大骨节病
| A+医学百科 >> 大骨节病 |
大骨节病是一种地方性变形性骨关节病,中国国内又叫矮人病、算盘珠病等,国际医学界称本病为Kaschin-Beck病。大骨节病在国外主要分布于西伯利亚东部和朝鲜北部,在中国分布范围大,从东北到西南的广大地区均有报道,主要发生于黑、吉、辽、陕、晋等省,多分布于山区和半山区,平原少见。本病在各个年龄组都有发生,但多发于儿童和青少年,成人很少发病,无明显的性别差异。本病常常多发性、对称性侵犯软骨内成骨型骨骼;导致软骨内成骨障碍、管状骨变短和继发的变形性关节病。临床表现为关节疼痛、增粗变形,肌肉萎缩,运动障碍。
目录 |
介绍
大骨节病是发生于儿童,以关节软骨、骺软骨和骺软骨板变性坏死为基本病变的地方性骨病。又称柳拐子病。在我国,主要分布在东北至西藏的一个狭长高寒地带(阿坝州)。病因至今不完全清楚。在本病流行区,土壤、粮食和人发中偏低的硒含量与病情有非常明显的负相夫系。水中腐殖酸总量和腐殖酸(-OH)与病情有非常明显的正相关系。大骨节病区饮水中微量元素不足、过剩和失衡可能是引起营养不良性改变的因素。此外,采用“吃粮、改水、讲卫生”预防大骨节病已取得良好效果。本病发病年龄较小,一般为3-15岁儿童,手、足和踝部发病率高。
大骨节病的症状
本病常在不知不觉中起病,病人初期可能自觉缺乏,四肢无力,皮肤感觉异常(如有蚁走感、麻木感等),肌肉酸麻、疼痛等。这些症状常常不衡定,不明显。其主要的、典型的临床表现都与骨软骨损害和关节功能状态密切相关。
1.早期表现
在关节明显变大、出现短指(趾)畸形之前,早期症状、体征多缺乏特征性。根据大量调查和随访观察,以下几种表现值得重视。
⑴关节疼痛:往往为多发性、对称性,常先出现于活动量大的指关节和负重量大的膝、踝关节。病人感觉为胀痛、酸痛或“骨缝痛”。
⑵指未节弯曲:即第2、3、4指的末指节向掌心方向弯曲,常大于15º。这是本病出现最早的体征,在病区对早期诊断具有一定意义。但非病区少数儿童也可有程度较轻(小于15º)的指末节弯曲现象;病区没有指末节弯曲的青少年也可发生本病。指末节弯曲常与手指歪斜并存。歪斜以食指多见,其次是中指、环指。
⑶弓状指:手指向掌侧呈弓状屈曲。
⑷凝状指节增粗:一般发生在中节。
2.病情发展后的表现
本病病情发进展以后,除关节疼痛等早期表现继续加重外,主要有以下症状体征出现:
⑴关节增粗:最多见的是多发性、对称性指间关节增粗,常先出现在第二、三、四指的第一指间关节。一般右手指关节增粗比左手明显,受机械损伤的关节或妇女带顶针的指关节增粗较重。
⑵关节活动障碍:在手表现为晨起感觉握拳僵硬,握拳不紧,指尖不能接触掌横纹,握住的拳不能迅速伸展。肘关节屈伸受限,呈屈曲挛缩。肩关节受累时病人用手从头后摸不到对侧的耳朵,甚至洗脸洗不着前额。膝关节内翻或外翻,呈罗圈腿或剪刀形腿。由于膝、髋关节屈曲变形,病人蹲下困难,腰部脊柱代偿性前凸,臀部后凸,走路时步幅小,出现摇摆或瘸拐,呈“鸭行步态”,踝关节跖屈和背伸障碍。病人的疼痛和活动障碍常表现为休息后或晨起加重,稍事活动症状减轻。不少病人晨起后,需先扶床沿“遛遛”,然后才能迈步。
⑶关节磨擦音:从细小捻发音到粗糙的磨擦音不等。由于关节面不光滑、关节囊滑膜绒毛的增生、脱落等因素引起。
⑷关节游离体:既可来源于剥落的关节软骨碎片,也可由增生的滑膜绒毛脱落而来,后者多为细小的米粒小体。游离体在关节腔内活动可能被卡住,形成关节绞锁而引起剧痛;随关节活动使游离体松动而得到缓解。
