3 概述
高顱壓性腦積水實質上是由於腦脊液循環通路上的腦室系統和蛛網膜下腔阻塞,引起腦室內平均壓力或搏動壓力增高產生腦室擴大,以致不能代償,而出現相應的臨牀症狀。
高顱壓性腦積水多數爲繼發性,可有明確的病因如蛛網膜下腔出血或腦膜炎等。常發生在發病後2~3周,在原有病情好轉後又出現頭痛、嘔吐等症狀,或症狀進一步加重,多數病人原因不明或繼發於顱內腫瘤等疾病。高顱壓性腦積水的臨牀表現以頭痛,嘔吐爲主要臨牀症狀,此外可有共濟失調。病情嚴重者可出現視物不清、複視等症狀。病人的頭痛嘔吐等症狀多爲特異性,頭痛多以雙顳側爲最常見。
引起高顱壓性腦積水最常見的原因是腦脊液在其循環通路中各部位的阻塞,而腦脊液的產生過多或吸收障礙則少見。
高顱壓性腦積水有時可表現出原發病變的症狀。如四腦室囊腫或腫瘤可有強迫頭位或頭位改變後症狀好轉等,松果體瘤引起的腦積水病人可有眼球上視困難,瞳孔散大或不等大,可伴有性早熟或性徵發育遲緩。
對於急性高壓力性腦積水治療應以手術治療爲主。手術方法根據可有以下三個方面:①針對病因的手術如切除引起腦積水的顱內腫瘤等手術;②減少腦脊液產生的手術如脈絡叢切除術等已少用;③腦脊液引流或分流術,是目前腦積水的主要治療方法。
除手術治療外亦可應用藥物治療,主要使用脫水劑如甘露醇、利尿劑如氫氯噻嗪(雙氫克尿噻)等增加水分的排出,或以乙酰唑胺(醋氮酰胺)以抑制腦脊液分泌,但藥物治療不宜長期應用。
對於由於明確病竈引起的高顱壓性腦積水,切除原發病竈解除梗阻後,腦積水可以得到徹底治癒,預後良好。積極治療引起梗阻的原發病竈,有助於防止腦積水的形成和發展。
10 發病機制
10.1 腦脊液循環通路的發育異常
以中腦導水管先天性狹窄、閉鎖、分叉及導水管周圍的神經膠質細胞增生爲多見,導水管狹窄患者常因近端的腦積水將間腦向下壓迫使導水管發生彎曲,從而加重狹窄和阻塞的程度。此外,Dandy-Walker綜合徵患者及Arnold-Chiari畸形患者均可有腦脊液循環通路的阻塞。腦脊液循環通路阻塞多爲不全性,完全性阻塞者難以成活。
10.2 炎症性粘連
腦脊液循環通路的炎症性粘連是引起腦積水的常見原因之一。部位多見於導水管、枕大池、腦底部及環池,也可發生於大腦半球凸面,部分病人可伴有局部的囊腫,引起相應的壓迫症狀。粘連可由於腦內出血,炎症及外傷引起,顱內出血可引起腦底炎症性反應,血液機化形成粘連或血液吸收阻塞蛛網膜顆粒,從而影響腦脊液的疏通循環及吸收。各種原因引起的顱內炎症,尤其是腦膜炎如化膿性腦膜炎或結核性腦膜炎亦易引起顱內的粘連或阻塞蛛網膜顆粒而引起腦積水。顱腦手術病人亦可因術後顱內積血的吸收及炎症反應而導致腦積水。有些顱內腫瘤如顱咽管瘤、膽脂瘤內容物手術過程中外溢後的反應而引起腦積水改變。
10.3 顱內佔位性病變
凡是位於腦脊液循環通路及其鄰近部位的腫瘤皆可引起腦積水,如側腦室內的腫瘤及寄生蟲性囊腫等阻塞室間孔可引起一側或雙側側腦室擴大;第三腦室內的腫瘤或三腦室前後部的腫瘤如松果體腫瘤、顱咽管瘤等可壓迫第三腦室導致三腦室以上腦室系統擴大;四腦室及其周圍區的腫瘤如四腦室腫瘤、小腦蚓部及半球腫瘤、腦幹腫瘤、橋小腦角腫瘤可壓迫阻塞四腦室或導水管出口引起四腦室以上部位的擴大;其他部位病變如半球膠質瘤,蛛網膜囊腫亦可壓迫阻塞腦脊液循環通路引起腦積水。
10.4 腦脊液產生過多
如腦室內的脈絡叢乳頭狀瘤或增生,可分泌過多的腦脊液而其吸收功能並未增加而發生交通性腦積水。此外,維生素A缺乏亦可導致腦脊液的分泌與吸收失去平衡而引起腦積水。
10.5 腦脊液吸收障礙
10.6 其他發育異常
11 高顱壓性腦積水的臨牀表現
