4 别名
尿道口切开术;meatotomy;porotomy;urethral meatotomy
7 概述
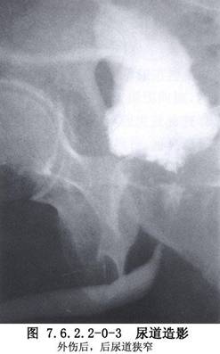
男性尿道狭窄是泌尿外科常见病,按其病因可分为先天性、炎症性和外伤性3类。先天性尿道狭窄较少见,如先天性尿道外口狭窄、尿道瓣膜、精阜肥大、尿道管腔缩窄等。炎症性尿道狭窄由特异性或非特异性尿道感染所致。特异性感染中,以淋病性尿道狭窄较常见;非特异性感染中,因反复包皮、阴茎头炎症所致的尿道外口及阴茎部尿道狭窄常见,因留置导尿管不当所致的炎症性尿道狭窄已引起广泛重视,这类狭窄多见于海绵体部尿道,范围较广;外伤性尿道狭窄(traumatic urethral stricture)是最常见的后天性尿道狭窄,狭窄部位依损伤部位而定,会阴跨骑伤所致者多在球部尿道。骨盆骨折所致者,位于膜部或前列腺尖端尿道,一般狭窄段不长,但瘢痕较坚硬(图7.6.2.2-0-1~7.6.2.2-0-3)。



严重的尿道狭窄可致上尿路积水和肾功能损害,在尿道狭窄部的近端及周围组织中常有炎症存在,有些病例可并发尿道周围炎、尿道周围脓肿,甚至向阴囊会阴部穿破,形成经久不愈的尿道瘘,亦常并发尿路及生殖道感染,有的病例还带有耻骨上膀胱造口,应根据具体情况做好术前准备工作。
狭窄较轻、瘢痕不重者,可望通过尿道扩张术治愈。如尿道扩张术失败或疗效不佳,应选择其他手术治疗方法。腔内手术治疗尿道狭窄具有肯定的疗效,现已广泛应用于临床,具有创伤小、出血少、术后并发症少等优点,应作为治疗尿道狭窄的首选方法。但它需要特殊器械,对于复杂性尿道狭窄特别是狭窄段过长者,开放性手术治疗仍为主要手段。故腔内治疗尚不能完全取代其他手术疗法。

