肠梗阻
| A+医学百科 >> 肠梗阻 | 
肠梗阻(intestinal obstruction,ileus)指肠内容物在肠道中通过受阻。为常见急腹症,可因多种因素引起。起病初,梗阻肠段先有解剖和功能性改变,继则发生体液和电解质的丢失、肠壁循环障碍、坏死和继发感染,最后可致毒血症、休克、死亡。当然,如能及时诊断、积极治疗大多能逆转病情的发展,以致治愈。肠梗阻的分类较多,比如分为单纯性肠梗阻、绞窄性肠梗阻、机械性肠梗阻、麻痹性肠梗阻等,每种类型临床特点不尽相同,请参阅相关词条。
| 目录 | 
病因
机械性肠梗阻
常见的病因有:
- 粘连与粘连带压迫 粘连可引起肠折叠扭转而造成梗阻。先天性粘连带较多见于小儿;腹部手术或腹内炎症产生的粘连是成人肠梗阻最常见的原因,但少数病例可无腹部手术及炎症史
- 嵌顿性外疝或内疝
- 肠扭转常由于粘连所致
- 肠外肿瘤或腹块压迫
- 先天性狭窄和闭孔畸形
- 炎症肿瘤吻合手术及其他因素所致的狭窄。例如炎症性肠病肠结核放射性损伤肠肿瘤(尤其是结肠瘤)肠吻合等
- 肠套叠在成人较少见,多因息肉或其他肠管病变引起
- 肠腔内原因:由于成团蛔虫异物或粪块等引起肠梗阻已不常见。巨大胆石通过胆囊或胆总管-指肠瘘管进入肠腔,产生胆石性肠梗阻的病例时有报道
动力性肠梗阻
- 麻痹性肠梗阻:腹部大手术后腹膜炎、腹部外伤、腹膜后出血、某些药物肺炎、脓胸脓毒血症、低钾血症、或其他全身性代谢紊乱均可并发麻痹性肠梗阻
- 痉挛性肠梗阻: 肠道炎症及神经系统功能紊乱均可引起肠管暂时性痉挛
血管性肠梗阻
肠系膜动脉栓塞或血栓形成和肠系膜静脉血栓形成为主要病因。 各种病因引起肠梗阻的频率随年代地区、民族医疗卫生条件等不同而有所不同。例如:年前嵌顿疝所致的机械性肠梗阻的发生率最高,随着医疗水平的提高、预防性疝修补术得到普及,现已明显减少。而粘连所致的肠梗阻的发生率明显上升。
病理生理
肠梗阻的主要病理生理改变为膨胀体液和电解质的丢失,以及感染和毒血症。这些改变的严重程度视梗阻部位的高低、梗阻时间的长短、以及肠壁有无血液供应障碍而不同
(1)肠膨胀 机械性肠梗阻时,梗阻以上的肠腔因积液积气而膨胀,肠段对梗阻的最先反应是增强蠕动,而强烈的蠕动引起肠绞痛。此时食管上端括约肌发生反射性松弛,患者在吸气时不自觉地将大量空气吞入胃肠,因此肠腔积气的70%是咽下的空气,其中大部分是氮气,不易被胃肠吸收,其余30%的积气是肠内酸碱中和与细菌发酵作用产生的,或自备注弥散至肠腔的CO2、H2、CH4等气体。正常成人每日消化道分泌的唾液、胃液、胆液、胰液和肠液的总量约8L,绝大部分被小肠粘膜吸收,以保持体液平衡。肠梗阻时大量液体和气体聚积在梗阻近端引起肠膨胀,而膨胀能抑制肠壁粘膜吸收水分,以后又刺激其增加分泌,如此肠腔内液体越积越多,使肠膨胀进行性加重。在单纯性肠梗阻,肠管内压力一般较低,初是常低于8cm H2O。
