单核细胞
| A+医学百科 >> 单核细胞 |
单核细胞(monocytes):约占3%,体积大,胞质丰富,染成灰蓝色,胞核常呈肾形或马蹄形,细胞形状不一,有圆形,多角形。
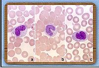
单核细胞是体积最大的白细胞。其细胞核常偏位,呈多形性,如卵圆形、肾形(a)、马蹄形(b)、不规则形(c)等,常有折叠感(c);染色质呈疏松网状,着色较浅。胞质较多,嗜碱性,但因含大量细小的嗜天青颗粒而染成灰蓝色,颗粒含过氧化物酶。
目录 |
功能
单核细胞是血液中最大的血细胞。目前认为它是巨噬细胞的前身,具有明显的变形运动,能吞噬、清除受伤、衰老的细胞及其碎片。单核细胞还参与免疫反应,在吞噬抗原后将所携带的抗原决定簇转交给淋巴细胞,诱导淋巴细胞的特异性免性反应。单核细胞也是对付细胞内致病细菌和寄生虫的主要细胞防卫系统,还具有识别和杀伤肿瘤细胞的能力。淋巴细胞则为具有特异性免疫功能的细胞。T淋巴细胞主要参与细胞免疫反应而B淋巴细胞参与体液免疫反应。
参考值
自动计数仪法为男性0.003-1.3×109/L,女性0.002-1.1×109/L
异常状态
【生理学变异】
⒈升高 吸烟约高22%,月经周期的卵泡期偏高,周与周变异约高19%,小时与小时变异约吭18%,天与天的变异约高13%。
⒉降低 妊娠约低4%,高海拔约低27%。
【药物影响】
灰黄霉素引起粒细胞暂时减少,单核细胞相对增加。氨苄青霉素引起单核细胞增加伴粒细胞缺乏。氯丙嗪致在粒细胞缺乏前偶见单核细胞增加。
【病理学变异】
⒈增加 见于骨髓单核细胞综合征、传染性单核细胞增多症和单核细胞增多症。
单核细胞增多症可发生于恶性新生物、贫血、疟疾和黑热病及原虫感染各种疾病中,也可发生梅毒、进行性结核、病毒性肝炎、败血症、心内膜炎、甲亢和结节性关节炎等疾病。
⒉减少 见于急、慢性淋巴细胞白血病和全骨髓功能不全。
主题词或关键词: 单核细胞 生化指标 血液检查
相关指标: 单核细胞直接计数 抗人球蛋白试验 淋巴细胞 白细胞计数 血清结合珠蛋白定量测定
参看
|
||||||||||||||
|
||||||||||||||||||||||||||||||||||||||||||
|
||||||||||||||||||||||||||||||||||||||
| 关于“单核细胞”的留言: | |
|
目前暂无留言 | |
| 添加留言 | |