⑸骨骼肌萎缩:本病的四会肌肉,特别是小腿和前臂的屈侧肌肉常见萎缩,有时甚至出现在关节有明显改变之前。本病后期由于疼痛和关节活动受限制,更有废用性因素参与,以致萎缩更加严重。
⑹短指(趾)畸形:指节发育比常人短,手小形方。或因各指(趾)发育障碍程度不同,其长短失去正常互相间的比例关系。
⑺短肢畸形,身材矮小:各管状骨发育障碍程度常不均等。有的病人桡骨早期生长停止,尺骨相对较长,尺骨茎突向下主背侧移位,手向桡侧倾斜,造成巴德隆畸形(Madelung"sdeformity)。发病年龄小而病变重者可形成大骨节病性侏儒,病人肢体与头及躯干不成比例,一般上臂明显短于前臂,小腿明显短于大腿,躯干接近正常人。
治疗
针对可能的病因与发病机制的药物
这类药物适用于早期病人,旨在阻断病情发展,促进病变修复。常用的有:
⑴亚硒酸钠和维生素E:针对病人体内有低硒的改变和膜损伤的表现而采用。一般用亚硒酸钠片口服,
每片含亚硒酸钠1mg,用量通常为10岁以下儿童每周服1片,10岁以上儿童每周服2片,服用至少6个月以上。同时服用维生素E,每日—20mg,能增强效果,永寿大骨节病考察表明,以X线下干骺端变化来判断,服药1年时疗效达81.9%,与病人脱离病区到非病区后病变修复过程相近。由于硒的生理适宜用量范围较窄,因此要严格控制剂量,不可滥用。
⑵硫酸软骨素片剂(康得灵):针对病人有硫酸软骨素代谢障碍而采用。片剂每片0.12g,每次片,每日2次,3个月为一疗程。
⑶硫酸盐:也是针对硫代谢障碍。常用复方硫酸钠片,每片含无水硫酸钠0.36g,柠檬酸0.09g,还有适量淀粉、硬脂酸镁等赋形剂。用量10岁以下每日片,10-15岁每日片,15岁以上每日片。每日2次饭后服用。6-8个月为一疗程。也可用硫酸镁片,10岁以下每日g,10-15岁每日g,15岁以上每日g。每日2次饭后服用。6-8个月为一疗程。还可口服1%稀硫酸,每日口服1次,每次—10mg,加温开水200ml,饭后服用。
针对关节疼痛、活动障碍的药物
这类对症治疗药物甚多,可用于各个时期的病人。常用药物有:
⑴水杨酸类:可用肠溶型阿司匹林片或其他水杨酸制剂。据报道不仅有止痛作用,还能抑制蛋白质水
解酶,促进软骨病变修复。但长期服用应注意其副作用。
⑵中药类:常用的有又乌丸(川乌、草乌等组成)、马钱子丸、上痛活血散、小活络丹等。
3.针炙、理疗
针炙、理疗也是止痛、解痉和改善关节功能的对症疗法。除传统的针炙、拔火罐、按摩之外,还可因地制宜采用泥疗、蜡疗、矿泉浴等疗法,也可使用热电刺激疗法、离子导入疗法等。离子导入的溶液可用5%硫代硫酸钠。
4.手术治疗
对严重关节畸形、关节挛缩或时有关节交锁的Ⅱ、Ⅲ度病人可施行矫形外科手术,剔除关节游离体,清理关节内部,矫正畸形。常能收到良好效果。
临床表现
典型表现为侏儒、骨端增大、关节运动受限和疼痛。发病年龄越早,关节变形和侏儒越为明显,成人患者的症状一般较轻,常仅限于关节。
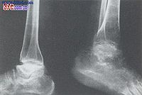
影像学表现
本病是在骨发育过程中发生的全身性、多发灶性、软骨坏死性疾病,造成的骨关节损害将持续终身,X
线征象归纳如下:
1.干骺端边缘模糊或凹凸不平,呈波浪状以至锯齿状。如病变继续发展,指骨端不整齐的边缘可呈碎裂现象。此时,关节无明显变形。
2.以骨骺与骨干开始融合为特征。骨骺自中央部分开始融合,渐扩展到边缘,骨骺本身亦有破坏、分节、不整等现象,也可能完全被吸收。干骺端可呈杯口状凹陷,骨髓嵌入其中而早期愈合,停止发育。
