第一篇 总论
自伦琴(Wilhelm Conrad Rontgen)1895年发现X线以后不久,在医学上,X线就被用于对人体检查,进行疾病诊断,形成了放射诊断学(diagnostic radiology)的新学科,并奠定了医学影像学(medical imageology)的基础。至今放射诊断学仍是医学影像学中的主要内容,应用普遍。50年代到60年代开始应用超声与核素扫描进行人体检查,出现了超声成像(ultrasonography,USG)和γ闪烁成像(γ-scintigraphy)。70年代和80年代又相继出现了X线计算机体层成像(X-raycomputed tomography, X-ray CT或CT)、磁共振成像(magnetic resonance image, MRI)和发射体层成像(emissioncomputed tomography, ECT)如单光子发射体层成像(single photonemission computed tomography, SPECT )与正电子发射体层成像(positronemission emission tomography, PET)等新的成像技术。这样,仅100年的时间就形成了包括X线诊断的影像诊断学(diagnostic imageology)。虽然各种成像技术的成像原理与方法不同,诊断价值与限度亦各异,但都是使人体内部结构和器官形成影像,从而了解人体解剖与生理功能状况以及病理变化,以达到诊断的目的;都属于活体器官的视诊范畴,是特殊的诊断方法。70年代迅速兴起的介入放射学(interventional radiology),即在影像监视下采集标本或在影像诊断的基础上,对某些疾病进行治疗,使影像诊断学发展为医学影像学的崭新局面。医学影像学不仅扩大了人体的检查范围,提高了诊断水平,而且可以对某引些疾病进行治疗。这样,就大大地扩展了本学科的工作内容,并成为医疗工作中的重要支柱。
学习医学影像学的目的在于了解这些成像技术的基本成像原理、方法和图像特点,掌握图像的观察、分析与诊断方法和不同成像在疾病诊断中的价值与限度,以便能正确选用,并能理解医学影像学的检查结果。对于介入放射学也要了解其基本技术及应用指征,以利于合理应用。本教材将重点介绍各个系统的X线、CT和USG诊断以及介入放射学。
建国以来,我国医学影像学有很大发展。专业队伍不断壮大,在各医疗单位都建有影像科室。现代的影像设备,除了常规的影像诊断设备外,USG、Ct 、SPECT乃至MRI等先进设备已在较大的医疗单位应用,并积累了较为丰富的经验。医学影像学地专业的书刊种类很多,在医学、教学、科研、培养专业人材和学术交流等方面发挥了积极的作用。作为学术团体的全国放射学会和和各地分会,有力地推动了国内和国际间的学术交流。影像设备,包括常规的和先进的设备,如CT和MRI设备以及诸如胶片,显、定影剂和造影剂等。我国已能自行设计、生产或组装。
第一章 X线成像
第一节 X线成像的基本原理与设备
一、X线的产生特性
(一)X线的产生 1895年,德国科学家伦琴发现了具有很高能量,肉眼看不见,但能穿透不同物质,能使荧光物质发光的射线。因为当时对这个射线的性质还不了解,因此称之为X射线。为纪念发现者,后来也称为伦琴射线,现简称X线(X-ray)。
一般说,高速行进的电子流被物质阻挡即可产生X线。具体说,X线是在真空管内高速行进成束的电子流撞击钨(或钼)靶时而产生的。因此,X线发生装置,主要包括X线管、变压器和操作台。
X线管为一高真空的二极管,杯状的阴极内装着灯丝;阳极由呈斜面的钨靶和附属散热装置组成。
变压器为提供X线管灯丝电源和高电压而设置。一般前者仅需12V以下,为一降压变压器;后者需40~150kV(常用为45~90kV)为一升压变压器。
操作台主要为调节电压、电流和曝光时间而设置,包括电压表、电流表、时计、调节旋钮和开关等。
在X线管、变压器和操作台之间以电缆相连。X线机主要部件及线路见图1-1-1。

图1-1-1 X线机主要部件示意图
X线的发生程序是接通电源,经过降压变压器,供X线管灯丝加热,产生自由电子并云集在阴极附近。当升压变压器向X线管两极提供高压电时,阴极与阳极间的电势差陡增,处于活跃状态的自由电子,受强有力的吸引,使成束的电子,以高速由阴极向阳极行进,撞击阳极钨靶原子结构。此时发生了能量转换,其中约1%以下的能量形成了X线,其余99%以上则转换为热能。前者主要由X线管窗口发射,后者由散热设施散发。
(二)X线的特性 X线是一种波长很短的电磁波。波长范围为0.0006~50nm。目前X线诊断常用的X线波长范围为0.008~0.031nm(相当于40~150kV时)。在电磁辐射谱中,居γ射线与紫外线之间,比可见光的波长要短得多,肉眼看不见。
除上述一般物理性质外,X线还具有以下几方面与X线成像相关的特性:
穿透性:X线波长很短,具有很强的穿透力,能穿透一般可见光不能穿透的各种不同密度的物质,并在穿透过程中受到一定程度的吸收即衰减。X线的穿透力与X线管电压密切相关,电压愈高,所产生的X线的波长愈短,穿透力也愈强;反之,电压低,所产生的X线波长愈长,其穿透力也弱。另一方面,X线的穿透力还与被照体的密度和厚度相关。X线穿透性是X线成像的基础。
荧光效应:X线能激发荧光物质(如硫化锌镉及钨酸钙等),使产生肉眼可见的荧光。即X线作用于荧光物质,使波长短的X线转换成波长长的荧光,这种转换叫做荧光效应。这个特性是进行透视检查的基础。
摄影效应:涂有溴化银的胶片,经X线照射后,可以感光,产生潜影,经显、定影处理,感光的溴化银中的银离子(Ag+)被还原成金属银(Ag),并沉淀于胶片的胶膜内。此金属银的微粒,在胶片上呈黑色。而未感光的溴化银,在定影及冲洗过程中,从X线胶片上被洗掉,因而显出胶片片基的透明本色。依金属银沉淀的多少,便产生了黑和白的影像。所以,摄影效应是X线成像的基础。
电离效应:X线通过任何物质都可产生电离效应。空气的电离程度与空气所吸收X线的量成正比,因而通过测量空气电离的程度可计算出X线的量。X线进入人体,也产生电离作用,使人体产生生物学方面的改变,即生物效应。它是放射防护学和放射治疗学的基础。
二、X线成像的基本原理
X线之所以能使人体在荧屏上或胶片上形成影像,一方面是基于X线的特性,即其穿透性、荧光效应和摄影效应;另一方面是基于人体组织有密度和厚度的差别。由于存在这种差别,当X线透过人体各种不同组织结构时,它被吸收的程度不同,所以到达荧屏或胶片上的X线量即有差异。这样,在荧屏或X线上就形成黑白对比不同的影像。
因此,X线影像的形成,应具备以下三个基本条件:首先,X线应具有一定的穿透力,这样才能穿透照射的组织结构;第二,被穿透的组织结构,必须存在着密度和厚度的差异,这样,在穿透过程中被吸收后剩余下来的X线量,才会是有差别的;第三,这个有差别的剩余X线,仍是不可见的,还必须经过显像这一过程,例如经X线片、荧屏或电视屏显示才能获得具有黑白对比、层次差异的X线影像。
人体组织结构,是由不同元素所组成,依各种组织单位体积内各元素量总和的大小而有不同的密度。人体组织结构的密度可归纳为三类:属于高密度的有骨组织和钙化灶等;中等密度的有软骨、肌肉、神经、实质器官、结缔组织以及体内液体等;低密度的有脂肪组织以及存在于呼吸道、胃肠道、鼻窦和乳突内的气体等。
当强度均匀的X线穿透厚度相等的不同密度组织结构时,由于吸收程度不同,因此将出现如图1-1-2所示的情况。在X线片上或荧屏上显出具有黑白(或明暗)对比、层次差异的X线影像。
在人体结构中,胸部的肋骨密度高,对X线吸收多,照片上呈白影;肺部含气体密度低,X线吸收少,照片上呈黑影。

图1-1-2 不同密度组织(厚度相同)与X线成像的关系
X线穿透低密度组织时,被吸收少,剩余X线多,使X线胶片感光多,经光化学反应还原的金属银也多,故X线胶片呈黑影;使荧光屏所生荧光多,故荧光屏上也就明亮。高密度组织则恰相反
病理变化也可使人体组织密度发生改变。例如,肺结核病变可在原属低密度的肺组织内产生中等密度的纤维性改变和高密度的钙化灶。在胸片上,于肺影的背景上出现代表病变的白影。因此,不同组织密度的病理变化可产生相应的病理X线影像。
人体组织结构和器官形态不同,厚度也不一致。其厚与薄的部分,或分界明确,或逐渐移行。厚的部分,吸收X线多,透过的X线少,薄的部分则相反,因此,X线投影可有图1-1-3所示不同表现。在X线片和荧屏上显示出的黑白对比和明暗差别以及由黑到白和由明到暗,其界线呈比较分明或渐次移行,都是与它们厚度间的差异相关的。图1-1-3中的几种情况,在正常结构和病理改变中都有这种例子。

图1-1-3 不同厚度组织(密度相同)与X线成像的关系
A.X线透过梯形体时,厚的部分,X线吸收多,透过的少,照片上呈白影,薄的部分相反,呈黑影。白影与黑影间界限分明。荧光屏上,则恰好相反 B.X线透过三角形体时,其吸收及成影与梯形体情况相似,但黑白影是逐步过渡的,无清楚界限。荧光屏所见相反 C.X线透过管状体时,其外周部分,X线吸收多,透过的少,呈白影,其中间部分呈黑影,白影与黑影间分界较为清楚。荧光屏所见相反
由此可见,密度和厚度的差别是产生影像对比的基础,是X线成像的基本条件。应当指出,密度与厚度在成像中所起的作用要看哪一个占优势。例如,在胸部,肋骨密度高但厚度小,而心脏大血管密度虽低,但厚度大,因而心脏大血管的影像反而比肋骨影像白。同样,胸腔大量积液的密度为中等,但因厚度大,所以其影像也比肋骨影像为白。需要指出,人体组织结构的密度与X线片上的影像密度是两个不同的概念。前者是指人体组织中单位体积内物质的质量,而后者则指X线片上所示影像的黑白。但是物质密度与其本身的比重成正比,物质的密度高,比重大,吸收的X线量多,影像在照片上呈白影。反之,物质的密度低,比重小,吸收的X线量少,影像在照片上呈黑影。因此,照片上的白影与黑影,虽然也与物体的厚度有关,但却可反映物质密度的高低。在术语中,通常用密度的高与低表达影像的白与黑。例如用高密度、中等密度和低密度分别表达白影、灰影和黑影,并表示物质密度。人体组织密度发生改变时,则用密度增高或密度减低来表达影像的白影与黑影。
三、X线成像设备
X线机包括X线管及支架、变压器、操作台以及检查床等基本部件。60年代以来,影像增强和电视系统技术的应用,使它们逐渐成为新型X线机的主要部件之一。为了保证X线摄影质量,新型X线机在摄影技术参数的选择、摄影位置的校正方面,都更加计算机化、数字化、自动化。为适应影像诊断学专业的发展,近30多年来,除通用型X线机以外,又开发了适用于心血管、胃肠道、泌尿系统、乳腺及介入放射、儿科、手术室等专用的X线机。
第二节 X线图像特点
X线图像是X线束穿透某一部位的不同密度和厚度组织结构后的投影总和,是该穿透路径上各层投影相互叠加在一起的影像。正位X线投影中,它既包括有前部,又有中部和总后的组织结构。重叠的结果,能使体内某些组织结构的投影因累积增益而得到很好的显示,也可使体内另一些组织结构的投影因减弱抵消而较难或不能显示。
由于X线束是从X线管向人体作锥形投射,因此,将使X线影像有一定程度放大并产生伴影(图1-1-4)。伴影使X线影像的清晰度减低。
锥形投射还可能对X线影像产生如图1-1-5所示的影响。处于中心射线部位的X线影像,虽有放大,但仍保持被照体原来的形状,并无图像歪曲或失真;而边缘射线部位的X线影像,由于倾斜投射,对被照体则既有放大,又有歪曲。

图1-1-4 X线管阳极靶对X线投影的(放大与晕影)焦点面使X线投影放
大并产生伴影。当荧屏或胶片(F)由A移至B时,投影将更放大,伴影也增大

图1-1-5 斜射投照对X线投影的影响(歪曲失真)
同样的球体,由于倾斜投射,使投影变形,呈蛋形(S2);中心射线部分的投影(S1),有放大,但仍呈球形
第三节 X线检查技术
X线图像是由从黑到白不同灰度的影像所组成。这些不同灰度的影像反映了人体组织结构的解剖及病理状态。这就是赖以进行X线检查的自然对比。对于缺乏自然对比的组织或器官,可人为地引入一定量的在密度上高于或低于它的物质,便产生人工对比。因此,自然对比和人工对比是X线检查的基础。
一、普通检查
包括荧光透视和摄影。
荧光透视(fluoroscopy):简称透视。为常用X线检查方法。由于荧光亮度较低,因此透视一般须在暗室内进行。透视前须对视力行暗适应。采用影像增强电视系统,影像亮度明显增强,效果更好。透视的主要优点是可转动患者体位,改变方向进行观察;了解器官的动态变化,如心、大血管搏动、膈运动及胃肠蠕动等;透视的设备简单,操作方便,费用较低,可立即得出结论等。主要缺点是荧屏亮度较低,影像对比度及清晰度较差,难于观察密度与厚度差别较少的器官以及密度与厚度较大的部位。例如头颅、腹部、脊柱、骨盆等部位均不适宜透视。另外,缺乏客观记录也是一个重要缺点。
X线摄影(radiography):所得照片常称平片(plain film)。这是应用最广泛的检查方法。优点是成像清晰,对比度及清晰度均较好;不难使密度、厚度较大或密度、厚度差异较小部位的病变显影;可作为客观记录,便于复查时对照和会诊。缺点是每一照片仅是一个方位和一瞬间的X线影像,为建立立体概念,常需作互相垂直的两个方位摄影,例如正位及侧位;对功能方面的观察,不及透视方便和直接;费用比透视稍高。
这两种方法各具优缺点,互相配合,取长补短,可提高诊断的正确性。
二、特殊检查
体层摄影(tomography):普通X线片是X线投照路径上所有影像重迭在一起的总和投影。一部分影像因与其前、后影像重迭,而不能显示。体层摄影则可通过特殊的装置和操作获得某一选定层面上组织结构的影像,而不属于选定层面的结构则在投影过程中被模糊掉。其原理如图1-1-6所示。体层摄影常用以明确平片难于显示、重迭较多和处于较深部位的病变。多用于了解病变内部结构有无破坏、空洞或钙化,边缘是否锐利以及病变的确切部位和范围;显示气管、支气管腔有无狭窄、堵塞或扩张;配合造影检查以观察选定层面的结构与病变。
软线摄影:采用能发射软X线的钼靶管球,用以检查软组织,特别是乳腺的检查。
其他:特殊检查方法尚有①放大摄影,采用微焦点和增大人体与照片距离以显示较细微的病变;②荧光摄影,荧光成像基础上进行缩微摄片,主要用于集体体检;③记波摄影,采用特殊装置以波形的方式记录心、大血管搏动,膈运动和胃肠蠕动等。

图1-1-6 体层摄影原理示意图
在曝光时,X线管与胶片作相反方向移动,而移动的轴心即在选定层面的平面上。结果,在被检查的部位内,只有选定的一层结构始终投影在胶片上的固定位置(A'),从而使该层面的结构清楚的显影,而其前后各层结构则因曝光时,在胶片上投影的位置不断移动而成模糊影像(B')
三、造影检查
人体组织结构中,有相当一部分,只依靠它们本身的密度与厚度差异不能在普通检查中显示。此时,可以将高于或低于该组织结构的物质引入器官内或周围间隙,使之产生对比以显影,此即造影检查。引入的物质称为造影剂(contrast media)。造影检查的应用,显著扩大了X线检查的范围。
(一)造影剂 按密度高低分为高密度造影和低密度造影剂两类。
1.高密度造影剂 为原子序数高、比重大的物质。常用的有钡剂和碘剂。
钡剂为医用硫酸钡粉末,加水和胶配成。根据检查部位及目的,按粉末微粒大小、均匀性以及用水和胶的量配成不同类型的钡混悬液,通常以重量/体积比来表示浓度。硫酸钡混悬液主要用于食管及胃肠造影,并可采用钡气双重对比检查,以提高诊断质量。
碘剂种类繁多,应用很广,分有机碘和无机碘制剂两类。
有机碘水剂类造影剂注入血管内以显示器官和大血管,已有数十年历史,且成为常规方法。它主要经肝或肾从胆道或泌尿道排出,因而广泛用于胆管及胆囊、肾盂及尿路、动脉及静脉的造影以及作CT增强检查等。70年代以前均采用离子型造影剂。这类高渗性离子型造影剂,可引起血管内液体增多和血管扩张,肺静脉压升高,血管内皮损伤及神经毒性较大等缺点,使用中可出现毒副反应。70年代开发出非离子型造影剂,它具有相对低渗性、低粘度、低毒性等优点,大大降低了毒副反应,适用于血管、神经系统及造影增强CT扫描。惜费用较高,目前尚难于普遍使用。
上述水溶性碘造影剂有以下类型:①离子型,以泛影葡胺(urografin)为代表;②非离子型以碘苯六醇(iohexol)、碘普罗胺(iopromide)碘必乐(iopamidol)为代表;③非离子型二聚体,以碘曲仑(iotrolan)为代表。
无机制碘剂当中,布什化油(lipoidol)含碘40%,常用于支气管、瘘管子官输入卵管造影等。碘化油造影后吸收极慢,故造影完毕应尽可能吸出。
脂肪酸碘化物的碘苯酯(pantopaque),可注入椎管内作脊髓造影,但近来已用非离子型二聚体碘水剂。
2.低密度造影剂 为原子序数低、比重小的物质。目前应用于临床的有二氧化碳、氧气、空气等。在人体内二氧化碳吸收最快,空气吸收最慢。空气与氧气均不能注入正在出血的器官,以免发生气栓。可用于蛛网膜下腔、关节囊、腹腔、胸腔及软组织间隙的造影。
(二)造影方式 有以下两种方式。
1.直接引入 包括以下几种方式;①口服法:食管及胃肠钡餐检查;②灌注法:钡剂灌肠,支气管造影,逆行胆道造影,逆行泌尿道造影,瘘管、脓腔造影及子宫输卵管造影等;③穿剌注入法:可直接或经导管注入器官或组织内,如心血管造影,关节造影和脊髓造影等。
2.间接引入 造影剂先被引入某一特定组织或器官内,后经吸收并聚集于欲造影的某一器官内,从而使之显影。包括吸收性与排泄性两类。吸收性如淋巴管造影。排泄性如静脉胆道造影或静脉肾盂造影和口服法胆襄造影等。前二者是经静脉注入造影剂后,造影剂聚集于肝、肾,再排泄入胆管或泌尿道内。后者是口服造影剂后,造影剂经肠道吸收进入血循环,再到肝胆并排入胆襄内,即在蓄积过程中摄影,现已少用。
(三)检查前准备造影反应的处理 各种造影检查都有相应的检查前准备和注意事项。必须严格执行,认真准备,以保证检查效果和患者的安全。应备好抢救药品和器械,以备急需。
在造影剂中,钡剂较安全,气体造影时应防止气栓的发生。静脉内气栓发生后应立即将患者置于左侧卧位,以免气体进入肺动脉。造影反应中,以碘造影剂过敏较常见并较严重。在选用碘造影剂行造影时,以下几点值得注意:①了解患者有无造影的禁忌证,如严重心、肾疾病和过敏体质等;②作好解释工作,争取患者合作;③造影剂过敏试验,一般用1ml30%的造影剂静脉注射,观察15分钟,如出现胸闷、咳嗽、气促、恶心、呕吐和荨麻疹等,则为阳性,不宜造影检查。但应指出,尽管无上述症状,造影中也可发生反应。因此,关键在于应有抢救过敏反应的准备与能力;④作好抢救准备,严重反应包括周围循环衰竭和心脏停搏、惊厥、喉水肿、肺水肿和哮喘发作等。遇此情况,应立即终止造影并进行抗休克、抗过敏和对症治疗。呼吸困难应给氧,周围循环衰竭应给去甲肾上腺素,心脏停搏则需立即进行心脏按摩。
四、X线检查方法的选择原则
X线检查方法的选择,应该在了解各种X线检查方法的适应证、禁忌证和优缺点的基础上,根据临床初步诊断,提出一个X线检查方案。一般应当选择安全、准确、简便而又经济的方法。因此,原则上应首先考虑透视或拍平片,必要时才考虑造影检查。但也不是绝对的,例如不易为X线穿透的部位,如颅骨就不宜选择透视,而应摄平片。有时两三种检查方法都是必须的,例如对于某些先天性心脏病,准备手术治疗的患者,不仅需要胸部透视与平片,还必须作心管造影。对于可能产生一定反应和有一定危险的检查方法,选择时更应严格掌握适应证,不可视作常规检查加以滥用,以免给患者带痛苦和损失。
第四节 X线分析与诊断
X线诊断是重要的临床诊断方法之一。诊断以X线影像为基础,因此需要对X线影像进行认真、细致的观察,分辨正常与异常,产节解X线影像所反映的正常与病理的解剖特点。综合X线各种病理表现,联系临床资料,包括病史、症状、体征及其他临床检查资料进行分析推理,才可能提出比较正确的X线诊断。因此,X线诊断的准确性,在相当程度上,取决于对X线影像的特点及其解剖、病理基础的认识和诊断思维方法的正确与否。为了作出正确的X线诊断,在分析和诊断中应遵循一定的原则和步骤。
观察分析X线片时,首先应注意投照技术条件。例如,摄影位置是否准确,摄影条件是否恰当,即照片质量是否满足X线诊断需要。
为了不致于遗漏重要X线征像,应按一定顺序,全面而系统地进行观察。例如,分析胸片时,应注意胸廓、肺、纵隔、膈及胸膜,并应结合临床,着重对其中某一方面的观察。在分析肺片时,应从肺尖到肺底,从肺门到肺周依次进行观察。在分析骨关节片时,应依次观察骨骼、关节及软组织。在分析骨骼时,则应注意骨皮质、骨松质及骨髓腔等。否则很易被引入人注目的部分所吸引,忘记或忽略观察其他部分,而这部分恰好是更重要而必需阅读的部分。
在观察分析过程中,应注意区分正常与异常。为此,应熟悉正常解剖和变异情况以及它们的X线表现。这是判断病变X线表现的基础。
观察异常X线表现,应注意观察它的部位和分布、数目、形状、大小、边缘、密度及其均匀性与器官本身的功能变化和病变的邻近器官组织的改变。因为分析这些X线表现,才可能推断该异常影像的病理基础。在分析判断时,还需找出一个或一些有关键意义的X线表现,以便提出一个或几个疾病来解释这些表现。也就是提出初步的X线诊断。
前述初步考虑的X线诊断是否正确,还必须用其他临床资料和影像诊断检查结果加以验证。临床资料中的年龄、性别、职业史、接触史、生活史、体征及重要检查发现和治疗经过等,对确定X线诊断都具有重要意义。如初步考虑的X线诊断与其他临床资料是吻合的,则诊断的准确性就比较大;如不吻合,则需复核照片的观察与分析是否准确,推理是否符合逻辑,初步X线诊断是否妥当,临床资料是否齐全与准确。
应当指出,X线诊断是有价值的,但也有一定限制。一些疾病的早期或病变很小,则可以没有异常X线表现,以致不能作出诊断。
X线诊断结果基本上有三种情况:①肯定性诊断,即经过X线检查,可以确诊。②否定性诊断,即经过X线检查,排除了某些疾病。但应注意它有一定限制,因病变从发生到出现X线表现需要一定时间,在该时间内X线检查可以呈阴性;病变与其所在器官组织间的自然对比好坏也会影响X线征象的显示。因此,要正确评价否定性诊断的意义。③可能性诊断,即经过X线检查,发现了某些X线征象,但不能确定病变性质,因而列出几个可能性。
第五节 X线诊断的临床应用
X线诊断用于临床已有百年历史。尽管其他一些先进的影像检查技术,例如CT和MRI等对一部分疾病的诊断,显示出了很大的优越性,但它们并不能取代X线检查。一些部位的检查,例如胃肠道,骨关节及心血管,仍主要使用X线检查。X线还具有成像清晰、经济、简便等特点,因此,在国内外,X诊断仍然是影像诊断中使用最广泛和最基本的方法。
第六节 X线检查中的防护
X线检查应用很广,接触X线的人也越来越多。因此,应该重视X线检查中的防护问题。应了解放射防护的意义、方法和措施。
一、放射防护的意义
X线穿透人体将产生一定的生物效应。若接触的X线量过多,超过容许曝射量,就可能产生放射反应,甚至产生一定程度的放射损害。但是,如X线曝射量在容许范围内,一般则少有影响。因此,不应对X线检查产生疑虑或恐惧,而应强调和重视防护,如控制X线检查中的曝射量并采取有效的防护措施,安全合理的使用X线检查,尽可能避免不必要的X线曝射,以保护患者和工作人员的健康。
近二三十年来,由于X线设备的改进,高千伏技术、影像增强技术、高速增感屏和快速X线感光胶片的使用,使X线曝时量已显著减少,放射损害的可能性也越来越小。但是仍不能掉以轻心,尤其应重视孕妇、小儿和长期接触射线的工作人员。近年来介入放射学开展越来越多,射线防护问题应予注意。
二、放射防护的方法和措施
技术方面,可以采取屏蔽防护和距离防护原则。前者使用原子序数较高的物质,常用铅或含铅的物质,作为屏障以吸收不必要的X线。后者利用X线曝射量与距离平方成反比这一原理,通过增加X线源与人体间距离以减少曝射量。
从X线管到达人体的X线,有原发射线和继发射线两类,后者是前者照射穿透其他物质过程中发生的,其能量较前者小,便影响较大。通常采用X线管壳、遮光筒和光圈、滤过板、荧屏后铅玻璃、铅屏、铅橡皮围裙、铅手套以及墙壁等,进行屏蔽防护。增加人体与X线源的距离以进行距离防护,是简易的防护措施。
患者方面,为了避免不必要的X线曝射和超过容许量的曝射,应选择恰当的X线检查方法,设计正确的检查程序。每次X线检查的曝射次数不宜过多,也不宜在短期内作多次重复检查(这对体层摄影和造影检查尤为重要)。在投照时,应当注意投照位置、范围及曝射条件的准确性。对照射野相邻的性腺,应用铅橡皮加以遮盖。
放射线工作者方面:应遵照国家有关放射护卫生标准的规定制定必要的防护措施,正确进行X线检查的操作,认真执行保健条例,定期监测射线工作者所接受的剂量。透视时要戴铅橡皮围裙和铅手套,并利用距离防护原则,加强自我防护。
在介入放射学操作中,应避免不必要的X线透视与摄影。应采用数字减影血管造影(digital subtraction angiography,DSA)设备,USG和CT等进行监视。
第二章 计算机体层成像
CT是Hounsfield 1969年设计成功,1972年公诸于世的。CT不同于X线成像,它是用X线束对人体层面进行扫描,取得信息,经计算机处理而获得的重建图像。所显示的是断面解剖图像,其密度分辨力明显优于X线图像。从而显着扩大了人体的检查范围,提高了病变的检出率和诊断的准确率。CT也大大促进了医学影像学的发展。由于这一贡献,Hounsfield获得了1979年的诺贝尔奖金。
第一节 CT的成像基本原理与设备
一、CT的成像基本原理
CT是用X线束对人体某部一定厚度的层面进行扫描,由探测器接收透过该层面的X线,转变为可见光后,由光电转换变为电信号,再经模拟/数字转换器(analog/digital converter)转为数字,输入计算机处理。图像形成的处理有如对选定层面分成若干个体积相同的长方体,称之为体素(voxel),见图1-2-1。扫描所得信息经计算而获得每个体素的X线衰减系数或吸收系数,再排列成矩阵,即数字矩阵

图1-2-1 扫描层面体素及象素
(digital matrix),见图1-2-2。数字矩阵可存贮于磁盘或光盘中。经数字/模拟转换器(digital/analog converter)把数字矩阵中的每个数字转为由黑到白不等灰度的小方块,即象素(pixel),并按矩阵排列,即构成CT图像。所以,CT图像是重建图象。每个体素的X线吸收系数可以通过不同的数学方法算出。

图1-2-2 数字矩阵
二、CT设备
CT设备主要有以下三部分:①扫描部分由X线管、探测器和扫描架组成;②计算机系统,将扫描收集到的信息数据进行贮存运算;③图像显示和存储系统,将经计算机处理、重建的图像显示在电视屏上或用多幅照相机或激光照相机将图像摄下。CT成像流程如图1-2-3。

图1-2-3 CT装置示意图
扫描部分如图1-2-4及图1-2-5所示的几种不同扫描方式。探测器从原始的1个发展到现在的多达4800个。扫描方式也从平移/旋转、旋转/旋转、旋转/固定,发展到新近开发的螺旋CT扫描(spiralCt scan)。计算机容量大、运算快,可达到立即重建图像。由于扫描时间短,可避免运动,例如,呼吸运动的干扰,可提高图像质量;层面是连续的,所以不致于漏掉病变,而且可行三维重建,注射造影剂作血管造影可得CT血管造影(Ct angiography,CTA)。超高速CT扫描所用扫描方式与前者完全不同(图1-2-5)。扫描时间可短到40ms以下,每秒可获得多帧图像。由于扫描时间很短,可摄得电影图像,能避免运动所造成的伪影,因此,适用于心血管造影检查以及小儿和急性创伤等不能很好的合作的患者检查。

图1-2-4 不同的扫描方式(I)

图1-2-5 不同的扫描方式(II)
第二节 CT图像特点
CT图像是由一定数目由黑到白不同灰度的象素按矩阵排列所构成。这些象素反映的是相应体素的X线吸收系数。不同CT装置所得图像的象素大小及数目不同。大小可以是1.0×1.0mm,0.5×0.5mm不等;数目可以是256×256,即65536个,或512×512,即262144个不等。显然,象素越小,数目越多,构成图像越细致,即空间分辨力(spatialresolution)高。CT图像的空间分辨力不如X线图像高。
CT图像是以不同的灰度来表示,反映器官和组织对X线的吸收程度。因此,与X线图像所示的黑白影像一样,黑影表示低吸收区,即低密度区,如肺部;白影表示高吸收区,即高密度区,如骨骼。但是CT与X线图像相比,CT的密度分辨力高,即有高的密度分辨力(density resolutiln)。因此,人体软组织的密度差别虽小,吸收系数虽多接近于水,也能形成对比而成像。这是CT的突出优点。所以,CT可以更好地显示由软组织构成的器官,如脑、脊髓、纵隔、肺、肝、胆、胰以及盆部器官等,并在良好的解剖图像背景上显示出病变的影像。
x 线图像可反映正常与病变组织的密度,如高密度和低密度,但没有量的概念。CT图像不仅以不同灰度显示其密度的高低,还可用组织对X线的吸收系数说明其密度高低的程度,具有一个量的概念。实际工作中,不用吸收系数,而换算成CT值,用CT值说明密度。单位为Hu(Hounsfield unit)。
水的吸收系数为10,CT值定为0Hu,人体中密度最高的骨皮质吸收系数最高,CT值定为+1000Hu,而空气密度最低,定为-1000Hu。人体中密度不同和各种组织的CT值则居于-1000Hu到+1000Hu的2000个分度之间(表1-2-1)。

表1-2-1 体组织CT值(Hu)
由表1-2-1可见人体软组织的CT值多与水相近,但由于CT有高的密度分辨力,所以密度差别虽小,也可形成对比而显影。
CT值的使用,使在描述某一组织影像的密度时,不仅可用高密度或低密度形容,且可用它们的CT值平说明密度高低的程度。
CT图像是层面图像,常用的是横断面。为了显示整个器官,需要多个连续的层面图像。通过CT设备上图像的重建程序的使用,还可重建冠状面和矢状面的层面图像。
第三节 CT检查技术
患者卧于检查床上,摆好位置,选好层面厚度与扫描范围,并使扫描部位伸入扫描架的孔内,即可进行扫描。大都用横断面扫描,层厚用5或10mm,特殊需要可选用薄层,如2mm。患者要不动,胸、腹部扫描要停止呼吸。因为轻微的移动或活动可造成伪影,影响图像质量。
CT检查分平扫(plainCT scan)、造影增强扫描(contrast enhancement,CE)和造影扫描。
(一)平扫 是指不用造影增强或造影的普通扫描。一般都是先作平扫。
(二)造影增强扫描 是经静脉注入水溶性有机碘剂,如60%~76%泛影葡胺60ml后再行扫描的方法。血内碘浓度增高后,器官与病变内碘的浓度可产生差别,形成密度差,可能使病变显影更为清楚。方法分团注法、静滴法和静注与静滴法几种。
(三)造影扫描 是先作器官或结构的造影,然后再行扫描的方法。例如向脑池内注入碘曲仑8~10ml或注入空气4~6ml行脑池造影再行扫描,称之为脑池造影CT扫描,可清楚显示脑池及其中的小肿瘤。
第四节 CT分析与诊断
在观察分析时,应先了解扫描的技术条件,是平扫还是增强扫描,再对每帧CT图像进行观察。结合一系列多帧图像的观察,可立体地了解器官大小、形状和器官间的解剖关系。病变在良好的解剖背景上显影是CT的特点,也是诊断的主要根据,大凡病变够大并同邻近组织有足够的密度差,即可显影。根据病变密度高于、低于或等于所在器官的密度而分为高密度、低密度或等密度病变。如果密度不均,有高有低,则为混杂密度病变。发现病变要分析病变的位置、大小、形状、数目和边缘,还可测定CT值以了解其密度的高低。如行造影增强扫描,则应分析病变有无密度上的变化,即有无强化。如病变密度不增高,则为不强化;密度增高,则为强化。强化程度不同,形式亦异,可以是均匀强化或不均匀强化或不均匀强化或只病变周边强化,即环状强化。对强化区行CT值测量,并与平扫的CT值比较,可了解强化的程度。此外,还要观察邻近器官和组织的受压、移位和浸润、破坏等。
综合分析器官大小、形状的变化,病变的表现以及邻近器官受累情况,就有可能对病变的位置、大小与数目、范围以及病理性质作出判断。和其他成像技术一样,还需要与临床资料结合,并同其他影像诊断综合分析。
CT在发现病变、确定病变位置及大小与数目方面是较敏感而可靠的,但对病理性质的诊断,也有一定的限制。
第五节 CT诊断的临床应用
CT诊断由于它的特殊诊断价值,已广泛应用于临床。但CT设备比较昂贵,检查费用偏高,某些部位的检查,诊断价值,尤其是定性诊断,还有一定限度,所以不宜将CT检查视为常规诊断手段,应在了解其优势的基础上,合理的选择应用。
CT诊断应用于各系统疾病有以下特点及优势,参考图1-2-6。
CT检查对中枢神经系统疾病的诊断价值较高,应用普遍。对颅内肿瘤、脓肿与肉芽肿、寄生虫病、外伤性血肿与脑损伤、脑梗塞与脑出血以及椎管内肿瘤与椎间盘脱出等病诊断效果好,诊断较为可靠。因此,脑的X线造影除脑血管造影仍用以诊断颅内动脉瘤、血管发育异常和脑血管闭塞以及了解脑瘤的供血动脉以外,其他如气脑、脑室造影等均已少用。螺旋CT扫描,可以获得比较精细和清晰的血管重建图像,即CTA,而且可以做到三维实时显示,有希望取代常规的脑血管造影。
CT对头颈部疾病的诊断也很有价值。例如,对眶内占位病变、鼻窦早期癌、中耳小胆指瘤、听骨破坏与脱位、内耳骨迷路的轻微破坏、耳先天发育异常以及鼻咽癌的早期发现等。但明显病变,X线平片已可确诊者则无需CT检查。

图1-2-6 CT图像
少支胶质细胞瘤增强,右额、顶叶有一较大不规则肿块,强化不均,周围有低密度水肿区
星形细胞瘤 增强,左额顶叶有一不均匀强化肿块,不规则,内有未有强化的低密度区,周围有低密度水肿区,中线结构右移
胸腺增生 平扫,胸腺区有一分叶状密度均一病灶,仍呈胸腺状,主动脉受压右移
肝脓肿 平扫,肝右叶有一低密度灶类圆形,中心部密度更低为脓腔,周边为脓肿壁呈“双边征”
腰椎骨折 平扫,椎弓多处中断,椎管变形,其内可见碎骨片
肝转移癌 增强,肝左、右叶多个大小不一、不规则低密度灶,周边有细的强化环围绕
肺脓肿 平扫,右上叶有一空洞性病灶,内壁光滑,并见气液平面,胸部X线片曾疑肺癌
前裂腺癌 平扫,前列腺分叶状增大,并向膀胱内突入
对胸部疾病的诊断,CT检查随着高分辨力CT的应用,日益显示出它的优越性。通常采用造影增强扫描以明确纵隔和肺门有无肿块或淋巴结增大、支气管有无狭窄或阻塞,对原发和转移性纵隔肿瘤、淋巴结结核、中心型肺癌等的诊断,均很在帮助。肺内间质、实质性病变也可以得到较好的显示。CT对平片检查较难显示的部分,例如同心、大血管重迭病变的显圾,更具有优越性。对胸膜、膈、胸壁病变,也可清楚显示。
心及大血管的CT检查,尤其是后者,具有重要意义。心脏方面主要是心包病变的诊断。心腔及心壁的显示。由于扫描时间一般长于心动周期,影响图像的清晰度,诊断价值有限。但冠状动脉和心瓣膜的钙化、大血管壁的钙化及动脉瘤改变等,CT检查可以很好显示。
腹部及盆部疾病的CT检查,应用日益广泛,主要用于肝、胆、胰、脾,腹膜腔及腹膜后间隙以及泌尿和生殖系统的疾病诊断。尤其是占位性病变、炎症性和外伤性病变等。胃肠病变向腔外侵犯以及邻近和远处转移等,CT检查也有很大价值。当然,胃肠管腔内病变情况主要仍依赖于钡剂造影和内镜检查及病理活检。
骨关节疾病,多数情况可通过简便、经济的常规X线检查确诊,因此使用CT检查相对较少。
第三章 数字减影血管造影
骨管造影,因血管与骨骼及软组织影重迭,血管显影不清。过去采用光学减影技术可消除骨骼和软组织影,使血管显影清晰。DSA则是利用计算机处理数字化的影像信息,以消除骨骼和软组织影的减影技术,是新一代血管造影的成像技术。Nudelman于1977年获得第一张DSA的图像。目前,在血管造影中这种技术应用已很普遍。
第一节 DSA的成像基本原理与设备
DSA是数字X线成像(digital radiography,DR)的一个组成部分。DR是先使人体某部在影像增强器(IITV)影屏上成像,用高分辨力摄象管对IITV上的图像行序列扫描,把所有得连续视频信号转为间断各自独立的信息,有如把IITV上的图像分成一定数量的水方块,即象素。复经模拟/数字转换器转成数字,并按序排成字矩阵。这样,图像就被象素化和数字化了(图1-3-1)。

图1-3-1 象素转换为数字(数字化)
数字矩阵可为256×256、512×512、或1024×1024。象素越小、越多,则图像越清晰。如将数字矩阵的数字经数字/模拟转换器转换成模拟图像,并于影屏上显示,则这个图像就是经过数字化处理的图像。
DR设备包括IITV、高分辨力摄像管、计算机、磁盘、阴极线管和操作台等部分。
数字减影血管造影的方法有几种,目前常用的是时间减影法(temporal subtraction method),介绍于下。
经导管内快速注入有机碘水造影剂。在造影剂到达欲查血管之前,血管内造影剂浓度处于高峰和造影剂被廓清这段时间内,使检查部位连续成像,比如每秒成像一帧,共得图像10帧。在这系列图像中,取一帧血管内不含造影剂的图像和含造影剂最多的图像,用这同一部位的两帧图像的数字矩阵,经计算机行数字减影处理,使两个数字矩阵中代表骨骼及软组织的数字被抵销,而代表血管的数字不被抵销。这样,这个经计算机减影处理的数字矩阵经数字/模拟转换器转换为图像,则没有骨骼和软组织影像,只有血管影像,达到减影目的。这两帧图像称为减影对,因系在不同时间所得,故称为时间减影法。时间减影法的各帧图像是在造影过程中所得,易因运动而不尽一致造成减影对的不能精确重合,即配准不良,致使血管影像模糊。
第二节 DSA检查技术
根据将造影剂注入动脉或静脉而分为动脉DSA(intraarterial DSA,IADSA)和静脉DSA(intravenous DSA,IVDSA)两种。由于IADSA血管成像清楚,造影剂用量少,所以应用多。
IADSA的操作是将导管插入动脉后,经导管注入肝素3000~5000u,行全身低肝素化,以防止导管凝血。将导管尖插入欲查动脉开口,导管尾端接压力注射器,快速注入造影剂。注入造影剂前将IITV影屏对准检查部位。于造影前及整个造影过程中,以每秒1~3帧或更多的帧频,摄像7~10秒。经操作台处理即可得减影的血管图像。
IVDSA可经导管或针剌静脉,向静脉内注入造影剂,再进行减影处理。
第三节 DSA的临床应用
目前,IDASA对动脉的显示已达到或超过常规选择性动脉造影的水平,应用选择性或超选择性插管,对直径200μ以下的小血管及小病变,IADSA也能很好显示。而观察较大动脉,已可不作选择性插管。所用造影剂浓度低,剂量少。还可实时观察血流的动态图像,作为功能检查手段。DSA可行数字化信息储存。
IVDSA经周围静脉注入造影剂,即可获得动脉造影,操作方便,但检查区的大血管同时显影,互相重迭,造影剂用量较多,故临床应用少,不过在动脉播管困难或不适于作IADSA时可以采用。
DSA有助于心、大血管的检查。对主动脉夹层、主动脉瘤、主动脉缩窄或主动脉发育异常和检查肺动脉可用IVDSA。DSA对显示冠状动脉亦较好。
IADSA对显示颈段和颅内动脉均较清楚,可用于诊断颈段动脉狭窄或闭塞、颅内动脉瘤、血管发育异常和动脉闭塞以及颅内及颅内肿瘤的供血动脉和肿瘤染色等。(图1-3-2)。
对腹主动脉及其大分支以及肢体大血管的检查,DSA也很有帮助(图1-3-2)。
DSA技术发展很快,现已达到三维立体实时成像,更有利于病变的显示。

图1-3-2 DAS图像
a、b、c. 颈动脉造影和椎动脉造影,动静脉畸形d.左锁骨下动脉狭窄e.肾动脉狭窄,为PTA前f.为PTA后,狭窄段被扩张。所有照片只有血管影像而无骨及软组织影像。
第四章 超声成像
超声是超过正常人耳能听到的声波,频率在20000赫兹(Hertz,Hz)以上。超声检查是利用超声的物理特性和人体器官组织声学性质上的差异,以波形、曲线或图像的形式显示和记录,借以进行疾病诊断的检查方法。40年代初就已探索利用超声检查人体,50年代已研究、使用超声使器官构成超声层面图像,70年代初又发展了实时超声技术,可观察心脏及胎儿活动。超声诊断由于设备不似CT或MRI设备那样昂贵,可获得器官的任意断面图像,还可观察运动器官的活动情况,成像快,诊断及时,无痛苦与危险,属于非损伤性检查,因之,在临床上应用已普及,是医学影像学中的重要组成部分。不足之处在于图像的对比分辨力和空间分辨力不如CT和MRI高。本教材只介绍灰阶超声成像(grey scale ultrasonic tomography)。
第一节 USG的成像基本原理与设备
一、超声的物理特性
超声是机械波,由物体机械振动产生。具有波长、频率和传播速度等物理量。用于医学上的超声频率为2.5~10MHz,常用的是2.5~5MHz。超声需在介质中传播,其速度因介质不同而异,在固体中最快,液体中次之,气体中最慢。在人体软组织中约为150m/s。介质有一定的声阻抗,声阻抗等于该介质密度与超声速度的乘积。
超声在介质中以直线传播,有良好的指向性.这是可以用超声对人体器官进行探测的基础。当超声传经两种声阻抗不同相邻介质的界面时其声阻抗差大于0.1%,而界面又明显大于波长,即大界面时,则发生反射,一部分声能在界面后方的相邻介质中产生折射,超声继续传播,遇到另一个界面再产生反射,直至声能耗竭。反射回来的超声为回声。声阻抗差越大,则反射越强,如果界面比波长小,即小界面时,则发生散射。超声在介质中传播还发生衰减,即振幅与强度减小。衰减与介质的衰减系数成正比,与距离平方成反比,还与介质的吸收及散射有关。超声还有多普勒应(Doppler effect),活动的界面对声源作相对运动可改变反射回声的回率。这种效应使超声能探查心脏活动和胎儿活动以及血流状态。
二、超声的成像基本原理
人体结构对超声而言是一个复杂的介质,各种器官与组织,包括病理组织有它特定的声阻抗(表1-4-1)和衰减特性。因而构成声阻抗上的差别和衰减上的差异。超声射入体内,由表面到深部,将经过不同声阻抗和不同衰减特性的器官与组织,从而产生不同的反射与衰减。这种不同的反射与衰减是构成超声图像的基础。将接收到的回声,根据回声强弱,用明暗不同的光点依次显示在影屏上,则可显出人体的断面超声图像,称这为声像图(sonogram或echogram)。
表1-4-1 人体不同介质的声速与声阻抗
| 介 质 | 密度(g/cm3) | 超声纵波速度(m/s) | 特征阻抗(105R*) | 测试频率(MHz) |
| 空 气 | 0.001293 | 332 | 0.000429 | 2.9 |
| 水 | 0.9934 | 1523 | 1.513 | 2.9 |
| 血 液 | 1.055 | 1570 | 1.656 | 1.0 |
| 软组织 | 1.016 | 1500 | 1.524 | 1.0 |
| 肌 肉 | 1.074 | 1568 | 1.684 | 1.0 |
| 骨 | 1.658 | 3860 | 5.571 | 1.0 |
| 脂 肪 | 0.955 | 1476 | 1.410 | 1.0 |
| 肝 | 1.050 | 1570 | 1.648 | 1.0 |
*R(Rayls)=1kg/m2.s
人体器官表面有被膜包绕,被膜同其下方组织的声阻抗差大,形成良好界面反射,声象图上出现完整而清晰的周边回声,从而显出器官的轮廓。根据周边回声能判断器官的形状与大小。
超声经过不同正常器官或病变的内部,其内部回声可以是无回声、低回声或不同程度的强回声。
无回声:是超声经过的区域没有反射,成为无回声的暗区(黑影),可能由下述情况造成:①液性暗区:均质的液体,声阻抗无差别或差很小,不构成反射界面,形成液性暗区,如血液、胆汁、尿和羊水等。这样,血管、胆囊、膀胱和羊膜腔等即呈液性暗区。病理情、况下,如胸腔积液、心包积液、腹水、脓液、肾盂积水以及含液体的囊性肿物及包虫囊肿等也呈液性暗区,成为良好透声区。在暗区下方常见回声增强,出现亮的光带(白影)。②衰减暗区:肿瘤,如巨块型癌,由于肿瘤对超声的吸收,造成明显衰减,而没有回声,出现衰减暗区。③实质暗区:均质的实质,声阻抗差别小,可出现无回声暗区。肾实质、脾等正常组织和肾癌及透明性变等病变组织可表现为实质暗区。
低回声:实质器官如肝,内部回声为分布均匀的点状回声,在发生急性炎症,出现渗出时,其声阻抗比正常组织小,透声增高,而出现低回声区(灰影)。
强回声:可以是较强回声、强回声和极强回声。①较强回声:实质器官内组织致密或血管增多的肿瘤,声阻抗差别大,反射界面增多,使局部回声增强,呈密集的光点或光团(灰白影),如癌、肌瘤及血管瘤等。②强回声:介质内部结构致密,与邻近的软组织或液体有明显的声阻抗差,引起强反射。例如骨质、结石、钙化,可出现带状或块状强回声区(白影),由于透声差,下方声能衰减,而出现无回声暗区,即声影(acoustic shadow)。③极强回声:含气器官如肺、充气的胃肠,因与邻近软组织之声阻抗差别极大,声能几乎全部被反射回来,不能透射,而出现极强的光带。
三、超声设备
超声设备类型较多。早期应用幅度调制型(amplitude mode),即A型超声,以波幅变化反映回波情况。灰度调制型(brightness mode),即B型超声,系以明暗不同的光点反映回声变化,在影屏上显示9~64个等级灰度的图像,强回声光点明亮,弱回声光点黑暗。
根据成像方法的不同,分为静态成像和动态成像或实时成像(real timeimagimg)两种。前者获得静态声像图,图像展示范围较广,影像较清晰,但检查时间长,应用少,后者可在短时间内获得多帧图像(20~40帧/s)故可观察器官的动态变化,但图像展示范围小,影像稍欠清晰。
超声设备主要由超声换能器即探头(probe)和发射与接收、显示与记录以及电源等部分组成(图1-4-1)。

图1-4-1 脉冲回声式超声设备基本结构示意图
换能器是电声换能器,由压电晶体构成,完成超声的发生和回声的接收,其性能影响灵敏度、分辨力和伪影干扰等。B型超声设备多用脉冲回声式。电子线阵式多探头行方形扫描,电子相控阵式探头行扇形扫描(图1-4-2)。为了借助声像图指导穿剌,还有穿剌式探头。


图1-4-2 实时扫查探头
a.电子线阵式 b.电子相控阵式
探头性能分3.0、3.5、5.8MHz等。兆赫越大,其通透性能越小。根据检查部位选用合适的探头。例如眼的扫描用8MHz探头,而盆腔扫描,则选用3.0MHz探头。一个超声设备可配备几个不同性能的探头备选用。
显示器用阴极射线管,记录可用多帧照相机和录像机等。
第二节 USG图像特点
声像图是以明(白)暗(黑)之间不同的灰度来反映回声之有无和强弱,无回声则为暗区(黑影),强回声则为亮区(白影)。
声像图是层面图像。改变探头位置可得任意方位的声象图,并可观察活动器官的运动情况。但图像展示的范围不像X线、CT或MRI图像那样大和清楚。
第三节 USG检查技术
超声探查多用仰卧位,但也可用侧卧位等其他体位。探查过程中可变更体位。
切面方位可用横切、纵切或斜切面。
患者采取适宜体位,露出皮肤,涂耦合剂,以排出探头与皮肤间的空气,探头紧贴皮肤扫描,扫描中观察图像,必要时冻结,即停帧,行细致观察,作好记录,并摄片或录像。
应注意器官的大小、形状、周边回声,尤其是后壁回声、内部回声、活动状态、器官与邻近器官的关系及活动度等。
第四节 USG图像分析与诊断
观察声像图时,首先应了解切面方位,以便于认清所包括的解剖结构。注意周边回声,包括器官和较大肿块的边缘回声,借此可观察其大小、形状、位置与活动情况。应用游标可测量其径线、面积或体积,判断是否增大或缩小;有无局部膨隆;有无移位,活动如何等。要观察器官与较大肿块的内部回声,包括回声的强弱、多少、分布和回声周围情况(例如有无声影)等。因为它可反映组织结构的内部性质。还应注意邻近器官的改变,包括受压移位或浸润破坏等。器官弥漫性病变依器官大小、形状和内部回声的改变进行诊断,较为困难,器官内占位病变则依靠局限性内部回声异常作诊断,较易发现。
将所得声像图的改变进行综合判断。如为局部病变,则应确定病变的位置(例如位于某一器官的哪一部位);病变的大小、数目;病变的物理性质,是液性、实质性、含气性或混合性;病理性质,是炎性或肿瘤性,良性或恶性,原发还是转移,是癌还是肉瘤等。
声像图对发现病变、确定病变位置和大小较易,确定病变为液性、实质性或含气性也较为可靠。鉴别是良性或恶性也有可能、例如良性病变的周边回声清楚,边缘光滑,内部回声均匀,衰减不明显,而恶性病变则周边回声不清,边缘不光滑,轮廓不规则,内部回声不均匀,出血坏死区可无回声,而衰减也较为明显。
第五节 USG诊断的临床应用
超声对心、腹部和盆部器官包括妊娠的检查应用较多。如对肝癌、肝血管瘤、肝脓肿、肝硬化、胆囊结石与肿瘤、胰腺及脾的疾病、腹水的诊断;肾、膀胱、前列腺、肾上腺、子宫、卵巢的检查;眼、甲状腺及乳腺的检查;妊娠的诊断,胎位、胎盘的定位,多胎、死胎、胎儿畸形及葡萄胎的判定等都有相当的价值(图1-4-3)。

图1-4-3 声像图
a.正常子宫(↓) b.卵巢皮样囊肿(↓) c.妊娠(↓)d.胎头光环(↓) e.子宫前壁胎盘(↓)f.前置胎盘(↑为子宫内口) BL.膀胱 UT.子宫 C.囊肿 P.胎盘 AM.羊水FA.胎儿
应当指出,超声诊断也有它的限制。由于超声的物理性质,使超声对骨骼、肺和胃肠的检查受到限制。声像图表现所反映的是器官和组织声阻抗差的改变,缺少特异性,因之对于病变的性质的判断,需综合分析,并与其他影像学表现和临床资料相结合才可靠。病变过小,直径在0.5cm左右,或声阻抗差不大,不引起反射,则难于由声像图上显示出来。此外,超声设备的性能、检查人员的技术与经验也均影响诊断的结果。
第五章 磁共振成像
磁共振成像是利用原子核在磁场内共振所产生信号经重建成像的一种成像技术。
核磁共振(nuclear magneticresonance,NMR)是一种核物理现象。早在1946年Block与Purcell就报道了这种现象并应用于波谱学。Lauterbur1973年发表了MR成象技术,使核磁共振不仅用于物理学和化学。也应用于临床医学领域。近年来,核磁共振成像技术发展十分迅速,已日臻成熟完善。检查范围基本上覆盖了全身各系统,并在世界范围内推广应用。为了准确反映其成像基础,避免与核素成像混淆,现改称为磁共振成象。参与MRi 成像的因素较多,信息量大而且不同于现有各种影像学成像,在诊断疾病中有很大优越性和应用潜力
第一节 MRI的成像基本原理与设备
一、磁共振现象与MRI
含单数质子的原子核,例如人体内广泛存在的氢原子核,其质子有自旋运动,带正电,产生磁矩,有如一个小磁体(图1-5-1)。小磁体自旋轴的排列无一定规律。但如在均匀的强磁场中,则小磁体的自旋轴将按磁场磁力线的方向重新排列(图1-5-2)。在这种状态下,

图1-5-1 质子带正电荷,它们像地球一样在不停地绕轴旋转,并有自己的磁场
用特定频率的射频脉冲(radionfrequency,RF)进行激发,作为小磁体的氢原子核吸收一定量的能而共振,即发生了磁共振现象。停止发射射频脉冲,则被激发的氢原子核把所吸收的能逐步释放出来,其相位和能级都恢复到激发前的状态。这一恢复过程称为弛豫过程(relaxationprocess),而恢复到原来平衡状态所需的时间则称之为弛豫时间(relaxationtime)。有两种弛豫时间,一种是自旋-晶格弛豫时间(spin-lattice relaxationtime)又称纵向弛豫时间(longitudinal relaxation time)反映自旋核把吸收的能传给周围晶格所需要的时间,也是90°射频脉冲质子由纵向磁化转到横向磁化之后再恢复到纵向磁化激发前状态所需时间,称T1。另一种是自旋-自旋弛豫时间(spin-spin relaxation time),又称横向弛豫时间(transverse relaxation time)反映横向磁化衰减、丧失的过程,也即是横向磁化所维持的时间,称T2。T2衰减是由共振质子之间相互磁化作用所引起,与T1不同,它引起相位的变化。

图1-5-2 正常情况下,质子处于杂乱无章的排列状态。当把它们放入一个强外磁场中,就会发生改变。它们仅在平行或反平行于外磁场两个方向上排列
人体不同器官的正常组织与病理组织的T1是相对固定的,而且它们之间有一定的差别,T2也是如此(表1-5-1a、b)。这种组织间弛豫时间上的差别,是MRI的成像基础。有如CT时,组织间吸收系数(CT值)差别是CT成像基础的道理。但MRI不像CT只有一个参数,即吸收系数,而是有T1、T2和自旋核密度(P)等几个参数,其中T1与T2尤为重要。因此,获得选定层面中各种组织的T1(或T2)值,就可获得该层面中包括各种组织影像的图像。
MRI的成像方法也与CT相似。有如把检查层面分成Nx,Ny,Nz……一定数量的小体积,即体素,用接收器收集信息,数字化后输入计算机处理,获得每个体素的T1值(或T2值),进行空间编码。用转换器将每个T值转为模拟灰度,而重建图像。
表1-5-1a 人体正常与病变组织的T1值(ms)
| 肝 | 140~170 | 脑膜 瘤 | 200~300 |
| 胰 | 180~200 | 肝癌 | 300~450 |
| 肾 | 300~340 | 肝血管瘤 | 340~370 |
| 胆汁 | 250~300 | 胰腺 癌 | 275~400 |
| 血液 | 340~370 | 肾癌 | 400~450 |
| 脂肪 | 60~80 | 肺脓 肿 | 400~500 |
| 肌肉 | 120~140 | 膀胱 癌 | 200~240 |
表1-5-1b 正常颅脑的T1与T2值(ms)
| 组 织 | T1 | T2 |
| 胼胝体 | 380 | 80 |
| 桥 脑 | 445 | 75 |
| 延 髓 | 475 | 100 |
| 小 脑 | 585 | 90 |
| 大 脑 | 600 | 100 |
| 脑脊液 | 1155 | 145 |
| 头 皮 | 235 | 60 |
| 骨 髓 | 320 | 80 |
二、MRI设备
MRI的成像系统包括MR信号产生和数据采集与处理及图像显示两部分。MR信号的产生是来自大孔径,具有三维空间编码的MR波谱仪,而数据处理及图像显示部分,则与CT扫描装置相似。
MRI设备包括磁体、梯度线圈、供电部分、射频发射器及MR信号接收器,这些部分负责MR信号产生、探测与编码;模拟转换器、计算机、磁盘与磁带机等,则负责数据处理、图像重建、显示与存储(图1-5-3)。
磁体有常导型、超导型和永磁型三种,直接关系到磁场强度、均匀度和稳定性,并影响MRI的图像质量。因此,非常重要。通常用磁体类型来说明MRI设备的类型。常导型的线圈用铜、铝线绕成,磁场强度最高可达0.15~0.3T*,超导型的线圈用铌-钛合金线绕成,磁场强度一般为0.35~2.0T,用液氦及液氮冷却;永磁型的磁体由用磁性物质制成的磁砖所组成,较重,磁场强度偏低,最高达0.3T。
梯度线圈,修改主磁场,产生梯度磁场。其磁场强度虽只有主磁场的几百分之一。但梯度磁场为人体MR信号提供了空间定位的三维编码的可能,梯度场由X、Y、Z三个梯度磁场线圈组成,并有驱动器以便在扫描过程中快速改变磁场的方向与强度,迅速完成三维编码。

