软组织肿瘤

跳转到: 导航, 搜索

软组织肿瘤

软组织肿瘤的种类繁多,名称混杂,特别是软组织恶性肿瘤病理形态学,随着对其认识的不断提高,经常更改其病理命名,致使临床工作者在处理过程中感到比其他恶性肿瘤困难得多。最近关于软组织肿瘤的病理分类又有新的变化,重新命名了一些肿瘤,如滑膜肉瘤改为恶性腱鞘巨细胞瘤等,这种情况是其他任何肿瘤所没有的。  

目录

软组织肿瘤诊断

根据病史和临床表现,软组织肿瘤是不难与非肿瘤性肿块鉴别的,其诊断要点如下:

(一)患者在几周或几个月的时间后才觉察到无痛性进行性增大的肿块,发热、体重下降及一般的不适等全身性症状则少见。

软组织肿瘤2

(二)临床上较少发生但很重要的肿瘤引起的综合征低血糖症,常伴发于纤维肉瘤

(三)X线摄片检查 X线摄片有助于进一步了解软组织肿瘤的范围,透明度以及其与邻近骨质的关系。如边界清晰,常提示为良性肿瘤;如边界清楚并见有钙化,则提示为高度恶性肉瘤,该情况多发生于滑膜肉瘤、横纹肌肉瘤等。

(四)超声显像检查 该法可检查肿瘤的体积范围、包膜边界和瘤体内部肿瘤组织的回声,从而区别良性还是恶性。恶性者体大而边界不清,回声模糊,如横纹肌肉瘤、滑膜肌肉瘤恶性纤维组织细胞瘤等。超声检查还能引导作深部肿瘤的针刺吸取细胞学检查。该检查方法确是一种经济、方便而又无损于人体的好方法。

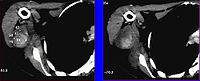
(五)CT检查 由于CT具有对软组织肿瘤的密度分辨力和空间分辨力的特点,用来诊断软组织肿瘤也是近年常用的一种方法。

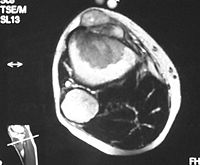
( 六) MRI检查 用它诊断软组织肿瘤可以弥补X线CT的不足,它从纵切面把各种组织的层次同肿瘤的全部范围显示出来,对于腹膜后软组织肿瘤、盆腔向臀部或大腿根部伸展的肿瘤、窝部的肿瘤以及肿瘤对骨质或骨髓侵袭程度的图像更为清晰,是制订治疗计划的很好依据。

(七) 病理学检查

1.细胞学检查:是一种简单、快速、准确的病理学检查方法。最适用于以下几种情况:①已破溃的软组织肿瘤,用涂片或刮片的采集方法取得细胞镜检确诊;②软组织肉瘤引起的胸腹水,必须用刚取到的新鲜标本,立即离心沉淀浓集,然后涂片;③穿刺涂片检查适用于瘤体较大、较深而又拟作放疗化疗的肿瘤,也适用于转移病灶及复发病灶。

2.钳取活检:软组织肿瘤已破溃,细胞学涂片又不能确诊时,可做钳取活检。

3.切取活检:多在手术中采取此法。如较大的肢体肿瘤,需截肢时,在截肢前做切取活检,以便得到确切的病理诊断。肿瘤位于胸、腹或腹膜后时,不能彻底切除,可做切取活检,确诊后采用放疗或化疗。

4.切除活检:适用体积较小的软组织肿瘤,可连同肿瘤周围部分正常组织整块切除送病理检查。  

软组织肿瘤治疗措施

(一)手术治疗

软组织肿瘤3

1.根治性手术:所有位置的肿瘤必须是连同周围包绕的正常组织一并切除的,为了保证完整的切除,常常不得不割舍一些正常的组织结构,手术切除亦应包括活检的部位,皮肤及其附近的部分肌肉。对于肌肉肿瘤,受累肌肉应将首尾完全予以切除。只有在临床显示淋巴结已受累时,才实施淋巴结清扫术。

2.减积手术:是针对一些无法完全切除的软组织肿瘤而采用的方法,术后再继以其他非手术治疗,以期改善病人的生活质量并延长病人的生命。如恶性腹膜后巨大的脂肪肉瘤等,可先行减积手术,尔后再辅加放射治疗,可取得好的疗效。

3.截肢术:适用于晚期的巨大肿瘤伴有溃疡大出血,而又无法止血;或伴发严重感染,如脓毒血症破伤风等危害病人生命安全;或肿瘤生长迅速并引起剧烈疼痛,难以用药物控制;或肢体己有病理性骨折,失去活动能力等严重状况下,无法用其他方法挽救时,方可考虑先选用截肢术。