3.干骺完全融合,骨的纵向发育停止,病骨变短变粗。因为各干骺的融合迟早不同,以致各指骨可呈现长短不齐,骨端宽大变形,使关节粗大。
4.如干骺端愈合以后的青年发病,临床症状多见且严重。关节相对骨端都有损害,可影响整个关节,表现为大骨节畸形,可伴有短骨干。
5.大骨节病所见的系列征象都是软骨坏死后的修复和继发变化。只有经过修复组织特别是骨的改变塑型,病变才能发展到消退、稳定或发生畸形。
本病常在不知不觉中起病,病人初期可能自觉缺乏,四肢无力,皮肤感觉异常(如有蚁走感、麻木感等),肌肉酸麻、疼痛等。这些症状常常不衡定,不明显。其主要的、典型的临床表现都与骨软骨损害和关节功能状态密切相关。
早期表现
在关节明显变大、出现短指(趾)畸形之前,早期症状、体征多缺乏特征性。根据大量调查和随访观察,
以下几种表现值得重视。 ⑴关节疼痛:往往为多发性、对称性,常先出现于活动量大的指关节和负重量大的膝、踝关节。病人感觉为胀痛、酸痛或“骨缝痛”。
⑵指未节弯曲:即第2、3、4指的末指节向掌心方向弯曲,常大于15º。这是本病出现最早的体征,在病区对早期诊断具有一定意义。但非病区少数儿童也可有程度较轻(小于15º)的指末节弯曲现象;病区没有指末节弯曲的青少年也可发生本病。指末节弯曲常与手指歪斜并存。歪斜以食指多见,其次是中指、环指。
⑶弓状指:手指向掌侧呈弓状屈曲。
⑷凝状指节增粗:一般发生在中节。
病情发展后的表现
本病病情发进展以后,除关节疼痛等早期表现继续加重外,主要有以下症状体征出现:⑴、关节增粗:最多见的是多发性、对称性指间关节增粗,常先出现在第二、三、四指的第一指间关节。一般右手指关节增粗比左手明显,受机械损伤的关节或妇女带顶针的指关节增粗较重。
⑵、关节活动障碍:在手表现为晨起感觉握拳僵硬,握拳不紧,指尖不能接触掌横纹,握住的拳不能迅速伸展。肘关节屈伸受限,呈屈曲挛缩。肩关节受累时病人用手从头后摸不到对侧的耳朵,甚至洗脸洗不着前额。膝关节内翻或外翻,呈罗圈腿或剪刀形腿。由于膝、髋关节屈曲变形,病人蹲下困难,腰部脊柱代偿性前凸,臀部后凸,走路时步幅小,出现摇摆或瘸拐,呈“鸭行步态”,踝关节跖屈和背伸障碍。病人的疼痛和活动障碍常表现为休息后或晨起加重,稍事活动症状减轻。不少病人晨起后,需先扶床沿“遛
遛”,然后才能迈步。
⑶、关节磨擦音:从细小捻发音到粗糙的磨擦音不等。由于关节面不光滑、关节囊滑膜绒毛的增生、脱落等因素引起。
⑷、关节游离体:既可来源于剥落的关节软骨碎片,也可由增生的滑膜绒毛脱落而来,后者多为细小的米粒小体。游离体在关节腔内活动可能被卡住,形成关节绞锁而引起剧痛;随关节活动使游离体松动而得到缓解。
⑸、骨骼肌萎缩:本病的四肢肌肉,特别是小腿和前臂的屈侧肌肉常见萎缩,有时甚至出现在关节有明显改变之前。本病后期由于疼痛和关节活动受限制,更有废用性因素参与,以致萎缩更加严重。
⑹、短指(趾)畸形:指节发育比常人短,手小形方。或因各指(趾)发育障碍程度不同,其长短失去正常互相间的比例关系。
⑺、短肢畸形,身材矮小:各管状骨发育障碍程度常不均等。有的病人桡骨早期生长停止,尺骨相对较长,尺骨茎突向下主背侧移位,手向桡侧倾斜,造成巴德隆畸形。发病年龄小而病变重者可形成大骨节病性侏儒,病人肢体与头及躯干不成比例,一般上臂明显短于前臂,小腿明显短于大腿,躯干接近正常人。
病因
病因
