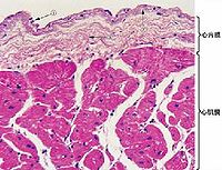
心肌
| A+医学百科 >> 心肌 | 
心肌(cardiac muscle) 由心肌细胞构成的一种肌肉组织。广义的心肌细胞包括组成窦房结、房内束、房室交界部、房室束(即希斯束)和浦肯野纤维等的特殊分化了的心肌细胞,以及一般的心房肌和心室肌工作细胞。前5种组成了心脏起搏传导系统,它们所含肌原纤维极少,或根本没有,因此均无收缩功能;但是,它们具有自律性和传导性,是心脏自律性活动的功能基础;后两种具收缩性,是心脏舒缩活动的功能基础。
| 目录 | 
心肌细胞的结构特征
心肌细胞与骨骼肌的结构基本相似,也有横纹,但在结构上具有以下几个特征:
①心肌细胞为短柱状,一般只有一个细胞核,而骨骼肌纤维是多核细胞。心肌细胞之间有闰盘结构。该处细胞膜凹凸相嵌,并特殊分化形成桥粒,彼此紧密连接,但心肌细胞之间并无原生质的连续。心肌组织过去曾被误认为是合胞体,电子显微镜的研究发现心肌细胞间有明显的隔膜,从而得到纠正。心肌的闰盘有利于细胞间的兴奋传递。这一方面由于该处结构对电流的阻抗较低,兴奋波易于通过;另方面又因该处呈间隙连接,内有15~20埃的嗜水小管,可允许钙离子等离子通透转运。因此,正常的心房肌或心室肌细胞虽然彼此分开,但几乎同时兴奋而作同步收缩,大大提高了心肌收缩的效能,功能上体现了合胞体的特性,故常有“功能合胞体”之称。
②心肌细胞的细胞核多位于细胞中部,形状似椭圆或似长方形,其长轴与肌原纤维的方向一致。肌原纤维绕核而行,核的两端富有肌浆,其中含有丰富的糖原颗粒和线粒体,以适应心肌持续性节律收缩活动的需要。从横断面来看,心肌细胞的直径比骨骼肌小,前者约为15微米,而后者则为100微米左右。从纵断面来看,心肌细胞的肌节长度也比骨骼肌的肌节为短。
③在电子显微镜下观察,也可看到心肌细胞的肌原纤维、横小管、肌质网、线粒体、糖原、脂肪等超微结构。但是心肌细胞与骨骼肌有所不同;心肌细胞的肌原纤维粗细差别很大,介于0.2~2.3微米间;同时,粗的肌原纤维与细的肌原纤维可相互移行,相邻者又彼此接近以致分界不清。心肌细胞的横小管位于Z线水平,多种哺乳动物均有纵轴向伸出,管径约0.2微米。而骨骼肌的横小管位于A-I带交界处,无纵轴向伸出,管径较大,约0.4微米。心肌细胞的肌质网丛状居中间,侧终池不多,与横小管不广泛相贴。总之,心肌细胞与骨骼肌细胞在形态和功能上均各有其特点。
心肌的电生理特性
心肌细胞的结构特征决定了心肌的生理特性。
自律性
动物的心脏在适宜的离子浓度、渗透压、酸碱度、温湿度以及充分的氧气和能源供应等条件下,即使除去所有的神经,甚至在离体条件下,它仍然能够保持其固有的节律性收缩活动。即心肌本身具有自动节律性,简称自律性。绝大多数脊椎动物心肌的自律性是肌源性的,而不是神经源性的。鸡胚在孵化后的第2天,尚无神经纤维长入,就已经出现自律性舒缩活动。心肌细胞经过组织培养过程而新生一代的心肌细胞也
有自律性。这些都是有力的证据。但在无脊椎动物,如有些节肢动物,其心肌的自律性是神经源性的,如鲎就是一例。但鲎在胚胎发育阶段,心搏自律性也是肌源性的,直到第28天神经发育完善以后,它的管状心脏的自律性搏动才变成神经源性的;切断神经后会使心搏停止。乙酰胆碱可使成年鲎心的搏动加速,而在胚胎期的鲎心则对乙酰胆碱无反应。脊椎动物和无脊椎动物中的软体动物、被囊动物的心搏自律性属肌源性;环形动物、昆虫纲动物的心搏多属神经源性。蜜蜂、蝗虫、蟋蟀、蟑螂的心搏都受外部神经和激素的调节,有些昆虫如蚕的心似有几个起搏点,因此常发生逆行性搏动。在生理情况下,哺乳动物心脏的起搏传导传统中,自律性最高的是窦房结起搏细胞,其起搏节律在整体情况下,因受神经的调节而保持于每分钟70次左右(在成年人)的窦性心律水平。房室交界部和浦肯野纤维的自律性次之,分别为40~55次/分钟及25~40次/分钟;心房肌和心室肌无自律性。