(二)放射治疗

彻底根治性的手术会造成功能性损伤,截肢或关节离断,治疗的另一选择是手术与放射的联合应用。手术后辅加放射治疗,主要是针对那些残留在手术野内的微小亚临床病灶起到了抑制作用,而对那些团块状和结节状的大块瘤体往往难以奏效。因此,学者们认为,即使仅作肿瘤局部切除,再加放射治疗,也能取得与包括截肢术在内的根治性手术相仿的疗效,而且还保存了肢体。单纯放疗,只是姑息性的治疗,因而无法达到治愈的目的。近年来,许多学者提出了术前放疗,并指出,术前放疗有时会优于手术后放疗,因为手术前放疗可使巨大肿瘤的体积缩小,并常会在肿瘤组织与正常组织之间产生一层组织反应区,有轻度水肿,易于手术分离,可使原认为不能切除的肿瘤得以切除;其次是大部分肿瘤细胞经放射治疗后已失去活力,即使在手术野内留有肿瘤细胞,也无生存和复发的能力。还有一点是软组织肉瘤经过放射治疗后,其周围的脉管大多萎缩变细,甚至纤维化闭塞,失去循环能力,这就会减少手术操作时挤压肿瘤向外扩散的机会,而手术前放疗最大的缺点是手术后创面不易愈合,要特别注意。

(三)化学治疗

软组织肿瘤4

对软组织肉瘤有效的药物很多;主要为ADM、DTIC、CTX及IFO、KSM等。一般认为疗效较好的是CYV ADIC联合方案。其具体用法是:CTX600mg、d1VCR2mgd1,KSM 400μg,d1,DTIC 250mg d1-5;3~4周为一疗程。化学治疗又分术后辅助化疗及新辅助化疗,即术前化疗。

1.手术前化疗:体积较大恶性程度高的软组织恶性肿瘤宜于术前用化疗,可使瘤体缩小,提高切除率,避免截肢之苦。

2.手术后化疗:手术加用化学药物治疗,已被广泛应用于临床各种恶性肿瘤的治疗中。在治疗高度恶性软组织肉瘤中,应在手术后短期内即开始应用,有可能减少远处转移,提高生存率。如时间相隔太久,将难奏效。作者认为:用化疗比不用好,早用比晚用好,预防性比治疗性好。一般用药时间Ⅰ期和Ⅱa期化疗1年,Ⅱb~Ⅲ期化疗2年。  

软组织肿瘤病因学

根据目前对软组织肿瘤的认识,对其致病因素都认为不是单一的。虽然通过动物实验证明了某种因素确能诱发软组织肿瘤,但在临床上却难以解释单一因素会促使软组织发生肿瘤。因此软组织肿瘤的致病原因仍不甚了解。

1.先天性畸形

血管瘤多见于婴儿和儿童。血管畸形的表现是毛细血管小静脉小动脉淋巴管异常扩张,无内皮细胞增生现象,肥大细胞计数不高,可分静脉型、毛细血管型、淋巴血管瘤型和动静脉瘘型等。这种病变绝大多数在出生后即发现。随小儿的增长,血管病变也会按比例生长,从不自行消退,也无迅速生长的病史。

2 家族性遗传

多年的研究已观察到许多肿瘤细胞显示出染色体异常。有染色体异常的人其肿瘤发病率高于正常人,并有家族遗传现象。这些情况都支持肿瘤的发生与家族遗传有着非常密切的关系。还进一步认识到常染色体显性遗传现象,但其外显率却不尽一致。有的是代代相传,有的是二代、三代发病,也有的是两代各有少数人发病,这些都符合常染色体完全或不完全显性遗传的原理。

3 异物刺激

动物实验和临床观察,异物对机体的长期物理性刺激可诱发软组织肿瘤。

4 化学物质刺激

用化学物质诱发软组织肿瘤的动物实验历史已久。已证实多环碳氢化合物具有诱发作用,但对人体尚缺乏有力的证据,仅从流行病学的调查中发现少数长期接触聚氯乙烯的工人,会发生肝血管肉瘤

5.创伤学说

软组织肿瘤5

根据病史分析,有相当一部分软组织肿瘤病人在肿瘤部位有过明确的外伤史。有些病人是在过去手术瘢痕的基础上发生了软组织肿瘤。常见的瘢痕疙瘩就是最明显的证据。

6.内分泌因素

软组织肿瘤的发生,到底与内分泌的关系如何,尚无定论。许多学者认为有个别软组织肿瘤的生长是受某种内分泌支配的。

7.此外

病毒、慢性水肿性验证及放射线等因素也可诱发软组织肿瘤。  

软组织肿瘤流行病学

软组织恶性肿瘤,又称组织肉瘤,仅占全部恶性肿瘤的1%左右。在儿童期软组织肉瘤的发病次于白血病脑肿瘤淋巴瘤,居第四位。在软组织肉瘤中最常见的是纤维肉瘤、滑膜肉瘤、横纹肌肉瘤、脂肪肉瘤、平滑肌肉瘤和间皮肉瘤等。在儿童期,国内外的资料均认为横纹肌肉瘤的发病率最高,其次是纤维肉瘤。  

