酒精性肝病
A+医学百科 >> 酒精性肝病 |
酒精性肝病(alcoholic liver disease, ALD)是由于长期大量饮酒所致的慢性肝病。初期通常表现为脂肪肝,进而可发展成酒精性肝炎、酒精性肝纤维化和酒精性肝硬化。本病在欧美国家多见,近年中国的发病率也有上升。据一些地区流行病学调查发现,中国成人的酒精性肝病患病率为4%-6%。
目录 |
病因

酗酒者中约10%~20%有不同程度的酒精性肝病。90%以上乙醇在肝内进行氧化代谢生成乙醛和乙酸。乙醇在乙醇脱氢酶和微粒体酶氧化过程中,以及乙醛氧化为乙酸盐或乙酰辅酶A时,均可致NAD+还原为NADH,致使细胞内环境处于还原状态,从而干扰了糖、脂类和一些中间代谢环节。糖原异生减少、脂肪酸及甘油三酯合成增加、草酰乙酸还原生成苹果酸使羧循环活性减弱等可出现低血糖、高甘油三酯血症、肝内脂肪堆积并干扰能量代谢。丙酮酸还原为乳酸,可促进高尿酸血症和酸中毒的发生。乙醇和乙醛对肝脏有直接毒害作用。长期酗酒可增加常用药物、某些维生素、环境中肝毒性物质及致癌物的肝毒性作用。
增加酒精性肝病发生的危险因素有:①饮酒量及时间:一般而言,短期反复大量饮酒可发生酒精性肝炎,平均每日饮含乙醇80g的酒达10年以上可发展为酒精性肝硬化。②遗传易感因素:被认为与酒精性肝病的发生密切相关,但具体的遗传标记尚未确定。③性别:同样的酒摄入量女性比男性易患酒精性肝病,与女性体内乙醇脱氢酶(ADH)含量较低有关。④其他肝病:如HBV或HCV感染可增加酒精性肝病发生的危险性,并可使酒精性肝损害加重。⑤继发性营养不良。
发病机制
肝是酒精代谢、降解的主要场所。酒精是以乙醇对肝直接毒性作用为基础。
1.NADH/NAD+比值增高 乙醇氧化脱氢过程留下过多的还原型辅酶Ⅰ(NADH),使得NADH/NAD+比值增高,进而引起脂肪酸的氧化能力降低和甘油三脂合成上升。
2.乙醛和自由基的损害作用 乙醛是乙醇的中间代谢产物,具有强烈的脂质过氧化反应和毒性作用。自由基是酒精在肝细胞微粒体氧化系统的作用下产生的。二者均可损伤肝细胞的膜系统,影响肝细胞的功能。
4.乙醇的肝损害作用 乙醇可直接损害肝细胞内微管、线粒体的功能和膜的流动性,影响蛋白质输出和脂肪代谢等,为肝细胞脂肪变性和坏死的重要基础。
病理改变
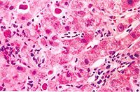
酒精性肝病在病理上表现为三部曲:脂肪肝→酒精性肝炎→肝硬化,且三者常有重叠存在。酒精性肝炎的组织学特点为急性或慢性肝脏炎性病变,有肝细胞空泡样变性、坏死、乙醇性透明小体(Mallory小体)、小叶内中性粒细胞和淋巴细胞浸润、纤维组织增生和胆汁淤积。终末肝微静脉周围纤维化或硬化性玻璃样坏死可发生在肝硬化之前导致门脉高压。Mallory小全是酒精性胆炎的特异性病变,但也见于某些原发性胆汁性肝硬化、肝豆状核变性、印度儿童性肝硬化、小肠旁路术后的肝硬化和肝细胞癌等。小体是由于胞浆内纤维蛋白沉积所致,表现为肝细胞附近出现形状、大小不一的高密度嗜酸性物质,可含有少量的脂肪。Mallory小体直径为2~3mμ,呈丝状、不规则状环绕或马蹄形分布于肝细胞核周围。电镜下小体由无数不规则中间纤维组成。
临床表现
由于酒精性肝炎是组织病理学诊断,因此临床表现轻重不一,可无症状、或黄疸,也可死于并发症。常由脂肪肝发展而来,也可与肝硬化重叠。