大骨节病病因尚未阐明,当前因内外主要有3种病因学说。
生物地球化学说
最初由原苏联学者提出,认为本病由1种或几种元素过多、不足或不平衡所引起。早期曾认为与水、土钙少及锶多、钡多有关。后来又主张因病区水土和主副食中含磷、锰过多而致病。这些都未能人病人体内或实验研究中找到确切根据。
中国科学家发现大骨节病与环境低硒有密切关系:
①、中国本病病区分布与低硒土壤地带大体上一致,大部分病区土壤总硒总量在0.15mg/kg以下,粮食硒含量多低于0.020mg/kg;
②、病区人群血、尿、头发硒含量低于非病区人群,病人体内可查出与低硒相联系的一系列代谢变化;
③、病区人群头发硒水平上升时,病情下降;
④、补硒后能降低大骨节病的新发率,促进干骺端病变的修复。
但也有一些重要事实不支持低硒是本病的病因:
①、有些地区低硒,并不发生大骨节病,如陕西的榆林、洛南以及四川、云南一些克山病病区;有些地方硒并不很低,却有本病发生,如山东的益都,山西的左权、霍县,陕西的安康,青海的斑玛等;
②、补硒后不能完全控制本病的的新发;]
④、低硒的动物实验不能造成类似本病的软骨坏死。
真菌毒素说
认为病区谷物被某种镰刀菌污染并形成耐热的毒性物质,居民因食用含此种霉素的食物而得病。这一学说
最初在1943-1945年间由原苏联学者提出,并未得到学术界普遍承认。
60年代以后,中国学者杨建伯等继续进行这一方面的研究,注意到病区玉米中检出最多的真菌是尖孢镰刀菌;并在病区玉米粉和面粉中检出多量镰刀代谢产物苏糖醇和木糖醇,其含量与大骨节病病情之间存在“剂量效应”联系。用病区谷物分离的镰刀菌接种于非病区玉米制成菌粮,按10%比例加入正常饮料喂养雏鸡,可引起雏鸡膝关节骺板软骨带状坏死。
真菌霉素说当前面临的主要问题是:
①、在流行病学上如何解释病区近距离灶状分布问题,用温度、湿度、粮食收割贮存条件等难以作出令人信服的解释;
②、各病区分离出的菌种不尽相同(例如有些病区分离出的的优势菌种是互隔交链孢霉而不是镰刀菌),病区与非病区间的差别不够规律;
③、细胞培养证明,镰刀菌毒素(如禾谷粉红色镰刀菌的TDP-1、梨孢镰刀T-2等)对软骨细胞并无选择性毒性作用。
有机物中毒说
认为本病系由于病区饮水被腐殖质污染所致。在中国许多病区,民间早就把本病起因归之于水质不良。日本学者泷泽等人研究饮水中植物性有机物与大骨节病的关系,认为有机物中阿魏酸对羟基桂皮酸可能为致病因素。
中国在1979-1982年的永寿县大骨节病科学考察中,测得水中腐殖酸总量和羟基腐殖酸含量与大骨节病患病变率呈正相关,与硒含量呈负相关。近年来对病区饮水中有机物的分离鉴定表明,病区与非病区腐殖酸结构的核心部分无明显差异,小分子有机物如酚醌类、含硫和氮的苯并噻唑类化合物在病区饮水中较多出现。用遇子自旋共振(ESR)进行检测,发现病区饮水中有明显的自由基信号。
有些学者认为低硒、真菌毒素和饮水中有机物3者在本病可能有其内在联系。即粮食受真菌污染和饮水受有机物污染的共同结果,都产生自由基(半醌自由基),增多的自由基进入人体可损伤软骨细胞;在病区环境缺乏足够的硒的保护情况下,便引起发病。这一观点所面临的主要问题是,自由基和过氧化损伤为何只选择性作用于软骨细胞,而对其他组织不带来明显损害。
实验动物模型研究
为了探讨病因与发病机制,多年来国内外许多学者都致力于本病实验动物模型的研究。
