脑干损伤

跳转到: 导航, 搜索

脑干损伤是指中脑,脑桥和延髓的损伤,是一种严重的颅脑损伤,常分为两种:原发性脑干损伤,外界暴力直接作用下造成的脑干损伤;继发性脑干损伤继发于其他严重的脑损伤之后,因脑疝脑水肿而引起脑干损伤。

目录

疾病名称

脑干损伤  

疾病别名

脑干伤  

疾病分类

神经外科  

症状体征

脑干含有大部分的脑神经核(除了嗅神经视神经),全身感觉、运动传导束,及呼吸循环中枢,脑干网状结构参与和维持意识清醒。故损伤后出现…… 1.意识障碍 原发性脑干损伤病人,伤后常立即发生昏迷,轻者对痛刺激可有反应,重者昏迷程度深,一切反射消失。如有昏迷

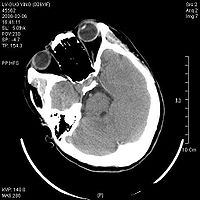
脑干损伤CT图

持续时间较长,很少出现中间清醒或中间好转期,应想到合并颅内血肿或其他原因导致的继发性脑干损伤。

2.瞳孔和眼运动改变 眼球活动和瞳孔调节功能由动眼、滑车及外展等脑神经管理,它们的神经核均位于脑干,脑干损伤时可有相应变化,临床上有定位意义。中脑损伤时,初期两侧瞳孔不等大,伤侧瞳孔散大,对光反应消失,眼球向下外倾斜;两侧损伤时,两侧瞳孔散大,眼球固定。脑桥损伤时,可出现两瞳孔极度缩小,光反射消失,两侧眼球内斜,同向偏斜或两侧眼球分离等征象。

3.去皮质强直 是中脑损伤的重要表现之一。因为中脑前庭核水平存在促进伸肌收缩的中枢,而中脑红核及其周围网状结构是抑制伸肌收缩的中枢所在。两者之间切断时,便出现去皮质强直。表现为伸肌张力增高,两上肢过伸并内旋,下肢亦过度伸直,头部后仰呈角弓反张状。损伤较轻者可为阵发性,重者则持续发作。

4.锥体束征 是脑干损伤的重要体征之一。包括肢体瘫痪、肌张力

脑背侧面和腹侧面心态

增高,腱反射亢进和病理反射出现等。在脑干损伤早期,由于多种因素的影响,锥体束征的出现常不恒定。但基底部损伤时,体征常较恒定。如脑干一侧性损伤则表现为交叉性瘫痪,包括肢体瘫痪、肌张力增高、腱反射亢进及病理反射阳性。严重损伤处于急性休克期时,全部反射可消失,病情稳定后才可出现。

5.生命体征变化

(1)呼吸功能紊乱:脑干损伤常在伤后立即出现呼吸功能紊乱。当中脑下端和脑桥上端的呼吸调节中枢受损时,出现呼吸节律的紊乱,如陈-施呼吸;当脑桥中下部的长吸中枢受损时,可出现抽泣样呼吸;当延髓的吸气和呼气中枢受损时,则发生呼吸停止。在脑干继发性损害的初期,如小脑幕切迹疝的形成时,先出现呼吸节律紊乱,陈-施呼吸,在脑疝的晚期颅内压继续升高,小脑扁桃体疝出现,压迫延髓,呼吸即先停止。

(2)心血管功能紊乱:当延髓损伤严重时,表现为呼吸心跳迅速停止,病人死亡。较高位的脑干损伤时出现的呼吸循环紊乱常先有一兴奋期,此时脉搏缓慢有力,血压升高,呼吸深快或呈喘息样呼吸,以后转入衰竭,脉搏频速,血压下降,呼吸呈潮式,终于心跳呼吸停止。一般呼吸停止在先,在人工呼吸和药物维持血压的条件下,心跳仍可维持数天或数月,最后往往因心力衰竭而死亡。