患者常于近期内有大量饮酒史,可有食欲减退、恶心、呕吐、腹痛和体重减轻,并可有发热。症状的轻重常与肝脏组织学改变的程度一致,但有些患者可无任何症有关方面。有文献报道89例经肝组织活检证实为酒精性肝炎的患者,血清总胆红素≤85.5μmol/L者,51%的患者无与肝脏相关的症状。
本病以黄疸、肝脏肿大和压痛力为其特点。80%~100%的患者有肝肿大。10%~70%表现为腹水、发热、脾脏肿大、蜘蛛痣和神经精神症状。部分患者双侧腮腺呈中等度肿大。
并发症
1、肝功能衰竭 发病后病情急剧恶化,临床表现与重症肝炎相似,常并发肝昏迷、上消化道出血、肾功能衰竭和继发感染而死亡。
2、肝内胆汁瘀积 黄疸颜色较深,肝明显肿大,腹痛发热,胆红素和血清磷酸酶明显增高,谷草转氨酶轻或中度增高。
3、酒精中毒高脂血症溶血综合征 即黄疸、高血脂和溶血性贫血。为酒精性肝炎的一种亚型,停止饮酒后,症状可消失。
4、酒精性低血糖 大量酗酒后出现血糖过低,病人表现为心悸、出汗、神志丧失等,注射葡萄糖后可缓解。
辅助检查
AST/ALT>1,多在2-5之间AKP、GGT增高,血清血蛋白降低,球蛋白升高,凝血酶原时间延长且维生素K不能纠正。脂肪肝阶段血内甘油三脂,前β脂蛋白、胆固醇轻至中度增高,酒精性肝硬变期胆固醇正常,但胆固醇酯和总胆固醇比值下降。
诊断

酒精性肝病缺乏特异性临床表现,因此诊断的目的:1.确定是否酒精性肝病;2.酒精性肝病在临床病理处于哪个阶段;3.与其他肝病的鉴别。诊断过程中应详细讯问病史,特别是饮酒史。包括饮酒的种类、量、时间、方式和进食的情况、注意了解有否贫血,周围神经炎等症状。
体验发现程度不同的贫血貌,偶有黄疸,肝肿大,酒精性肝硬变失代偿期有脾大,蜘蛛痣,腹水等同其他肝硬变。
治疗措施
戒酒、补充多种维生素如维生B、C、K等。供给足够的热量、蛋白质。肾上腺皮质激素对重症酒精性肝炎有改善急性期及脑症状作用,但应注意并发感染,常用强的松龙30-40μg/d,口服,4-8周,丙基硫氧嘧啶,对轻、中度酒精性可能增加临床康复,300mg/d,口服4周,秋水仙碱1mg/d,每周口服5日,连续服药30d以上,能减轻纤维化及改善症状。
酒精性肝硬化有并发症者收入院。
营养疗法
本病患者应摄取高维生素、高蛋白和富含热量及镁和锌的营养膳食。由于酒精性肝病患者肝糖原贮备降低,进食减少可导致蛋白质分解代谢增强。但病情严重者、食欲减退、甚至恶心呕吐限制了热量的摄入,因此,可通过肠道外途径静脉滴注含有支链氨基酸的复方氨基酸、糖和少量脂类的溶液。可以改善营养状况、减轻负氮平衡。有报道可提升血浆白蛋白、降低血清胆红素,降低病死率。
皮质类固醇
近年来根据免疫机制研究认为,皮质类固醇可通过调节细胞因子,特别是白细胞介素Ⅱ和肿瘤坏死因子的生成和释放,改善酒精性肝炎的炎症反应。对重症患者有肯定疗效,对并发有肝性脑病患者可显著降低病死率,但对轻症患者效果不明显。以胆汁淤积为主的酒精性肝炎的女性患者,每日mg强的松应用一个月后则有益处。但由于皮质类固醇可诱发上消化道出血和感染,因此,有败血症、糖尿病和活动性上消化道出血者应慎用。
丙基硫氧嘧啶
