卵巢透明细胞癌
A+医学百科 >> 卵巢透明细胞癌 |

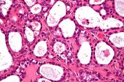
显微镜下的卵巢透明细胞癌
卵巢透明细胞癌,是一类隶属卵巢肿瘤的表面上皮-间质肿瘤,占全部卵巢肿瘤病例的6%。透明细胞癌也通常和胰腺、唾腺有关。
目录 |
病理与预后
通常来说,卵巢透明细胞癌是囊性肿瘤,其囊性实体呈息肉状。在显微镜下成像,此类肿瘤细胞包括透明的细胞质(包含糖原)和柳钉状细胞,乳头状或实体状。
卵巢透明细胞癌是良性肿瘤的情况非常罕见,绝大多数是恶性肿瘤。其预后非常不理想,并恶于卵巢浆液性囊腺瘤[1]。
参考
- ↑ Chan JK, Teoh D, Hu JM, Shin JY, Osann K, Kapp DS. Do clear cell ovarian carcinomas have poorer prognosis compared to other epithelial cell types? A study of 1411 clear cell ovarian cancers. Gynecol. Oncol.. June 2008, 109 (3): 370–6. doi:10.1016/j.ygyno.2008.02.006. PMID 18395777.
外部链接
|
参考来源
出自A+医学百科 “卵巢透明细胞癌”条目 http://www.ye8.net/yixueshu/w/%E5%8D%B5%E5%B7%A2%E9%80%8F%E6%98%8E%E7%BB%86%E8%83%9E%E7%99%8C 转载请保留此链接
关于“卵巢透明细胞癌”的留言: | ![]() |
目前暂无留言 | |
添加留言 |