兴奋性及兴奋时的电位变化
心肌细胞兴奋时与骨骼肌和神经细胞一样,会产生动作电位,其兴奋性也经历一系列的时相性变化。但心肌的动作电位又有其特点。以心室肌为例,它从去极化到复极化的全过程,可分为0、1、2、3、4共5个时相,0期为去极化过程,其余4个期为复极化过程。心室肌的复极化过程很长,一般可达300~350毫秒。并在2 期出现电位停滞于零线附近缓慢复极化的平台,这是心室肌动作电位区别于骨骼肌的显著特点。
心肌细胞兴奋时会产生动作电位,这种电位变化与骨骼肌、神经细胞的动作电位大致相似。都可以表现为静息电位和兴奋时的动作电位。心肌细胞膜主要由类脂质和蛋白质分子构成。静息时膜表面任何两点都是等电位的,但在膜内和膜外却存在着明显的电位差,用细胞内微电极记录到的静息电位约为90毫伏,膜外电位为正,膜内的为负。当心肌细胞受刺激而兴奋时,兴奋处膜电位发生反极化,即膜外电位暂时变负,膜内电位暂时变正,兴奋后又可恢复原来的极化状态,这叫再极化或复极化。心肌细胞动作电位与骨骼肌动作电位的主要区别是前者持续时间长,特别是再极化过程持续时间长,一般可达200~300毫秒,形成平台,心肌细胞动作电位的持续期大体相当心肌细胞的收缩期。动作电位最先出现的锋电位可达+10到
+30毫伏心肌动作电位的持续时程随心率的变化而改变;心率越快动作电位的持续期相应缩短,一般动作电位的持续期约为两次心搏间期的1/2。 心肌兴奋后膜内电位恢复到 -55毫伏段以前这时间内,任何强大的刺激都不会再引起心肌兴奋,这段时间叫绝对不应期,当膜内电位由-55毫伏恢复到-66毫伏左右时,如果第二个刺激足够强的话,可引起膜的部分去极化,但不能传播(局部兴奋),即不能引起可传播的动作电位,这段时间叫做有效不应期。从有效不应期之末到复极化基本完成 (膜内电位恢复到-80毫伏左右)的这段时间叫相对不应期,此时阈值以上的第二个刺激可引起动作电位。相对不应期之后有一段时间心肌细胞的兴奋性超出正常水平,叫做超常期,此时阈下强度的刺激也能引起细胞的兴奋,产生动作电位。可见心肌动作电位可以精确地反映其兴奋的变化,持续的平台反映很长的不应期。心室肌特长的不应期有重要的生理学意义,它可以确保心搏有节律地工作而不受过多刺激的影响,不会像骨骼肌那样产生强直收缩从而导致心脏泵血功能的停止。心房肌的绝对不应期短得多,仅仅150毫秒,从而常可产生较快的收缩频率,出现心房搏动或心房颤动。心房的相对不应期和超常期均为30~40毫秒,但它的有效不应期较长,约200~250毫秒。这一特性有利于心脏进行长期不疲劳的舒缩活动,而不致于像骨骼肌那样产生强直收缩而影响其射血功能。
传导性
心肌细胞具有传导兴奋的特性。正常心脏的节律起搏点是窦房结,它所产生的自动节律性兴奋,可依次通过心脏的起搏传导系统,而先后传到心房肌和心室肌的工作细胞,使心房和心室依次产生节律性的收缩活动。心肌的兴奋在窦房结内传导的速度较慢,约0.05米/秒;房内束的传导速度较快,为1.0~1.2米/秒;房室交界部的结区的传导速度最慢,仅有0.02~0.05米/秒;房室束及其左右分枝的浦肯野纤维的传导速度最快,分别为1.2~2.0及2.0~4.0米/秒。
心肌的机械生理特征
收缩性是心肌的一种机械特性。
收缩性 心脏的节律性同步收缩活动是心肌的又一重要生理特性。首先,由于心肌有较长的有效不应期和自动节律性;同时,心房肌和心室肌又各自作为功能合胞体,几乎是同时地产生整个心房或心室的同步性
收缩,使心房或心室的内压快速增高,推动其中的血液流动,从而实现血液循环的生理功能。总之,心房和心室肌肉的节律性、顺序性、同步性收缩和舒张活动是心脏实现其泵血功能的基础。
心肌的收缩性与自律性、兴奋性、传导性共同决定着心脏的活动。