图1-5-3 MRI设备基本结构示意图
射频发射器与MR信号接收器为射频系统,射频发射器是为了产生临床检查目的不同的脉冲序列,以激发人体内氢原子核产生MR信号。射频发射器及射频线圈很象一个短波发射台及发射天线,向人体发射脉冲,人体内氢原子核相当一台收音机接收脉冲。脉冲停止发射后,人体氢原子核变成一个短波发射台,而MR信号接受器则成为一台收音机接收MR信号。脉冲序列发射完全在计算机控制之下。
MRI设备中的数据采集、处理和图像显示,除图像重建由Fourier变换代替了反投影以外,与CT设备非常相似。
第二节 MRI图像特点
一、灰阶成像
具有一定T1差别的各种组织,包括正常与病变组织,转为模拟灰度的黑白影,则可使器官及其病变成像。MRI所显示的解剖结构非常逼真,在良好清晰的解剖背景上,再显出病变影像,使得病变同解剖结构的关系更明确。
值得注意的是,MRI的影像虽然也以不同灰度显示,但反映的是MR信号强度的不同或弛豫时间T1与T2的长短,而不象CT图象,灰度反映的是组织密度。
MRI的图像如主要反映组织间T1特征参数时,为T1加权象(T1weighted image,T1WI),它反映的是组织间T1的差别。如主要反映组织间T2特征参数时,则为T2加权像(T2weighted image,T2WI)。
因此,一个层面可有T1WI和T2WI两种扫描成像方法。分别获得T1WI与T2WI有助于显示正常组织与病变组织。正常组织,如脑神经各种软组织间T1差别明显,所以T1WI有利于观察解剖结构,而T2WI则对显示病变组织较好。
在T1WI上,脂肪T1短,MR信号强,影像白;脑与肌肉T1居中,影像灰;脑脊液T1长;骨与空气含氢量少,MR信号弱,影像黑。在T2WI上,则与T1WI不同,例如脑脊液T2长,MR信号强而呈白影。表1-5-2是例举几种组织在T1WI和T2WI上的灰度。
表1-5-2 人体不同组织T1WI和T2WI上的灰度
| 脑白质 | 脑灰质 | 脑脊液 | 脂肪 | 骨皮质 | 骨髓质 | 脑膜 | |
| T1WI | 白 | 灰 | 黑 | 白 | 黑 | 白 | 黑 |
| T2WI | 白 | 灰 | 白 | 白灰 | 黑 | 灰 | 黑 |

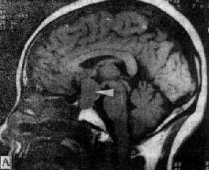
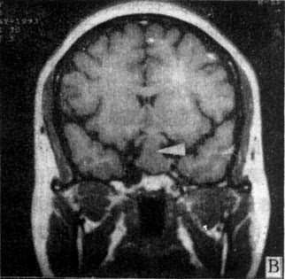
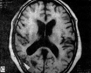
图1-5-4 不同器官结构的MRI
A.B.C.颅脑的冠状面、矢状面及横断面的MRI D.颈部的矢状面MRI
E.F.心脏大血管的横断面和矢状面MRI G.躯干冠状面MRI H.足的矢状面MRI
二、流空效应
心血管的血液由于流动迅速,使发射MR信号的氢原子核离开接收范围之外,所以测不到MR信号,在T1WI或T2WI中均呈黑影,这就是流空效应(flowing Void)。这一效应使心腔和血管显影(图1-5-4),是CT所不能比拟的。
三、三维成像
MRI可获得人体横面、冠状面、矢状面及任何方向断面的图像,有利于病变的三维定位。一般CT则难于作到直接三维显示,需采用重建的方法才能获得状面或矢状面图像以及三维重建立体像(图1-5-4)。
四、运动器官成像
采用呼吸和心电图门控(gating)成像技术,不仅能改善心脏大血管的MR成像,还可获得其动态图象。
第三节 MRI检查技术
MRI的扫描技术有别于CT扫描。不仅要横断面图像,还常要矢状面或(和)冠状面图像,还需获得T1WI和T2WI。因此,需选择适当的脉冲序列和扫描参数。常用多层面、多回波的自旋回波(spin echo,SE)技术。扫描时间参数有回波时间(echo time,TE)和脉冲重复间隔时间(repetition time,TR)。使用短TR和短TE可得T1WI,而用长TR和长TE可得T2WI。时间以毫秒计。依TE的长短,T2WI又可分为重、中、轻三种。病变在不同T2WI中信号强度的变化,可以帮助判断病变的性质。例如,肝血管瘤T1WI呈低信号,在轻、中、重度T2WI上则呈高信号,且随着加重程度,信号强度有递增表现,即在重T2WI上其信号特强。肝细胞癌则不同,T1WI呈稍低信号,在轻、中度T2WI呈稍高信号,而重度T2WI上又略低于中度T2WI的信号强度。再结合其他临床影像学表现,不难将二者区分。
MRI常用的SE脉冲序列,扫描时间和成像时间均较长,因此对患者的制动非常重要。采用呼吸门控和(或)呼吸补偿、心电门控和周围门控以及预饱和技术等,可以减少由于呼吸运动及血液流动所导致的呼吸伪影、血流伪影以及脑脊液波动伪影等的干扰,可以改善MRI的图像质量。
为了克服MRI中SE脉冲序列成像速度慢、检查时间长这一主要缺点,近年来先后开发了梯度回波脉冲序列、快速自旋回波脉冲序列等成像技术,已取得重大成果并广泛应用于临床。此外,还开发了指肪抑制和水抑制技术,进一步增加MRI信息。
MRI另一新技术是磁共振血管造影(magnetic resonance angiography,MRA)。血管中流动的血液出现流空现象。它的MR信号强度取决于流速,流动快的血液常呈低信号。因此,在流动的血液及相邻组织之间有显著的对比,从而提供了MRA的可能性。目前已应用于大、中血管病变的诊断,并在不断改善。MRA不需穿剌血管和注入造影剂,有很好的应用前景。MRA还可用于测量血流速度和观察其特征。
MRI也可行造影增强,即从静脉注入能使质子弛豫时间缩短的顺磁性物质作为造影剂,以行MRI造影增强。常用的造影剂为钆——二乙三胺五醋酸(Gadolinium-DTPA,Gd-DTRA)。这种造影剂不能通过完整的血脑屏障,不被胃粘膜吸收,完全处于细胞外间隙内以及无特殊靶器官分布,有利于鉴别肿瘤和非肿瘤的病变。中枢神经系统MRI作造影增强时,症灶增强与否及增强程度与病灶血供的多少和血脑屏障破坏的程度密切相关,因此有利于中枢神经系统疾病的诊断。
MRI还可用于拍摄电视、电影,主要用于心血管疾病的动态观察和诊断。
基于MRI对血流扩散和灌注的研究,可以早期发现脑缺血性改变。它预示着很好的应用前景。
带有心脏起搏器的人需远离MRI设备。体内有金属植入物,如金属夹,不仅影响MRI的图像,还可对患者造成严重后果,也不能进行MRI检查,应当注意。
第四节 MRI诊断的临床应用
MRI诊断广泛应用于临床,时间虽短,但已显出它的优越性。
在神经系统应用较为成熟。三维成像和流空效应使病变定位诊断更为准确,并可观察病变与血管的关系。对脑干、幕下区、枕大孔区、脊髓与椎间盘的显示明显优于CT。对脑脱髓鞘疾病、多发性硬化、脑梗塞、脑与脊髓肿瘤、血肿、脊髓先天异常与脊髓空洞症的诊断有较高价值。
纵隔在MRI上,脂肪与血管形成良好对比,易于观察纵隔肿瘤及其与血管间的解剖关系。对肺门淋巴结与中心型肺癌的诊断,帮助也较大。
心脏大血管在MRI上因可显示其内腔,所以,心脏大血管的形态学与动力学的研究可在无创伤的检查中完成。
对腹部与盆部器官,如肝、肾、膀胱,前列腺和子宫,颈部和乳腺,MRI检查也有相当价值。在恶性肿瘤的早期显示,对血管的侵犯以及肿瘤的分期方面优于CT。
骨髓在MRI上表现为高信号区,侵及骨髓的病变,如肿瘤、感染及代谢疾病,MRI上可清楚显示。在显示关节内病变及软组织方面也有其优势。
MRI在显示骨骼和胃肠方面受到限制。
MRI还有望于对血流量、生物化学和代谢功能方面进行研究,对恶性肿瘤的早期诊断也带来希望。
在完成MR成像的磁场强度范围内,对人体健康不致带来不良影响,所以是一种非损伤性检查。
但是,MRI设备昂贵,检查费用高,检查所需时间长,对某些器官和疾病的检查还有限度,因之,需要严格掌握适应证。
第六章 计算机X线成像和图像存档与传输系统
第一节 计算机X线成像
传统的X线成像是经X线摄照,将影像信息记录在胶片上,在显定影处理后,影像才能于照片上显示。计算机X线成像(computed radiography,CR)则不同,是将X线摄照的影像信息记录在影像板(image plate,IP)上,经读取装置读取,由计算机计算出一个数字化图像,复经数字/模拟转换器转换,于荧屏上显示出灰阶图像。CR与DSA中所述的DR同属数字化成像。
一、CR的成像原理与设备
CR的成像要经过影像信息的记录、读取、处理和显示等步骤。其基本结构见图1-6-1。
影像信息的记录:用一种含有微量素铕(Eu2+)的钡氟溴化合物结晶(BaFX:Eu2+,X=CI.Br.I)制成的IP代替X线胶片,接受透过人体的X线,使IP感光,形成潜影。X线影像信息由IP记录。IP可重复使用达千次。
影像信息的读取:IP上的潜影用激光扫描系统(图1-6-2)读取,并转换成数字信号。激光束对匀速移动的IP整体进行精确而均匀的扫描。在IP上由激光激发出的辉尽性荧光,由自动跟踪的集光器收集,复经光电转换器转换成电信号,放大后,由模拟/数字转换器转换成数字化影像信息。由IP扫描完了后,则可得到一个数字化图像。
影像信息的处理:影像的数字化信号经图像处理系统处理,可以在一定范围内任意改变图像的特性。这是CR优于X线照片之处,X线照片上的影像特性是不能改变的。图像处理主要功能有:灰阶处理、窗位处理、数字减影血管造影处理和X线吸收率减影处理等。
灰阶处理:通过图像处理系统的调整,可使数字信号转换为黑白影像对比,在人眼能辨别的范围内进行选择,以达到最佳的视觉效果。这有利于观察不同的组织结构。例如胸部可得到两张分别显示肺和纵隔最佳图像。
窗位处理:以某一数字信号为0,即中心,使一定灰阶范围内的组织结构,以其对X线吸收率的差别,得到最佳的显示,同时可对这些数字信号进行增强处理。窗位处理可提高影像对比,有利于显示组织结构,如骨小梁的显示。

图1-6-1 CR装置示意图

图1-6-2 影像读取装置示意图
数字减影血管造影处理:选择血管造影一系列CR图像中的一帧为负片(蒙片)行数字减影处理,可得到DSA图像。
X线吸收率减影处理:用两个不同的X线摄影条件摄影,选择其中任何一帧作为负片进行减影,则可消除某些组织。例如对胸部行减影处理可消除肋骨影像,以利于观察肺野。
影像的显示与存储:数字化图像经数字/模拟转换器转换,于荧屏上显示出人眼可见的灰阶图像。荧屏上的图像可供观察分析,还可用多帧光学照相机摄于胶片上,用激光照相机可把影像的数字化信号直接记录在胶片上,可提高图像质量。激光照相机同自动洗片机联成一体,可减少操作程序。
CR的数字化图像信息还可用磁带、磁盘和光盘作长期保存。
二、CR的临床应用
CR的图像质量与所含的影像信息量可与传统的X线成像相媲美。图像处理系统可调节对比。故能达到最佳的视觉效果;摄照条件的宽容范围较大;患者接受的X线量减少。图像信息可由磁盘或光盘储存,并进行传输,这些都是CR的优点。
CR图像与传统X线图像都是所摄部位总体的重迭影像,因此,传统X线能摄照的部位也都可以用CR成像,而且对CR图像的观察与分析也与传统X线相同。所不同的是CR图像是由一定数目的象素所组成。
CR对骨结构、关结软骨及软组织的显示优于传统的X线成像,还可行矿物盐含量的定量分析。CR易于显示纵隔结构如血管和气管。对结节性病变的检出率高于传统的X线成像,但显示肺间质与肺泡病变则不及传统的X线图像。CR在观察肠管积气、气腹和结石等含钙病变优于传统X线图像。
用CR行体层成像优于X线体层摄影。胃肠双对比造影在显示胃小区、微小病变和肠粘膜皱襞上,CR优于传统的X线造影。
CR是一种新的成像技术,在不少方面优于传统的X线成像,但从效益-价格比,尚难于替换传统的X线成像。在临床应用上,CR不像CT与MRI那样不可代替。
第二节 图像存档和传输系统
图像存档和传输系统(picturearchiving communicating system, RACS)是存放和传输图像的设备,不是成像装置。当前,X线图像、CT与MRI大多是以照片形式于放射科档案室存档。需要时,要从档案室借调,占用很多人力,借调中,照片丢失或错拿时有发生,而且效率低。由于影像诊断技术应用越来越普及,图像数量大增。照片存档与借调工作大且不便。因此,人们提出了用另一种方式存放与传输图像,以使图像高效率使用并能安全保存。由于计算机、存档装置和通信技术的发展,使这一设想成为可能。
一、PACS的基本原理与结构
PACS是以计算机为中心,由图像信息的获取、传输与存档和处理等部分(图1-6-3与图1-6-4)组成。
(一)图像信息的获取 CT、MRI、DSA、CR及ECT等数字化图像信息可直接输入PACS,而众多的X线图像需经信号转换器转换成数字化图像信息才能输入。可由摄像管读取系统、电耦合器读取系统或激光读取系统完成信号转换。所者速度快,精度高,但价格贵。
(二)图像信息的传输 在PACS中,传输系统对数字化图像信息的输入,检索和处理起着桥梁作用。方法有:①公用电话线,将影像信息以电信号形式通过公用电话线联网完成信息传输;②光导通信,将影像信息以光信号形式通过光导纤维完成信息传输;③微波通信,将影像信息以微波形式进行传输,有如电视台发射电波,由电视机接收再现图像。后者速度快,但成本高。

图1-6-3 PACS结构示意图

图1-6-4 小型PACS系统示意图
(三)图像信息的储存与压缩 图像信息的储存可用磁带、磁盘、光盘和各种记忆卡片等。图像信息的压缩储存非常必要。因为,一张X线照片的信息量很大,相当于1500多页400字稿纸写满汉字的信息量,而一个30.48cm光盘也只能存储2000张X线照片的信息。压缩方法多用间值与哈佛曼符号压缩法,影像信息压缩1/5~1/10,仍可保持原有图像质量。
(四)图像信息的处理 图像信息的处理由计算机中心完成。计算机的容量、处理速度和可接终端的数目决定着PACS的大小和整体功能。软件则关系到检索能力、编辑和图像再处理的功能。
检索:在输入图像信息时要同时准确输入病历号和姓名等,便于检索时使用。
编辑:删去无意义的图像,以避免不必要的存储,并把文字说明与相应的图像信息一并存入。
再处理:在终端进行。包括图像编组,对兴趣区作图像放大,窗位与窗宽的调节以及用激光相机把荧屏上的图像照在胶片上。
二、PACS的临床应用
PACS已经在荷兰、美国和日本等少数国家应用。根据联网范围分为微型、小型、中型和大型PACS。微型只用于放射科内。小型用于医院内各科,中型则用于一个城市各医院之间。
PACS使医生在远离放射的地方及时看到图像,可提高工作效率与诊断水平;避免照片的借调手续和照片的丢失与错放;减少照片的管理与存放空间;减少胶片的使用量。可在不同地方同时看到不同时期和不同成像手段的多个图像,便于对照、比较。在终端进行图像再处理,使图像更便于观察。
中型PACS使患者只要有一张磁卡,就可在市内,乃至国内参加PACS的医院看到以前不同医院的各种图像,避免重复检查,有利于诊断和会诊。
但是,PACS不能存储大量的图像,由于荧屏数目的限制,也难满足同时观察十几张乃至几十张的图像,而且在荧屏上观察图像还需一个适应过程。
PACS投资甚高,使实际应用受到限制。
第七章 不同成像技术的综合应用
如前所述,医学影像学中有X线、CT、DSA、USG和MRI等多种成像技术,在每种成像技术中还有多种检查方法。应当指出,各种成像技术和检查方法都有它的优势与不足,并非一种成像技术可以适用于人体所有器官的检查和疾病诊断,也不是一种成像技术能取代另一种成像技术,而是相辅相成、相互补充和印证。在选用时就要权衡利憋,进行选择和综合利用。一般在能正确诊断的前提下,应选用简单方便,对患者安全、痛苦少的非损伤性和检查费用低的成像技术或检查方法才能明确诊断。
虽然有了CT和MRI等先进的成像技术,但是它们每日能检查的例数有限,检查费用高,而且不是对人体所有部位都能进行检查,所以不以代替大量而有效的X线诊断。一般而言,在神经系统,对头颅和脊椎疾病,X线平片多可解决诊断问题,对颅内和椎管内疾病,如肿瘤、脑损伤和脑血管意外等,则CT或MRI为好。对心脏大血管疾病,用普通X线检查与超声心动图多可作出诊断,但如观察心、大血管疾病细节,则常需用心血管造影。对肺与纵隔应先用X线检查,必要时再用CT或MRI。腹内与盆腔内器官X线检查价值有限,而USG与CT则较为可靠,应用较多。胃肠道的检查,钡剂造影是有效而可靠的诊断方法。骨关节疾病,X线检查在多数情况下可以解决诊断问题。
因此,应该在充分了解、掌握各种影像检查方法的优劣、适用范围、价值与限度的基础上,根据患者症状、体征及其他临床检查中得出的初步诊断,本着有效、安全、经济、简便的原则,提出影像检查的程序。如何作好影像学检查程序设计,已成为应该掌握的基本知识和日常工作中面临的重要课题。
第二篇 骨关节
骨关节疾病多而复杂,除外伤、炎症和肿瘤等疾病外,全身性疾病如营养代谢和内分泌等疾病也可引起骨骼的改变。X线能反映这此疾病的一定病理变化。因此,X线检查和诊断在骨关节疾病中应用相当普遍。CT与MRI不但可显示骨与关节,且对病变的准确定位优于X线,但价钱昂贵,故一般是在X线的基础上,根据病情需要,选择使用。
第一章 X线诊断
骨骼含有大量钙盐,密度高,同其周围的软组织有鲜明的对比,而在骨骼本身的结构中,周围的骨皮质密度高,内部的松质骨和骨髓比皮质密度低,也有鲜明的对比。由于骨与软组织具备良好的自然对比,因此,一般摄影即可使骨关节清楚显影,而骨关节疾病也易于在X线片上显示出来,经观察、分析可作出诊断。
X线检查不仅能显示病变的范围和程度,而且还有可能作出定性诊断。但不少骨关节疾病,X线表现比病理改变和临床表现出现晚,因此,初次检查结果阴性,不能排除早期病变的存在。例如炎症的早期和肿瘤在骨髓内浸润就可能无重要发现,应根据临床拟诊,依不同疾病的发展规律,定期复查,才可能发现病变。也有时初次X线检查能发现病变而不能确诊,经过复查后才能作出定性诊断。
还须指出,不少骨关节疾病缺乏典型或特殊的X线表现,需结合临床资料,如发病急缓、症状轻重和体征特点等,才能明确诊断。
第一节 X线检查方法
一、普通检查
骨关节的X线检查主要用摄片,不用透视。只在火器伤寻找异物与定位时和在外伤性骨折与脱位进行复位时采用。
摄影要注意以下几点:①任何部位,包括四肢长骨、关节和脊柱都要用正、侧两个摄影位置。某些部位还要用斜位、切线位和轴位等;②应当包括周围的软组织。四肢长骨摄片都要包括邻近的一个关节。在行脊柱摄影时,例如摄照腰椎应包括下部胸椎,以便计数;③两侧对称的骨关节,病变在一侧而症状与体征较轻,或X线片上一侧有改变,但不够明显时,应在同一技术条件下摄照对侧,以便对照。
二、特殊检查
(一)体层摄影 在骨关节本身结构复杂或同其他结构重迭的部位,体层摄影可使结构显示清楚。对骨病亦可更清晰地显示病灶。
(二)放大摄影 使用微焦点X线管通过X线影像的直接放大,可观察骨骼细微结构和轻微变化。多用于检查局部骨小梁结构和小的骨关节。
三、造影检查
(一)关节造影 关节间隙为关节软骨和少量滑液构成,在相对的关节软骨之间还有解剖上的关节间隙,同其组成的骨骼有明显的对比,因此,关节间隙变窄、增宽和骨性关节面破坏、硬化,平片可清楚显示出来。但关节内的软骨盘、关节囊、滑膜及韧带等均为软组织,彼此间密度一致,在平片上缺乏对比,这些软组织的损伤和病理改变需向关节腔内注入造影剂,形成人工对比才能观察,即关节造影(arthrography )。
关节造影一般用气体作为造影剂,或用有机碘水剂注入关节腔内。也可同时注入有机碘水剂和气体行双重造影。
(二)血管造影 血管造影多用于肢体动脉。主要用于血管疾病的诊断和良、恶性肿瘤后的鉴别,对后者,根据肿瘤的血管形态改变、肿瘤血流情况和邻近血管的移位等进行诊断。
第二节 正常X线表现
人体骨骼因形状不同而分长骨、短骨、扁骨和不规则骨四类。
一、骨的结构与发育
(一)骨的结构 骨是由骨细胞、骨基质、矿物盐和纤维构成。骨的细胞成分包括成骨细胞、骨细胞和破骨细胞。骨细胞埋置于骨基质中。骨基质为有机的胶原纤维,有矿物盐沉积。因此,X线片上呈高密度影。
骨质按其结构分为密质骨和松质骨两种。长骨的骨皮质和骨的内外板为密质骨,主要由多数哈氏系统组成。哈氏系统包括哈氏管和以哈氏管为中心的多层环形同心板层骨。密质骨由于骨结构密实,X线片显影密度高而均匀。松质骨由多数骨小梁组成,骨小梁自骨皮质向骨髓腔延伸,互相连接形成海绵状,骨小梁间充以骨髓。松质骨X线显影密度低于密质骨,且可见多数骨小梁交叉排列。
(二)骨的发育 骨的发育包括骨化与生长。在胚胎期即开始进行。骨化有两种形式,一种为膜化骨,包括颅盖诸骨和面骨。膜化骨是间充质细胞演变为纤维母细胞,形成结缔组织膜,在膜的一定部位开始化骨,成为骨化中心(ossification centre),再逐步扩大,完成骨的发育。另一种为软骨内化骨,躯干及四肢骨和颅底骨与筛骨均属软骨内化骨。软骨内化骨是由间充质细胞演变为软骨,已具有成年骨的形态,即软骨雏型。为软骨原基。在软骨原基中心的软骨细胞肥大,基质钙化,软骨膜血管侵入软骨细胞囊中,由成骨细胞的成骨活动而成骨,形成原始骨化中心。以后,还出现继发骨化中心。骨化中心不断扩大,最后全部骨化,而完成骨骼的发育。锁骨及下颌骨则兼有两种形式的骨化。
骨骼在发育生长过程中不断增大,根据生理功能的需要,通过破骨细胞的骨质吸收活动而改建塑型。骨质的吸收过程称为破骨。骨髓腔的形成就是在骨发育过程中骨皮质内面骨吸收的所造成的。骨骼的发育、发展主要是以成骨和破骨的形式进行的。
(三)影响骨发育的因素 骨组织的生长必须具备两个条件,即由成骨细胞的作用形成细胞外的有机质,骨细胞埋置于其中,形成骨样组织(osteoid tissue)。二是矿物盐在骨样组织上的沉积。与此同时,还由破骨细胞作用进行骨吸收。如此,维持正常骨组织代谢的平衡。如果成骨细胞活动、矿物盐沉积和破骨细胞发生变化。都将影响骨骼的发育。其中关系密切的有钙磷代谢、内分泌和维生素等。
二、长骨
(一)小儿骨骼 长骨是软骨雏型经骨化形成的,一般有3个以上的骨化中心,一个在骨干,另外的在两端。前者为原始或一次骨化中心,后者为继发或二次骨化中心。原始骨化中心在胚胎第5周后在骨干中央发生,骨化迅速进行。出生时,长骨骨干已大部骨化,只两端仍为软骨,即骺软骨(epiphyseal cartilage)。因此,小儿长骨的主要特点是骺软骨,且未完全骨化。可分为骨干(diaphysis)、干骺端(metaphysis)、骺(epiphysis)及骺板(epiphyseal plate)等部分(图2-1-1、2)。

图2-1-1 小儿长骨端示意图

图2-1-2 儿童正常膝关节
1.骨干 管状骨周围由密质骨构成,为骨皮质,含钙多,X线表现为密度均匀致密影,外缘清楚,在骨干中部最厚,越近两端越薄。骨干中央为骨髓腔,含造血组织和脂肪组织,X线表现为由骨干皮质包绕的无结构的半透明区。骨皮质外面和里面(除关节囊内部分以外)均覆有骨膜,前者为骨外膜,后者为骨内膜。骨膜为软组织,X线上不能显影。
2.干骺端 为骨干两端的较粗大部分,由松质骨形成,骨小梁彼此交叉呈海绵状,周边为薄的骨皮质。顶端为一横行薄层致密带影,为干骺端的临时钙化带,是骨骺板软骨干骺端未端软骨基质钙化,经软骨内成骨即为骨组织代替,形成骨小梁,经改建塑型变为干骺端松质骨结构。此临时钙化带随着软骨内成骨而不断向骨骺侧移动,骨即不断增长。骨干与干骺端间无清楚分界线。
3.骺 为长骨未完成发育的一端。在胎儿及儿童时期多为软骨,即骺软骨,X线片上不显影。骺软骨有化骨功能。在骨化初期于骺软骨中出现一个或几个二次骨化中心。X线表现为小点状骨性致密影。骺软骨不断增大,其中的二次骨化中心也不断由于骨化而增大,形成松质骨,边缘由不规则变为光整。
4.骺板(骺盘) 当骺与干骺端不断骨化,二者之间的软骨逐渐变薄而呈板状时,则称为骺板。因为骺板是软骨,X线片上呈横行半透明线,居骺与干骺端之间,称之为骺线(epiphyseal line)。骺板不断变薄,最后消失,即骺与骨干结合,完成骨的发育。X线表现为骺线消失。
(二)骨龄 在骨的发育过程中,每一个骨骼的骺软骨内二次骨化中心出现时的年龄和骺与干骺端完全结合,即骺线完全消失时的年龄,就是骨龄(bone age)。根据正常男女人体各骨骨化中心的出现和骺与干骺端结合时期的差别范围可制定一个正常骨龄标准,用这个方法估计骨的发育情况骨龄标准,用这个方法估计骨的发育情况即骨龄判断,虽不够准确,但较简便易行,为较多人采用。也有人根据儿童年龄增长而出现的骺有规律性X线变化来判断骨龄,这个方法比较准确,但因程序比较复杂,较少应用。
测量骨龄是了解被检查者实际骨发育的年龄,并与正常儿童骨龄标准相比。如骨龄与被检查者实际年龄不符,且相差超出一定范围,常提示骨发育过早或过晚,对诊断内分泌疾病有一定的价值。表2-1-1是天津地区国人的四肢骨龄正常标准,可供参考。
骨龄是判断骨骼发育的参考资料之一。但因种族、地区及性加别而有所不同,正常标准还有一个范围。所以有应用骨龄时,也须考虑到这些因素。
(三)成年骨骼 成年骨骼的外形与小儿骨骼相似,但骨发育完全。骼与干骺端结合,骺线消失。只有骨干和由骨松质构成的骨端。骨端有一薄层壳状骨板为骨性关节面。表层光滑。其外方覆盖的一层软骨,即关节软骨,X线上不能显示(图2-1-3)。成年长骨骨皮质较厚,密度高。骨端各部位所承受重力、肌肉张力以及功能活动不同,其骨小梁分布的比例和排列方向也不同。此外,靠近关节附近,还常有光滑的子骨附于骨骼附近的肌腱中。位置与数目正常有所差异。以手及足部为多见。

图2-1-3 正常成人小腿骨胫、腓骨 只有骨干和骨端,没有骺骺线和干骺端
三、四肢关节
四肢关节包括骨端、关节骨和关节囊。
关节有两个或两个以上的骨端。每个骨端的骨性关节上面覆盖的关节软骨为透明软骨,表面光滑,具有强弹性,在功能范围内滑动自如,并能承受重力,对骨性关节面的骨质有保护作用。但关节软骨不能再生,一旦破坏或退行性变,活动时就产生磨擦,随后为纤维组织所覆盖,关节囊由外层致密的结缔组织和内层较薄的滑膜所组成。滑膜可分泌少量的关节滑液。
表2-1-1 天津地区国人四肢骨龄正常标准

表内数字是骺最早出现年龄到最晚出现年龄的正常范围;□内数字为骺间和骺与干骺端结合年龄的正常范围;括号数字为女性材料。
X线上,由于软骨、关节囊都是软组织密度,不能显示,所以,相对骨端之骨性关节面间呈半透明间隙,称之为关节间隙(joint space)。因此,X线所见关节间隙包括了关节软骨及其间的真正微小间隙和少量滑液。两个相对骨端的骨性关节面光滑整齐,相距匀称,间隙清晰,宽度均匀(图2-1-4)。关节间隙的宽度因部位和年龄而异。
新生儿的关节间隙,由于骨端有骺软骨,骨化中心尚未出现或很小,而显得很宽,随着年龄增长,骺逐渐增大,则间隙逐渐变窄,待骨骼发育完成,则成为成年的宽度。

图2-1-4 正常成人膝关节
股骨下端和胫骨上端的骨性关节整齐,间隙清晰,宽度均匀
四、脊柱
脊柱由脊椎(vertebra)和其间的椎间盘(intervertebral disc)所组成。
一般,颈椎7个,胸椎12个,腰椎5个,骶椎5个和尾椎4个。颈、胸、腰椎各脊椎间都可活动,而骶椎与尾椎则分别连成骶骨和尾骨。除颈椎1~2外,每个脊椎分椎体及椎弓两部分。椎弓由椎弓根、椎弓板、棘突、横突和关节突组成。同侧上下两个关节突组成脊椎小关节,有关节软骨和关节囊。
脊椎顺列曲度在婴儿时只有一个后突的曲度。能站立时,脊柱即显示四个弯曲,近于成年的曲度。成年时,颈椎段前突;胸椎段后突,以胸椎7明显;腰椎段前突,以腰椎4明显;骶骨及尾骨则明显后突,尤以女性为甚。
成年脊椎椎体呈短的圆柱状,上下面平直。椎弓由两个椎弓根和两侧椎弓板构成,椎弓板生方联合成棘突。在每侧椎弓都附有一个横突及上、下关节突。各个椎体与椎弓围成椎管,容纳脊髓。椎间盘居椎体之间,在椎体上下面附有一层纤维软骨板,似长骨骨端的关节软骨,椎间盘中心包含一个胶样、富有弹性的髓核,似关节腔,其周围为一纤维环包绕,似一关节囊。椎间盘弹性强,有缓冲压力,保护椎体和支持脊椎活动的作用。
在正位片上,椎体呈长方形,从上向下依次增大,主要由松质骨构成,纵行骨小梁比横行骨小梁明显,周围为一层致密的骨皮质,密度均匀,轮廓光滑。椎体两侧有横突影。在横突内侧可见椭圆形环状致密影,为椎弓根横断面影像,称椎弓环。在椎弓根的上下方为上下关节突的影像。椎弓板由椎弓由椎弓向后内延续,于中线联合成棘突,投影于椎体中央的偏下方,呈尖向上类三角形的线状致密影,大小与形状不同(图2-1-5、6)。
在侧位片上,椎体也呈长方形,其上下缘与后缘成直角。椎弓居其后方。在椎体后方的椎管显示为纵行的半透明区。椎弓板位于椎弓根与棘突之间。棘突在上胸段斜向后下方,不易观察,于腰段则向后突,易于显示。上下节突分别起于椎弓根与弓板连接之上、下方,下关节突在下个脊椎上关节突的后方,以保持脊椎的稳定,不向前滑。脊椎小关节间隙匀称的半透明影。颈、胸椎小关节侧位清楚,腰椎正位清楚。椎间盘的纤维软骨板、髓核及周围的纤维环系软组织密度,故呈宽度匀称的横行半透明影,称之为椎间隙(intervertebral space)。椎间孔居相邻椎弓、椎体、关节突及椎间盘之间,呈半透明影,颈椎斜位显示清楚,胸、腰椎侧位清楚,呈类圆形(图2-1-5、6)。

图2-1-5 正常腰椎正侧位

图2-1-6 正常腰椎(正位、侧位、斜位)
第三节 基本病变X线表现
骨关节疾病的病理变化及其X线表现多种多样,但大多包括下列一些基本病变。了解基本病变的病理变化及其X线表现,对诊断骨关节疾病是重要的。实际工作中就是观察这些X线变化,加以综合分析,并作出诊断。
一、骨骼的基本病变
(一)骨质疏松 骨质疏松(osteoporosis)是指一定单位体积内正常钙化的骨组织减少,即骨组织的有机成分和钙盐都减少,但1g骨内有的机成分和钙盐含量比例仍正常。骨在质上正常,化学成分不变。组织学变化是骨皮质变薄,哈氏管扩大和骨小梁减少(图2-1-7)。

| 正常钙化骨 | 骨质疏松, 骨质软化 |
| 骨完全钙化, 大量骨质为非 | |
| 但骨量不足 钙化骨样组织 |
图2-1-7 长骨骨皮质横断面示意图表示骨质稀疏和骨质软化现象
骨质疏松的X线表现主要是骨密度减低。在长骨可见骨松质中骨小梁变细、减少、间隙增宽,骨皮质出现分层和变薄现象。在脊椎,椎体内结构呈纵形条纹,周围骨皮质变薄,严重时,椎体内结构消失。椎体变扁,其上下缘内凹,而椎间隙增宽,呈梭形,致椎体呈鱼脊椎状。疏松的骨骼易发生骨折。椎体有时可压缩呈楔状。
骨质疏松见于多种疾病。广泛性骨质疏松主要是由于成骨减少。老年、绝经期后妇女、营养不良、代谢或内分泌障碍都可引起。局限性骨质疏松多见于废用,如骨折后、感染、恶性骨肿瘤等和因关节活动障碍而继发骨质疏松。只根据骨质疏松,难于对病因作出诊断。
(二)骨质软化 骨质软化(osteomalacia)是指一定单位体积内骨组织有机成分正常,而矿物质含量减少。因此,1g骨内的钙盐含量降低。骨发生软化。组织学上显示骨样组织钙化不足,常见骨小梁中央部分钙化,而外面围以一层未钙化的骨样组织(图2-1-8)。

图2-1-8 前臂及小腿骨骨质软化—佝偻病骨质普遍密度减低,骨皮质薄,边缘不清,骨小梁
模糊,骨变弯、变形。干骺端宽大呈杯口状变形,骺与干骺干骺端距离增宽。骺边缘模糊。腕骨出现少
骨质软化的X线表现主要是由于骨内钙盐减少而引起的骨密度减低,以腰椎和骨盆为明显。与骨质疏松不同的是骨小梁和骨皮质边缘模糊,系因骨组织内含有大量未经钙化的骨样组织所致(图2-1-8)。由于骨质软化,承重骨骼常发生各种变形(图2-1-9)。此外,还可见假骨折线,表现为宽约1~2mm的光滑透明线,与骨皮质垂直,边缘稍致密,好发于耻骨支、肱骨、股骨上段和胫骨等。
在成骨过程中,骨样组织的钙盐沉积发生障碍,即可引起骨质软化。造成钙盐沉积不足的原因可以是维生素D缺乏,肠道吸收功能减退,肾排泄钙磷过多和碱性磷酸酶活动减低。骨质软化系全身性骨病,常见者发生于生长期为佝偻病,于成年为骨软化症。亦可见于其他代谢性和氟中毒骨疾患。

图2-1-9 骨盆骨质软化一骨软化症骨盆骨质密度普遍降低,骨皮质变薄、模糊,
骨小梁不清,骨盆有明显变形。耻骨支可见假骨折,呈光滑的透明线影,两侧对称
(三)骨质破坏 骨质破坏(destruction of bone)是局部骨质为病理组织所代替而造成的骨组织消失。可以由病理组织本身或由它引起破骨细胞生成和活动增强所致。骨松质或骨皮质均可发生破坏。
骨质破坏的X线表现是骨质局限性密度减低,骨小梁稀疏或形成骨质缺损,其中全无骨质结构(图2-1-10)。骨皮质破坏,在早期发生于哈氏管周围,X线上呈筛孔状,骨皮质表层的破坏,则呈虫蚀状。

图2-1-10 骨破坏——胫骨下端干骺端及骺结核于干骺端及骺骨松质中可见局限性
密度减低(箭头所示),形成缺损,其中无骨质结构,过缘较清楚。邻近无骨质增生,也无骨膜反应。
骨质破坏见于炎症、肉芽肿、肿瘤或瘤样病变。不同病因造成的骨质破坏,在X线表现上虽无特征,但由于病变的性质、发展的快慢和邻近骨质的反应性改变等,又形成它各自的一些特点。如炎症的急性期或恶性肿瘤,骨质破坏常较迅速,轮廓多不规则,边界模糊。而炎症的慢性期或良性骨肿瘤,则骨质破坏进展缓慢,边界清楚,有时还可见一致密带状影围绕,且可使局部骨骼轮廓膨胀等。骨质破坏是骨骼疾病的重要X线征,观察破坏区的部位、数目、大小、形状、边界和邻近骨质、骨膜、软组织的反应等,进行综合分析,对病因诊断有较大的帮助。
(四)骨质增生硬化 骨质增生硬化(hyperostosis osteosclerosis)是一定单位体积内骨量的增多。组织学上可见骨皮质增厚、骨小梁增粗增多,这是成骨增多或破骨减少或两者同时存在所致。大多因病变影响成骨细胞活动所造成,属于机体代偿性反应,少数是因病变本身成骨,如肿瘤细胞成骨。
骨质增生硬化的X线表现是骨质密度的增高,伴有或不伴有骨骼的增大(图2-1-11)。骨小梁增粗、增多、密集,骨皮质增厚、致密。明显者,则难于分清骨皮质与骨松质。发生于长骨可见骨干粗大,骨髓腔变窄或消失。
骨质增生硬化见于多种疾病。多数是局限性骨增生,见于慢性炎症、外伤和某些原发良性骨肿瘤、骨肉瘤或成骨性转移瘤。少数为普遍性骨增生,骨皮质与骨松质多同时受累,见于某些代谢或内分泌障碍如甲状旁腺功能低下或中毒性疾病,如氟中毒。

图2-1-11 骨质增生硬化-肱骨上端骨肉瘤(成骨型)
肱骨上端骨质密度增高,骨皮质外有瘤骨形成,呈针状排列,其中无骨小梁
骨膜过生的X线表现在早期是一段长短不定、与骨皮质平行的细线状致密影,同骨皮质间可见1~2mm宽的透亮间隙。继则骨膜新生骨增厚。由于新生骨小梁排列形式不同而表现亦异。常见的有与骨皮质面平行排列的线状、层状或花边状骨膜反应(图2-1-12)。骨膜增生的厚度与范围同发生的部位、病变性质和发展阶段有关。一般,长骨的骨干明显。炎症者较广泛,而肿瘤则较局限。随着病变的好转与痊愈,骨膜增生可变得致密,逐渐与骨皮质融合,表现为皮质增厚。痊愈后,骨膜新生骨还可逐渐被吸收。在恶性骨肿瘤,骨膜增生可受肿瘤侵蚀而被破坏。
骨膜增生多见于炎症、肿瘤、外伤、骨膜下出血等。只根据骨膜增生的形态,不能确定病变的性质,需结合其他表现才能作出判断。
(六)骨内与软骨内钙化 原发于骨的软骨类肿瘤可出现肿瘤软骨内钙化;骨栓塞所致骨质坏死可出现骨髓内钙化;少数关节软骨或椎间盘软骨退行性变也可出现软骨钙化。X线表现为颗粒状或小环状无结构的致密影,分布较局限。
(七)骨质坏死 骨质坏死(necrosis of bone)是骨组织局部代谢的停止,坏死的骨质称为死骨(sequestrum)。形成死骨的原因主要是血液供应的中断。组织学上是骨细胞死亡、消失和骨髓液化、萎缩。在早期骨小梁和钙质含量无何变化,此时X线上也无异常表现。当血管丰富的肉芽组织长向死骨,则出现破骨细胞对死骨的吸收和成骨细胞的新骨生成。这一过程延续时间很长。
死骨的X线表现是骨质局限性密度增高(图2-1-13),其原因:一是死骨骨小梁表面有新骨形成,骨小梁增粗,骨髓内亦有新骨形成即绝对密度增高。二是死骨周围骨质被吸收,或在肉芽、脓液包绕衬托下,死骨亦显示为相对高密度。死骨的形态因疾病的发展阶段而不同,随时间而渐被吸收。恶性骨肿瘤内的残留骨有时为死骨,有时为活骨。

图2-1-12 胫骨慢性化脓性骨髓炎,花边状骨膜增生

图2-1-13 胫骨慢性化脓性骨髓炎
上图可见骨破坏及骨膜反应,有死骨形成。下图为半年后,死骨更为明显
骨质坏死多见于慢性化脓性骨髓炎,也见于骨缺血性死和外伤骨折后。
(八)矿物质沉积 铅、磷、铋等进入体内,大部沉积于骨内,在生长期主要沉积于生长较快的干骺端。X线表现为多条横行相互平行的致密带,厚薄不一。于成年则不易显示。
氟进入人体过多,可激起成骨活跃,使骨量增多。亦可引起破骨活动增加,骨样组织增多,发生骨质疏松或软化。氟与骨基质中钙质结合称为氟骨症。骨质结构变化以躯干骨为明显,有的X线表现为骨小梁粗糙、紊乱,而骨密度增高。
(九)骨骼变形 骨骼变形与骨骼大小改变并存,可累及一骨、多骨或全身骨骼。局部病变或全身性疾病均可引起。如骨肿瘤可使骨局部膨大、变形;发育畸形使一侧骨骼增大;脑垂体功以亢进使全身骨骼增大;骨软化症和成骨不全使全身骨骼变形。
(十)周围软组织病变 骨骼X线片上可看到肌肉、肌间隙和皮下脂肪层等影像。外伤和感染引起软组织肿胀时,X线表现为局部软组织肿胀,密度增高,软组织的正常层次模糊不清。开放损伤、厌氧杆菌感染、于皮下或肌纤维间可见气体。软组织肿瘤或恶性骨肿瘤侵犯软组织,可见软组织肿块影。肢体运动长期受限,可见肢体变细、肌肉萎缩变薄。先天性骨疾病可引起全身肌肉发育不良。外伤后发生骨化肌炎,可见软组织内钙化和骨化。
二、关节的基本病变
(一)关节肿胀 关节肿胀(swelling of joint)常由于关节积液或关节囊及其周围软组织充血、水肿、出血和炎症所致。X线表现都是关节周围软组织肿胀、密度增高,难于区别,大量关节积液可见关节间隙增宽。常见于炎症、外伤和出血性疾病。
(二)关节破坏 关节破坏(destruction of joint)是关节软骨及其下方的骨性关节面骨质为病理组织所侵犯、代替所致。其X线表现是当破坏只累及关节软骨时,仅见关节间隙变窄,在累及关节面骨质时,则出现相应区的骨破坏和缺损(图2-1-14)。关节间隙变窄和骨破坏程度不同。严重时可引起关节半脱位和变形。
关节破坏是诊断关节疾病的重要依据。破坏的部位与进程因疾病而异。急性化脓性关节炎,软骨破坏开始于关节持重面或从关节边缘侵及软骨下骨质,软骨与骨破坏范围有时十分广泛。关节滑膜结核,软骨破坏开始于边缘,逐渐累及骨质,表现为边缘部分的虫蚀状破坏。类风湿性关节炎到晚期才引起关节破坏,也从边缘开始,多呈小囊状。

图2-1-14 关节破坏——膝关节结核
膝关节关节间隙变窄,关节面边缘有虫蚀状骨破坏
(三)关节退行性变 关节退行性变(degeneration lf joint)早期改变开始于软骨,为缓慢发生软骨变性、坏死和溶解,骨板被吸收并逐渐为纤维组织或纤维软骨所代替,广泛软骨坏死可引起关节间隙狭窄。继而造成骨性关节面骨质增生硬化,并于骨缘形成骨赘。关节囊肥厚、韧带骨化。
关节退行性变的早期X线表现主要是骨性关节面模糊、中断、消失。中晚期表现为关节间隙狭窄、软骨下骨质囊变和骨性关节面边缘骨赘形成,不发生明显骨质破坏,一般无骨质疏松。
这种变化多见于老年,以承受体重的脊柱和髋、膝关节为明显(图2-1-15、16),是组织衰退的表现。此外,也常见于运动员和搬运工人,由于慢性创伤和长期承重所致。不少职业病和地方病可引起继发性关节退行性变。
(四)关节强直 关节强直 (ankylosis of joint)可分为骨性与纤维性两种。
骨性强直是关节明显破坏后,关节骨端由骨组织所连接。X线表现为关节间隙明显变窄或消失,并有骨小梁通过关节连接两侧骨端。多见于急性化脓性关节炎愈合后。
纤维性强直也是关节破坏的后果。虽然关节活动消失。但X线上仍可见狭窄的关节间隙,且无骨小梁贯穿。常见于关节结核。诊断需结合临床,不能单凭X线确诊。
(五)关节脱位 关节脱位(dislocation of joint)是组成关节骨骼的脱离、错位。有完全脱位和半脱位两种。

图2-1-15 关节退行性变——颈椎关节病颈椎曲度变直,椎体边角锐利有骨赘形成,颈5~6椎间隙变窄,邻近的骨赘较明显
关节脱位多为外伤性,也有先天性或病理性。任何关节疾病造成关节破坏后都能发生关节脱位。

图2-1-16 关节退行性变-膝关节退行性骨关节病
膝关节的关节间隙变窄,边角锐利,有骨赘形成,关节面平而致密
第四节 骨关节疾病X线表现与诊断
一、骨关节外伤
骨关节外伤要进行X线检查,其目的是:①明确有无骨折或脱位;②了解骨折和脱位的详情;③在透视监视下行复位治疗;④复位固定后摄片,复查复位情况;⑤定期复查观察愈合过程和有无并发症;⑥轻微外伤引起的骨折,可用为判断是否为病理性骨折。
(一)骨折 骨折以长骨骨折和脊椎骨折常见。
1.长骨骨折
(1)骨折的基本X线表现:骨折(fracture)是骨骼发生断裂,骨的连续性中断。骨骺分离也属骨折。骨折断裂多为不整齐的断面,X线片上呈不规则的透明线,称为骨折线(2-1-17),于骨皮质显示清楚整齐,在骨松质则表现为骨小梁中断、扭曲、错位。骨干骨折线应同骨滋养动脉管影区别,干骺端的骨折则需同骺线区别。当中心X线通过骨折断面时,则骨折线显示清楚,否则可显示不清,甚至难于发现。严重骨折骨骼常弯曲、变形。嵌入性(图2-1-18)或压缩性骨折骨小梁紊乱,甚至骨密度增高,而看不到骨折线。

图2-1-17 颈骨骨折
骨折呈斜行透明线,断端有轻微分离

图2-1-18 股骨颈嵌入性骨折示意图
(2)骨折的类型:根据骨折的程度可分为完全性和不完全性。前者骨折线贯穿骨骼全径,后者则不贯穿全径。根据骨折线的形状和走向,可将骨折分为线形、星形、横行、斜行和螺旋形骨折。复杂的骨折又可按骨折线形状分为T形、Y形等(图2-1-19)根据骨碎片情况可分为撕脱性、嵌入性和粉碎性骨折。





尺、桡骨不全骨折 纵行骨折 斜行骨折 Y形骨折 粉碎骨折
图2-1-19 各型骨折示意图
(3)骨折的对位与对线关系:完全性骨折,要注意骨折断端的移位。确定移位,在长骨以骨折近段为准,借以判断骨折远段的移位方向和程度,骨折端可发生内外或前后移位,上下断端亦可相错得迭或分离,重迭时必然有内外或前后移位,上下断端亦可相错重迭或分离,重迭时必然有内外或前后移位。骨折端还可有成角,即两断端纵轴形成大小不等的交角。此外,骨折还可发生旋转移位,断端围绕该骨纵轴向内或向外回旋。
上述骨折断端的内外、前后和上下移位称为对位不良,而成角移位则称为对线不良。骨折的对位及对线情况与预后关系密切,故应注意观察。X线摄影需包括正、侧位,而观察旋转移位,则需包括上下两个关节。在骨折复位后复查时,应注意骨折断端的对位与对线关系。
(4)骨折断端的嵌入:骨折断端可能相互嵌入,形成嵌入性骨折。临床诊断困难。X线片上并不显示透明的骨折线,反而表现为密度增加的条带状影,系因相互嵌入的骨断端重迭所致。骨皮质与骨小梁连续性消失,断裂相错。由于嵌入而引起骨骼的缩短与变形,但断端移位多不明显。嵌入性骨折以股骨颈部发生较多,一般不难诊断。
(5)儿童骨折的特点:骨折发生在儿童长骨,由于骨骺尚未与干骺端结合,外力可经过骺板达干骺端结合,外力可经过骺板达干骺端引起骨骺分离,即骺离骨折。由于骺板软骨不能显影,所以它的骨折并不能显示,X线片上只显示为骺线增宽,骺与干骺端对位异常。还可以是骺与干骺端一并撕脱。在儿童,骨骼柔韧性较大,外力不易使骨质完全断裂,仅表现为局部骨皮质和骨小梁的扭曲,而不见骨折线或只引起骨皮质发生皱折、凹陷或隆突,即青枝骨折(grenstick fracture)。
(6)骨折的愈合:骨折愈合是一个连续的过程,其基本过程是先形成肉芽组织,再由成骨细胞在肉芽组织上产生新骨,依靠骨痂使骨折断端连接并固定。
骨折后。断端之间、骨髓腔内和骨膜下形成血肿。此时,X线片可见骨折线变得模糊不清。
骨折2~3天后,血肿周围有由新的毛细血管和成骨细胞组成的成骨性肉芽组织开始长入血肿内,使血肿机化,形成纤维性骨痂,但联接薄弱不能负重。在纤维性骨痂的基础上,由成骨细胞活动而形成大量骨样组织,即成为骨样骨痂,使骨折进一步固定。纤维性和骨样骨痂在X线上均不能显影,所以骨折线仍存在。在骨样骨痂上有矿物质沉积形成骨组织,则成为较坚实的骨性骨痂。只有骨性骨痂才能在X线上显影。随着骨性骨痂不断增多,骨折断端不再活动,即达临床愈合期。X线片上骨折区虽可见骨痂,即致密的不定形骨质,但骨折线依然可见,断端骨密度增高。此年,骨痂范围加大,生长于骨折断端之间和骨髓腔内,使骨折联接坚实,骨折线即消失而为骨性愈合。机体为了适应负重和活动的需要,骨骼还进行再建,使承力部骨小梁致密,不承重骨痂被吸收,而骨痂不足处,如弯曲、变形,则经骨膜生骨而补足,使断骨恢复正常形态,但如变形严重则不能恢复。
骨折愈合的速度同患者年龄、骨折类型与部位、营养状况和治疗方法有关。一般,儿童肌肉丰富区骨折、嵌入性骨折愈合快,而老年关节内骨折、骨折断端移位严重、营养状态差或并发感染,则愈合慢,需时较长。
(7)骨折的并发症;常见的并发症如下,在治疗过程中复查时应加以注意:①骨折延迟愈合或不愈合:复位不良、固定不佳、局部血供不足、全身营养代谢障碍、肌肉嵌入断端间和并发感染等都可以引起延迟愈合或不愈合。愈合不良的X线表现是骨痂出现延迟、稀少或不出现,骨折线消失迟缓或长期存在。不愈合的表现是断端为骨密质封闭,致密光整,或骨折断端吸收变尖,断端间有明显的裂隙,有时可形成假关节。②骨折畸形愈合:可有成角、旋转、缩短和延长改变。轻者不影响外观与功能。③外伤后骨质疏松;骨折经固定后引起废用性骨质疏松,轻者恢复,重者则持续较久,且影响功能。④骨关节感染:见于开放性骨折或闭合性骨折手术复位后。如转为慢性,则较难治愈。⑤骨缺血性坏死:由于动脉供血中断或因反复手术复位所致。例如股骨颈骨折、股骨头坏死。⑥关节强直:多因关节周围及关节内粘所致,X线上关节间隙依然存在,但可见骨质疏松和软组织萎缩。⑦关节退行性变:关节内骨折或骨折畸形愈合,可引起这种改变。⑧骨化性肌炎;骨折后于软组织中形成广泛性骨化,称为异位性骨化,系发生于肌纤维之间,可引起局部疼痛和关节活动受限。异位骨化可逐渐吸收缩小。
(8)不同部位的骨折:①Colles骨折又称伸展型桡骨远端骨折:为桡骨远端2~3cm以内的横行或粉碎骨折,远侧段向背侧或桡侧移位,断端向掌侧成角畸形,可伴尺骨茎突骨折。②肱骨髁上骨折:多见于儿童。骨折线横过喙突窝或鹰嘴窝,远侧端多向背侧移位。③股骨颈骨折:多见于老年。骨折可发生于股骨头下、中部或基底部。断端常有错位或嵌入。头下骨折在关节囊内,易引起关节囊的损伤,影响关节囊血管对股骨头及颈的血供,使骨折愈合缓慢,甚至发生缺血性坏死。
2.脊椎骨折 暴力突然使脊柱过度弯曲(伸展者少见),由于外力与支重的关系而形成椎体压缩性骨折,易发生于脊柱活动较大的胸椎下段和腰椎上段。以单个椎体多见。X线表现为椎体压缩呈楔形,前缘骨皮质嵌压(图2-1-20)。由于断端嵌入,所以不仅不见骨折线,反而可见横形不规则线状致密带。有时,椎体前上方有分离的骨碎片。其上下椎间隙一般保持正常。严重时常并发脊椎后突成角、侧移,甚至发生椎体错位,由于压迫脊髓而引起截瘫。常并发棘间韧带撕裂,使棘突间隙增宽,也可并发棘突撕脱骨折。横压也可发生骨折。

图2-1-20 腰椎椎体压缩性骨折示意图
(二)关节脱位 关节外伤性脱位大都发生于活动范围大、关节囊和周围韧带不坚强、结构不稳定的关节。在四肢以肩和肘关节常见,而膝关节少见,外伤只引起其韧带撕裂。关节脱位常伴有关节囊的撕裂,有时还有骨折。成年大关节脱位,特别是完全性脱位,征象明确,临床不难诊断,但仍需X线检查以了解脱位的情况和有无并发骨折,这对复位治疗是重要的。成年小关节脱位和骨骺未完全骨化的关节脱位,特别是不完全脱位,X线征象不明确,诊断较难,常需加照健侧进行比较,才能确诊。
各个关节的脱位由于不同关节的解剖特点和外伤的性质与方向而有一定的脱位方向。下边介绍常见的关节脱位:
1.肩关节脱位 肩关节活动范围最大,肩胛盂浅,关节囊与韧带松弛而薄弱,易因外伤而脱位。分为肱骨头前脱位两种,以前脱位常见。肱骨头前脱位时,常同时向下移位,位于肩胛盂的下方,称为盂下脱位(图2-1-21)。也可向上移位,位于喙突下方或锁骨下分,分别称之为喙突下或锁骨下脱位。肩关节脱位常并发肱骨大结节或肱骨颈骨折。肱骨头后脱位少见,只有侧位才能发现肱骨头在肩胛盂的后方,正位易漏诊。

