阑尾炎
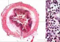
阑尾炎(Appendicitis)是指阑尾由于多种因素而形成的炎性改变。它是一种常见病,其预后取决于是否及时的诊断和治疗。早期诊治,病人多可短期内康复,死亡率极低(o.1%一0.2%);如果延误诊断和治疗可引起严重的并发症,甚至造成死亡。阑尾炎是一种常见病。临床上常有右下腹部疼痛、体温升高、呕吐和中性粒细胞增多等表现。阑尾炎是阑尾的炎症,最常见的腹部外科疾病。
阑尾简介
阑尾( lán wěi 英文名:vermiform appendix)又称蚓突,是细长弯曲的盲管,在腹部的右下方,位于盲肠与回肠之间,它的根部连于盲肠的后内侧壁,远端游离并闭锁,活动范围位置因人而异,变化很大,受系膜等的影响,阑尾可伸向腹腔的任何方位。阑尾尖端可指向各个方向,一般以盲肠后位最多,其次为盆位。阑尾的长度平均7~9厘米,也可变动于2~20厘米间,上端开口于盲肠,开口处也有不太明显的半月形粘膜皱襞。阑尾外径介于0.5~1.0厘米,管腔的内径狭小,静止时仅有0.2厘米。
阑尾的根部,其位置较恒定,2条结肠带向下,都延伸到阑尾根部,作为寻找阑尾的标志。在阑尾的系膜内有阑尾动、静脉,其根部处于三条结肠带集中的部位。阑尾根部在体表的投影,一般在右髂前上棘到脐连线的外1/3处,此处称阑尾点,又叫麦氏点,阑尾炎时,此处常有明显压痛。
一般情况下,儿童的阑尾与其身高相比,相对较成人为长;成年女性之阑尾大于男性,而小儿则男性大于女性;中年以后逐渐萎缩变小。
以前人们认为,阑尾是人类进化过程中退化的器官,无重要生理功能,对人体的作用不大,切除阑尾对机体无不良影响。故患阑尾炎后,可以将它切除,但这些观念正在改变!
现代医学研究对阑尾功能有许多新的认识,特别是免疫学和移植外科的发展,给临床外科医生提示:应严格掌握阑尾切除术的适应症,对附带的阑尾切除更要持慎重态度。阑尾具有丰富的淋巴组织,参于机体的免疫功能。据研究人类阑尾具有B淋巴细胞和T淋巴细胞,相当于鸟类的腔上囊的结构,应归于中枢免疫器官,担负着机体的细胞免疫和体液免疫两大特异功能。据最新研究成果证实,阑尾还具有分泌细胞,能分泌多种物质和各处消化酶,促使肠管蠕动亢进的激素和与生长有关的激素等。另外,阑尾具有完整的内环肌及外纵肌,有一定的长度和管径,随着显微外科的发展,利用自体阑尾移植替代某些管道如输尿管、尿道的缺损和狭窄的手术日益广泛。
病因简述
- 阑尾管腔阻塞:阑尾一端与盲肠相通,长约6~8cm,管腔狭小,仅0.5cm左右。阑尾壁有丰富的淋巴组织,这就构成阑尾极易发炎的解剖基础。这种解剖特点,也容易使阑尾发生梗阻,约70%的病人可发现阑尾腔有不同原因的梗阻,诸如粪块、粪石(即长时间停留的粪块与阑尾分泌物混合凝聚,并可有钙质等矿物质沉积而成)、食物残块、阑尾本身扭曲及寄生虫(如蛔虫和蛲虫)等都可造成阑尾梗阻。急性阑尾炎的炎症消退后,可以在阑尾形成瘢痕性狭窄,容易导致炎症反复发作。由于阑尾壁存在丰富的淋巴组织,炎性反应严重,更促使梗阻的发生。
- 细菌入侵:阑尾腔内平时有大量肠道细菌存在,当有梗阻时,梗阻远端的腔内压力升高,阑尾壁的血循环受到影响,粘膜的损害为细菌侵入造成条件,有时阑尾腔内的粪块、食物残块、寄生虫、异物等虽然并未造成梗阻,但能使阑尾粘膜受到机械性损伤,也便于细菌侵入。此外胃肠道功能紊乱也可使阑尾壁内的肌肉发生痉挛,影响阑尾的排空甚至影响阑尾壁的血循环,也是发炎的原因。细菌可经血循环侵入阑尾引起发炎,属于血源性感染。
病理诊断
根据典型的临床表现上腹部和脐部周围疼痛,
