皮质约占肾上腺体积的80%~90%,根据皮质细胞的形态结构和排列等特征,可将皮质分为三个带,即球状带、束状带和网状带(图11-5)。
1.球状带球状带(zone glomerulosa)位于被膜下方,较薄,占皮质总体积的15%。细胞呈球状分布,细胞较小,呈矮柱状或锥形,核小染色深,胞质较少,内含少量脂滴。细胞团之间为窦状毛细血管和少量结缔组织(图11-5)。球状带细胞分泌皮质激素(mineralocorticoid),如醛固酮(aldosterone),它能促进肾远曲小管和集合小管重吸收Na+及排出K+,同时刺激胃粘膜、唾液腺和汗腺吸收Na+,使血Na+浓度升高,K+浓度降低,维持血容量。盐皮质激素的产生受肾素-血管紧张素系统的影响,肾球旁细胞分泌的肾素(renin)可使血浆中的血管紧张素原(angiotensinogen),变成血管紧张素(angiotensin),后者可刺激球状带细胞分泌盐皮质激素。
2.束状带束状带(zona fasciculata)是皮质中最厚的部分,占皮质总体积的78%。在人和大多数动物,束状带细胞比皮质其它两带的细胞大,细胞呈多边形,排列成单行或双行细胞索,索间为窦状毛细血管和少量结缔组织。细胞的胞核圆形,较大,着色浅。胞质内含有大量的脂滴,在常规切片标本中,因脂滴被溶解,故染色浅而呈空泡状(图11-5)。束状带细胞分泌糖皮质激素(glucocorticoid),主要为皮质醇(cortisol)和皮质酮(corticosterone),可促使蛋白质及脂肪分解并转变成糖(糖异生),还有降低免疫应答及抗炎症等作用。束状带细胞受腺垂体细胞分泌的促肾上腺皮质激素(ACTH)的调控。
3.网状带网状带(zona reticularis)位于皮质的最内层,占皮质总体积的7%,细胞索相互吻合成网,网间为窦状毛细血管和少量结缔组织。网状带细胞较束状带细胞小,胞核也小,着色较深,胞质内含较多脂褐素和少量脂滴,因而染色较束状带深(图11-5)。网状带细胞主要分泌雄激素,也分泌少量糖皮质激素,故也受促肾上腺皮质激素的调节。另外,网状带和束状带可能还分泌少量雌激素。

图11-5 肾上腺
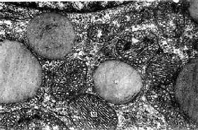
肾上腺皮质细胞分泌的激素均属类固醇,都具有分泌类固醇激素细胞的超微结构特点。如肾上腺皮质细胞。特别是束状带细胞胞质内含有丰富的滑面内质网和脂滴,线粒体嵴多呈小管状或小泡状(图11-6)。

图11-6 猴肾上腺皮质束状带细胞电镜像 ×14600
L脂滴,M线粒体
(白求恩医科大学尹昕、朱秀雄教授供图)