图2-1-21 肩关节脱位合并肱骨大结节撕脱骨折示意图
2.肘关节脱位 较常见,多因肘关节过伸引起,常为后脱位。尺骨与桡骨端同时向肱骨后方脱位,尺骨鹰嘴半月切迹脱离肱骨滑车。少数可为侧方脱位,尺、桡骨向外侧移位。肘关节脱位常并发骨折。关节囊及韧带损伤严重,还可并发血管及神经损伤。
(三)椎间盘脱出 椎间盘脱出是慢性损伤的后果。外伤,特别是慢性劳损引起椎间盘纤维环破裂,髓核与纤维环可向后、向两旁或向前脱出。也可穿破椎体软骨板而突入椎体。多见于腰椎4~5和骶椎1之间,颈椎次之。向后及后外方突出可压迫脊髓或脊神经而引起症状。临床诊断不难。X线检查是为了排除其他疾病或对疑难病例进行诊断和定位。
X线平片可见①椎间隙均匀或不对称性狭窄,特别是后宽前窄;②椎体边缘,尤其是后缘出现骨赘,系因椎间盘退行性变所致。诊断需与临床资料结合。此外,脊椎排列变直或有侧弯现象。髓核向椎体脱出称为Schmorl结节,可于椎体上或下面显示一圆形或半圆形凹陷区,其边缘在硬化线,可对称见于两个椎体的上下面,并累及几个椎休,多见于胸椎,临床上多无症状。
为了明确诊断或定位,需行脊髓造影或CT或MRI检查。
二、骨关节化脓性感染
(一)化脓性骨髓炎 化脓性骨髓炎(pyogenic osteomyelitis)常由于金黄色葡萄球菌进入骨髓所致。细菌可经①血行感染;②附近软组织或关节直接延伸;③开放性骨折或火器伤进入。其中以血行感染最多,好发于儿童和少年,男性较多。长骨中以胫骨、股骨、肱骨和桡骨多见。临床表现主要是①发病急、高热和明显中毒症状;②患肢活动障碍和深部疼痛;③局部红肿和压痛。
血行感染时,细菌栓子经滋养动脉进入骨髓,广泛地侵犯骨髓和骨皮质,常较多停留于近骺软骨干骺端的骨松质部分,形成局部脓肿。因为在生长期,此区血运丰富,末梢血管呈弯曲走行,终支吻合呈网状血管窦,血流缓慢,细菌易于在此处停留。脓肿虽可局限化而成为慢性骨脓肿,但病灶常是蔓延发展,侵犯较广泛区域,甚至涉及整个骨干。蔓延可向①髓腔方向直接延伸;②也可由病灶向外扩展,突破干骺端的骨皮质,在骨膜下形成脓肿,再经哈氏管进入骨髓腔。骺软骨对化脓性感染有一定的阻力,故在儿童,除少数病例外,感染一般不能穿过骺软骨而侵入关节。但在成年,由于已无骺软骨,所以感染可侵入关节而引起化脓性关节炎。若干骺端位于关节囊内,则感染可以侵入关节。例如股骨上端骨髓炎就常累及髋关节。有时骨膜下脓肿,也可延伸入关节。根据病情发展,骨髓炎可分为急性和慢性。
1.急性化脓性骨髓炎 在发病后2周内,虽然临床表现明显,但骨骼可无明显变化。如周围软组织显影良好,则可见一些软组织改变:①肌肉间隙模糊或消失;②皮下组织与肌肉间的分界变模糊;③皮下脂肪层内骨出现致密的条纹影,靠近肌肉部分呈纵行排列,靠外侧者则呈网状。变化较为广泛,系软组织充血、水肿所致,虽无特征,但结合病史对早期诊断有一定意义。
发病2周后可见骨骼的改变。开始在干骺端骨松质中出现局限性骨质疏松,继而形成多数分散不规则的骨质破坏区,骨小梁模糊、消失,破坏区边缘模糊。以后骨质破坏向骨干延伸,范围扩大,可达骨干2/3或全骨干。小的破坏区融合而成为大的破坏区。骨皮质也遭受破坏。有时可引起病理性骨折。
由于骨膜下脓肿的剌激,骨皮质周围出现骨膜增生,表现为一层密度不高的新生骨与骨干平行,病程越长,则新生骨越明显。新生骨广泛则形成包壳。骨膜增生一般同骨的病变范围一致。
由于骨膜掀起和血栓动脉炎,使骨皮质血供发生障碍而出现骨质坏死,沿骨长轴形成长方形死骨,与周围骨质分界清楚,且密度甚高。
总之,急性化脓性骨髓炎主要表现是不同范围的骨质破坏,不同程度的骨膜增生和死骨。虽然是以骨质破坏为主,但修复与骨质增生也已开始,在骨质破坏周围有骨质密度增高现象。
2.慢性化脓性骨髓炎 是急性化脓性骨髓炎未得到及时而充分治疗的结果。临床可见排脓瘘管经久不愈或时愈时发,主要是因为脓腔或死骨的存在。X线片可见到明显的修复,即在骨破坏周围有骨质增生硬化现象。骨膜的新生骨增厚,并同骨皮质融合,呈分层状,外缘呈花边状。因此,骨干增粗,轮廓不整,骨内膜也增生,致使骨密度明显增高,甚至使骨髓腔闭塞。虽然有骨质修复、增生,但如未痊愈,则仍可见骨质破坏和死骨(图2-1-13)。因有骨硬化,常需用过度曝光片或体层摄影才能显示。
慢性骨髓炎痊愈,则骨质破坏与死骨消失,骨质增生硬化逐渐吸收,骨髓腔沟通。如骨髓腔硬化仍不消失,虽然长期观察认为病变已静止,当机体抵抗力降低时仍可突然复发。
由于抗生素的广泛应用,细菌毒力较低或耐药菌株的增加,典型、严重、长期不愈的慢性骨髓炎已很少见。相反,却常有多种不典型的X线表现。如感染仅限于骨膜下,则表现为骨膜增生,而无明显破坏,少数病例甚至佯似恶性骨肿瘤或其他骨疾病,应注意分析鉴别。
3.慢性骨脓肿(Brodie脓肿) 系慢性局限性骨髓炎。大都限于长骨干骺端骨松质中。以胫骨上下端和桡骨下端为常见。X线表现为长骨干骺端中心部位的圆形、椭圆形或不规则形骨质破坏区,边缘较整齐,周围绕以骨硬化带。破坏区中很少有死骨,多无骨膜增生,也无软组织肿胀或瘘管。
4.硬化型骨髓炎 又称Carre骨髓炎,少见,特点为骨质增生硬化,骨膜与骨内膜都明显增生。局部密度很高,致使不规则的小破坏区也不能被发现。骨皮质增厚,骨髓腔变窄,骨干增粗,边缘不整。
(二)化脓性关节炎 化脓性关节炎(Pyogenic arthritis)是较为严重的急性关节病,常由金黄色葡萄球菌经血液到滑膜而发病,也可因骨髓炎继发侵犯关节而致。多见于承受体重关节,如髋和膝关节,常单发。
感染自滑膜开始,引起关节软组织肿胀和关节腔积液。急性期X线表现为关节囊肿胀和关节间隙增宽。此时化脓病变极易破坏关节囊、韧带而引起关节的半脱位或脱位,以婴儿和儿童的髋关节最常见。构成关节的骨骼有明显骨质疏松。
在关节内脓液中蛋白质溶解酶的作用下,关节软骨被破坏,即引起关节间隙的狭窄。由于肉芽组织的增生并侵及骨端,使关节软骨下骨质发生破坏,以承受体重的部分出现早和明显。与关节结核发病缓慢、骨质破坏居关节面边缘不同。严重时可发生干骺端的骨髓炎。
愈合期,骨质破坏停止进行,而出现修复。症变区骨质增生硬化。骨质疏松消失。如软骨与骨质破坏不甚明显,则关节间隙可部分保留,并有一部分功能,严重时则形成骨性强直。
三、骨关节结核
骨关节结核(tuberculosis of bone and joint)是以骨质破坏和骨质疏松为主的慢性病。多发生于儿童和青年。系继发性结核病,原发病灶要在肺部。结核杆菌经血行到骨或关节,停留在血管丰富的骨松质内,如椎体、骺和干骺端或关节滑膜。脊椎是好发部位,其次是髋和膝等处。多为单发。临床上无急性发病历史,经过缓慢。局部可有肿、痛和功能障碍。还可有血红细胞沉降率增快等表现。
(一)骺、干骺端结核 骺和干骺端是结核长在长骨中的好发部位。干骺端结核病灶内干酪坏死物可形成脓肿。X线片可见骨松质中出现一局限性类圆形、边缘较清楚的骨质破坏区,邻近无明显骨质增生现象(图2-1-10)。骨膜反应亦较轻微,这与化脓性骨髓炎显然不同。在骨质破坏区有时可见碎屑状死骨,密度不高,边缘模糊,称之为“泥沙”状死骨,也和化脓性骨髓炎明显不同。病变早期,患骨即可见骨质疏松现象。病变发展易破坏骺而侵入关节,形成关节结核。干骺端结核很少向骨干发展,但病灶可破坏骨皮质和骨膜,穿破软组织而形成瘘管,并引起继发感染。此时则可出现骨质增生和骨膜增生。
(二)骨干结核 骨干结核可发生于短骨或长骨。
1.短骨骨干结核 多发生于5岁以下儿童的掌骨、跖骨、指或趾骨,常为多发。临床表现少,只有局部肿胀。初期改变为骨质疏松,继而在骨内形成囊性破坏,骨皮质变薄,骨干膨胀,故又有骨囊样结核和骨“气鼓”之称。多数可见广泛平行分层状骨膜增生,使骨干增粗,呈纺锤状,表现很典型。病变很少累及关节,但有时可形成瘘管。
2.长骨骨干结核 少见。慢性病程。主要表现为骨松质局限性破坏,很少骨质增生,可侵及骨皮质,且可有轻微骨膜增生。死骨少见。长骨如胫骨骨干结核的X线表现与短骨骨干结核相似。
(三)关节结核 关节结核(tuberculosis of joint)可继发于骺、干骺端结核,为骨型关节结核,也可是细菌经血行先累及滑膜,为滑膜型结核。在后期关节组织和骨质均有明显改变时,则无法分型。
1.骨型关节结核 X线表现较为明显,即在骺、干骺端结核征象的基础上,又有关节周围软组织肿胀、关节间隙不对称性狭窄或关节骨质破坏等。诊断不难。
2.滑膜型关节结核 较常见,多见于青年和成年。大多累及一个较大关节。以髋关节和膝关节常见,其次为肘、腕和踝关节。
早期X线表现为关节囊和关节软组织肿胀,密度增高,关节间隙正常或增宽和骨质疏松。这些变化系因滑膜肿胀、增厚,形成肉芽组织和关节积液所致。可持续几个月到1年以上。因X线表现无特点,诊断较难。病变发展,滑膜肉芽组织逐渐侵犯软骨和关节面,首先引起承重轻、接触面小的边缘部分,造成关节面的虫蚀状骨质破坏,主要在边缘,且上下骨面多对称受累。由于病变首先侵犯滑膜,关节渗出液中又常缺少蛋白质溶解酶,关节软骨破坏出现较晚。因此,虽然已有明显关节面骨质破坏,而关节间隙变窄则较晚,与化脓性关节炎不同。待关节软骨破坏较多时,则关节间隙变窄(图2-1-14)。此时可发生半脱位。邻近骨骼骨质疏松明显,肌肉也萎缩变细。关节周围软组织常因干酪液化而形成冷性脓肿。有时穿破关节囊,形成瘘管。如继发化脓性感染,则可引起骨质增生硬化,从而改变结核以骨质破坏为主的X线表现。晚期,病变愈合,则骨质破坏停止发展,关节面骨质边缘变得锐利。骨质疏松也逐渐消失。严重病例,愈合后产生关节强直,多为纤维性强直,关节间隙变窄,但无骨小梁通过关节间隙。
总之,滑膜型关节结核多为慢性发展,骨质破坏一般刚于关节面边缘,以后才累及承重部分。关节软骨破坏较晚,以致关节间隙变窄出现较晚,程度较轻。关节囊肿胀、密度增高,而邻近的骨骼与肌肉多有明显萎缩。这些表现与急性化脓性关节炎明显不同。
(四)脊椎结核 脊椎结核(tubercrlosis of spine)是骨关节结核的最常见者,好发于儿童和青年。以腰椎最多。病变好累及相邻的两个椎体,附件较少受累。临床上,常有脊柱活动受限,局部疼痛,冷性脓肿和窦道形成。还可发生脊柱变形和脊髓受压症状。
椎体结核主要引起骨松质的破坏。由于骨质破坏和脊柱承重的关系,椎体塌陷变扁或呈楔形。由于病变开始多累及椎体的上下缘及邻近软骨板,较早就引起软骨板破坏,而侵入椎间盘,使椎间隙变窄,甚至消失和椎体互相嵌入融合而难于分辨(图2-1-22)。病变广泛。常出现后突变形。病变在破坏骨质时可产生大量干酪样物质流入脊柱周围软组织中而形成冷性脓肿。腰椎结核干酪样物质顺一侧或两侧腰大肌引流,称为腰大肌脓肿,表现为腰大肌轮廓不清或呈弧形突出。胸椎结核的脓肿在胸椎两旁,形成椎旁脓肿,表现为局限性梭形软组织肿胀,边缘清楚。在颈椎,则使咽后壁软组织增厚,并呈弧形前突,侧位上易于观察。冷性脓肿较久可有不规则形钙化。

图2-1-22 脊椎结核
胸12与腰1椎体破坏、融合,两椎体间不见椎间隙,于该处有后突变形,
于右侧可见腰大肌脓肿,并有钙化
总之,脊椎结核的主要X线变化是椎体骨质破坏,变形,椎间隙变窄或消失和冷性脓肿的出现。同椎体压缩性骨折的楔状变形一般不难鉴别,后者无骨质破坏,椎间隙不变窄,更无冷性脓肿表现,而且有清楚的外伤史。
四、骨肿瘤与肿瘤样疾病
骨肿瘤的X线检查在诊断中占重要地位,不仅能显示肿瘤的准确部位、大小、邻近骨骼和软组织的改变,对多数病例还能判断其为良性或恶性、原发性或转移性。这对确定治疗方案和估计预后很重要。X线检查对骨肿瘤良恶性的判断虽然确诊率较高,但由于不同肿瘤的X线表现具有多样性,恒定的典型征象不多,因而确定肿瘤的组织类型仍较困难。正确的诊断有赖于临床、X线和实验室检查的综合分析,最后还需同病理检查结合才能确定。
恶性骨肿瘤的正确诊断极为重要,早期诊断,及时治疗,可提高生存率。对骨肿瘤X线诊断的要求是:①判断骨骼病变是否为肿瘤;②如属肿瘤,是良性或恶性,属原发性还是转移性;③肿瘤的组织类型。
骨肿瘤X线检查需有正、侧位片,且包括病变区邻近的正常骨骼及软组织。有时要用体层摄影。为了早期诊断和鉴别诊断,还可行动脉造影。
在观察X线片时,应注意发病部位、病变数目、骨质改变、骨膜增生和周围软组织变化等。因为这些方面的差别对诊断有所帮助。
发病部位:不同的骨肿瘤有其一定的好发部位,例如骨巨细胞瘤好发于长骨骨端,骨肉瘤好发于长骨干骺端,而骨髓瘤则好发于扁骨和异状骨。发病部位对鉴别诊断有一定帮助。
病变数目:原发性骨肿瘤多单发,转移性骨肿瘤和骨髓瘤常多发。
骨质变化:常见的变化是骨质破坏。良性骨肿瘤多引起膨胀性、压迫性骨质破坏,界限清晰、锐利,破坏邻近的骨皮质多连续完整。恶性骨肿瘤则为浸润性骨质破坏,不膨胀,界限不清,边缘不整;骨皮质较早出现虫蚀状破坏和缺损,同时肿瘤易穿破骨皮质而进入周围软组织中形成肿块影。
一些恶性骨肿瘤还可见骨质增生。一种是生长较慢的骨肿瘤可引起的邻近骨质在成骨反应,例如恶性程度较低的肿瘤,其破坏区周围有骨质增生;另一种是肿瘤组织自身的成骨,即肿瘤骨的生成。这种骨质增生可呈毛玻璃状、斑片状、放射针状或骨皮质硬化。
骨膜增生:良性骨肿瘤常无骨膜增生,如出现,则骨膜新生骨表现均匀致密,常与骨皮质愈合。恶性骨肿瘤常有广泛的不同形式的骨膜增生,而且骨膜新生骨还可被肿瘤所破坏,以致仅于边缘区保留骨膜增生,这种表现对恶性骨肿瘤有特征性。
周围软组织变化:良性骨肿瘤多无软组织肿胀,仅见软组织被肿瘤推移。肿瘤较大,可见局部肿块,但其边缘与软组织界限清楚。恶性骨肿瘤常侵入软组织,并形成肿快影,与邻近软组织界限不清。
通过观察、分析,常有可能判断骨肿瘤是良性或恶性,并确定其性质。表2-1-2是良性和恶性骨肿瘤的X线表现特点,可供鉴别诊断时参考。
表2-1-2 良恶性骨肿瘤的鉴别诊断
| 良性 | 恶性 | |
| 生长情况 | 生长缓慢,不侵及邻近组织,但可引起压迫移位。 | 生长迅速,易侵及邻近组织,器官 |
| 无转移 | 有转移 | |
| 局部骨变化 | 呈膨胀性骨质破坏,与正常骨界限清晰,边缘锐利,骨皮质变薄,膨胀,保持其连续性。 | 呈浸润性骨破坏,病变区与正常骨界限模糊,边缘不整,累及骨皮质,造成不规则破坏与缺损,可有肿瘤骨 |
| 骨膜增生 | 一般无骨膜增生,病理骨折后可有少量骨膜增生,骨膜新生骨不被破坏。 | 多出现不同形式的骨膜增生,并可被肿瘤侵犯破坏。 |
| 周围软组织变化 | 多无肿胀或肿块影,如有肿块,其边缘清楚。 | 长入软组织形成肿块,与周围组织分界不清。 |
如前所述,骨肿瘤的诊断需结合临床资料。应注意肿瘤发病率、年龄、症状、体征和实验室检查结果等。这些资料对骨肿瘤定性诊断有参考价值。
发病率:在良性骨肿瘤中以骨软骨瘤多见,恶性骨肿瘤以转移瘤为多见,而原发性恶性骨肿瘤,则以骨肉瘤为常见。
年龄:多数骨肿瘤患者的年龄分布有相对的规律性。在恶性骨肿瘤中,年龄更有参考价值,在婴儿多为转移性神经母细胞瘤,童年与少年好发尤文肉瘤,青少年以骨肉瘤为多见,而40岁以上,则多为骨髓瘤和转移瘤。
症状与体征:良性骨肿瘤较少引起疼痛,而恶性者,疼痛常是首发症状,而且常是剧痛。良性骨肿瘤的肿块边界清楚,压痛不明显,而恶性者则边界不清,压痛明显。良性骨肿瘤健康情况良好,而恶性者,除非早期多有消瘦和恶病质,而且发展快,病程短。
实验室检查:良性骨肿瘤,血液、尿和骨髓检查均正常,而恶性者则常有变化,如骨肉瘤碱性磷酸酶增高,尤文肉瘤血白细胞增高,转移瘤和骨髓瘤可发生继发性贫血及血钙增高。在骨髓瘤患者血清蛋白增高,尿中可杳出Bence-Jones蛋白。
(一)良性骨肿瘤 以骨软骨瘤、骨囊及骨巨细胞最常见。
1.骨软骨瘤 骨软骨瘤(ostechondroma)是最常见的良性骨肿瘤,系由不同成分的骨、软骨和纤维组织构成。大都附在长骨干骺端的表面,又称孤立性骨软骨瘤或孤立性外生骨疣。只发生于软骨化骨的骨骼,多见于少年和童年、好发于股骨远端和胫骨近端,也可见于骨盆和肩胛骨。肿瘤生长慢,成年时停止生长。临床上除肿块外,一般无症状,偶可恶变,成为软骨肉瘤。多发性骨软骨瘤,虽表现与本病相似,但属于遗传性疾病。
骨软骨瘤X线表现特殊,易于诊断。生长于长骨者起于干骺端,邻近骺线,骨性肿块向外突起,生长方向常背向骨骺。瘤体内含骨松质或骨密质,也可混合存在。外缘为与正常骨皮质延续的一层薄的骨皮质。顶部有一层软骨覆盖,如不钙化则不显影。软骨钙化,则呈不规则形斑片状致密影。肿瘤可以细蒂或广基与骨相连。发生于肩胛骨或骨盆者形状不整,多呈菜花状。肿瘤较大可压迫邻近骨骼,而造成边缘整齐的压迹,甚至引起畸形和骨发育障碍。
2.骨囊肿 骨囊肿(bone cyst)为单发性病变,好发于青少年,多发于长骨干骺端,尤以股骨及肱骨上端。一般无症状,多因发生病理性骨折而被发现。由于长骨纵向生长,故囊肿多偏于骨干中部。囊内含棕色液体。外被一层纤维包模,在骨松质内包膜周围为边缘整齐的薄层骨壁。
骨囊肿的X线表现为卵圆形或圆形、边界清楚的透明区,有时呈多囊状,但病变内无骨隔,只有横行的骨嵴。囊肿沿长骨纵轴发展,有时呈膨胀性破坏,骨皮质变为薄层骨壳,边缘规则,无骨膜增生。
骨囊肿易发生骨折,小囊肿可因骨折后形成骨痂而自行消失,大的囊肿也可变小。
3.骨巨细胞瘤 骨巨细胞瘤(giant cell tumor of bone)是起于骨骼非成骨性结缔组织的骨肿瘤。由于肿瘤的主要组成细胞类似破骨细胞,故有人称之为破骨细胞瘤(osteoclastoma)。肿瘤局部破坏较大,有良性、生长活跃与恶性之分,故需重视。
肿瘤质软而脆,似肉芽组织,富含血管,易出血,有时有囊性变,内含粘液或血液。良性者邻近肿瘤的骨皮质变薄、膨胀,形成菲薄骨壳,生长活跃者可穿破骨壳而长入软组织中。肿瘤组织可突破骨皮质形成肿块。
骨巨细胞瘤以20~40岁为常见,好发于四肢长骨,以股骨下端、胫骨上端和桡骨下端为常见。主要临床表现为局部疼痛、肿胀和压痛。较大肿瘤可有局部皮肤发热和静脉曲张。
长骨巨细胞瘤的X线表现多较典型(图2-1-23),常侵犯骨端,症变直达骨性关节面下。多数为偏侧性破坏,边界清楚。瘤区X线表现可有两种类型,较多的病例破坏区内可有数量不等、比较纤细的骨嵴。X线上可见似有分隔成为大小不一的小房征,称为分房型。少数病例破坏区内无骨嵴,表现为单一的骨质破坏,称为溶骨型。病变局部骨骼常呈偏侧性膨大,骨皮质变薄,肿瘤明显膨胀时,周围只留一薄层骨性包壳。肿瘤内无钙化或骨化致密影,邻近无反应性骨膜增生。边缘亦无骨硬化带,如不并发骨折也不出现骨膜增生。破坏区骨性包壳不完整,并于周围软组织中出现肿块者表示肿瘤生长活跃。肿瘤边缘出现筛孔状和虫蚀状骨破坏,骨嵴残缺紊乱。侵犯软组织出现明确肿块者,则提示为恶性骨巨细胞瘤。肿瘤一般不穿破关节软骨,但偶可发生,甚至越过关节侵犯邻近骨骼。

图2-1-23 桡骨巨细胞瘤桡骨骨端边界清楚的骨破坏,
其中有多个骨隔将骨破坏区分成多个小房,病变有膨胀性
(二)原发性恶骨肿瘤 以骨肉瘤与骨髓瘤为例讲述。
1.骨肉瘤 骨肉瘤(osteogenic sarcoma)是起于骨间叶组织最常见的恶性骨肿瘤。多见于青年,男性较多。好发于股骨下端、胫骨上端和肱骨上端。干骺端为好发部位。主要临床表现是局部进行性疼痛、肿胀和功能障碍。局部皮肤常较热并有浅静脉怒张。病变进展迅速。
生长在长骨干骺部的骨肉瘤开始在骨髓腔内产生不同程度、不规则的骨破坏和增生。病变向骨干一侧发展而侵蚀骨皮质,侵及骨膜下则出现骨膜增生,呈平行、层状,肿瘤可侵及和破坏骨膜新生骨,当侵入周围软组织时,则形成肿块,其中可见多少不等的肿瘤新生骨。
总之,骨肉瘤病理的主要特征,为肿瘤在生长和发展过程中,可出现数量不等的骨样组织和肿瘤骨。因而其X线表现主要为骨髓腔内不规则骨破坏和骨增生,骨皮质的破坏,不同形式的骨膜增生及骨膜新生骨的再破坏,软组织肿块和其中的肿瘤骨形成等。在众多的征象中,确认肿瘤骨的存在,是诊断骨肉瘤的重要依据。肿瘤骨一般表现为云絮状、针状和斑块状致密影。认真观察不难识别。
儿童发育期骨肉瘤的发展,病理已证明肿瘤可破坏骺板软骨和关节软骨并侵入关节内。成年后,肿瘤要侵及骨端。
由于上述X线表现出现的多少与阶段不同,而使骨肉瘤的X线表现多种多样。大致可分为成骨型、溶骨型和混合型。混合型多见。
成骨型骨肉瘤:以瘤骨形成为主,为均匀骨化影,呈斑片状,范围较广,明显时可呈大片象牙质变。早期骨皮质完整,以后也被破坏。骨膜增生较明显。软组织肿块中多有肿瘤骨生成。肿瘤骨X线所见无骨小梁结构(图2-1-11)。肺转移灶密度多较高。
溶骨型骨肉瘤:以骨质破坏为主,很少或没有骨质生成。破坏多偏于一侧,呈不规则斑片状或大片溶骨性骨质破坏,边界不清。骨皮质受侵较早,呈虫蚀状破坏或消失,范围较广。骨膜增生易被肿瘤破坏,而于边缘部分残留,形成骨膜三角。软组织肿块中大多无新骨生成(图2-1-24)。广泛性溶骨性破坏,易引起病理性骨折。肿瘤细胞分化差。
混合型骨肉瘤:成骨与溶骨的程度大致相同。于溶骨性破坏区和软组织肿块中可见较多的肿瘤骨,密度不均匀,形态不一。肿瘤周围常见程度不等的骨膜增生。

图2-1-24 肌骨下端骨肉瘤(溶骨型)股骨下端干骺端骨松质有广泛性不规则骨质破坏,
骨膜增生也破坏,只在边缘部残留,形成骨膜三角,破坏区周围有软组织块影
2.骨髓瘤 骨髓瘤(myeloma)是起于骨髓的恶性肿瘤。一般多同时累及多骨,而每一骨中又有多个病灶,故又称多发性骨髓瘤(mutiple myeloma)。常见于成年,男性多见。好发于椎体、肋骨、颅骨和骨盆等有红髓之骨骼中,后期则长骨,如肱骨和股骨也受累。临床表现主要是全身骨痛、肿块、骨折与局部肢体变形、贫血、血小板减少及血钙和血浆白蛋白增高等。患者尿中可有Bence-Jones蛋白等。
骨髓瘤可有多种X线表现,比较典型的为多骨、多发的小圆形骨质破坏,大小不等,常为1~2cm。边缘可清楚,亦可比较模糊,以后者较多见,一般无骨质增生和骨膜增生。以颅骨病灶表现较为典型,肋骨受累还可呈膨大性溶骨性改变。骨质破坏严重常引起病理性骨折,多见于脊椎和肋骨。少数不典型的病例可仅表现为骨质疏松,膨胀性分房状骨质破坏,个别病例可表现骨质破坏合并骨膜增生和骨增生硬化。肿瘤化疗、放疗后亦可出现骨质增生。诊断比较困难。多发性骨髓瘤应同骨转移瘤鉴别。
孤立性骨髓瘤少见,为单一骨质破坏区,见于脊椎或骨盆,有一定膨胀性,骨皮质变薄,破坏区中为残留骨小梁,呈皂泡状。病变发展快,破坏范围扩大,常于几个月或1~2年后转为多发性骨髓瘤。孤立性者诊断较难,应同骨巨细胞瘤、转移瘤等鉴别。
(三)转移性骨肿瘤 转移性骨肿瘤(metastatic tumor of bone)是恶性骨肿瘤中最常见者,主要是经血流从远处原发肿瘤,如癌、肉瘤转移而来。常在中年以后发病。原发肿瘤多为乳癌、肺癌、甲状腺癌、前列腺癌、肾癌、鼻咽癌等。恶性骨肿瘤很少向骨转移,但尤文肉瘤和骨的恶性淋巴瘤例外。转移瘤常多发,多见于胸、腰椎、肋骨和股骨上段,其次为髂骨、颅骨和肱骨。膝关节和肘关节以下骨骼很少被累及。主要临床表现为进行性疼痛、病理性骨折和截瘫。转移瘤引起广泛性骨质破坏时,血清碱性磷酸酶可增高,这有助于同多发性骨髓瘤鉴别,后者正常。此外,血钙增高。
血行性转移瘤的X线表现可分溶骨型、成骨型和混合型,以溶骨型常见。
溶骨型转移瘤发生在长骨,多在骨干或邻近的干骺端,表现为骨松质中多发或单发的小的虫蚀状骨质破坏,病变发展,破坏融合扩大,形成大片溶骨性骨质破坏区,骨皮质也被破坏,但一般无骨膜增生和软组织侵犯。常并发病理性骨折。发生在脊椎则见椎体的广泛性破坏,因承重而被压变扁,但椎间隙保持完整。椎弓根多受侵蚀、破坏。
成骨型转移瘤少见,多系生长缓慢的肿瘤所引起,见于前列腺癌、乳癌、肺癌或膀胱的转移。病变为高密度影,居骨松质内,呈斑片状或结节状,密度均匀一致,骨皮质多完整,多发生在腰椎与骨盆。常多发,境界不清。椎体不压缩、变扁。
混合型转移瘤,则兼有溶骨型和成骨型的骨质改变。
五、代谢性骨病
骨骼从出生到老年,骨质的形成(成骨)和吸收(破骨)以及矿物质的沉积和去除都是有规律地进行着。自出生到成年,骨的发育与生长占优势。成年后骨的形成与吸收保持平衡,到老年则成骨作用缓慢,而破骨作用照常进行,以致引起老年性骨质疏松。骨骼的发育、生长和矿物质代谢的正常进行主要系由适当的营养和正常内分泌腺功能的调节所保证。营养不足、维生素缺乏和内分泌腺功能障碍均可能引起全身性骨骼改变,在不同的发育、生长时期产生不同的表现。代谢性骨病的发病机理包括骨吸收、骨生长和矿物质沉积三个方面的异常。而引起的X线改变不外是骨质疏松、骨质软化和骨质硬化等。X线检查在诊断、随诊与疗效的观察中占有重要地位。但是为了作出正确诊断,必须结合临床表现,特别是生物化学方面的改变。以维生素D缺乏性佝偻病(rickets)为例加以叙述。
维生素D缺乏佝偻病 是婴幼儿维生素D不足引起钙磷代谢障碍,使骨生长中的骨样组织缺乏钙盐沉积所致,是全身性骨疾病。骨质变化主要在生长活跃的骺和干骺端。由于骨样组织钙化不足而发生骨化异常、骨质软化和变形。
维生素D缺乏主要是食物中缺少维生素D或缺少日光照射,致使皮下胆固醇不能转变为维生素D。6个月内的婴儿由于从母体得到维生素D,少得此症。临床早期表现为睡眼不安,夜惊及多汗等,以后出现肌肉松弛、肝增大、出牙晚、前囟推迟闭合、方形颅、串珠肋、鸡胸和小腿畸形等。血钙及磷降低和碱性磷酸酶增高等。
佝偻病的一般X线表现是全身骨骼由于软骨基质钙化不足和骨样组织不能钙化,再加上原有的骨结构被吸收而发生普遍性骨质软化、密度减低,骨小梁稀少、粗糙,骨皮质变薄、分层等改变,骨结构由于骨组织内有大量无钙盐沉积的骨样组织的存在而显示模糊、毛糙。
具有典型X线表现的骨骼是在长骨干骺端,特别是在幼儿发育较快的尺桡骨远端、胫骨、肱骨上端、股骨下端和肋骨的前端等。较早的变化在骺板,由于软骨基质钙化不足,临时钙化带变得不规则、模糊、变薄,以至消失。干骺端中间带曲折变形而凹陷,明显者呈杯口状变形,其边缘因骨样组织不规则钙化而呈毛刷状致密影,干骺端宽大。骺出现延迟,密度低,边缘模糊,乃至不出现。骺与干骺端的距离由于骺板软骨增生、肥大、堆积、不骨化而增宽。干骺端边缘出现骨剌乃系骨皮质向干骺端方向延伸所致(图2-1-8)。肋骨前端由于软骨增生而膨大,形成串珠肋,X线表现肋骨前端呈宽的杯口状。由于骨质软化,承重的长骨常弯曲变形,在下肢发生膝内翻(O形腿)或膝外翻(X形腿)。少数例可发生青枝骨折或假性骨折。
佝偻病愈合的X线表现先是临时钙化带的重新出现,几周后干骺端出现大量不规则或均匀的钙盐沉积,使杯口状凹陷和毛刷状改变减轻、消失。干骺端与骺的距离恢复正常。但干骺端新骨化的致密带需经几个月后才能恢复。骨膜下骨样组织钙化后,先呈层状改变,随后与骨皮质融合,呈均匀性增厚和致密,尤其在骨干的凹面。骺周边也迅速骨化而增大。至于骨的变形,则多长期存在。
六、内分泌性骨病
人体的内分泌腺,包括垂体、甲状腺、甲状旁腺、肾上腺和性腺等功能失调,引起分泌的激素增多或减少可引起全身性骨病。此类疾病为内分泌性骨病。其中有的骨改变显著,且有X线特征,如垂体功能亢进,有者改变轻微又无特点。因此,X线检查在内分泌性骨病诊断上所起的作用不同。
(一)垂体疾病 垂体疾病按功能变化分为垂体前叶功能亢进和低下两类。前者包括肢端肥大症和巨人症,后者包括垂体性侏儒及席汉综合征。
1.巨人症与肢端肥大症 本症系由垂体前叶嗜酸细胞腺瘤或增殖引起生长激素分泌过多所致。在骨骺未结合前发病,全身生长发育增速,形成巨人症(gigantism)。成年期发病则形成肢端肥大症(acromegaly)。
巨人症多见于男性,身高超出正常,四肢过长,与躯干长度不成比例。头增大,面部变形。于骺与干骺端结合后,如生长激素仍分泌过多,则出现肢端肥大症表现。
X线表现为长骨因软骨化加快而变长,又因骨膜性成骨而增粗。颅骨可有蝶鞍增大等垂体瘤的表现。
肢端肥大症由于生长激素增多只促进短骨与扁骨的生长,致使出现面部宽大,眉弓、颧突、鼻、唇肥大,下颌前突和下牙前错。手足粗大,尤其是末端。皮肤粗糙增厚。胸廓前后径大,并有驼背现象。部分患者可有血糖增高和尿糖。常有多饮、多尿和多食现象。如为腺瘤,则可有头疼、头晕和由于压迫视束交叉而发生偏育和视野缩小。
肢端肥大症的X线表现包括骨骼及软组织和内脏的改变。
在颅骨片上可见蝶鞍因肿瘤压迫而呈方形增大,但蝶鞍虽明显增大,蝶鞍后壁多不消失,不同于其他类型的垂体瘤。颅壁增厚。鼻窦与乳突气化显著。下颌支伸长、下颌角增大。四肢长骨增粗,以指、掌骨明显,爪隆突增大。子骨可增大、增多。骨小梁粗糙。常有骨质疏松。关节常发生退行性改变,主要累及髋关节。
心、肾和胃肠均增大。全身皮肤增厚,但皮下组织变薄。跟垫软组织增厚更为显著。胸部可见胸骨隆起,肋骨前端与肋软骨相连处突出。脊椎改变少,但椎体可增大呈方形。
综上所述,肢端肥大症的X线表现较为特殊,一般不难诊断。
2.垂体性侏儒 垂体性侏儒(pituitary dwarfism)系在青春期前发生垂体前叶功能不足,于童年时期出现发育停止现象,常为颅咽管瘤所引起。患者体型瘦小,但匀称,智力正常,性发育不全。
X线表现是全身骨骼发育较小,与年龄不符,但大小比例匀称。骺与干骺端结合晚或终生不结合。颅盖骨大,面骨小,颅缝不封合。出牙晚,牙齿互相挤压。椎体因骨骺缺如而变扁。特发性垂体功能不足,蝶鞍小,肿瘤引起者,则可有蝶鞍增大等改变。
(二)甲状腺疾病 甲状腺疾病按功能分甲状腺功能亢进和功能低下两类,后者称呆小病。
1.甲状腺功能亢进 甲状腺功能亢进(hyperthyroidism)系因甲状腺弥漫性或结节性肿大,致甲状腺素分泌过多而引起的内分泌代谢性疾病。主要病变是代谢率增高。临床表现为甲状腺肿大、心悸和消瘦。
骨骼的X线改变主要是全身性骨质疏松,严重时可继发脊椎压缩性骨折,但对诊断并不具特征性。晚期,少数病例可见掌骨干由于骨膜增生而呈梭形增粗。
2.呆小病 呆小病(cretinism)系因先天性甲状腺素缺如引起的身体和智力发育障碍。分地方性和散发性两种。前发生于甲状腺流行区,由于饮食中缺碘,胎儿供碘不足,致甲状腺素不足而影响发育。甲状腺代偿性增大,但功能偏低或正常。后者则因母体患甲状腺疾病,血清中产生抗甲状腺抗体,通过胎盘而破坏胎儿的甲状腺组织,甲状腺发育不良或缺如,使甲状腺功能不良或丧失。
临床表现为发育迟缓,体格短小,呆板愚笨,鼻扁下塌,舌厚大伸出口外,步态摇摆,食欲不佳,智力极低。地方性与散发性二者在临床与实验室检查上虽有不同,但X线表现则无何差别。
骨骼的X线表现主要是骨发育迟缓、发育不良、畸形和骨质疏松。在不同部位的骨骼,其表现有所差异。X线改变具有一定的特征。
颅骨的改变主要是前额扁平、颅壁致密、囟与颅缝宽,且封合延迟,常有缝间骨。颅底骨与面骨短小,蝶鞍偶可增大。鼻窦与乳突气化不良。出牙延迟。肋骨向下倾斜走行,使胸廓上窄下宽。椎体呈楔形或变扁,椎体前上角和前下骨缺损,椎体前缘中部凹陷。多累及胸腰椎的几个椎体。椎间隙增宽。四肢长骨变短,二次骨化中心出现晚,发育慢而且骺与干骺端结合推迟。致骨龄落后于实际年龄。更特殊的是骨骺可呈分散不规则的颗粒状或斑片状,密度不均,于长骨干骺端,特别是胫骨与股骨两端出现多条横行致密线,即生长障碍线。
经过治疗后,未钙化的骨化中心可迅速出现,全身骨骼生长加快。
(三)肾上腺疾病 肾上腺疾病中以肾上腺皮质功能亢进所致之骨骼改变为主。
1.肾上腺皮质功能亢进 本病又称C综合征,是由于肾上腺皮质增生或腺瘤所致。肾上腺质增生多为两侧性,可继发于垂体嗜碱细胞腺瘤。肺癌、甲状腺癌、恶性胸腺瘤也可引起本病,可能与肿瘤分泌具有促肾上腺皮质激素的活性物质有关。多见于中年妇女。主要临床表现为向心性肥胖、衷竭、高血压、皮下出血及多尿等。实验室检查可见血红蛋白、血红细胞和白细胞增高。血钾低、血钙高、血糖高、24小时尿17酮类固醇和17羟类固醇增高。
骨骼的改变是由于糖皮质激素直接作用所致。糖皮质激素促使蛋白分解过多使骨样组织生成不足而引起骨质疏松,并使软骨化骨迟缓,致骨龄落后。骨质疏松常并发骨折,多见于胸腰椎、坐骨、耻骨和肋骨等。骨折疼痛不重。关节退行性变显著。X线上易于显示骨质疏松及并发的骨折与畸形。骨折后由于骨样组织生成障碍,于骨折周围形成大量棉毛样骨痂,发生在肋骨前端,则出现串珠状表现。椎体在骨质疏松基础上,其上下缘可显示密度增高。当发现无痛性骨折,缺乏症状的骨髓炎和明显退行性骨关节病,又与全身骨骼骨质疏松同在,则应考虑本病。
2.医源性Cushing综合征 长期应用糖皮质类固醇激素或其他合成代用品ACTH进行治疗而引起的Cushing综合征为医源性Cushing综合征。骨改变与原发性者相同。一般X线上发现改变需经用药半年以上。偶尔于颅骨上可出现多发性透明区,佯以骨髓瘤。
七、慢性关节病
慢性关节病是指发病缓慢、逐渐发展、病程长、涉及全身关节的疾病。不易治愈,病因多不明。
(一)退行性关节病 退行性骨关节病(degenerative osteoarthropathy)又称骨性关节炎(osteoarthritis)、增生性或肥大性关节炎(hypertrophic arthritis)。是一种由于关节软骨行性改变所引起的慢性骨关节病。而不是真正的炎性病变。分原发与继发两种。前者是原因不明的关节软骨退行性变所致,多见于40岁以上的成年。承重关节如髋、脊柱和膝等关节易受累。后者则是继发于炎症或外伤,任何年龄、任何关节均可累病。常见症状是局部疼痛,运动受限,关节变形,但无肿胀和周身症状。症状轻重与关节变化程度并不平行。
病变主要是关节软骨退行性变,软骨表面不光滑、变薄,且可碎裂,游离于关节腔内,承重部分完全消失,使关节面骨皮质暴露。骨皮质硬化,于边缘形成骨赘。
四肢关节如髋与膝关节退行性骨关节病的X线表现,包括由于关节软骨破坏,而使关节间隙变窄,关节面变平,边角锐利或有骨赘突出,软骨下骨质致密,关节面下方骨内出现圆形或不规整形透明区。前者为退行性假囊形成,后者为骨内纤维组织增生所致。晚期除上述表现加重外,还可见关节半脱位和关节内游离骨体,但多不造成关节强直。关节囊与软组织无肿胀。邻近软组织无萎缩,而骨骼一般也无骨质疏现象。(图2-1-16)。在指间关节多先累及远侧关节,关节间隙可消失,并有骨小梁通过,造成关节强直。
脊椎退行性骨关节病的X线表现,包括脊椎小关节和椎间盘的退行性变,可统称为脊椎关节病。脊椎小关节改变包括上下关节突变尖、关节面骨质硬化和关节间隙变窄。在颈椎不可累及钩突关节。椎间盘退行性变表现为椎体边缘出现骨赘,相对之骨赘可连成骨桥。椎间隙前方可见小骨片,但不与椎体相连,为纤维环及邻近软组织骨化后致。髓核退行性变则出现椎间隙变窄,椎体上下骨缘硬化(图2-1-15)。由于退行性变而引起椎体滑动。椎体后缘骨剌突入椎间孔或椎管内引起脊神经压迫症状,可摄斜位或体层摄影以显示骨赘。同时并发的椎管内后纵韧带和两侧黄韧带及脊椎小关节囊的增生肥厚与椎板增厚可引起椎管狭窄,并压迫脊髓,诊断有赖于脊髓造影。CT和MRI。
(二)类风湿性关节炎 类风湿性关节炎(rheumatoid arthritis)属于泛发性结缔组织病,具有疏松结缔组织粘液样水肿和类纤维蛋白变性两种基本病变。病因不明。多见于中年妇女。早期症状包括低热、疲劳、消瘦、肌肉酸痛和血红细胞沉降率增快等。关节呈梭形肿胀、疼痛,活动受限,肌无力、萎缩和关节半脱位等。常累及近侧指间关节,呈对称性。部分病例出现较硬的皮下结节。实验室检查主要有血清类风湿因子阳性,血清蛋白低,球蛋白高等。
骨关节的X线改变大多出现在发病3个月以后。主要改变有①关节软组织梭形肿胀,系因滑膜及周围软组织充血水肿和关节积液所致;②关节间隙早期因关节积液而增宽,待关节软骨破坏,则变窄;③关节面骨质侵蚀多见于边缘,是滑膜血管翳侵犯的结果,也可累及邻近骨皮质。小关节,特别是手骨最为常见;④骨性关节面模糊、中断,软骨下骨质吸收囊变是血管翳侵入骨内所致,内充纤维肉芽组织及滑膜液,呈透明影,周围有硬化,最后为骨质充填;⑤关节邻近骨骼发生骨质疏松,病变进展则延及全身骨骼;⑥邻近关节的骨骼可出现骨膜增生,呈层状;⑦膝、髋等大关节可形成滑膜囊肿向邻近突出;⑧晚期可见四肢肌萎缩,关节半脱位或脱位,骨端破坏后形成骨性融合。半脱位可发生于环枢椎,可以是最早的变化。指间、掌指间关节半脱位明显,且常造成手指向尺侧偏斜畸形,具有一定特点。
值得提出的是跟骨后下缘皮质即有表浅的侵蚀,又有边缘不规则的骨赘增生,这是发生在肌腱和韧带附着处的纤维软骨增生骨化,乃软组织病变引起的变化。附近骨小梁也模糊不清。累及两侧,不难诊断。本病还可引起胸腔积液和弥漫性肺炎。
第二章 CT与MRI诊断
骨关节与软组织疾病一般先用X线检查以发现病变,估计病变性质及范围。只有临床和X线诊断疑难时才需CT或MRI检查。有时对软组织肿块和骨骼解剖较复杂的区域如骨盆和脊柱,也可首选CT或MRI。
CT不仅能显示组织结构机横断面解剖的空间关系,而且可分辨出密度差别小的脂肪、肌肉和软骨等组织,易查出病灶,并能确定其部位、范围、形态及结构。还可行三维观察。
MRI也是检查骨关节疾病的重要手段。脂肪、纤维软骨、韧带、肌肉、肌腱和骨髓各具有不同强度的磁共振信号,在MRI上其影像有差别。但MRI显示病灶钙化、骨皮质破坏及骨膜反应不如X线平片和CT,对疾病的定性诊断与鉴别诊断有一定的困难。因此,合理应用X线平片、CT与MRI,对诊断骨关节疾病是十分重要的。
第一节 CT诊断
一、长骨、四肢关节与软组织
(一)检查技术 四肢CT检查需同时进行两侧肢体横断面扫描,以便作两侧对照观察。根据病变的性质和范围决定层厚,一般为0.5cm或1cm。调节窗位与窗宽以分别观察骨和软组织结构。
(二)骨关节疾病 CT以横断面图像显示皮质、骨松质、骨髓腔、关节软骨及邻近的肌肉、脂肪和肌腱等。
骨关节外伤X线检查多能作出诊断。只有深部或解剖关系复杂区域,如髋关节外伤可用CT检查。CT可显示X线片未发现的骨折、脱位、关节内游离体及软组织血肿等。
CT可诊断骨关节感染性病变。急性化脓性骨髓炎,CT可见骨破坏、骨髓腔密度增高和小死骨。当X线平片对炎症和肿瘤不易鉴别时,如CT发现上述改变和软组织内脓肿时则有助于骨髓炎的诊断。
对于骨肿瘤,CT能显示肿瘤大小、形状、轮廓、内部结构、与周围组织的关系和了解肿瘤在骨髓腔内浸润及向骨外软组织侵犯的范围。骨髓受肿瘤浸润的检出有较高的价值,但CT对鉴别肿瘤的良恶性及确定肿瘤性质仍有困难,应综合临床资料加以考虑。
(三)软组织疾病 CT能显示四肢肌肉分隔及大的血管与神经结构,因此,CT可用于观察软组织疾病,确定病变范围和性质。
软组织肿瘤的密度一般低于正常肌肉,增强扫描可增加病变和正常肌肉的密度差,多数良性肿瘤边界清楚或有包膜且质地均匀,但定性诊断有一定限度。脂肪瘤因有典型的脂肪密度,表现具有特征性(图2-2-1)。海绵状血管瘤于肿块内可见小圆形静脉石,且在造影增强扫描后,肿瘤明显强化,具有一定的特点。

图2-2-1 大腿脂肪瘤
右大腿中1/3后内侧低密度肿块,境界清楚,CT值-100Hu
软组织恶性肿瘤一般边界不清,质地不均匀或呈斑片状。生长迅速的肿瘤内还常有坏死、水肿和出血,使病灶密度更不均匀。当邻近骨组织或器官受到肿瘤侵犯时则可肯定肿瘤为恶性。CT对多数软组织肿瘤不能判断其性质,有时难与血肿或脓肿区分。在CT引导下,经皮穿剌活检可获得正确的组织学结果。
二、脊柱
CT对显示脊柱、椎管和椎间盘优于平片,在诊断椎间盘脱出、椎管狭窄和脊柱外伤有较高价值。
(一)检查技术 脊柱的CT检查常规取仰卧位,先作定位,标定扫描层面并决定扫描架倾斜角度。扫描层厚,对椎间盘病变多用2~5mm,脊柱病变则用10~15mm。疑有椎管受累时,可向硬膜囊内注射非离子型碘造影剂,再作CT扫描,即脊髓造影CT。
(二)正常脊柱CT表现 在脊柱CT的横断像上,由椎体、椎弓根和椎弓板构成椎管骨环,脊髓居椎管中央,呈低密度影,与周围结构有较好的对比。黄韧带为软组织密度,附着在椎弓板和关节突的内侧,正常厚2~4mm。腰段神经根位于硬膜囊前外侧,呈圆形高密度影,两侧对称。侧隐窝(lateral recess)。呈漏斗状,其前方是椎体后外面,后方为上关节突,侧方为椎弓根内壁。其前后径小于5mm,隐窝内有穿出的神经根。椎间盘由髓核与纤维环组成,其密度低于椎体,CT值为50~110Hu。
(三)椎间盘病变
1.腰椎间盘膨出(bulgingof disk) CT表现为椎间盘边缘匀称而弥漫膨隆并超出椎体骨板。椎间盘内可含气体(真空现象),易为CT证实。
2.椎间盘脱出 CT表现为①椎管内前方出现脱出椎间盘的块影(图2-2-2),CT值低于骨但高于硬膜囊;②椎管和硬膜囊间的脂肪层消失,系最早出现变化;③神经根被推压移位;④硬膜囊受压变形(图2-2-2)。

图2-2-2 腰椎间盘中央型脱出(腰4~5)
(四)椎管狭窄(stenosis of spinalcanal) 常见于颈段和腰段。分先天性和获得性两类。前者少见,见于软骨发育不全、粘多糖和椎弓根肥大等疾病。后者是继发于骨或(和)椎管内四周软组织肥厚所致的均匀性狭窄。除累及椎管中央部分外,也可累及侧隐窝及椎间孔。
椎管狭窄可压迫脊髓、神经根和椎动脉,引起相应的症状和体征。其CT表现为;①椎体后缘骨赘向椎管内突入;②椎间盘退变膨出和上关节突肥大,为造成腰椎侧隐窝狭窄的主要原因。侧隐窝前后径在2mm以下可肯定为狭窄,2~4mm为可疑狭窄;③黄韧带或后纵韧带肥厚、骨化。后纵韧带骨化多见于颈椎,可严重压迫脊髓。④椎体滑脱可引起椎管狭窄,CT可发现椎板峡部裂或引起滑脱的椎间盘和韧带的退行性变。
(五)脊柱外伤 X线检查常不能完全显示脊椎外伤范围和严重程度,而CT则可充分显示脊椎骨折、骨折类型、骨折片移位程度、椎管变形与狭窄以及椎管内骨碎片或椎管内血肿等。还可对脊髓外伤情况作出判断。对此,脊髓造影CT价值较大。
第二节 MRI诊断
一、长骨、四肢关节与软组织
(一)检查方法 MRI检查需根据受检部位选择不同的体线圈或表面线圈,以提高信噪比(signal-noise ratio),使影像更为清晰。自旋回波是最基本的扫描序列。T1WI可显示细致的解剖结构,用于观察骨髓及皮下脂肪内的病变。T2WI用于显示病变累及软组织的范围。根据关节和疾病的不同而用冠状面、矢状面和横断面扫描。
(二)正常MRI表现 皮下脂肪和骨髓在T1WI、T2WI和质子密度像上均呈高信号;骨皮质、空气、韧带、肌腱和纤维软骨呈低信号;肌肉和关节透明软骨呈中等偏低信号(图2-2-3)。液体,如关节内积液,炎症或水肿和肿瘤组织在T1WI上为低信号,T2WI上为高信号。血肿则依出血时间的长短而呈现强度不同的信号。
(三)骨关节疾病 应用高分辨力表面线圈可提高四肢大关节的成像质量,良好地显示肌腱、神经、血管、骨和软骨结构。对膝和髋关节的应用较多。
在膝关节,MRI主要用于检查外伤所致的半月板断裂和韧带撕裂。半月板断裂多发生在后角,以矢状面T1WI最为敏感,于断裂处信号增高,T2WI可帮助显示关节内积液和出血。MRI诊断的准确率可超过90%,比关节造影和关节内镜敏感。膝关节外伤引起胫、腓副韧带撕裂可在冠状面T1WI上显示,表现为韧带中断或不见。十字韧带撕裂在矢状面T1WI上则表现为外形不整断裂,在低信号的韧带内出现高信号。这些疾病在X线或CT上是难于显露的。
在髋关节,MRI主要用于早期诊断股骨头缺血性坏死和观察疗效。征象出现早于X线,核素成像和CT,且具有一定的特异性。在冠状面T1WI和T2WI上,股骨头内出现带状或半月状低信号区,其关节侧还可见强度不等的信号。

冠状面

矢状面
图2-2-3 正常膝关节T1WI
股骨和胫骨脂肪髓呈高信号(白);关节软骨呈中等信号(灰);半月板呈低信号(黑)
此外,MRI对于检查手段部腱鞘囊肿、肩袖破裂和踝关节外伤也有一定的帮助。
(四)软组织病变 MRI主要用于诊断肿瘤、血肿、脓肿、滑膜囊肿等,可比较准确地确定其位置、大小、范围和邻近结构受累情况,但多不能确定病变性质。一般,良性肿瘤MRI信号强度均匀,边界清楚,无周围水肿,而恶性肿瘤信号多不均匀,边界欠清楚,且常有邻近血管和神经的侵犯。
二、骨髓
骨髓因含脂肪而能在MRI上成像,当骨髓内脂肪成分有改变或被病变组织取代,则信号强度将发生变化。MRI是直接观察骨髓症变的最佳成像方法,优于X线、核素成像和CT。
成人正常骨髓在T1WI和T2WI上均呈高信号,和邻近皮下组织及盆腔脂肪相等或略低。
改变骨髓内脂肪成分或取代脂肪的症变,在T1WI上信号减弱。T2WI上信号强度的改变取决于病变的组织类型。坏死组织、血肿和炎性碎屑其信号较肿瘤组织为高,而纤维或硬化组织在T1WI和T2WI上均呈低信号。
骨髓瘤、淋巴瘤和骨肉瘤在T1WI上均表现为低信号,MRI可准确确定其范围,但确定其病理性质仍有困难。再生障碍性贫血由于正常骨髓脂肪化,致T1WI上呈高信号。骨髓纤维化,骨髓为纤维组织所取代,在T1Wi 和T2WI上均呈低信号。MRI对这些疾病的诊断比X线与CT要敏感和可靠。
三、脊柱
MRI能清楚显示脊椎、椎管和椎间盘,并能显示椎管内软组织,包括韧带、硬膜囊、脑脊液和脊髓等结构。对诊断椎间盘变性、膨出和脱出,椎管狭窄,脊柱外伤和感染价值很高。由于可行三维成像和多参数成像并能显示硬膜囊和脊髓,所以,解剖结构和病变的显示以及了解病变与椎管内结构的关系优于CT。
脊髓的MRI检查多用自旋回波序列,以矢状面为主,横断面与冠状面则依情选用。
椎间盘变性MRI表现为椎间盘变薄,呈低信号,其中可见不规则的斑点状高信号区。以T2WI显示清楚。椎间盘膨出于矢状面T2WI上可见椎间盘向后隆起,横断面像上则膨出的椎间盘匀称地超出椎体的边缘,在硬膜囊前方的高信号脂肪带出现光滑规整的压迹。椎间盘脱出于矢状面T1WI上,脱出的髓核为扁平形、圆形或不规则形块影,并与未脱出的部分相连,其信号比硬膜外脂肪信号低,而比脑脊液的信号高。
MRI可清楚地显示椎管狭窄,包括椎体与脊椎小关节的增生、韧带肥厚和椎间盘脱出等。如果椎间盘脱出发生在多个平面,且相对的黄韧带肥厚,则在与椎间隙水平相对应的硬膜囊前后缘受压,在矢状面T2WI上,硬膜囊呈串珠状表现(图2-2-4)。

质子密度像 T2WI
图2-2-4p; 颈椎关节病颈4~6段的蛛网膜下腔及脊髓于椎间盘水平均受压变细,呈典型的糖葫芦状
在脊柱外伤,MRI可用以观察椎体骨折,椎间盘脱出和韧带撕裂。同时还可观察脊髓挫裂伤和脊髓受压等,诊断价值高。在脊椎化脓性骨髓炎,MRI可观察炎症是否累及椎间盘,如受累,则椎间盘与椎体分界不清,在T1WI上均呈低信号,而在T2WI上则呈高信号。
第三篇 胸部
第一章 肺与纵隔
许多胸部变可借X线检查显示其部位、形状及大小,诊断效果好,方法简单,因而应用最广。已成为胸部疾病诊断、早期发现、随访观察及普查等不可缺少的检查方法。
胸部疾病的X线表现是胸部病理生理及病理解剖的反映,不能直接反映组织学的改变。在诊断中必需密切结合临床,进行全面分析,才能做出正确诊断。某些较早期和过于细微的病变,X线检查尚不能显示。气管或支气管内的早期病变,则必需用特殊摄影或造影检查才能发现。
随着CT和介入放射学的开展,胸部病变的CT检查及对肺内病变在影像监视下行穿剌活检也已用于临床。CT对发现小的肺肿瘤和肺癌所致的肺门、纵隔淋巴结转移价值较大,对纵隔肿瘤的诊断也有重要作用。
MRI对纵隔肿瘤的定位和定性诊断价值较大。特别是MRI的流空效应,使心血管成像有助于了解纵隔肿瘤与心血管的关系。USG由于空气对超声的极强反射,而难以应用于肺部病变的诊断,对胸腔积液有一定诊断价值。
第一节 X线诊断
一、X线检查方法
肺与纵隔的X线检查方法有透视、摄影、体层摄影及支气管造影等。对某些与血管有关的病变可用血管造影。许多胸部病变可借胸部平片结合透视及体层摄影作出诊断。
普通检查
(一)透视 胸部透视(chest fluoroscopy),方法简单、经济、应用广泛。但缺点是医生和患者所接受的射线量远较摄影时高,不易发现细微病变和无永久性图像记录。因此,现在许多医院用胸部荧光摄影或胸部摄片取代透视检查,只将透视作为必要时的辅助检查。影像增强电视系统的应用以及隔室透视在一定程度上减少了医生、患者所接受的射线量。
透视时应明确检查目的和要求,并参考病史和过去的胸片或透视报告。除去体表影响透视的衣物、膏药及发卡等。一般取立位,根据病情可用半卧位或卧位。应对肺野、肋膈角、肺门、纵隔及心脏大血管等作全面观察。让患者深呼吸,以观察肺野透明度、膈动度及病变形态的改变等。
(二)摄影 常用摄影位置如下:
1.后前位 是常规胸部摄影位置,取立位,病人胸前壁靠片,X线自背部射入。应包括全部肺野、胸廓、肋膈角和下颈部。好的胸片应清晰显示两侧肺纹理的细微结构,透过气管能看清第1~4胸椎,下部胸椎与心脏重叠,隐约可见。
2.侧位 患侧胸壁靠片。侧位胸片可帮助确定病变在肺或纵隔内的位置,并能从侧面观察病变的形态。
3.前后位 适用于不能站立的患者,取仰卧位,X线自前方射入。
4.前弓位 用于显示肺尖部及与锁骨、肋骨重迭的病变。
5.侧卧水平方向后前位 用于观察胸内液体及气体在变换体位时的表现,并可根据液面长度确定空洞或空腔的范围。
特殊检查
1.体层摄影 体层摄影已广泛用于胸部疾病的诊断,它可使某一选定层面清晰显影,而使非选定层面模糊不清,为疾病诊断和鉴别诊断提供重要的根据。体层摄影可用于:①确定有无空洞,并显示洞壁及引流支气管的情况;②较准确地显示肺内肿块、空洞等病变的形态、结构、部位及毗邻关系;③显示肺部病变与支气管的关系以及支气管本身有无狭窄、扩张、受压、中断及缺损;④显示肺门增大的淋巴结、纵隔内病变及其与大血管的关系。
体层摄影层面及其深度的选择依欲显示的结构及病变所在而不同。对肺内病变应根据透视或正、侧位胸片选层。
支气管肺门可采用正位倾斜体层摄影,能较好的显示肺门、气管、主支气管及上、下叶支气管。
2.高千伏摄影 由于X线穿透力强,可减少胸壁软组织及肋骨等对肺内病变的干扰,并可使肺纹理显示清晰,对比较好,气管及肺门区支气管影显示较清楚,对中心型肺癌、纵隔病变以及尘肺等诊断有帮助。
造影检查
呼吸系统的造影检查主要是支气管造影(bronchography),这是直接观察支气管病变的检查方法,诊断效果好,但有一定痛苦,应掌握适应证及禁忌证。
适应证包括:①原因不明的咯血或临床拟诊支气管扩张症而平片无阳性发现或只有轻微改变,需明确诊断及病变范围以行手述治疗。如平片已明确为两肺广泛病变,无法手术者,则不必造影;②平片似诊肺癌,虽经体层摄影仍不能明确诊断;③慢性肺化脓症及慢性肺结核,需明确有无合并支气管扩张;④了解不张肺叶支气管腔的情况,以确定肺不张的原因。
禁忌证包括:①全身情况衰竭,年龄过大,心、肺、肝的功能不良;②肺或支气管急性感染及进展期浸润型肺结核;③7~10日内发生大咯血;④甲状腺功能亢进或对碘造影剂过敏,不宜用碘油造影,可改用硫酸钡胶浆。
支气管造影所用造影剂有:①40%碘化油,较常用。②50%~60%硫酸钡胶浆,为硫酸钡加适量西黄蓍胶或羧甲基纤维素制成的混悬液。显影清晰,无过敏反应,价立,咯出快。
造影应注意以下几点:①向患者说明造影目的、方法以及可能有的痛若,取得患者的合作;②造影前4小时及影后2小时禁食;③术前一日作碘及麻醉剂过敏试验;④痰量多者,术前应作位引流。
将导管经鼻插入气管,透视下将导管端置于气管隆突上方1~2cm处,缓缓注入麻醉剂,以麻醉各叶支气管。透视下控制体位注入造影剂,使其充盈至5~6级支气管。造影后拔出导管,作体位引流,以排出造影剂。对于肺癌及其他较局限的病变可将导管插入一侧或一叶一支气管,行选择性造影。
二、正常X线表现
正常胸部X线影像是胸腔内、外各种组织和器官重迭的总合投影。应熟悉生后前位及侧位片上各种影像的正常及变异表现(图3-1-1),以免误诊为病变。

图3-1-1 正常胸部侧位、后前位片
(一)胸廓 胸廓软组织及骨骼在胸片上形成的影像,有时可造成误诊,应当认识(图3-1-2)。
软组织
1.胸锁乳突肌及锁骨上皮肤皱褶 胸锁乳突肌(sterno-mastoidmuscle)在两肺尖内侧形成外缘锐利、均匀致密的影像。当颈部偏斜时,两侧胸锁乳突肌影可不对称,勿误认为肺尖部病变。

