肾周脓肿

跳转到: 导航, 搜索

肾周脓肿主要由肾内脓肿破入肾周而成。因此,致病菌与引起肾内脓肿的相同。约25%的病例,其脓肿可培养出多种致病菌。肾周筋膜通常将脓肿局限于肾周围,发病因素同肾内脓肿。

肾周脓肿

目录

肾周脓肿的病因

主要由肾内脓肿破入肾周而成。也有报道由阑尾穿孔导致肾周脓肿。

肾周脓肿的症状

常见白细胞增多脓尿,但并非所有病人都有。大多数病人尿培养阳性,血培养阳性者占20%~40%。肾周脓肿在临床上与急性肾盂肾炎的不同之处是,前者在住院前已有较长时间的症状,且抗生素治疗开始后仍长期发热;肾周脓肿的症状一般持续5日以上,而急性肾盂肾炎一般短于5日。

超声检查通常可显示脓肿,但CT是最可靠的检查方法,几乎所有的肾周脓肿均可被CT测出。X线胸部检查约半数病人有异常,可见同侧肺炎肺不张胸腔积液或患侧横膈抬高。约有半数病人腹部平片也有异常,可见肿块,结石腰大肌阴影消失和产气菌感染引起的肾周区肠外气体。排泄性尿路造影可见肾脏不显影或显影很差,肾盏变形,肾脏向前移位和单侧肾脏固定,X线透视或呼气/吸气期拍片显示的结果最清楚。

肾周脓肿的检查化验

(1)实验室检查:常规实验室检查结果反复多样。血常规可见白细胞升高并有核左移现象,有不同程度的贫血红细胞沉降率上升。如患者有其他肾脏疾病或是双侧病变,才有可能出现血清肌酐血尿素氮升高。尿液分析脓尿蛋白尿,但无血尿。30%的患者液分析正常,40%尿培养阴性,仅有40%在血培养时出现阳性结果。

(2)X线检查:胸部腹部X线检查虽不能确定肾周脓肿的诊断,但对诊断有帮助。胸部X线检查可能发现同侧膈肌抬高和固定、胸膜渗出积脓肺脓肿肺下叶浸润和不张、肺炎疤痕形成等表现。腹部X线检查可能发现脊柱侧凸(凹向患侧)、肿块、肾结石、肾及腰大肌失去正常轮廓、肾或肾周出现气体或肾脏固定。

(3)其他影象学检查:大部分肾周脓肿者,排泄性尿路造影断层摄影可证实患侧肾脏异常。主要表现有受累肾脏显影不良或不显影、肿块、肾脏移位、肾盂输尿管结石肾盏扩张或阻塞(有或无结石)。但以上影象学特征均不是肾周脓肿的特异性表现。

(4)镓(Ga67)枸椽酸盐或(In111)示踪白细胞放射性核素扫描在诊断学上意义不大,因为它们既费时又不能将肾周脓肿与其他肾脏病相鉴别。肾动脉造影也不是肾周脓肿的特异性诊断方法,因为它是一种有创性检查方法,其结果也不优于肾脏超声CT扫描,因此动脉造影很少用于诊断肾周脓肿。

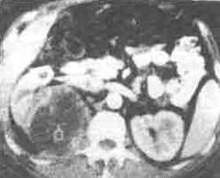
(5)肾脏超声波检查是肾周脓肿的一种诊断性检查方法,但CT扫描更能反映病变的全貌。CT的表现有软组织肿块,其中CT值下降至0~20H单位,在无造影剂增强的情况下,炎性脓肿壁CT值下降稍多;注射造影剂后,脓肿壁密度增强,周围组织结构层次消失,病侧肾脏或腰大肌扩大,肾周筋膜增厚,病灶内出现气体或气液平面。在CT引导下经皮穿刺可确定诊断并可查清致病菌

肾周脓肿CT

肾周脓肿的鉴别诊断

需与干酪空洞型肾结核鉴别。鉴别点为:本并肾周炎性反应广泛,常波及腰大肌,而肾结核较少波及腰大肌

肾周脓肿的并发症

无特定并发症,病人弯腰时可出现疼痛腰部痛性肿块、皮肤红肿肾周脓肿的晚期征象。

肾周脓肿的西医治疗

仅用抗生素治疗难以奏效,应结合早期彻底的引流,传统的治疗提倡切开脓肿引流。近此年来,对某些病例在超声CT引导下经皮穿刺安置适当大小的引流管,疗效也是令人满意的。如经皮引流无效时,必须及时切开引流或作肾切除术

细菌培养及药敏感感试验结果出来之前,应开始用针对最可能的致病菌葡萄球菌大肠杆菌)的抗生素治疗。药物的选用和剂量同肾内脓肿的治疗一致。此后可根据临床反应及药敏试验作适当的调整。在临床上或影象学检查证实感染未完全消退之前,必须静脉或后阶段口服抗生素治疗,常需数周。

肾周脓肿的护理

诊断及时,治疗有效,则病人预后良好,死亡率与诊断延误及不恰当的治疗有关。

参看

关于“肾周脓肿”的留言: Feed-icon.png 订阅讨论RSS

目前暂无留言

添加留言

更多医学百科条目

个人工具
名字空间
动作
导航
推荐工具
功能菜单
工具箱