透明血栓
| A+医学百科 >> 透明血栓 |
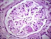
透明血栓(hyaline thrombus)这种血栓发生于微循环小血管内,只能在显微镜下见到,故又称微血栓,主要由纤维素构成,见于弥散性血管内凝血。
血栓形成于髂静脉内,向下腔静脉延续,当延续到对侧髂静脉入口处后,由于有血流流入,血小板继续析出,继续形成白色血栓,顺血流延伸,并常游离于血管腔内而不与血管壁粘连
出自A+医学百科 “透明血栓”条目 http://www.ye8.net/yixueshu/w/%E9%80%8F%E6%98%8E%E8%A1%80%E6%A0%93 转载请保留此链接
| 关于“透明血栓”的留言: | |
|
目前暂无留言 | |
| 添加留言 | |