但随着梗阻时间的延长,肠管内压力甚至可达到18cmH2O。结肠梗阻止肠腔内压力平均多在25cmH2O。结肠梗阻时肠腔内压力平均多在25cmH2O以上,甚至有高到52cmH2O水柱的。肠管内压力的增高可使肠壁静脉回流障碍,引起肠壁充血水肿。通透性增加。肠管内压力继续增高可使肠壁血流阻断使单纯性肠梗阻变为绞窄性肠梗阻。严重的肠膨胀甚至可使横膈抬高,影响病人的呼吸和循环功能。
(2)体液和电解质的丢失 肠梗阻时肠膨胀可引起反射性呕吐。高位小肠梗阻时呕吐频繁,大量水分和电解质被排出体外。如梗阻位于幽门或十二指肠上段,呕出过多胃酸,则易产生脱水和低氯低钾性碱中毒。如梗阻位于十二指肠下段或空肠上段,则重碳酸盐的丢失严重。低位肠梗阻,呕吐虽远不如高位者少见,但因肠粘膜吸收功能降低而分泌液量增多,梗阻以上肠腔中积留大量液体,有时多达5~10L,内含大量碳酸氢钠。这些液体虽未被排出体外,但封闭在肠腔内不能进入血液,等于体液的丢失。此外,过度的肠膨胀影响静脉回流,导致肠壁水肿和血浆外渗,在绞窄性肠梗阻时,血和血浆的丢失尤其严重。因此,患者多发生脱水伴少尿、氮质血症和酸中毒。如脱水持续,血液进一步浓缩,则导致低血压和低血容量休克。失钾和不进饮食所致的血钾过低可引起肠麻痹,进而加重肠梗阻的发展。
(3)感染和毒血症 正常人的肠蠕动使肠内容物经常向前流动和更新,因此小肠内是无菌的,或只有极少数细菌。单纯性机械性小肠梗阻时,肠内纵有细菌和毒素也不能通过正常的肠粘膜屏障,因而危害不大。若梗阻转变为绞窄性,开始时,静脉血流被阻断,受累的肠壁渗出大量血液和血浆,使血容量进一步减少,继而动脉血流被阻断而加速肠壁的缺血性坏死。绞窄段肠腔中的液体含大量细菌(如梭状芽孢杆菌、链球菌、大肠杆菌等)、血液和坏死组织,细菌的毒素以及血液和坏死组织的分解产物均具有极强的毒性。这种液体通过破损或穿孔的肠壁进入腹腔后,可引起强烈的腹膜刺激和感染,被腹膜吸收后,则引起脓毒血症。严重的腹膜炎和毒血症是导致肠梗阻病人死亡的主要原因。
除上述三项主要的病理生理改变之外,如发生绞窄性肠梗阻往往还伴有肠壁、腹腔和肠腔内的渗血,绞窄的肠袢越长,失血量越大,亦是导致肠梗阻病人死亡的原因之一。
临床表现
- 腹痛:单纯性机械性肠梗阻一般为阵发性剧烈绞痛。
- 呕吐:呕吐在梗阻后很快即可发生,然后即进入一段静止期,再发呕吐时间视梗阻部位而定。
- 腹胀:腹胀一般在梗阻发生一段时间以后开始出现。
- 排便排气停止:在完全性梗阻发生后排便排气即停止。
- 休克:早期单纯性肠梗阻病员,全身情况无明显变化,后可出现脉搏细速、血压下降、面色苍白、眼球凹陷、皮肤弹性减退,四肢发凉等征象。
单纯性肠梗阻,失水不重时,心率正常。心率加快是低血容量与严重失水的表现。绞窄性肠梗阻,由于毒素的吸收,心率加快更为明显。 体温正常或略有升高。体温升高是肠管绞窄或肠管坏死的征象。应注意是否有手术瘢痕,肥胖病人尤其应注意腹股沟疝及股疝,因为皮下脂肪过多容易忽略。膨胀的肠管有压痛、绞痛时伴有肠型或蠕动波。若局部压痛伴腹肌紧张及反跳痛,为绞窄性肠梗阻的体征。听诊时应注意肠鸣音音调的变化,绞痛时伴有气过水声,肠管高度扩张,可闻及“丁丁”(tinkling)的金属音(高调)。直肠指诊注意是否有肿瘤,指套是否有鲜血。有鲜血应考虑到肠黏膜病变、肠套叠、血栓等病变。