图3-1-2 可能引起误诊的胸部软组织和骨骼影像
锁骨上皮肤皱褶(skin reflection over the clavicle)为与锁骨上缘平行的3~5mm宽的薄层软组织影,其内侧与胸锁乳突肌影相连。系锁骨上皮肤及皮下组织的投影。
2.胸大肌 胸大肌(pectoral muscle major)在肌肉发达的男性,于两侧肺野中外带可形成扇形均匀致密影,下缘锐利,呈一斜线与腋前皮肤皱褶连续,一般右侧较明显,不可误为病变。
3.女性乳房及乳头 女性乳房(female breast)可在两肺下野形成下缘清楚、上缘不清且密度逐渐变淡的半圆形致密影,其下缘向外与腋部皮肤连续,勿误认为肺炎。乳头(nipple)在两肺下野相当于第5前肋间处,有时可形成小圆形致密影,年龄较大的妇女多见,有时亦见于男性。勿误为肺内结节性病灶。两侧对称为其特点,透视下转动患者即可与肺野分开。
骨 骼
1.肋骨 肋骨(ribs)起于胸椎两侧,后段呈水平向外走行,前段自外上向内下倾斜走行形成肋弓。肋骨前后端不在同一水平,一般第6肋骨前端相当于第10肋骨后端的高度。前段扁薄,不如后端影像清晰。1~10肋骨前端有肋软骨与胸骨相连,因软骨不显影,故X线片上肋骨前端游离。25岁以后第1对肋软骨首先钙化,随年龄增长,其他肋软骨也自下而上逐条钙化,表现为不规则的斑片状致密影,勿误认为肺内病变。肋骨及肋间隙常被用作胸部病变的定位标志。
肋骨有多种先天性变异,常见的有:①颈肋(cervicsal rib),可发生于一侧或两侧,表现为短小较直的小肋骨,自第7颈椎处出发;②叉状肋(bifurcation of rib),为最常见的肋骨变异,肋骨前端呈叉状,有时一支明显,另一支短小,甚至仅为肋骨上的突起,勿误信为肺内病变;③肋骨联合(fusion of rib),多见于第5、6后肋,表现为相邻的两条肋骨局部呈骨性联合,肋间隙变窄,易误为肺内病变。
2.肩胛骨 肩胛骨(scapula)内缘可与肺野外带重迭,勿误信为胸膜增高。青春期肩胛骨下角可出现二次骨化中心,勿误为骨折。
3.锁骨 在后前位片上两侧胸锁关节到中线距离应相等,否则为投照位置不正。锁骨(clavicle)的内下缘有半月凹陷,为菱形韧带附着处,有时边缘不规则,勿认为骨制裁破坏。
4.胸骨 胸骨在后前位片上与纵隔影重迭,只有胸骨柄两侧外上角可突出于纵隔影之外,勿误认为纵隔病变。
5.胸椎 胸椎(thoracic spine)的横突可突出于纵隔影之外勿误认为增大的淋巴结。
(二)纵隔 纵隔(mediastinum)位于胸骨之后,胸椎之前,界于两肺之间。其中有心、大血管、气管、食管、主支气管、淋巴组织、胸腺、神经及脂肪等器官和组织。除气管及主支气管可以分辨外,其余结构间无明显对比,只能观察其与肺部邻接的轮廓。
纵隔的分区在判断纵隔肿块的来源和性质上有着重要意义。纵隔的划区有几种,现介绍九分区法,即在侧位胸片上将纵隔划分为前、中、后及上、中、下共九个区(图3-1-3),前纵隔系胸骨之后,心、升主动脉和气管之前的狭长三角区。中纵隔相当于心、主动脉弓、气管及肺门所占据的区域,食管前壁为中、后纵隔的分界线。食管以后和胸椎旁区为后纵隔。自胸骨柄、体交界处至第4胸椎下缘连一水平线,其上为上纵隔,其下至肺门下缘(第8胸椎下缘)的水平线为中纵隔,肺门下缘以下至膈为下纵隔。
正常纵隔于卧位及呼气时,宽而短,立位及吸气时窄而长,尤以小儿为显著。婴幼儿的胸腺可致纵隔向一侧或两侧增宽,呈帆形影。
正常时纵隔居中,一侧胸腔压力增高,如一侧胸腔大量积液或气胸、一侧肺气肿或巨大占位性病变,纵隔可被推向健侧;一侧胸腔压力减低,如肺不张和广泛胸膜增厚,纵隔可被牵向患侧。纵隔可因炎症、肿瘤、增大淋巴结、主动脉瘤、食管极度扩张及椎旁脓肿等而呈普遍或局限性增宽。当支气管发生部分性阻寨时,由于呼吸时两侧胸腔压力不均衡,可在呼吸时发生左右摆动,称纵隔摆动。气体进入纵隔形成纵隔气肿,可在两侧边缘出现透明的气带影。

图3-1-3 纵隔分区示意图
(三)膈 膈(diaphragm)后前位上分左右两叶,呈圆顶状。膈在外侧及前、后方与胸壁相交形成肋膈角,有内侧与心形成心膈角。膈的圆顶偏内前方,因而外、后肋膈角深而锐。右膈顶较左膈顶高1~2cm,一般位于第9或第10后肋水平,相当于第6前肋间隙。呼吸时两膈上下对称运动,运动范围为1~3cm,深呼吸时可达3~6cm。膈的形态、位置及运动,可因膈之发育与胸腹腔病变而出现变化。
膈的局部可发育较薄,向上呈半圆形隆起,称局限性膈膨升,多发生于右侧,中老年多见,为正常变异。有时深吸气时,膈顶可呈波浪状,称波浪膈,系因膈附着于各肋骨前端,在深吸气时受肋骨牵拉所致,勿误为胸膜粘连。
胸腔及腹腔压力的改变可影响膈的位置。胸腔压力减低如肺不张、肺纤维性变;腹腔压力增高,如妊娠、腹水、腹部巨大肿块等均可使膈升高。反之胸腔压力升高可使膈降低,如肺气肿、气胸及胸腔积液等。一侧膈发育不良,因膈张力减弱而升高,称膈膨升。膈神经麻痹时,膈也升高。
上述引起膈位置改变的因素及胸、腹腔的炎症均可使膈运动减低。膈膨升及膈神经麻痹时,由于膈的运动功能减弱或丧失,可出现矛盾运动,即吸气时正常侧下降而患侧上升,呼气时反之。
(四)胸膜 胸膜(pleura)衬于胸壁内面、膈面与纵隔面的壁层胸膜和包绕于肺表面的脏层胸膜,正常时不显影,只有在胸膜反褶处X线与胸膜走行方向平行时,才在X线片上显示为薄层状或线状致密影,见于肺尖胸膜反褶及叶间裂反褶。
(五)气管、支气管 气管、支气管在胸部平片上观察不满意,但在体层摄影和支气管造影时则可清楚显示。
气管(trachea)起于环状软骨下缘,长11~13cm,宽1.5~2cm,在第5~6胸椎平面分为左、右主支气管。气管分叉部下壁形成隆突,分叉角度为60°~85°,吸气时角度略大。两侧主支气管与气管长轴的角度不同,右侧为20°~30°;左侧为30°~45°。两侧主支气管分别分为肺叶支气管,肺叶支气管又分出肺段支气管,经多次分支,最后与肺泡相连。支气管分支的名称见表3-1-1。
表3-1-1 两侧支气管分支名称
| 右侧 | 左侧 | |||
| 上叶 | 1尖支 | 上叶 | 上部支气管 | 1+2尖后支 |
| 2后支 | 3前支 | |||
| 3前支 | 下部支气管(舌部) | 4上舌支 | ||
| 中间支气管 | 5下舌支 | |||
| 中叶 | 4外支 | |||
| 5内支 | ||||
| 下叶 | 6背支 | |||
| 7内基底支 | 下叶 | 6背支 | ||
| 8前基底支 | 7+8内前基底支 | |||
| 9外基底支 | 9外基底支 | |||
| 10后基底支 | 10后基底支 | |||
熟悉两侧肺叶及肺段支气管的名称及分支形式,有利于根据正侧位胸片判断肺内病变位于哪一肺叶或肺段。一般用数字表示肺段气管的名称。两侧支气管的分支形式不完全相同,有以下几点差异:①右主支气管分为上、中、下三支肺叶支气管、左主支气管分为上、下两支肺叶支气管;②右上叶支气管直接分为肺段支气管,而左上叶支气管先分为上部及下(舌)部支气管,然后再分别分出肺段支气管;③右上叶支气管分为尖、后、前三支肺段支气管,左上叶支气管分为尖后支及前支两支肺段支气管;④右侧主支气管分出上叶支气管后至中叶支气管开口前的一段称为中间支气管。左侧无中间支气管;⑤右下叶支气管共分为背、内、前、外、后五支肺段支气管,左下叶支气管则分为背、内、前、外、后四支肺段支气管。
(六)肺 肺的各解剖部分的投影在X线上表现为肺野、肺门及肺纹理。
1.肺野 肺野(lumg field)是含有空气的肺在胸片上所显示的透明区域。两侧肺野的透明度相同,深吸气时肺内气量多,透明度高,呼气时则透明度低,以两肺中下野表现明显。肺尖部含气量较少,故较不透明。为便于标明病变位置,人为地将一侧肺野纵行分为三等分,称为内、中、外带,又分别在第2、4肋骨前端下缘画一水平线,将肺野分为上、中、下三野(图3-1-4)。

图3-1-4 肺野的划分
2.肺门及肺纹理 肺门影(hilar shadow)是肺动、静脉,支气管及淋巴组织的总合投影,肺动脉和肺静脉的大分支为其主要组成部分(图3-1-5)。后前位上,肺门位于两肺中野内带第2~4前肋间处,左侧比右侧高1~2cm。右肺门分上下两部:上部由上肺静脉、上肺动脉及下肺动脉干后回归支组成,其外缘由上肺静脉的下后静脉干形成;下部由右下肺动脉干构成,其内侧因有含气的中间支气管衬托而轮廓清晰,正常成人宽度不超过15mm。上下部相交形成一较钝的夹角,称肺门角。左肺门主要由左肺动脉及上肺静脉的分支构成。上部由左肺动脉弓形成,为边缘光滑的半圆形影,易被误认为肿块;下部由左下肺动脉及其分支构成,由于左心影的掩盖,只能见到一部分。侧位时两侧肺门大部重迭,右肺门略偏前。肺门表现似一尾巴拖长的“逗号”,前缘为上肺静脉干,后上缘为左肺动脉弓,拖长的“逗号”尾巴由两下肺动脉干构成。

图3-1-5 肺门结构示意图
1.气管 2.右主支气管 3.右肺动脉 4.下后静脉干 5.右下肺动脉干 6.肺门角
7.中间支气管 8.右上肺静脉 9.右下肺静脉 10.左肺动脉弓 11.舌叶动脉
12.左下肺动脉13.左上肺静脉 14.左下肺静脉
多种肺部疾病可引起肺门大小、位置和密度上的改变。肺门增大见于肺门血管的扩张、肺门淋巴结的增大和支气管腔内或腔外的肿瘤等。由于肺门大小的正常差异较大,又无正常标准,因此,除非增大明显,多较难判断。但如内凹的肺门角变成外凸,则多系肺门邻近肿物所致。肺门缩小则见于肺门血管的变细。肺门移位多见于肺叶不张,上叶或下叶肺不张可使肺门上移或下移。肺门密度增高常与肺门增大同时存在。如未见肺门肿块,则多因肺门血管及支气管周围间质内的病变,如炎症或水肿所致。
肺纹理(lungmarkings)为自肺门向肺野呈放射分布的干树状影。由肺动、静脉及淋巴管组成,主要成分是肺动脉分支。肺纹理自肺门向外围延伸,逐渐变细,正常时肺下野较肺上野粗,特别是右肺下野因无心重迭更为明显,并可见略呈水平走行的肺静脉分支所形成的纹理。
观察肺纹理应注意其多少、粗细、分布、有无扭曲变形等。其正常粗细和多少并无明确标准,但变化明显时则不难确定。肺纹理的改变受多种因素影响,密切结合临床进行分析,对多种心肺疾病的诊断有重要意义。
3.肺叶、肺段和肺小叶
(1)肺叶:肺叶(lobe)属解剖学范畴,与肺野的概念不同。正常情况下,除非叶间胸膜显影借以分辨肺叶外,在胸片上并不能显示各肺叶的界限。但结合正、侧位胸片,却可推断各肺叶的大致位置,借以确定病变的所在。
右肺有上、中、下三叶,左肺有上、下两叶。各肺叶由叶间裂分隔。右肺有斜裂与水平裂两个叶间裂。侧位片上或右肺斜裂上起第4胸椎水平,向前下斜行达膈前部距前肋膈角2~3cm处。水平裂起自斜裂的中部,向前稍向下达前胸壁。水平裂上方为上叶,下方为中叶,后下方为左下叶。左肺上叶相当右肺上、中两叶。
肺叶在后前位像上前后重迭,如右肺中叶与下叶完全重迭,中叶在前,下叶在后。右肺上叶与下叶的上部重迭。在确定病变的部位时应结合侧位片,根据叶间裂的位置,辨别病变位于哪个肺叶或肺段。
肺的分叶还可有先天变异,主要的是副叶。其中以下叶内侧的下副叶较多,其叶间裂呈线状致密影,自膈的内侧向上向内斜行达肺门,左侧由于心影遮盖而不易显示。另一副叶为奇叶,系因奇静脉位置异常,奇静脉周围的胸膜反折,呈一倒置的逗点弧形叶间裂,自上纵隔向外上斜行达肺尖。
(2)肺段;肺叶由2~5个肺段(segment)组成,各有其单独的支气管。正常时,X线片不能显示肺段的界限,只有在病理情况下,单独肺段受累,才能看到肺段的轮廓。肺段的名称与相应的支气管一致。
(3)肺小叶:每一肺段由许多肺小叶(lobule)组成,肺小叶的直径约1cm,有一小叶支气管及伴随的小叶动脉进入。小叶之间有疏松的结缔组织间隔,称小叶间隔,其中有小叶静脉及淋巴管。每支小叶支气管分出3~5支未梢细支气管,每支末梢细支气管所支配的范围称为腺泡(呼吸小叶),为肺部病理改变的基本单位,其直径约为6mm。末梢细支气管继续分出呼吸细支气管,以后再分为肺泡管、肺泡囊,最后为肺泡。
(4)肺实质与间质:肺组织由肺实质与肺间质组成。肺实质为肺部具有气体交换功能的含气间隙及结构,包括肺泡与肺泡壁。肺间质是支气管和血管周围、肺泡间隔及脏层胸膜下由结缔组织所组成的支架和间隙(图3-1-6)。

图3-1-6 肺间质示意图
三、基本病变X线表现
胸部可发生多种疾病。为了掌握各种疾病的X线诊断,必需认识各种基本病变的X线表现。只有这样,才能综合X线所见,再结合临床资料进行分析,从现象到本质对疾病作出诊断。下边三个方面介绍呼吸系统基本病变及基本X线表现。
(一)支气管阻塞及其后果 支气管阻塞可因腔内肿块、异物、先天性狭窄、分泌物郁积、水肿、血块及痉挛收缩等原因引起,也可因外在性压迫,如肿瘤、增大淋巴结等所致。部分性阻塞引起阻塞性肺气肿(obstructive emphysema);完全性阻塞引起阻塞性肺不张(obstructiveatelectasis)。
1.阻塞性肺气肿 肺气肿系肺组织过度充气而膨胀的一种状态。支气管的部分性阻塞产生活塞作用,就是空气能被吸入,而不能完全呼出,致使由该支气管所分布的肺泡过度充气而逐渐膨胀,形成肺气肿。过度膨胀和随之产生的肺泡壁血供障碍或并发感染,可导致肺泡破裂弹性丧失。
末梢细支气管远侧肺组织的肺气肿,为小叶性肺气肿(lobular emphysema)或泡性肺气肿。肺泡壁破裂气体进入肺间质,为间质性肺气肿(interstitisl emphysema)。多个肺泡壁破裂,可合并形成较大的含气空腔,为肺大泡(bullae)。
阻塞性肺气肿可分为慢性弥漫性及局限性两种。弥漫性者可继发于多种慢性肺疾病,以慢性支气管炎、支气管哮喘和尘肺时多见。其阻塞部位多在细支气管。局限性者可为叶段肺气肿,阻塞发生在较大支气管,见于支气管异物、肿瘤及慢性炎性狭窄等。
轻度阻塞性肺气肿,X线诊断有一定限度。较严重的慢性弥漫性阻塞性肺气肿,X线表现比较明显,有以下特点:
两侧肺野透明度增加,呼气与吸气时肺野透明度改变不大,肺内可见肺大泡;肺纹理稀疏、变细、变直;胸廓呈桶状,前后径增加,肋间隙变宽;膈位置低,动度明显减弱,侧位片见胸骨后间隙增宽;心表现为狭长的垂位心型。
局限性阻塞性肺气肿的X线表现为肺局部透明度增加,范围取决于支气管阻塞的部位。范围较小时,可无胸廓及膈的改变。支气管异物引起者常伴有纵隔摆动。局限性肺气肿可为早期支气管肿瘤的表现,发现后应作体层摄影或支气管造影以确定病因。
2.阻塞性肺不张 肺不张系多种原因所致肺内气体减少和肺体积缩小的改变。分先天性与获得性,后者可由支气管完全阻塞、肺外压迫及肺内瘢痕组织收缩引起,以支气管阻塞最为多见,可以是支气管腔内阻塞或是腔外压迫。
支气管完全阻塞后,肺内气体多在18~24小时内被循环的血液所吸收,肺叶萎陷,肺泡内可产生一定量的渗液。无气的肺缩小,密度增高,可并发肺炎或支气管扩张。
阻塞性肺不张的X线表现与阻塞的部位和不张的肺内有无已经存在的病变或并发感染有关。阻塞可以在主支气管、叶或段支气管、细支气管,而导致一侧性、肺叶、肺段和小叶的肺不张。肺不张的范围不同,其X线表现也不同。
(1)一侧性肺不张:X线现为患侧肺野均匀致密,纵隔向患侧移位,肋间隙变窄(图3-1-7)。健侧肺可有代偿性肺气肿。

图3-1-7 一侧性肺不张
左侧支气管阻塞引起左侧全肺不张,显示左侧肺野均匀致密,
纵隔向患侧移位,肋间隙变窄,膈升高
(2)肺叶不张:不同肺叶不张的X线表现不同,但其共同特点是肺叶缩小,密度均匀增高,叶间裂呈向心性移位。纵隔及肺门可有不同程度的向患部移位(图3-1-8)。邻近肺叶可出现代偿性肺气肿。




图3-1-8 各肺叶肺不张
1)右肺上叶不张:后前位表现为右肺上叶缩小呈扇形,密度增高,水平裂外侧上移。上叶轻度收缩时,水平裂呈凹面向下的弧形,明显收缩时,上叶可表现为纵隔旁三角形致密影。肺门上提,甚至上半部肺门消失。中下叶肺纹理上移而疏散,并可有代偿性肺气肿。气管可右移。
2)右肺中叶不张:较为常见,后前位表现为右肺下野内侧靠心右缘现上界清楚下界模糊的片状致密影,心右缘不能分辨(图3-1-9)。侧位上表现为自肺门向前下方倾斜的带状或尖端指向肺门的三角形致密影(图3-1-9)。上、下叶可有代偿性肺气肿。
3)左肺上叶(包括舌段)不张:左肺上叶上部较厚,下部较薄。肺不张时,后前位表现为左肺上、中肺野片状模糊影,上部密度较高,下部密度较淡,边界不清,气管左移,心左缘不清,侧位上可见整个斜裂向前移位,不张的肺叶密度高、缩小。下叶呈代偿性肺气肿,而下叶尖部向上膨胀达第2胸椎水平。
4)下叶不张:两侧肺下叶不张均表现为肺下野内侧尖端在上,基底在下的三角形致密影,肺门下移,有时肺门下部消失。上、中叶有代偿性肺气肿。右肺下叶不张较左侧显示清楚,因左侧有心影重迭,但在斜位或过度曝光片上可以显示。侧位时,下叶不张表现斜裂向后下方移位,下叶密度高。

图3-1-9 右肺中叶肺不张(正、侧位)
(3)肺段不张:肺段不张(segmental atelectasis)较少见,单纯肺段不张,后前位一般呈三角形致密影,基底向外,尖端指向肺门,肺段缩小。
(4)小叶性不张:小叶性不张(lobular atelectasis)多见于支气管哮喘及支气管肺炎,由于多数末梢细支气管被粘液阻塞所致。X线表现为多数小斑片状影,其周围可有透明的气肿带。
(二)肺部病变 肺部病变的X线表现是大体病理改变在X线上的反映,从以下几方面讨论:
1.渗出与实变 机体的急性炎症反应主要表现是渗出(exudation)。渗出性病变的范围不同,在X线上表现为密度不太高的较为均匀的云絮状影,边缘模糊,与正常肺间无清楚界限(图3-1-10)。肺部急性炎症进展至某一阶段,肺泡内气体即被由血管渗出的液体、蛋白及细胞所代替,形成渗出性实变(consolidation)。渗出是产生实变常见原因之一。实变在大体病理上为肺泡内的空气被病理性液体或组织所代替。这些病理液体可以是炎性渗出液、血液及水肿液。见于肺炎、渗出性结核、肺出血及肺水肿等。由于病理性液体可以通过肺泡孔向邻近肺泡蔓延。因而病变区与正常肺组织间无截然分界,而呈逐渐称行状态。实变可大可小,多数连续的肺泡发生实变,则形成单一的片状致密影,边缘模糊,密度较均匀。多处不连续的实变,隔以含气的肺组织,则形成多数小片状致密影,边界模糊。小范围的实变随病变的进展可成为大片实变。如实变占据整个肺叶,其边界至叶间胸膜,则形成边缘锐利以叶间胸膜为界的全叶性实变(图3-1-11)。实变中心区密度较高,边缘区较淡。以浆液渗出或水肿为主的实变密度较低;以脓性渗出为主的实变密度较高;以纤维素渗出为主的实变密度最高。当实变扩展至肺门附近,则较大的含气支气管与实变的肺组织常形成对比,而在实变的影像中可见到含气支气管分支影,称支气管气像(air bronchogram)。

图3-1-10 渗出性病变
两肺浸润型肺结核,两肺第1~2前肋间出现边
缘模糊、密度不太高的云絮状影

图3-1-11 肺实变(右中叶大叶性肺炎)
相当于右肺中叶密度均匀增高,后前位上,上缘清楚,下缘模糊,
侧位上呈三角形致密影,尖端在肺门区
炎性渗液形成的实变,经治疗多数或在1~2周内吸收。在吸收过程中,由于炎性渗出液并非同时吸收,因而病变密度常失去其均匀的特点。
肺出血或肺泡性水肿所形成的实变,其形态可与肺炎相似,但其演变较炎性实变快,经适当处理,可在数小时或1~2日内完全消失。
2.增殖 肺的慢性炎症在肺组织内形成肉芽组织,为增殖性病变(proliferation)。由于增殖的成分多为细胞和纤维,故病变与周围正常肺组织分界清楚。常见于肺结核和各种慢性肺炎。
增殖性病变在X线片上一般不大。多局限于腺泡(呼吸小叶)范围内,呈结节状,称为腺泡结节样病变。其密度较高,边缘较清楚,呈梅花瓣样,没有明显的融合趋势,甚至多数病灶聚集在一起时,各个病灶的界限也较清楚。
3.纤维化 肺的纤维化(fibrosis),可分为局限性和弥漫性两类。局限性纤维化多为肺急性或慢性炎症的后果和愈合表现。见于吸收不全的肺炎、肺脓肿和肺结核等。肺组织破坏后,代之以纤维结缔组织,但病变较局限,对肺功能影响不大。反复发作且范围广泛的肺结核,也可发生较广泛的纤维化。
弥漫性纤维化常广泛累及肺间质,对肺功能影响较大。多见于弥漫性间质肺炎、尘肺、特发性肺间质纤维化、放射性肺炎、组织细胞增大症及结缔组织病等。
范围较小的纤维化,X线表现为局限性索条状影,密度高,僵直,与正常肺纹理不同,多见于肺结核及慢性炎症。
病变较大被纤维组织代替后,收缩形成密度高、边缘清楚的块状影。病变累及1~2个肺叶,可使部分肺组织发生瘢痕性膨胀不全,形成大片致密影,密度不均,其中可见密度更高的索条状影,有时可见由支气管扩张形成的低密度影。周围器官可被牵拉移位,如气管、纵隔向患侧移位,上肺野大量纤维化可拉肺门上提,使下肺野的纹理伸直呈垂柳状,多见于慢性肺结核及尘肺。
弥漫性纤维化依病变程度不同可表现为紊乱的索条状、网状或蜂窝状,自肺门区向外伸展,直至肺野外带,同正常纹理不同。在网状影像的背景上也可有多数弥散的颗粒状或小结节状影,称网状结节病变,多见于尘肺及慢性间质性肺炎。
4.钙化 钙化(calcification),一般发生于退行性变或坏死组织内,多见于肺或淋巴结干酪样结核灶的愈合。某些肿瘤组织内或襄肿壁也可钙化,如肺错构瘤、肺包虫病等。尘肺时肺门淋巴结、肺胞浆菌病及肺内转移性骨肉瘤也可发生钙化。
钙化X线表现为高密度影,边缘锐利,形状不一。可为斑点状、块状或球形,呈局限或弥散分布。肺内愈合的结核灶多位于两肺上野,形状不定,常伴有不规则的肺门淋巴结钙化。肺错构瘤内可以发生“爆玉米花”样钙化。尘肺时肺门淋巴结的钙化常为蛋壳样。
5.肿块 肺肿瘤以形成肿块(mass)为特征。肺良性肿瘤多有包膜,呈边缘锐利光滑的球形肿块,生长慢,一般不发生坏死。肺含液囊肿的X线表现与良性肿瘤不易区分,但含液囊肿可随深呼吸运动而有形态的改变。恶性肿瘤多无包膜,呈浸润性生长,故边缘多不锐利,并可有短细毛剌伸出。由于生长不均衡,其轮廓常呈分叶状或有脐样切迹(图3-1-12)。生长快,可发生中心坏死。

图3-1-12 肺肿块
右肺外围型肺癌,肿块呈分叶状,边缘清楚,密度均匀
肺转移性肿瘤常表现为多发、大小不等的球形病变。
非肿瘤性病变如结核球及炎性假瘤,也可形成肿块影,类似肿瘤,应结合其他X线表现及临床资料鉴别。
6.空洞与空腔 空洞(cavity)为肺内病变组织发生坏死,坏死组织经引流支气管排出而形成。X线表现为大小与形状不同的透明区(图3-1-13)。见于肺结核的干酪样坏死病变、肺脓肿、肺癌及某些真菌病。空洞壁可由坏死组织、肺脓肿、肺癌及某些真菌病。空洞壁可由坏死组织、肉芽组织、纤维组织、肿瘤组织或洞壁周围的薄层肺不张所形成。依病理变化可分为三种:
(1)虫蚀样空洞:又称无壁空洞,是大片坏死组织内的空洞,较小,形状不一,常多发,洞壁为坏死组织。X线表现为实变肺野内多发小的透明区。轮廓不规则,如虫蚀状。见于干酪性肺炎。

图3-1-13 空洞的三种形态
(2)薄壁空洞:洞壁薄,壁厚在3mm以下,由薄层纤维组织及肉芽组织形成。X线表现为境界清晰、内壁光滑的圆形透明区。一般空洞内无液面,周围很少有实变影。常见于肺结核。
(3)厚壁空洞:洞壁厚度超过3mm。X线上,空洞呈形状不规则的透明影,周围有密度高的实变区。内壁凹凸不平或光滑整齐。多为新形成的空洞。见于肺脓肿、肺结核及肺癌。结核性空洞常无或仅有少量液体,而肺脓肿的空洞内多有明显的液面。癌瘤内形成的空洞其内壁多不规则,呈结节状。
空腔(aircontaining space)是肺内腔隙的病理性扩大,如肺大泡、含气肺囊肿及肺气囊等。空腔的X线表现与薄壁空洞相似,但较空洞壁薄,一般腔内无液面,周围无实变。襄状支气管扩张亦属空腔,但其中可见液面,周围可见炎性实变。
7.肺间质病变 肺间质病变是发生在肺间质的弥慢性病变,主要分布于支气管、血管周围、小叶间隔及肺泡间隔,而肺泡内没有或仅有少许病变。
许多肺部疾病和某些全身性疾病可发生肺间质病变。如感染(包括细菌、病毒和霉菌)、沿淋巴管播散的癌瘤、早期粟粒性肺结核、寄生虫病、组织细胞病X、尘肺、结缔组织病、特发性间质纤维化、热带嗜伊红细胞增多症以及间质性肺水肿等。
肺间质病变的X线表现与肺实质病变不同,多表现为索条状、网状、蜂窝状及广泛小结节状影。有时网状影与小结节状影同时存在。诊断应结合临床病史及其他检查。
(三)胸膜病变
1.胸腔积液 多种疾病可累及胸膜产生胸腔积液(pleural effusion),病因不同,液体的性质也不同。胸膜炎可产生渗出液;化脓性炎症则为脓液;心肾疾病、充血性心力衰竭或血浆蛋白过低,可产生漏出液;胸部外伤及胸膜恶性肿瘤可为血性积液;颈胸部手术伤及淋巴引流通道、恶性肿瘤侵及胸导管及左锁骨下静脉,均可产生乳糜性积液。X线检查能明确积液的存在,但难以区别液体的性质。胸腔积液因液量的多少和所在部位的不同,而有不同的X线表现。
(1)游离性胸腔积液:依积液量而表现不同:
少量积液:液体首先聚积于后肋膈角,故站立后前位检查难以发现,需使患者向一侧倾斜达60°或取患侧在下的水平投照,才能发现液体沿胸壁内缘形成窄带状均匀致密影。液体量在300ml以上时,侧肋膈角变平、变钝。透视下液体可随呼吸体位改变而移动,借以同轻微的胸膜肥厚、粘连鉴别。
中量积液:液体量较多时,由于液体的重力作用而积聚于胸腔下部的肺四周,表现为下肺野均匀致密,肋膈角完全消失。膈影不清(图3-1-14)。由液体形成的致密影的上缘呈外高内低的斜形弧线。此弧线的形成是由于胸腔内的负压状态、液体的重力、肺组织的弹性、液体的表面张力等作用所致。实际上液体的上缘是等高,但液体的厚度是上薄下厚,液体包绕肺的周围,当摄影时,胸腔外侧处于切线位,该部液体厚度最大,因而形成外侧和下部密度高,内侧和上部密度低。
大量积液:患侧肺野均匀致密,有时仅肺尖部透明。纵隔常向健侧移位,肋间隙增宽。

图3-1-14 右侧胸腔中量积液
右下肺野均匀致密,肋膈角与膈影不能分辨,
上缘模糊不清,心脏左移
(2)局限性胸腔积液:包裹性积液:胸膜炎时,脏、壁层胸膜发生粘连,使积液局限于胸腔的某一部位,为包裹性积液(encapsulated effusion)。好发在侧后胸壁,偶发于前胸壁及肺尖,也可发生于纵隔旁,发生于侧后胸壁者,切线位片表现为自胸壁向肺野突出的半圆形或梭形致密影,密度均匀,边缘光滑锐利,其上、下缘与胸壁的夹角常为钝角(图3-1-15)。发生于纵隔旁,积液可局限于上或下部。少量呈位于纵隔旁的三角形致密影,基底在下。液体量较多时,外缘呈弧形突出,侧位表现纵隔密度增高,但无清楚边界。

图3-1-15 包裹性积液
叶间积液:叶间积液(interlobar effusion)发生在水平裂或斜裂。后者可局限于斜裂的上部或下部。后前位上X线诊断较难,侧位则易于识别。少量叶间积液侧位表现为叶间裂部位的梭形致密影,密度均匀,梭形影的两尖端与叶间裂相连。液体量多时,可呈球形。游离性积液进入斜裂时,常在斜裂下部,表现为尖端向上的三角形致密影。
肺下积液:聚积在肺底与膈之间的积液为肺下积液(infrapulmonary effusion)。多为单侧,以右侧多见。因液体将肺下缘向上推移,故X线表现为肺下野密度增高,膈影不见。而上缘呈上突的圆顶状,易误为膈升高。但肺下积液有以下特点:“膈圆顶”最高点偏外侧1/3,肋膈角变深、变锐;透视下见肝下界位置正常;向患倾斜600时,可见游离积液的征象;仰卧位透视,由于淮体流至胸腔背部,表现为侧肺野密度均匀增高,同时可见患侧膈项位置正常,并未升高。少数肺底胸膜粘连,而液体不能流动。可作USG以确定诊断。
2.气胸及液气胸
(1)气胸;空气进入胸腔则形成气胸(pneumothorax)。进入胸腔的气体改变了胸腔的负压状态,肺可部分或完全被压缩。
空气进入胸腔的途径有二:①壁层胸膜破裂:主要由胸壁穿通伤、胸部手术及胸腔穿剌引起。为治疗或诊断目的,将气体注入胸腔形成的气胸称人工气胸。②脏层胸膜破裂:肺部病变引起脏层胸膜破裂并没有肺或支气管病史,由于突然用力,剧烈咳嗽使胸内压突然升高,而致胸膜破裂使空气进入胸腔形成气胸。这样的气胸称自发性气胸。常见于严重的肺气肿、胸膜下肺大泡、表浅的结核性空洞及肺脓肿等。如胸膜裂口呈活瓣作用,气体只进不出或进多出少,则形成张力性气胸,使纵隔明显移向健侧。
气胸的X线表现是由于胸腔内气体将肺压缩,使被压缩肺与胸壁间出现透明的含气区,其中不见肺纹理(图3-1-16)。肺被压缩的程度与胸腔内气体多少成正比。气体首先自外围将肺向肺门方向压缩,被压缩肺的边缘,呈纤细的线状致密影,呼吸时清楚。大量气胸可将肺完全压缩,肺门区出现密度均匀的软组织影。纵隔可向健侧移位,患侧膈下降,肋间隙增宽。张力性气胸时,可发生纵隔疝。健侧肺可有代偿性肺气肿。发生胸膜粘连,可见条状粘连带影。多处粘连,可将气胸分隔为多房局限性气胸。

图3-1-16 右侧气胸伴右下胸膜粘连
右肺萎陷,向肺门收缩,密度高,压缩肺与胸壁间
透明,其中未见肺纹理,肺底有粘连带与膈相连
(2)液气胸:胸腔内液体与气体并存,为液气胸(hydropneumothorax)。可因胸腔积液并发支气管胸膜瘘、外伤、手术后以及胸腔穿剌时漏进气体而引起,也可先有气胸而后出现液体或气体与液体同时出现,明显的液气胸立位检查时可表现为横贯胸腔的液面,液面上方为空气及压缩的肺(图3-1-17)。气体较少时,则只见液面而不易看到气体。如有胸膜粘连,可形成多房性液气胸。

图3-1-17 液气胸
左肺萎陷,靠近纵隔,肺外有透明区,其中未见肺纹
理,下部致密,其上缘平直
3.胸膜肥厚、粘连、钙化 由于胸膜发生炎症引起纤维素沉着、肉芽组织增生或外伤出血机化,均可导致胸膜肥厚、粘连和钙化(pleural thickening,adhesion andcalcification)。胸膜肥厚与粘连常同时存在。轻度胸膜肥厚、粘连多见于肋膈角处,X线表现为肋膈角变浅、变平,呼吸时膈运动受限,膈顶变平直而不呈圆顶状。膈胸膜的粘连有时表现为膈上缘的幕状突起。广泛胸膜肥厚时,可显示为肺野密度增高,沿胸廓内缘出现带状致密影,肋间隙变窄,甚至引起纵隔向患侧移位。正常叶间胸膜有时可显影,呈发丝状,但如厚度超过1mm,则应考虑有胸膜肥厚。
胸膜钙化多见于结核性胸膜炎、脓胸及出血机化。也见于尘肺。X线表现为片状、不规则点状或条状高密度影。有时包绕于肺表面呈壳状,与骨性胸壁间有一透明隙相隔。
广泛的壁层胸膜肥厚可使肋间隙变窄、胸廓塌陷并影响呼吸功能。
四、肺与纵隔疾病X线表现与诊断
(一)支气管扩张症 支气管扩张症(bronchiectasis)是常见的慢性支气管疾病,多继发于支气管、肺的化脓性炎症、肺不张及肺纤维化。多见于儿童及青壮年。主要症状是咳嗽、咯血和咳大量脓血痰。痰多带臭味。常有呼吸道感染及反复发热。可有杵状指。
支气管扩张症的主要病因是:①慢性感染引起支气管壁组织的破坏;②支气管内分泌物淤积及长期剧烈咳嗽,引起支气管内压增高;③肺不张及肺纤维化对支气管产生的外在性牵引。这三个因素可互为因果,促成并加剧支气管扩张。支气管扩张多见于左下叶,其次为右中叶和下叶。
X线检查可以确定支气管扩张的存在、类型和范围。应首先作平片检查而后根据情况选用支气管造影。
早期轻度支气管扩张在平片上可无异常发现。对较明显的支气管扩张,则多能发现支气管扩张的某些直接和(或)间接征象。分述如下:①肺纹理的改变:支气管及肺间质的慢性炎症引起管壁增厚及纤维增生,表现为肺纹理增多、紊乱或呈网状。扩张而含气的支气管可表现为粗细不规则的管状透明影。扩张而含有分泌物的支气管则表现为不规则的杵状致密影。囊状扩张的支气管则可表现为多个薄壁空腔,其中可有液面。②肺内炎症:在增多、紊乱的肺纹理中可伴有小斑片状模糊影。③肺不张:病变区可有肺叶或肺段不张,表现为密度不均的三角形致密影,多见于中叶及下叶。肺膨胀不全可使肺纹理聚拢,失去其正常走行与分布。④慢性肺原性心脏病表现:见于病变广泛而严重的病例。
支气管造影可以确定支气管扩张的部位、范围及类型,为手术治疗提供重要资料。支气管扩张的造影所见分为柱状、囊状及混合型。柱状扩张,造影表现为支气管腔粗细不匀,失去正常时由粗渐细的移行状态,有时远侧反较近侧为粗。并发肺不张时,扩张的支气管可有聚拢现象;囊状扩张,造影表现为支气管末端呈多个扩张的囊,状如葡萄串。造影剂常部分充盈囊腔,在囊内形成液面;混合型扩张,表现为柱状和囊状扩张混合存在,病变多较广泛。
囊状支气管扩张应同先天性囊肿鉴别,后者壁薄,周围无炎性浸润而造影剂不能进入囊腔中。
(二)气管、支气管异物 气管、支气管异物(foreign body of trachea and bronchus )80%~90%见于5岁以下的儿童,偶见于成人。较大异物多停留在喉或气管内。较小异物多进入支气管内。下叶较上叶多见,右侧较左侧多见,因为右侧主支气管同气管连接较直,管腔也大于左侧,所以气流大,异物易被吸入。异物可以是不透X线的钉针、钱币及发卡等。也可以是可透X线的果核、花生米、豆粒等。
异物进入气管、支气管后,依异物大小,形状和是否固定,而可引起不同程度的阻塞及局部粘膜炎等病理改变。
部分性阻塞可以是呼气活瓣性阻塞或吸气活瓣性阻塞,前者异物固定,吸气时管腔略扩张,空气可以进入,但呼气时管腔变窄,空气排出因难而导致阻塞性肺气肿。吸气活瓣性阻塞,异物多可活动,随吸气下移,致使吸气时阻塞,使患肺含气量较健肺少。异物完全阻塞支气管,导致肺不张。异物本身对局部粘膜的剌激、损伤可引起充血、水肿、溃疡、肉芽组织增生及纤维组织增生。
X线表现是不透X线异物可在透视或摄影时直接显示其大小、形状及部位。可透X线异物则应在透视下注意观察呼吸道的梗阻情况,根据肺气肿、肺不张的位置与范围以及纵隔在不同呼吸时相的移动情况,间接推断异物的位置。必要时可于呼气及吸气相分别摄影。
气管内不透X线扁形异物如钱币由于需经过较窄的声门进入气管,故异物的窄面常与声门裂方向一致,在后前位上显示为纵形条状影,侧位则显示异物宽面。这一特点可与食管异物鉴别。食管为前后径小,横径宽的管腔,扁形异物进入后,后前位可显示异物宽面,而侧位时显示其窄面,恰与气管异物相反。
气管内异物多表现为呼气活瓣性阻塞,透视下两肺透明度高,呼气时密度改变不大。而且心影在呼气时反比吸气时小。此种反常现象对气管内非金属异物的诊断有重要意义。
支气管异物如为不透X线异物可直接显示,根据正侧位片,可以判断异物位于哪一支气管。
可透X线异物与不透X线异物均可因其阻塞程度的不同,是否合并感染,而引起不同的间接X线征象。这些间接征象对于推断可透X线异物的位置有重要意义。间接征象包括:①纵隔摆动:正常呼吸时,纵隔无左右摆动现象。支气管异物时,一侧支气管发生部分性阻塞,呼、吸气时两侧胸腔压力失去平衡,使纵隔发生两侧摆动。如为吸气性活瓣性阻塞,深吸气时纵隔向患侧移动;如为呼气活瓣性阻塞,则呼气时纵隔向健侧移动。②阻塞性肺气肿:常与纵隔摆动同时存在。表现为相应部位肺透明度增高,肺纹理稀少,呼气时表现明显。一侧性肺气肿说明异物位于患侧主支气管或其分叉处。如为肺叶性肺气肿,可根据气肿范围确定异物位置。③肺不张:为异物完全阻塞支气管所致,表现为一侧肺或某个肺叶、肺段的密度增高及体积缩小。④肺部感染:异物存留时间较久,相应肺叶可发生肺炎,表现为密度不均匀的片絮状模糊影象,甚至发生肺脓肿,出现含有液面的的空洞。
(三)肺炎 肺炎(pneumonia)为常见肺疾病,X线检查对病变的发现、部位、性质以及动态变化,可提供重要的诊断资料。按病变的解剖分布可分为大叶性肺炎、支气管肺炎(小叶性肺炎)及间质性肺炎。按病原菌的肺炎分类法对X线诊断无实用价值。
1.大叶性肺炎 大叶性肺炎(lobar pneumonia)多为肺炎双球菌致病。好发于冬春季,多见于青壮年。起病急,以突然高热、恶寒、胸痛、咳嗽、咳铁锈色痰为临床特征。血白细胞总数及中性粒细胞明显增高。
大叶性肺炎可累及肺叶的一部,也可从肺段开始扩展至肺叶的大部或全部,偶可侵及数叶。X线征象较临床出现晚3~12小时。其基本X线表现为不同形态及范围的渗出与实变。自应用抗生素以来,典型的大叶性实变已不多见,病变多呈局限性表现。
大叶性肺炎的早期,即充血期,X线检查可无阳性发现,或只表现为病变区肺纹理增多,透明度略低或呈密度稍高的模糊影。病变进展至实变期(包括红肝样变期及灰肝样变期),X线表现为密度均匀的致密影,如病变仅累及肺叶的一部分则边缘模糊。由于实变的肺组织与含气的支气管相衬托,有时在实变区中,可见透明的支气管影,即支气管气像。炎症累及肺段表现为片状或三角形致密影,如累及肺叶的轮廓一致(图3-1-11)。不同肺叶的大叶性实变形状各不相同。消散期的表现为实变区的密度逐渐减低,先从边缘开始。由于病变的消散是不均匀的,病变多表现为散在、大小不等和分布不规则的斑片状致密影。此时易被误认为肺结核,应予注意。炎症进一步吸收可只遗留少量索条状影或完全消散。临床上,症状的减轻常较肺内病变吸收为早,病变多在两周内吸收。少数患者可延迟吸收达1~2个月,偶可机化而演变为机化性肺炎。
2.支气管肺炎 支气管肺炎(bronchopneumonia)又称小叶性肺炎(lobular pneumonia),常见致病菌为链球菌、葡萄球菌和肺炎双球菌等。多见于婴幼儿、老年及极度衰弱的患者或为手术后的并发症。
支气管肺炎可由支气管炎和细支气管炎发展而来,病理变化为小支气管壁充血、水肿,肺间质内炎性浸润以及肺小叶渗出和实变的混合病变。病变范围常是小叶性的,但可融合成大片。如果细支气管有不同程度的阻塞,则可出现肺气肿或小叶性肺不胀。临床表现较重,多有高热、咳嗽、咳泡沫沾液脓性痰,并伴有呼吸因难、紫绀及胸痛等。发生于极度衰弱的老年时,因机体反应力低,体温可不升高,血白细胞数也可不增多。
X线表现是病变多发生在两肺中、下野的内、中带。支气管及周围间质的炎变表现为肺纹理增多、增粗和模糊。小叶性渗出与实变则表现为沿肺纺理分布的斑片状模糊致密影,密度不均(图3-1-18)。密集的病变可融合成较大的片状。病变广泛可累及多个肺叶。小儿患者常见肺门影增大、模糊并常伴有局限性肺气肿。

图3-1-18 支气管肺炎
肺门影增大,肺纹理增强、模糊,中、下肺
野可见沿肺纹理分布的斑片状模糊致密影
3.肺炎支原体肺炎 肺炎支原体肺炎(mycoplasmal pneumonia)系由肺炎原体引起。肺炎支原体较一般细菌小,较病毒大,大小为125~150nm。本病由呼吸道传染,多发于冬春及夏秋之交。一般为散发性,有时可为流行性。症状常轻微,可有疲劳、胸闷、轻咳,多不发热或仅有低热。少数可发热,剧烈干咳。多数患者冷凝集试验阳性。
肺炎支原体侵入肺部后,首先引起小支气管及肺间质的充血、水肿及炎性细胞浸润,继而发生肺泡的渗出与实变。
病变初期X线表现主要为肺纹理增多、模糊,可呈网状改变,继而出现局限性炎性实变,多在肺门区或其下方,形成密度稍高的片状影,边缘部分密度更淡。病变多局限于肺段内,一般不超过肺叶。发生于上叶的局限性实变应注意与浸润型肺结核鉴别。短期复查,本病多在1~2周内吸收,而肺结核在1~2个月内仍难以完全吸收。
4.间质性肺炎 间质性肺炎(interstitial pneumonia)系肺间质的炎症,可由细菌或病毒感染所致。多见于小儿,常继发于麻疹、百日咳或流行性感冒等急性传染病。临床上除原发急性传染病的症状外,常同时出现气急、紫绀、咳嗽、鼻翼扇动等,但体征较少。
病变主要侵及小支气管壁及肺间质,引起炎性细胞浸润。炎症沿淋巴管扩展并引起淋巴管炎及淋巴结炎。小支气管粘膜的炎症、充血及水肿可造成部分性或完全性阻塞,以致引起肺气肿或肺不张。肺泡也可有轻度炎性浸润。慢性者,除炎性浸润外多伴有不同程度的纤维结缔组织增生。
间质性肺炎的X线表现与以肺泡渗出为主的肺炎不同。病变较广泛,常同时累及两肺,以肺门区及中下肺野显著,但也可局限于一侧。表现为肺纹理增粗、模糊,可交织成网状,并伴有小点状影。由于肺门周围间质内炎性浸润,而使肺门轮廓模糊、密度增高、结构不清并有轻度增大。发生于婴幼儿的急性间质性肺炎,由于细支气管炎引起部分阻塞,则以弥漫性肺气肿为主要表现。可见肺野透明度增加,膈下降且动度减小,呼气与吸气相肺野透明度差别不大。
5.化脓性肺炎 化脓性肺炎(suppurative pneumonia)主要由溶血性金黄色葡萄球菌引起,多见于小儿及老年。感染途径分为原发或吸入性及继发或血源性。吸入性者常为流行性感冒及麻疹的并发症,血源性者系身体其他部位的金黄色葡萄球菌感染,如疖痈、蜂窝织炎、骨髓炎所引起的脓毒血症在肺内发生多发性腐败性肺梗死所致。
临床表现为发病急,高热、寒战、咳嗽、咳脓血痰、气急和胸痛。症状严重,病情变化快。暴发型者可在短期内出现外周循环衰竭,死亡率高。部分患者呈慢性迁延过程,病变经数月至半年仍不能完全治愈。
化脓性肺炎的病理改变与肺炎双球菌性肺炎相似,但化脓、坏死的倾向较大,引起肺实质与肺间质的化脓性改变。实质病灶中易有脓肿形成,常为多发。肺间质的化脓性坏死常与支气管相通,加上支气管壁的炎症水肿以及支气管的反射性痉挛,易发生活瓣性阻塞而形成气肿或肺气囊。继发血源性感染常引起肺的多发性脓肿。症变易侵犯胸膜。
X线表现是原发吸入性化脓性肺炎起病后短期内即可在肺内出现炎性浸润,呈密度高、边缘模糊的云絮状影。病变范围可以是小叶、肺段或大叶,并可在一日内扩展为两肺广泛的炎性浸润。在病变区无一般肺炎所能见到的支气管气像。病变发展,可在炎性浸润中出现脓肿,表现为含有液面的空洞。同时也可在不同部位出现大小不等的类圆形薄壁空腔,即肺气囊。一般肺气囊内无液面,但也可有少量液体。肺气囊变化快,一日内可变大或变小,一般随炎症的吸收而消散,偶可迟至数月后消失。本病易发生胸腔积液及脓胸,近胸膜的肺气囊穿破后可形成脓气胸。
继发血源性化脓性肺炎,由细菌栓子形成的腐败性肺梗死多分布在两肺的外围部分,X线表现为大小不一的球形病变,小者直径为数毫米,大者可为1~4cm,边缘较清楚。也可呈大小不一的片状致密影。病变中心可出现空洞及液面。
6.过敏性肺炎 过敏性肺炎(allergic pneumonia)系机体对某种物质过敏的反应所引起的肺部病变。亦称Löffler综合征。以肺游走性影像外及外周血内嗜酸粒细胞增多为特征。多认为过敏源为寄生虫毒素、某些药物或花粉等。症状轻微,可有轻咳、全身不适、少数可有哮喘、低热。有时患者仅感觉呼吸有时有物殊气味。不经治疗可自行消退,且激素治疗有明显效果。
过敏性肺炎的病理变化主要为肺内嗜酸粒细胞浸润及局限性神经血管性水肿。
肺部X线表现多种多样,可在肺内任何部位出现边缘模糊。密度稍高的云雾状影,影中仍可见肺纹理。病变改变迅速,呈游走性,数日内可以吸收而在其他肺野又出现新的病变。
(四)肺脓肿 肺脓肿(lung abscess)系由化脓性细菌细菌引起的肺坏死性炎性疾病。早期为化脓性炎变,继之发生坏死液化形成脓肿。分急性与慢性两种。感染途径可为①吸入性;为最常见的感染途径,如从口腔、鼻腔吸入含菌的分泌物、坏死组织或异物等。也可继发于大叶性肺炎、支气管肺炎或肺不张;②血源性:继发于金色葡萄球菌引起的脓毒血症,病变为多发性;③附近器官感染直接蔓延;如由胸壁感染、膈下脓肿或肝或肝脓肿直接蔓延累及肺部。
临床发病急剧,有高热、寒战,体温呈弛张型。开始咳嗽较轻伴有胸痛,而后咳嗽加剧,痰量剧增,可达数百毫升,为脓性,有腥臭味,放置后可分三层,有时痰中带血。慢性期,呈慢性消耗状态,有间歇性发热及持续性咳嗽、咳痰。可出现杵状指。
X线表现依病理发展阶段及有无胸膜并发症而不同。在急性化脓性炎症阶段,肺内出现大片致密影,边缘模糊,密度较均匀,可侵及一个肺段或一叶的大部。当病变中心肺组织发生坏死液化后,则在致密的实变区中出现含有液面的空洞,内壁略不规整(图3-1-19)。引流支气管呈活瓣性阻塞时,空洞可迅速增大。
慢性肺脓肿,周围炎性浸润部分吸收,而纤维结缔组织增生,X线表现为密度不均、排列紊乱的索条状及斑片状影,伴有圆形、椭圆形或不规则形的空洞。洞壁厚,内外壁边缘清楚,有或无液面。多房性空洞则显示为多个大小不等的透明区,体层摄影时尤为清楚。慢性肺脓肿附近的支气管多发生支气管扩张,造影时可显示支气管扩张、阻塞、偶尔造影剂可进入脓腔。可见多房相连,多支相通,多叶受侵的表现。并发脓胸及胸膜肥厚时,则肋膈角消失,肋间隙变窄,并可有肋骨骨膜增生。
血源性肺脓肿表现为两肺多发、散在、大小不等的圆形、椭圆形或片状致密影,以外围较多,部分病灶中可有小空洞形成,也可有液面。
由膈下脓肿或肝脓肿扩展引起的肺脓肿,可表现患侧膈升高、运动明显受限,沿膈面的肺野内有大片致密影,其中可见含液面的空洞,多伴有胸膜肥厚。
(五)肺结核 肺结核(pulmonary tuberculosis)是由人型或牛型结核杆菌引起的肺部慢性传染病。建国前流行广泛,建国后人民生活普遍提高,防治工作成绩卓著。现在肺结核的患病率与死亡率较建国初期均有明显下降。但目前仍不少见。X线检查对肺结核的防治有着重要作用。
肺结核的病理变化比较复杂。机体的免疫力和细菌的致病力都直接影响着病变的性质、病程和转归,所以肺结核的X线表现也是多样的。
结核杆菌侵入肺组织后所引起的基本病变是渗出与增殖。前者以结核性肺泡炎,后者以结核性结节肉芽肿为特征。在机体免疫力的影响下,未被吸收的渗出性病变可发生增殖性改变,增殖性病变周围也可出现渗出性病变。两者大多混合存在。
在机体抵抗力低下或未适当治疗时,结核病变可以恶化,发生以下几种改变:①干酪样坏死(caseous necrosis),为结核病变坏死的特征性改变,病变在渗出的基础上呈凝固性坏死,变为灰黄色似奶酪,故称干酪样坏死;②液化及空洞(liquification and cavitation),病变发生干酪样坏死后,继而发生液化,坏死物经支气管排出后即形成空洞;③播散(dissemination),结核病变中的结核杆菌可以通过淋巴管经胸导管进入血流,经右心、肺动脉造成肺内血行播散;直接进入肺静脉造成全身性血行播散;通过支气管播散到其他肺部;病变局部浸润至邻近肺组织。
机体抵抗力强和经适当治疗时,结核病变可通过以下几种方式愈合:①吸收,急性渗出性病变可被完全吸收而不留痕迹,轻微的干酪样变或增殖性病变也可大部吸收,仅残留少量纤维瘢痕;②纤维化,病变在吸收过程中伴有纤维组织增生,特别是增殖性病变,主要经纤维化而愈合,非液化的干酪样病可以被纤维组织包绕而形成结核球;③钙化,局限性干酪样病灶,在机体抵抗力增强的情况下,可脱水干燥而钙化;④空洞瘢痕性愈合,新形成的薄壁空洞,经有效治疗,洞内干酪样坏死物排出后,引流支气管闭塞,空洞内压下降,洞壁萎陷,肉芽组织及纤维组织增生而愈合;⑤空洞净化,为空洞临床愈合的一种形式。慢性纤维空洞难以闭合,经长期抗结核治疗,洞内细菌被消灭,支气管上皮可长入,痰内一直查不到结核杆菌,称为净化空洞。
肺结核的临床分类,对肺结核的防治很重要。但因肺结核具有复杂的临床、病理及X线表现,所以较难制订一个满意的分类。1978年全国结核病防治会议制定了我国新的结核病分类法。将肺结核分为五个类型:即①原发型(Ⅰ型);②血行播散型(Ⅱ型);③浸润型(Ⅲ型);④慢性纤维空洞型(Ⅳ型);⑤胸膜炎型(Ⅴ型)。并将活动性及转归分为三期:
进展期:凡具备下述一项者属进展,新发现活动性病变;病变较前恶化、增多;新出现空洞或空洞增大;痰内结核杆菌阳性。
好转期:凡具备下述一项者属好转,病变较前吸收好转;空洞闭合或缩小;痰内结核杆菌为阴性(连续3个月,每月至少查痰一次)。
稳定期:病变无活动、空洞闭合、痰内结核杆菌连续阴性(每月至少查痰一次)达6个月以上。如空洞仍然存在,则痰内结核杆菌须连续阴性1年以上。稳定期为非活动性肺结核,属临床治愈;再经观察2年,如病变仍无活动性,痰内结核杆菌仍持续为阴性,则作为临床痊愈,可认为“肺部健康”,如有空洞,需观察3年以上,才能作为临床痊愈。
如因缺乏对比资料而不能确定活动性时,可记“活动性未定”,一般应按活动性肺结核处理。
现按1978年制订的我国肺结核病分类方法,介绍各型肺结核的X线表现。
1.原发型肺结核(Ⅰ型) 原发型肺结核(primary trberculosis)为初次感染所发生的结核,多见于儿童,也见于青年。初期症状不明显,可有低热、轻咳、食欲减退、盗汗、无力及精神不振。有时婴幼儿发病较急,体温可达39~40℃,以后转为低热。一般无阳性体征,当病变范围较大或有增大的淋巴结压迫支气管致肺不张时,可有叩浊、呼吸音减弱等体征。
原发型肺结核X线表现可为原发综合征及胸内淋巴结结核。
(1)原发综合征:结核杆菌侵入肺部后,多在肺的中部近胸膜处发生急性渗出性病变,为原发灶。其周围可以发生不同程度的病灶周围炎。结核杆菌沿原发病灶周围的淋巴管侵入相应的肺门或纵隔淋巴结,引起淋巴管炎和淋巴结炎。原发病灶,淋巴管炎及淋巴结炎三者组成原发型肺结核的典型变化,为原发综合征
原发病灶及病灶周围炎X线表现为边界模糊的云絮状影,可大可小,大者可占据数个肺段甚至一个肺叶,婴幼儿以大叶型及肺段型多见。自原发病灶引向肺门的淋巴管炎可表现为数条索条状致密影,当病灶周围炎范围较大时则淋巴管炎及淋巴结炎可被掩盖而不能显示。肺门与纵隔增大的淋巴结表现为肿块影(图3-1-20)。原发病灶周围炎范围较小时,可以出现原发病灶-淋巴管炎-淋巴结炎三者组成的哑铃状双极现象。但此种典型征象并不多见。原发病灶周围炎范围较大时可误为大叶性肺炎,结合临床症状及肺门淋巴结增大可以鉴别。

图3-1-20 原发综合征
右侧下肺野靠近心右缘可见边缘模糊的云絮状影,
范围较大,肺门淋巴结增大,边界不清
(2)胸内淋巴结结核:原发病灶易于吸收消散,症灶较小时也常被掩盖。但淋巴结炎常伴不同程度的干酪样坏死,愈合较慢,当原发病灶已被吸收或被掩盖而不能发现时,则原发型肺结核即表现为肺门或纵隔淋巴结增大,为胸内淋巴结结核。
肺门及纵隔增大的淋巴结可分为结节型(肿瘤型)与炎症型。结节型者X线表现为圆形或椭圆形结节状影,常为数个淋巴结增大,其内缘与纵隔相连,外缘呈半圆形或分叶状突出,边界清楚(图3-1-21)。多出现于右侧气管旁及气管支气管淋巴群。气管隆突下淋巴结增大时,后前位片常不能显示,侧位片可显示增大的淋巴结位于气管隆突下方。