中国研究者一般都以软骨损害作为判定动物模型的基本形态学指标。但以往用大白鼠或狗所做的实验,在骺板和关节软骨所看到的多是散在性软骨细胞坏死、基质变性、较小的无细胞区等缺乏特征的轻度改变,和对照组相比缺乏质的差别,因而难以判断其价值。近年来比较成功的是在恒河幼猴用病区粮、水所进行的实验。在饲以病区水或粮6个月或18个月后,大部分猴的关节软骨和骺板软骨深层出现灶状、带状坏死及坏死后的一系列继发变化,基本上重现了大骨节病的病理发展过程和主要病变特征。实验结果提示病区水和粮中都有致病因素存在;这类致病因素对实验动物的致病作用并没有随该病区病情减轻而变弱;单用病区水亦可引起明显软骨坏死,故基本病因不太像是某种微量元素的缺乏。
病理
软骨的基本病理变化
本病主要累及软骨内成骨的骨骼,特别是四肢骨,表现为透明软骨的变性坏死及伴随的吸收、修复性变化。软骨细胞常见凝固性坏死,细胞核固缩、碎裂、溶解消失后,残留红染的细胞影子。进而残影消失,基质红染,成为灶状、带状的无细胞区。坏死区还可进一步崩解、液化。坏死灶周围存在的软骨细胞常有反应性增生,形成大小不等的软骨细胞团。在邻近骨组织处,坏死部倍可发生病理性钙化;初级骨髓的血管和结缔组织侵入坏死灶丙,出现机化、骨化,最终为骨组织所代替。 软骨坏死以累及成熟中的软骨细胞(肥大软骨细胞)为主,呈现近骨性分布。坏死扩大时,也会波及其他层次的软骨细胞。坏死灶常为多发性,大小不一,呈点状、片状或带状。
骺板软骨病变
骺板软骨的坏死主要发生于肥大细胞层,重者可贯穿骺板全层。骺板深层发生坏死后,该部由干骺端来的血管不能侵入,正常的软骨内成骨活动停止;但坏死灶上方存活的增生层软骨细胞还能继续增生、分化,导致骺板的这一局部增厚。在坏死灶的近骨缘常发生退行性钙化,并可沿坏死灶的干骺缘沉积骨质,形成不规则的骨片或横骨梁,表示正常骨化过程停顿。而骺板的其他部分成骨活动仍在继续,因而造成骺板的厚薄不均和骨化线的参差不齐。
当坏死灶贯穿整个骺板时,由骺板和干骺端两个方向进行坏死物的吸收、机化和骨化,终于导致骺板提前骨性闭合,该管状骨的纵向生长早期停止,造成短指(趾)或短肢畸形。
由于干骺端血管丰富,骺板软骨坏死后的吸收、机化和骨化发展较为迅速,因而其X线影像在较短时间(数月于1年)内可明显加重或好转愈复。
关节软骨病变
和骺板软骨的坏死灶一样,关节软骨的病变也呈近骨性分布,即首先是深层成熟中的软骨细胞受累。由于此部坏死物质的吸收较为缓慢,坏死存在时间较久,故坏死灶周边部增生垢软骨细胞团往往更引人注目。在较大的坏死灶当坏死物质崩解、液化后,形成裂隙或囊腔。在重力和磨擦等机械作用下,其表层软骨组织每易成片剥落(分离性骨软骨炎),形成关节游离体(关节鼠),而局部关节面则留下大小不等的溃疡。重者病变部关节软骨可全层破坏消失,造成大片骨质裸露。在关节面的边缘部分,与软骨坏死相伴随常有软骨增生反应,导致关节边缘部分增厚,且可骨化而形成骨性边缘增生物,由此而引起患者骨端增大,关节变形和活动受限。后期关节滑膜结缔组织增生、钙化和骨化,更加重了关节粗大。由于关节软骨的变性坏死、崩解剥落和修笔增生等过程反复进行,以致晚期病例表现为变形性关节病的改变。但从未见发生骨性关节强直。
关节软骨坏死的吸收机化只能板壳的正常缺点口处开始,修复反应相对较弱,病变发展较为缓慢。因此,在X线下关节面(骨端)的病变往往比干骺端的病变显影较晚,修复过程发展缓慢,历经较长时间而变化甚微。
软骨损害的发生机制