(3)体温变化:脑干损伤后有时可出现高热,这多由于交感神经功能受损,出汗功能障碍,影响体热发散所致。当脑干功能衰竭时,体温则可降至正常以下。

6.内脏症状

(1)上消化道出血:为脑干损伤应激引起的急性胃黏膜病变所致。

(2)顽固性呃逆

(3)神经源性肺水肿:是由于交感神经兴奋,引起体循环肺循环阻力增加所致。  

疾病病因

外伤。单纯的脑干损伤并不多见。脑干包括中脑、脑桥和延髓,当外力作用在头部时,不论是直接还是间接暴力都将引起脑组织的冲撞和移动,可能造成脑干损伤。  

发病机制

脑干位于脑的中心,其下为斜坡,背负大小脑,当外力作用于头部时,脑干除了可直接撞击于坚硬的斜坡骨质外,还可受到大脑小脑的牵拉、扭转、挤压及冲击等致伤,其

表1 脑干损伤

中以鞭索性,扭转性和枕后暴力对脑干的损伤最大 通常额部受伤时,可使脑干撞击于斜坡上;头侧方暴力作用使脑干嵌挫于同侧小脑幕切迹上,枕后受力使脑干直接撞击于斜坡和枕骨大孔上;扭转和牵拉运动致伤可使脑干受到大小脑的作用受伤,头部因突然仰俯运动所致鞭索性损伤中 延髓受损机会较多;双脚或臀部着力时枕骨发生凹陷骨折,则可直接损伤延髓;此外,当头部受击引起颅骨严重变形,通过脑室脑脊液冲击波亦可造成中脑导水管周围或四脑室底的损伤。

原发性脑干损伤的病理改变常为挫伤伴灶性出血水肿,多见于中脑被盖区,脑桥及延髓被盖区次之,脑干受压移位、变形使血管断裂引起出血和软化等继发病变。

弥漫性轴索损伤(Diffuse axonal injury DAI),系当头部遭受加速性旋转暴力时,因剪应力而造成的神经轴索损伤,病理改变主要位于脑的中轴部分,即胼胝体大脑脚、脑干及小脑上脚等处,多属挫伤、出血及水肿。镜下可见轴索断裂、轴浆溢出。稍久则可见圆形回缩球及血细胞溶解含铁血黄素。最后呈囊变及胶质增生 国外学者提出所谓原发性脑干损伤实际上是DAI的一部分 不应作为一种独立病征。通常DAI均有脑干损伤表现,且无颅内压增高,故需依靠CT或MRI检查才能诊断。

继发性脑干损伤为颞叶钩回疝、脑干受挤压导致脑干缺血损伤。  

检查

应根据发病机制、临床表现的变化,并结合辅诊手段作动态分析。

1.病史询问 受伤时间、致伤原因、致伤时情况,了解伤后有无昏迷和近事遗忘、昏迷时程长短,有无中间好转或清醒期,有无呕吐及其次数,有无大小便失禁,有无抽搐

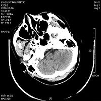
脑干损伤CT图

癫痫发作,肢体运动情况,接受过何种处理。伤前有无酗酒、精神失常、癫痫、高血压心脏病、脑中风等。

2.神经系统检查 重点检查意识、瞳孔、肢体活动、锥体束征和脑膜刺激征等。

3.头部检查 头皮伤情况,眼睑结膜乳突部有无淤血,耳、鼻、咽部有无出血和脑脊液流出。

4.生命体征 重点观察呼吸、脉搏和血压变化。

5.全身检查 有无颌面、胸腹脏器、骨盆脊柱和四肢损伤。有低血压和休克时更应注意合并伤

6.头颅X线平片检查 疑有颅骨骨折者应摄正、侧位片。枕部着力伤加摄额枕位(汤氏位)片,凹陷性骨折摄切线位片。疑有视神经损伤视神经孔位片,眼眶部骨折摄柯氏位片。

7.腰穿 了解蛛网膜下腔出血程度及颅内压情况。重型伤颅内高压明显或已出现脑疝征象者禁忌腰穿。

8.CT扫描 是目前辅助诊断颅脑损伤的重要依据。能显示颅骨骨折、脑挫裂伤、颅内血肿、蛛网膜下腔出血、脑室出血、气颅、脑水肿或脑肿胀、脑池和脑室受压移位变形、中线结构移位等。病情变化时应行CT复查。

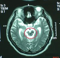
9.MRI 急性颅脑损伤患者通常不作MRI检查。但对病情稳定的弥漫性轴索损伤、大脑半球底部、脑干、局灶性挫裂伤灶和小出血灶、等密度亚急性颅内血肿等,MRI常优于CT扫描。  

诊断

原发性脑干损伤与其他的颅脑损伤往往同时存在 临床症状重叠,鉴别诊断较为困难。对于伤后立即昏迷并进行性加重,瞳孔大小多变、早期发生呼吸循环功能衰竭、出现去皮质强直及双侧病理征阳性的病人,原发性脑干损伤的诊断基本成立。  

