肋骨骨折

跳转到: 导航, 搜索
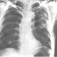
Bk89i.jpg

肋骨骨折胸部伤中约占61%~90%。不同的外界暴力作用方式所造成的肋骨骨折病变可具有不同的特点:作用于胸部局限部位的直接暴力所引起的肋骨骨折,断端向内移位,可刺破肋间血管胸膜和肺,产生血胸或(和)气胸。间接暴力如胸部受到前后挤压时,骨折多在肋骨中段,断端向外移位,刺伤胸壁软组织,产生胸壁血肿枪弹伤弹片伤所致肋骨骨折常为粉碎性骨折。在儿童,肋骨富有弹性,不易折断,而在成人,尤其是老年人,肋骨弹性减弱,容易骨折。  

目录

诊断

肋骨骨折的诊断主要依据受伤史、临床表现和X线胸片检查。按压胸骨或肋骨的非骨折部位(胸廓挤压试验)而出现骨折处疼痛(间接压痛),或直接按压肋骨骨折处出现直接压痛阳性或可同时听到骨擦音、手感觉到骨摩擦感和肋骨异常动度,很有诊断价值。X线胸片上大都能够显示肋骨骨折,但是,对于肋软骨骨折、“柳枝骨折”、骨折无错位、或肋骨中段骨折在胸片上因两侧的肋骨相互重叠处,均不易发现,应结合临床表现来判断以免漏诊。无合并损伤的肋骨骨折称为单纯性肋骨骨折。除了合并胸膜和肺损伤及其所引起的血胸或(和)气胸之外,还常合并其他胸部损伤或胸部以外部位的损伤,诊断中尤应注意。第1或第2肋骨骨折常合并锁骨肩胛骨骨折,并可能合并胸内脏器及大血管损伤、支气管气管断裂、或心脏挫伤,还常合并颅脑伤;下胸部肋骨骨折可能合并腹内脏器损伤,特别是肝、脾和肾破裂,还应注意合并脊柱骨盆骨折。但是,当第7肋以下的肋骨骨折时,由于骨折处肋间神经受刺激,产生传导性腹痛,应注意与腹腔脏器损伤所引起的示位性腹痛相鉴别。  

治疗措施

单纯性肋骨骨折的治疗原则是止痛、固定和预防肺部感染。可口服或必要时肌注止痛剂。肋间神经阻滞或痛点封闭有较好的止痛效果,且能改善呼吸和有效咳嗽机能。肋间神经阻滞可用0.5%或1%普鲁卡因5毫升注射于脊柱旁5厘米处的骨折肋骨下缘,注射范围包括骨折肋骨上、下各一根肋骨。痛点封闭是将普鲁卡因直接注射于肋骨骨折处,每处10毫升。必要时阻滞或封闭可12~24小时重复一次,也可改用长效上痛剂。注意穿刺不可过深,以免刺破胸膜。半环式胶布固定具有稳定骨折和缓解疼痛的功效,方法是用5~7厘米宽的胶布数条,在呼气状态下自后而前、自下而上作叠瓦式粘贴胸壁,相互重叠2~3厘米,两端需超过前后正中线3厘米,范围包括骨折肋骨上、下各一根肋骨(图5~3)。但是,因其止痛效果并不理想、限制呼吸且有皮肤过敏等并发症,故而除在转送伤员才考虑应用外,一般不应用,或应用多头胸带或弹力束胸带,效果更好。预防肺部并发症主要在于鼓励病人咳嗽、经常坐起和辅助排痰,必要时行气管内吸痰术。适量给予抗菌素祛痰剂。