1.正常情况下,窦房结的自律性最高,它自动产生的兴奋依次激动心房肌、房室交界、房室束及其分支和心室肌,引起整个心脏兴奋和收缩。由于窦房结是正常心脏兴奋的发源地,又是统一整个心脏兴奋和收缩节律的中心,故称为心脏的正常起搏点。故由窦房结控制的心跳节律,称为窦性节律。而正常情况下,窦房结以外的心脏自律组织因受窦房结兴奋的控制,不表现其自律性,故称为潜在起搏点。
窦房结对其它潜在起搏点的控制作用,一般是通过抢先占领和超速抑制两种方式实现的:
抢先占领:由于窦房结的自律性最高,4期自动除极的速度最快,所以在潜在起搏点4期自动除极到达阈电位水平之前,窦房结传导来的兴奋已促使整个心脏兴奋和收缩,故正常时潜在起博点自律性无法表现出来,在心脏内兴奋传导过程,它们仅起到传导兴奋的作用。
超速抑制:窦房结对于潜在起博点还可以产生一种直接的抑制,潜在起博点受到其自身固有自律性更高的节律性所激动时,其自身的节律性就受到抑制。这就是超速驱动抑制,简称超速抑制。这种抑制的程度与两个起搏点之间自动兴奋的频率差呈平行关系,频率差越大,抑制效应越强;频率越小,抑制效应越弱。
2.影响自律性的因素4期自动除极是自律性形成的基础。因此,自律性的高低取决于4期自动除极的
速度和最大舒张电位和阈电位的差距。
(1)4期自动除极的速度:如果4期自动除极速度快,从最大舒张电位到阂电位所需的时间缩短,单位时间内产生兴奋的次数增多,自律性增高;反之,4期自动除极速度慢,从最大舒张电位到阈电位的时间延长,单位时间内产生兴奋的次数减少,则自律性降低。
(2)最大舒张电位大小:最大舒张电位绝对值小,离阈电位近,自动除极达阈电位的的间缩短,自律性增高;反之,最大舒张电位绝对值大,离阈电位远,自动除极达阈电位的的间延长,自律性降低。
(3)阈电位水平:阈电位水平下移(绝对值增大),与最大舒张电位的差距减小,自动除极达阈电位的时间缩短,自律性增高;反之阈电位水平上移(绝对值减小),与最大舒张电位的差距加大,自动除极达阈电位的时间延长,则自律性降低
心肌病分类
通常指病因不能明确的心肌疾病称特发性心肌病,主要为扩张型心肌病、肥厚型心肌病、限制型心肌病和致心律失常型心肌病。其中以扩张型心肌病和肥厚型心肌病较为常见。
特异性心肌病
指伴有特异性心脏病或特异性系统性疾病的心肌疾病。
1、缺血性心肌病表现为:扩张型心肌病伴收缩功能损伤而不能以冠状动脉病变或缺血损伤的范围来解释;
2、瓣膜性心肌病表现为:心室功能障碍而超过了其异常负荷;
3、高血压性心肌病常表现为:左心室肥大伴扩张型或限制型心肌病心力衰竭的特点;
4、炎症性心肌病:为心肌炎伴心功能不全的炎症性心肌病,有特异性自身免疫性及感染性;
5、代谢性心肌病:内分泌性如甲状腺功能亢进减退、肾上腺皮质功能不全、嗜铬细胞瘤、肢端肥大症和糖尿病;
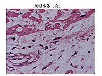
6、全身系统疾病:包括结缔组织病如:系统性红斑狼疮、结节性多动脉炎、风湿性关节炎、硬皮病和皮肌炎;浸润和肉牙肿如结节病及白血病;
7、肌营养不良:包括Duchenne肌营养不良、Becker肌营养不良、强直性肌营养不良;
8、神经肌肉病变:包括遗传性共济失调、Noonan综合征及着色斑病;
9、过敏及中毒反应:包括对乙醇、儿茶酚胺、蒽环类药物、放射线等损害的反应性心肌病;
10、围生期心肌病:可首次在围生期发病的疾病
特发性心肌病
心是指伴有心功能障碍的心肌疾病,可分为扩张型心肌病、肥厚型心肌病、限制型心肌病和致心律失常型心肌病。
① 扩张型心肌病 左心室或双侧心室扩张及收缩功能障碍,没有可以是特发性、家族性或遗传性、病毒