高顱壓性腦積水多數爲繼發性,可有明確的病因如蛛網膜下腔出血或腦膜炎等。常發生在發病後2~3周,在原有病情好轉後又出現頭痛、嘔吐等症狀,或症狀進一步加重,多數病人原因不明或繼發於顱內腫瘤等疾病。
高顱壓性腦積水的臨牀表現以頭痛,嘔吐爲主要臨牀症狀,此外可有共濟失調。病情嚴重者可出現視物不清、複視等症狀。病人的頭痛嘔吐等症狀多爲特異性,頭痛多以雙顳側爲最常見。當病人處於臥位時,腦脊液迴流減少,因此,病人在臥位後或晨起頭痛加劇,採取臥位時頭痛可有所緩解。隨着病情的進展,頭痛可爲持續性劇烈疼痛。當伴有小腦扁桃體下疝時,頭痛可累及頸枕部,甚至可有強迫頭位。嘔吐是高顱壓性腦積水除頭痛外常見的症狀,常伴有劇烈頭痛而與頭部位置無關,嘔吐後頭痛症狀可有所緩解。視力障礙在腦積水病人中常見,多出現於病情發展的中晚期,由於眼底水腫所致,可表現爲視物不清、複視,晚期可有視力喪失。複視主要由於顱內壓力增高,使顱內行程最長的展神經麻痹所致。病人可出現共濟失調,以軀幹性共濟失調爲多見,表現爲站立不穩、足距寬、步幅大,極少表現爲小腦性共濟失調。腦積水晚期病人可有記憶力下降,尤其是近記憶力下降、智力減退、計算能力差等。
12 高顱壓性腦積水的併發症
高顱壓性腦積水有時可表現出原發病變的症狀。如四腦室囊腫或腫瘤可有強迫頭位或頭位改變後症狀好轉等,松果體瘤引起的腦積水病人可有眼球上視困難,瞳孔散大或不等大,可伴有性早熟或性徵發育遲緩。
14 輔助檢查
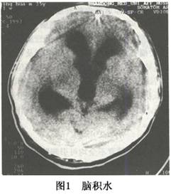
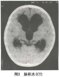
CT或MRI可確定腦室擴大及程度及皮質萎縮的程度,有時可同時瞭解引起腦積水的原因(圖1,2)。此外,CT或MRI還能瞭解腦積水是急性腦積水還是慢性腦積水,爲臨牀處理措施的應用提供依據。在腦積水的診斷中,應注意與腦萎縮引起的腦室擴大相區別,後者腦室擴大的同時可明顯地顯示出側裂或腦溝,甚至可有腦溝及腦裂的明顯擴大。另外診斷腦積水應儘可能明確是梗阻性腦積水還是交通性腦積水。


17 高顱壓性腦積水的治療
對於急性高壓力性腦積水治療應以手術治療爲主。手術方法根據可有以下三個方面:①針對病因的手術如切除引起腦積水的顱內腫瘤等手術;②減少腦脊液產生的手術如脈絡叢切除術等已少用;③腦脊液引流或分流術,是目前腦積水的主要治療方法。
除手術治療外亦可應用藥物治療,主要使用脫水劑如甘露醇、利尿劑如氫氯噻嗪(雙氫克尿噻)等增加水分的排出,或以乙酰唑胺(醋氮酰胺)以抑制腦脊液分泌,但藥物治療不宜長期應用。
對顱高壓性腦積水引起視力急劇減退或喪失者,應急症處理,行腦脊液分流術,暫無分流條件,應在病房重症監護室內行腦室穿刺,持續外引流。常用穿刺部位:在鼻根後10cm,中線右側旁開3cm(即額部),頭皮局部浸潤麻醉,顱骨鑽孔或錐孔,穿刺額角,可以留置穿刺針,置入硅膠管更好,並在出頭皮切口以前在頭皮下穿行3~5cm,這可減少顱內感染。這種引流可持續5天。
在腦積水病人病情允許情況下,應選擇腦室分流術或切除顱內原發病變解除腦積水。近年來,隨着神經影像的發展和顯微外科技術的進步,更多地提倡切除原發病竈以解除梗阻性腦積水。
曾有文獻提出,腫瘤引起的梗阻性腦積水,可在腫瘤切除前做腦室分流術,可防止出現術前顱高壓和術後腦室系統阻塞不緩解產生的危險,但是,也有研究表明:對腫瘤產生的腦積水,在腫瘤切除前分流與否,術後結果相近似,並且,小腦中線部位腫瘤較大時,分流後有出現小腦幕裂孔上疝的可能。如癇竈屬於惡性腫瘤,有腫瘤細胞沿分流管擴散到其他部位的危險。在腫瘤切除手術時,先做腦室穿刺,放出腦脊液,這有利於術中的腫瘤暴露,並穿刺骨孔,也可爲術後急性腦室穿刺放液、持續性外引流提供方便。