目前主要有以下3种见解: 一种意见认为,本病软骨损害的生物化学基础是硫代谢障碍。硫酸软骨素(Chs)是软骨基质的重要成分。持这种见解的研究者发现本病病人尿中Chs的排泄量增高,硫酸化程度降低,分子量变小,尿中各种氨基多糖的比例失调;他们认为这些变化提示有硫的利用障碍。体内Chs的硫酸化受肝、肾等脏器产生的硫酸化因子(SF)所调控。他们发现本病儿童患者血清SF活力明显低于当地健康对照儿童,后者又低于非病区对照儿童;他们认为硫代谢障碍是SF活力降低的结果,本病的致病因素是通过干扰SF的生物功能而引起一系列软骨损害的。
另一种意见认为,细胞的膜缺陷状态是构成本病发病的生物化学基础。他们发现本病患儿红细胞的膜脂组成中磷脂减少,胆固醇/磷脂的分子比增加;在磷脂中又以磷脂酰胆碱(PC)降低为主,鞘磷脂(SM)变化较小,SM/PC的分子比升高。这些变化意味着生物膜的老化。上述情况同样也见于本病患儿尸检材料的软骨分析中,他们认为生态环境低温、低硒和食物单调(磷脂摄入不足)的共同作用,导致膜系统脆弱和抗氧化能力降低而发病。 还有一种意见认为,外源性自由基源既可引起软骨细胞坏死,又可导致软骨细胞代谢异常。后者将合成和分泌富含Ⅰ型胶原的异常基质,发生速度快、粒度小、结晶度低的异常矿化,从而引发本病的病理化学过程。用病区粮、水饲养小鼠,发现软骨基质中Ⅰ型胶原增多。Ⅰ型/Ⅱ型之比增加。
上述氨基多糖、胶原和细胞膜系统的变化,都为探讨软骨损害的发生机制提供了有益线索。但对于合理解释病因如何选择性作用于软骨的特定部位和启动一系列特征性改变,还存在较大距离。
辅助检查
由于病人发病年龄、受累部位、病变发展阶段不同,X线有不同表现。原苏联与国学者曾主要依据于部X线改变将本病分为以下几型。
X线表现
⑴、干骼型:以干骼端改变为主,包括临时钙化带变薄、模糊、中断、消失,干骼端出现凹陷、硬化等。干骺型发生于学龄前及学龄儿童,反映骺板软骨坏死后的继发变化,代表大骨节病较早的损害,临床症状多为阴性或非常轻微。干骺型的X线变化除很明显的硬化在非病区儿童中较少见外,其他征象均可在非病区儿童中出现。因而在同一地区没有发现Ⅰ度以上典型病例的情况下,不宜仅凭某几点干骺端X线改变就诊断为本病。前面谈过的日本发现的所谓大骨节病,就是由于没有充分注意到这一点。⑵、干骺骨骺型:除上述干骼端变化外,骨骺也有变化,如骨骺常呈锥状或其他变形,嵌入凹陷的干骺端等。此型多发生于学龄及青春期,反映骺板软骨的一部分发生全层坏死,其干骺侧和骺核侧同时有生长障碍和骨质变化,局部骺板早期穿通化骨。这是干骺型的进一步发展。
⑶、骨端型:以骨端改变为主,包括骨性关节面模糊不整、变薄、中断、凹陷变形、硬化、甚至碎裂等改变。多发生于学龄儿童至青春期以后年龄段,反映关节软骨深层坏死继发的骨质改变。骨端的变化发展较慢,合并其他关节损害多。骨端出现变化的诊断意义比干骺端的变化更重要,更具有特异性。
⑷、骨关节型:见于骺线闭合、骺板软骨消失之后,包括骨关节面的严重破坏、凹凸不平、增生硬化、骨刺形成、骨质碎裂、囊性变、骨端粗大畸形等改变。常累及多关节,X线所见类似退行性(增生性)关节病,是本病的晚期表现。
与骨、软骨代谢有关的检查
⑴、血浆碱性磷酸酶(ALP)活性升高,特别是X线有典型改变的大骨节病儿童较病区健康对照和非病区健康对照均有显著增高。在没有明显肝、肾等脏器官损害的情况下,ALP主要来自骨骼,反映成肌细胞功能活跃。
⑵、尿中羟赖氨酸明显增高,且随X线所反映的病情加重而上升。侧同样为胶原分解产物的羟脯氨酸变化却不太规律。有时报告中尿羟脯氨酸在活跃重病区有增高趋势,有的报道则相反。
