皮克氏病
| A+医学百科 >> 皮克氏病 |
| 皮克氏病 | |
|---|---|
| 分类系统及外部资源 | |
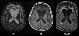
皮克氏症的大脑磁共振成像 |
|
| ICD-9 | 331.11 |
| OMIM | 172700 |
| DiseasesDB | 10034 |
| eMedicine | neuro/311 |
| MeSH | D020774 |
皮克氏病(Pick's disease,PiD),为一种渐进性痴呆。通常开始于中年,形成于早年,其反应为缓慢渐进的性格改变与社交能力衰退,并伴有智力、记忆和语言组织能力损伤,此外还会有情感淡漠、亢奋和偶然的椎体外系症状。
|
|||||||||||||||||||||||||||||||||||||||||||||||||||||||||||||||
|
||||||||||||||||||||||||||||||||||||||||||||||||||||||||||||||
参考来源
出自A+医学百科 “皮克氏病”条目 http://www.ye8.net/yixueshu/w/%E7%9A%AE%E5%85%8B%E6%B0%8F%E7%97%85 转载请保留此链接
| 关于“皮克氏病”的留言: | |
|
目前暂无留言 | |
| 添加留言 | |