7 概述
髌骨软骨面与股骨髁部前方构成关节,有助于伸膝活动,如发生骨折,属关节内骨折。要求恢复关节面完整的正常解剖关系,并修复一同断裂的股四头肌腱膜,保全功能和防止骨性关节炎并发症。
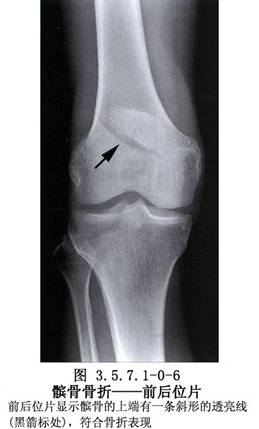
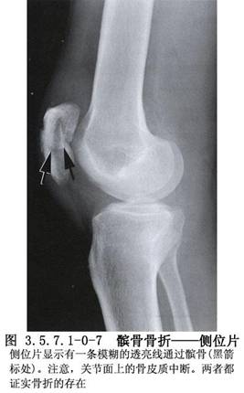
髌骨的解剖及髌骨骨折影像表现见下图(图3.5.7.1-0-1~3.5.7.1-0-10)。









髌骨骨折内固定术有多种手术方法,不同手术方法又各有其不同的适应情况与选择。
1.丝线荷包缝合法 用于粉碎型骨折,骨折片不多,变位不大,且经复位后软骨面平齐者。新鲜横或斜折也可用。但现多采用钢丝内固定,而放弃丝线法。
2.钢丝内固定法 有钢丝纵穿及横环固定两种方法,适应于横或斜骨折,骨片不多、变位小的粉碎骨折,陈旧性移位不大者也可用。
3.张力带固定法 单一钢丝张力带适应于横及斜骨折。加用克氏针的钢丝张力带固定则适应于粉碎型骨折和部分髌骨切除的修复固定。
5.部分髌骨切除术 适用于下或上极小片骨折,可将小骨片摘除,同时修复股四头肌腱膜。
12 手术步骤
12.1 1.丝线荷包缝合内固定术(Internal Fixation for Patellar Fracture by Purse-String Suture With Silk)
(1)切口:以髌骨下缘或髌骨下半为中心,做髌前横弧形切口,术后瘢痕在髌骨下方。或采用髌内侧弧形切口。
(2)显露:切开皮肤、皮下组织及筋膜,显露骨折及股四头肌断裂处。屈膝,清除关节内积血和碎骨片,并冲洗。
(3)对合骨折:适于粉碎性骨折,对合骨折片,缝合裂开的关节囊。用两根丝绒(7或10号)分别沿髌骨上下的周边缝合髌骨旁筋膜,抽紧缝线,在髌骨两侧打结。或用1根丝线做周边荷包缝合亦可(图3.5.7.1-1)。

12.2 2.钢丝内固定术(Internal Fixation for Patellar Fracture with Wire)
(1)纵穿钢丝内固定法(Internal Fixation for Patellar Fracture by Longituted Wire)
②清除积血和碎小骨片后,伸膝试行对合骨折,要求达到关节面完整。
③用巾钳或手钻在髌骨上断端中央水平线的两侧,向髌骨上缘前面各钻一骨孔并使互相平行。同样方式在下断端断面向髌骨下缘前面另钻二骨孔。上、下骨孔应分别保持在一直线上。用0.5mm钢丝做U形缝合,即经一侧上、下骨孔穿入,再由另侧上、下骨孔穿出。
④对合骨折,巾钳暂予固定,拧紧钢丝,将钢丝的襻结埋入股四头肌腱内(图3.5.7.1-2)。

(2)横环钢丝内固定法(Fixation for Patellar Fracture by Circular Wire)
②剥离髌骨两侧软组织,露出髌骨侧缘,在上、下骨折段侧面中央与骨折线呈平行方向各钻一骨孔,穿入钢丝。
③对合骨折,拧紧钢丝(图3.5.7.1-3)。

(3)张力带钢丝固定法(Fixation for Patellar Fracture by Tenslle Band Wire)
张力带钢丝成功地用于大块骨折、截骨术和假关节形成,特别适应于髌骨、尺骨鹰嘴、股骨大粗隆等处,可吸收张力,使骨骼承受压力。
以髌骨为例,若将张力带钢丝放在髌骨中段周围,当屈膝时,折块前部即分离。若钢丝置于髌前,穿过股四头肌腱和髌韧带,所有张力都被抵消,骨骼处于单纯压应力之下,可允许早期活动锻炼,且不需外固定(图3.5.7.1-4)。

①切口与显露同“丝线荷包缝合内固定术”。仰卧位,在止血带下进行。根据骨折类型,采用不同方式。
②单纯横骨折,先行复位,巾钳暂时维持对位。经髌骨与股四头肌在近骨骼处穿入第1条张力带钢丝(1~1.2mm)。第2条钢丝更靠前穿过髌前纤维。然后拧紧钢丝(图3.5.7.1-5)。

③张力带钢丝另加克氏针作为钢丝的固定点,固定更可靠。
显露骨折边缘后,距髌骨前5~6mm处在近侧骨块上用2mm钻头钻二平行骨孔,二孔距离20~25mm。钻第1孔后,换克氏针插入,作为第2钻孔的导针,保证二骨孔平行。
整复对位后以巾钳维持,钻头由骨孔穿入,继续在下骨折块上钻孔。再取出钻头,换上1.6mm克氏针,将近端弯成钩状,并剪除多余部分。用1~1.2mm钢线绕过克氏针,使接近在外侧克氏针近端,便于以后取出。拧紧环绕(或“8”字交叉)的钢丝,弯曲尾端以防滑脱,并剪除多余部分,游离头埋在软组织内。调整克氏针使上端针尾向后弯转,并将弯的部分锤入骨内,下端外露留10mm左右,弯曲使贴骨面,多余部分剪去(图3.5.7.1-6)。

④髌骨粉碎骨折,若近及远侧骨块锯平能使互相适应,可用2枚拉力螺钉固定,再加用张力带纲丝穿过肌腱附着处,可以保护螺钉(图3.5.7.1-7)。

⑤髌骨下极撕脱骨折,单独的张力带钢丝固定可能会把髌骨下极带入关节内。故先用一枚拉力螺钉固定,然后加用张力带钢丝完成固定(图3.5.7.1-8)。

如下极骨片小,可予切除,将关节囊缝合于髌骨关节面,再修复腱膜,术后石膏固定。
若采用张力带纲丝,则与髌下韧带断裂的方法相同,钢丝经股四头肌附着点与胫骨结节做“8”字缝合。此法使骨折愈合转为韧带愈合。
⑥髌下韧带断裂:可用丝线缝合。为使固定结实,早期活动,可用张力带钢丝经股四头肌附着点与胫骨结节做“8”字缝合,保护缝合线。
若胫骨结节骨质疏松,钢丝可能拉开骨质而脱落,则用螺钉横穿骨质,张力带钢丝绕过螺钉,予以固定(图3.5.7.1-9)。

12.3 3.螺钉内固定术(Internal Fixation for Patellar Fracture with Screw)
①髌前U形或髌内侧弧形切口。
②清洗关节腔积血和小碎骨片。对合骨折,以巾钳暂予固定。用手钻与骨折线呈垂直方向贯穿两骨折段钻二骨孔,拧入长短合适的螺钉固定。钉的尖端以能穿出髌骨下极为度。
③拉力螺钉与一般螺钉均可应用,前者较好。