数小时后疼痛转移到右下腹,并在右下腹有显著的触痛,一般诊断不难,但仍存在20%左右的误诊率。误诊的原因除了医生的经验和技术上的问题外,还有两个主要原因:①一些急性阑尾炎的表现不典型。由于阑尾位置不正常,如高位阑尾炎易与急性胆囊炎相混淆,后位阑尾炎腹部体征较轻,盆腔位阑尾炎可出现腹泻症状;或者由于阑尾炎的发病较特殊,若阑尾突被异物堵塞或发生扭转,腹痛一开始就位于右下腹,无明显转移过程,且为阵发性,腹部体征不明显,很像是泌尿系结石或肠痉挛。此外,也存在病人的个体因素:病人的神经类型和疼痛阈以及胃肠道反应各有不同,老年人反应差,症状和体征常不能反映急性阑尾炎的实际严重程度;小儿阑尾相对体积大,就诊较晚,病史也难以询问清楚;孕妇的阑尾向上、向外或向后移位,又有子宫增大,腹部体检也与一般人不同。②一些其他急腹症表现类似急性阑尾炎,如回肠末端憩室炎、急性肠系膜淋巴结炎,以及某些妇科疾患如急性附件炎、卵巢滤泡破裂、卵巢囊肿扭转等。较小的溃疡病穿孔,穿孔很快封闭,少量十二指肠内容物流至右下腹部,也可以表现为转移性右下腹痛,而上腹部压痛不明显。有些内科疾患如急性胃肠炎、肠蛔虫症,腹型紫瘢等也有类似急性阑尾炎的临床表现。
临床表现
急性阑尾炎的典型临床表现是逐渐发生的上腹部或脐周围隐痛,数小时后腹痛转移至右下腹部。常伴有食欲不振、恶心或呕吐,发病初期除低热、乏力外,多无明显的全身症状。急性阑尾炎若不早期治疗,可以发展为阑尾坏疽及穿孔,并发限局或弥漫性腹膜炎。急性阑尾炎有1%以下的死亡率,发生弥漫性腹膜炎后的死亡率为5~10%。急性阑尾炎经非手术治疗或治愈后,可以遗留阑尾壁纤维组织增生和增厚,管腔狭窄及周围粘连,这称为慢性阑尾炎,易导致再次急性发作。发作次数越多,慢性炎症的损害也越严重,可以反复急性发作,在未发作时没有症状或偶有轻度右下腹疼痛,所以也称为慢性复发性阑尾炎。若病人从无急性阑尾炎病史,而主诉慢性右下腹痛,不宜轻易诊断为慢性阑尾炎而切除阑尾,应注意排除其他回盲部疾病,如肿瘤、结核、非特异性盲肠炎、克罗恩氏病及移动性盲肠症等,也应排除精神神经因素,否则切除阑尾会遇到困难,即或无其他病变也不一定能消除症状。
阑尾炎是腹部的常见病、多发病。大多数阑尾炎病人能及时就医,获得良好治疗。但是,有时没有引起足够的重视或处理不当,则会出现一些严重的并发症。到目前为止,急性阑尾炎仍有0.1%-0.5%的死亡率。阑尾炎可发生在任何年龄,但以青壮年为多见,20-30岁为发病高峰。
典型阑尾炎有下列一些症状:
阑尾炎的腹痛开始的部位多在上腹部、剑突下或肚脐周围,约经6-8小时后,腹痛部位逐渐下移,最后固定于右下腹部。咳嗽、打喷嚏或按压时,右下腹都会疼痛。有上述症状,应该立即就近看医生,不要掉以轻心。
特殊类型阑尾炎
以下三种特殊人群的阑尾炎应特别予以重视:
1、小儿急性阑尾炎:小儿急性阑尾炎发展快,病情重,穿孔率高,并发症多。一岁以内婴儿的急性阑尾炎几乎100%发生穿孔,两岁以内为70%-80%,五岁时为50%。小儿急性阑尾炎死亡率为2%—3%,较成年人高10倍。而且,小儿检查时常不合作,腹部是否有压痛的范围,程度都不易确定。确诊后应立即手术切除阑尾,加强术前准备和术后的综合治疗,以减少并发症。
2、老年急性阑尾炎:随着我国人口的老龄化,60岁以上老年人急性阑尾炎的发病数有所增加。老年人常患有各种主要脏器疾病如冠心病等,急性阑尾炎的死亡率较高,而且随年龄的增高而增高。老年人抵抗力低,阑尾壁薄,血管硬化,大约1/3的病人就诊时阑尾已穿孔。另外,老年人反应能力低,腹部压痛不明显,临床表现不典型,由于腹肌已萎缩,即使阑尾炎已穿孔,腹部压痛也不明显,很容易误诊。
3、妊娠期急性阑尾炎:由于孕妇生理方面的变化,一旦发生阑尾炎,其危险性较一般成人大。据统计,妊娠期急性阑尾炎的死亡率为2%,比一般人高10倍,胎儿的死亡率约为20%。