⑶、尿中硫酸软骨素(Chs)的排泄量升高,反映软骨基质的分解增多。Chs的硫酸化程度降低,用醋酸纤维素薄膜电泳法查出病人尿中Chs的电泳迁移率明显变大,说明Chs的分子量变小。
鉴别诊断
大骨节病X线征象的发生、发展与发病年龄、部位有特定关系。故鉴别诊断应依不同情况与软骨发育不良、类风湿性关节炎、外伤性或退行性关节炎等疾病鉴别。结合流行病学、临床表现,本病诊断不难
临床上需要与大骨节病鉴别的疾病主要有2类,一类是引起关节粗大、疼痛的疾病;一类是引起软骨内成骨障碍、短肢畸形、身材矮小的疾病。鉴别时主要应掌握各自疾病的特征,以及大骨节病有地区性等特点。
退行性骨关节病
(骨关节炎、增生性关节炎):其与晚期大骨节病的相同之处是有关节软骨的退行性变和破坏脱落,发生关节疼痛、僵硬、关节粗大、活动爱限制。和大骨节病不同之处在于:①、多发生于40岁以后的成人,青年人少见,几乎不见于儿童;
②、无短指(趾)、短肢畸形;
③、关节受累为非对称性;
④、肌萎缩不明显。
离性骨软骨炎
在关节软骨部分分离形成关节游离体、引起关节交锁方面,与大骨节病晚期有相似之点。主要不同之点是:①、受累部位主要是双膝关节或革单一关节(如踝部),手指改变少见;
②、不影响骺板软骨生长,无短指、短肢畸形;
③、多有外全国各地史。
类风湿关节炎
在好发生于青少年,开始我累及手指小关节,有多发、对称的指关节肿大、疼痛等方面与大骨节病有些类似。明显不同之点是:①、受累关节周围软组织有肿、热等炎症表现,关节肿胀呈纺锤形;
②、重症病例关节最终常出现纤维性强直;
③、无短指(趾)畸形;
④、类风湿因子(IgM)在70-80%患者中为阳性;
⑤、20-25%患者皮下有类风湿结节。
痛风
虽然也有多关节受累和手、腕、足、踝等部关节肿痛。但以下各点和大骨节病明显有别:①、发病年龄大部分在40岁以下;
②、多有家族遗传史;
③、受累关节有红、肿、热、痛等急性炎症表现,发病急骤,疼痛剧烈;
④、在关节或其他部位皮下有痛风石,皮肤如溃疡排出白色尿酸盐结晶;
⑤、关节损害为非对称性;
⑦、给予秋水仙碱治疗,症状迅速缓解。因此容易和大骨节病鉴别。
氟骨症
氟骨症患者晚期亦可发生广泛的关节退行性变,关节边缘骨刺增生,关节活动障碍,步态蹒跚。但与大骨节病不同之处甚多,例如:①、发病地区不同。2种病重叠的地区很少;
②、发病年龄一般都在成年以后;
③、多有氟斑牙;
④、以脊柱及四肢大关节受累为主;
⑤、骨骼病变以骨硬化为主,伴有骨周软组织的广泛钙化、骨化;
⑥、椎管变窄,椎间孔变小,造成脊髓和神经根损伤。故不难与大骨节病鉴别。
软骨发育不全
在短肢畸形、身材矮小方面与大骨节病性件儒相鉴别。其主要不同之点是:
①、为先天性,出生后即四肢短小,生长缓慢;
②、前额明显突出,鼻梁深度凹陷;
③、X线全身多处有软骨发育不全畸形;
④、骨骺增大呈喇叭形,长骨两侧膨大非常明显;
⑤、关节不痛或很轻。
佝偻病
重症者虽然也影响骨骼生长发育,但多见于婴幼儿;有佝偻病特有的囟门关闭迟、方颅、鸡胸、肋骨串珠等表现;X线下骺线增厚,呈毛刷样;下肢骨干弯曲而形成“X”型或“O”型腿。这些都和大骨节病明显不同。
克汀病
虽然也有身材矮小,但生后不久即表现出生长发育滞后;有明显智力和性功能障碍;有不同程度的听力和语言障碍;X线骨龄明显落后,干骺闭合延迟。容易和大骨节病区别。
参看
| 关于“大骨节病”的留言: | |
|
目前暂无留言 | |
| 添加留言 | |