软组织肿瘤预后

软组织肉瘤患者的预后优于许多上皮类肿瘤,全部5年生存率在50%,预后主要取决于肿瘤组织病理学分化程度及受累范围,位于四肢的肿瘤预后要优于其他部位者。发生了转移但治疗仍有收效的患者,中数生存期为确诊转移后大约1年。  

软组织肿瘤转移与扩散

软组织肿瘤的病程是很不一致的,这与肿瘤的生长速度、出现的症状、病人的耐受性及其对肿瘤的认识和警惕性有关。一些可以迅速广泛地发生转移;而另一些则可能极少且晚期才转移。因此,病程与肿瘤的恶性程度并无必然的同步关系,也就是说病程长者不一定都是良性,病程短者也不一定都是恶性。反之亦然。几乎所有这一类肿瘤均表现有沿解剖位置,诸如神经、血管、肌束筋膜造成局部侵犯的倾向,因此肿瘤实际延及的范围常远大于体检所认为的范围。软组织肿瘤具有早期发生血行播散的特点,通常为肺转移,肝、骨、脑等其他器官的转移则少见,引流区淋巴结的转移不常发生,但在滑膜肉瘤和横纹肌肉瘤则可能。  

软组织肿瘤的病菌

大约有20多种不同的软组织肿瘤,每种都有不同的组织学生物学特性。大约有15%的肉瘤由于组织学上变化多端而不能分类。

恶性软组织肿瘤通常生长迅速、体积巨大,浸润和破坏周围正常组织。肿瘤本身可有坏死出血继发感染,并且经常有广泛的血行播散转移至肺、骨、皮下、脑、肾上腺胰腺等脏器。患者往往死于恶液质,严重出血及广泛转移;各种类型的恶性软组织肿瘤的恶性程度也有显著差别,根据其血行转移多少可粗略地分为三类:高度恶性的有圆型细胞脂肪肉瘤、多形性脂肪肉瘤、腺泡状横纹肌肉瘤、滑膜肉瘤、血管内皮肉瘤、淋巴管肉瘤等;中度恶性的有深部恶性巨细胞瘤、多形性横纹肌肉瘤、透明细胞肉瘤、平滑肌肉瘤等;低度恶性的有上皮样肉瘤、浅部恶性巨细胞瘤、纤维肉瘤、高分化的粘膜脂肪肉瘤等。

软组织肉瘤共同的特点为:体积比其相应的良性肿瘤大,一般都无包膜。但肉瘤因生长迅速而将周围正常组织压缩,可形成假包膜,镜下观察与周围正常组织无明显界限。

预后

软组织肉瘤患者的预后优于许多上皮类肿瘤,全部5年生存率在50%,预后主要取决于肿瘤组织病理学的分化程度及受累范围,位于四肢的肿瘤预后要优于其他部位者。发生了转移但治疗仍有收效的患者,中数生存期为确诊转移后大约1年。

预防

专家介绍了软骨肉瘤发病早期的一些症状,提示广大青少年,如有以下症状要及时到医院进行检查:

1、早期患者的患病区域会感觉不适,几天或几周后出现肿胀及肿块,晚期可出现静脉曲张,局部皮肤温度升高充血发红。
2、一般患者会感觉关节周围疼痛,最初是间歇性疼痛,一段时间后逐渐加重,转为持续性疼痛,夜间更为明显,服用止痛药无效。
3、患者的关节活动受限,有些病人会发生关节积液,甚至会发生病理性骨折。

饮食护理

1、软骨肉瘤患者宜吃食物:
(1)宜多吃具有抗骨髓病、骨肉瘤的食物,如海带紫菜淡菜海蛤、裙带菜、杏仁桃仁、李。
(2)骨痛宜吃龟板鳖肉穿山甲牡蛎、蟹、虾、核桃
(3)脾脏肿大宜吃甲鱼、泥鳅海鳗、毛、海带、裙带菜。
(4)贫血宜吃猪肝香菇芝麻蜂乳、黄鱼、花生、海参鲩鱼、鲍鱼。
(5)化疗期间宜吃甲鱼、黄鳝。补白细胞的,化疗需要足够白细胞,不够就不能化疗。冬虫夏草,可以减轻化疗副作用
2、软骨肉瘤患者忌吃食物:
(1)忌烟酒及辛辣刺激食物。
(2)忌霉变、腌制、油煎、肥腻食物。
(3)忌鸡肉羊肉鹅肉、猪头肉等发物

健康问答网关于软组织肿瘤的相关提问

关于“软组织肿瘤”的留言: Feed-icon.png 订阅讨论RSS

目前暂无留言

添加留言

更多医学百科条目

个人工具
名字空间
动作
导航
推荐工具
功能菜单
工具箱