妊娠期急性阑尾炎的治疗,原则上首先应从孕妇安全出发,妊娠三个月内发病者,治疗原则与非妊娠期患者相同,急诊切除阑尾最佳;妊娠中期的急性阑尾炎,症状严重者仍以手术治疗为好;妊娠晚期阑尾炎,约50%孕妇可能早产,胎儿的死亡率较高,手术时应尽量减少对子宫的刺激。
并发症
- 腹腔脓肿:是阑尾炎未经及时治疗的后果。在阑尾周围形成的阑尾周围脓肿最常见,也可在腹腔其他部位形成脓肿,常见部位有盆腔、99卞或肠间隙等处。临床表现有麻痹性肠梗阻的腹胀症状、压痛性包块和全身感染中毒症状等。B超和CT扫描可协助定位。一经诊断即应在超声引导下穿刺抽脓冲洗或置管引流,或必要时手术切开引流。由于炎症粘连较重,切开引流时应小心防止副损伤,尤其注意肠管损伤。中药治疗阑尾周围脓肿有较好效果,可选择应用。阑尾脓肿非手术疗法治愈后其复发率很高。因此应在治愈后3个月左右择期手术切除阑尾,比急诊手术效果好。
- 内、外瘩形成:阑尾周围脓肿如未及时引流,少数病例脓肿可向小肠或大肠内穿破,亦可向膀胧、阴道或腹壁穿破,形成各种内瘩或外屡,此时脓液可经屡管排出。X线-钡剂检查或者经外屡置管造影可协助了解屡管走行,有助于选择相应的治疗方法。
- 化脓性门静脉炎(pylephlebitis):急性阑尾炎时阑尾静脉中的感染性血栓,可沿肠系膜上静脉至门静脉,导致化脓性门静脉炎症。临床表现为寒战、高热、肝肿大、剑突下压痛、轻度黄疽等。虽属少见,如病情加重会产生感染性休克和脓毒症,治疗延误可发展为细菌性肝脓肿。行阑尾切除并大剂量抗生素治疗有效。
诊断要点
1.急性转移性右下腹痛,食欲明显减退,恶心呕吐,发热等持续>6 小时。
2.患儿多呈保护性姿态,如右侧卧,双腿稍屈,走路时腰弯向右侧等。腹部有局限性右下腹固定压痛或反跳痛、肌紧张等。
3.直肠指诊可在前右侧壁触痛及水肿或肿块或可触及肿胀的阑尾。腰大肌试验、闭孔肌试验有助于区别盲肠后位、盆腔位阑尾炎的诊断。
4.白细胞总数和中性粒细胞比例增高。
疾病治疗
单纯性急性阑尾炎采用非手术疗法,多数病人可治愈,但遗有慢性炎症或管腔狭小者易于复发,所以急性阑尾炎一旦诊断明确,仍应急诊手术将病变的阑尾切除。妊娠期因盆腔充血,阑尾炎症发展更快,所以也应及时手术。诊断不明者,若病人有局部腹膜炎表现或全身感染证明显,也应开腹检查,以免延误治疗。术中若发现阑尾无急性炎症表现,则应探查有无其他急性病变。病人就诊时若阑尾炎已形成周围脓肿,应先行非手术治疗,脓肿吸收后,过3个月或半年再切除阑尾。
1.手术治疗
参看:阑尾切除术
绝大多数急性阑尾炎一旦确诊,应早期施行阑尾切除术(appendecto-my)。早期手术系指阑尾炎症还处于管腔阻塞或仅有充血水肿时就手术切除,此时手术操作较简易,术后并发症少。如化脓坏疽或穿孔后再手术,不但操作困难且术后并发症会明显增加。术前即应用抗生素,有助于防止术后感染的发生。
2.非手术治疗
仅适用于单纯性阑尾炎及急性阑尾炎的早期阶段,病人不接受手术治疗或客观条件不允许,或伴存其他严重器质性疾病有手术禁忌证者。主要措施包括选择有效的抗生素和补液治疗。也可经肛门直肠内给予抗生素栓剂。
家庭养护
急性阑尾炎是可以消退的,但消退后约有四分的病人会复发。目前手术方法比较安全,绝大多数手术效果是良好的。非手术疗法主要是抗感染(即消炎)。但应当做好随时住院治疗的准备工作,以免延误治疗使病情发展到严重程度造成治疗困难。
1.家庭用药:用药要早,最好在炎症未发展成腹膜炎时能控制住。可选用以下药物:
(1)青霉素,每次80万单位,6小时1次肌肉注射。用前必须先做过敏试验。
