6 概述
双主动脉弓是最常见的血管环畸形,升主动脉分为左、右两个动脉弓,左前弓经气管前延伸至左侧,右后弓越过气管和食管后,两弓汇成降主动脉,亦可不相汇合分别沿脊柱左、右侧下降形成双降主动脉。动脉导管可在左侧或右侧,双侧者少见。每一弓常分别发出颈总动脉和锁骨下动脉,绝大多数两弓大小不同,大的右后弓及小的左前弓者占双弓畸形中的75%,而大的左前弓和小的右后弓者较少见,仅占15%,双弓口径相等者占105。双弓可以均通畅,亦可小弓部分通畅或闭锁(图6.11.1.2-0-1,6.11.1.2-0-2)。


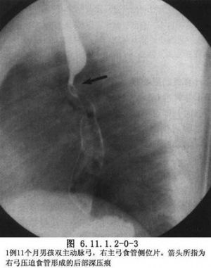
双主动脉弓影像表现见下图(图6.11.1.2-0-3,6.11.1.2-0-4)。


10 手术步骤
2.在迷走神经后方纵行切开纵隔胸膜,游离动脉导管或动脉韧带,缝扎后切断。
3.沿食管后壁游离右后弓、降主动脉上部及左前弓。在降主动脉上部及左前弓汇入降主动脉处各绕一纱带。将左前弓轻轻向前牵拉,将降主动脉向后牵拉,充分显露右后弓。在右后弓汇入降主动脉处安置两把无创血管钳,在两钳中间切断右后弓,分别缝合两端(图6.11.1.2-1)。

4.在处理右后弓时须特别小心,操作细致准确,以免血管钳滑脱,或缝线脱落或血管断端回缩,造成难以控制的大出血。
5.切断缝合后的右后弓近侧断端应固定在椎前筋膜上以增大食管后间隙,同时须充分分离气管和食管周围的纤维粘连,避免残存压迫。
11 术中注意要点
1.开胸后要辨认清解剖关系:如为双主动脉弓者应确定何者为大弓,何者为小弓,小弓有无部分闭锁。若双主动脉弓伴有在食管后行径的迷生左锁骨下动脉和左位动脉韧带应注意与双主动脉弓的左前弓在左颈总动脉与左锁骨下动脉之间存在闭锁段相鉴别。右位主动脉弓伴左位动脉导管未闭或左位动脉韧带者应注意有无合并迷生左锁骨下动脉。
2.在处理先天性血管环时应注意避免误伤喉返神经,因喉返神经位置常有变异,在双主动脉弓者喉返神经可直接绕过主动脉,并可绕过动脉导管或动脉韧带。在迷生锁骨下动脉喉返神经可绕过甲状腺下动脉或由迷走神经发出后直接进入喉部。