图3-1-21 胸内淋巴结结核
右侧肺门淋巴结增大,边缘清楚,内侧与纵隔影相续,肺门角不能看到
炎症型者主要为增大的淋巴结同时伴有淋巴周围炎,X线表现为肺门影增大,边缘模糊,无清楚边界。
婴幼儿支气管壁较软,可被增大的淋巴结压迫而引起肺不张,多见于右上、中叶。
原发型肺结核预后多较好,原发灶可以完全吸收或经纤维化、钙化而愈合。淋巴结内的干酪样病灶难以完全吸收,须逐渐通过纤维化、钙化而愈合。有时只部分愈合,成为体内潜伏的病灶。少数患者抵抗力低下,原发病灶可干酪样化、液化而形成空洞。原发灶及淋巴结内的干酪样坏死物可通过支气管播散到其他部位,形成干酪性肺炎,也可通过淋巴、血流而引起血行播散。
2.血行播散型肺结核(Ⅱ型) 根据结核杆菌进入血循环的途径、数量、次数以及机体的反应,可分为急性粟粒型肺结核(acute miliary tuberculosis)及慢性血行播散型肺结核(chronicdisseminated pulmonary trberculosis)。
(1)急性粟粒型肺结核:系大量结核杆菌一次或短期内数次进入血流,播散至肺部所致。发病急,可有高热、寒战、呼吸困难、咳嗽、头痛、昏睡以及脑膜剌激等症状。体检可无阳性体征,红细胞沉降率多增快,但结核菌素试验可为阴性。
粟粒型肺结核病灶小,透视常难以辩认,故拟诊急性粟型肺结核时应摄片检查。病变早期整个肺野可呈毛玻璃样密度增高。约10日后可出现均匀分布的1.5~2mm大小、密度相同的粟粒状病灶,正常肺纹理常不能显示(图3-1-22)。经过适当治疗后。病灶可在数月内逐渐吸收,偶尔以纤维硬结或钙化而愈合。病变恶化时,可以发生病灶融合,表现为病灶增大,边缘模糊,甚至形成小片状或大片状影,并可干酪样化而形成空洞。

图3-1-22 急性粟粒型肺结核
两肺野布满粟粒状病灶,分布均匀,肺门大
(2)亚急性或慢性血行播散型肺结核:系少量结核杆菌在较长时间内多次进入血流播散至肺部所致。患者抵抗力较强,症灶多以增殖为主,临床症状可不明显或有反复的发热、畏寒或轻度结核中毒症状如低热、盗汗、无力、消瘦等。
由于病灶系多次血行播散所形成,故X线表现为大小不一、密度不同、分布不均的多种性质的症灶(图3-1-23)。小者如粟粒,大者可为较大的结节状,主要分布于两肺上、中野,下野较少。早期播散的症灶可能已经钙化,而近期播散的病灶仍为增殖性或渗出性。本型结核发展较慢,经治疗新鲜病灶可以吸收,陈旧病灶多以纤维钙化而愈合。恶化时病灶可融合并形成空洞或逐渐转为慢性纤维空洞型肺结核。

图3-1-23 慢性血行播散型肺结核
两肺野布满大小不一、密度不同、分布不均的病灶,
下野较少,膈位置低而平
3.浸润型肺结核(Ⅲ型) 浸润型肺结核(inailtrative pulmonary tuberculosis)系继发性肺结核,为成年结核中最常见的类型,小儿极少。多为已静止的原发病灶的重新活动,偶为外源性再感染。因为机体已产生特异性免疫力,病变趋向局限于肺的一部,多在肺尖、锁骨下区及下叶背段。由于病变性质不同,多少不一,临床症状可相差悬殊,轻者无任何症状,可在查体时偶然发现。一般多有低热、乏力、咳嗽、盗汗等症状。严重者可有咯血、胸痛、消瘦。痰结核杆菌阳性率高,红细胞沉降率增快。
X线表现可多种多样,一般为陈旧性病灶周围炎,多在锁骨上、下区,表现为中心密度较高而边缘模糊的致密影(图3-1-10)。也可为锁骨下区出现新的渗出性病灶,表现为小片云絮状影,范围较大时可呈肺段或肺叶性浸润,症变的发展过程较为复杂,早期渗出性病变可以完全吸收,但一般多呈时好时坏的慢性过程,故可有渗出、增殖、播散、纤维和空洞等多种性质的病灶同时存在(图3-1-24)。
浸润型肺结核还包括结核球及干酪性肺炎两种物殊类型的病变。

图3-1-24 左肺浸润型肺结核空洞形成
左肺上野第2前肋间边缘模糊的致密影,其中可见空洞
(1)结核球:结核球(tuberculoma)为纤维组织包绕干酪样结核病变而成。系因空洞引流支气管阻塞,空洞被干酪样物质充填所致。可呈圆、椭圆及分叶状。多为直径2~3cm的单发球形病变,也可多发。多见于锁骨下区,但可发生于任何部位。一般密度均匀,轮廓光滑,但中心可有小空洞存在。结核球内可以出现层状、环状或斑点状钙化影(图3-1-25)。结核球附近常有散在纤维增殖性病灶,常称为卫星灶。

图3-1-25 右肺结核球
右肺内带可见椭圆形致密影,轮廓光滑,内有斑状钙化
(2)干酪性肺炎:干酪性肺炎(caseous pneumonia)见于机体抵抗力极差,对结核杆菌高度过敏的患者。分大叶性及小叶性两种。大叶性干酪性肺炎为大片渗出性结核性炎变发生干酪样坏死而形成,范围较大,小叶性干酪性肺炎系由干酪空洞或干酪样化的淋巴结破溃经支气管播散而形成。临床症状急剧严重,有明显中毒症状如高热、恶寒、咳嗽、咳痰、胸痛、呼吸困难和痰中带血等。
大叶性干酪性肺炎X线表现为一个肺段或肺叶的大部呈致密性实变,轮廓与大叶性肺炎相似,但密度较大叶性肺炎为高(图3-1-26)。在高电压摄影或体层摄影时,可见大片实变中有多处密度低的虫蚀样空洞影。小叶性干酪性肺炎常表现为两肺内分散的小叶性致密影,有时与大叶性干酪性肺炎同时存在。
4.慢性纤维空洞型肺结核(Ⅳ型) 慢性纤维空洞型肺结核为肺结核的晚期类型。多由其他类型肺结核的恶化、好转与稳定交替发展而来。由纤维厚壁空洞、广泛的纤维性变及支气管播散病灶组成病变的主体。此外,广泛的纤维组织增生可引起代偿性肺气肿、支气管扩张及慢性肺原性心脏病等。患者有反复的低热、咳嗽、咳痰、咯血、胸痛、盗汗、气短及食欲不振等症状。有些患者代偿功能好,可无明显症状,但痰内结核杆菌阳性,成为肺结核的重要传染源。本型结核预后不良,多数患者最后死心于心肺功能衰竭。极少数患者病情可好转,空洞消失或净化,纤维组织广泛增生成为以纤维化为主的稳定状态。
5.胸膜炎型(Ⅴ型) 结核性胸膜炎多见于儿童与青少年。胸膜炎可与肺部结核同时出现,也可单独发生而肺内未见病灶。前者多系邻近胸膜的肺内结核病灶直接蔓延所致;后者多系淋巴结中的结核杆菌经淋巴管逆流至胸膜所致。临床上分为干性及渗出性结核性胸膜炎。
(1)结核性干性胸膜炎:系指不产生明显渗液或仅有少量纤维素渗出的胸膜炎。临床以发热,胸部剧烈针剌样疼痛,呼吸及咳嗽时加剧为特点。听诊可有胸膜摩擦音。部分患者可自行愈合或遗留轻微胸膜粘连。多数患者继续发展而出现胸腔积液。X线检查可无异常发现或仅出现患侧膈运动受限。
(2)结核性渗出性胸膜炎:多发于初次感染的后期。此时机体对结核杆菌过敏性高,易产生渗液。其他类型结核也可发生。多为单侧,液体一般为浆液性,偶为血性。临床可有发热、恶寒、胸痛等症状。液量较多时可出现气急,甚至紫绀。经治疗后液体可完全吸收。病程较长,有大量纤维素沉着,则引起胸膜肥厚、粘连甚至钙化。
渗出性胸膜炎的X线表现已在基本病变的X线表现中叙述。单纯X线检查不能确定胸腔积液的性质及原因,需结合临床资料确诊。
(六)胸部外伤 急性胸部外伤,常为骨折、胸部异物、气胸、液(血)气胸及肺挫伤等。X线检查目的是了解胸部外伤情况。如病情危急则应先行抢救,待病情允许时再行X线检查。
1.骨折
(1)肋骨骨折:多见于第4~10肋骨。不全骨折或膈下肋骨骨折,易遗漏。须对肋骨逐条仔细观察。还须注意并发胸内损伤,如气胸、血胸、血气胸和气管支气管断裂等。
(2)胸骨骨折:发生于直接暴力击伤,如汽车互撞,驾驶盘撞击司机的胸骨等,常为胸骨体横行或斜行骨折。移位或分离较少见,侧位片较易发现骨折。
2.胸部异物 胸部火器伤常伴有异物存留。非金属异物,X线检查不易发现。金属异物如弹片、弹头一般透视即可查出。检查时应注意异物的部位和形状以及胸部有无其他改变。
(1)胸壁异物:透视时嘱患者作深呼吸,胸壁皮下异物,异物移动方向与肋骨上下移动方向一致。转动患者至切线位,可见异物在胸壁内。推动胸壁软组织,则可见异物随之移动。
(2)胸内或肺内异物:深呼吸时,胸内或肺内异物的运动方向与肋骨上下移动方向相反。转动患者可见异物不能与肺分离。
(3)心脏异物:心脏异物患者常立即死亡,偶可见异物嵌于心肌或心包内,转动患者可见异物与心影不能分离,并随心脏搏动而移动。
3.气胸及液(血)胸 胸壁外伤使胸腔与外界相通,造成开放性气胸。某种挤压伤可引起肺泡及脏层胸膜破裂,也可造成气胸。开放性气胸时胸腔内压力等于大气压力,患侧肺完全萎缩,吸气时纵隔移向健侧,呼气时纵隔返回原位,甚至移向患侧,引起纵隔摆动。气胸如在胸膜破裂处形成活瓣性阻塞,则气体进入胸腔内且只进不出,或进多出少,胸腔内气体逐渐增多,压力增加,形成张力性气胸,此时心与纵隔严重向健侧移位。如肺撕裂或肋间血管破裂,可形成液(血)气胸。
4.肺挫伤 各种原因的胸部撞击或爆炸气浪对胸部冲击,胸廓可无损伤而伤及肺。撞击伤常伤及直接暴力的一侧,而爆炸伤和气浪冲击伤则多为两侧。常有胸痛及咯血。肺挫伤的病理改变为渗出液及血液渗入肺泡及肺间质。
X线表现为不规则的片状实变至大片实变,形状可不按肺叶或肺段分布。肺纹理增粗而模糊。
肺挫伤吸收较快,伤后24~48小时开始吸收,至1~2周可完全吸收而不留痕迹。
5.肺撕裂伤及肺血肿 严重的胸部闭合伤如汽车撞伤,可发生肺组织撕裂。肺外围胸膜下出现含气或含液(血)的薄壁囊肿。受伤初期常为肺挫伤影像所遮盖而不能发现,数小时至数日后肺挫伤逐渐吸收才能显示。X线表现为一个或多个单房或多房圆形或椭圆形的薄壁囊腔,囊内可有液面。有时囊腔完全为血液所填塞,很像肺肿瘤。外伤史及病变发展过程可帮助鉴别。血肿通常在数周至数月内逐渐缩小,约半年至1年可完全吸收,留下少许线条状瘢痕。
6.气管及支气管裂伤 气管、支气管裂伤比较少见,可发生在胸部闭合伤及穿通伤,往往伴纵隔其他脏器的破裂,病情比较严重。成年人常并发第1到第3肋骨前段骨折,儿童胸部弹性较好,可无骨折。气管裂伤常发生在近隆突处,而支气管裂伤大多在主支气管距隆突1~2cm处。症状有紫绀、胸痛、咯血、咳嗽、休克等。常并有颈部及上胸部皮下气肿。
常见的X线表现为气胸,多为张力性。气体逸入纵隔可引起纵隔气肿及皮下气肿。张力性气胸并发纵隔气肿而无胸腔积液为气管支气管裂伤的重要征象。少量气体可从支气管断端逸出而停留在其附近的结缔组织内,X线上可见支气管外周有透明的气体影。断端移位,表现为透明的支气管腔有成角变形,状如上剌刀的步枪。亦可引起支气管阻塞及肺不张,但出现较晚。
气管支气管裂伤也可无X线征象。有时数年后才作出诊断。因此在发现第1~3肋骨前段骨折或胸骨骨折,临床疑有气管支气管裂伤时,应仔细观察,必要时增加曝光条件摄影或行体层摄影,以期尽早作出诊断,并行手术修补。
7.纵隔气肿及血肿 外伤性纵隔气肿发生于胸部闭合伤。由于突然增高压力。使肺泡破裂,气体进入肺间质内,形成肺间质气肿。气体再经肺门而进入纵隔,发生纵隔气肿。常并发气管、食管裂伤。临床症状为突然胸骨后疼痛,并放射到双肩及两臂,疼痛随呼吸、吞咽动作而加重,还可有咳嗽、呕吐、憋气等。纵隔气体可进入颈部及胸壁而出现皮下气肿。X线表现为纵隔两旁有平行于纵隔的气带影,在心影两旁特别明显。纵隔胸膜被推向外,呈线条状影。侧位片见气体位于胸骨后,将纵隔胸膜推移向后,呈线条状影。
纵隔血肿见于胸部挤压伤,少量出血可无异常X线表现。大量出血,X线表现为均匀对称性纵隔增宽。局限性纵隔血肿则表现为局部均匀软组织肿块,向肺野突出。
(七)肺肿瘤 肺肿瘤分原发性与转移性两类。原发性肿瘤又分良性及恶性。良性肺肿瘤少见。恶性肺肿瘤中98%为原发性支气管肺癌(primary bronchogenic carcinomaof lung)。少数为肺肉瘤。
1.原发性支气管肺癌 癌起源于支气管的上皮、腺体或细支气管及肺泡上皮。组织学上可分为鳞癌、未分化癌、腺癌及细支气管肺泡癌。
鳞癌为最常见的组织类型,约占肺癌的45~50%,多发生在肺段支气管以上较大的支气管。90%发生于男性。肿瘤中心易发生坏死。生长慢,转移晚。
未分化癌占肺癌的40%,男性多见。发病年龄较轻,可在40岁以下。生长快,转移早。
腺癌占肺癌的10%,男女发病率接近。多发生在外围小支气管。早期可发生淋巴、血行及胸膜转移。
细支气管肺泡癌少见,占肺癌的2%~5%,女性略多。肿瘤发展速度相差悬殊,某些病例发展迅速,可在数月内死亡,某些病例病程可长达数年。
按照肺癌发生的部位可以分为三型:即①中心型,系指发生于主支气管、肺叶支气管及肺段支气管的肺癌;②外围型,系指发生于肺段以下支气管直到细支气以上的肺癌;③细支气管肺泡癌,系指发生于细支气管或肺泡上皮的肺癌。这种以起源部位的分型尚不统一,有人主张将发生于肺段支气管的肺癌划归外围型,有人则主张将其分出,称为肺段型或中间型。
不同部位的肺癌可有以下几种生长方式:①管内型:癌瘤自支气管粘膜表面向管腔内生长,形成息肉或菜花样肿块。逐渐引起支气管阻塞;②管壁型:癌瘤沿支气管壁浸润生长。有时侵犯管壁较浅,使管壁轻度增厚,管腔轻微狭窄。也可侵及管壁全层,使管壁增厚呈结节状,管腔明显狭窄或阻塞;③管外型:癌瘤穿透支气管壁向外生长,主要在肺内形成肿块,支气管穿行于肿块中。以上三型多为中心型肺癌的生长方式;④肺段以下较小支气管的肺癌,由于管壁结构薄弱,很易侵入肺内或通过局部淋巴管的播散在肺小叶内生长,形成肿块。肿块可为结节分叶状或为边缘清楚或毛糙的球形肿块;⑤细支气管或肺泡上皮的肺癌,初期癌瘤可沿肺泡壁生长,形成孤立结节状肿块。晚期癌瘤可经支气管及淋巴管播散,而形成弥漫性肺炎样或粟粒状癌灶。



图3-1-24 右肺中心型肺癌伴肺门淋巴结转移
A.后前位 B.右侧位 C.侧位体层像
右肺门区可见圆形肿块影,边界清楚
体层摄影示肿块影边界不规则(→),
并见增大淋巴结向支气管突入
肺癌的临床表现取决于组织类型、发生部位及发展情况。早期可无症状或体征。有时是在查体中偶然被发现。症变发展可出现咳嗽、咯血、胸痛、咳痰、呼吸困难等症状。
中心型肺癌常引起支气管阻塞症状,并发感染后则有发热及咳脓痰等症状。如果转移至纵隔淋巴结,则可发生上腔静脉梗阻综合征,表现为气短和颈胸部静脉怒张。也可引起喉返神经和膈神经麻痹,常见于未分化癌。肿瘤蔓延至胸膜时,可发生胸痛和血性胸腔积液。肺泡癌弥散发展,常咳大量泡沫痰。发生于肺尖部位的肺癌称肺尖癌(pancoast瘤),可以侵蚀邻近椎体或肋骨,并可压迫臂丛神经而引起同侧臂痛,压迫颈部交感神经而引起Horner综合征即同侧眼睑下垂、瞳孔缩小和眼球下陷。还可以发生肺外症状,如许状指和肺性肥大性骨关节病(以鳞癌及腺癌多见)及内分泌症状如Cushing综合征(小细胞未分化癌多见)、甲状旁腺功能亢进等症状。内分泌症状的产生是由于不同类型的肺癌细胞分泌不同类似激素的物质而引起的。
X线表现因肿瘤发生部位而不同:
(1)中心型肺癌:肺癌早期局限于粘膜内,可无异常发现。病变发展,使管腔狭窄先引起肺叶或一侧肺的阻塞性肺气肿,但在实际工作中难于发现。不少患者由于支气管狭窄,引流不畅而发生阻塞性肺炎,表现为相应部位反复发作、吸收缓慢的炎性实变。继而癌瘤可将支气管完全阻塞而引起肺不张。肺不张的范围取决于肿瘤的部位。如肿瘤同时向腔外生长或(和)伴有肺门淋巴结转移时,则可在肺门形成肿块(图3-1-27)。发生于右上叶支气管的肺癌,肺门部的肿块和右肺上叶不张连在一起可形成横行“S”状的下缘(图3-1-28)。有时肺癌发展迅速、较大,其中心可发生坏死而形成空洞,多见于鳞癌,表现为内壁不规则的偏心性空洞。


图3-1-28 右上叶支气管肺癌(中心型)
A.后前位B.前后位体层像右上叶密度均匀增高,下缘清楚、上突,
与肺门肿块影形成似横置S状。体层像示肿块突入右支气管腔内
体层摄影或支气管造影对中心型肺癌的诊断有重要意义,支气管有以下几种改变(图3-1-29):①支气管内息肉样充盈缺损或软组织影;②支气管壁不规则增厚,管腔呈环状或不规则的狭窄;③管壁增厚,管腔呈锥状或鼠尾状狭窄及阻塞;④管壁明显增厚,管腔变窄,呈截断现象,断端平直或呈杯口状。
(2)外围型肺癌:早期较小,直径多在2cm以下。表现为密度较高、轮廓模糊的结节状或球形病灶,有时表现为肺炎样小片状浸润,密度可不均匀。癌瘤逐渐发展,结节状癌灶由于生长速度不均衡以及局部淋巴播散灶的融合,可形成分叶状肿块(图3-1-12);球形病灶如生长均衡,则可形成边缘较光滑的肿块;如呈浸润性生长则边缘毛糙常有短细毛剌(图3-1-30)。毛剌的形成与肿瘤浸润及癌性淋巴管炎有关。生长快而较大的肿块,边缘可锐利光滑,但中心可以坏死而发生空洞。





图3-1-29 中心型肺癌支气管狭窄、阻塞的支气管造影或体层摄影表现

图3-1-30 左肺外围型肺癌
体层摄影,左肺野可见圆形病灶, 边缘毛糙,有毛刺

图3-1-31 肺泡癌
两肺出现大小不等多发小结节影,右中下肺野病灶融合成一片致密影,肋膈角及膈均不见,指明有胸腔积液
(3)细支气管肺泡癌:早期可表现为孤立的结节状或肺炎样浸润影,其中可见含气的支气管或小的透明区,透明区系由于部分肺泡尚含有空气所致。晚期可表现为弥漫性病变,在一肺或两肺出现大小不等、境界不清的结节状或斑片状影,为腺泡结节状占位病变(图3-1-31)。进一步发展,这些病灶可以融合成大片絮状影,形成癌性实变。
(4)肺癌转移:多数肺癌首先转移至肺门和纵隔淋巴结,表现为肺门增大及纵隔旁肿块。中心型肺癌,有时原发癌与肺门转移淋巴结混在一起形成较大的肿块,易误为纵隔肿瘤。纵隔淋巴转移也可间接表现为气管,支气管的移位、食管受压、膈升高及予盾运动等。胸膜转移表现为胸腔积液。当大量积液与肺不张同时存在时,表现为一侧肺野密度增高,但无纵隔向健侧移位,也无肋间隙增宽,因为肺不张的牵引力与大量积液的推力相抵消。肺癌也可发生肺的转移,于肺野出现多发圆形致密影。沿淋巴管转移时,肺内可出理网状结节影。肺癌转移或直接蔓延至骨性胸廓,可发生胸骨、肋骨、锁骨及胸椎的破坏或病理骨折。还可通过血行转移至其他脏器。
肺癌的生长速度:在动态观察中常以肿瘤的倍增时间(doubling time)即肿瘤体积增长一倍所需的时间说明肿瘤生长的速度。对判断肿瘤良恶性有一定帮助。倍增时间少于30天者多为非癌性病变。肺癌的倍增进间平均为78~88天。若没有转移。当倍增时间大于60天时,预后较佳。如大于100天则的手术后5年生存率较高,手术切除率较大,反之,少于60天,则预后较差。
2.转移性肿瘤 人体许多部位的恶性肿瘤可以经血行、淋巴或由邻近器官直接蔓延等途径转移至肺部。所以在恶性肿瘤的诊断与治疗中,肺部X线检查被列为常规。发生在肺部转移的肿瘤依次为绒癌、乳癌、肝癌、胃癌、骨肉瘤、甲状腺癌、肾癌、前列腺癌、睾丸癌及肾胚胎瘤等。肺转移瘤的临床表现不一,多数患者因原发瘤已发展至晚期而以原发瘤的表现为主。常伴恶病质。某些患者可毫无呼吸道症状而在常规检查时发现。也有时原发瘤尚未被发现而已有肺部转移。有时原发瘤手术切除后数年又发生肺转移。肺转移瘤可引起咳嗽、胸痛、咯血和呼吸困难等症状。偶可引起自发性气胸。绒癌转移最易引起咯血,淋巴转移常有明显的呼吸困难。
血行转移:肿瘤细胞可经静脉回流至右心而发生肺转移。多表现为多发球形病变,密度均匀、大小不一、轮廓清楚似棉球状。以两肺中、下野外带较多,也可局限于一侧肺野。少数可为单发球形灶,应结合临床同原发性肺癌鉴别。血供丰富的原发瘤可以发生粟粒状转移表现为中、下肺野较多的粟粒状病灶,也可表现为多数小片状浸润,类似支气管肺炎。某些肺转移瘤中可以发生薄壁或厚壁空洞。骨肉瘤的转移瘤中可以出现钙化或骨化。
淋巴转移:系肺门及纵隔淋巴结的转移瘤逆行播散至肺内淋巴管,多发生于胃癌和乳癌。表现为两肺门或(和)纵隔淋巴结增大。自肺门向外呈放射状分布的索条状影,沿索条状影可见微细的串珠状小的致密点状影。肺外带纹理常呈网状。也可与血行转移并存。
邻近器官恶性肿瘤直接侵犯肺部:纵隔、胸膜和胸壁组织的恶性肿瘤,可直接蔓延至肺部,出现大小不等的转移灶。
(八)纵隔原发肿瘤 纵隔原发肿瘤(primary mediastinal tumor)的种类繁多。据国内报道发病率居前六位的有①神经原性肿瘤;②恶性淋巴瘤;③胸腺瘤;④畸胎瘤;⑤胸内甲状腺肿;⑥支气管囊肿。
纵隔肿瘤在早期无明显症状,或仅有胸骨后不适感及隐痛。肿瘤逐渐长大,压迫或侵及邻近器官、组织时,可出现压迫症状,上腔静脉受压时可出现颈静脉增粗,严重者头、颈、面部及上胸部出现水肿及青紫;气管受压时可出现剌激性干咳、呼吸急促;喉返神经受压时可出现声音嘶哑;交感神经受压时可出现Horner综合征;迷走神经受压,可出现心率慢、恶心、呕吐等;膈神经受压可出现呃逆及膈麻痹;食管受压,可出现吞咽困难,皮样囊肿或畸胎瘤破裂与支气管相通时,可咳毛发或豆渣状皮脂物的历史。10%~20%胸腺瘤患者伴有重症肌无力,有时患者因重症肌无力而就诊。15%~20%重症肌无力患者可有胸腺瘤。少数胸骨后甲状腺肿患者可有甲状腺功能亢进的症状。
纵隔原发肿瘤在X线诊断中应注意以下几点:①肿瘤的部位:起于纵隔某种组织的肿瘤,有其好发部位。所以根据肿瘤部位常可推测肿瘤的类别,如胸腺瘤、畸胎瘤和胸内甲状腺肿多发生在前纵隔;恶性淋巴瘤和支气管囊肿多发生在中纵隔;神经原性肿瘤多发生在后纵隔(图3-1-32);②肿瘤的形态与密度:分叶状及边缘不规则常为恶性的表现,例如淋巴肉瘤多呈分叶状且向两侧突出。支气管囊肿则为边缘十分锐利、光滑、密度均匀的圆形成椭圆形块影。畸胎性肿瘤的密度可不均匀,内含骨骼或牙;③肿瘤的活动;起源于甲状腺的肿瘤可随吞咽动作而上下移动;支气管囊肿则随呼吸运动而与气管活动一致。

图3-1-32 纵隔肿瘤发生部位
1.前纵隔肿瘤 常见者有胸腺瘤、畸胎瘤及胸内甲状腺肿
(1)胸腺瘤:胸腺瘤(thymoma)为前纵隔肿瘤中较常见的一种,有良性与恶性之分。良性者可有不同程度的囊性变,有完整的包膜;恶性者在生长过程中可突破包膜,侵犯邻近组织或发生转移。
X线表现是,肿瘤多位于前纵隔的中部偏上,少数可发生于上部或下部,发生于下部者多较大。可呈圆形、椭圆形或梭形,有时呈薄片状,恶性者多呈分叶状。肿瘤常向一侧肺野突出。肿瘤的密度高而均匀,有时可有斑片状钙化,囊性变时可有蛋壳样钙化。良性者边缘多光滑锐利;恶性者当穿破包膜侵入邻近组织时,边缘可毛糙不整,并可产生胸膜反应。
(2)畸胎瘤:畸胎瘤(teratoma)系先天性肿瘤,来自原始胚胎组织的残留物,在胚胎发育过程中,随心、大血管下降而入纵隔,以后逐渐演变而成。可分为囊性(皮样囊肿)和实质性两种。前者主要含有外胚层衍生物如毛发及皮脂物,伴少量中胚层衍生物,多为良性;后者则含有内、中、外三个胚层的衍生物如脂肪、毛发、牙、骨骼、腺体、呼吸道及胃肠道的组织等。可为良性或恶性。
X线表现是肿瘤多位于前纵隔中部、心与主动脉联接区,偶可发生于后纵隔。由于含有多种组织,故密度不均,有时其中可见透明间隙,并可有牙及骨骼影。皮样囊肿壁可发生蛋壳样钙化。良性者多为单侧突出的圆形或卵圆形肿块,边缘光滑。恶性者多呈分叶状。发生粘连,则边缘不规则。
(3)胸内甲状腺肿:胸内甲状腺肿(intrathoracic goitre)包括先天性异位及胸骨后甲状腺肿。前者少见,完全位于胸内。胸骨后甲状腺肿为颈部甲状腺沿胸骨后延伸进入上纵膈,多位于气管旁及其前方,也可伸入气管后方,多与颈部肿大的甲状腺相连。肿块可以是甲状腺肿、囊肿或腺瘤,恶性者少见。
X线表现是肿块位于前纵隔上部,多数连向颈部,为卵圆形或梭形。外缘清楚锐利,但其上缘因与颈部肿块相连常表现边缘不清。气管受肿块推挤,多向对侧和向后方移位。但伸入气管后方之肿块可使气管前移。肿块可随吞咽而上下移动,如发生粘连也可不移动。肿块内可有斑片状钙化。
2.中纵隔肿瘤 以恶性淋巴瘤及支管囊肿最常见。
(1)恶性淋巴瘤:恶性淋巴瘤(malignamt lymphoma)是发生在淋巴结的全身性恶性肿瘤。症理上包括淋巴肉瘤、何杰金病及网状细胞肉瘤。纵隔内病变多与颈部及全身淋巴结病变同时发生,也可先在纵隔发生,而后发展至其他淋巴结。淋巴瘤对放射治疗敏感,经小剂量照射(20~30Gy)即可明显缩小,但不能完全治愈。
因为病变多同时侵及纵隔内多个淋巴结,故常呈分叶状,块影由纵隔向两侧突出,有时一侧明显,但很少为单侧。后前位上块影多在上、中纵隔,侧位上多在中纵隔气管与肺门附近。生长较大时可由中纵隔侵及前纵隔。气管常受压变窄。肿瘤可经肺门沿肺间质向肺内浸润,也可侵及胸膜及心包而产生胸腔积液和心包积液。
(2)支气管囊肿:支气管襄肿(bronchogenic cyst)是胚胎期原始前肠的气管芽突脱落的胚胎组织演变而成。多位于气管旁或气管分叉附近。壁薄,其中含有液体,内壁与支气管粘膜相似。一般与支气管不通,属良性,发展慢,症状不明显。
X线是表现是囊肿多位于纵隔上部,侧位上囊肿在中纵隔气管周围,可在气管之前方或后方,多附于气管壁上。囊肿多为卵圆形,边缘锐利、光滑,无分叶现象。密度均匀,无钙化。由于囊肿较柔软,深呼吸时其形态可以改变,呼吸时可随气管活动。
3.后纵隔肿瘤 神经原性肿瘤为后纵隔肿瘤中最常见者。有良、恶之分,多为良性。良性者包括神经纤维瘤(neurofibroma)、神经鞘瘤(neurilemmoma)、节细胞神经瘤(ganglioneuroma);恶性者有神经纤维肉瘤(neurofibrosarcoma)及神经母细胞瘤(neuroblastoma)。绝大多数神经原性肿瘤位于后纵隔脊柱旁沟内,但偶可发生于前、中纵隔。有时神经原性肿瘤发生于椎间孔,呈哑铃状,一端在椎管内,另一端在纵隔内,可以产生神经压迫症状。
肿瘤好发于后上纵隔,X线表现为向一侧突出的肿块影,侧位上与脊柱重叠。肿块多为圆形或椭圆形,边缘清楚锐利。发生于椎间孔者,可压迫椎间孔使之扩大,并可压迫肋骨头及脊椎,产生边缘光滑的压迹。恶性者可呈分叶状,侵蚀邻近骨骼而发生破坏。神经母细胞瘤内可发生钙化。节细胞神经瘤常呈三角形。
纵隔肿瘤的共性X线表现是纵隔肿块引起的纵隔增宽,为了诊断准确应注意掌握每种肿瘤的特点,并作好鉴别诊断。在诊断中应注意以下几种病变的鉴别:
纵隔肿瘤与靠近纵隔的肺部肿瘤的鉴别:发生于肺野内带与纵隔邻近的肺部肿瘤,可被误认为纵隔肿瘤,应注意结合病史、转动透视及体层摄影进行鉴别。其鉴别要点如下:①肺内肿块,一般可随呼吸而上下移动,纵隔肿瘤一般则无上下移动;②肺内肿块当旋转至某一位置时,有时可见肿块与纵隔边界之间有密度减低的的间隔带,或见密度高的线条影,代表肺部肿块与纵隔胸膜互相重叠的边界线;③肺内肿瘤贴近纵隔的基底部,长度常小于肿块的最大径,且肿块边缘与纵隔边缘间的夹角为锐角。但当纵隔肿瘤生长巨大时也可出现这一征象;④气管及食管移位显著时,肿块位于纵隔内的可能性大。
纵隔肿瘤与非肿瘤性纵隔增宽的鉴别:①胸椎结核形成的椎旁脓肿,自脊椎旁向两侧突出可误为纵隔肿瘤。注意两侧较对称的梭形肿胀及在侧位片上见到相应部位脊椎的骨质破坏,则不难鉴别;②食管贲门失弛缓症,食管明显扩张,可向一侧突出,而被误认为纵隔肿瘤。在增宽的食管影中有时可见到食管内的液面,结合病史,行食管钡剂透视则可确诊。
纵隔肿瘤与纵隔淋巴结结核的鉴别:纵隔内增大的淋巴结,可误为中纵隔肿瘤或囊肿。纵隔淋巴结结核多发生在右上纵隔气管旁,80%为单侧,其外缘锐利,有时呈分叶状,多为儿童或青年。鉴别困难时作1:10000结核菌素试验,结核为强阳性。
纵隔肿瘤与主动脉瘤的鉴别:主动脉瘤在各个位置透视或照片上均表现为肿块与主动脉壁不能分开,且有一连续性弧线。主动脉瘤透视可见主动性搏动。但有时因血栓形成,搏动也可不明显。当纵隔肿块贴近主动脉壁时,透视下常难以区分其搏动为主动性或传导性。主动脉瘤患者年龄多较大,一般在45岁以上,可有梅毒、高血压、外伤、突然胸痛等史。体检可有高血压或主动脉瓣区杂音。梅毒性者梅毒血清反应阳性。主动脉瘤有时并发左心室增大。发生于降主动脉的动脉瘤,搏动作用于邻近椎体前缘,可形成弧形压迹。鉴别困难时,可行主动脉造影确诊。
第二章 心与大血管
影像诊断,对于心、大血管疾病的诊治,具有非常重要的价值。它不仅可以观察心、大血管的外形轮廓,而且还可观察与研究心、大血管的内部状态,如心、大血管壁的厚度、房室间隔和瓣膜等。另外心、大血管动态功能的观察也是一个重要的方面。
近代一些新成像技术的进展和临床应用如超声心动图、CT、核素显像、MRI等极大地弥补了传统X线检查的不足。使心血管疾病的临床诊断更加准确可靠。
由于影像检查技术和方法多种多样,每种检查技术和方法均具有各自的特点和应用范围,因此必须做到最佳选择,设计出合理的检查程序,最快最省的作出诊断。
就目前我国的实际情况,心、大血管的USG和传统X线检查是最常用和首选的影像检查方法,能明确许多心、大血管疾病的诊断。核素显像、CT和MRI在适当的患者可选择应用,能解决一些USG和X线检查不能解决的诊断。并且还可进行一些生理功能的研究,如血液动力学的观察。
第一节 X线诊断
心、大血管的X线诊断,具有非常重要的价值:①心脏X线平片以发现USG难以发现的异常,如主动脉瘤,主动脉缩窄,主动脉夹层和心、大血管旁肿块;②肺血管纹理的异常、增多和减少,有助于分析肺内血液动力学的异常——肺循环高压;③在肺原性心脏病,可观察、分析肺内病变的情况;④能发现胸部其他异常,如心包、胸膜的渗出、气胸、纵隔气肿、巨食管症、血管壁及瓣膜的钙化以及胸部骨骼的异常。因此,在临床工作中,目前仍为首选的检查方法。
一、X线检查方法
(一)普通检查 透视和摄影是最基本的方法,简单易行,应首先采用。
1.透视 透视的优点是可以从不同角度观察心、大血管的形状、搏动及其与周围结构的关系,还便于选择最适当的角度进行斜位摄影。
常采取站立后前位进行观察,注意心和大血管的大小、形状、位置和搏动。然后从不同的方向观察心各个房室和大血管的相应表现以及肺部血管的改变。
吞钡检查可观察食管与心、大血管的邻接关系,对确定左心房有无增大和增大的程度有重要价值。透视影像清晰度较差,时间也短促,需与摄影结合进行诊断。
2.摄影 摄影有后前位、右前斜位、左前斜位和左侧位四种。后前位是基本的位置,一般取立位,根据病情需要,再选择斜位或左侧位。
后前位:患者直立,靶片距离为2m,以减少心影放大率(不超过5%),有利于心径线测量和追踪对比观察。
右前斜位:患者从后前位向左旋转45°~60°,同时服钡观察食管,以确定左心房有无增大,还可观察肺动脉段突出与右心室漏斗部的增大。
左前斜位:患者从后前位向左旋转约60°,有利于观察心各个房室的增大和主动脉弓的全貌。
侧位:常取左侧位,可观察左心房和左心室的增大。
(二)造影检查 心血管造影是将造影剂快速注入心腔和大血管内,借以显示心和大血管内腔的形态及血液动力学的改变,为诊断心、大血管疾病并为手术治疗提供有价值的资料。
1.造影剂和造影设备
(1)造影剂:用于心血管造影的造影剂必须浓度高、毒性小和粘稠度低。目前常用的造影剂为60%或70%泛影葡胺,用量按体重计算,每公斤体重为1ml,超过50kg仍以50kg计算,儿童用量可略大,每公斤体重1~1.5ml。造影剂量应在允许范围内,以得到满意显影效果的最小剂量为好。如需再次注射,则两次注射的间隔时间至少应在30~40分钟以上,并透视肾和膀胱,须有大量造影剂排出后才能再次注射。总量一般不应超过每公斤体重2ml。高危患者可选用非离子型造影剂。
(2)压力注射器:为了得到满意的影像,必须在短时间内注入足量的造影剂,使心腔和大血管内有大量高浓度的造影剂,以产生良好的对比。一般要求每秒注入15~25ml,所用的压力为8~10×105Pa。注射造影剂的速度同注射压力、注射器的阻力、心导管的管径和长度以及造影剂的粘稠度等有关。电力推动的压力注射器,装有复杂的反馈装置或计算机,以根据心导管的管径、长度、接头的阻力、造影剂的粘稠度等,监测和计算机造影剂射出的速度。
(3)快速连续摄影设备:所用的X线机需要有大的容量,能在短时间内输出大量的X线,使曝光时间缩短。
目前采用三种快速连续摄影法:①双向快速摄影法;②电影摄影法;③磁带录像法。各有优缺点。快速摄影法有直接摄影和荧光摄影二种方式,直接摄影用普通大小的X线片,可显示影像的细微结构,每秒最多6张。荧光摄影以100mm片为合适,每秒可摄6张。电影摄影法,速度快,每秒可摄25~150幅图像。能见到造影过程中出现的病理现象,如细小的返流和分流。磁带录像法将荧光影像增强器上的影像记录下来,可立即并反复在电视屏幕上播放。因此,快速摄影法适用于显示心腔和血管腔形态变化,而电影摄影和磁带录像法则适于观察血液循环过程的变化。
数字减影心血管造设备:见总论DSA一章。
2.造影方法 根据造影目的,造影剂注入的方式和部位不同,现介绍几种造影方法:
(1)右心造影:先行右心插管,再经右心导管注射造影剂,显示右侧心腔和肺血管。主要适用于右心及肺血管的异常及伴有紫绀的先天性心脏病。
(2)左心造影:导管自周围动脉插入,导管尖送到左心侧心腔选定的部位。适用于二尖瓣关闭不全、主动脉瓣口狭窄、心室间隔缺损、永存房室共道及左心室病变。
(3)主动脉造影:导管经周围动脉插入,一般导管尖放于主动脉瓣上3~5cm处,能使升主动脉、主动脉弓和降主动脉上部显影,造影剂逆行到主动脉瓣处,可显示主动脉瓣的功能状态。适用于显示主动脉本身病变,主动脉瓣关闭不全,主动脉与肺动脉或主动脉与右心之间的异常沟通,如动脉导管未闭,主-肺动脉隔缺损,主动脉窦动脉瘤穿破入右心等。
(4)冠状动脉造影:用特制塑形导管,从周围动脉插入主动脉,使其进入冠状动脉内,行选择性血管造影。用于冠状动脉硬化性心脏病的检查,是冠状动脉搭桥术或血管成形术前必须的检查步骤。
血心管造影是一种比较复杂而有一定痛若和危险的检查方法,不要轻易进行。造影前应作好充分准备,包括必要的安全抢救措施。当全身情况极度衰竭,严重肝、肾功能损害;造影剂过敏试验阳性或过敏体质;心导管检查的禁忌证,如急性或亚急性细菌性心内膜炎及心肌炎;心力衰竭和严重冠状动脉病变,则不应进行这种检查。
二、正常X线表现
(一)心、大血管的正常投影 心分右房、右心室、左心房和左心室四个心腔。右心偏前,左心偏后,心房位于心室的后方,X线上,都投影在一个平面上。两心室之间有室间沟,心房和心室的交界有房室沟。这此标志,仅在透视下才能识别。心表面有脏层和壁层心包膜覆盖,两层之间为一潜在的腔隙,为心包腔,但均缺乏对比。
心和大血管在透视或平片上的投影,彼此重叠,仅能显示各房室和大血管的轮廓,不能见到其内部结构和分界。因此,必须用不同的位置投照,才能使各个房室和大血管的边缘显示出来(图3-2-1)。心、大血管的后前位、右前斜位、左前斜位和左侧位的摄影,分述如下;




图3-2-1 不同体位心、大血管结构投影示意图
1.后前位 正常心影一般是2/3位于胸骨中线左侧,1/3位于右侧,心尖指向左下,心底部朝向右后上方,形成斜的纵轴。心、大血管有左右两个边缘(图3-2-2)。

图3-2-2 后前位正常心、大血管影像解剖示意图
心右缘分为两段,其间有一明显的切迹。上段为升主动脉与上腔静脉的总合影,在幼年和青年主要为上腔静脉,其边缘平直,向上延伸至锁骨平面,升主动脉被上腔静脉遮盖。在老年,由于主动脉延长迂曲,升主动脉突出于上腔静脉边缘之外,呈弧形。心右缘下段为右心房所构成,弧度较大,膈位置较低时,心右缘最下部可能为右心室构成,密度亦较高。心缘与膈顶相交成一锐角称为心膈角,有时在心膈角内可见一向外下方倾斜的三角形影,为下腔静脉或肝静脉影,深吸气时明显。
心左缘分为三段:上段为主动脉球,由主动脉弓组成,呈弧形突出,在老年明显,儿童主动脉弓多与脊柱与脊柱重叠,主动脉球可以不明显;中段为肺动脉主干,但偶尔可为左肺动脉构成,称为心腰,又称肺动脉段,此段较低平或稍突出,儿童肺动脉可较突出,不是病理性扩张;下段由左心室构成,为一最大的弧,明显向左突出,左心室在下方形成心尖,如心尖伸入膈下则不易定位。左心室与肺动脉之间,有长约1.0cm的一小段,由左心耳构成,正常时,不能与左心室区分。左心室与肺动脉段的搏动方向相反,两者的交点称为相反搏动点,是衡量左右心室增大的一个重要标志,需透视才能确定,该点上下两侧心缘呈“翘翘板”样运动。肥胖人,左心膈角常有脂肪垫充填,为密度较低的软组织影。
降主动脉在一般曝光条件的胸片上不易显示,但老年则可沿脊柱向左侧弯曲而显影。肺动脉主干的分支在越出纵隔影以后,分别成为两肺门的主要组成部分。
2.右前斜位(第一斜位) 右前斜位,心位于胸骨与脊柱之间(图3-2-3)。
心前缘,自上而下由主动脉弓及升主动脉、肺动脉、右心室漏斗部、右心室前壁和左心室下端构成。升主动脉前缘平直,弓部则在上方弯向后行。肺动脉段和漏斗部稍为隆起。心尖以上大部分为右心室构成。心前缘与胸壁之间有三角形透明区,尖向下,称为心前间隙或胸骨后区。心后缘上段为左心房,下段为右心房,两者无清楚分界。心后缘与脊柱之间较透明,称为心后间隙或心后区。食管在心后间隙通过,钡剂充盈时显影。

图3-2-3 右前斜位正常心、大血管影像解剖示意图
3.左前斜位(第二斜位) 左前斜位,心、大血管影位于脊信的右侧(图3-2-4)。

图3-2-4 左前位正常心、大血管影像解剖示意图
人体旋转约60°角投照时,室间隔与中心X线接近平行。因此,两个心室大致是对称的分为左右两半,右前方一半为右心室,左后方一半为左心室。
心前缘上段为右心房,下段为右心室,右心房段主要由右心耳构成,房室分界不清。60°斜位投照时,心前缘主要由右心室构成,旋转45°角时,则整个心前缘可由右心房构成。右心房影以上为升主动脉,两者相交成钝角。心后缘可分为上下两段,上段由左心房,下段则由左心室构成。左心室段的弧度较左心房大,两个不同弧度的交接点,可作为两者的分界,深吸气时,在左心室段的下端常见一浅切迹,为室间沟,需在透视下确定。心后下缘与膈形成的心膈角内,可见下腔静脉进入心影内。正常时,心影膈面的宽度不等,膈位置低时,膈面短。在此斜位,还可显示胸主动脉和主动脉窗。通过主动脉窗可见气管分叉,主支气管和肺动脉。左肺动脉跨越左主支气管,并向后延伸。左主支气管下方为左心房影。
4.左侧位 侧位上,可见心影从后上向前下倾斜,心前缘下段为右心室前壁,上段则由右心室漏斗部与肺动脉主干构成。下段与前胸壁紧密相邻,上段心缘逐渐离开胸壁呈一浅弧,向上向后倾斜。再往上为升主动脉前壁,直向上走行。这些结构与前胸壁之间的三角形透亮区,称为胸骨后区。心后缘上中段由左心房构成,下段则由左心室构成,并转向前与膈成锐角相交,下腔静脉常在此角内显影。心后下缘、食管与膈之间的三角形间隙,为心后食管前间隙(图3-2-5)。

图3-2-5 左侧位正常心、大血管影像解剖示意图
(二)心、大血管的搏动 心左缘的搏动主要代表左心室的搏动。收缩期急剧内收,舒张期逐渐向外扩张。搏动幅度的大小与左心室每次搏动的输出量有关,输出量小则幅度小,输出量大则幅度大。左心室以上,可见主动脉和肺动脉的搏动,方向与左心室的搏动相反。当左心室收缩时,主动脉迅速向外扩张;舒张时,则缓慢内收。主动脉球搏动的幅度与脉压大小有关,脉压大,搏动幅度亦大。肺动脉的搏动与主动脉类似,但较弱。
心右缘的搏动代表右心房的搏动。右心室增大时,其强而有力的心室搏动可以传导至心右缘。右心房以上,如果主要是升主动脉组成,则可见到主动脉搏动。
(三)影响心、大血管形态的生理因素 正常心、大血管的形状和大小主要受体型、年龄、呼吸和体位的影向。
1.体型 正常心可分横位心、斜位心和垂位心三种类型(图3-2-6)。



图3-2-6 三种不同体型正常心形态
横位心:矮胖体格,胸廓宽而短,膈位置高,心纵轴与水平面的夹角小(小于45°),心与膈的接触面大,心胸比率常大于0.5。主动脉球明显,心腰凹陷。左前斜位室间沟位于膈面水平,心后缘可稍与脊柱重叠。
斜位心:体格适中(健壮型),胸廓形态介于其他两型之间,心呈斜位,心纵轴与水平面的夹角约45°,心与膈接触面适中,心胸比率约0.5,心腰平直。右前斜位肺动脉段和右心室漏斗部平直或稍凸起。左前斜位心膈面适中。此型最常见,绝大多数青年壮年为斜位心。
垂位心:体格瘦长(无力型),胸廓狭长,膈位置低,心影较小而狭长,呈垂位,心纵轴与水平面的夹角大于45°,心与膈接触面小,心胸比率小于0.5,肺动脉段较长、稍突。右前斜位肺动脉段和右心室漏斗部可膨隆,吞钡食管于心后无明显压迹。左前斜位,室间沟位于膈上,主动脉窗较小。
2.年龄 婴幼儿心接近球形,横径较大,左右两侧大致对称,主要是由于膈位置高和右心相对较大所致。由于胸腺与心血管影重叠,使心腰分界不清,并使心底纵隔影增宽。年龄增长,膈位置下降,胸腔长度增加,心成为斜位心。据统计3周以内婴儿心胸比率为0.55,7~12岁为0.5,与成人接近或相同,老年的胸廓多较宽阔,膈位置高,心趋向横位心。
3.呼吸 平静呼吸时,心影形状和大小无明显改变。但在深吸气时,膈下降,心与膈面接触面减少,心影伸长,趋向垂位心。深呼气时膈上升,心呈横位心。呼吸运动还可改变胸腔内的压力和各心腔血容量,如闭住声门作强迫呼气时,胸腔内压力明显增高,静脉回流减少,胸腔内血容量亦减少,透视下,可见心影明显缩小,吸气时则血液向心回流增多。心大小立即恢复原状。
4.体位 平卧时膈升高,心上移,呈横位心。由于体静脉回流增多,上腔静脉影增宽,心影增大。立位时,膈下降,心影伸长。右侧卧位,心影向右侧偏移,右心房弧度加深;左侧卧位,心向左偏移,右心房弧度变浅,下腔静脉可清楚显示。这些改变,均与重力和膈位置有关。
(四)正常心血管造影 心血管造影可显示心、大血管内腔的解剖结构,并可动态观察其功能情况。应分别观察腔静脉与右心房、右心室与肺动脉、肺静脉与左心房、左心室与主动脉和冠状动脉。
腔静脉与右心房:上腔静脉位于上纵隔右侧,侧位则位于气管之前方,向下与右心房相连,二者无清楚分界。下腔静脉短,过膈后即汇入右心房。右心房呈椭圆形,居脊柱右缘,其大小与形状在收缩期和舒张期有明显差别(图3-2-7)。
右心室与肺动脉:右心室于前后位上呈圆锥状,下缘为流入道,左缘为室间隔面,右缘为三尖瓣口。顶端为流出道,呈锥状。侧位,右心室位于心影前下方,与右心房有部分重迭。肺动脉干与右心室流出道相续。向上行分为左右肺动脉。Vasalva窦呈袋状膨隆。肺动脉干向后上斜行(图3-2-7)。


图3-2-7 正常腔静脉,右心房、室造影示意图


图3-2-8 正常肺静脉、左心房造影示意图
a.上肺静脉b.下肺静脉
肺静脉与左心房:两侧肺静脉分支于肺门汇洽成上、下肺静脉两支同左心房相连。左心房在前后位呈横置椭圆形,居中偏左,侧位呈纵置椭圆形,前下方与左心室相续(图3-2-8)。

图3-2-9 正常左心房、左心室、主动脉造影示意图
左心室及主动脉:左心室在前后位呈斜置椭圆形,侧位略呈三角形。流出道呈筒状,边缘光滑,其上端为主动脉瓣。主动脉瓣叶上方主动脉壁有三个袋状膨隆,为Valsalva窦。侧位,可观察胸主动脉全程。自主动脉弓发出无名动脉、左颈总动脉和锁骨下动脉(图3-2-9)。
冠状动脉:左冠状动脉起自左冠状窦外壁,分为前降支和回旋支,主要向左心供血。右冠状动脉起自右冠状窦侧壁,主干长,分为右圆锥支、心室支及右降支等。冠状动脉及分支在造影上走行自然,边缘光滑,逐渐变细。
三、基本病变X线表现
心、大血管疾病变通X线检查,多不能直接显示病变本身。诊断是根据心轮廓的改变,借以推测某些房室和大血管的增大或变小、搏动增强或减弱以及肺循环的改变。因此在分析X线表现时必须注意心、大血管的形态与肺循环的改变。为此,必须掌握各个房室和大血管的正常表现以及判断大小、形状等变化的标准,才有可能确立诊断。
(一)心及各房室增大 心增大是心脏病的重要征象,它包括心壁肥厚和心腔扩张,两者常并存。心壁肥厚可单独存在,主要是由于肺循环或体循环的阻力增加。单纯肥厚,心横径无明显增加。心腔扩张是容量增加引起的,主要来自分流,如间隔缺损或回流,如瓣膜关闭不全,一般较快地引起心腔普遍扩张。常是负担过重的或最早受损害的心腔首先扩张,而不是所有心腔都同时扩张,这有利于病变的诊断。心房与心室不同,房壁薄弱,在阻力增加或容量增加时,常以房腔扩张为主,一般无单纯代偿性肥厚。此外,心肌本身的损害如中毒性心肌炎,甲状腺功能亢进,粘液水肿等疾病,也可使心增大。对增大的心,很难从X线上将肥厚和扩张区别开来。因此,就X线表现而言,常统称之为增大,而不区别是肥厚或者是扩张。
确定心增大最简单的方法为胸比率法(图3-2-10)。心胸比率是心影最大横径与胸廓最大的横径之比。心最大横径取心影左、右缘最突出的一点与胸廓中线垂直距离之和,胸廓最大横径是在右膈顶平面取两侧胸廓肋骨内缘之间的最大距离。正常成人心影横径一般不超过胸廓横径的一半,即心胸比率等于或少于0.5。这是一种粗略的估计方法。

图3-2-10 心胸比率测量图
T1、T2:心横径,取心缘最突出部垂直于中
线;T:胸廓横径,于右膈顶取水平线达两侧
胸廓内缘;OO':胸廓中线
1.左心室增大 后前位,左心室段延长,心尖向下向左延伸(图3-2-11)。心尖居膈下显示在胃泡内,同时变钝、左移,越出锁骨中线。而正常心尖居膈水平且在锁骨中线以内。左心室段圆隆,心腰下陷。由于左心室段延长,致使相反搏动点上移。增大显著时,可推压右心室使心右缘下段右移和膨隆,也可推压左心房使其向后上方移位。同时心可向右旋转,使心腰凹陷更加明显。

图3-2-11 左心室增大
左前斜位,左心室段向后向下突出,与脊柱重叠,即使旋转60°时,仍不能分离,室间沟向前下移位。
侧位,食管和左心室段之间的正常三角形间隙可以消失,心后间隙变窄。
左心室增大常见的原因为高血压病、主动脉瓣关闭不全或狭窄、二尖瓣关闭不全及部分先天性心脏病如动脉导管未闭等。
左心室增大的X线表现如下:①心尖向下、向左延伸;②相反搏动点上移;③左心室段延长、圆隆并向左扩展;④左前斜位旋转60°时,左心室仍与脊柱重叠,室间沟向前下移位;⑤左侧位,心后间隙变窄甚至消失,心后下缘的食管前间隙消失。
2.右心室增大 后前位,可见心腰平直或隆起,肺动脉段延长,因而相反搏动点下移。心横径增大,主要向左扩展。左心室受压推移,心尖可由右心室构成,呈钝圆形,严重时可向上翘。右心室向右扩展,可将右心房推向右上方。增大显著时,心向左旋转,这下前方胸骨阻力、左心相对游离和右心较为固定等因素有关。旋转后,心腰更加突出,心室段可完全由右心室前壁组成,主动脉球则不明显(图3-2-12)。




图3-2-12 右心室增大
右前斜位,右心室段前缘呈弧形前突,心前间隙变窄甚至闭塞。肺动脉段和漏斗部隆起。
左前斜位,心膈面延长,心前缘下段向前膨隆,心前间隙下训变窄。左心室可被增大的右心室推向左后方,室间沟则随之向后上移位。心后缘可与脊柱重叠,它与左心室本身增大不同之处是右心室增大时最突出点的位置较高。
侧位,心前缘与前胸壁的接触面增大。同时漏斗部和肺动脉段凸起,此为右心室增大的一个重要征象。
右心室增大常见的原因为二尖瓣狭窄、慢性肺原性心脏病、肺动脉狭窄、肺动脉高压、心内间隔缺损和Follot四联症等。
右心室增大的表现如下①右心室主要向前、向左、向后增大,心呈二尖瓣型;②心腰变为丰满或膨隆;③相反搏动点下移;④右前斜位,心前缘下段膨隆,心前间隙变窄;⑤左前斜位,心室膈段增长,室间沟向后上移位。
3.左心房增大 左心房由体部和耳部组成。体部位于在左心室的后上方,在气管分叉之下,与左主支气管关系较密切,在食管之前,与之密切邻接,大部分心后缘由体部构成,心耳部是从体部左上方伸向前内的突起物,在正常情况下不能与左心室段区别。
左心房增大主要发生在体部,可向后、右、左及上四个方向增大。
后前位,左心房早期向后增大时,心轮廓不发生改变,但在心底部出现圆形或椭圆形密度增高影,常略偏右与右心房重叠,在过曝光照片上,容易显示,形成双心房影。如自心缘向右突出,则心右缘两个弓影之间出现另一弓影,即左心房的右缘,弧度较大,但从不向下伸延至膈平面。左心房向左增大时,可使胸主动脉下段向左移位。右心房增大较显著时,可使位于左心室段与肺动脉之间的心耳部增大,通常称第三弓,因之心左缘出现四个弓(图3-2-13)




图3-2-13 左心房增大
右前斜位,左心房向后或右后增大时,食管中段受压移位,压迹的上下缘很清楚。轻度增大时,食管仅前壁受压;中度增大,食管前后壁均有受压移位;显著者,食管明显后移。
左前斜位,左心房向上增大显著时,可压迫支气管,使气管分叉角度增大,心后上缘隆起,左主支气管受压抬高,甚至成水平位。
心房增大的主要原因为二尖瓣病变、左心室衰竭和一些先天性心脏病,如动脉导管未闭、心室间隔缺损等。
左心房增大的表现如下:①食管中段受压向后移位;②心右缘出现增大的左心房右缘形成的弓影,心底部双心房影;③心左缘可见左心耳突出,即第三弓影;④左主支气管受压抬高。
4.右心房增大 右心房亦分为体部和耳部,体部在心的右侧偏后,耳部则在其前上方偏左。
后前位,右心房增大,心右缘下段向右扩展、膨隆。但是其他心腔,特别是右心室增大时,可以压迫右心房而使其向右移位,故此为非特征性改变。显著增大时,弧度加长,最突出点位置较高,常有上腔静脉增宽(图3-2-14)。