(2)链霉素,每次.5克,12小时1次肌肉注射。应与青霉素同时应用。
(3)庆大霉素,每次8万单位,8小时1次肌肉注射。
(4)先锋四号,每次.5克,每日4次口服。
(5)螺旋霉素,每次.2克,每日~6次口服。
(6) 阿奇霉素,用量遵医嘱。
2.中药及偏方
(1)银花、公英各50克,丹皮25克,大黄15克,赤芍12克,川楝子、桃仁、甘草各9克,每天l~2剂,水煎后分、4次服。 (2)鸡血藤100克,地丁50克,川楝子25克,每日剂,水煎两次混合后分2次服。
(4)薏米50克,冬瓜籽25克,丹皮、桃仁、紫花地丁各15克加水300毫升(6两),煎到100毫升。煎2次混合后分两次服,每日剂。
(5)红藤、忍冬藤各100克,生大黄15克,水煎后加黄酒1小杯分两次服,每日 l剂。
3.营养和饮食 应给予流质饮食,如牛奶、豆浆、米汤、肉汤等。或半流质饮食,如粥、稀软面条等。如果准备住院手术治疗则应禁食禁水。
4.家庭护理
(1)手术前:
应密切观察病人的腹痛情况,大便,体温和脉搏。应让病人休息好。有腹膜炎者应取半坐位(即病人坐在床上,背后靠在被子上)。用热毛巾或热水袋敷在腹痛部位,可促进炎症吸收。
(2)手术后:因为肠道手术后胃肠活动暂时停止。进入胃肠内的食水不能下行,积于胃内引起腹胀。所以手术后不能吃喝。要等到胃肠活动恢复后才能进食。胃肠活动恢复的标志是能听到腹内肠鸣声(即咕噜、咕噜的叫声)或肛门排气(放屁)。术后肠管不活动,手术创伤处容易粘连。所以要鼓励病人多活动。一方面预防肠粘连,另一方面也可以促进胃肠活动的恢复。腹部手术后病人咳嗽是一件痛苦的事。可以用些止咳、祛痰药物,如复方甘草片3片,每日3次口服。或用咳必清50毫克,每日3次口服。病人有痰是必须要咳出来的。为了减轻病人的痛苦,护理人员可以协助病人。即在咳嗽时用双手放在切口两侧向中间用力,可以减轻病人咳嗽时的疼痛。阑尾手术后有可能发生一些并发症。所以陪护人员如果发观病人有不正常的变化,如满腹疼痛;手术后3天体温反而升高;腹胀、肛门不排气;切口出血、流脓水等应及时和医生联系,以取得及时处理。如果医生嘱咐病人半坐位,陪护人应配合医生做工作,使病人坚持半坐位。出院后半月内不宜做剧烈运动或重体力劳动。如挑水、打篮球等。
注意事项
1.腹痛在没有明确诊断之前不可随便用止痛药。因为止痛后掩盖了病情,容易延误诊断而造成严重后果。
2.患急性阑尾炎后,如果家庭治疗无效应及时送医院。
3.根据目前的医疗水平及技术条件,急性阑尾炎手术治疗效果较好,即使保守治疗痊愈后也容易再次发作,所以急性阑尾炎在有条件的清况下,还是以手术治疗为主。
4.非手术治疗者,在用药时应彻底。在症状、体征消失后仍应用药-周,以巩固疗效,减少复发。
5.住院治疗应听从医生安排。陪护人员应配合医护人员做好病人的工作。
6.阑尾炎病情及体征变化较大,有很多病人表现不典型。在没有把握的情况下最好去医院就诊。以免延误诊断、治疗。
认识误区
有关阑尾的传统的错误观念应该彻底纠正:
- 阑尾炎就是盲肠炎。
由于阑尾紧紧挨着盲肠,所以许多人把阑尾炎与盲肠炎混为一谈,实际上它们是两种不同的疾病;
- 认为阑尾是人类进化过程中退化的器官,无重要生理功能,切除阑尾对机体无不良影响。现代医学研究对阑尾功能有许多新的认识,特别是免疫学和移植外科的发展,给临床外科医生提示:应严格掌握阑尾切除术的适应症,对附带的阑尾切除更要持慎重态度。阑尾具有丰富的淋巴组织,参与机体的免疫功能,应归于中枢免疫器官,它担负着机体的细胞免疫和体液免疫两大功能。最新研究成果证实,阑尾还具有分泌细胞,能分泌多种物质和各种消化酶,以及促使肠管蠕动的激素和与生长有关的激素等。
CT可确诊疑有阑尾炎的肥胖病人
