黄斑裂孔

跳转到: 导航, 搜索

黄斑裂孔 : Macular hole, 缩写为 MH

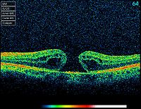
黄斑孔的OCT图像

  

目录

疾病分类

眼科  

疾病概述

黄斑裂孔是指黄斑部视网膜神经上皮层的全层组织缺损。其发病率 为0.6-0.7%。常见于老年人、眼外伤高度近视等。

诊断要点:

1.中心视力明显下降,一般为0.1左右。

2.B眼底可见裂孔为圆形或椭圆形,边缘清楚并稍内陷,底部呈深色,有黄白色小点。

3.裂孔缘视网膜呈灰白色,四周可见放射状条纹。裂孔小 者1/4、大者1/3乳头直径。有时裂孔附近可见到半透明的盖膜。

治疗:黄斑裂孔不伴有网脱者,严密观察;伴有网脱者,手术治疗。对有网 脱倾向者,予氩激光治疗,封闭裂孔,预防网脱。  

疾病描述

黄斑裂孔可因外伤、变性、长期CME、高度近视、玻璃体牵拉等引起。在老年人相对健康的眼,无其他病因发生的黄斑裂孔,称为特发性黄斑裂孔。常发生于60-80岁。  

症状体征

眼底保险为黄斑有一个1/2-1/4PD大小的、边界清晰的暗红色孔,空地可有黄色颗粒。中心视力明显下降。高度近视眼的黄斑裂孔,发生视网膜脱离的机会很大。中心凹呈黄色点或有小的黄色环,约一半病例自发缓解;2期,黄斑裂孔形成,有中心凹或其周围的全层裂孔,通常<400μm,视力明显下降;3期,裂孔变大,>400μm,玻璃体后皮质仍与黄斑粘连。在2期或3期,玻璃体皮质会形成裂孔前方的盖膜;4期,玻璃体后皮质完全脱离,伴较大的全层黄斑裂孔。双侧发生率在25%-30%。一眼已发生裂孔,另眼无玻璃体后脱离时,发病危险性较大,对2-3期、甚至4期裂孔。  

疾病病因

可因外伤、变性、长期CME、高度近视、玻璃体牵拉等引起。  

诊断检查

根据临床即可诊断。  

治疗方案

高度近视眼的黄斑裂孔,发生视网膜脱离的机会很大,需行视网膜脱离复位手术或玻璃体手术治疗。  

用药安全

黄斑裂孔常发生在老年人及曾受过眼外伤或高度近视的人中。

黄斑裂孔的预防措施:

1、平时注意休息不要过度用眼睛,避免形成近视。切忌"目不转睛",自行注意频密并完整的眨眼动作,经常眨眼可减少眼球暴露于空气中的时间,避免泪液蒸发

2、不吹太久的空调, 避免座位上有气流吹过,并在座位附近放置茶水,以增加周边的湿度。

3、多吃各种水果,特别是柑桔类水果,还应多吃绿色蔬菜、粮食、鱼和鸡蛋。多喝水对减轻眼睛干燥也有帮助。

4、保持良好的生活习惯,睡眠充足,不熬夜。

5、避免长时间连续操作电脑,注意中间休息,通常连续操作1小时,休息5-10分钟。休息时可以看远处或做眼保健操

6、保持良好的工作姿势。保持一个最适当的姿势,使双眼平视或轻度向下注视荧光屏,这样可使颈部肌肉轻松,并使眼球暴露于空气中的面积减小到最低。

7、调整荧光屏距离位置。建议距离为50-70厘米,而荧光屏应略低于眼水平位置10-20厘米,呈15-20度的下视角。因为角度及距离能降低对屈光的需求,减少眼球疲劳的几率。

8、 如果你本来泪水分泌较少,眼睛容易干涩,在电脑前就不适合使用隐形眼镜,要戴框架眼镜。在电脑前佩戴隐形眼镜的人,也最好使用透氧程度高的品种。

9、40岁以上的人,最好采用双焦点镜片,或者在打字的时候,配戴度数较低的眼镜。

10、如果出现眼睛发红,有灼伤或有异物感,眼皮沉重,看东西模糊,甚至出现眼球胀痛或头痛,休息后仍无明显好转,那就需要上医院了。

11、平时注意不要强光直射眼睛。另外防止眼外伤。

关于“黄斑裂孔”的留言: Feed-icon.png 订阅讨论RSS

目前暂无留言

添加留言

更多医学百科条目

个人工具
名字空间
动作
导航
推荐工具
功能菜单
工具箱