对于连枷胸的处理,除了上述原则以外,尤其注意尽快消除反常呼吸运动、保持呼吸道通畅和充分供氧、纠正呼吸与循环功能紊乱和防治休克。当胸壁软化范围小或位于背部时,反常呼吸运动可不明显或不严重,可采用局部夹垫加压包扎。但是,当浮动幅度达3厘米以上时可引起严重的呼吸与循环功能紊乱,当超过5厘米或为双侧连枷胸(软胸综合征)时,可迅速导致死亡,必须进行紧急处理。首先暂时予以夹垫加压包扎,然后进行肋骨牵引固定。以往多用巾钳重力牵引,方法是在浮动胸壁的中央选择1~2根能持力的肋骨,局麻后分别在其上、下缘用尖刀刺一小口,用布钳将肋骨钳住,注意勿损伤肋间血管和胸膜,用牵引绳系于钳尾部,通过滑车用2~3公斤重量牵引约2周左右。目前,已根据类似原理设计出多种牵引器,是用特制的钩代替巾钳,用胸壁外固定牵引架代替滑车重力牵引,方法简便,病人能够起床活动且便于转送(图5-4)。在需行开胸手术的病人,可同时对肋骨骨折进行不锈钢丝捆扎和缝扎固定或用克氏针骨髓内固定。目前已不主张对连枷胸病人一律应用控制性机械通气来消除反常呼吸运动(呼吸内固定法),但对于伴有严重肺挫伤且并发急性呼吸衰竭的病人,及时进行气管内插管气管切开后应用呼吸器治疗,仍有其重要地位。

肋骨骨折多可在2~4周内自行愈合,治疗中也不像对四肢骨折那样强调对合断端。单纯性肋骨骨折本身并不致命。治疗的重点在于对连枷胸的处理,对各种合并伤的处理以及防治并发症,尤其是呼吸衰竭和休克。

影像学表现]

肋骨骨折形态多为横断形,亦有斜行,可单发或多发。大多为一侧性。第1与第2肋骨位在锁骨之后,第11与12肋骨为游离短肋,发生骨折机会较少。  

肋骨骨折的药物治疗

初期

【治法】 活血祛瘀理气止痛。

【方药】

1.主方胸伤一方(广东中医学院《外伤科学》)

处方:柴胡9克,枳壳9克,北杏仁9克,延胡索9克,赤芍12克,当归12克,郁金12克,丹参15克,瓜蒌皮15克,甘草6克。水煎服,每日剂。

痛甚者,加三七3克(冲)、佛手12克。气逆喘咳者,加沉香1.5克、紫苏子12克。咯血者,加仙鹤草12克、白及12克、藕节15克。

2.外用方外敷接骨散(上海中医学院《中医伤科学讲义》)

处方:骨碎补血竭硼砂、当归、乳香、没药、续断自然铜、大黄、土鳖虫各等份。共研细末,饴糖蜂蜜调敷患处。

3.中成药云南白药,口服,每次.5克,每日2次。②丹七片,口服,每次~5片,每日3次。

中期

【治法】 补气养血,接骨续损。

【方药】

主方胸伤二方(广东中医学院《外伤科学》)

处方:党参12克,当归12克,桔梗9克,白术9克,香附9克,白芍9克,郁金9克,茯苓15克,炙甘草6克。水煎服,每日l剂。

后期

【治法】 补益气血,强壮筋骨。

【方药】

1.主方逍遥散(陈师文等《太平惠民和剂局方》)加减

处方:柴胡12克,当归12克,白芍12克,白术10克,茯苓15克,甘草3克,杜仲12克,续断12克。水煎服,每日剂。

胸肋隐隐作痛者,加三棱9克、莪术9克、乳香5克。

2.中成药①补中益气丸,口服,每次6克,每日2次。②狗皮膏,外用,烘热外敷患处。

肋骨骨折的练功活动 整复固定,轻者可下地活动。重症需卧床者,可取斜坡卧位(半坐卧位),肋骨牵引者取平卧位,鼓励患者按胸咳嗽排痰,并锻炼腹式呼吸运动,待症状减轻,即应下地自由活动。  

临床表现

偶尔由于剧烈的咳嗽或喷嚏等,胸部肌肉突然强力收缩而引起肋骨骨折,称为自发性肋骨骨折,多发生在腋窝部的第6~9肋。当肋骨本身有病变时,如原发性肿瘤或转移瘤等,在很轻的外力或没有外力作用下亦可发生肋骨骨折,称为病理性肋骨骨折。

肋骨骨折多发生在第4~7肋;第1~3肋有锁骨、肩胛骨及肩带肌群的保护而不易伤折;第8~10肋渐次变短且连接于软骨肋弓上,有弹性缓冲,骨折机会减少;第11和12肋为浮肋,活动度较大,甚少骨折。但是,当暴力强大时,这些肋骨都有可能发生骨折。

