Maffucci综合征
| A+医学百科 >> Maffucci综合征 |
【概述】
Maffucci综合征是指内生软骨瘤病与海绵状血管瘤同时存在。Maffucci于1881年首先描写。
中文译名:马弗西氏综合征
【病因学】
病因不明,一般认为是中胚层的发育异常,因软骨和血管均由中胚层衍化而来。可能在染色体上有的基因,同时控制软骨及血管两个单元组织的发育,当这基因异常时,就产生了两种不同组织的病变同时存在。为罕见病不同种族及男女性发病率相等。无家族史,无遗传性。发病年龄平均为5岁,在出生时即有症状者占25%,有45%的患者在6岁前出现症状。
【病理改变】
患者身上内生软骨瘤与内生软骨瘤病(亦即软骨发育者异常或ollier病)无任何区别。血管瘤则绝大多数为海绵状血管瘤,质软,多叶,无血管性搏动。亦有为毛细血管瘤淋巴管瘤以及血管错构瘤的报告往往伴有静脉曲张,静脉栓塞及静脉石形成。
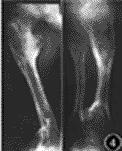
【临床表现】
常为双侧性,但单侧比较明显。常见于掌骨及指骨(87.8%)。病人智力发充正常,但身材较短小,约有12%的患者为侏儒,并且常有下肢不等长(36%)。有时可见拐状手,膝内翻、髋内翻、扁平足等继发性畸形。肢体的功能常因肿瘤而受损。骨骼病变常与血管瘤无直接关,即两者可以分别发生在不同的肢体。不产生疼痛。患者的内生软骨瘤的恶变率可达15.2~18.6%,而且在同一个病人身上可有数处发生恶变。血管瘤亦有恶变的报告。如果肿瘤范围扩大,以及在无外伤的情况下出现疼痛,均应及时活检。
【诊断】
对本病的诊断不难,预后亦良好。有时需作矫行手术。如病变已无法矫行,又严重影响功能或有恶变时,均应考虑截肢。
【治疗】
1.手术治疗
较严重的下肢畸形因影响负重常需手术治疗。骨骺板尚未闭合者可在适当年龄和适当部位行骨骺阻滞术。骨骺板已闭合者常需作截骨术矫正负重力线,膝外翻可行股骨下端截骨术,膝内翻可行胫骨下端截骨术,足外翻可行腓骨下端切断和胫骨下端截骨术。上肢畸形需手术矫正者较少,肘外翻合并尺神经炎者可以行肱骨下端截骨术或尺神经前移术,手尺偏畸形可行桡骨下端截骨术,必要时也可切除尺骨下端。合并肉瘤变性者可行截肢术、关节离断术或瘤段肢体切除、远端肢体再植术。肉瘤生长于不便切除的部位可行放疗以减轻疼痛并控制肿瘤生长。
2.放射治疗
(1)Maffucci综合征对放疗不敏感,临床上放疗一般用于术前控制性放疗或者术后防止肿瘤复发而做巩固性放疗。术后是否行辅助治疗常依赖于外科手术切除是否足够,以及病理科医生确定切缘是否仍有肿瘤残余,如果肿瘤紧邻重要血管,神经结构,易复发危险性高,则需放疗。如果某些部位手术难以完成根治,或不能保证干净切缘,显微镜下有残留者,也可以考虑补充放疗。
(2)术前放疗剂量可达50Gy,某些区域肿瘤残瘤者,可用高剂量铱192或粒子内照射,术前放疗易产生切口并发症,有时需整形科修复。手术中发现肿瘤邻血管、神经、难以保证切缘者,应在四周放置银夹标记,以便术后放疗,也可在术中置管,按系统排列,管距1cm,要求平直,术后几天内行高剂量铱192内照射,肿瘤剂量为12-16Gy。术后放疗瘤床剂量45-50Gy。还可以根据切缘情况,再考虑增加10-20Gy剂量。
健康问答网关于Maffucci综合征的相关提问
| 关于“Maffucci综合征”的留言: | |
|
目前暂无留言 | |
| 添加留言 | |