图3-1-14 右心房增大
右前斜位,右心房增大,心后缘下段向后突出。左前斜位,则见心前缘上段膨隆延长,超过心前缘长度一半,为右心房耳部的增大。右心房增大可首先发生在心耳部。
右心房增大可见于右心衰竭、房间隔缺损、三尖瓣病变、肺静脉异位引流和心房粘液瘤等。
右心房增大的X线表现如下:①左前斜位,右心房段延长超过心前缘长度一半以上,膨隆,并与心室段成角;②后前位,心右缘下段向右扩展、膨隆,最突出点位置较高。
5.心普遍增大 后前位,心影向两侧增大,心横径显著增宽。右前斜位和侧位,心前间隙和心后间隙均缩小,食管普遍受压后移。左前斜位,支气管分叉角度增大,气管后移,多见于儿童心脏增大。增大的原因不一,常见的瓣膜疾病中,初始只有负担最大的一个心腔增大,最后,由于整个心肌代偿功能不全,心脏普遍增大。但增大的程度并不均等对称,经过分析,仍能对疾病的诊断作出估计。另一种情况是心肌本身损害或某些全身疾病影响心脏,心肌软弱无力,则心脏均等对称增大,如中毒性心肌炎、严重贫血等。
(二)心形状的改变 心各房室增大时,心形状亦发生改变,在后前位上可见三种心型:
1.二尖瓣型 后前位,呈梨形,心腰丰满或弧形突出,左心缘下段圆钝,心右缘下段较膨隆,主动脉球较小,常见于二尖瓣病变、慢性肺原性心脏病、心间隔缺损和肺动脉狭窄等。
2.主动脉型 后前位,呈靴形,心腰凹陷,心左缘下段向左扩展,主动脉球突出,常见于高血压病和主动脉瓣病变。
3.普遍增大型 心向两侧均匀增大,较对称,以心肌炎和全心衰竭最多见。心包积液时,心影可普遍增大,但非心脏本身增大。
(三)主动脉形状及密度的改变
1.形状改变 年龄大,血管弹力减低,血管壁损害亦使弹力减低或消失,如动脉粥样硬化或梅毒性主动脉炎。在血管弹力减低时,主动脉内压力增高或左心输出量增加,动脉即可扩张和延长。初期为动力性,久之则形成固定的迂曲、延长。增高的动脉内压力均匀地作用于整个主动脉,使血管普遍扩张和延长,如高血压病。但在某些情况,其影响仅限于主动脉局部,如较长期的主动脉瓣关闭不全,可仅见升主动脉扩张。
后前位,主动脉扩张或延长时,升主动脉和降主动脉向两侧分离,升主动脉外缘可越过心右缘下段,升主动脉与右心房的分界点下移,心更倾向于横位,降主动脉位于肺动脉主干之外,向左肺野膨出,主动脉球上移,可达到或超出锁骨水平。左前斜位,升主动脉向前弯曲,弓部向上突出,降主动脉向后弯曲移位,主动脉窗显示清楚,主动脉球在食管的压迹加深和上移。右前斜位,食管受降主动脉牵引而向背侧弯曲。
2.密度改变 主动脉密度增高有两种原因,一是管腔扩张,血容量增加,二是管壁增厚或钙化,两个因素常同时存在。长期高血压,弹力纤维和肌纤维均可肥厚,钙化可发生于主动脉的任何部分,多见于弓部,常呈线形或镰刀状。左前斜位和侧位,钙化的范围更容易显示。
(四)心、大血管搏动的改变 当心或大血管需要克服阻力和负担过重而仍有代偿功能时,则心搏动增强,幅度增大,频率不变;心力衰竭,则搏动减弱,幅度减小,频率加快;心搏动完全消失,一般为心包积液的表现;主动脉瓣关闭不全时,心和主动脉搏动显著增强;在某些高动力性循环的疾病如甲状腺功能亢进和贫血时,则心和主动脉搏动也均有增强。
(五)肺循环的改变 肺循环由肺动脉、肺毛细血管和肺静脉组成。通过肺循环沟通左右心腔。肺动脉和肺静脉是正常肺纹理的主要组成部分。
1.肺充血 肺充血是指肺动脉内血流量增多。后前位表现为肺动脉段膨隆,两侧肺门影增大,系肺动脉的扩张,边缘清楚,透视下,可见肺动脉段和两侧肺门血管搏动增强,即所谓“肺门舞蹈”(hilar dance)。肺野内的肺动脉分支向外周伸展,成比例地增粗,边缘清楚、锐利。长期肺充血,可促使肺小动脉痉挛、收缩,从而产生血管内膜增生,管腔变窄,最后引起肺动脉高压。肺充血常见于左向右分流的先天性心脏病,如房或室间隔缺损、动脉导管未闭等,亦见于循环血量增加,如甲状腺功能亢进和贫血等疾病。
2.肺瘀血 肺瘀血是指肺静脉回流受阻,血液淤滞于肺内。长期肺静脉压升高,肺小动脉发生痉挛、收缩和狭窄,久之,肺动脉压亦升高,右心室负担加重,引起肥厚和扩张。后前位,主要表现为肺静脉普遍扩张,呈模糊条纹状影,一般以中、下肺野显著,有时可呈网状或圆点状,肺野透明度显著减低,两肺门影增大,肺门血管边缘模糊,结构不清,在出现反射性血管痉挛时,下肺静脉收缩变细,上肺静脉扩张增粗。透视时,肺门影无搏动。肺瘀血严重时,在肋膈角附近可见到与外侧胸壁垂直的间隔线(Kerley B线),长约2~3cm,宽约1mm,为肺静脉压升高引起渗出液存留在小叶间隔内所致。肺瘀血常见原因为二尖瓣狭窄和左心衰竭等。
3.肺血减少 肺血减少是指肺血流量的减少,由于右心排血受阻所引起。X线上肺门血管细,肺门影缩小,右下肺动脉变细,肺纹理普遍细小、稀疏。肺野透明、清晰。正常肺动脉分支和其伴行支气管横断面基本相等,但在肺血减少时,肺动脉分支管径可明显小于支气管管径。严重的肺血减少。可由支气管动脉建立侧支循环,在肺野内显示为很多细小、扭曲而紊乱的网状血管影。肺血减少主要见于肺动脉狭窄、三尖瓣狭窄和其他右心排血受阻的先天性心脏病。
4.肺水肿 是由于毛细血管内液体大量渗入肺间质和肺泡所致。主要原因为毛细血管压和血浆渗透压之间失去平衡;毛细血管通透性发生改变。例如,毛细血管压增高或毛细血管壁通透性增加,液体就可认从毛细血管渗入肺组织。毛细血管压增高常见于肺静脉回流受阻。低血氧、贫血、低蛋白血症、菌血症的毒素和药物过敏反应,均可成为损害毛细血管壁的因素。肺水肿可分为间质性和肺泡性两种。
(1)间质性肺水肿:多为慢性,是左心衰竭引起肺静脉和毛细血管高压所致,也是肺瘀血进一步的发展。常无特殊症状。X线表现肺门模糊、增大,肺纹理模糊,中下肺野有网状影,肺野透明度减低。肋膈角区常见KerleyB线。还可有一种较少见的间隔线,即Kerley A线,表现为细长的线条影,多出现于肺野中央区,斜向肺门。常有少量胸腔积液。经过治疗,肺瘀血和肺水肿可于短期内消退。
(2)肺泡性肺水肿:常与间质性肺水肿并存。渗出液主要储集于肺泡内。急性可表现呼吸困难和有大量泡沫痰;慢性症状不明显。X线表现为一侧或两侧肺野有片状模糊影,以内、中带为多见。典型表现肺野呈蝶翼状,见于尿毒症和心脏病伴有左心衰竭患者。
5.肺栓塞及肺梗死 大多是周围静脉血栓或右心附壁血栓脱落进入肺动脉引起。肺动脉大分支栓塞,危及患者生命。临床上表现呼吸困难、心动过速、休克,甚至很快死亡。肺栓塞多涉及肺段动脉,可多发,好发生在下肺和肺底部。常见症状为胸痛、少量咯血和低热。一般需要2~4天才能形成典型的出血性坏死实变。典型X线表现为肺野外围出现密度均匀增高的楔形或三角形影,长3~5cm,底边朝向胸膜,尖指向肺门。但多不典型,可呈团块状或片状。大片梗死可长达10cm。有时病变边缘模糊,佯似炎症,并常出现少量胸腔积液。肺组织缺血性坏死后可继发感染形成空洞。患侧膈可升高,运动受限。病变机化后,残留索条状瘢痕影。一般病变吸收缓慢,平均需要3周左右。
6.肺循环高压 由于肺血流量增加或肺循环阻力增高引起。肺充血,肺血流量增加引起者称为高流量性肺动脉高压。肺小血管和毛细血管痉挛、狭窄所致肺循环阻力增高而引起者称为阻塞性肺动脉高压。这两类肺动脉高压均属于毛细血管前肺循环高压。肺静脉回流受阻而引起的肺静脉压力升高,属于毛细血管后肺循环循环高压即肺静脉高压。肺静脉高压后期,可继发肺动脉高压。
(1)肺动脉高压:正常肺动脉主干收缩压为2~4kPa(15~30mmHg),平均压在2.7kPa(20mmHg)以下。收缩压超过4kPa(30mmHg),平均压超过2.7kPa(20mmHg)即为肺动脉高压。X线表现为①肺动脉段突出;②肺门肺动脉及其大分支扩张,而肺野中、外带分支收缩变细,与肺动脉大分支之间有一突然分界,常称为肺门截断现象,见于阻塞性肺动脉高压。而高流量性肺动脉高压。从肺门至肺野外带,肺动脉各级分支均有增粗,但保持大小比例;③肺门肺动脉搏动增强;④右心室增大,肺动脉压愈高,增大愈显著。
(2)肺静脉高压:肺静脉压超过1.3kPa(10mmHg)即为肺静脉高压,一般超过3.3kPa(25mmHg)时则毛细血管内液体外渗而引起肺水肿。
(六)心血管造影的异常所见 观察心血管造影时,应注意各心腔、大血管和各瓣膜的形态、大小、位置和相互间的关系,包括心室流出道、心房与心室间隔等。注意有无狭窄、缺损和瓣口狭窄。对于大血管要观察其根部、行程、管腔大小和分支情况。例如,主动脉瘤可见动脉梭形扩张,主动脉缩窄可见局限性狭窄。对冠状动脉主要观察有无血管狭窄与闭塞以及受累分支和狭窄的范围与程度。
造影时还要分析心腔与大血管显影的顺序。因为心腔大血管结构异常时,可出现造影剂充盈顺序与时间上的异常;①不应显影的解剖部位显影,例如主动脉造影时,肺动脉显影;②提早显影,例如右心造影时,主动脉提早与肺动脉同期显影;③重复显影,例如某房、室或大血管显影后再次显影。这些表现代表两侧心房、心室间或主肺动脉间有沟通;④排空延迟,代表前进通道上有狭窄、梗阻,例如在肺动脉狭窄时,右心室排空延迟,表现为右心室显影时间延长;⑤反向充盈,代表瓣膜关闭不全,例如左心室造影时,左心房逆行充盈,说明二尖瓣有关闭不全,不能阻止血液反流。
四、心、大血管疾病X线表现与诊断
(一)风湿性心脏病 风湿性心脏病(rheumaticheart disease)可分为急性或亚急性风湿性心脏炎及慢性风湿性瓣膜病两大类。前者是风湿热的主要组成部分。X线检查对其病原诊断帮助不大,后者则是风湿性瓣膜炎的后遗损害,为常见心脏病之一。多发生于20~40岁,女性略多。各个瓣膜均可损害,但以二尖瓣为常见,其次为主动脉瓣及三尖瓣,而肺动脉瓣少见。
1.二尖瓣狭窄 三尖瓣狭窄(mitral stenosis)的主要病理改变为瓣环瘢痕收缩,瓣叶增厚融合,瓣膜表面粗糙硬化,有小赘生物以及腱索缩短和粘连。二尖瓣狭窄时,左心房的血液进入左心室发生障碍,左心房内压力升高,左心房扩张和肥厚,并出现肺瘀血现象。长期的二尖瓣狭窄,使左心室内血流量减少,左心室及主动脉均可萎缩。
临床上轻度二尖瓣狭窄,症状不明显或主要为劳累后心悸。重度狭窄则可出现咯血、端坐呼吸、肝大、下肢水肿等。主要体征为心尖区舒张期隆隆样杂音,肺动脉瓣区第二音亢进。心电图有二尖瓣P波,常有心房颤动。超声心动图可显示二尖瓣前叶曲线在舒张期喷射下降速度减慢,二尖瓣前后叶的同向运动,左心房和右心室扩张,左心室不扩张但后壁运动幅度减低等表现,对诊断二尖瓣狭窄有重要的参考价值。
单纯二尖瓣狭窄X线表现(图3-2-15)为:①心脏增大,左心房和右心房增大,左心耳常明显增大;②主动脉球缩小,主要原因是左心室血液排出量减少,主动脉发育障碍或心和大血管向左旋转时,主动脉弓折叠;③左心室缩小,心尖位置上移,心左缘下段较平直;④二尖瓣瓣膜钙化,系直接征象;⑤肺瘀血和间质性水肿。上肺静脉扩张,下肺静脉变细。有时还可见肺野内出现直径1~2mm大小的颗粒状影,为含铁血黄素沉着。
二尖瓣狭窄只有在诊断困难,要考虑手术或介入治疗,需明确病变程度时,才进行造影检查。以左心房造影为宜。造影可见左心房腔扩大,心室舒张期二尖瓣呈圆顶状凸出,左心室腔呈部分充盈。造影剂通过狭窄的二尖瓣口呈窄带状影。
2.二尖瓣关闭不全 二尖瓣病变中,约有一半是二尖瓣狭窄伴有二尖瓣关闭不全(mitral insufficiency),而单纯二尖瓣关闭不全少见。
二尖瓣关闭不全,左心室收缩时,部分血液反流至左心房,使左心房血量增加而扩张。如左心房代偿功能不足,则肺瘀血即很显著。左心房因为接受由肺循环回流的血液和由左心室反流的血液,负担加重而肥厚,严重时可发生左心衰竭。



图3-2-15 二尖瓣狭窄
A.右前斜位:右心室增大,肺动脉段突出(↑),心前间隙变窄(↑),左心房轻度增大;B.后前位:心增大,呈二尖瓣型,右心室增大,肺动脉段突出,左心耳增大,出现第三弓(↓),有肺瘀血表现;C.左前斜位:右心室增大,左心房增大不明显;左心室不增大。
轻度二尖瓣关闭不全患者可无症状,中度以上乏力和心悸,劳动时有呼吸困难,也可有咯血等。听诊心尖区有收缩期吹风样杂音,且可传导至腋中线。
X线表现(图3-2-16),二尖瓣回流较轻,心代偿功能良好时,心大小和形状无明显改变,仅见左心房和左心室轻度增大,当二尖瓣回流在中度以上,心肌代偿功能较差时,则左心房明显增大,在心室也增大,透视下可见左心室收缩时因瓣膜关闭不全而左心房有强烈的搏动。肺有瘀血,右心室亦可增大。主动脉球正常或略小。
左心室造影可见造影剂逆流入左心房。根据造影剂进入左心房的多少和左心房腔的大小可以估计关闭不全的程度。

图3-2-16 二尖瓣关闭不全并狭窄
心增大呈二尖瓣型,右心室增大,肺动脉
段突出,左心耳增大,有肺瘀血

图3-2-17 慢性肺原性心脏病
心呈二尖瓣型,右心室增大,肺动脉突出,但无左心耳增大。肺动脉扩张,尤以右下肺动脉为明显,有肺门截断现象,说明有肺动脉高压。肺纹理增强,肺透明度增加,膈平而低,说明有慢性支气管炎和肺气肿
(二)慢性肺原性心脏病 慢性肺原性心脏病(chronicpulmonary heart disease)是由于长期肺实质和肺血管的原发病变或严重的胸廓畸形所引起的心脏病。肺的原发疾病以慢性支气管炎为常见。有肺动脉高压或右心功能不全等表现,一般认为肺动脉高压的发生是由于肺部长期慢性病变引起广泛纤维化及肺气肿,肺血管床逐渐闭塞,使肺循环阻力增加所致。但是近年来则认为,缺氧所引起的肺小动脉痉挛较血管床的器质性闭塞和减少更为重要。肺动脉压力升高,使右心室肥厚和扩张或右心衰竭。
临床上有长期咳嗽、咳痰、咯血、哮喘和劳动时心悸、气喘等。体检有肺气肿和支气管炎体征,如轻度紫绀,杵状指和干、湿性啰音,常有桶状胸,肺动脉区第下音亢进,心电图示右心室肥厚和心肌劳损等改变。
X线表现(图3-2-17)为肺动脉高压和肺部慢性病变的改变:①肺动脉高压,常出现于心形态改变前之前;②右心室增大,心呈二尖瓣型,心胸比率大于正常者不多,部分病例心比正常为小,与肺气肿、膈低位等因素有关。左心室如增大则常为心力衰竭所致。右心房增大少见,常由于右心室压力增高,右心房排血困难所致,右心房不增大;③肺部慢性病变,有慢性支气管炎,广泛肺组织纤维化及肺气肿等表现。
(三)心包炎 心包炎(pericarditis)是心包膜脏层和壁层的炎性病变,以结核性、风湿性、化脓性及病毒性为常见,尤以结核性最为常见。心包炎可分为干性和湿性两种。前者是心包脏、壁层出现以纤维蛋白为主的渗出物,使心表面粗糙而呈绒毛状,但X线无异常发现,后者则伴有积液。
1.心包积液 心包积液(pericardialeffusion)的液体可为浆液性、浆液血性、血性、化脓性及乳糜性等。心包积液时,心包腔内压力升高,当达到一定程度时,便可压迫心脏,使心房和腔静脉压力升高,以至静脉回流受阻,同时,心室舒张及血液充盈亦受阻,心脏收缩期排血量减少,因而出现心包填塞症状。
临床上有发热、疲乏、心前区疼痛和心包填塞症状,如面色苍白、紫绀、腹胀、水肿和端坐呼吸等。心界向两侧扩大、心音遥远、颈静脉怒张、静脉压升高、血压和脉压均降低。心电图示T波变低、平坦或倒置和低电压。超声心动图能作出诊断,且能测出积液的多少。
X线表现 (图3-2-18),不论积液的性质和病原如何,都可以显示其共同特点:①心包积液在300ml以下者,心影大小和形状可无明显改变,X线难以发现。中等量积液,液体从心包囊最下部分向心两侧扩展,后前位可见心影向两侧普遍增大,心缘正常弧度消失,心形状呈烧瓶状,如积液缓慢增多,则呈球形;②心包积液可使体静脉血液回流至右心房受阻,致使上腔静脉增宽;③由于心包在心底部的附着处高于心与大血管的交界下,增大的心影可以超过心、大血管交界处,增大的心影可以超过心、大血管交界以上,故使主动脉影缩短;④心缘搏动减弱或消失,而主动脉搏动则表现正常;⑤体静脉血液回流到右心房受阻,右心室排血量减少,因而肺纹理减少或不显。如合并左心衰竭,则有肺瘀血现象。

图3-2-18 心包积液(后前位)
心影向两侧普遍增大,心缘正常弧度消失,
上腔静脉增宽,主动脉影缩短,肺纹理减少
心包积液如吸收不彻底,可引起心包肥厚、粘连,并可逐渐发展成缩窄性心包炎。
当诊断困难,考虑外科治疗时,可行造影检查。行腔静脉或右心房插管,造影应包括心腔充盈的全过程。造影表现为各心腔无扩张,但心腔周围组织影像普遍明显增厚。心内循环时间延长。腔静脉扩张。
2.缩窄性心包炎 缩窄性包炎(constrictive pericarditis)为心包脏、壁两层之间发生粘连,并形成坚实的纤维结缔组织,明显限制心的收缩和舒张活动。大多是由于急性心包炎未能及时有效治疗发展而来。增厚的心包如同盔甲,包裹在心脏上,厚度可达1cm以上,一般以心室面,包括膈面增厚、粘连为著,而心房和大血管根部较轻。
右心室受压,舒张受限,静脉回流到右心房被阻,引起静脉压升高、颈静脉与上腔静脉扩张、肝大、腹水和水肿等。左心室受压,舒张受限,在舒张期进入左心室的血量减少,导致左心房和肺静脉压升高。心排血量亦随之减少。造成脉压下降。当二尖瓣口部位被心包纤维瘢痕包绕时,可引起肺循环淤滞,左心房亦可增大。
临床症状主要为心悸、呼吸困难、颈静脉怒张、腹胀、肝大、腹水、面部和下肢水肿、血压偏低、脉压变小和静脉压升高。体征为心音减低,心界不大或稍增大。心电图示肢体导联QRS波群低电压,T波变平或倒置和双峰P波。
X线表现(图3-2-19)为:①心影大小正常或轻度增大,也可中度增大,增大的原因为心包增厚、心包腔内少量积液或心室舒张障碍,使右心房压力升高而出现右心房增大;②心包增厚粘连使两侧或一侧心缘变直,各弓影分界不清,心外形常呈三角形或近似三角形,亦可呈球或其他形状,有时由于右心房增大,使心右缘呈一个大弧,而心左缘则平直;③心搏动一般明显减弱或消失,但在心包增厚不显著的部位,心可局部膨大,搏动明显增强;④心包钙化是缩窄性心包炎的特征性表现,国内资料占缩窄性心包炎的1.23%~1.56%。钙化可呈蛋壳状、带状、斑片状或结节状等。钙化多分布于房室沟、右心房室的周围、右心室的胸骨面及膈面等处。其次为左心室除心尖以外的部位。一般,钙化不易在后前位上发现,切线位用高千伏摄影最有效,可选择侧位或斜位投照;⑤由于静脉压升高,而使上腔静脉扩张;⑥左心房压力增高时,出现肺瘀血现象;⑦胸膜增厚、粘连。
缩窄性心包炎无需心血管造影检查。

图3-2-19 缩窄性心包炎
心影增大,心右缘呈一个大弧,心左缘各弧分界不清,
未见钙化,肺纹理增多
(四)心肌病 侵犯心肌的病变统称为心肌病(cardiomyopathy),病因有多种。可分为两大类:
原发性心肌病,病因不明,可分为三型,即扩张型、肥厚型和限制型(闭塞型)。扩张型最常见,病变主要侵犯心室,尤其是左心室,以心腔扩张为主;肥厚型,病变主要累及室间隔肌部及乳头肌,肥厚的肌部间隔可向两侧心室突出,使心室流出道变窄;限制型主要为心内膜增厚和心内膜下肌纤维化,侵犯心室流入道和心尖,心室壁明显增厚,心腔填塞。
继发性心肌病,为已知病因或合并其他疾病的心肌损害,是全身性疾病的一部分,包括各种感染所致的心肌炎、中毒、营养缺乏、代谢障碍、内分泌性疾病、结缔组织病、神经肌肉性疾病等,同时累及心脏。
临床上常有心悸、气促、胸痛、眩晕、心律失常及心力衰竭等症状。超声心动图可显示左心室流出道无狭窄以及室间隔和左心室后壁有无增厚,对诊断原发性肥厚型心肌病提供可靠的征象。
X线表现(图3-2-20),早期心大小和形状可以正常,以后心中度至高度增大,一般为双心室增大,但以左心室增大为显著,呈主动脉型;心搏动普遍减弱;肺血管纹理正常或增多,心力衰竭时,出现肺瘀血及间质性肺水肿;主动脉球一般不增大,有时因心排血量减少而缩小。继发性心肌病,病变好转后,心影恢复正常。

图3-2-20 原发性心肌病(扩张型)
心明显增大,以向左侧增大明显,
主动脉球较小,肺纹理正常
心血管造影对肥厚型心肌病有诊断价值,可明确心肌肥厚的部位、范围及程度,对治疗计划的制定与预后估计有较大帮助。应行左心室造影。造影可见由于肌部间隔肥厚所致左心室腔的倒圆锥状狭窄,心室腔变形,轮廓不整。
(五)先天性心脏病 先天性心脏病(congenital heart disease)按其血液动力学改变,可分为左向右分流,右向左分流和无分流三类。临床上一般将其分为有紫绀和无紫绀两大类。X线上则可根据肺血管表现分为肺血管纹理增多、肺血管纹理减少和肺血管纹理无明显改变三类。X线检查是诊断先天性心脏病的一种重要方法,对于常见的先天性心脏病,普通X线检查,紧密联系临床资料,可作出较为正确的诊断。但普通X线检查,对于复杂的畸形毕竟有一定的限度,还须进一步作心导管检查和心血管造影,才能了解心内解剖结构及血液动力学改变。现以房间隔缺损和Fallot四联症为例,说明普通X线检查的诊断问题。
1.房间隔缺损 房间隔缺损(atrial septal defect)是成人最常见的先天性心脏病,女性多于男性。
根据缺损的部位,可分为第一孔(原发孔)型、第二孔(继发孔)型和其他类型。第二孔型多见,缺损多在卵圆孔,大小为1~4cm。当有心房间隔缺损时,左心主房的血液分流入右心房,因此右心房除接受体循环来的静脉血外,还接受左心房分流的动脉血,右心房、右心室及肺动脉内的血流量明显增加,引起右心房及右心室负担过重而肥厚、扩张。久之可出现肺动脉高压和右心衰竭,右心房内压力可接近或超过左心房的压力,出现双向分流甚至右向左的分流。第一孔型少见,缺损是由于心内膜垫发育障碍所引起,缺损位于房间隔下部,常伴有二尖瓣或三尖瓣裂缺,而产生瓣膜关闭不全。
临床上常有劳累后心悸、气促,易患呼吸道感染,无发绀,儿童症状不明显,多数在青年期才出现症状,心力衰竭常出现于30岁以后。体检在胸骨左缘第2~3肋间可听到收缩期吹风样杂音,无震颤,肺动脉瓣区第二音亢进、分裂。心电图显示右心室和右心房肥厚及右束支传导阻滞。
X线表现,当缺损小,分流量少时,心大小和形状正常或改变不明显。缺损较大即有以下改变(图3-2-21):①心呈二尖瓣型,常有中度增大;②右心房及右心室增大,尤以右心房显著增大为心房间隔缺损的主要特征性改变;③肺动脉段突出,搏动增强,肺门血管扩张,常有“肺门舞蹈”现象;④左心房一般不增大,第二孔型左心室和主动脉球变小,而第一孔型左心室增大;⑤肺充血,后期可出现肺动脉高压。
房间隔缺损只有在诊断困难,怀疑有心内膜垫缺损或并发其他畸形时,才行心血管造影。
2.Fallot四联症 Fallot四联症(tetralogy of Fallot)是紫绀型先天性心脏病中最常见的一种,占50%以上,包括四肿畸形:肺动脉狭窄、室间隔缺损、主动脉骑跨和右心室肥厚,其中以肺动脉狭窄及室间隔缺损为主要畸形。系由于原始动脉干分为不均等的粗大主动脉和细小的肺动脉及心球发育障碍所致。肺动脉狭窄以右心室漏斗部狭窄为常见,其次为漏斗部及瓣膜部均狭窄。漏斗部狭窄多为肌肉肥厚呈管状或环状狭窄。室间隔缺损绝大多数在膜部,一般直径为1~2.5cm。主动脉多数向前、向右方移位,骑跨于两心室之上,管径较粗大。为细小肺动脉的3~4倍。右心室肥厚继发于肺动脉狭窄。

图3-2-21 房间隔缺损
右前斜位:右心室增大,肺动脉段突出,心前间隙变窄,无左心房增大后前位:心增大,呈二尖瓣型,右心房及右心室增大,肺动脉段突出,肺纹理增强左前斜位:右心房及右心室增大,左心室被增大的右心室推向后
临床上,患者发育一般迟缓,紫绀出现早,大多数在1岁以内,有气促,喜蹲踞,杵状指趾和晕厥史。于胸骨左缘第2~4肋间可闻到较响亮的收缩期杂音,且可扪及震颤。肺动脉第二音减弱或消失,心电图显示右心室肥厚。
四联症分为三型,X线表现如下:
(1)常见型:(图3-2-22)肺动脉狭窄较重,室间隔缺损较大,紫绀明显。X线表现为①心一般无明显增大,心尖圆钝、上翘呈羊鼻状,心腰凹陷,如有第三心室形成,则心腰平直或轻度隆起;②右心室增大;③左心室因血流量减少而缩小,左心房一般无改变,右心房由于回心血流增多及右心心室压力增高而有轻度到中度增大;④肺门缩小,肺野血管纹理纤细;⑤主动脉增宽,并向前、向右移位。

图3-2-22 Fallot四联症
心增大,心尖圆钝上翅,心腰平直,右心室增大,
肺门缩小,肺纹理纤细,稀少
(2)重型:肺动脉高度狭窄或闭锁,室间隔缺损较大,全部为右向左分流,出生后即出现紫绀,与常见型相似,但更严重。心脏大多数有中度以上增大,右心室增大显著肺门显著缩小甚至无明显肺动脉主干影,肺野有支气管动脉形成的网状侧支循环影。有时可见左上腔静脉或右位主动脉弓。
(3)轻型(无紫绀型):室间隔缺损较小,肺动脉狭窄较明显时,其X线表现与单纯肺动脉狭窄相似;室间隔缺损较大,肺动脉狭窄不明显时,X线表同则与室间隔缺损相似。
心血管造影可明确四联症畸形及其程度,为手术治疗提供重要参考资料。以选择性右心室造影为宜。造影可见在右心室及肺动脉充盈显影的同期或稍后有左心室及主动脉的提早显影,代表心室水平的右向左分流和主动脉骑跨。室间隔缺损于侧位上显示,居主动脉瓣下方,常较大,升主动脉扩张。漏斗部狭窄多较长,呈管状,肺动脉瓣狭窄在心室收缩期呈鱼口状突向肺动脉。肺动脉干及左右分支常有不同程度的细小。右心室肥厚。右心房与腔静脉扩张。
第二节 超声心动图诊断
超声心动图(ultrasoundcardiography)是近代发展起来的新型诊断技术。它利用雷达扫描技术和声波反射的特性,在荧光屏上显示超声波通过心各层结构时发生的反射,形成灰阶图像,借以观察心、大血管的形态结构和搏动状态,了解房室收缩、舒张与瓣膜的关闭和开放活动的规律,为临床提供具有重要价值的参考资料。由于对某些心脏病诊断的准确性高、重复性强、方法简单且无损伤和痛苦,而受到临床的欢迎和重视。
一、检查方法
超声心动图有以下三种检查方法:
二维超声心动图(two-dimensional echocardiography):能显示心、大血管的断面轮廓和各种结构空间关系的断面形态,大小、联结关系与活动状态,为断面灰阶图像(图3-2-23、24)。

图3-2-23 心超声胸骨旁长轴断面示意图
LA.左心房 MVL.二尖瓣 LV.左心室 AVL.主动脉瓣 RV. 右心室

图3-2-24 心超声心尖四腔室断面示意图
LA.左心房 LV.左心室
RA.右心房 RV.右心室
TVL.三尖瓣 MVL.二尖瓣
脉冲多普勒超声心动图(pulsed Dopplerechocardiography):观察血流的运动规律,确定血流紊乱的部位和方向。对于心间隔缺损、瓣膜的狭窄与关闭不全等具有较大的诊断价值。
造影超声波心动图(contrastechocardiography):将超声检查用造影剂(锭氰蓝绿、双氧水、二氧化碳、碳酸氢钠+维生素C)经静脉或导管注射。由于造影剂在血液内产生微小气泡,致使超声波产生强烈的反射,形成云雾状影像,能观察各种心脏病的血液动力学改变,对临床诊断具有重大价值。
二、临床应用
超声心动图对下述心脏病有诊断价值:①心脏瓣膜病;二尖瓣狭窄和(或)关闭不全、二尖瓣脱垂;三尖瓣和主动脉瓣狭窄和(或)关闭不全。②心肌病变:心肌梗死特别是室壁瘤的发现;物发性心肌病,以心腔扩张为主的扩张型心肌病,以心壁增厚为主要表现的肥厚型心肌病。③先天性心脏病:能观察到房室间隔缺损、大血管转位和血液分流的情况。④其他;心包的增厚和积液。心脏内和心旁的肿瘤,如心内粘液瘤,心肌的肿瘤,心脏旁(纵隔)肿瘤等。
第三节 CT诊断
常规的CT设备由于扫描时间与成像时间长,虽然行心血管造影并CT扫描,心内结构也显示不清,因此,难于应用CT检查心,大血管。自从超高速CT设备和螺旋扫描技术问世以来,才使CT检查心、大血管成为可能。但仍需向血管内注射造影剂,才能行CT扫描。因此是比较复杂而又有一定痛苦和危险的方法,使心、大血管CT检查的应用仍然受到限制。
一、检查方法
常规胸部CT扫描,能显示心、大血管轮廓以及与纵隔内器官,组织的毗邻关系,对显示心包积液、增厚、钙化有一定帮助。
螺旋扫描与心血管造影并用可以得到心、大血管内腔的三维重建图像,能了解心、大血管腔内的情况和心血管壁的厚度等。
超高速CT扫描与心血管造影并用,可显示心、大血管内腔的变化,对诊断心、大血管内血栓、粘液瘤、瓣膜形态改变以及冠状动脉钙化有一定帮助。对冠状动脉钙化的发现优于MRI。此外,还可行心肌厚度、血流量和组织内灌注等的研究。由于扫描时间短,还可行心、大血管的动态观察。
二、临床应用
心、大血管的CT检查对下述疾病有一定的诊断价值:
①心包疾病:心包炎引起的心包积液,CT值一般在12~40Hu,如果密度较高,表示心包积血或渗出液;如密度较高,表示心包积血或渗出液;如密度较低,则可为漏出液或淋巴液。心包增厚(数mm至50mm)或钙化为慢性心包炎表现,恶性肿瘤的心包积液为血性的,有时可见多个结节状影。②心脏肿瘤:心腔内肿瘤以良性居多,如粘液瘤,表现为心腔内软组织肿块;心壁的肿瘤如心肌肿瘤,罕见。③缺血性心肌病;心肌梗死,此外,还有心脏室壁瘤、大血管动脉瘤或夹层动脉瘤(图3-2-25)。④特发性心肌病:心腔扩大为扩张型心肌病,心腔缩小和心壁增厚为肥厚型心肌病。另外对于先天性心脏病,如间隔缺损等和瓣膜病,如二尖瓣病变等也有一定诊断价值。
第四节 MRI诊断
心、大血管MRI检查的优点是:①由于血流的流空效应,心大血管内腔呈黑的无信号区,与心血管壁的灰白信号形成良好的对比,能清楚地显示心内膜、瓣膜、心肌、心包和心包外脂肪;②MRI为无损伤性检查;③可从冠状面、矢状面、横断面以及斜面来显示心、大血管的层面形态。
一、检查方法
心、大血管是有搏动的运动器官,在MRI成像方面有特殊的要求:①心电门控或心电触发技术能够获得心动周期中预定点上的图像,同是也可作为检查中监视患者情况的一种手段;②成像序列,自旋回波为常规的脉冲序列。快速成像自旋回波序列对于心血管成像具有重要意义,能细致观察心肌收缩与舒张的变化,更准确地测量心功能;能观察瓣膜的功能状态和心内血液分流情况;能鉴别血管和含气的空腔、血流和血栓。
表3-2-1 心、大血管信号强度特征
| 组织 | T1WI | 质子密度 | T2WI |
| 流动血液 | 黑 | 黑 | 黑 |
| 大血管壁 | 黑灰 | 灰 | 灰 |
| 心肌 | 灰 | 灰 | 灰白 |
| 心包 | 灰 | 灰 | 灰白 |
| 心包脂肪 | 白 | 白 | 白灰 |
心、大血管的磁共振信号,在常规自旋回波序列中,由于血液的流空效应,其内腔呈黑的无信号或极低信号区,而心肌、血管壁呈灰的低信号(表3-2-1)。
在横断面图像上能显示房室间隔、房室壁之前后部、乳头肌和腱索,有时可见右冠状动脉主干;冠状面图像上能显示右心房、右心室、左心室侧壁、部分心室间隔、升主动脉、主动脉弓、头臂动脉、肺动脉主干及左右肺动脉,上下腔静脉进入右心房,有时可见左冠状动脉主干(图3-2-26)。矢状面图像,能显示心脏,主动脉的升、弓、降部和肺动脉主干。斜面图像上,可显示房室壁的厚度和心脏各房室的大小和房室间隔。
在快速成像序列,心、大血管的血流呈白的高信号,心肌为中等弱信号,瓣膜信号较心肌信号稍低。

图3-2-26 正常心、大血管MRI(SE序列)
冠状面图像←主动脉瓣,pm乳头肌,
V.主动脉Valsalva窦 S.上腔静脉
二、临床应用
MRI是无创伤性检查方法,对下述疾病有诊断价值:①大血管病:主动脉夹层动脉瘤,能显示真假腔和内膜片;主动脉瘤,可见主动脉腔扩大,壁薄及瘤内血栓;主动脉的异常,如缩窄和扩张以及腔静脉的狭窄和梗阻。②先天性心脏病:房室间隔缺损、主动脉缩窄、动脉导管未闭和复杂性先天性心脏病。③心肌病变;心肌梗死、室壁瘤(图3-2-27)、瘤内血栓形成、特发性心肌病(图3-2-28)。④心脏肿瘤:良性粘液瘤、恶性纤维组织细胞瘤、血管肉瘤和肌肉瘤等。⑤心包病变:心包积液,心包肥厚和心包肿瘤等。

图3-2-27 左心室室壁瘤
MRI显示左心室室壁瘤(↑),呈心壁变溥,局限性膨隆

图3-2-28 特发性心肌病
心MRI,SE序列横断面图像,左心室壁及室间隔肥厚(*),LA左心房
第四篇 腹部
第一章 急腹症
第一节 X线论断
腹部包括腹腔及盆腔、腹膜后间隙以及消化、泌尿、生殖等系统。本节重点介绍急腹症X线检查及论断,以腹部平片为主。
正常时, 腹内器官及其内容物和组织多为中等密度,彼此间缺乏自然对比,因此,腹部平片所提供的X线征象较少。但当发生病理改变时,使密度发生变化,则可能显出异常的X线征象,这种情况,在急腹症时尤为明显,因而腹部平片常用于急腹症的X线论断。
了解急腹症的X线检查方法、应用范围、限度和常见急腹症的X线表现,将有助于合理选择X线检查方法,并作出急腹症的X线论断。
急腹症X线检查的目的,在于明确疾病的病理、病因、病变部位以及并发症等,以便为及时、恰当的处理提供依据。
一、X线检查方法
为了不改变腹部的病理状态,X线检查最好在胃肠减压、放置肛管、洗肠和给吗啡类药物以前进行。
(一)普通检查 包括腹部平片与透视
腹部平片:由于操作简便并能在较短时间内作出论断,因而是急腹症首选的检查方法。
常用摄影位置有;仰卧前后位,仰卧水平侧位,侧卧水平正位,站立正、侧位和倒立正、侧位等。
仰卧前后位,除少量腹内游离气体较难显示外,其余病理X线征象均可显示,所以是基本摄影位置。
其他各种位置,由于重力关系,器官及腹内液体均下坠,致使近地侧的投影有一定重叠,而腹内游离气体及含气较多的肠袢则上浮,因而显示在照片的上方。
上腹部病变,如膈下脓肿、肝脓肿等,多用仰卧前后位和仰卧水平侧位或站立正、侧位,以便对脓腔进行三维空间定位,胃肠道穿孔.梗阻、外伤、腹腔和腹内器官感染,则用仰卧前后位和侧卧水平正位,便于了解腹内气体及液体的游动情况。先天性直肠肛管闭锁,则用倒立位检查。
透视:腹后壁的脂线,如肾周及腰大肌脂线,较小的结石或钙斑,透视难于看清。因此,除X线表现明显,且有定特征,如胃肠穿孔和肠梗阻外,诊断均要依靠平片或造影检查。
但透视可观察膈的运动和胃肠蠕动,通过扪诊可了解胃肠动度,除外有争腹症临床表现的胸部疾病等。因此,在照腹部平片的同时,应进行胸腹透视。
(二)造影检查
钡剂或空气灌肠主要用于回育肠套叠、乙状结肠扭转、结肠癌所致梗阻及先天性肠旋转不良等。对肠套叠和乙状结肠扭转,部分病例还可行灌肠整复。钡餐主要用于先天性幽门肥厚、十二指肠梗阻等。碘液常用胃影葡胺(gastrografin),主要用于上消化道出血、穿孔及肠梗阻等。
诊断性气腹有时用于鉴别肿块或脓肿是位于膈上或膈下(肝外或肝内)。
经皮经肝穿剌胆管造影在急腹症中主要用于诊断胆管梗阻并进行引流。
泌尿系统造影在急腹症中主要用于尿路外伤,多采用静脉性造影。
对急性消化道大出血,可行选择性或超选择性血管造影。在明确出血部位后,可行滴注加压素或栓塞止血。
二、正常X线表现
主要介绍腹部平片的正常X线表现。由于腹壁及腹内器官缺乏自然对比,因此平片显示的X线表现较少,分述如下。
(一)腹壁与盆壁 腹膜外间隙及器官周围有脂肪组织,于平片上显示为灰黑影。腹部前后位片上,在两侧胁腹壁内分,可见腹膜外脂肪影,上起第10肋骨外下端,向下延伸到髂凹而逐渐消失,称胁腹线(flank stripe),肾周脂肪线是肾囊内、肾周间隙的脂肪组织投影。
腰大肌、腰方肌位于腹横筋膜以且,闭孔内肌、提肛门肌等处于盆腹膜外。由于肌鞘内脂肪组织的对比,摄影条件好的腹部前后位平片也可显示出它们的边缘。
正常腹部平片,还可显示腹腔及盆腔的骨性支持结构及胸膜壁软组织。
(二)实质器官 肝、脾、胰、肾等是中等密度,但借助于器官周围或邻近的脂肪组织和相邻充气胃肠的对比,于腹部平片上,可显示器官的轮廓、大小、形状及位置。正位像在部分患者可显示肝下缘,微向上突或较平直。肝下缘与肝外缘相交形成肝角,一般呈锐角。脾上极与左膈影融合,下极较圆钝。两肾沿腰大肌上部排列。胰腺于平片上不易显示。子宫偶尔显影,位于膀胱上缘上方,呈扁圆形软组织影。
(三)空腔器官 空腔器官如胃肠道、胆囊、膀胱的脏壁为中等密度,依腔内的内容物不同而有不同的X线表现。胃、十二指肠球部及结肠内可含气体,于腹部平片上可显示其内腔。小肠除婴幼儿可有积气外,一般充满食糜及消化液,与肠壁同属中等密度,因缺乏对比而不能显示。如胃内有较多固态食物,结肠或直肠内有较多粪便,由于它们周围有气体衬托,故可显出软组织密度斑片或团块影。结肠分布于腹部四周。膀胱和胆囊周围如有较多脂肪,也可显示部分边缘。
三、基本病变X线表现
(一)腹腔积气 正常腹腔内,脏、壁层腹膜之间无气体存留。若因某种病因导致腹内积气且随体位改变而游动,该气体则称游离气腹。立位透视,气体可上浮到膈与肝或胃之间,显示为透明新月形气影(图4-1-1)。侧卧水平位投照,气体则浮游到靠上方侧腹壁与腹内器官外壁之间。仰卧前后位时,气体浮聚于腹腔前方,也可使居前方的肝镰韧带和器官外壁得到显示。局限性气腹,其腹腔内气体则局限于某处,且不随体位改变而移动。
腹内游离气体常见于胃肠穿孔、腹腔术后或合并感染。

图4-1-1 气腹两侧膈下见游离气体(↓)
此外,某些实质器官内(如肝脓肿)、血管内(如门静脉积气)、胆管内(如胆肠瘘或吻合术后)以及胃肠壁内(如新生儿坏死性小肠结肠炎)均可有积气。
(二)腹腔积液 炎症与外伤均可导致腹腔积液,简称腹液。腹液在腹腔内坠集于低处。仰卧位时,以盆腔和上腹腔为低,尤其是肝肾隐窝最低,其次为两侧结肠旁沟。因此,液体易聚集于这些区域。大量腹液时,胀气的肠曲浮游于腹中部。肠曲间也可有腹液,仰卧位片上,充气肠曲之间有一定距离,即肠间隙加宽,但改变为侧卧体位水平投照时,因肠曲之间的腹液流向近地侧,其肠间隙将相对变窄,且近地侧腹部密度显著增高。
(三)实质器官增大肝、脾、肾等实质器官增大,则在轮廓、形状、大小等方面发生改变。同时也可能压迫推移相邻脏器,尤其是含气的空腔脏器,致使出现一定程度的直接推压征象。
(四)空腔器官积气、积液并管腔扩大 胃肠腔内积气、积液和管腔扩大表现最常见于梗阻性病变,也见于炎症和外伤。十二指肠降段梗阻,其近侧的胃和十二指肠球部明显胀气扩大,表现出“双泡征”。小肠和结肠充气扩大,在气体衬托下,可通过观察肠粘膜皱襞的形态而将它们区分(图4-1-2)。同时也可据以分析梗阻平面,观察肠曲位置、排列形式、活动度以及肠粘膜皱襞增粗、肠壁增厚等改变。



图4-1-2 不同肠段胀气表现
空肠:肠腔内较多环状皱襞
回肠:肠腔内不见环状皱襞
结肠:可见结肠袋的间隔
正常时,空肠居左上腹,回肠居右下腹及盆腔。小肠及其系膜扭转,如扭转度为180°的奇倍数(如180°、540°)时,则可出现易位情况,即空肠位于右下腹,回肠位于左上腹(图4-1-3)。回盲肠套叠,回肠套入较深时,对小肠系膜的牵引较明显,也可造成右下腹空虚,并使套叠近侧小肠移向右上腹。
肠曲排列形式及活动度的变化,对诊断有一定的间意义。小肠系膜扭转,胀气的肠曲常因系膜紧缩、牵引、而出现向周围伸展受限,即有向心性集中和对称性排列的倾向(图4-1-3);粘连性肠梗阻常有肠曲活动度减小,甚至固定。



图4-1-3 小肠扭转仰卧位平片表现示意图
肠粘膜皱襞和肠壁增厚常发生于肠壁的循环障碍,如绞窄性肠梗阻或系膜血栓形成所致者,肠炎特别是坏死性肠炎或肠壁损伤等。腹腔感染,因肠外炎性物附着,也可使肠壁增厚。
(五)腹内肿块影 肿块在相邻充气肠曲对比下可以显示,表现为均匀的软组织块影,有较清晰的边界。畸胎瘤于肿块内可见牙、骨及脂肪影。假性肿块又称“假肿瘤”征。是两端闭锁的绞窄肠段,即闭袢内充满大量液体的表现。密度较大,致使仰卧正位片上,呈肿块影像,而侧卧水平位照片上则在该块影的上部显示出一短小的液面,可与直正的实体性肿块区别。
(六)腹内高密度影 主要为阳性结石、钙斑和异物。在急腹症中,阳性结石包括泌尿系结石、阑尾粪石和胆石。阑尾粪石常呈分层同心环状、居右下腹。
腹内钙斑与急腹症有关的主要为胎粪性腹膜炎、扭转的卵巢畸胎瘤等。钙斑的部位、形状及密度各有一定特点。
(七)腹壁异常 包括腹脂线异常,腹壁软组织肿胀、组织间积气和腹壁肌张力异常等。
炎症或外伤使脂肪组织发生充血、水肿、坏死和出血等,致使腹脂线增宽、透明度下降,甚至消失。可发生于腹膜后间隙病变与腹脂线相邻的腹腔内病变。
炎症、外伤,可有腹壁软组织增厚,密度增加和向外突出。腹壁软组织内还可显示组织间积气,来源于腹膜后或腹膜间空腔器官向腹膜外破裂。
炎症、外伤还可使同侧腹肌激惹收缩,导致腰椎侧弯。
(八)下胸部异常 急腹症时,胸膜、肺底、膈及下胸壁软组织可发生改变。例如膈下脓肿,常有同侧胸腔积液、肺底炎症、膈上升、活动度减小和胸壁局部肿胀等。
四、常见急腹症的X线表现与诊断
急腹症中,以穿孔、炎症、梗阻、外伤、结石和出血较常见。部分患者为复合性的。例如,外伤性小肠破裂就可能有外伤、炎症和梗阻等征象。
(一)胃肠道穿孔与急性腹膜炎 胃肠道穿孔(perforationof gastro-intestinal tract)常发生于溃疡、外伤、炎症及肿瘤。以胃、十二指肠溃穿孔最常见。依穿孔穿入腹腔内或腹膜后间隙而有不同的X线表现。
穿孔穿入腹腔内时,主要出现气腹、腹液、腹脂线异常和麻痹性肠胀气等X线表现。它们的X线表现如前述。
在X线表现中,以游离气腹最重要。胃、十二指肠球部及结肠,正常时可以有气体,因此穿孔后大都有游离气腹征象。小肠及阑尾,正常时一般没有气体,穿孔后很少有气腹出现。胃后壁溃疡穿孔,胃内气体可进入网膜囊,如网膜孔不通畅,气体则局限于网膜囊内。立位照片则于上腹中部显示气液腔或气腔,即网膜囊上隐窝充气,气体并不进入腹腔。腹膜间或腹膜后空腔器官向腹膜后间隙穿孔,气体进入肾旁前间隙,并可进入腹膜后其他间隙,出现腹膜后间隙积气征象,而腹腔内并无游离气体。因此,没有游离气腹征象并不能排除胃肠穿孔。
胃肠穿孔后,胃肠内容物,包括食物及消化液进入腹腔引起化学性和细菌性腹膜炎,胃肠液及炎性渗液不仅产生腹液征象,同时也可使相邻的胁腹脂线变模糊,使相邻的肠曲产生反应性淤积,甚至肠麻痹。
原发性腹膜炎的X线表现与胃肠穿孔所致全腹膜炎的表现相同,但无气腹征象。
从发病到出现X线征象,需要一定时间。除游离气腹征象出现较早外,其他征象的显示一般需6小时以上。因此,诊断时应考虑这一因素。
局限性腹膜炎可形成腹腔脓肿。腹腔脓肿多位于腹腔的间隙或隐窝中。常以腹壁、器官及韧带作为脓腔壁。主要X线表现是:①脓腔内有气体时,可见含气、液的空腔或气泡征象;②脓腔内无气体时,表现为软组织块影。如与实质器官相邻,则因缺乏对比而不易显示;③脓肿相邻器官受压移位;④脓肿周围炎症浸润,使相邻脂线增宽、密度增高,甚至消失;⑤如炎症扩散,则有关的间隙、隐窝因引流而有新脓肿形成;⑥上腹腔炎性淋巴引流,可出现胸腔积液、肺底炎症及小叶性肺不张等。
依脓肿所在部位,还可有一定的特别表现。例如,隔下脓肿,脓腔壁为腹壁、肝、隔及韧带,脓肿总是位于上腹腔的解剖间隙内,并位于上腹腔的周围。结肠下区脓肿,位于结肠旁沟时,结肠旁沟增宽,相邻结肠受压、移位,胁腹脂线也有一定改变。盆腔脓肿常使相邻盆壁脂线发生改变,直肠受压移向对侧。
(二)肠梗阻 肠梗阻(intestinalobstruction)一般分为机械性、动力性和血运性三类,以相械性肠梗阻最为常见。
机械性肠梗阻分为单纯性和绞窄性肠梗阻两种,前者只有肠道通畅障碍,而无血循环障碍,后者同时伴有血循环障碍,动力性肠梗阻分为麻痹性肠梗阻与痉挛性肠梗阻,肠道本身并无器质性病变。血运性肠梗阻见于肠系膜血栓形成或栓塞,有血循环障碍和肠肌运动功能失调。
X线检查的主要目的是;明确肠阻的类型。是机械性的还是动力性的,如果是动力性的,则应确定是痉挛性的还是麻痹性的,如果是机械性的,则应确定是单纯性的还是绞窄性的;是完全性的还是不完全性的;以及梗阻的位置和原因等。
不同类型肠梗阻的X线表现及诊断:
1.单纯性小肠梗阻 梗阻发生后3~6小时可出现X线表现。梗阻近端肠曲胀气扩大。立位像可见肠内高低不等液面,胀气肠曲呈弓形,多发的液面呈梯状排列。早期蠕动亢进,透视可见肠内液面上、下变化活跃。病情发展,肠曲胀气扩大逐渐加重,肠壁张力减低,蠕动明显减弱,液面增宽。肠壁和肠和肠粘膜皱襞除非是慢性梗阻,一般无明显增厚。梗阻远侧肠曲无气或仅见少许气体,因而可根据胀气扩大肠曲所涉及的范围来估计肠梗阻的位置(图4-1-4)。

图4-1-4 小肠梗阻(立位)
中上腹部小肠明显积气、扩张,
有多个液平
不同病因所致单纯性机械性肠梗阻还有一定的X线表现特点。例如,蛔虫团堵塞所致肠梗阻,小肠内的大量蛔虫,常扭曲成团、束。胆石性肠梗阻除有肠梗阻征象外,可发现腹内较大阳性结石,由于有胆肠内瘘,还可见肝内胆管积气征象。
2.绞窄性小肠梗阻 常见病因有:扭转、内疝、套叠和粘连等。由于有小肠系膜受累,肠曲活动被牵制。伸展受限,因而有肠曲向某一固定部位聚集的表现。肠壁循环障碍而导致肠壁增厚,粘膜皱襞增粗,肠内积液、液面较高等改变。闭袢性肠梗阻,还可见“假肿瘤”征。绞窄性小肠梗阻后期,可合并腹腔积液,由于合并动力性因素,结肠和直肠可以充气。
不同病因所致绞窄性肠梗阻还具有一定的X线表现特点。例如,小肠系膜扭转、内疝及粘连性肠梗阻合并肠段扭转时,常合并“假肿瘤”征;粘连性肠梗阻在不同体位的X线照片上,如仰卧前后位和侧卧水平位,可见充气积液的小肠曲活动减低,部分病例可出现肠曲纠集征象和肠曲转角较急的表现;急性肠套叠以回肠(或同时合并盲肠)套入结肠这一类型最为常见。腹部平片主要表现为低位小肠梗阻,有时右腹或上腹部可见肠形肿块及套叠远端结肠和套鞘积气征。钡剂、空气灌肠可见包括套入部梗阻端所形成的杯口状或圆形充盈缺损和套鞘因钡剂或气体进入两层肠壁之间所形成的弹簧状影(图4-1-5)。

图4-1-5 肠套叠
气体灌肠至结肠受阻(↓),梗阻端呈杯口状;
复位后,梗阻端消失,大量体气体进入小肠
3.结肠梗阻 结肠梗阻导致近侧结肠气扩大并积液。胀气扩大的结肠可显示出结肠袋借以与小肠区别。扩大的结肠位于腹部周围。平片诊断有困难时,可作钡剂灌肠检查以确定结肠梗阻病因。
乙状结肠扭转是乙状结肠袢沿其系膜长轴旋转而造成的梗阻。
闭袢梗阻型乙状结肠扭转较常见,即近端与远端各有一梗阻点。诊断大多可由平片作出,表现如下:①闭袢的乙状结肠曲明显扩大,横径可达20cm以上,自盆腔上升至中腹部甚至可达上腹和膈下;②扩大的乙状结肠曲常呈马蹄铁状,其圆顶向上,两肢向下并拢而达盆腔,内含大量气体和液体;③上述乙状结肠曲的肠壁显影如三条纵行致密线,向下方梗阻点集中(图4-1-6)。如平片不曲型需作钡灌肠,可见直肠乙状结肠交界处阻塞,上端逐渐尖削如鸟嘴状,有时可见到旋转状粘膜皱襞。这是乙状结肠扭转的特征性表现(图4-1-6)。


图4-1-6 乙状结肠扭转
4.麻痹性梗阻 常见病因包括急性腹膜炎、脓毒败血症、腹部术后、低血钾症、严重外伤或外伤性休克以及腹膜后间隙感染或血肿等。
麻痹性肠梗阻,肠运动力减弱。透视下作短期间断观察,肠曲胀气程度及排列形式多无变化。肠曲胀气累及大肠与小肠,多呈中等度胀大,肠内气体多,液体少,致肠内液面较低,甚或肠内几乎全为气体。
(三)腹部外伤 腹部外伤的影像学检查主要用于闭合性损伤。实质器官破裂腹部平片检查价值有限,仅有腹腔积液和脏器增大及周边界限不清等征象,诊断主要依靠超声和CT。空腔器官破裂,若累及腹腔内器官,例如胃、十二指肠第一段、空肠、回肠、横结肠等,胃肠内容物及出血进入腹腔,可出现腹腔积液及急性腹膜炎等征象。除空、回肠破裂外,一般均有游离气腹征象出现。若空腔器官破裂累及的是腹膜间器官并穿破入腹膜后间隙,例如升、降结肠和十二批肠降段的后侧面穿破,肠内气体,肠内容物、出血进入腹膜后间隙,则可能显示腹膜后间隙积气,腹后指线模糊或消失。确切的诊断需借助于USG和CT等。
第二节 USG与CT诊断
采用常规X线以外的影像学检查作急腹症影像诊断,尚处于发展中,使用较多的是USG及CT,MRI尚少用。
USG主要用于检查腹部实质外伤,腹腔积液与局限脓肿,胆系结石及胆道梗阻,襄急性炎症及积液和急性胰腺炎累及范围及并发症等。此外,对急性阑尾炎和肾结石以及肠套叠也有一定诊断价值。由于简便、经济,与腹部平片检查相结合,互补不足,可作为争腹症影像诊断学检查方法之一。
CT比腹部平片显示的征象丰富和精细,在显示质器官挫、裂伤,包膜下血肿及器官周围出血,腹腔积液,脓肿,腹膜后间隙炎症、外伤、出血,以及腹主动脉瘤破裂,肠套叠、内疝等所致机械性肠梗阻,急性胆囊炎,急性阑尾炎及阑尾周围脓肿等方面更有优势,诊断价值较高。
MRI用于急腹症诊断目的前尚处于初期阶段。在腹主动脉瘤破裂、实质器官外伤、急性胰腺炎的诊断方面,也一定的帮助。
第二章 胃肠道
胃肠道疾病的检查主要用钡剂造影,其价值可与内镜检查媲美。USG和CT对了解胃肠道肿瘤的内部结构、胃肠壁的浸润程度和转移等具有特殊意义。这些方法的综合应用对胃肠道肿瘤病期的划分和治疗方案的确定。可提供有力的依据。血管造影用于胃肠道血管性疾病、胃肠道出血的检查和介入治疗,对小肠肿瘤的诊断也有一定价值。MRI在胃肠道疾病的诊断中价值较小。
第一节 X线论断
一、X线检查方法
(一)普通检查普通检查对胃肠道疾病的诊断价值有限。
(二)造影检查胃肠道造影所用的造影剂是硫酸钡(barinm sulfate)。钡的原子量高,不易被X线穿透,在胃肠道内与周围组织形成鲜明对比。硫酸钡为白色粉末,不溶于水,不被胃肠道吸收,不引起中毒或过敏反应。应强调的是医用硫酸钡不得混有可溶性钡化物如硫化钡、氯化钡等。应用前依造影要求将钡剂加水调制成不同浓度的混悬液。有胃肠道穿孔时禁用。
胃肠道钡剂造影应注意以下三点;①透视与照片结合,透视可从各个角度观察胃肠道影像,摄影除用于记录透视所见外,更有利于微小病变的显示;②形态与功能并重,形态变化为诊断的主要依据,但功能变化有一定的参考意义;③触诊的使用,按摩及加压可造成胃肠道的不同充盈状态,触知胃肠道管壁是柔软或僵硬、有无肿块、压痛及移动性。
药物辅助造影检查,是利用某些药物改变胃肠道的功能或消除某些功能异常,达到详尽显示病变的目的。例如用抗胆碱药如盐酸山莨菪硷,降低胃肠道张力,有利于显示胃肠道粘膜面的细微结构及微小病变;用于消除胃肠道痉挛,使某些异常如溃疡龛影得以显示;帮助鉴别狭窄是痉挛性还是器质性。
肌肉注射新斯的明或口服胃复安(灭吐灵)可以增强胃肠道紧张力,促进蠕动,在小肠检查时可缩短钡剂运行时间,能在较短的时间内(1~2小时)观察全部小肠。将甘露醇混合在钡剂内服用,也能使钡剂较快地通过小肠,缩短检查时间。
1.钡剂造影检查按检查范围可分为:①上胃肠道造影:包括食管、胃、十二指肠及上段空肠;②小肠系造影:可在上胃肠道造影后每隔1~2小时检查一次,用于空、回肠及回盲部的检查;③结肠造影;分为钡剂灌肠造影及口服法钡剂造影,前者为检查结肠的基本方法。
按造影方法可分为传统的钡剂造影法和气钡双重造影法。传统的钡剂造影法包括:①粘膜法:应用少量钡剂以显示粘膜皱襞形态,结构,为粘膜像;②充盈法:应用较多钡剂使受检部位完全充盈,显示其轮廓、形状和蠕动等,为充盈像;③加压法;适当压迫受体检部位,推开较多的钡剂以显示病变的某些特征,为加压像。气钡双重造影法;简称双重造影,是先后引入气体与钡剂,使受检部之粘膜面均匀涂布一层钡剂,气体则使管腔膨胀,以显示粘膜面的细微结构及微小异常。
为了检查小肠还可用小肠灌钡造影。将十二指肠导管置于十二指肠远端,在透视下于5~6分钟内灌注低浓度钡剂500~600ml,观察小肠情况。一般20~30分钟到达回盲部;多注入气体并用抗胆碱药行低张双对比造影。
2.血管造影动脉造影主要用于钡剂检查无所发现的胃肠道出血和和肿。在急性大出血和腹部外伤出血可立即确定出血部位,以便迅速行血管栓塞治疗或手术治疗。
造影方法是以经股动脉穿剌,在透视监视下,将特殊曲度的导管插入腹腔动脉、肠系膜上动脉或肠系膜下动脉,注入造影剂,快速连续摄影,可显示血管发育异常和肿瘤的异常血管,如有大出血可见造影剂自血管逸出。这种将导管放入主动脉一级分支的方法为选择性动脉造影(selective arteriography)。发将导管放入第2~3级分支如胃十二指肠动脉、右结肠动脉等,为超选择性血管造影(superselective angiography)。造影剂量可以大为减少,显影更为清楚。
对于门静高压、食管或胃静脉曲张的患者,可作门静脉造影以及显示侧支循环的走向和程度,为治疗方案的选择提供资料,也可作疗效的追踪观察。
二、正常X线表现
(一)咽部咽部在侧位上像可以观察。口咽和喉咽(下咽)的前缘由上到下为舌根、会厌奚。会厌和喉,后缘是椎前软组织,轮廓光滑整齐,厚度一般不超过0.5cm,但下咽部以下的椎前软组织厚度可达18mm(包括食的厚度)。吞钡正位观察,上方正中透明区为会厌,其两旁充负的小囊状结构是会厌谿,会厌谿外下方较大的充钡空腔是梨状窝近似菱形且两侧对称,两侧梨状窝中间的透明区是喉头,勿误认为病变。梨状窝向中线汇合,向下引入食管,汇合处有生理狭窄区,长约1cm,相当第6颈椎水平。侧位观察,会厌谿在上方偏前,梨状窝则在下方靠后。吞咽时梨状窝收缩,上移且变小,静止时较宽大。梨状窝内钡剂多为暂时充盈,片刻即排入食管。
(二)食管食管为一肌肉管道,于第6颈椎水平与下咽部相连,其下端相当第10~11胸椎水平与贲门相连。腹段食管在肝左叶之后向左下斜行入胃。在食管上口与咽连接处以及在膈的食管裂孔处各有一生理性高压区。为上、下食管括约肌。
吞钡后正位观察,食管位于中线偏左。轮廓光滑整齐,管壁伸缩自如,宽度可达2~3cm。右缘可见主动脉弓和左主支气管压迹。右前斜位是观察食管的常用位置,在其前缘可见三个压迹,由上到下为主动脉弓压迹和左心房压变迹(图4-2-1)。在上两个压迹之间,食管往往略显膨出,勿误诊为憩室。在老年,明显迂曲的降主动脉可在食管下段后缘造成另一个压迹。食管的粘膜皱襞表现为数条纤细纵行而平行条纹状影,与胃小弯的粘膜皱襞相连续。