初步研究显示,对疑有阑尾炎的肥胖病人,计算机X线断层扫描术(CT)是一个极佳的诊断技术。
麻萨诸塞州Springfield的Baystate医学中心的Scott Tsai博士说,在72例体重指数(BMI)为30%或更高的病人中,CT诊断阑尾炎的正确率为100%。
今年4月30日在西雅图召开的美国放射线学会年会上,Tsai博士报告,CT诊断为阑尾炎的4例病人经手术证实均为阑尾炎。26例CT未诊断为阑尾炎的病人,22例在随后的手术或随访发现不是阑尾炎,4例病人失访。
这项研究还报道了超声对较瘦病人(BMI小于30)阑尾炎诊断的准确率情况。12例超声诊断为阑尾炎的病人,在后来的手术证实有9例为阑尾炎。可是,在27例超声未诊断为阑尾炎的病人中,有6例经手术证实为阑尾炎。
目前还没有有关行CT和超声检查的合适BMI的文献报道,而30似乎是个比较合理的界限。
因此,CT对BMI为30或更高的病人的阑尾炎诊断是准确的。而先前的研究认为,CT对所有的病人包括BMI小于30%的病人的阑尾炎诊断是准确的。
同时该研究还发现,超声对BMI小于30病人的阑尾炎诊断的是不准确的,但这并不是说超声疑诊为疑阑尾炎病例没有用处。可能超声对BMI小于20的病人更准确(例如,体重为115磅、身高5英尺4英寸的病人)。
关于阑尾炎手术治疗
手术不可轻做,阑尾手术更不可轻做。原因如下:
首先,手术有风险,不要迷信所谓的“小手术”。求知欲比较强的朋友可以看一下89年版的《实用外科手术学》,书中在阑尾切除术一章开篇便明确说明“不要把阑尾手术当做小手术,它带来的问题很多”。
其次,术后并发症和医疗水平的原因。术后并发症有肠粘连、肠梗阻、神经损伤、伤口感染、阑尾残端炎、疤痕增生等。这些并发症大都与医生的水平和责任心有关。说明一点,疤痕增生带来的痛苦远比手术的其他痛苦要大。所以,疤痕体质者对手术一定要慎重。
第三,手术并发症的说明和手术误切。
- 出血:阑尾系膜的结扎线松脱,引起系膜血管出血。表现为腹痛、腹胀和失血性休克等症状。关键在于预防,阑尾系膜结扎确切,系膜肥厚者应分束结扎,结扎线距切断的系膜缘要有一定距离,系膜结扎线及时剪除不要再次牵拉以免松脱。一旦发生出血表现,应立即输血补液,紧急再次手术止血。
- 切口感染:是最常见的术后并发症。在化脓或穿孔性急性阑尾炎中多见。近年来,由于外科技术的提高和有效抗生素的应用,此并发症已较少见。术中加强切口保护,切口冲洗,彻底止血,消灭死腔等措施可预防切口感染。切口感染的临床表现包括,术后2-3日体温升高,切口胀痛或跳痛,局部红肿、压痛等。处理原则:可先行试穿抽出脓液,或于波动处拆除缝线,排出脓液,放置引流,定期换药。短期可治愈。
- 粘连性肠梗阻:也是阑尾切除术后的较常见并发症,与局部炎症重、手术损伤、切口异物、术后卧床等多种原因有关。一旦诊断为急性阑尾炎,应早期手术,术后早期离床活动可适当预防此并发症。粘连性肠梗阻病情重者须手术治疗。
- 阑尾残株炎:阑尾残端保留过长超过1 cm时,或者粪石残留,术后残株可炎症复发,仍表现为阑尾炎的症状。也偶见术中未能切除病变阑尾,而将其遗留,术后炎症复发。应行钡剂灌肠透视检查以明确诊断。症状较重时应再次手术切除阑尾残株。
- 医疗实践中出现过将子宫、卵巢当做阑尾误切的实例,很不可思议。
西医认为,急性阑尾炎发作,如无禁忌症,患者愿意,则应该手术切除病变阑尾。但是否手术,最终由患者决定。毕竟,任何手术都是有风险的。
参看
| |||||||||||||||||||||||||||||||||||||||||||
参考文献
- 《外科学》人民卫生出版社第七版医学教材.吴在德主编
- 《黄家驷外科学》第七版.吴孟超主编