辅助检查
单纯性肠梗阻早期,病人全身情况多无明显改变。梗阻晚期或绞窄性肠梗阻病人,可表现为唇干舌燥、眼窝内陷、皮肤弹性消失,尿少或无尿等明显缺水征。或脉搏细速、血压下降、面色苍白、四肢发凉等中毒和休克征象。
- 腹部视诊:机械性肠梗阻常可见肠型和蠕动波。肠扭转时腹胀多不对称。麻痹性肠梗阻则腹胀均匀。
- 腹部触诊:单纯性肠梗阻因为肠管膨胀,可有轻度压痛,但无腹膜刺激征。绞窄性肠梗阻时,可有固定压痛和腹膜刺激征。压痛的包块,常为受绞窄的肠袢。肿瘤或蛔虫性肠梗阻时,有时可在腹部触及包块或条索状团块。
- 腹部叩诊:绞窄性肠梗阻时,腹腔有渗液,移动性浊音可呈阳性。
- 腹部听诊:肠鸣音亢进,有气过水声或金属音,为机械性肠梗阻表现。麻痹性肠梗阻时,则肠鸣音减弱或消失。
- 直肠指检:如触及肿块,可能为直肠肿瘤;极度发展的肠套叠的套头;或低位肠腔外肿瘤。
- 化验检查:单纯性肠梗阻的早期,变化不明显。随着病情发展,血红蛋白及血细胞比容可因为缺水、血液浓缩而升高。尿比重也增高。白细胞计数和中性粒细胞明显增加,多见于绞窄性肠梗阻。查血气分析和血清钠、钾、氯、尿素氮、肌酐的变化,可了解酸碱失衡、电解质紊乱和肾功能的状况。呕吐物和粪便检查,有大量的红细胞或隐血阳性,应考虑肠管有血运障碍。
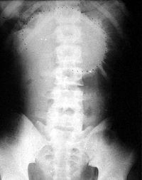
X线检查:一般在肠梗阻发生4-6小时,X线检查及显示出肠腔内气体;立位片或侧位透视或拍片,可见多数液平面及气胀肠袢。但如果没有这些表现,也不能就此排除肠梗阻的可能。
诊断
肠梗阻的诊断非常讲究。必须明白很多问题:比如是否肠梗阻、是机械性肠梗阻还是动力学肠梗阻、单纯性肠梗阻还是绞窄性肠梗阻、是完全性肠梗阻还是不完全性肠梗阻、是什么原因引起的肠梗阻等。
一般结合临床表现及相关检查,多可明确诊断。由于每种类型的肠梗阻治疗手段及预后均不尽相同,故严格诊断非常重要。
鉴别诊断
慢性肠假性梗阻:肠假性梗阻(chronic intestinal pseudo-obstruction)是一种有肠梗阻的症状和体征但无机械性梗阻证据的综合征。麻痹性肠梗阻即为急性肠假性梗阻,已如前述。此处介绍慢性肠假性梗阻。
一般认为本征是肠壁神经变性的结果,因在病理检查中有些病例表现为肠神经丛的节细胞病变。但亦有认为是肠平滑肌病变。因有的病例有家族性内脏肌病的表现,如小肠和膀胱平滑肌变性和纤维化。由于30%的患者有家族史,提示本征与遗传有关。
患者的症状多始儿童或青春期,少数在30~40岁时才出现。病程通常是急性发作与缓解反复交替。发作时的症状和机械性梗阻相似,为程度不等的恶心、呕吐、肠绞痛、腹痛、腹泻或脂肪泻,以及腹部压痛;缓解期可无或只有较轻的症状,如腹胀等。
肠假性梗阻可影响到全消化道,或某一孤立的器官,如食管、胃、小肠或结肠等。其中以小肠梗阻的症状表现最为明显。如单纯累及十二指肠,可表现为巨十二指肠,常有大量呕吐和体重减轻,易被误诊为肠系膜上动脉综合征。如只累及结肠则主要表现为慢性便秘和反覆粪块塞。有的病例有膀胱空障碍。
X线检查可见受累的食管、胃、小肠和结肠显著扩张、运行迟缓。
