输尿管囊肿

跳转到: 导航, 搜索
Bk94o.jpg

  

目录

疾病名称

输尿管囊肿  

疾病概述

输尿管囊肿 是输尿管末端的囊性扩张。胚胎发育期输尿管与尿生殖窦之间的隔膜未吸收消退,形成输尿管口不同程度的狭窄,也可是输尿管末端纤维结构薄弱或壁间段的行径过长、过弯等因素引起,经尿流冲击后形成囊性扩张突入膀胱。早期病例,临床上可无症状,常在诊断重肾畸形时始被发现。有症状主要是尿路梗阻,引起反复尿路感染。由于囊肿开口细小,输尿管口持久的梗阻可导致输尿管和肾积水肾功能丧失、囊肿堵塞膀胱颈而发生排尿困难尿流中断,以及复发性尿路感染。有时女孩囊肿可经膀胱颈和尿道而脱出于尿道口外,一般可自行复位。但也可发生嵌顿而成紫色肿物。治疗原则是解除梗阻,防止反流,处理并发症。如患侧上半肾功能不良,可作半肾切除。约有20~25%病例术后仍有症状,此时再处理囊肿。如患肾功能良好,可作输尿管囊肿切除及防反流的输尿管膀胱再植术。  

疾病分类

泌尿外科  

疾病描述

输尿管囊肿(ureterocele)是由于输尿管口先天性狭窄或功能性挛缩及输尿管壁发育不全,以致输尿管下端各层形成一囊肿突入膀胱之内。故囊肿的外层为膀胱粘膜,内层为输尿管粘膜,两者之间为很薄的输尿管肌层

按输尿管口位置与囊肿的关系分为单纯型与异位型。

前者输尿管口较正常位置略有偏移(orthotpic ureterocele)囊肿常较小,影响少,多见于成人,又称成人型。异位输尿管囊肿多较大且并发重肾双输尿管畸形,两根输尿管在通常部位穿透膀胱肌层,下肾部输尿管开口于膀胱三角区,而带有输尿管囊肿,引流上肾部的输尿管,则位于粘膜下层,开口于膀胱颈或后尿道。临床上亦见有介于二型之间者。  

症状体征

最常见的临床表现是上尿路扩张积水和尿路感染。  

疾病病因

因尿流不畅导致上尿路梗阻。卵子受精后37天Chwalle膜暂时性分隔输尿管芽和尿生殖窦,当Chwalle膜溶解不完全时导致本病。此外,膀胱壁段输尿管肌肉发育异常亦可导致。  

病理生理

因尿流不畅导致上尿路梗阻。卵子受精后37天Chwalle膜暂时性分隔输尿管芽和尿生殖窦,当Chwalle膜溶解不完全时导致本病。此外,膀胱壁段输尿管肌肉发育异常亦可导致。  

诊断检查

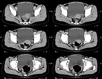
影像学检查可明确诊断。B型超声检查可显示膀胱内有薄壁囊性肿块。静脉尿路造影典型者表现为输尿管末端“蛇头”状膨大,伴或不伴肾输尿管扩张积水,合并重复畸形时亦可显示。膀胱镜检可见输尿管开口处呈囊状扩张,开口呈针尖样随输尿管蠕动时张时缩。  

治疗方案

治疗方法选择根据病变程度、对上尿路的影响以及是否伴有其他尿路畸形而定。治疗目的是解除梗阻、根除感染和保护肾功能。常用手术方法有经尿道切除及抗逆流的输尿管膀胱再植术。  

疾病预防

先天发育异常引起,无特殊预防措施。

关于“输尿管囊肿”的留言: Feed-icon.png 订阅讨论RSS

目前暂无留言

添加留言

更多医学百科条目

个人工具
名字空间
动作
导航
推荐工具
功能菜单
工具箱