾盏有瘢痕形成,静脉肾盂造影见到肾盂肾盏变形、积水、肾外形不光滑,或二肾大小不等才称慢性肾盂肾炎。可有肾小管功能损害,如浓缩功能减退,低渗、低比重尿,夜尿增多及肾小管性酸中毒等。至晚期,可出现肾小球功能损害,氮质血症直至尿毒症。肾性高血压很多由慢性肾盂炎引起,一般认为患者高肾素血症及一些缩血管多肽的释放和血管硬化、狭窄等病变有关。少数患者切除一侧病肾后,高血压得以改善。
慢性肾盂肾炎时临床表现复杂,容易反复发作,其原因为:①诱发因素的存在;②肾盂肾盏粘膜、肾乳头部因瘢痕变形,有利于致病菌潜伏;③长期使用抗生素后,细菌产生了耐药性,或进入细胞内,使抗生素失去杀菌能力;④在体液免疫或抗生素作用下,细菌胞膜不能形成,以原浆质形式存在,在髓质渗环境下仍有生命力,故一旦环境有利,重新生长胸膜并繁殖再毒辣,此即原浆型菌株(L型)。
急性肾盂肾炎转慢性的因素
提要:急性肾盂肾炎多发于女性的一种泌尿道细菌感染性疾病,采取有效的治疗是可以痊愈的。急性肾盂肾炎转慢性一般是急性肾盂肾炎治疗不够彻底,或者是反复感染,生活中不注意卫生所致。(肾盂肾炎,肾盂肾炎治疗,肾盂肾炎反复) 急性肾盂肾炎多发于女性的一种泌尿道细菌感染性疾病,采取有效的治疗是可以痊愈的。
急性肾盂肾炎转慢性一般是急性肾盂肾炎治疗不够彻底,或者是反复感染,生活中不注意卫生所致。
为防止急性肾盂肾炎转为慢性,需要注意的事项有:
一、急性期不要因症状消失而中断治疗,坚持治疗经过复查,直至痊愈。
二、讲究卫生,定期清洗外阴部及肛门,注意经期及性生活卫生,多饮水,常排尿,不憋尿。
三、加强身体锻炼,注意营养,增强抵抗力,以防反复感染。
四、有妇科慢性炎症疾患如盆腔炎等,亦应彻底治疗,以防蔓延感染至肾盂。
急性肾盂肾炎患者一定要积极治疗,直至痊愈,防止反复感染。
肾盂肾炎尿培养检查:
培养标本包括以下几类:
1、留置导尿管收集的尿液:男性长期留置导尿管引起感染的机会大于女性,这是因为有局部并发症(如前列腺炎、副睾炎等),因此,使用导尿管应严格掌握指征,留置导尿管应采用无菌闭式引流,且如有可能尽早拔除。尿失禁病人如带阴茎套,则必须消毒龟头后换上新阴茎套和贮尿袋,在30~120分钟内收集尿液。套袋应每24小时更换一次。
2、膀胱尿液:不能自行排尿的患者需要导尿,但导尿会诱发菌尿症和损伤尿道口。因此,对无凝血障碍或腹壁缺陷的患者可使用耻骨上穿刺取尿。但如要测量膀胱残余尿量或暂时膀胱引流,则导尿法仍有必要。
3、自然排放尿液:男性自然排出的尿液与女性不同,其污染率<1%,故无需使用中段尿培养,但如初段尿液培养有3种以上的菌种生长,且无一超过80%的生长率,特别是有一种菌种属非尿路致病菌时,则提示标本污染,必须指导收集中段尿再做培养。
上尿路感染属于肾盂肾炎吗?
肾盂肾炎又称上尿路感染,可分为急性肾盂肾炎与慢性肾盂肾炎两种。急性肾盂肾炎多发生于生育年龄的女性,病人常有腰痛、肾区压痛、叩痛、伴寒战、发热,头痛、恶心呕吐等全身症状,以及尿频尿急和尿痛等膀胱刺激征,验血可见白细胞增高。一般无高血压或氮质血症。病人尿液混浊,可有肉眼血尿,尿常规镜检有多量白细胞或脓细胞,可有少许红细胞及管型,蛋白少许至中等量。
慢性肾盂肾炎多系急性肾盂肾炎治疗不及时、不彻底而引起,一般认为病程超过6个月以上即慢性。若为尿路梗阻引起者,诱发因素未及时纠正、消除,炎症长期不消退,可逐渐转为慢性,最终导致尿毒症。
由于肾小管损害比肾小球重而且早,故常出现肾小管功能不全症状,如多尿、夜尿,尿比重低,肾小管性酸中毒等。也有的病人,以青壮年多见,因病变累及肾血管常迅速发生恶性高血压,并早期出现心肾功能损害及眼底血管变化。
关于肾盂肾炎病人困惑
肾盂肾炎以慢性患者较为多见。这样的病人可因各种诱因反复发作,出现尿频、尿急、尿痛、血尿、灼热等症状。尿常规检查异常,尿培养可找到致病细菌。但有一部分病人虽然症状较重,但尿的细菌培养却无阳性发现。临床上,这样的病例并不少见,尤其是灶性或愈合之肾盂肾炎,尿常规呈低细菌数或无菌。肾盂肾炎时无细菌尿的原因可能为:
①最常见的原因为,抗炎药物及化学疗法的使用抑制了细菌的活性。
②患侧输尿管的阻塞,使细菌不能随尿排出。
③尿酸碱度(pH值)在5.0以下或高度的尿液稀释(尿比重在1.003以下),不利于细菌的生长。
④迅速的尿流使细菌无机会繁殖,或某些细菌生长较慢或不易繁殖。
⑤也有一种理论认为,慢性肾盂肾炎为一种无菌性疾病,开始由细菌感染引起,以后细菌消失,而感染由细菌毒素的持续或自体免疫机制维持。
参看
健康问答网关于肾盂肾炎的相关提问
|
|
关于“肾盂肾炎”的留言: | ![]() |
目前暂无留言 | |
添加留言 |