肺泡蛋白沉着症
| A+医学百科 >> 肺泡蛋白沉着症 |
【概述】
肺泡蛋白沉着症(pulmonary alveolar proteinosis)指原因不明的肺泡内弥漫性蛋白沉着,首先由Rose于1958年报告,迄今文献报告约400~500例,国内于1965首例报告。临床以进行性气促为特征,支气管肺泡灌洗是诊断与治疗的主要手段。预后相差很大,有自愈,也有发现后一、二年内死亡的。
【诊断】
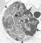
胸部X线表现为向心性肺泡浸润但无心衰表现当疑及本病。支气管肺泡灌洗发现为混浊,乳白或黄色液体,其沉淀中有大量无结构的嗜伊红体,则诊断可明确。如结合支气管镜肺活检则诊断更确定。目前极少需开胸肺活检。有报告认为测定痰中表面活性蛋白A是一种简便的辅助诊断手段。
【治疗措施】
尚未发现有效的药物。目前有效而广泛采用的为支气管肺泡灌洗,有条件应在全麻下行全肺灌洗。也可行纤支镜下分叶、分段灌洗。效果相似,但患者对纤支镜法较难耐受,不能用很大容量灌洗。
【病因学】
病因未明,推测与几方面因素有关:如大量粉尘吸入(铝,二氧化硅等),机体免疫功能下降(尤其婴幼儿),遗传因素,酗酒,微生物感染等。而对于感染,有时很难确认是原发致病因素还是继发于肺泡蛋白沉着症。例如巨细胞病毒,卡氏肺孢子虫,组织胞浆菌感染等均发现有肺泡内高蛋白沉着。
虽然启动因素尚不明确,但基本上同意发病过程为脂质代谢障碍所致。即由于机体内、外因素作用引起肺泡表面活性物质的代谢异常。到目前为止,研究较多的有肺泡巨噬细胞活力,动物实验证明巨噬细胞吞噬粉尘后其活力明显下降,而病员灌洗液中的巨噬细胞内颗粒可使正常细胞活力下降,经支气管肺泡灌洗治疗后,其肺泡巨噬细胞活力可上升。而研究未发现Ⅱ型细胞生成蛋白增加,全身脂代谢也无异常。因此目前一般认为本病与清除能力下降有关。
【病理改变】
巨检显示肺脏可明显变硬,重量增加。肺实变与代偿肺气肿并存。光镜下肺泡结构基本正常,肺泡内充满细颗粒状、无结构的PAS染色阳性蛋白样物质,Ⅱ型细胞增生、肥大,胞浆内板层小体增多,板层小体成同心圆状排列。巨噬细胞数目及体积也明显增加。肺间质可有纤维化出现,有作者提到锁骨上淋巴结内可查及蛋白样物质。
【流行病学】
男女之比为2~3∶1,可发生于任何年龄,多数在20~50岁间。起病隐匿,主要症状为进行性气促。约1/3病例有低热,大部分有咳嗽,痰呈乳白色泡沫状,有时见块状、胶冻状或管型咳出。体检可有呼吸运动减弱,叩诊轻度浊音,肺内明显的病理性支气管呼吸音,偶有湿罗音。重症有杵状指、紫绀及肺动脉高压的表现。
X线表现为肺门周围弥漫性肺泡浸润,呈蝶状,双侧不一定十分对称,极似肺水肿。
【临床表现】
男女之比为2~3∶1,可发生于任何年龄,多数在20~50岁间。起病隐匿,主要症状为进行性气促。约1/3病例有低热,大部分有咳嗽,痰呈乳白色泡沫状,有时见块状、胶冻状或管型咳出。体检可有呼吸运动减弱,叩诊轻度浊音,肺内明显的病理性支气管呼吸音,偶有湿罗音。重症有杵状指、紫绀及肺动脉高压的表现。
X线表现为肺门周围弥漫性肺泡浸润,呈蝶状,双侧不一定十分对称,极似肺水肿。
【预后】
儿童患者预后差,数年内死亡,成年人中有自愈病例,也有愈后复发患者,约半数患者为逐步进展,或并发感染、呼吸衰竭而于5~10年死亡。
【其它】
儿童患者预后差数年内死亡成年人中有自愈病例也有愈后复发患者约半数患者为逐步进展或并发感染呼吸衰竭而于~年死亡
男女之比为~∶可发生于任何年龄多数在~岁之间起病隐匿主要症状为进行性气促约/病例有低热大部分有咳嗽痰呈乳白色泡沫状有时见块状胶冻状或管型咳出体检可有呼吸运动减弱叩诊轻度浊音肺内明显的病理性支气管呼吸音偶有湿罗音重症有杵状指紫绀及肺动脉高压的表现
X线表现为肺门周围弥漫性肺泡浸润呈蝶状双侧不定分对称极似肺水肿
参考
| 关于“肺泡蛋白沉着症”的留言: | |
|
目前暂无留言 | |
| 添加留言 | |