肠假性梗阻可继发于结缔组织病(如硬皮病、皮肌炎、系统性红斑狼疮)、淀粉样变性、原发性肌病(肌强直性营养不良、进行性肌营养不良)、内分泌病(粘液性水肿、糖尿病、嗜铬细胞瘤)、神经系统疾病(帕金森病、家族性自主神经功能障碍)以及药物因素(如酚噻嗪类、三环类抗忧郁药、抗帕金森病药等)手术因素(如空回肠旁路术等)等。原发性肠假性梗阻只有在排除了上述可能引起继发性肠假性梗阻的病因后才能考虑。
治疗多采用对症支持疗法,除非对仅累及一小段消化道的病例外,应尽量避免外科手术。
治疗
纠正脱水
脱水与电解质的丢失与病情与病类有关。应根据临床经验与血化验结果予以估计。一般成人症状较轻的约需补液1500ml,有明显呕吐的则需补3000ml,而伴周围循环虚脱和低血压时则需补液4000ml以上。若病情一时不能缓解则尚需补给从胃肠减压及尿中排泄的量以及正常的每日需要量。当尿量排泄正常时,尚需补给钾盐。低位肠梗阻多因碱性肠液丢失易有酸中毒,而高位肠梗阻则因胃液和钾的丢失易发生碱中毒,皆应予相应的纠正。在绞窄性肠梗阻和机械性肠梗阻的晚期,可有血浆和全血的丢失,产生血液浓缩或血容量的不足,故尚应补给全血或血浆、白蛋白等方能有效地纠正循环障碍。
在制定或修改此项计划时,必须根据患者的呕吐情况,脱水体征,每小时尿量和尿比重,血钠、钾、氯离子、二氧化碳结合力、血肌酐以及血细胞压积、中心静脉压的测定结果,加以调整。由于酸中毒、血浓缩、钾离子从细胞内逸出,血钾测定有时不能真实地反映细胞缺钾情况。而应进行心电图检查作为补充。补充体液和电解质、纠正酸碱平衡失调的目的在于维持机体内环境的相对稳定,保持机体的抗病能力,使患者在肠梗阻解除之前能度过难关,能在有利的条件下经受外科手术治疗。
胃所减压
通过胃肠插管减压可引出吞入的气体和滞留的液体,解除肠膨胀,避免吸入性肺炎,减轻呕吐,改善由于腹胀引起的循环和呼吸窘迫症状,在一定程度上能改善梗阻以上肠管的瘀血、水肿和血液循环。少数轻型单纯性肠梗阻经有效的减压后肠腔可恢复通畅。胃肠减压可减少手术操作困难,增加手术的安全性。减压管一般有两种:较短的一种(Levin管)可放置在胃或十二指肠内,操作方便,对高位小肠梗阻减压有效;另一种减压管长数来(Miller-Abbott管),适用于较低位小肠梗阻和麻痹性肠梗阻的减压,但操作费时,放置时需要X线透视以确定管端的位置。结肠梗阻发生肠膨胀时,插管减压无效,常需手术减压。
感染和毒血症
肠梗阻时间过长或发生绞窄时,肠壁和腹膜常有多种细菌感染(如大肠杆菌、梭形芽胞杆菌、链球菌等),积极地采用以抗革兰氏阴性杆菌为重点的广谱抗生素静脉滴注治疗十分重要,动物实验和临床实践都证实应用抗生素可以显著降低肠梗阻的死亡率。
解除梗阻、恢复肠道功能
对一般单纯性机械性肠梗阻,尤其是早期不完全性肠梗阻,如由蛔虫、粪块堵塞或炎症粘连所致的肠梗阻等可作非手术治疗。早期肠套叠、肠扭转引起的肠梗阻亦可在严密的观察下先行非手术治疗。动力性肠梗阻除非伴有外科情况,不需手术治疗。
其他非手术治疗
- 中药:见中医辨证治疗