图4-2-1 正常食管(吞钡右前斜位)
食管的蠕动将钡剂由上向下推进,可分两种:第一蠕动波系由下咽动作激发,使钡剂迅速下行,数秒内进入胃。第二蠕动波又名继发蠕动波,由食物团对食管壁的压力引起,常始于主动脉弓水平向下推进。所谓第三收缩波是食管环状肌的局限性不规则收缩性运动,形成波浪状或锯状边缘,出现突然,消失迅速,多发于食管下段,常见于老年和食管贲门失弛缓症患者。深吸气时膈下降,食管裂孔收缩,常使钡剂于膈上主停顿,形成食管下端膈上一小段长约4~5cm的一过性扩张,称为膈壶腹呼气时消失,属正常表现。
贲门上方3~4cm长的一段食管,是从食管过渡到胃的区域,称为胃食管前庭段,具有特殊的神经支配和功能。此段是一高压区,有防止胃内容物返流的重要作用。现在将原来所定下的食管括约肌与胃食管前庭段统称为下食管括约肌。它的左侧壁与胃底形成一个锐角切迹,称为食管胃角或贲门切迹。
(三)胃 胃分胃底、胃体、胃窦三部分及胃小弯和胃大弯(图4-2-2)。胃底立位时含气称胃泡。幽门为长约5mm的短管,宽度随括约肌收缩而异,将胃和十二指肠相连。

图4-2-2 胃各部名称
胃的形状与体型、张力和神经系统的功能状态有关。一般分为四种类型(图4-2-3)。牛角型胃,位置与张力均高,呈横位,上宽下窄,胃角不明显,多见于胖型人。钩型胃,位置与张力中等,胃角明显,胃下极大致位于髂嵴水平。长型胃,又名无力型胃,位置与张力均较低,胃腔上窄下宽如水袋状,胃下极常在髂嵴平面以下,多见于瘦长型人。瀑布型胃,胃底呈囊袋状向后倾,胃泡大,胃体小,张力高,钡先进入后倾的胃底,充满后再溢入胃体,犹如瀑布。
胃的轮廓在胃小弯和胃窦大弯一般光滑整齐。胃体大弯轮廓常呈锯齿状,系横、斜走行的粘膜皱襞所致。
胃的粘膜像皱襞间的沟内充钡,呈条纹状致密影。皱襞则为条状透明影。胃小弯的皱襞平行整齐,向大弯处逐渐变粗而呈横向或斜行。胃底皱襞较粗而弯曲,略呈网状。胃窦粘膜皱襞主要与小弯平行,有时亦可斜行。胃粘膜皱是可塑的,可以自行改变其形状。胃粘膜下层的厚度、粘膜肌层的张力及肌层的收缩与舒张以至服钡多少、加压轻重等对粘膜皱臂的粗细和走向都有影响。一般胃体部粘膜皱襞的宽度不超过5mm。
在胃双重造影片上,上述的粘膜皱襞消失而显示胃微皱襞(fine relief)的影像。胃微皱襞是胃小沟及其勾划出的胃小区。胃小区直径约1~3mm。圆形或类圆形的小隆起,呈网眼状,在胃窦易于见到。胃小沟充钡后表现为很细的线状,宽度小于1mm,粗细深浅均匀。

图4-2-3 胃的分型
胃的蠕动由胃体上部开始,有节律地向幽门方向推进,同时波形逐渐加深,一般同时可见2~3个蠕动波。胃窦没有蠕动波,是整体向心性收缩,使胃窦呈一细管状,将钡剂排入十二指肠。片刻后胃窦又整体舒张,恢复原来状态。但不是每次胃窦收缩都有钡剂排入十二指肠。胃的排空受胃张力,蠕动、幽门功能和精神状态等影向,一般于服钡后2~4小时排空。
(四)十二指肠 十二指肠全程呈C形,将胰头部包绕其中。在描述时,将十二指肠全程称为十二指肠曲(有人称之为弯或袢)。一般分为球部、降部和升部。球部呈锥形,两缘对称,尖部指向右上后方,底部平整,球底两侧称为隐窝或穹窿,幽门开口于底部中央。约在第1腰椎水平处急转向下成为降部。在球部与降部之间还有一小段,称为球后部,其长短差别较大。降部位于第1~3腰椎的右缘,在第3腰椎高度转向左上成为升部。升部在第1~2腰椎水平急转向下续为空肠。
球部轮廓光滑整齐,粘膜皱襞为纵行彼此平行的条纹。降部以下则与空肠相似,多呈羽毛状。球部的运动为整体性收缩,可一次将钡排入降部。降、升部的蠕动多呈波浪状向前推进。十二指肠正常时可有逆蠕动。
低张造影时,十二指肠管径可增宽一倍,羽毛状皱襞消失,代之以横行排列的环状皱襞或呈龟背状花纹。降部内缘可较平直或略凸,有者可在内缘中段交界有一肩样突起,称为岬部,为乳头所在处,其下的一段较平直。平直段内可见纵行皱襞。十二指肠乳头易于显示,位于降部中段的内缘附近,呈圆形或椭圆形透明区,一般直径不超过1.5cm。
(五)空肠与回肠 空肠与回肠之间没有明确的分界,但上段空肠与下段回肠的表现大不相同。空肠大部分位于左上中腹,富于环状皱襞且蠕动活跃,常显示为羽毛状影像,如肠内钡剂少则表现为雪花状。回肠肠腔略小,皱襞少而浅,蠕动不活跃,常显示为充盈像,轮廓光滑。肠管充钡较少、收缩或加压时可以显示其皱襞影像,呈纵行或斜行。末段回肠自盆腔向右上行与盲肠相接。回盲瓣的上下缘呈唇状突起,可在充钡的盲肠中形成透明影。蜿蜒盘曲的肠管称为肠曲或肠袢。小肠的蠕动是推进性运动,空肠蠕动迅速有力,回肠慢而弱。有时可见分节运动。服钡后2~6小时钡先端可达盲肠,7~9小时肠排空。
(六)大肠 大肠绕行于腹四周。横结肠和乙状结肠的位置及长度变化较大,其余各段大肠较固定。直肠居骶骨之前,其后部与骶骨前部紧密相邻。直肠壶腹为大肠中最宽的部分,其次为盲肠,盲肠以下的肠管则逐渐变小。大肠的长度和宽度随肠管的充盈状态及张力而不同,位置还与患体位和呼吸状态有关。
结肠X线表现的主要特征,是充钡时可见多数大致对称的袋状凸出,为结肠袋(图4-2-4)。它们之间由半月襞形成不完全的间隔。结肠袋的数目、深浅、大小因人因时而异,横结肠以上较明显,降结肠以下逐渐变浅,至乙状结肠接近消失。充盈过满或肠管收缩均可使结肠袋消失。直结肠没有结肠袋,但在壶腹的两侧和前壁可见浅切迹,由半月形皱襞所造成。大肠的粘膜皱襞表现为纵、横、斜三种方向交错结合的纹理。盲肠与升、横结肠的皱襞较密,以斜行及横行为主,降结肠以下皱襞渐稀且以纵行为主。大肠的蠕动主要是总体蠕动,右半结肠出现强烈的收缩,成细条状,将钡剂迅速推向远侧。结肠的充盈和排空时间差异较大,一般服钡后24~48小时排空。

图4-2-4 正常大肠(充盈像)
阑尾在钡餐或钡灌肠时可能显影,呈长条状影位于盲肠内下方。一般粗细均匀,边缘光滑,易于推动。阑尾不显影、充盈不均或其中有粪石而造成充盈缺损不一定是病理性的,阑尾的排空时间与盲肠相同,但有时可以延迟达72小时。
在双重造影照片上,有可能见到结肠的微皱襞,又称无名沟或无名线,这是一些纤细、长短不等、相距不足1mm、与肠垂直的线条影,它们可以平行,或成网状。观察微皱襞的形态有助于结肠病变的早期诊断。
三、基本病变X线表现
钡剂造影显示的是胃肠道内腔或内壁。当胃肠道病变引起粘膜和管腔改变时,可由造影检查显示。胃肠道肿瘤、溃疡、炎症可以造成形态和功能的改变。
(一)轮廓的改变胃肠道壁上的病变,可使其轮廓发生改变。
1.龛影 龛影(crater)是由充钡的胃肠轮廓某局部向外突出的含钡影像(图4-2-5)。来自胃肠道壁的局限性缺损,见于胃肠道溃疡,也是作为描述溃疡的钡剂造影表现。切线位易于显示,轴位投影则呈钡斑与胃肠道重迭。

图4-2-5 胃小弯溃疡示意图
胃肠道憩室则表现为肠轮廓上向外膨出的囊袋状影像,与龛影表现不同。
2.充盈缺损 充盈缺损(filling defect)是充钡胃肠轮廓某局部向内突入未被钡剂充盈的影像(图4-2-6),来自胃肠道上局限性肿块,多见于胃肠瘤,也是肿瘤的直接征象。也见于胃肠炎性肉芽肿和异物。

图4-2-6 食管癌示意图
A标本所见,食管腔内有菜花状肿物
B造影所见,服钡剂后显示为充盈缺损
(二)粘膜与粘膜皱襞的改变 粘膜的异常表现对发现早期病变和鉴别诊断有重要意义。
1.粘膜破坏 表现为粘膜皱襞影像消失,代之以杂乱不规则的钡影,大都由于恶性肿瘤侵蚀所致。粘膜破坏与正常皱襞常有明确的分界,造成粘膜皱襞中断的表现。
2.粘膜皱襞平坦 表现为皱襞的条纹状影变得不明显,严重时可完全消失。造成这种表现的原因有二:一是粘膜和粘膜下层被恶性肿瘤浸润,其特点是形态较为固定而僵硬,与正常粘膜有明显分界,常出现在肿瘤破坏区的周围。另一类是由于粘膜和粘膜下层的炎性水肿引起,与正常粘膜皱襞无锐利的分界而逐渐移行,常见于溃疡龛影的周围。
3.粘膜皱襞增宽和迂曲 是由粘膜和粘膜下层的炎性浸润、肿胀和结缔组织增生引起,表现为透明条纹影的增宽,也称为粘膜皱襞的肥厚和肥大,常伴有皱襞的迂曲和紊乱,多见于慢性胃炎(图4-2-7)。粘膜下静脉曲张也常表现为皱襞的增宽和迂曲。

图4-2-7 慢性胃炎
胃粘膜皱襞增粗、迂曲
4.粘膜皱襞纠集 表现为皱襞从四周向病变区集中,呈放射状。常由慢性溃疡性病变产生纤维结缔组织增生(瘢痕收缩)而造成。有时硬癌(浸润型癌)的收缩作用也能造成类似的改变,但较僵硬而不均匀。
5.胃小区及胃沟异常 胃小区及胃沟的异常在疾病的诊断中有较大价值。中度和重度萎缩性胃炎,胃小沟宽增宽、密度增高,胃小区增,且大小不均。炎性糜烂使胃小沟和胃小区破坏消失,有小片不规则钡剂存在其中。良性溃疡周围胃小区和胃小沟存在,但大小粗细不均。癌瘤局部胃小区和胃小沟完全破坏消失,其周围可见极不规则的沟纹。因胃小区和胃小沟完全破坏消失,其周围可见极不规则的沟纹。因胃小区和胃小沟并不是总能清晰显示,判断时要慎重。
(三)腔大小的改变 超正常范围的持久性管腔缩小为狭窄。炎症性纤维组织增生所造成的狭窄,范围较多广泛或具有分段性,边缘较整齐。癌瘤造成的狭窄范围多较局限,边缘多不整齐,且管壁僵硬,局部常触及包块。外在压迫引起的狭窄多在管腔一侧,可见整齐的压迹或伴有移位。先天性狭窄边缘多光滑而较局限。肠粘连引起的狭窄形状较不规则,肠管的移动主受限,甚或互相聚拢。痉挛造成的狭窄,形状可以改变,痉挛消除后即恢复正常。
超过正常限度的持久性管腔增大为扩张或扩大。胃肠扩张多由于远侧有狭窄或由于紧张力降低,常累及较长范围。由梗阻引起的管腔扩大常有液体和气体的积聚,并有蠕动增强,例如幽门梗阻和肠梗阻。由于紧张力降低引起的管腔扩大没有通过障碍,也有液体和气体积聚,但蠕动减弱。发现管腔扩张伴蠕动增强时,应注意显示狭窄的部位、程度、范围等,以明确诊断。
(四)位置及可动性的改变 病变的压迫和推移可改变胃肠道的位置。推移常使某处比较“拥挤”,而另外又比较空虚。压迫常使胃或肠管出现弧形压迹,多可拉及肿物。粘连与牵拉除造成位置改变以外,还常引起可动性受限。先天性异常可以使胃肠道改变,例如盲肠位过高或过低等。胃肠道可动性受性主要见于粘性病变。先天性固定不良或腹水,肠管可动性加大。
(五)功能性改变 胃肠道器质性病变常有功能性改变,包括张力、蠕动、运动力和分泌功能等改变,但功能性改变也可以单独存在。
1.张力的改变 胃肠道有一定的张力,维持管腔的正常大小,犹如一个弹性口袋具有一定的松紧度一样。张力由神经系统调节和平衡。迷走神经兴奋使张力增高,交感神经兴奋或迷走神经麻痹使张力降低。张力高使管腔缩窄、变小、而张力低则使管腔扩大。引起张力改变的原因可以是神经反射性的,也可以由于局部剌激(如溃疡)所致。
痉挛是局部张力增高,多为暂时性。食管痉挛表现为轮呈波浪状,明显时可呈螺旋状。胃大小弯的痉表现为一个或多个深浅不等的凹陷,其边缘光滑。胃窦痉挛表现为胃窦狭窄,但其形状可变,胃壁柔软,使用解痉药物可以消除。幽门痉挛使幽门持久收缩,钡通过幽门及胃排空延迟。十二脂肠和回盲部痉挛使它们充盈不良,一旦充盈迅即排空。肠痉挛使肠管细小,袋形增多,肠壁出现多个凹陷切迹,使肠壁呈波浪状。
2.蠕动的改变 可为蠕动波的多少、深浅、运行速度和方向的改变。蠕动增强表现为波增多、加深和运行加快,蠕动减弱表现为波减少、变浅和运行缓慢。与正常运行方向相的反的蠕动为逆蠕动,可能出现在梗阻区的上方。胃肠的麻痹可使蠕动消失,肿瘤浸润使局部蠕动消失。
3.运动力的改变 运动力为胃肠道输送食物的能力具体表现在钡剂到达和离开某部的时间。例如,服钡后4小时胃尚未排空可认为胃运动力减低或称胃排空延迟。服钡后少于2小时即到达盲肠为小肠运动力增强或通过缓快,超过6小时为运动力减弱或通过缓慢。超过9小时而小肠尚未排空为运动力减低或排空延迟。胃肠道内钡剂的排空同张力、蠕动和括约肌功能等有密切的关系。
4.分泌功能的改变 某些病变可以引起分泌功能的改变。胃分泌增加造成空腹状态下胃液增多,在站立位可见胃内液面,为空腹潴留。服钡时可见钡剂不能均匀地涂布在胃壁上而呈絮片状下降和不均匀分布。小肠分泌增加使粘膜皱襞膜糊或使钡剂分散在分泌液中,呈不定形的片状影。大肠分泌增多时,钡剂附着不良,肠管的轮廓显示不清或在粘液中呈现线条状钡影。
四、胃肠道病症X线表现与诊断
(一)食管静脉曲张 食管静脉曲张(esophageal varices)是门静脉高压的重要并发症,常见于肝硬化。
正常情况下,食管下半段的静脉网与门静脉系统的胃冠状静脉、胃短静脉之间存在着吻合。当门静脉血液受阻时,来自消化器官及脾等的回心血液不能进入肝,而被迫另找出路,大量血液通过胃冠状静脉和胃短静脉进入食管粘膜下静脉和食管周围静脉丛,经奇静脉进入上腔静脉,于是形成食管和胃底静脉曲张。
X线检查是发现食管静脉曲张的有效、简便而安全的一种方法。
早期食管静脉曲张发生于食管下段,表现为粘膜皱襞稍增宽或略为迂曲,有时因皱臂显示不连续而如虚线状,管壁边缘也稍不整齐。典型表现为食管中下段的粘膜皱襞明显增宽、迂曲,呈蚯蚓状或串珠状充盈缺损,管壁边缘呈锯齿状(图4-2-8)。病变加重。上述表现则更为明显,食管张力降低,管腔扩张,蠕动减弱,钡剂排空延迟,病变也逐渐向上发展。本病的食管壁柔软而伸缩自如,是与食管癌的重要鉴别点。

轻度中度
图4-2-8 食管静脉曲张
食管粘膜皱增粗、扭曲,呈串珠状
(二)食管癌 食管癌(esophageal carcinoma)好发于40~70岁的男性,主要症状是进行性吞咽困难。食管癌的病理形态分为三型:①浸润型:管壁呈环状增厚、管腔狭窄;②增生型:肿瘤向腔内生长,形成肿块;③溃疡型:肿块形成一个局限性大溃疡,深达肌层。以上各个型可混合出现。有人将食管癌分为四型:①髓质型;②蕈伞型;③溃疡型;④缩窄型。
食管癌的X线表现可概括为以下几点(图4-2-9):①粘膜皱臂消失、中断、破坏,代之以癌瘤表面杂乱不规则的影像;②管腔狭窄,在典型浸润型癌,肿瘤表现为环状狭窄,狭窄范围一般局限,为3~5cm,边缘较整齐,与正常区分界清楚。钡餐通过受阻,其上方食管扩大。管腔狭窄也见于各型食管癌的进展期,范围常较大,轮廓不规则、不对称,管壁僵硬;③腔内充盈缺损,癌瘤向腔内突出,造成形状不规则,大小不等的充盈缺损,是增生型癌的主要表现(图4-2-9);④不规则的龛影,见于溃疡型癌,可见一个较大、轮廓不规则的长形龛影,其长径与食管的纵轴一致,周围不规则的充盈缺损。向食管壁内或管外生长的肿瘤可形成纵隔内肿块影。

图4-2-9 食管癌(增生型)食管中段显示不规则
充盈缺损,粘膜破坏,管腔狭窄
以上这些表现常不同程度地同时存在。
早期食管癌只侵犯粘膜和粘膜下层,范围局限,症状轻微,必须进行细致的检查才能作出诊断。其X线表现为:①病变区粘膜皱襞增粗、迂曲、紊乱、毛糙和中断;②在紊乱毛糙的粘膜面上出现一些0.2~0.4cm的小龛影;③出现局限性小充盈缺损,直径约0.5cm,最大不超过2cm;④食管壁一小段柔软度和舒张度减低。此外可出现病变区钡剂通过减慢和痉挛表现。正确的检查方法是诊断早期食管癌的重要环节,应拍摄良好的食管双重造影像,清晰显示粘膜的细微结构,才能早期发现。
不同部位的食管癌有其特殊的表现。食管上端癌使气管后软组织影增宽,喉向前推移,钡易返流入气管。食管下端癌常为胃贲门癌向上发展所致,有时可在胃贲门部和胃泡内见到软组织块影,或贲门附近的侵犯。在某些有吞咽困难而难而食管检查阴性的患者,尤应注意贲门和胃底的情况。
食管癌的并发症可产生相应的X线表现。食管癌穿孔形成瘘管,可见造影剂逸出食管轮廓之外。癌瘤穿入纵隔可造成纵隔炎和纵隔脓肿,使纵隔影增宽,有的可见液面,其中有钡剂进入。并发食管气管瘘,则钡剂经瘘管进入相应的支气管,使之显影(大多为左下叶)。食管癌有胸内淋巴结转移,发展够大时可造成肺门增大,呈结节状,使上纵隔增宽。明显增大的淋巴结可使食管发生移位。X线检查对判断肿瘤能否切除及预后有较大价值,而CT检查对食管癌的分期,可切除性及预后的判断更为精确。
(三)胃、十二指肠溃疡 胃、十二指肠溃疡(gastric ulcer,duodenal ulcer)是常见疾病,好发于20~50岁。十二指肠溃疡的发病率约为胃溃疡的五倍。
溃疡从粘膜开始并侵及粘膜下层,常深达肌层,其直径多为5~20mm,深为5~10mm。溃疡口部周围呈炎变水肿。慢性溃疡如深达浆膜层时,称穿透性溃疡。如浆膜层被穿破且穿入游离腹腔者为急性穿孔。后壁溃疡易致慢性穿孔,与网膜、胰等粘连甚至穿入其中。溃疡周围具有坚实的纤维结缔组织增生者,称为胼胝性溃疡。溃疡愈合后,常有不同程度的瘢痕形成,严重者可使胃和十二指肠变形或狭窄。溃疡常单发,少数为多发。胃和十二指肠同时发生溃疡称为胃合性溃疡。
本病的临床表现主要是上腹部疼痛,具有反复性、周期性和节律性的特点。严重者可继发大出血和幽门梗阻。胃溃疡可恶性变。
1.胃溃疡 胃溃疡的直接征象,是龛影(图4-2-10、11)。多见于小弯,切线位呈乳头状、锥状或其他形状,边缘光滑整齐,密度均匀。底部平整或稍不平。龛影口部常有一圈粘膜水肿所造成的透明带。这种粘膜水肿带是良性溃疡的特征,依其范围而有不同的表现:①粘膜线;为龛影口部一条宽1~2mm的光滑整齐的透明线;②项圈征:龛影口部的透明带宽0.5~1cm,如一个圈;③狭颈征:龛影口部明显狭小,使龛影犹如具有一个狭长的颈。慢性溃疡周围的瘢痕收缩,造成粘膜皱襞均匀纠集。这种皱襞如车轮状向龛影口部集中且到达口部边缘并逐渐变窄,是良性溃疡又一特征。

4-2-10 胃溃疡
胃角部突出腔外的龛影(↓)

图4-2-11 胃溃疡
胃窦部圆形龛影(↓)
显示龛影以双重造影及加压法较准确,双重造影尚可清晰显示线形溃疡,其龛影呈线状、哑铃状或蝌蚪状等。
胃溃疡引起的功能性改变包括:①痉挛性改变,表现为胃壁上的凹陷(又称切迹),小弯龛影,在大弯的相对处出现深的痉挛切迹,犹如一个手指指向龛影(图4-2-12)。胃窦痉挛或幽门痉挛也很常见;②分泌增加,使钡剂不易附着于胃壁,液体多时在胃内形成液面;③胃蠕动增强或减弱,张力增高或减低,排空加速或减慢。此外,龛影处常有不同程度的压痛。溃疡好转或愈合时,功能性改变也常随之减轻或消失。
胃溃疡引起的瘢痕性改变可造成胃的变形和狭窄。小弯溃疡可使小弯缩短,致幽门与贲门靠近。也可以使胃体呈环状狭窄而形成“葫芦胃”。幽门处溃疡可造成幽门狭窄和梗阻。
胃溃疡还有一些特殊表现:①穿透性溃疡:龛影深而大,深度和大小均超过1cm,龛影周围常有范围较大的水肿带;②穿孔性溃疡:龛影甚大,如囊袋状,其中常出现液面和分层象,即气液钡三层或气钡两层现象,但这种表现并非穿孔性溃疡所特有;③胼胝性溃疡;龛影较大,达1.5~2cm,深度一般不超过1cm。龛影口部有一圈较宽的透明带,其边界清楚而整齐,常伴有粘膜皱襞纠集。这种溃疡与恶性溃疡难于鉴别。
胃溃疡愈合的X线表现为龛影变浅变小,周围水肿减轻或消失,较大溃疡愈合后可遗留一些瘢痕,使局部胃壁平坦而蠕动呆滞,该处皱襞可平坦或纠集,但无龛影。较小溃疡愈合后可不留痕迹。
慢性胃溃发生恶变且发展到一定阶段,可在良性溃疡表现的基础上出现一些恶性表现:①龛影周围出现小结节状充盈缺损,犹如指压迹;②周围粘膜皱襞呈杵状增粗或中断;③龛影变为不规则或边缘出现尖角征;④治疗过程中龛影增大。胃溃疡恶变发展到后期,与溃疡型癌的表现一样,统称为恶性溃疡。
2.十二指肠溃疡十二指肠溃疡绝大部分发生在球部,占90%以上。球部腔小壁薄,溃疡易造成球部变形,X线检查易于发现。球部溃疡常较胃溃疡小,直径多为4~12mm,大都在后壁或前壁,因此多显示为轴位象,表现为类圆形或米粒状密度增高影(图4-2-13),其边缘大都光滑整齐,周围常有一圈透明带,或有放射状粘膜皱襞纠集。可以是单个或多个。龛影通常使用加压法或双重造影法才能显示。

图4-2-12 胃溃疡——大弯侧痉挛切迹
↑ 龛影,
痉挛切迹

图4-2-13 十二指肠球部溃疡
十二指肠球部小弯侧龛影(↓),周围水肿而内陷,
其对侧可见痉挛切迹(↑)。上角图为加压像,显
示龛影更清晰
许多球部溃疡不易显出龛影,但如有恒久的球部变形,也能作出溃疡的诊断(图4-2-14)。球部变形主要是由于瘢痕收缩、粘膜水肿和痉挛所致,可以是山字形、三叶形、葫芦形等。有时在变形的球部仍可显示龛影。球部溃疡愈合后,龛影消失,变形可继续存在。

图4-2-14 十二指肠球部溃疡(变形)
球部呈不同形状的变形,有的其中可见龛影(↓)
此外,球部溃疡还可出现一些其他征象:①激惹征:表现为钡剂到达球部后易停留,迅速排出;②幽门痉挛,开放延迟;③胃分泌增多和胃张力及蠕动方面的改变等。也常伴有胃炎的一些表现如胃粘膜皱襞的粗乱、迂曲等;④球部有固定压痛。
(四)胃癌 胃癌(gastric carcinoma)是胃肠道最常见的肿瘤,好发于40~60岁。可发生在胃的任何部位,但以胃窦,小弯和贲门区常见。
按胃癌的大体形态常将胃癌分为三型:①蕈伞型(息肉型、肿块型、增生型):癌瘤向胃腔内生长,表面大多高低不平,如菜花样,常有糜烂,与周围壁有明确的分界;②浸润型(硬癌):癌瘤沿胃壁浸润生长,常侵犯胃壁各层,使胃壁增厚、僵硬,弹性消失。粘膜表面平坦而粗糙,与正常区分界不清,病变可只侵犯胃的一部,但也可侵及胃的全部,形成“革袋状胃”;③溃疡型;癌瘤常深达肌层,形成大而浅的盘状溃疡,其边缘有一圈堤状隆起称环堤。溃疡型癌又称恶性溃疡。
临床表现主要是上腹疼痛,不易缓解,吐咖啡渣样血液或有柏油便,可以摸到肿块或发生梗阻症状。
1.胃癌X线表现 X线表现与大体形态有关,但不能截然划分。常见下列表现。①充盈缺损,形状不规则(图4-2-15),多见于蕈伞型癌;②胃腔狭窄、胃壁僵硬,主要由浸润型癌引起,也可见蕈伞型癌(图4-2-16);③龛影,见于溃疡型癌,龛影形状不规则,多呈半月形,外缘平直,内缘不整齐而有多个尖角;龛影位于胃轮廓之内;龛影周围绕以宽窄不等的透明带,即环堤,轮廓不规则而锐利,其中常见结节状或指压迹状充盈缺损(图4-2-17)。以上表现被称为半月综合征;④粘膜皱襞破坏、消失或中断,粘膜下肿瘤浸润常使皱襞异常粗大、僵直或如杵状和结节状,形态固定不变;⑤癌瘤区蠕动消失。
不同部位胃癌的X线表现又有些特殊性,不再赘述。

图4-2-15 胃底癌(蕈伞型)
胃底贲门区巨大肿块,不规则

图4-2-16 胃体癌(局限浸润型)
胃体部明显狭窄、僵硬(↓)

图4-2-17 胃窦癌(溃疡型)
胃窦部小弯侧腔内不规则龛影,
其周围 有不规则的环堤
2.早期胃癌当前国内外多采用日本内镜学会提出的早期胃癌定义和分型。早期胃癌是指癌限于粘膜或粘下层,而不论其大小或有无转移。早期胃癌依肉眼形态分为三个基本型,尚有混合型,见表4-2-1。
表4-2-1 早期胃癌分型

胃双重造可显示粘膜面的细微结构而对早期胃癌诊断具重要价值。①隆起型(Ⅰ型):肿瘤呈类圆形突向胃腔,高度超过5mm,边界清楚;②表面型(Ⅱ型):肿瘤表浅,平坦,沿粘膜及粘膜下层生长,形状不规则,边界清楚,少数病例境界不清。其三个亚型中的隆起及凹陷均不超出5mm。此型需在良好的双重造影及加压象上才能显示,可见胃小区及胃小沟破坏呈不规则的颗粒状杂乱影,有轻微的凹陷和僵直,多数病区界限清楚;③凹陷型(Ⅲ型):肿瘤形成明显凹陷,超过5mm,形状不规则。双重造影及加压法可显示形态不整、边界明显的龛影,其周边的粘膜皱襞可出现截断、杵或融合等,但有时难与溃疡的龛影鉴别。
早期胃癌的诊断要综合X线、胃镜、活检等材料才能诊断。
3.胃癌的鉴别诊断
(1)胃恶性溃疡与良性溃疡的鉴别诊断:应从龛影的形状,龛影口部的充钡状态及周围的粘膜皱襞情况,邻近胃壁的柔软和蠕动等作综合分析,才能得到较正确的结论。现将主要鉴别点列表4-2-2。
表4-2-2 胃良性溃疡与恶性溃疡的X线鉴别诊断
| 良性溃疡 | 恶性溃疡 | |
| 龛影形状 | 圆形或椭圆形,边缘光滑整齐 | 不规则,扁平,有多个尖角 |
| 龛影位置 | 突出于胃轮廓外 | 位于轮廓之内 |
| 龛影周围和口部 | 粘膜水肿的表现如粘膜线、项圈征、狭颈征等。粘膜皱襞向龛影集中直达龛口 | 指压迹样充盈缺损,有不规则环提,皱襞中断、破坏 |
| 附近胃壁 | 柔软,有蠕动波 | 僵硬,峭直,蠕动消失 |
(2)胃窦癌与胃窦炎的鉴别诊断:胃窦炎或胃窦慢性溃疡可以引起胃窦痉挛、变形和狭窄,因溃疡较小而可以查不出龛影,需与胃窦癌鉴别。鉴别的着重点是观察粘膜皱襞是否完整和胃壁是否柔韧等,见表4-2-3。
表4-2-3 胃窦癌与胃窦炎的X线鉴别诊断
| 胃窦癌 | 胃窦炎 | |
| 粘膜皱襞 | 破坏消失 | 存在,常肥大、迂曲、粗乱 |
| 轮廓 | 不齐、陡峭 | 较整齐或如波浪形 |
| 胃壁柔韧度 | 僵硬不变 | 柔软可变化 |
| 蠕动 | 消失 | 存在 |
| 病变区与正常区的分界 | 截然、清楚 | 无明确分界 |
| 肿块 | 大多有 | 没有 |
(五)肠结核 肠结核(intestinal tuberculosis)多继发于肺结核。肠结核好发于青状年,常与腹膜结核和肠系膜淋巴结结核同时存在。临床上常为慢性起病,长期低热,有腹痛、腹泻、消瘦、乏力等。
肠结核好发于回盲部其次为空、回肠。病理上常将肠结核分为溃疡型和增殖型,但实际上不能截然区分。
溃疡型肠结核,首先是肠壁集合淋巴结和淋巴滤泡受侵,形成干酪样病灶,随后溃破而成为溃疡,病变可沿肠壁扩散或向深部发展,易侵及浆膜,导致粘连或瘘管形成。溃疡修复时可产生瘢痕组织,甚至造成肠狭窄。
增殖型肠结核,首先侵犯盲肠;再蔓延到升结肠和末段回肠。干酪样病变很少,而以大量肉芽组织增生为其特点。肠壁增厚、肠腔狭窄,局部可形成肿块。肠粘膜上可以有溃疡,但不严重。如有腹膜和肠系膜受累,可造成腹炎、肠粘连和腹水。
本病常首先口服钡餐检查,配合钡剂灌肠以全面了解肠道的形态与功能。
溃疡型肠结核的主要X线表现为患病肠管的痉挛收缩,粘膜皱臂紊乱。钡剂到达病变区时,如回盲肠结核,不能在该区正常停留,而迅即被驱向远侧肠管。因此常见到末段回肠、盲肠和升结肠的一部分充盈不良,或只有少量钡剂充盈,呈细线状,或者完全没有钡剂充盈,而其上、下、肠管则充盈如常。这种征象称之为“跳跃”征,是溃疡型肠结核较为典型的表现。钡剂灌肠检查,可发现回盲部并没有器质性狭窄,钡剂可以使肠管扩展而充盈,但粘膜皱襞紊乱或破坏或见到小点状或小刺状的龛影。肠道运动常加快(图4-2-18)。

图4-2-18 肠结核(溃疡型)
未段回肠、盲肠、升结肠痉挛
收缩,充盈不良,呈细线状(↓)
增殖型肠结核主要表现为肠和升结肠的狭窄、缩短和僵直。粘膜皱襞紊乱、消失,常见多数小息肉样充盈缺损,代表肠壁的肉芽组织增生。回盲瓣常受侵犯,表现为增生肥厚,使盲肠内侧壁凹陷变形,末段回肠扩大以及小肠排空延迟。如末段回肠受累,也可造成短段的狭窄与僵直以及皱襞的紊乱和息肉样改变,钡剂灌肠时上述改变恒久不变(图4-2-19)。

图4-2-9 肠结核(增殖型)
盲肠管壁增厚、管腔狭窄,欠规则,位置固定
(六)结肠息肉结肠息肉(polyp of colon)多数为腺瘤和炎性息肉,少数为错构瘤。腺瘤性息肉好发生于直肠、乙状结肠,为癌前期病变。
临床粘以反复性血便为主,或有粘液便、腹痛等。
钡灌肠是诊断息肉的重要方法,尤以双重造影重要。结肠充钡时,息肉表现为圆形充盈缺损,常光滑整齐,稍可活动,往往需要在加压时才能显出(图4-2-20)。如息肉带蒂,蒂显示为带状透明影,且可见息肉有一定的可动性,但与蒂始终相连。排钡后,息肉表面与肠粘膜上有钡剂残存,息肉显示为圆形影。双重造影上,息肉常显示更为清楚,在透明的气影中显示为边界锐利的肿块影,常有一圈钡影环绕。如表面有糜烂或溃疡可显示为不规则影像。
检查前准备肠道非常重要,否则肠内粪便将造成干扰或导致误诊。
下列情况应考虑息肉有恶变的可能:①息肉表面毛糙不规则,呈分叶状或菜花状;②息肉较大且基底较宽(大于3cm,70%~80%有恶性变可能);③息肉处肠壁内陷和僵直;④息肉迅速增大(1年内增大一倍)。

图4-2-20 结肠息肉

图4-2-21 盲肠癌 可见充盈缺损(↑)
多发息肉广泛累及全部结肠甚至小肠,称为息肉病(polyposis),有明显的家族遗传性,恶变机会也多,大多在儿童和青年期发病。钡灌肠可见肠腔内有很多弥漫分布的小充盈缺损,粘膜皱襞明显紊乱变形,肠管轮廓很不整齐。肠腔并无明显狭窄。
(七)结肠癌 结肠癌(carcinoma of colon)好发生在直肠乙状结肠。可分为三型:①增生型:肿瘤向腔内生长,呈菜花状,表面可有浅溃疡。肿瘤基底宽,肠壁增厚;②浸润型:癌瘤主要沿肠壁浸润,使肠壁增厚,病变常绕肠壁呈环形生长,使肠腔形成环形狭窄;③溃疡型:肿瘤主要表现为深而不规则的溃疡。
临床表现为腹部肿块、便血和腹泻,或有顽固性便秘,也可有脓血便或粘液样便。直肠癌主要表现为便血、粪便变细和里急后重感。
钡灌肠表现如下:①肠腔内出现充盈缺损,轮廓不规则(图4-2-21),粘膜皱襞破坏消失。病变多发生在肠壁的一侧,该处肠壁僵硬平直、结肠袋消失。如肿瘤较大,可使钡剂通过困难。病变区可摸到肿块;②肠管狭窄,常只累及一小段肠管,狭窄可偏于一侧或环绕整个肠壁,形成环状狭窄,轮廓可以光滑整齐或不规则。肠壁僵硬(图4-2-22)。粘膜破坏消失,病变界限清楚,此型肿瘤易造成梗阻,甚至钡剂止于肿瘤下界,完全不能通过。狭窄区可摸到肿块;③较大的龛影,形状多不规则,边缘多不整齐,具有一些尖角,龛影周围常有不同程度的充盈缺损和狭窄,肠壁僵硬,结肠袋消失,粘膜破坏。

图4-2-22 乙状结肠癌
乙状结肠局限性不规则环形狭窄,粘膜破坏
第二节 USG与CT诊断
胃肠道疾病的影像诊断中,USG和CT主要用于肿瘤诊断,但其目的不在于查出肿瘤,而是了解肿瘤向外侵犯的有无与程度,同周围脏器及组织间关系,有无淋巴结转移和远隔脏器的转移等。这有助于肿瘤的分期,为制定治疗方案和估计预后提供重要依据,也用于恶性肿瘤手术后、放射治疗或药物的随诊观察。因此,CT检查多在胃肠道造影检查发现病变后进行。
一般认为淋巴结径线大于1.5cm时为增大,在恶性肿瘤患者。多为转称所致。恶性肿瘤的淋巴转移可有假阴性及假阳性。需结合其他检查资料综合分析。
第三章 肝、胆、胰
肝、胆、胰位置邻近,关系密切,不少疾病彼此影响,检查方法也有许多共同之处。影像学检查是诊断肝、胆、胰疾病的重要手段,需要合理选择,互相补充,以获得正确的诊断。
USG检查安全、简便、可靠,价格适中,临床上常作为首选的检查方法,对胆系疾病如胆结石、胆囊炎的诊断价值尤为突出。CT检查以其优良的分辨力,恒定的断层和清晰的系列图像,常作为疾病的基本检查和进一步检查的方法,尤其对肝和胰疾病有进一步确诊的作用。胃十二指肠钡餐造影只能间接判断胰大小和形状的改变,其诊断价值有限。胆囊、胆管造影对判断胆囊、胆管病变有一定价值,多用于USG诊断不明的病例。胰管造影需经内镜施行,主要是示胰管和(或)胆管的狭窄、阻塞和扩张,其适应证有一定限度。目认为MRI对肝病变的鉴别有较大价值,用于USG和CT诊断有困难的病例,但它不能代替CT。
第一节 肝
肝影像学检查的目的,主要在于:①确定肝内占位性病变台肝肿瘤、肝脓肿和囊肿的有无,大小、位置与性质;②鉴别右上腹肿块的来源;③了解肝的结构和其他病变,如门静脉高压的原因及其侧支循环形成的情况。
普通X线检查价值有限。CT和USG可以在无损伤的情况下查知肝内的结构并显示病变,已成为首选检查方法。肝动脉造影对诊断肝占位性病变和血管病变有较大价值,常在USG和CT不能确诊的情况下,或在介入治疗前施行。
一、X线诊断
(一)X线检查方法与正常表现 肝区平片和透视只能大致了解肝的大小、轮廓和密度,并显示钙斑。诊断价值有限。
选择动脉造影:对诊断肝内占位性病变特别是肝癌有较大价值。原发性或转移性肝癌及肝血管瘤,主要由肝动脉供血,肝动脉造影可显示肿瘤的血管结构,从而作出定位和定性诊断。
通常采用经皮股动脉穿刺插管造影法。将导管插入腹腔动脉。快速射造影剂并作系列摄影,称为选择性腹腔动脉造影。常用76%泛影葡胺60ml。右观察肝的动脉期、毛细血管期和实质期。由于脾动脉同时显影,故可观察脾的情况,而且还可使脾、门静脉显影,称为间接性脾门静脉造影(indirect splenoportography)。如将导管送入肝动脉,虽用较少的造影剂,肝血管显影也好,且避免其他管干扰,称为超选择性肝动脉造影。
肝动脉造影能显示肝内动脉分支。正常动脉边缘整齐,走行自然,并有一定规律,管径由粗变细。毛细血管期显示多数细小毛细小血管,实质期使肝密度普遍均匀增高。
(二)肝疾病X线表现与诊断 仅叙述肝肿瘤、肝脓肿。
1.肝肿瘤 肝良性肿瘤种类很多如,如血管瘤、错构瘤等。肿瘤多较小且有包膜,不引起临床症状,常因其他原因作肝检查时偶然发现。肿瘤较大或出血可造成肝区胀痛。平片可能发现肝轮廓的改变如膈隆凸和升高。
(1)原发性肝癌(primary livercarcinoma):常见,多在慢性肝炎和肝硬化的基础上发生,分为巨块型、结节型及弥漫型。多见于40岁以上的人。早期无症状或只有肝区疼痛、腹胀、不适等。待出现肿块时病情常已进入中、晚期。及时发现肝癌是提高疗效的主要途径。如果化验检查甲胎球蛋白测定阳性,应进行影像学检查确诊。
选择性肝动脉影是诊断肝癌的有效方法,它能查出直径小至2cm的肝癌,并确定其范围与数目,供血是否丰富,还可了解有无肝硬化和附近有无肿瘤转移。肝癌的动脉造影可有以下表现:①显示肿瘤血管,表现为肿瘤区内大小不均、形状不规则的血管影或呈“湖样”充盈,其供血动脉增粗;②动脉拉直和移位,动脉边缘不规则且僵硬,系因肿瘤包绕所致;③毛细血管期可见肿瘤染色,呈高密度的结节影;④肝实质期显示为充盈缺损区;⑤有时可形成动静脉瘘,使相邻的门静脉分支早期显影(图4-3-1)。

图4-3-1 原发性肝癌动脉造影
肝动脉造影显示肝内一团巨块状肿瘤血管,大小不均,形态不规则,
其中心呈湖样充盈。供血动脉增粗、迂曲
如门静脉分支显影好,能显示分支受压、移位或拉直现象。有时可见分支粗细不均,边缘不规则甚至中断。如肝外门静脉边缘不规则,甚至现现充盈缺损和中断现象,提示肝癌侵犯、转移或瘤栓形成。
(2)海绵状血管瘤(cavernous hemangioma):常见,多无症状,常在体检时发现。动脉造影表现为早期显示“血湖”,相当于病理解剖上的血窦。这种血湖的典型表现呈爆玉米花状或结节状,边界清楚而毛糙,常呈丛状或半弧状分布,其显影时间可持续数十秒之久。
原发性肝癌应与肝血管瘤鉴别,其主要区别是:①血管瘤显影早而排空迟,显影持续时间明显长于肝癌;②血管瘤显影的典型表现呈爆玉米花状的血湖,肝癌的肿瘤血管呈形态不规则,粗细不均,僵直包绕,并常有小的动静脉瘘;③肝癌的动脉常有受侵、僵直表现,供血动脉扩大,而血管瘤没有。
(3)肝转移性肿瘤:肝转移性肿瘤较常见。在多血管转移瘤,如绒毛膜上皮癌、肾癌,表现为多数染色结节,常呈环形。而在少血管性转移瘤,如肺癌、胰腺癌,动脉期表现不明显,肝实质显示为多个充盈缺损区。
2.肝脓肿可以是阿米巴性或细菌性,以前者较多见。脓肿可单发或多发,多见于肝右叶。病变发展可穿破膈而波及胸膜和肺。引起胸膜炎和肺脓肿。临床上,主要表现为寒战,高热或弛张热,右季肋部钝痛,肝增大并有明显压痛。
肝脓肿的X线检查主要为透视和平片。可见膈升高、运动减弱,有时可造成局限性隆突,与脓肿的部位相应。肝向下增大,可致十二指肠和结肠肝曲向下移位。由于脓肿的影响,可有轻微胸膜反应使肋膈角变钝或有少量胸腔积液。右肺下部可出现一些反应性炎症或盘状肺不张。如伴有产气杆菌感染,脓腔内可出现气体并形成液面。采取正、侧位或侧卧位水平投照,可确定脓肿的位置和大小。脓腔穿刺后注入气体可以看到同样的表现。肝脓肿向胸腔或肺穿破可引起右下肺大片实变影,其边界多较清楚。动脉造影可见血管压迫和移位,在实质期可显示低密度区,边较清楚,其四周有环状染色。为肉芽组织所致。
二、USG诊断
USG根据肝特有的图像可测知其大小与结构,并判断有无病变及病变性质。
(一)USG检查方法 多采用仰卧位,用右前斜位以检查右叶后段。一般用连续纵断面和横断面探查或用右肋间和右肋缘下途径。为显示左叶常作剑突下纵断面探查。USG检查肝一般不需特殊准备,事先禁食12小时有助于肝、胆、胰的联合检查。
(二)正常肝的USG表现 肝实质由分布均匀细小光点组成,这是由肝细胞和其纤维组织支架、胆管、小血管等无数小界面形成的。肝周围为被膜形成的界面,表现为线状回声。在肝横断面图像,常可在左内叶与左外叶之间,见到圆韧带的横断面,呈圆形强回声,直径为约数毫米。肝左叶与尾叶之间,可发现由静脉韧带所致的线状强回声。
正常肝断面的轮廓规则而光滑。在沿肋下作斜形探查时,在肝图像的中间部位可见门静脉,呈圆形或椭圆形无声结构,并可追朔至左右分支。门静脉及其分支的管壁回声较强。
正常肝右叶厚度为12~14cm,左叶厚度通常小于5cm,在锁骨中线,肝下缘不超过肋下1cm。肝下缘剑突下不超过5cm。胆囊在右叶下方,锁骨中线部位。肝右叶后段与右肾前方相邻,肝左叶后方与腹主动脉相接,肝右叶后部与肝左叶相交处为下腔静脉。
(三)肝病症USG表现与诊断
1.肝脓肿USG检查是诊断肝脓肿的首选方法。脓肿的声像图表现为液性暗区,移动探头可显示脓肿呈球形。脓腔内的坏死组织等有形成分,可造成点状或线状回声。脓肿边缘较厚而不甚规则,内有散在细小光点。肝脓肿尚未充分液化时,可表现为大片边界不清的低回声区,难与实质性病变区别。有时肝脓肿内无声区不典型,则易与肝肿瘤坏死混淆,须结合病史及化验,以便和其他疾病鉴别。肚脓肿可为单发、多发或多房,检查时应注意。
2.肝囊肿及包囊虫病肝囊肿呈现一个或多个无回声暗区,直径自数毫米至几十毫米,断面接近圆形,其中可有不全分隔。囊肿壁薄而光滑,边界清晰,与肝实质有清楚分界。囊肿后壁及后方常有明显的回声增强效应。大的囊肿可使邻近肝内管道受压移位。
肝包囊虫病的声像图与肝囊肿类似。肝近膈面处是好发部位。有时病灶可有多房样结构。囊壁钙化形成壳状强回声。诊断需结合病史。
3.肝肿瘤肝肿瘤在声像图上呈局限性强回声或低回声区,常难以确定肿瘤性质。因此,对肝肿瘤或占位性病变的性质常需结合其他检查加以判断。
原发性肝癌:USG是影像学诊断中的首选方法。声像图上肝癌表现为聚集成团的强回声区,光团强弱分布不均,边比缘不规则。光点常粗糙明亮,与正常肝组织有明显差别。肿瘤区下方的正常肝组织回声强度降低,系因肝癌引起的超声衰减所致(图4-3-2)。

图4-3-2 肝癌(巨块型)
另一种表现是病变区以低声为主,该区光点稀疏。肿瘤区后方边缘无增强效应,可与囊肿鉴别。在弥漫型肝癌可见到弥漫分布的点片状、粗细不规则光点或光斑,诊断较难。
肝癌不同类型的声象图表现,见图4-3-3。

图4-3-3 肝癌声象图分型示意图
Aa.结节型强回声 Ab.融合型强回声 Ac.包膜型强回声
Ad.巨块型强回声 B.等回声型 C.低回声型 D.混合型 E.弥漫型
除上述肝内回声的变化外,还可发现肝内静脉和胆管出现受压移位等改变。肝常增大,肝的上缘或下缘显示膨隆。由于肝癌常在明显肝硬化的基础上形成,故常同时有肝硬化的USG表现,诊断时要注意鉴别。
海绵状血管瘤:由于USG广泛使用,血管瘤的发现也逐渐增多,USG易于发现血管瘤,但定性诊断仍有一定限度。
声像图上小的血管瘤表现为均匀强回声区,边界清晰锐利。部分血管瘤可出现由血窦形成的液性无回声区或呈网状结构。病变单发或多发。较大的血管瘤多呈混合型图像特征。如USG诊断难以定性,应作CT或动脉造影协助诊断。如可能,可作穿刺活检。
4.肝硬化 在我国以门静脉性肝硬化及血吸虫病性胆硬化较多见。USG表现在早期为肝增大,其后出现肝内纤维组织增生、硬化,肝回声增强、增多、变粗,形成弥漫不均的光点图像。浅层回声常增强而深层常减弱,肝内部各种管腔结构失去正常排列,显示不清。病变进一步发展,肝边缘因纤维组织收缩而不规则,肝内可出现异常回声的结节。后期则肝缩小,轮廓凹凸不平,肝内回声不均,可出现脾增大腹水,腹水表现为肝表面与腹壁软组织之间的液性暗区。
三、CT与MRI诊断
肝的CT检查安全、可靠,有广泛的适应证。主要的适应证是肝占位病变。凡是临床或其他检查方法疑有肝占位病变尤其是肿瘤,都是CT检查的适应证。CT能确定病变的部位、范围、大小和性质,还能了解肿瘤有无转移,门静脉或腔静脉有无瘤栓等。对手术治疗或经导管栓塞化疗后的复查也较好。CT还能对上腹部情况包括胆囊、脾、腹膜后腔、有无腹水等作全面了解。CT与USG是肝检查的首选检查法,对病变的典型表现可以确诊。对一些不典型病例,两者应配合使用,互相补充和印证,可使病变的诊断更为正确。
(一)CT检查方法 检查前5~6小时禁食。扫描前30分钟口服1%~2%泛影葡胺400~500ml,其目的是使胃和肠管显影,避免将胃或肠管误认为异常。取仰卧位,层厚10mm,自膈顶向足侧对全部肝作连续横断面扫描。先作平扫,多需作增强扫描,以便更好地明确病变、病变性质并了解血管的情况。
(二)正常CT表现 CT上,肝呈密度均匀的实质性软组织影,CT值为50~60Hu,高于脾、胰、肾等脏器。肝内门静脉和肝静脉显示为低密度的管道状或圆形影。增强扫描后则明显增强,显示为高密度影。下腔静脉平扫时为圆形低密度影,增强后呈高密度。肝内动脉分支和正常胆管分支细小,通常平扫和增强都不能见到。
正常肝轮廓光滑,其形状及胸部结构依断面位置而不同。肝门区常有较多脂肪组织,呈不规则形或类似多角形低密度影。其中有肝动脉、门静脉和胆管进出。门静脉较大而居后,肝动脉位于其前内,胆管(主要是肝总管)位于其前外方。增强后门静脉较易识别,呈圆形高密度影,位于下腔静脉之前。CT上易于区分肝的各叶,即左呈、方叶、右叶和尾叶。左叶和方叶以圆韧带裂(又称纵裂)为界:方叶与右叶以右切迹和胆囊窝为界;横行的静脉韧带裂更明显。将左叶与尾叶分开;尾叶与右叶相连,突向内侧,位于下腔静脉的前方,易于识别。不同层面肝的解剖结构见图4-3-4。



图4-3-4 肝不同层面CT表现
MRI用于上腹部实质脏器,并非首选方法。与CT相比,其主要缺点是成像时间长(需数分钟)和空间分辨力低。心和腹主动脉的搏动、呼吸运动和肠蠕动都造成明显的伪影,妨碍诊断。然而MRI也有其优点,即可以通过成像参数的改变来了解病变的信号特点,从而对病变做出鉴别诊断;MRI还可以三维成像以及不用造影剂即可了解大血管的情况。随着MRI功能和成像方法的开发和改善,例如心电门控,呼吸门控,梯度回波快速成象技术等,MRI对腹部脏器尤其是肝脏疾病的诊断价值逐渐被认可。对于肝内占位病变,如USG和CT定性或判断有困难时,可使用MRI。
(三)MRI检查方法 常规使用自旋回波成像技术T1WI和T2WI作横断面和冠状面成像。必要时可加用;①梯度回波快速成像;②冠状面和(或)矢状面成像,用于确定病变的位置及其与邻近器官的关系;③静脉注射造影剂GdDTPA作增强成像。在有条件的情况下,可辅以心电门控,呼吸门控等技术以减少伪影。
(四)正常MRI表现在横断面图像上肝的解剖形态与CT图像相似。正常肝的结构均匀,其信号强度中等,在自旋回波图像上略低于脾而高于背部肌肉。对肝左叶和肝右叶的近膈部分,MRI显示比CT为优,因为CT在该处常由于胃内气体、膈的部分容积效应及胃肠道内造影剂而产生伪影。肝外与肝内血管,主要是静脉呈低信号,显示良好,明显优于CT平扫。腹内脂肪组织显示为甚高信号,气体显示为极低信号。
(五)肝疾病CT、MRI表现与诊断
1.原发性肝癌 CT平扫绝大多数是低密度病灶,少数可以是低密度、等密度与高密度混合的病灶。肿瘤可以是单个或多个结节,也可呈巨块状。较大肿瘤因出血、坏死和囊变而致密度不均匀,中心部常出现更低密度区,其边缘部呈结节状。肿瘤边界多不清,少数边界清楚并有包膜。增强扫描肝癌区略有增强或不增强,而正常肝增强,因而使肿瘤境界更为清楚。癌变区可出现密度稍高的结节或隔,但其增强程度多不如正常肝。动态扫描时,即快速静脉注射造影剂并于开始注射后15~25秒内即行扫描,由于肝癌由肝动脉供血且供血丰富而迅速,而造影剂尚未到达肝内门静脉形成实质期,故肝癌结节可成为高密度,甚或显出高密度的异常肿瘤血管。但肝癌增强的时间较短暂,2~3分钟内即恢复为原来的低密度状态(图4-3-5)

图4-3-5 原发性肝癌
CT增强扫描,肝右叶有一较大圆形低密度肿块(↓),其边缘
部可见多个较密度的强化结节,其强化程度不如正常肝,中
心部仍为未强化的低密度区
除了上述密度改变外,CT还可能看到另外一些改变,包括①癌瘤处体积增大,轮廓隆凸;②肿瘤压迫肝门和(或)肝裂,使之变形和移位;③门静脉内瘤栓,表现为门静脉增粗,密度不均,增强后可见腔内充盈缺损影或门静脉不增强;④邻近器官如胃、胰、肾的受压移位;⑤附近或远处淋巴结增大(转移),腹水或其他脏器转移。
肝癌常在肝硬化的基础上发生,因此常可见到肝硬化的CT表现。
原发性肝癌在T1WI上肝癌的信号强度低于肝,境界常不清楚,有时难以认出。在T2WI上癌瘤较易识别,其信号高于正常肝,常不均匀。癌瘤中心常有不规则更低信号区,肿瘤边缘有时有一低信号的包膜(图4-3-6)。注射造影剂后肝癌信号明显增强,可低于或高于正常肝的信号,境界更为清楚,其中低信号区(出血、坏死、瘢痕)则无强化。若有门静脉内瘤栓,可于低信号的门静脉中出现高信号块影。


图4-3-6 肝癌(MRI)
A、T1WI肝右叶可见大块较低信号区,其内信号不均,轮廓不规
则(↓)。门静脉内可见相同信号强度影像,为癌栓所致(↓)
B、T2WI上述稍低信号区成为稍高信号区(↓),门静脉内癌栓的信
号也增强(↓)
2.海绵状血管瘤 CT平扫表现为类圆形低密度区,境界较清楚,密度较均匀。较大的血管瘤,其中心部分呈更低密度区,平扫所见难于肝癌鉴别。增强扫描尤其是动态扫描是鉴别诊断的必要手段,而以且注射和扫描技术起决定性作用。以60%~70%泛影葡胺60ml于30秒内注入静脉,注射完毕立即对病区层面进行扫描,然后在1、3、5分后再对病区层面扫描,必要时最后一次扫描可延迟到注射后10~15分。在注射造影剂60秒内的扫描片上,血管瘤边缘出现结节状,高密度的增强灶,代表瘤中的“血窦”,其密度与主动脉的密度相近,明显高于正常肝。在其后的扫描片上,可见增强的范围逐渐向中心扩展,而增强灶的密度则逐渐减低,最后整个血管瘤被造影剂“填满”,即整个血管瘤与肝的密度相等。这个过程约为几分钟到10~20分钟。造影剂在血管瘤内持续时间长,是与肝癌鉴别的重要征象。较大的血管瘤,其中心可始终保持低密度(图4-3-7)。


