生精上皮
跳转到:
导航
,
搜索
A+医学百科
>> 生精上皮
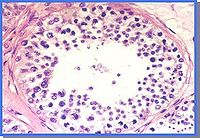
生
精小管
的
生精上皮
,
生精细胞
排列成复层。
图为
睾丸
,HE
染色
出自A+医学百科 “生精上皮”条目
http://www.ye8.net/yixueshu/w/%E7%94%9F%E7%B2%BE%E4%B8%8A%E7%9A%AE
转载请保留此链接
关于“
生精上皮
”的留言:
订阅讨论RSS
目前暂无留言
添加留言
更多医学百科条目
个人工具
登录/创建账户
名字空间
页面
讨论
查看
阅读
繁体/正体
编辑修改
修订历史
动作
搜索
导航
首页
大医精诚
人体穴位图
中药图典
全国医院列表
医学电子书
药品百科
中医百科
疾病诊断
急救常识
疾病查询
中药百科
中医方剂大全
怎样看化验单
全国制药企业
医科院校大全
医事漫谈
医学下载
医学视频
推荐工具
医学资讯博客
功能菜单
添加页面
志愿者招募中
积分排名
关于广告
网站事务
最近更改
工具箱
链入页面
链出更改
所有特殊页面
可打印版