鉴别诊断

原发性脑干损伤往往与脑挫裂伤或颅内出血同时伴发,临床症状相互参错,难以辨明孰轻孰重、何者为主,特别是就诊较迟的病人 更难区别是原发性损伤还是继发性损害。原发性

脑干损伤CT图

脑干损伤与继发性脑干损伤的区别在于症状,体征出现的早晚。继发性脑干损伤的症状、体征皆在伤后逐渐产生。颅内压持续监护亦可鉴别:原发性颅内压不高,而继发性则明显升高。同时,CT和MRI也是鉴别诊断的有效手段。在显示脑实质内小出血灶或挫裂伤方面,尤其是对胼胝体和脑干的细微损害,MRI明显优于CT。脑干听觉诱发电位可以较准确地反映脑干损伤的平面及程度。通常在听觉通路病灶以下的各波正常,病灶水平及其上的各波则显示异常或消失,颅内压监护连续测压亦有鉴别原发性或继发性脑干损伤的作用,虽然二者临床表现相同,但原发者颅内压正常,而继发者明显升高。  

实验室检查

腰椎穿刺,脑脊液压力正常或轻度增高,多呈血性。  

其它辅助检查

1.颅骨X线平片 颅骨骨折发生率高,亦可根据骨折的部位,结合受伤机制推测脑干损伤的情况。

2.颅脑CT、MRI扫描 原发性脑干损伤表现为脑干肿大,有点片状密度增高区,脚间池桥池四叠体池及第四脑室受压或闭塞。继发性脑疝的脑干损伤除显示继发性病变的征象外,还可见脑干受压扭曲向对侧移位,MRI可显示脑干内小出血灶与挫裂伤,由于不受骨性伪影影响,显示较CT清楚。

3.颅内压监测 有助于鉴别原发性或继发性脑干损伤,继发者可有颅内压明显升高,原发者升高不明显。

4.脑干听觉诱发电位(BAEP) 为脑干听觉通路上的电生理活动,经大脑皮质传导至头皮的远场电位。它所反映的电生理活动一般不受其他外在病变的干扰,可以较准确地反映脑干损伤的平面及程度。  

治疗方案

昏迷时程较长的重度原发脑干伤,要尽早行气管切开、呼吸机辅助呼吸及亚低温治疗。  

用药安全

1、每天按时排便

2、饮食清淡,吃软食;

3、饮水适度,检测每日尿量,检测血压;

4、每隔两三小时就要翻身拍背;每天用肥皂水清洗全身,防止褥疮;做按摩,防止肌肉萎缩;可以做针灸辅助治疗;

5、护理注意:

1)根据病情采取适当的卧位,平卧时头转向一侧,避免呕吐物误入气管,血压低时应去枕平卧。

2)有假牙患者应取下假牙,以防假牙脱落、堵塞呼吸道引起窒息,防止咬伤舌头。

3)保持呼吸道通畅。如有舌后坠口腔可放置通气道,定时吸除口腔内分泌物。患者咳嗽痰多不易吸除,应早气管切开。  

治疗及预后

治疗

脑干损伤的病情重,的治疗效果尚不满意。对于轻度脑干损伤的病人,可按脑挫裂伤治疗,部分患者可获得良好疗效,而对于重者,其死亡率很高,所以救治工作应仔细认真,要有长期的打算,且护理工作显得尤为重要,同时,密切注意防治各种并发症。1.保护中枢神经系统,酌情采用冬眠疗法,降低脑代谢;积极抗脑水肿;使用激素及神经营养药物。

2.全身支持疗法,维持营养,预防和纠正水,电解质紊乱

3.积极预防和处理并发症,最常见的是肺部感染尿路感染和褥疮。加强护理,严密观察,早期发现,及时治疗,对于意识障碍严重、呼吸功能紊乱的病人,早期实施气管切开至为必要,但气管切开后应加强护理,减少感染机会

4.对于继发性脑干损伤应尽早明确诊断,及时去除病因。若拖延过久,则疗效不佳。

5.恢复期应着重于脑干功能的改善,可用苏醒药物,高压氧舱治疗,增强机体抵抗力和防治并发症。  

预后

重度脑干损伤病死率很高,几乎占颅脑损伤病死率的1/3,若延髓平面受创,则救治希望甚微。

关于“脑干损伤”的留言: Feed-icon.png 订阅讨论RSS

目前暂无留言

添加留言

更多医学百科条目

个人工具
名字空间
动作
导航
推荐工具
功能菜单
工具箱