组织学/白细胞
| 医学电子书 >> 《组织学》 >> 血液和血细胞发生 >> 血液 >> 白细胞 |
| 组织学 |
|
|
白细胞(leukocyte,white blood cell)为无色有核的球形细胞,体积比红细胞大,能作变形运动,具有防御和免疫功能。成人白细胞的正常值为4000~10000个/μ1。男女无明显差别。婴幼儿稍高于成人。血液中白细胞的数值可受各种生理因素的影响,如劳动、运动、饮食及妇女月经期,均略有增多。在疾病状态下,白细胞总数及各种白细胞的百分比值皆可发生改变。
光镜下,根据白细胞胞质有无特殊颗粒,可将其分为有粒白细胞和无粒白细胞两类。有粒白细胞又根据颗粒的嗜色性,分为中性粒细胞、嗜酸性粒细胞用嗜碱性粒细胞。无粒白细胞有单核细胞和淋巴细胞两种(图5-2)。
1.中性粒细胞 中性粒细胞(neutrophilicgranulocyte,neutrophil)占白细胞总数的50%-70%,是白细胞中数量最多的一种。细胞呈球形,直径10-12μm,核染色质呈团块状。核的形态多样,有的呈腊肠状,称杆状核;有的呈分叶状,叶间有细丝相连,称分叶核。细胞核一般为2~5叶,正常人以2~3叶者居多。在某些疾病情况下,核1~2叶的细胞百分率增多,称为核左移;核4~5叶的细胞增多,称为核右移。一般说核分叶越多,表明细胞越近衰老,但这不是绝对的,在有些疾病情况下,新生的中性粒细胞也可出现细胞核为5叶或更多叶的。杆状核粒细胞则较幼稚,约占粒细胞总数的5%~10%,在机体受细菌严重感染时,其比例显著增高。
中性粒细胞的胞质染成粉红色,含有许多细小的淡紫色及淡红色颗粒,颗粒可分为嗜天青颗粒和特殊颗粒两种。嗜天青颗粒较少,呈紫色,约占颗粒总数的20%,光镜下着色略深,体积较大;电镜下呈圆形或椭圆形,直径0.6~0.7μm,电子密度较高(图5-4,5-5),它是一种溶酶体,含有酸性磷酸酶和过氧化物酶等,能消化分解吞噬的异物。特殊颗粒数量多,淡红色,约占颗粒总数的80%,颗粒较小,直径0.3~0.4μm,呈哑铃形或椭圆形,内含碱性磷酸酶、吞噬素、溶菌酶等。吞噬素具有杀菌作用,溶菌酶能溶解细菌表面的糖蛋白。
中性粒细胞具有活跃的变形运动和吞噬功能。当机体某一部位受到细菌侵犯时,中性粒细胞对细菌产物及受感染组织释放的某些化学物质具有趋化性,能以变形运动穿出毛细血管,聚集到细菌侵犯部位,大量吞噬细菌,形成吞噬小体。吞噬小体先后与特殊颗粒及溶酶体融合,细菌即被各种水解酶、氧化酶、溶菌酶及其它具有杀菌作用的蛋白质、多肽等成分杀死并分解消化。由此可见,中性粒细胞在体内起着重要的防御作用。中性粒细胞吞噬细胞后,自身也常坏死,成为脓细胞。中性粒细胞在血液中停留约6~7小时,在组织中存活约1~3天。
2.嗜酸性粒细胞 嗜酸性粒细胞(eosinophilicgranulocyte,eosinophil)占白细胞总数的0.5%-3%。细胞呈球形,直径10~15μm,核常为2叶,胞质内充满粗大(直径0.5~1.0μm)、均匀、略带折光性的嗜酸性颗粒,染成桔红色(图5-2)。电镜下,颗粒多呈椭圆形,有膜包被,内含颗粒状基质和方形或长方形晶体(图5-4,5-5)。颗粒含有酸性磷酸酶、芳基硫酸酯酶、过氧化物酶和组胺酶等,因此它也是一种溶酶体。
嗜酸性粒细胞也能作变形运动,并具有趋化性。它能吞噬抗原抗体复合物,释放组胺酶灭活组胺,从而减弱过敏反应。嗜酸性粒细胞还能借助抗体与某些寄生虫表面结合,释放颗粒内物质,杀灭寄生虫。故而嗜酸性粒细胞具有抗过敏和抗寄生虫作用。在过敏性疾病或寄生虫病时,血液中嗜酸性粒细胞增多。它在血液中一般仅停留数小时,在组织中可存活8~12天。
3.嗜碱性粒细胞 嗜碱性粒细胞(basoophilic granulocyte,basophil)数量最少,占白细胞总数的0~15。细胞呈球形,直径10-12μm。胞核分叶或呈S形或不规则形,着色较浅。胞质内含有嗜碱性颗粒,大小不等,分布不均,染成蓝紫色,可覆盖在核上(图5-2)。颗粒具有异染性,甲苯胺蓝染色呈紫红色。电镜下,嗜碱性颗粒内充满细小微粒,呈均匀状或螺纹状分布(图5-4,5-5)。颗粒内含有肝素和组胺,可被快速释放;而白三烯则存在于细胞基质内,它的释放较前者缓慢。肝素具有抗凝血作用,,组胺和白三烯参与过敏反应。嗜碱性粒细胞在组织中可存活12-15天。
嗜碱性粒细胞与肥大细胞,在分布、胞核的形态,以及颗粒的大小与结构上,均有所不同。但两种细胞都含有肝素、组胺和白三烯等成分,故嗜碱性粒细胞的功能与肥大细胞相似,但两者的关系尚待研究。