有研究报道乙醇代谢期间肝脏氧耗量增加。甲状腺切除和丙基硫氧嘧啶可以减轻缺氧对中央静脉周围的损伤。酒精性肝炎应用PTU可提高近期及远期生存率,但也有研究表明PTU并不能降低病死率,并且可致甲状腺机能减退症。因此,此疗法在广泛应用前尚需进一步研究加以证实。
预后
通常认为酒精性脂肪肝为良性病变,尽管急性脂肪肝可导致门脉高压,但戒酒后其病变可逆转。如果酒精性脂肪肝患者继续饮酒,连续肝活检证实可发生更严重的肝损伤。目前认为,酒精性肝炎具有较高的独立死亡危险因素,较非活动性肝硬化更易导致死亡。根据肝活检组织学,一组调查研究了酒精性肝病的自然史,发现脂肪肝患者的预后最好,4~5年的生存率是70%~80%;酒精性肝硬化伴有酒精性肝炎患者的预后最差,4~5年的生存率是30%~50%;而酒精性肝炎或肝硬化患者的预后介于两者之间,4~5年的生存率是50%~75%。将所有酒精性肝病患者合并统计,其1年和5年的平均生存率分别是80%和50%。
除饮酒是影响酒精性肝病预后的重要因素外,性别对酒精性肝病的预后也有影响,女性较男性对酒精敏感,即使初期肝损害轻微且戒酒,但发生肝硬化总难免除。在预后判断中,还必须考虑到合并乙型和丙型肝炎病毒或其他病毒感染的问题。酒精中毒者免疫功能减低,对感染的抵抗力可能降低。在苏格兰的一组报道中,25%的酒精性肝病患者抗HBs阳性;在伴有门脉高压的酒精性肝病患者中, 抗HBs阳性率更高达52%。在中国乙型肝炎病毒感染率甚高,因此对酒精性肝病的影响可能更为显著。
应用特殊的营养或药物治疗能否改变酒精性肝病的自然史,尚不清楚。这些药物看来可改善短期生存率和实验室参数,而对远期预后,包括生存率﹑肝硬化发生率的影响,尚待进一步研究。
预防
1、戒酒
饮酒可导致多种疾病的发生,而尤其以伤害肝脏为甚,是酒精性肝病的根本原因,故而在疾病的治疗过程中及疾病康复后,必须绝对禁止饮酒。在临床上,因不能戒酒使疾病复发以及病情恶化的情况,也不少见,应引以为戒。若能彻底戒酒,消除病因,则可提高治疗效果,促进疾病康复,防止疾病的复发、恶化或它变。
2、饮食
肝病患者的饮食,应多食素食、宜清淡,忌油腻,富营养,易消化为原则,少食多餐,禁忌生冷、甜腻、辛热及生痰助湿之品。食盐有凝滞助水之弊,因而对酒膨者,应给与低盐、少盐饮食。有出血倾向者,更应忌酒、烟及辛热炙搏之品;湿浊之征明显者,肥甘油腻尤当所忌;若出现精神障碍,神识不清者,应严格控制肉食,供应新鲜流质食物。
3、情志
肝胆之病,易于郁滞,应以疏泄条畅为佳。若情恋不畅,精神抑郁,则使气机逆乱,阴阳失调.诱发或加重疾病症状。应帮助病人克服和消除恼怒,忧郁、疑虑、悲伤、恐惧等不良情绪,树立与疾病治疗的信心,促进疾病的康复。
4、休息
酒精性肝病的患者要注意休息,做到起居有节,劳逸适量。根据病情的不同阶段掌握动静结合的关系,急性期应采取“以静为主,静中有动”的原则,以休息为主,限制过多的活动。稳定期应采取“动静结合,动静适度”的原则,做到生活自理,适当休息。恢复期应采用“以动为主,动中有静”的原则,活动量循序渐进,以无疲乏感为度,避免劳累过度,耗伤气血。
5、锻炼
平时锻炼身体,能够增强体质,减少或防止疾病的发生。在疾病过程中,应根据病情的缓急轻重以及体质强弱不同,选择适当的锻炼方法。
参考
参考文献
- 第8版内科学.人民卫生出版社
|
关于“酒精性肝病”的留言: | ![]() |
目前暂无留言 | |
添加留言 |