- 油类 可用石蜡油生豆油或菜油~ml分次口服或由胃肠减压管注入适用于病情较重体质较弱者
- 麻痹性肠梗阻如无外科情况可用新斯的明注射腹部芒硝热敷等治疗
- 针刺足里中脘天枢内关合谷内庭等穴位可作为辅助治疗
手术处理
绝大多数机械性肠梗阻需作外科手术治疗缺血性肠梗阻和绞窄性肠梗阻更宜及时手术处理
外科手术的主要内容为:①松解粘连或嵌顿性疝整复扭转或套叠的肠管等以消除梗阻的局部原因;②切除坏死的或有肿瘤的肠段引流脓肿等以清除局部病变;③肠造瘘术可解除肠膨胀便利肠段切除肠吻合术可绕过病变肠段恢复肠道的通畅
中医辨证治疗
肠梗阻的中医治疗措施通常有中药(通里攻下为主,辅以理气开郁和活血化瘀)、有针刺等。
(一)中药(1)热结腑实:腹痛突发,疼痛剧烈而拒按,肠鸣有声,呕吐食物,口干口苦,大便闭结,苔黄腻,脉洪大或滑数。
治法:泻热通腑,荡涤积滞。
(2)寒邪直中:突然腹中绞痛,可触及包块,疼痛拒按,恶寒,面色青冷,舌质淡而暗、苔白润,脉沉紧。
治法:温中散寒,缓急止痛。
方剂;生大黄10克、熟附于10克、细辛3克、枳实1.0克、厚朴10克、芒硝20克。
(3)虫积阻结:腹痛时作时止,面黄肌瘦,或颜面有白色虫斑,突发腹中剧痛,痛在脐周,按之有块,呕吐食物或清水,苔白,脉弦。
治法:驱虫消积。
方剂:雷丸6克、苦楝皮10克、黑丑10克、槟榔10克、皂角10克、木香12克、大腹皮10克、川椒5克、黄连10克。
(4)血淤气滞:腹部持续疼痛,胀气较甚,或痛处固定不移,痛而拒按,呕吐,大便闭,舌质紫暗、苔白或黄,脉弦细。
方剂:小茴香10克、血竭5克、延胡索10克、没药6克、当归10克、川芎10克、官桂6克、赤芍10克、生蒲黄10克、五灵脂6克、木香10克、香附10克。
治法② 行气活血,通里攻下。
方剂:复方大承气汤:厚朴(15-20克) 炒莱菔子(15-30克) 枳壳(15克) 桃仁(9克) 赤芍(15克) 大黄(9-15克) 芒硝(9-15克)。
治法③行气活血,逐水通下(适用于肠梗阻较重,腹胀疼痛,恶心呕吐,大便秘结,肠腔积液较多者。)
方剂:甘遂通结汤:甘遂末0.6-1g(冲服),桃仁9g,木香9g,生牛膝9g,川朴15g,赤芍15g,大黄10-24g。
[禁忌]本方药性峻烈,非体壮邪实者禁用。
预防
依据肠梗阻发生的原因,有针对性采取某些预防措施,可有效地防止、减少肠梗阻的发生。
1、对患有腹壁疝的病人,应予以及时治疗,避免因嵌顿、绞窄造成肠梗阻。
2、加强卫生宣传、教育,养成良好的卫生习惯。预防和治疗肠蛔虫病。
3、腹部大手术后及腹膜炎病员应很好地胃肠减压,手术操作要以柔,尽力减轻或避免腹腔感染。
4、早期发现和治疗肠道肿瘤。
5、腹部手术后早期活动。
预后
单纯性肠梗的死亡率约在3%左右而绞窄性肠梗阻则可达10%~20%改善预后的关键在于早期诊断及时处理
其他关联疾病
蛔虫性肠梗阻
蛔虫性肠梗阻是小儿时期常见的急腹症之一,可由于发热等各种刺激使肠腔内环境及肠蠕动发生变化,造成肠腔内蛔虫聚集成团,阻塞肠腔而造成梗阻。
粘连性肠梗阻