图5-4 三种粒细胞超微结构模式图

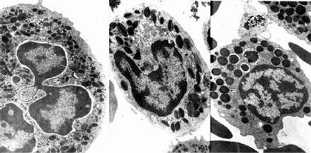
图5-5 人三种粒电镜像 ×17800
左图:中性粒细胞(白求恩医科大学尹昕、朱秀雄教授供图)
中图:嗜酸性粒细胞 左图:嗜碱性粒细胞
↑特殊颗粒,(
)嗜天青颗粒
4.单核细胞 单核细胞(monocyte)占白细胞总数的3%~8%。它是白细胞中体积最大的细胞。直径14~20μm,呈圆形或椭圆形。胞核形态多样,呈卵圆形、肾形、马蹄形或不规则形等。核常偏位,染色质颗粒细而松散,故着色较浅。胞质较多,呈弱嗜碱性,含有许多细小的嗜天青颗粒,使胞质染成深浅不匀的灰蓝色(图5-2)。颗粒内含有过氧化物酶、酸性磷酸酶、非特异性酯酶和溶菌酶,这些酶不仅与单核细胞的功能有关,而且可作为与淋巴细胞的鉴别点。电镜下,细胞表面有皱褶和微绒毛,胞质内有许多吞噬泡、线粒体和粗面内质网,颗粒具溶酶体样结构(图5-6)。

图5-6 淋巴细胞与单核细胞超微结构模式图
单核细胞具有活跃的变形运动、明显的趋化性和一定的吞噬功能。单核细胞是巨噬细胞的前身,它在血流中停留1-5天后,穿出血管进入组织和体腔,分化为巨噬细胞。单核细胞和巨噬细胞都能消灭侵入机体的细菌,吞噬异物颗粒,消除体内衰老损伤的细胞,并参与免疫,但其功能不及巨噬细胞强。
5.淋巴细胞 淋巴细胞(lymphocyte)占白细胞总数的20%~30%,圆形或椭圆形,大小不等。直径6~8μm的为小淋巴细胞,9~12μm的为中淋巴细胞,13~20μm的为大淋巴细胞。小淋巴细胞数量最多,细胞核圆形,一侧常有小凹陷,染色质致密呈块状,着色深,核占细胞的大部,胞质很少,在核周成一窄缘,嗜碱性,染成蔚蓝色,含少量嗜天青颗粒。中淋巴细胞和大淋巴细胞的核椭圆形,染色质较疏松,故着色较浅,胞质较多,胞质内也可见少量嗜天青颗粒(图5-2)。少数大、中淋巴细胞的核呈肾形,胞质内含有较多的大嗜天青颗粒,称为大颗粒淋巴细胞、电镜下,淋巴细胞的胞质内主要是大量的游离核糖体,其他细胞器均不发达(图5-6)。
以往曾认为,大、中、小淋巴细胞的分化程度不同,小淋巴细胞为终末细胞。但目前普遍认为,多数小淋巴细胞并非终末细胞。它在抗原刺激下可转变为幼稚的淋巴细胞,进而增殖分化。而且淋巴细胞也并非单一群体,根据它们的发生部位、表面特征、寿命长短和免疫功能的不同,至少可分为T细胞、B细胞、杀伤(K)细胞和自然杀伤(NK)细胞等四类。
血液中的T细胞约占淋巴细胞总数的75%,它参与细胞免疫,如排斥异移体移植物、抗肿瘤等,并具有免疫调节功能。B细胞约占血中淋巴细胞总数的10%~15%。B细胞受抗原刺激后增殖分化为浆细胞,产生抗体,参与体液免疫(详见免疫系统)。
参看
| 关于“组织学/白细胞”的留言: | |
|
目前暂无留言 | |
| 添加留言 | |