性和(或U免疫性、酒精性或中毒性,以及并发于已知严重的心血管疾病,但其心功能损伤程度太多不能以异常负荷或缺血损伤的范围来解释说不清。组织学改变是非特异性的。很贵临床表现通常伴有心力衰竭,且呈进行性,常有心律失常、血栓栓塞及猝死,并可发生在病程中的主要任何一期内。
② 肥厚性心肌病 特点为左心室或右心室肥厚,通常是非对称性,并侵及室间隔。典型者左心室容量正常家长或减低,常有收缩期压力阶差。家族性通常为常染色体显性遗传,本病由肌质网收缩蛋白基因突变所致。典型形态学改变为心肌细胞肥大和排列紊乱,周围疏松结缔组织增多。多发生心律失常及早年猝死。
③ 限制性心肌病 其特点为一侧或两侧心室指责有限制充盈及舒张期容量减少,其收缩功能不想正常或接近不象正常,心室壁增厚,可能失望伴增生的间质纤维化。一句可以是特发性的或伴发于看好其他疾病(如淀粉样变性,伴或不伴嗜酸性粒细胞增多症的心上次内膜心肌病)。
④ 致心律失常性右心室心肌病 其特点为右心室心肌进行性被纤维脂肪组织所代替,初始为局限性,逐渐发展为全右心受累,有时左心室也受累,而室间隔相对不受侵犯。多为家族性,属常染色体显性遗传及不完全性外显,有时为隐性型。表现为心律失常,常可猝死,尤其是年青病人所谓。
⑤ 不定型心肌病 包括不能首先分入任何任何组织的少数病人儿子(如弹力纤维增生症,未侵及心
肌,收缩功能有障碍,只有轻度扩张,线粒体受波及)。
有些疾病可表现为一型以上并且的心肌病(如淀粉样变、高血压)。心律失常和传导系统疾病可以副作用为原发性心肌异常,现尚未归入心肌病内。
临床表现
一、扩张型心肌病,又称充血性心肌病,病理上以心肌变性、纤维化、心腔扩张为突出,其主要特征是心肌收缩功能障碍,进而发生心功能不全。病人容易合并各种心律失常及栓塞,甚或发生猝死。患者多有心悸、气急、胸闷、心前区憋痛不适等症状。重者出现浮肿、端坐呼吸、肝脏肿大伴压痛等充血性心力衰竭的表现。
二、肥厚型心肌病似心肌非对称性肥厚,心室腔缩小为特征。患者可有心悸、气促、胸闷胸痛,劳力
性呼吸困难等症状。重者发生头晕及晕厥。伴有流出道梗阻时,在起立时或运动中常诱发眩晕、甚至神志丧失的表现。
三、限制型心肌病,以心内膜纤维增生为主,致使心脏的收缩及舒张功能都受影响。患者以右心回流障碍,右心衰竭显著,可出现心悸、呼吸困难、浮肿、颈静脉怒张、肝脏肿大及腹水等表现。
诊断
心肌病的诊断以综合诊断为主,根据典型的临床表现,心脏超声等辅助检查及心肌的病理检查结果综合判定。并应注意除外其他心血管疾病。
治疗
西医药治疗
1、病因防治:积极处理各种病毒感染。
3、控制心力衰竭:应用利尿剂及强心甙,剂量宜由小至大,逐步增加。
4、纠正心律失常:根据不同类型的心律失常选抗心律失常药物。
中医药治疗
1、气阴双亏:心悸气促,神倦易累,胸闷不舒,自汗口渴,舌红少津,脉细数或结代。
治法:益气养阴。
方药:太子参30克,天冬、麦冬、生地、五味子、石斛、白芍各lo克,炙甘草8克。
2、阳虚水泛:心悸胸憋,神疲气短,形寒肢冷,浮肿少尿,动则气喘,苔白,脉沉细。
方药:茯苓20克,猪苓15克,制附片、白芍、白术、党参、丹参各10克,桂枝、干姜各6克。
3、阳虚欲脱:心悸气急,不能平卧,汗出淋漓,手足厥冷,舌淡苔白,脉沉细极弱。
治法:回阳固脱。
方药:人参15克,制附片12克,龙骨30克,牡蛎20克,山萸肉、麦冬、生地、丹参、当归、黄芪各10克。
预防与调养
1.积极治疗可能导致心肌病的原发病。
2.根据心功能情况,适当活动,但切忌不可过累,应多休息,病情严重时应卧床休息。
3.饮食宜清淡,有心衰时应控制钠、水摄人,生活规律,避免受寒而诱发疾病加重。
参看
| 
 | |||||||||||||||||||||||||||||||||||||||||||
| 关于“心肌”的留言: |  订阅讨论RSS | 
| 目前暂无留言 | |
| 添加留言 | |