粘连性肠梗阻是腹部手术、炎症、创伤后所形成的广泛性肠粘连,粘连带引起的肠管急性梗阻,是肠梗阻中最常见的一种类型。大多数患者有腹部手术、炎症,创伤或结核病史,发作前有暴饮暴食或剧烈运动诱因;以往常有腹痛或曾有因肠粘连就诊病史。少数为腹内先天性索带者多见于儿童。症状主要有阵发性腹绞痛与反复呕吐、吐物为黄绿色液体,甚至为粪汁样,摸到肠型及听到高亢肠鸣音。
治疗粘连性肠梗阻重要的是要区别是单纯性还是绞窄性,是完全性还是不完全性。粘连性肠梗阻如经非手术治疗不见好转甚至病情加重,或怀疑为较窄性肠梗阻,特别是闭袢性梗阻,手术须及早进行,以免发生肠坏死。对反复频繁发作的粘连性肠梗阻也应考虑手术治疗。粘连性肠梗阻是肠粘连或腹腔内粘连带压迫所致的肠梗阻,较常见。占各类梗阻的19~20%。下面了解一下粘连性肠梗阻的临床症状都有哪些:
1、腹痛:一般为阵发性剧烈绞痛。开始疼痛较轻,随后病情加重,绞痛达到高峰后,疼痛又逐渐减轻,直至消失。过片刻后上述症候又再次发作。绞窄性肠梗阻,腹痛往往为持续性疼痛伴阵发性加剧。
2、呕吐:梗阻早期为反射性呕吐,呕吐物为食物或胃液。高位小肠梗阻,呕吐较频繁,呕吐大量胃液、十二指肠液和胆汁。低位小肠梗阻,可出现1-2天呕吐静止期,之后再发呕吐,呕吐物为带粪臭的粪样物。如为绞窄性梗阻,呕吐物可呈血性或咖啡色。
3、腹胀:一般在肠梗阻发生后的一段时间出现。腹胀程度与梗阻部位有关。高位肠梗阻时腹胀较轻,但有时可见胃型。低位梗阻则表现为全腹膨胀,常伴有肠型。
4、肛门停止排气排便:发生急性完全性肠梗阻,肛门则无排便排气。在早期由于肠蠕动增加,梗阻以下部位残留的气体和粪便仍可排出。所以早期少量的排气排便不能排除肠梗阻的诊断。绞窄性肠梗阻则可能排出血性液体或果酱样便。
肠梗阻术后饮食禁忌
术后2-3天内禁食。
(1)忌粗糙食物:手术后3~4天,肛门排气后,提示肠道功能开始恢复,此时可给以少量流质,5~6天后可改为少渣半流质饮食。忌食鸡肉、火腿、鸽肉以及各种蔬菜的汤类。此物即使煮的很烂,也不能操之过急。
(2)禁油腻食品:即使到了第10天,机体能承受软饭时,油腻食品也不能早食,如母鸡汤、肉汤、羊肉、肥肉、排骨汤、甲鱼等。
(3)忌食发物:即使术后拆线,也应禁食狗肉、羊肉、雀肉、雀蛋,笋干、大葱、南瓜、牛肉、香菜、熏鱼、熏肉、辣椒、韭菜、蒜苗、淡菜等。
参看
- 《自我调养巧治病》- 肠梗阻
- 《家庭医学百科·医疗康复篇》- 肠梗阻
- 《放射诊断学》- 肠梗阻
- 《普通外科学》- 肠梗阻
- 《病理学》- 肠梗阻
- 机械性肠梗阻
- 麻痹性肠梗阻
- 单纯性肠梗阻
- 绞窄性肠梗阻
- 腹膜刺激征
- 腹痛
- 血便
- 腹胀
- 呕吐
- 休克
参考文献
- 第8版外科学.人民卫生出版社
健康问答网关于肠梗阻的相关提问
| 
 | |||||||||||||||||||||||||||||||||||||||||||||||||||||||
| 
 | ||||||||||||||||||||||||||||||||||||||||||||||||
| 关于“肠梗阻”的留言: |  订阅讨论RSS | 
| 目前暂无留言 | |
| 添加留言 | |