仅有1根肋骨骨折称为单根肋骨骨折。2根或2根以上肋骨骨折称为多发性肋骨骨折。肋骨骨折可以同时发生在双侧胸部。每肋仅一处折断者称为单处骨折,有两处以上折断者称为双处或多处骨折。序列性多根多处肋骨骨折或多根肋骨骨折合并多根肋软骨骨骺脱离或双侧多根肋软骨骨折或骨骺脱离,则造成胸壁软化,称为胸壁浮动伤,又称为连枷胸。

局部疼痛是肋骨骨折最明显的症状,且随咳嗽、深呼吸或身体转动等运动而加重,有时病人可同时自己听到或感觉到肋骨骨折处有“咯噔咯噔”的骨摩擦感。疼痛以及胸廓稳定性受破坏,可使呼吸动度受限、呼吸浅快和肺泡通气减少,病人不敢咳嗽,痰潴留,从而引起下呼吸道分泌物梗阻、肺湿变或肺不张。这在老弱病人或原有肺部疾患的病人尤应予以重视。在连枷胸,当吸气时,胸腔负压增加,软化部份胸壁向内凹陷;呼气时,胸腔压力增高,损伤的胸壁浮动凸出,这与其他胸壁的运动相反,称为“反常呼吸运动”。反常呼吸运动可使两侧胸腔压力不平衡,纵隔随呼吸而向左右来回移动,称为“纵隔摆动”,影响血液回流,造成循环功能紊乱,是导致和加重休克的重要因素之一。连枷胸时胸痛和胸廓稳定性破坏更为严重,反常呼吸运动更使呼吸运动受限,咳嗽无力肺活量及功能残气量(FRC)减少,肺顺应性潮气量降低,常伴有严重的呼吸困难及低氧血症。过去曾认为,连枷胸时有部份气体随着吸气和呼气而在健侧和伤侧肺内之间来回流动,不能与大气交换,称为残气对流或摆动气,是造成呼吸功能障碍的主要原因。而目前认为摆动气并不存在,而连枷胸所常伴有的肺挫伤可使肺泡和间质出血水肿、肺泡破裂和不张,是引起呼吸功能障碍的重要原因。  

并发症

第1或第2肋骨骨折常合并锁骨或肩胛骨骨折,并可能合并胸内脏器及大血管损伤、支气管或气管断裂、或心脏挫伤,还常合并颅脑伤;下胸部肋骨骨折可能合并腹内脏器损伤,特别是肝、脾和肾破裂,还应注意合并脊柱和骨盆骨折。  

预防

1、饮食禁忌

1)忌多吃肉骨头:若骨折后大量摄入肉骨头,会促使骨质内无机质成分增高,导致骨质内有机质的比例失调,会对骨折的早期愈合产生阻碍作用。

2)忌偏食:骨折患者常伴有局部水肿、充血、出血、肌肉组织损伤等情况,机体本身对这些有抵抗修复能力,而机体修复组织化瘀消肿主要是靠各种营养素。

3)忌食不易消化的食物:骨折患者因固定石膏夹板而活动受限制,加上伤处肿痛,精神忧虑,往往食欲不振。所以,食物既要营养丰富,又要容易消化,宜多吃水果、蔬菜

4)忌少喝水:卧床的骨折患者行动十分不便,因此喝水少,以减少小便次数,这样患者活动少,肠蠕动减弱,容易引起大便秘结。所以,卧床骨折患者想喝水就喝。

5)忌过多食用白糖:大量摄取白糖后,将引起葡萄糖的急剧代谢,碱性的钙、镁、钠等离子便参加中和作用,以防止血液出现酸性。如此钙的大量消耗,将不利于骨折患者的康复

2、宜多吃蔬菜、蛋白质和富有维生素的饮食,可防止骨质疏松的发生和发展。骨折早期饮食宜清淡,以利于祛瘀消肿;后期应偏味重,选择合适的饮食调补肝肾,有利于骨折的愈合和功能的恢复;

3、此病常发生于中、老年人,很少见于儿童;

4、救治时,应该让病人呈半卧位,休息,口服止痛片。骨折处贴伤温止痛膏活血风寒膏等。病情严重者,应到医院治疗。如并发气胸、血胸则采取相应治疗措施。

参看

健康问答网关于肋骨骨折的相关提问

关于“肋骨骨折”的留言: Feed-icon.png 订阅讨论RSS

目前暂无留言

添加留言

更多医学百科条目

个人工具
名字空间
动作
导航
推荐工具
功能菜单
工具箱