图4-3-7 肝血管瘤
CT增强扫描,注射造影剂后10分钟,可见原来两个低密度
区被造影剂基本完全充盈(↓)。图为两个相邻层面
血管瘤在T1WI上表现为均匀低信号区,较大的血管瘤则在其中心结构不均匀且信号更低,乃由于其中的血管和纤维化所致。上述表现与肝癌难以鉴别。T2WI对鉴别诊断很重要,血管瘤的信号很高,而其他实体性肿瘤只稍高(图4-3-8)。最近文献报道,MRI对肝癌和血管瘤鉴别诊断的准确性优于CT和USG,92%病例可作出鉴别。注射Gd-DT-PA行增强检查也有助于血管瘤的鉴别,血管瘤的信号强度比肝癌增高更快,更强,且停留时间更长。


图4-3-8 肝血管瘤(MRI)
A.T1Wi 肝左叶有一边界清楚的低信号区(→)
B.T2WI 原低信号区表现为极高信号(→)
此例CT检查亦表现为典型的血管瘤征象
3.肝脓肿 CT显示为境界清楚的圆形低密度区,CT值20~30Hu轮廓多整齐。脓肿壁表现为一圈“晕”,其密度高于脓腔而低于正常肝。增强扫描脓腔不强化,脓肿壁呈环形增强,轮廓光滑整齐,厚度均匀。若腔内有气体和(或)液面则可确诊。
肝脓肿在MRI上呈液体病变的信号特征,即长的T1和T2。T2WI上呈圆形、境界清楚的低信号区,其周围有一圈低信号晕围绕。注射Gd-DTPA后这一圈晕呈高信号环。
4.肝囊肿 典型CT表现为单发或多发边界锐利光滑的圆形低密度区,CT值与水接近。增强扫描囊肿不增强。
肝囊肿的MRI特点是T1和T2时间极长,在T1WI上其信号极低,低于血管瘤和肿瘤的信号,在T2WI上则其信号强度高于血管瘤和肿瘤。注射Gd-DTPA后,肝囊肿信号不增强。有时在T2WI上囊肿和血管瘤的信号强度相似,难以区别,则应利用T1WI加以区别,此时囊肿的信号强度明显低于血管瘤的信号。
5.肝硬化 CT有助于了解肝硬化的程度及腹部其他情况。平扫表现为肝密度普遍减低,CT值接近或低于脾。早期肝增大,晚期肝缩小。肝轮廓凹凸不平呈结节状。肝各叶大小比例失常,常是尾叶与左叶较大而右叶较小。肝门和肝裂增宽。脾增大是诊断肝硬化的重要根据,其外缘前后径超过5个单元,(一个肋骨或肋间隙称为一个肋单元)。病情进展者或伴有腹水,表现为肝轮廓外的新月形水样低密度区。有些硬化患者没有CT变化。
第二节 胆
一、X线诊断
(一)X线检查方法 分普通和造影检查。
1.普通检查 右上腹平片或可显示含钙结石,胆囊壁钙化,钙胆汁(胆汁中含有高浓度碳酸钙,胆汁成乳状)和胆道积气等。有时胆囊扩大,在周围肠充气衬托下,可以显示胆囊轮廓,平片诊断价值有限。
2.造影检查
(1)口服法胆囊造影:口服法胆囊造影(oral cholecystography)主要用于观察胆囊的形态和功能,口服胆囊造影剂后,造影剂被小肠吸收进入血液,然后经肝随胆汁排入胆管到胆囊。此时造影剂的浓度不够高,不足以使胆管或囊显影。必须经过胆囊浓缩后(胆汁在胆囊内被浓缩10~20倍),才能使胆囊显影。因此,口服法胆囊造影是测知胆囊浓缩功能的方法,也是利用本法诊断胆囊疾病,特别是胆囊炎的理论根据。常用的造影剂是碘番酸。
造影的具体步骤如下:造影前一天晚8时服造影剂3g,之后致第二天摄影前禁食。服造影剂后12~14小时摄胆囊造影片。如胆囊显影良好,即服脂肪餐(鸡蛋2个),30~60分钟后再摄一片,观察胆囊收缩功能。有些病变如小的结石在胆囊收缩后的照片上显示更为清楚。正常:60分钟后胆囊约收缩为原来的大小的一半。本法受胃肠道吸收功能影响较大,幽门梗阻、严重腹泻或呕吐患者均可使造影失败。明显的黄疸患者胆囊多不显影。
(2)静脉法胆系造影:静脉法胆系造影(intravenous cholecystocholangiography)是静脉注射胆影葡胺,使胆管和胆囊显影。本法能在2~3小时内使胆管胆囊显影。口服法胆囊不显影的患者,静脉法可能显影,但血胆红质较高患者仍可能不显影。
口服法胆囊造影与静脉法胆系造影各有特长,临床上常相互配合。由于USG的广泛应用,胆囊造影已退居次要地位。
(3)术后经引流管(T形管)造影:手术后经T形管作胆管造影,对观察胆管内残留结石或其他疾病,以及了解胆管与十二指肠的通畅情况,有较大帮助。造影应在透视监视下进行,有明显感染时不宜施行。
(4)内镜逆行性胰胆管造影:内镜逆行性胰胆管造影(endoscopic rctrograde cholangio pancreaticography,ERCP)是将十二指肠纤维镜送至十二指肠降段,经过乳头插入导管注入造影剂,以显示胆管或胰管的方法。此方法除用于胰腺疾病的诊断外,对诊断胆管病变如结石、肿瘤也有很大价值。特别是当静脉法胆系造影尚难肯定诊断而胆管又无明显阻塞进,本法更为必要。检查应在透视监视下进行,以保证安全,并使摄影满意。
(5)经皮肝穿剌胆管造影:以皮肝穿剌胆管造影(percutaneous transhepatic cholangiography ,PTC)主要用于鉴别阻塞性黄疸的原因并确定阻塞部位,通常于CT或USG确定有胆管阻塞后,才施行本检查。多使用细穿刺针,在透视监视下进行。细针穿刺使并发症,如出血和胆汁性腹膜炎大为减少,但仍应严格掌握适应证。在本法的基础上发展了胆管引流术,可降低胆管内压力,对减轻黄疸有良好的作用。
(二)正常X线表现
正常胆囊在X线造影片上位于右第12肋附近,长7~10cm,宽3~4cm。胆囊形状可为圆形、卵圆形或长形,位置可高达第10~11后肋或低达髂嵴。显影良好的胆囊密度均匀,边缘整齐。在立位摄影时,可以出现浓淡不等的分层现象,不是病理变化,胆囊可分底部、体部、漏斗部与颈部四部。胆囊管长约3cm,宽2~3cm,与胆囊颈部相连,具有多数螺旋状瓣膜(或皱襞),因此呈螺旋状弯曲小管。向肝门走行,与肝总管汇合而成胆总管。
胆内胆管呈树状分布,纤细、整齐,逐级汇合成左、右肝管,再汇合成肝总管。肝总管约0.4~0.6cm,长3~4cm。胆总管是肝总管的延续,宽0.4~0.8cm,长6~10cm。胆总管走行于十二指肠球与胰腺的后方,先向内下再向外下走行,同胰管汇合,汇合处称Vater壶腹,斜行进入十二指肠降部。胆总管和胰管也可不汇合而分别开口于十二指肠(图4-3-9)。

图4-3-9 正常胆襄、胆管造影示意图
(三)胆系疾病X线表现与诊断
1.胆石症 胆石(gallstones)位于胆囊或胆管内。常引起右上腹疼痛和黄疸等症状。胆石主要成分为胆色素和胆固醇,有的含有钙盐。根据含钙盐多少而分为不透X线结石与可透X线结石两类。前者常称为阳性结石,后者为阴结石。
(1)阳性结石:10%~20%胆石是含钙的混合结石,平片可以显示,这种结石大多在胆囊内,常多个堆积在一起。其大小自砂粒至蚕豆大、呈圆形、多面形或菱形,犹如一串葡萄或一堆石榴子,个别结石很大。胆石是边缘致密而中间透明,但中心常有一个致密斑点。有的结石呈层状,有的显示为薄壳环形影,要仔细观察才不致遗漏。胆囊结石X线表现不典型者诊断较难,需辅以造影检查,胆囊结石应位于胆囊影内。胆石需与肾结石和肠系膜淋巴结钙化鉴别。肾结石大多较为均匀致密,具有肾盂或肾盂盏的形状。侧位摄影,胆石位于腹前中部,而肾结石位于后方与脊椎相重,肠系膜淋巴结钙化多为颗粒状密度不均匀影,且移动性较大。
(2)阴性结石:胆石中的80%~90%为阴性结石,平片不能见到,需造影才能显示。胆囊造影常显示为多数成堆充盈缺损,呈圆形或多面形,如石榴子样。有时结石过小或胆囊显影密度过高,卧位影常显示不清,需摄立位片或加压点片。在立位,由于其比重不同,胆石或浮于造影剂之上或位于造影剂中间,呈水平排列的一层低密度影,或沉于胆囊底部,呈一堆低密度影像,均易于发现(图4-3-10)。肠气与胆囊重迭易造成误诊,应变换体位摄影或多次摄影观察,也可作体层摄影以避免肠气的重迭。服脂肪餐后胆囊收缩,结石常显示更为清楚。胆石伴发胆囊炎胆囊不显影,则结石无法看到。此时,静脉法胆系造影显示结石的机率要比口服法高。

图4-3-10 胆襄结石(胆襄造影)
A.立位,于造影剂中间,水平排列的多发性充盈缺损
B.卧位,呈多发性如石榴子状充盈缺损
胆管结石在胆管造影时显示为单个或多个小圆形充盈缺损,胆管常扩大,犹如豆粒在豆荚中一样,也常伴有胆管的狭窄或梗阻。胆总管下端或壶腹结石易引起梗阻,梗阻处常出现杯口状充盈缺损,其上方胆管扩大。泥沙样结石造影难于显示。
2.胆囊炎 胆囊炎(cholecystitis)可单独存在或与胆石并存。急性胆囊炎一般不需作X线检查,对于小典型者。X线摄影可能有助于同其他急腹症作鉴别。急性胆囊炎可引起附近肠管肠郁张,有时可将增大的胆囊衬托出来。慢性胆囊炎的病理变化主要是粘膜破坏、囊壁增厚并有纤维化,以致胆囊浓缩和收缩功能受损、平片偶见胆囊壁钙化。X线诊断一般需造影检查确定。口服法胆囊造影可见:①胆囊不显影(20%正常人也可因其他原因而不显影);②胆囊显影浅淡、延迟,胆囊缩小或增大,是诊断慢性胆囊炎较为可靠的征象;③胆囊收缩功能不良,对诊断价值有限。静脉法胆系造影如胆管显影良好而胆囊不显影或胆囊显影延迟、密度浅淡而轮廓模糊,可诊断有胆囊疾病存在。
口服法胆囊造影,根据胆囊不显影而作胆囊炎的诊断时,必须排除引起胆囊不显影的其他因素,包括造影剂剂量不足(过分肥胖或体重超过80kg);服造影剂后呕吐、腹泻;幽门梗阻;造影剂崩解不良或停留于食管或十二指肠憩室内;肝功能明显受损;小肠吸收不良;妊娠期或哺乳期的妇女;胆管与肠管间有异常通道或Oddi括约肌松弛,使含碘胆汁不进入胆囊;严重的糖尿病;胆囊位置异常胆囊先天性缺如;照片太小未能将胆囊包括在内;胆囊已切除等。
二、USG诊断
胆的USG检查具有安全、简便、可靠、无损伤等优点。可作为检查胆系疾病的首选方法。由于胆汁是均匀的液体介质,所以胆囊内部呈液性暗区,胆囊周围的结缔组织与肝和胆囊壁间的声阻抗差,形成良好的声学界面,使胆囊轮廓线得以亮显示。因此,胆囊是进行USG检查的理想器官。
(一)USG检查方法 使用实时线阵型超声设备,易获得清晰的胆囊图像。
检查前需禁食12小时,最好在清晨空腹时检查,这样可使胆囊充盈胆汁,显示其真实大小和形态。也可避免胃内容物产生干扰,取仰卧位;必要时取右前斜位或左侧位以显露胆囊底部。常自中线开始向右作连续矢状断面探查,找到胆囊后再延胆囊纵断面或横断面探查。也常作肋缘或肋间的探查。
如发现胆囊占位病变,应改变患者体位探查,如为结石则其影像随体位的改变而移动。
(二)正常胆囊和胆管的USG表现 正常胆囊表现为均匀的液性暗区,胆囊轮廓清晰,囊壁较薄。有时近端可呈线状回波,远侧壁回声增强(图4-3-11)。肋缘下斜断面图像上胆囊多呈卵圆形,胆囊底位于图像的右上方,向左下方延伸为胆囊颈。超声所测胆囊大小,长径不超过9cm,宽径2~3cm,胆囊随呼吸而移动,可时大时小,时隐时现。胆囊右下方为右肾,左下方为肝门区,余部被肝包围。肝门区的门静脉、胆总管及下腔静脉等表现为液性暗区,可依其走向辩认。肠管内气体呈活跃的强回声、易于识别。脂肪餐后胆囊常明显收缩变小。

图4-3-11 正常胆囊声象图
声象图上通常将胆管分为肝外胆管与肝内胆管两部分。探头与胆总管平行时,肝外胆管表现为狭长的和道结构,长约数厘米,位于门静之前方。若探头与之垂直,则表现为圆形无回声区。肝内胆管如不扩张则难以查得。
(三)胆道疾病USG表现与诊断
1.胆囊结石结石的声阻抗大,与胆汁形成明显界面,因而形成强回声反射。胆囊结石典型表现如下:①胆囊内一个或多个强回声光团;②回声光团可随患者体位的改变而移动;③在强回声光团的后方有清晰的声影(图4-3-12),声影是由于超声被结石反射和吸收,其能量高度衰减所致。结石直径大于0.3cm即可形成声影,但需要排除肠腔内气体的强回声和探头接触不良形成的假声影。
由于胆囊结石结构、成分和位置不同,可出现一些不典型表现。如胆囊内充满结石,由于缺乏胆汁衬托,其声象图可不明显而只见声影;疏松的结石可不出现典型的声影;胆囊萎缩合并结石可造成实质性回声而后方声影不清晰等。
一般认为USG对胆囊结石的检出率达95%以上,特别是对于可透X线结石及在胆囊造影不显影时,USG可作出正确的诊断。在USG表现不典型时,仍应与X线检查和CT扫描互相验证,作出诊断。
2.胆囊炎急性胆囊炎时胆囊粘膜充血水肿,胆囊肿大,胆囊壁增厚。声象图上可见胆囊增大,由于张力增高而成椭圆形。胆囊壁轮廓模糊、增厚,呈现低回声,有时出现“双边影”。胆囊内炎性渗出物使胆囊透声性降低,出现云絮状或点状微弱光点。慢性胆囊炎时,胆囊萎缩,胆囊壁增厚,粗糙不平。其声象图表现为胆囊缩小,边缘毛糙,甚至难以显示。胆囊透声度明显降低,并可见一些线状回声或呈现实体样回声。
USG对肝内、外胆管扩张亦可清晰显示,并可判断其病因,是胆管结石或是肿瘤。
三、CT与MRI诊断
CT有肋于胆道疾病的诊断,尤其对梗性黄疸的诊断和鉴别诊断。当USG难以确定诊断时,可作CT检查。常同时进行肝、胆、胰的CT扫描。
(一)CT检查方法 患者应在检查前禁食以使胆囊处于充盈状态。平扫足以显示胆囊和含钙胆石。增强扫描有如下效果:①更好显示血管,借此可区分胆管与血管;②胆囊壁得以增强,显示更好;③肝增强可更好地显示扩大的胆管;④更好地显示肝和(或)胰的病变。静脉注射胆影葡胺或口服碘番酸后作CT扫描(胆襄/胆道造影CT),可使胆囊和胆管显影为高密度而更易识别,有利于显示阴性结石和胆囊息肉等。
(二)正常CT表现 胆囊通常位于右叶和方叶之间,在肝门和稍下方的层面上。正常胆囊为低密度、卵圆形影像,约4×5cm,胆汁密度均匀,CT值略高于水,但有时或达25Hu。胆囊壁厚度为1~2mm,均匀一致。
胆总管约在1/3的人显示,其直径多在6mm以下。正常肝内胆管和左右肝管不显示。
胆囊含钙结石即使含钙较少也可由CT显示,表现为单个或成堆的高密度影,常呈环状或多层状,其位置可随患者体位而改变。少数结石与胆汁呈等密度,需作胆囊造影CT才能显示,表现为低密度影。CT显示胆囊病变优于平片而不如USG。
急性胆囊炎的主要CT征象是胆囊壁增厚,常超过3mm,厚薄不均。胆囊常增大,胆汁密度可增高,超过25Hu。慢性胆囊炎除见胆囊壁增厚外,有时可见壁的钙化。胆囊可以萎缩变小。
肝内胆管扩张表现为肝内树枝状低密度影,其横断面表现为多个小圆形低密度区。造影增强后肝实质和血强化,胆管显示更加清楚。胆总管大于10mm可认为肯定扩张。根据胆管扩张的范围可推测梗阻的部位,例如,肝内胆管扩张而胆总管和胆囊不扩张,则梗阻部位应在胆囊管的上方。
总的说来,MRI对胆道病变的诊断价值不如USG和CT。胆囊在T1WI上呈低于肝的信号强度,在T2WI上其信号强度高于肝。肝内、外胆管在T1WI上大多不显示;在T2WI上显示为高信号。胆石质子密度低,信号弱,通常难以识别,有时在T2WI上可在高信号的胆汁显示为低信号。胆囊壁增厚在T1WI上显示较好,有助于胆囊炎的诊断。胆囊肿物在T1WI上显示为高于胆汁的肿块状信号强度,在T2WI上其信号强度比胆汁为低。若邻近的肝受侵,可出现相应的信号改变。
第三节 胰
由于胰腺小,位置深,以前认为是是一个“隐蔽”的器官。过去主要用间接显影的方法,即观察胰腺周围器官的形态和位置改变以间接推断有无胰占位性病变,如胃肠钡餐造影、腹膜后和胃内注气造影、尿路造影等,但都不能达到较早诊断的目的。内镜逆行性胆胰管造影和动脉造影,使胰的诊断得到改善。USG、CT可以在无损伤的情况下显示胰,并对其疾病作出诊断,是目前首选的方法。
一、X线诊断
(一)X线检查方法与正常X线表现
1.普通检查平片可看到胰腺钙化和胰管结石,有助于诊断慢性胰腺炎,但价值有限。
2.造影检查
(1)胃肠钡餐造影:胰腺增大可引起胃与十二指肠位置和形态的改变。低张十二指肠造影可使十二指肠与胰头部接触更为紧密,能较好地显示胰腺肿瘤或胰腺炎对十二指肠造成的压迫或浸润,但如病变不够大则无发现,所以不能作出早期诊断。
(2)ERCP:本法对诊断慢性胰腺炎、胰头癌和壶腹癌有一定帮助。由于胆管可同时显影,因而有助于了解胆管病变如炎症,结石与胰腺病变的关系。
正常胰管大多自胰头部向尾部斜行向左上走行,管径逐渐变细,一般最大径不超过3~5mm,边缘光滑整齐。自主胰管有一些分支分出。有时可见较细的副胰管,其位置多高于主胰管。
(3)选择性腹腔动脉造影:主要用于胰岛细胞瘤的诊断,但多在USG或CT难于确诊之后应用。胰岛细胞瘤常是临床症状明显而肿瘤较小,但它是富血管肿瘤,动脉造影可以明显染色而作出诊断。胰腺癌多为少血管性肿瘤,动脉造影对其诊断帮助不大。
(4)PTC:主要用于阻塞性黄疸的患者。阻塞性黄疸的原因很多,胰头癌是常见原因之一,PTC有助于确定胆道阻塞的部位和性质。
(二)胰腺疾病X线表现与诊断
1.胰腺炎 急性胰腺炎(acutepancreatitis)如临床表现不典型且病情允许时,可行X线检查。平片可见下列表现:胰腺增大,密度增高,十二指肠充气郁张,衬托出增大的胰腺;邻近的肠管尤其是升、横结肠出现肠郁张而降结肠萎陷,使结肠呈横截中断状;膈升高,左胸腔有少量积液,左下肺出现盘状肺不张,甚至炎性浸润。病情缓解后,作钡餐检查,可出现十二指肠曲增大和胃十二指肠受压征象。
慢性胰腺炎时胰腺常增大,可有钙化或结石形成。平片如发现胰腺钙化则支持慢性胰腺炎的诊断。钙化常表现为胰腺区较小,较多而形状不定的致密影。
PCT可确定慢性胰腺炎的程度。有助于治疗方案的选择。胰管及其分支可出现扭曲、变形、扩大、轮廓不规则和狭窄乃至完全闭塞。少数慢性胰腺炎可因纤维瘢痕改变而使胰腺缩小。
2.胰腺囊肿 胰腺囊肿(pancreaticcyst)大多由胰腺炎、外伤等引起,由炎性渗出液、胰液或血液等引起组织反应而逐渐形成,常称为假性囊肿。影像学检查的目的,主要在于鉴别胰腺囊肿与胰腺肿瘤,以及与胰腺外肿物如肠系膜囊肿等鉴别。
平片价值不大。胃肠钡餐造影,较大的胰腺囊肿引起胃肠道的压迫和移位,其特点是弧形压迹边缘光滑,粘膜皱臂完整而无破坏,与胰腺癌的浸润、破坏不同。根据囊肿部位的不同可以引起不同的压迫表现(图4-3-13)。胰腺体部假性囊肿较常见。




图4-3-13 胰腺囊肿
胰头部襄肿使十二指肠曲增大,降部内壁受压,边缘光滑整齐,
胰体部襄肿可将胃向下前方推移,胃小弯出现压迹,或将胃
推向上,横结肠推向下,胰尾部囊肿使胃体大弯受压,并向右前方移位
3.胰腺癌 胰腺癌(pancreaticcarcinoma)多位于胰头部。胰头癌与壶腹癌在临床上不易区分。胰腺癌起源于胰管或腺泡,生长迅速,形成坚硬的肿块,并直接侵蚀邻近的组织,引起胆管梗阻。多见于40~60岁的男性,主要表现为进行性阻塞性黄疸、疼痛和上腹部肿块等。早期不易诊断,常需采用多种成像技术检查。
低张十二指肠造影可见十二指肠内侧壁的粘膜皱平坦、消失、肠壁僵硬。癌瘤发展,则引起粘膜皱臂破坏,十二指肠曲扩大,其内缘出现压迹,可呈双重边缘(图4-3-14)。由于乳头较固定,压迹常呈ξ形,称为“反3”征。胃窦大弯可受压移位,后壁受压即呈“垫压”征。由于胆总管下端梗阻,可使胆囊和胆总管扩大,在十二指肠相应部位造成弧形或带状压迹。胃肠造影查出的胰腺癌多属晚期。ERCP可显示胰管狭窄和阻塞。如已有阻塞性黄疸,PTC可显示胆总管的胰腺段梗阻,梗阻端可圆钝、尖削、削平或呈不规则性狭窄。胰腺癌如有上述表现,大多已属进展期。

图 4-3-14胰腺癌
低张十二指肠造影,十二指肠环增大
饱满,升部内缘受压呈双重边缘(↓↓)
二、USG诊断
(一)检查方法 为了满意显示胰腺的声象图,晨间空腹时探查最好。多采用仰卧位,并辅以左侧抬高仰卧位。以腹中正中线为起点向左右两侧作纵断面探查,再作横断面探查,以了解胰腺全貌,如果胃肠内气体妨碍探查,可饮水约500mL,并注射低张药物,使胃内充满液体,作为“透声窗”有助于胰腺的显示。
USG对胰腺的显示率可高达95%。与其他影像诊断技术相比,USG是安全可靠的方法,值得作为首选方法。
(二)正常胰腺识别正常胰腺主要根据其解剖关系。在正中纵断面上,胰体位于肝左叶后方,腹主动脉,下腔静脉的前方,其断面略呈三角形。从剑突下作横断面探查,较大的胰头易于查出,整个胰腺呈带状结构,轮廓光滑整齐。正常胰头厚度(前后径)为20~30mm,体部、尾部厚度略小于头部。
胰腺内部回声多细小均匀而规则,略高或等于正常肝实质的回声。胰腺界波不太锐利,有时因脂肪组织伸入胰体小叶之间可使胰腺边界不清(图4-3-15)。

图4-3-15 正常胰腺声像图示意图L肝 GB.胆 P.胰腺
SV.脾静脉 SMA.肠系膜上动脉
IVC.下腔静脉 AO.腹主动脉 SB.腰椎体 DU.十二指肠
(三)胰腺疾病USG表现与诊断
1.急性胰腺炎胰腺增大、增厚,多为弥漫性也可为局限性,边界常不清楚。内部回声稀少。回声强度减低,病情好转时上述改变也迅速消失。
2.慢性胰腺炎声像图可见胰腺增大,但不如急性胰腺炎明显。有时胰腺可因纤维组织增生而变小,轮廓多不规则,与周围组织缺乏清楚的边界。内部回声多呈不均匀性增强。主胰管常扩大,明显可见,其中如有小结石可出现回声区和声影。
3.胰腺囊肿囊肿在声象图上呈典型无回声区,内壁光滑,外壁较模糊,后回声增强。囊肿外形呈分叶状。可为多房性的,其中有不规则的房隔光带。有时可见囊肿与胰腺相连接。
4.胰腺癌 USG可见胰腺肿瘤区增大,轮廓不规则,常呈分叶状。癌区内部多呈低回声区(图4-3-16),由于超声通过癌瘤时衰减较大,后主的界波强度很低。少数癌瘤的回声较强,呈不规则的较强光点。此外,尚可见到一些间接征象,如胆管系统因受压而扩张、门静脉或腔静脉受压等。

图4-3-16 胰腺癌
胰头区可见一强回声光团,形状不规则,
周边呈毛刺状浸润
三、CT与MRI诊断
CT可显示胰腺的大小、形状、密度和结构,易于区分实体性与囊性病变,是检查胰腺病变首选方法之一。
(一)CT检查方法 检查前口服1.5%泛影葡胺300~500ml,以显示肠管,可避免将肠管影误认为胰腺增大或肿瘤,而十二指肠显影有助于勾划出胰头的轮廓,确定胰头是否增大。通常先作平扫,然后作增强扫描,可更好地显示胰及其病变。邻近的脾静脉和其他血管显影也对判断胰腺有助。
(二)正常CT表现 在横断面上,胰腺呈凸向腹侧的带状影,自胰头至胰尾逐渐细小。胰腺实质密度均匀,略低于脾。随年龄的增长,腺组织脂肪变性趋于明显,则密度低且不均匀,常呈羽毛状。钩突是胰头部最低部分,表现为胰头部向肠系膜上静脉后方的楔形突出。脾形脉沿胰腺后缘走行。是识别胰腺的重要指标。胰管位于胰腺的前半部,常不显示或显示为2~4mm大小的低密度影。增强扫描胰腺密度均匀增高。由于胰尾位置高于胰头,常需连续几个层面才能观察全部胰腺(图3-17)。

图4-3-17 正常胰腺CT解剖示意图
目前认为MRI对胰腺的诊断价值不如CT。所使用的检查方法和措施与检查肝大致相同。
在T1WI和T2WI上,胰腺表现为均匀的较低信号结构,与肝的信号相似。其背侧的脾静脉由于流空效应呈现为无信号血管影,勾划出胰腺的后缘,可作为识别胰腺的标志。腹膜后脂肪组织显示为高信号,描绘出胰腺的前缘。十二指肠内液体常表现为较高信号。MRI对胰腺疾病的诊断原则与CT相似。
1.急性胰腺炎 CT对急性胰腺炎的诊断有较大价值,峄了解病变的范围和程度很有帮助。急性胰腺炎的典型表现是胰腺增大,密度稍减低。上述表现大多是弥漫性的,但也可只限于胰腺的某一部分。胰腺周围常有炎性渗出,导致胰腺轮廓不清,左肾筋膜增厚。渗出较多时胰腺可形成明显的液体潴留,呈现多个水样密度囊性低密度区,多在网膜囊、肾前间隙等处。胰腺内也可有积液。液体潴留被纤维囊包围即形成假囊肿。水肿型(或浆液-渗出型)胰腺炎病变程度较轻,胰腺的低密度较均匀,增强扫描时胰腺实质均匀增强。出血坏死型胰腺炎病情较重,胰腺明显增大,上述改变更显著,胰腺密度不均,坏死呈低密度区而出血呈高密度影。增强扫描可见坏死区不增强,而一般水肿、炎变的胰实质有增强。了解坏死的范围可推断病变的程度,对考虑治疗方案有助。脓肿是胰腺炎的重要并发症,表现为局限性低密度灶,与坏死区相似,出现气体是脓肿的特征。
急性胰腺炎的MRI表现为胰增大,轮廓不清。水肿使弛豫时间延长,T1WI胰腺信号减低,T2WI上信号增强。液体潴留或囊性坏死性改变在T2WI上信号明显增高,T1WI则减低。出血使T2WI延长而T1缩短,因而在T1WI和T2WI上都表现为高信号。
2.慢性胰腺炎 常见的CT征象是胰腺局部增大,常合并有胰内或胰外假囊肿,表现为边界清楚的囊性低密度区,CT直接近水的密度。约1/4的患者可见胰腺钙化,表现为斑点状致密影,沿胰管分布,是慢性胰腺炎的特征性表现。肾筋膜常增厚,主要是左肾前筋膜增厚,胰管常有不同程度扩张。病变发展到最后可见胰腺萎缩。
慢性胰炎MRI可见胰腺增大,但胰腺信号改变不明显。假囊肿是重要的诊断依据,T1WI表现为局限性囊性低信号区,注射造影剂后显示更为清楚;T2WI上假囊肿显示为囊状高信号区,更易识别。钙化是慢性胰腺炎的重要变化,在MRI上不形成信号,很难识别。
3.胰腺癌 CT表现为胰腺局部增大,呈肿块状隆起或呈分叶状增大。肿瘤的密度常与胰腺的密度相等,但其中常有坏死或液化而形成低密度区。增强扫描肿瘤常不增强或略增强,而正常胰实质增强明显,从而使肿瘤得以识别。这种密度的改变比看到肿块何能更重要。胰头癌侵犯、压迫胆总管引起梗阻性黄疸时,CT显示胆总管以上肝内外胆管扩张而胰头处胆总管突然狭窄、中断或变形。因此在梗阻性黄疸患者,必须沿扩大的胆管向下查寻,找到狭窄中断的位置。胰头部癌发生于钩突或累及钩突,若扫描层面不够低可能遗漏病变。胰头癌常阻塞胰管近段而使胰管扩大,表现为胰体中部偏前的管状低密度带,这也是胰头癌的一个重征象。胰腺癌进展,可使胰周脂肪层消失,邻近血管可被推移甚至包埋。肝门和腹膜后可出现淋巴结增大(图4-3-18)。


图4-3-18 胰腺癌CT表现
上图:CT平扫示胰头增大
下图:增强扫描,肿块不均匀强化,
中心有不规则低密度区
胰腺癌在MRI上可见胰腺局限性增大,该处轮廓不规则。T1WI上肿瘤信号稍低于正常胰腺和肝,其中坏死区信号更低;T2WI上肿瘤信号稍高且不均,坏死区则显示信号更高。一些间接征象如肝内外胆管扩张和胰管扩张是诊断胰头癌的重要依据,他们在T1WI上显示为低信号,T2WI上显示为高信号影像。
第四章 泌尿系统
第一节 X线诊断
泌尿器官均由软组织构成,缺乏自然对比,X线检查多需造影才能使之显示。肾有排泄含碘造影剂的能力,尿道又与外界相通,因而泌尿系统的造影为一常用检查方法,且占重要地位。USG和CT对泌尿系统疾病的检查优于X线,应用日益普及。肾上腺叶不属泌尿系统,因其解剖位置,也在本章内叙述。
一、X线检查方法
(一)普通检查 腹部平片是泌尿系统X线检查的初步检查。平片可观察肾的大小、形状和位置,并可显示泌尿系统结石和钙化。摄影前应清洁肠道以免粪便和气体干扰。
(二)造影检查 造影检查可显示泌尿器官的解剖结构,不少疾病可借此确诊。
1.排泄性尿路造影 排泄性尿路造影(excretory urography )又称静脉肾盂造影(intravenouspyelography,IVP),是泌尿系统常用的造影检查方法。本法是根据有机碘液如泛影葡胺在静脉注射后,几乎全部经肾小球滤过排入肾盏肾盂而使之显影,不但可以显示肾盏肾盂、输尿管及膀胱内腔的解剖形态,而且可以了解两肾的排泄功能。严重的肝、肾和心血管疾病为本法的禁忌证,甲状腺功能亢进、过敏体质、妊娠、多发性骨髓瘤及糖尿病(特别是合并尿中毒者)为相对禁忌证,应慎用。
检查前应清除道粪便和气体,限制饮水,作造影剂过敏试验。备好急救药物并在注射过程中注意患者情况,直至检查结束为止。摄影时应注意X线防护。本法有常规法和各种不同剂量法,包括双剂量法、大剂量静脉滴注法和肾实质造影法等。可视病情需要选用。
常规法尿路造影:成人用60%泛影葡胺20ml,约2分钟内注完。注后于下腹加压,暂时阻断输尿管以使肾盂充盈满意,注后15、30分钟摄取两肾区片,如显影良好可除去腹压迅即摄影全腹照片,此片输尿管和膀胱迹充盈。如有肾盂积水而显影不清,可延长摄影时间于2~4小时,乃至6~8小时后摄片(在此期间患者可除去腹压,离开检查台)。
在儿童,由于肾浓缩功能不如成人,可用76%泛影葡胺,剂量按每公斤体重1~1.5ml计算。
2.逆行肾盂造影 逆行肾盂造影(retrograde pyelography)是膀胱镜检查时,以导管插入输尿管,注入造影剂而使肾盂显影。一般每侧用12.5%碘化钠或10%~25%泛影葡胺5~10ml,对肾盂积水患者酌情增加,用于排泄性尿路造影显影不良或不适于作排泄性尿路造影患者。
3.膀胱及尿道造影 膀胱造影(cystography )及尿道造影(urethrography)是将导管插入膀胱,注入3%~6%碘化钠溶液100~200ml,以使膀胱显影的方法。主要用于诊断膀胱瘤、膀胱憩室、外在压迫,如前列腺肥大等疾病。气体对显示膀胱肿瘤、前列腺肥大等有良好效果。也可同时使用碘剂和气体,形成双重对比。
将导尿管插入前尿道,或将注射器直接抵住尿道口,注入12.5%碘化钠或15%~25%泛影葡胺,可显示男性尿道的病变。在排泄性尿路造影终了,也可进行排尿期尿期尿道摄影,为排泄法尿道造影。对于尿道狭窄,导尿管不能通过的患者更为必要。
4.腹主动脉造影与选择性肾动脉造影 腹主动脉造影(abdominal aortography)与选择性肾动脉造影(selectiverenal artetiography)可经皮作股动脉穿剌,置导和于腹主动脉,导管尖端到达肾动脉开口上方,快速注射60%~76%泛影葡胺30~40ml,连续摄影,可显示腹主动脉和两侧肾动脉。主要用于诊断大动脉炎和肾血管疾病如肾动脉狭窄,也用于观察肾肿瘤和紧上腺肿瘤尤其是嗜铬细胞瘤。将导管插入一侧肾动脉作选择性肾动脉造影,能避免其他腹部血管的干扰,更好地观察一侧肾血管的情况,使肾实质显影更浓,以更好地显示肾肿瘤的异常血管,对肾脏病变的诊断和鉴别有重要价值。同时可行介入治疗,如肾癌的化疗、栓塞等。
二、正常X线表现
(一)肾 腹平片上,可看到两侧肾的轮廓。正常的轮廓。正常肾边缘光滑,密度均匀。肾影长12~13cm,宽5~6cm,其上缘约在第12胸椎上缘,下缘在第3腰椎下缘水平。一般右肾略低于左肾。肾有一定的移动度,但不超过一个椎体的高度。肾轴自内上行向外下,与脊柱纵轴形成一定的角度称倾斜角或肾脊角,正常为150~250。侧位上,肾影与腰椎重叠,上极比下极稍偏后。
造影主要显示肾盏和肾盂。排泄性尿路造影时,开始注射造影剂后1~2分钟肾实质显影,密度均匀。2~3分钟后肾盏、肾盂开始显影,15~30分钟时肾盏、肾盂显影最浓。如果肾功能不良,则显影延迟,密度较低,严重时可不显影。
肾小盏分为体部及穹窿部。顶端由于乳头的突入而呈杯口状凹陷,边缘整齐,杯口的两缘为尖锐的小盏穹窿。肾小盏位于不同平面且指向不同方向(主要指向外方),如果肾小盏恰好面向X线束,成横断面投影(或称正位投影),则形成一个环状影或圆形致密影,勿误诊为结石。有时一个肾小盏可接受多个乳头伸入而表现为较大且不规则,多见于上、下盏。肾小盏体部较窄,又称为漏斗部。肾大盏边缘光滑整齐,略成长管状,可分三部:①顶端或尖部,与数个肾小盏相连;②峡部或颈部,即为和长管状部;③基底部,与肾盂相连。肾大小盏的形状和数目变异较多,有的粗短,有的细长,两侧肾盏的形状、数目亦常不同。但一般肾大盏常为3个。肾盂多位于第二腰椎水平,略呈三角形,上缘隆凸,下缘微凹,均光滑整齐。肾盂开头亦有较大变异,多呈喇叭状,少数可呈分支状,即肾盂几乎被两个长形肾大盏所代替。有的肾盂呈壶腹形,直接与肾小盏相连而没有肾大盏。这种肾盂勿误诊为肾盂扩大。肾盏和肾盂均有蠕动,有时其边缘可见到暂时性凹陷或狭窄,为蠕动波所成。肾血管有时亦在肾盏或肾盂边缘造成小的压迹,均属正常(图4-4-1)。



图4-4-1 正常肾盂肾盏不同形状(虚线状代表肾的内缘和肾门区)
逆行肾盂造影,如注射压力过高会造成造影剂回流又称逆流或反流,入肾小管或血管周围等处,造成各种特殊的表现(图4-4-2)。应当避免造影剂回流。常见下数种回流:①肾小管回流,造影剂经乳头进入肾小管,表现为由肾小盏中心向皮质方向散布的放射状致密影;②肾窦回流,肾小盏穹窿部撕裂,造影剂回流入肾窦,表现为穹窿周围不规则角状或带状致密影,显著者出现一片不规则毛糙影;③血管周围回流,造影剂沿静脉周围间隙散布,表现为自穹窿向外走行的拱门状细条状影;④淋巴管回流,造影剂进入淋巴管,表现为纤细蜿蜒迂曲的线条影,向肾门方向行走。

图4-4-2 肾盂各种回流
(二)输尿管 输尿管长约25cm,上端与肾相接,在腹膜后沿脊椎旁向前下行,入盆腔后,多在骶髂关节内侧走行,过骶骨后,先弯向外下,再斜行进入膀胱。输尿管有三个生理狭窄区,即与肾盂连接处、越过骨盆边缘处、进入膀胱处。输尿管宽度常因蠕动而有较大变化,边缘光滑整齐有柔和感,也可有折曲。输尿管下端入膀胱处几乎横向,并与膀胱影像重叠。
(三)膀胱 膀胱的正常容量为200~350ml,形状、大小取决于充盈程度。充盈较满的膀胱呈卵圆形,横置于耻骨联合之上,其下缘多与耻骨上缘相平。边缘光滑整齐、密度均匀。膀胱项部可以略凹,系乙状结肠或子宫压迫所致。如膀胱未充满或在收缩状态,其粗条状粘膜皱襞可使边缘不整齐呈锯齿状。两个输尿管开口之间有一个输尿管间嵴,表现为横形透明带。膀胱和尿道相连处称膀胱颈,一般不显示。
(四)尿道 男性尿道可分前后两部,前尿道较宽,自外而内分为舟状窝、海绵体部(为最长的部分)与球部(为尿道最宽处),长13~17cm。后尿道较窄,自外而内分为膜部和前裂腺部,长3~4cm。膜部有外括约肌围绕,为尿道最窄处。逆行法造影时,因括约肌收缩,后尿道常充盈不良,表现为细线状影,勿误诊为狭窄。
三.泌尿系统疾病X线表现与论断
(一)泌尿道结石 泌尿道结石可位于肾至尿道的任何部位。结石的成分不同,形状。密度也不同。多数结石含钙,密度较高,能在X线平片上显影称为阳性结石。少数结石如尿酸盐类结石含钙少,X线照片上不能显影,称为阴性结石,需经造影诊断。结石的主要临床表现是肾绞痛、血尿、排尿困难与继发感染的症状。90%以上的结石可由X线平片显示,故平片是检查结石的首选方法。尿路造影可诊断阴性结石。了解有无泌尿道梗阻。
1.肾结石 肾结石(renalstone)可为单个或多个,单侧或双侧。绝大多数的肾结石位于肾盂或肾盏内,极少数可位于肾实质内。肾结石的平片表现为肾区圆形.卵圆形或表面带刺的桑椹状致密影(图4-4-3)。密度可以高而均匀,或浓淡不等或分层。边缘光滑或不光滑。具有肾盂或肾盏形状为肾石的特征,常呈鹿角状或珊瑚状。桑椹、分层和鹿角形状结石为三种典型的结石。侧位观察,肾结石与脊柱重迭。肾结石需与淋巴结钙化、胆石、肠容物等鉴别。淋巴结钙化常呈成团的斑点状影,移动度大。胆石除形状与肾结石不同外,侧位摄影可见其位置远在脊柱之前。肠内容物的形状和结构无定形,灌肠后再次摄影即消失。

图4-4-3 肾结石
左肾结石,侧位像上结石与脊柱相重
尿路造影有助于肾结石的诊断。造影能确定可疑影是否在肾内。阴性结石在造影上可显示为充盈缺损。造影还能了解患肾的功能,是否有继发感染和(或)肾盂扩大。必须指出,结石的密度可以高于、等于或低于造影剂的密度,不少结石在尿路造影时反而不能见到,因此,必须强调平片对结石诊断的重要性。
2.输尿管结石 输尿管结石(ureteralstone)多由肾结石下移而来,易停留在生理狭窄处。结石常为黄豆大或米粒大的致密影。密度大多不均匀,边缘光滑或毛糙如桑椹状。其长轴与输尿管走向一致。腹段输尿管结石位于腰椎旁,骶髂段输尿管结石位于骶髂关节内侧,盆腔段输尿管结石与骨盆内缘大致平行,输尿管下端近膀胱处的结石则多为横行。输尿管结石可逐渐下移,小时可自行排出。结石需与淋巴结钙化和静脉石鉴别。静脉石为盆腔静脉丛内的钙化,位于盆腔的外围,多较小而呈圆形或环形高密度影,边缘光滑整齐,常为多发性和两侧性,无临床意义。
输尿管结石与横突或骶椎重叠时容易忽略,对诊断困难的输尿结石,需作造影协助论断。排泄性尿路造影可确定致密影是否在输尿管内,其上方的输尿管扩大。通过膀胱镜将导管插入输尿管也可区别是否为输尿管结石。如果导管与致密影重叠或贴紧,证明致密影在输尿管内。如果导管止于输尿管的下方,则注射少量造影剂可以证明此影在输尿管内。
3.膀胱结石 膀胱结石(urinarybladder stone)大多为单发,亦可多发,常横置于耻骨联合的上方,居盆腔中线部位。结石可为圆形或卵圆形,边缘可以光滑或毛糙,密度可能均匀,不均或呈分层状。小者仅数毫米,大者可达10cm 以上。结石可随体位而改变位置,总是在膀胱最低处。憩室内结石可居一侧且不改变位置,膀胱造影能确定诊断。
4.尿道结石 尿道结石(urethralstone)多来自膀胱,见于男性性后尿道,特别常发生于男孩,结石多呈长形黄豆大的致密影,正位片上与耻骨联合重叠,与后尿道的走向一致。斜位摄影时结石位于耻骨联合稍后方。
(二)泌尿系统炎性疾病 炎性疾病以结核为重点讲授
1.泌尿系统结核 泌尿系统结核大多是继发的,原发病灶多在肺内。结核主要侵犯肾,然后蔓延至输尿管和膀胱,多为单侧性。
平片检查多无异常发现,有时可能看到肾内钙化。钙化可为云絮状,环形或花瓣状,有时可以描绘出脓腔的轮廓。全肾钙化,肾影增大或缩小,为肾自截的表现。肾结核钙化不代表病变的痊愈,而多表示有干酪性空洞存在。
诊断肾结核有赖于尿路造影检查。如肾功能明显受损需作逆行肾盂造影。肾结核初期表现为肾小盏顶端圆钝且边缘不齐如虫蚀状,是乳头的局限性溃疡侵犯肾小盏所致。当乳头锥体部或皮质部形成空洞并与肾盏通连时,造影表现为一团造影剂与肾盏相连或位于肾盏外方实质内,其边缘不整齐,密度不均匀,相应肾盏的边缘亦常不整齐或变形狭窄。病变发展成肾盏肾盂广泛破坏或形成肾盂积脓时,排泄性尿路造影常不显影或显影延迟且浅淡。边缘不整齐,逆行肾盂造影见肾盂肾盏变成一个扩大而不规则的腔,波及整个肾。有时可见肾盏的狭窄或闭塞。少数病例只见肾盂稍扩大和肾功能减低,则难以作出确切诊断。
输尿管结核表现为边缘不整齐,宽窄不等,有时呈串珠状或缩短而僵直。晚期可出现管壁的条状钙化。
轻微的膀胱结核X线变化不明显,可能边缘稍不整齐,但大小尚属正常,如形成挛缩膀胱则膀胱缩小,成为圆形或长圆形,边缘不齐。由于纤维组织收缩导致输尿管口开放,在膀胱则造影时可见造影剂向输尿管返流。膀胱结核可有膀胱壁的弧线状钙化,但较少见。
2.慢性肾盂肾炎 慢性肾盂肾炎(chronic pyelonephritis)好发于女性,为两侧性。长期慢性肾盂肾炎可产生瘢痕收缩,肾实质也有纤维性变。最后肾缩小,引起高血压和肾功能不良。
平片检查可见肾影缩小,有时见边缘略不规则,高低不平,或有局部凹陷区。尿路造影可见肾小盏变形,杯口形状扭曲,肾盏漏斗部狭窄,顶端则扩大。这些改变累及两侧肾的多数肾盏。肾盂亦可产生狭窄和变形,有时可见肾盏、肾盂呈痉挛性改变,细小或充盈不良,肾萎缩可致实质变薄。肾功能受损,可致显影延迟和密度减低。输尿管常有扩张。
(三)泌尿系统瘤和囊肿 肾肿瘤分为肾实质肿瘤和肾盂肿瘤两类。前者以肾癌常见,后者又分乳头状瘤(papilloma)与乳头状癌(papillo-carcinoma)但X线不易区分。
1.肾癌 肾癌(renalcarcinoma)常见于40岁以上男性,多为单侧性。临床表现主要是无痛性血尿,有时可触及肿物。
腹部平片可能看到肾影增大,呈分叶状,或有局限性隆凸,少数肿瘤可出现不同形状的钙化影。
肾癌的确诊需作尿路造影。由于肿瘤的压迫、包绕,可使肾盏伸长、狭窄和受压变形,肾盏可以封闭或扩张,如肿瘤范围较大而波及多个肾盏,可使各肾盏互相分离与移位,造成“手握球”(图4-4-4)或“蜘蛛足”样表现。由于肿瘤的侵蚀和压迫,可使肾盏边缘不整齐或出现充盈缺损,甚至完全闭塞。肿瘤压迫和侵蚀肾盂可造成输尿管的受压和移位,或使肾盂出现继发性扩大。用肾实质造影法加体层摄影,肾癌显示为边界不清的密度减低区。晚期肾癌可使肾盏不显影。

图4-4-4 肾癌
右肾上盏呈弧形压迹,右肾受压向外下移位
选择性肾动脉造影对肾癌疹断很有意义。不但可见血管的移位、分离、聚拢,伸直以判断占位病变的存在,还可以根据肿瘤血管的显影情况确定肿瘤的性质。肾癌常显示为网状和不规则形杂乱血管伴有池状充盈,由于动静脉瘘而使静脉早期显影,有些血管可中断或闭塞。
2.肾盂肿瘤 乳头状瘤多局限在粘膜,突出于肾盂或肾盏之中,基底宽,形状不规则,易破溃出血。乳头状癌外形与之相似,但可向深部发展并转移。两者均能向下种植到输尿管和膀胱内。
造影可见肾盂或肾盏内出现固定不变的充盈缺损,形状不规则。肾盏和肾盂可有不同程度的扩大。肾盂恶性肿瘤可以侵犯肾实质,并使肾盏移位变形。如肿瘤种植到输尿可造成小的充盈缺损和不完全梗阻。
3.肾囊肿 单纯性肾囊肿是一种薄壁充满液体的囊肿,多为单发。偶可发生恶变。临床症状多不明显,如有感染可出现脓尿等尿路症状。
平片检查可见肾轮廓的改变。尿路造影可显示肾盏的受压、伸长、移位和变形,压迹多呈弧形,边界锐利。选择性肾动脉造影,动脉期可见肾动脉分支的弧形移位,囊肿区缺乏血管而其周围则血管聚拢。肾实质期可见一边界锐利的充盈缺损,邻近的肾边缘呈喙状突出,甚至可见一圈蛋壳样边缘,代表显影的皮质。
4.多囊肾 多囊肾(polycystickidney)是一种先天发育异常。肾内形成多数大小不等的囊肿,绝大多数为两侧性。常在成年时发现。临床上常表现为腰痛、血尿、高血压、肾功能不全以及肾区肿物。X线检查可见两肾增大,轮廓呈分叶状,位置常较低。两肾的肾盏肾盂有不同程度的受压、变形与分离。肾盏边缘出现弧形压迹,颈部伸长。有时可呈“蜘蛛足”状。肾盂可有压迹、扭曲和变形。肾功能常常有不同程度的受损。本病与肾癌不同之处在于本病为两侧性,累及全肾,不造成肾盂肾盏的侵蚀、破坏或截断表现。USG与CT显示清楚,易于诊断。
5.膀胱肿瘤 膀胱肿瘤多为乳头状瘤和乳头状癌,以后者多见,肿瘤可单发或多发,恶性肿瘤还可在膀胱壁内造成广泛浸润。临床表现以血尿为主,可伴有尿痛、尿急及膀胱区疼痛,肿瘤靠近膀胱颈部可引起排尿困难。
膀胱造影可显示大小不同的充盈缺损,呈结节状或菜花样。肿瘤较小不影向膀胱的形状,较大且浸润膀胱壁内造成不规则的充盈缺损由于膀胱容积较大,如肿瘤较小易被造影剂遮住而不见,应当使用较淡的造影剂(3%~6%碘化钠)和较高的电压。气体及碘液双重造影有利于显示较小的肿瘤,值得应用。
(四)尿路梗阻与肾盂积水 尿路梗阻引起肾盂积水(hydronephrosis),常见原因是结石、肿瘤或炎性狭窄引起的阻塞。排尿功能障碍也是造成积水的原因。梗阻可引起其上方管腔内压力增高,肾盂肾盏扩大,并可使肾皮质逐渐萎缩。X线检查能确定梗阻的部位和性质,积水及功能损害的程度。
尿路造影是观察肾盏积水的有效方法。轻度肾盂积水时可见肾小盏杯口变平(乳头萎缩),穹窿部变为圆钝。肾盏逐渐变短而粗,成杵状。肾盂亦略扩大,排空能力减弱。肾盂积水继续发展时,上述改变更为明显,肾小盏顶端变为圆形,肾盂下缘由凹面变为隆凸。功能受影响,显影延迟,密度减低。严重肾盂积水时成一大囊,密度极低甚至完全不显影。对这些患翥应延迟摄影时间,甚至可于24小时后摄影,有可能看到扩大的盂与肾盏。
(五)先天性异常 泌尿系统在胚胎发育期间,经历较为复杂的过程,包括肾排泄部分(肾曲管)和集合部分(集合管)的连接,肾轴的旋转,肾自盆腔上升至腰部等,因而泌尿系统先天异常较为常见,种类繁多,包括数目、结构和位置异常等。
1.肾盂输尿管重复畸形(双肾盂、双输尿管)一个肾分为上、下两部,各有一个肾盂和输尿管,即为双肾盂双输尿管畸形(double pelvis,double ureter)。较常见,单侧或双侧,多无临床症状,但易合并其他畸形。排泄性尿路造影易于显示这种畸形,一般上方的肾盂肾盏较小,显影亦差。
2.马蹄肾 两肾的一极大多是下极互相融合形如马蹄称为马蹄肾(horse-shoe kidney),X线表现为①肾位置低,下极互相融合且接近于髂嵴水平;②肾盂、肾盏旋转不良,肾盂在前方,靠近中线,肾盏指向后方甚至内侧;③肾轴自外向斜向内下方,与正常相反;④肾盂、肾盏常有扩大或并发结石。
3.异位肾 胎儿期肾的上升发生障碍即成异位肾(ectopic kidney)。异位肾大多位于盆腔内,但极少数可居膈下,甚至可异位于后纵隔内。平片可见肿块影位于盆腔内、膈下或后纵隔内。造影可确定诊断。
4.髓质海绵肾 髓质海绵肾(medullarysponge kidney)是由于肾集合管先天性扩大所致。病变常累及两侧肾的多数锥体和乳头,形成许多数毫米大小的囊腔,使肾髓质如海绵状。平片检查有时可发现多个小结石,约数毫米大小,在乳头区呈丛状排列。排泄性尿路造影可见肾小管扩大,呈葡萄串样、扇形或花朵样影自肾盏向髓质呈放射状排列,多个小结石即包含于此影之中。肾盏可以稍扩大。逆行肾盂造影可以没有发现。
5.输尿管异位开口输尿管开口,可异位在膀胱内或膀胱外。本病大多伴有双肾盂双输尿管畸形,多见于女性,可为单侧或双侧。异位开口的输尿管都来自上肾部的肾盂。在女性,异位开口多位于前庭、阴道、尿道等处,造成持续性漏尿,但同时亦有正常的分次排尿。X线检查对确定诊断和治疗方案有重要作用。排泄性尿路造影可看到双肾盏双输尿管畸形,偶尔可能看到输尿管全长及异位开口,使用浓、较多的造影剂并增加摄片张数,延迟摄影时间才有可能显示上部肾盂和输尿管。如能找到异位开口处,放入导管注入造影剂,即可显示扩大迂曲的输尿管和发育不良的肾盂。
6.输尿管囊肿 输尿管囊肿(ureterocele)系由于先天性输尿管口狭窄及输尿管壁发育不全,使输尿管下端形成一个囊肿或囊样扩张。囊肿常突出入膀胱,位于输尿管开口附近,但有时可脱垂入尿道或体积很大的而占据整个膀胱。本病多发生于女性,常伴有双肾盂双输尿管畸形或其他先天异常。尿路造影在膀胱内近输尿管开口处显示一个圆形或卵圆形充盈缺损,直径多为1~3cm,边缘整齐锐利。有时形如蛇头状。为本病较典型的表现。有时在囊肿中有造影剂充盈且与输尿管相连,而囊壁则在膀胱影中显示为一个环状透明影。是本病的特征表现。输尿管常有不同程度的扩大。
(六)前列腺肥大 前列腺肥大(hypertrophyof prostate )或良性增生(hyperplasia of prostate)多见于老年。临床表现主要是排尿困难和排尿不尽,尿次增多。
膀胱造影可见膀胱底部有弧形压迹,或者看到肿物影向上突入,其边缘常光滑整齐,也可略成为叶状。后尿道受压变形,表现为伸长、狭窄和正常曲度增大。此外可见慢性阻塞引起的膀胱改变如锥形膀胱和边缘不整齐等。
(七)尿道疾病 尿道先天性异常种类甚多,如尿道裂、重复畸形、先天性憩室或瘘管、先天性狭窄和瓣膜形成等,常需作尿道造影以确定诊断。后尿道瓣膜需用排泄法尿道造影检查,可显示横过尿道的膜状影,瓣膜上部的尿道扩大。慢性炎症可引起尿道狭窄,范围较广,粗细不均,边缘毛糙,如有脓肿可显示为不规则的袋状影。有时尿道旁腺体也显影为扭曲而模糊的影像。尿道外伤很常见,多引起尿道球部或膜部破裂,以后形成狭窄。尿道造影对判断狭窄程度和部位以及有无瘘道等有很大帮助。外伤造成的狭窄范围较短,附近尿道近于正常。
(八)肾血管性疾病肾血管性疾病包括肾动脉狭窄和闭塞、肾动脉瘤及肾动静脉瘘等。其原因可以是先天性(肌纤维发育不良),炎症性,如大动脉炎和动脉粥样硬化等。其中,肾动脉狭窄最为常见。
肾动脉狭窄(stenosis of renalartery)可以累及肾动脉主干或肾内分支。它引起肾血流量明显减少,致肾萎缩变,肾小管的再吸收及浓缩功能均增加。常有侧支循环形成。临床上多发生在青年,有持续性高血压,体检常于肾动脉区闻及杂音。
X线平片检查可见患侧肾影缩小。一般认为如两侧肾长径相差超过1.5cm就有意义,小的一侧就是患患侧。排泄性尿路造影虽有诊断价值,但必须使用特殊方法,如每分钟连续摄片尿路造影法和冲刷试验。这些方法不能直接看到肾动脉狭窄,最可靠的方法是腹主动脉肾动脉造影。狭窄多位于肾动脉的根部和近侧,长度为数毫米或1cm 以上,单侧或两侧,一处或多处,常伴有狭窄后扩张。有时肾动脉近侧完全闭塞,几乎看到不到肾动脉。此时,肾的供血完由侧支循环而来,在较晚的照片上可见到远侧的肾动脉分支和肾实质象。肾内分支狭窄有时可见边缘不规则呈串珠状表现。
大动脉炎是引起高血压的重要原因,腹主动脉造影可见腹主动脉有程度不等的狭窄,边缘不规则,范围大多较长,多累及肾动脉开口平面至腹动脉分叉平面的一段。肾动脉常有不同程度的侵犯。
(九)肾上腺疾病肾上腺可发生皮质增生、皮质腺瘤或癌。临床上可为Cushing综合征或原发醛固酮综合征(primary aldosteronism),髓质可发生嗜铬细胞瘤(pheochromocytoma)。还可发生慢性肾上腺皮质功能减退,即Addison病。此外,还有神经母细胞瘤、血管瘤、无内分泌功能腺瘤和转移瘤等。X线平片诊断价值有限。在Addison病可能于肾上腺出现钙化。诊断主要靠CT扫描。肾上腺静脉造影并取静脉血标本行生化检查对诊断价值较大。
第二节 USG论断
USG对显示肾脏病变的部位、范围、内部结构、向邻近延伸、性质及肾癌的分期等,都优于X线检查。行USG导向穿刺还可达到诊断和治疗的目的。USG也适于肾上腺肿瘤的诊断。
一、肾
肾的USG检查取俯卧位,沿肾长轴作纵断面探查,根据需要也可行斜断面或横断面探查,检查无需特殊准备。
正常肾有鲜明的轮廓线,径线测量与解剖学结果一致,肾实质为低回声暗区,肾中心呈密集的光点区,为肾盂、肾盏及血管的回声影。
(一)泌尿系统结石 不论X线阳性或阴性结石,USG皆显示为密集、点状强回声光团,并带有声影,颇具特征,膀胱结石尚可随体位变化而移动。小于0.5cm的结石难于显示,血块为低回声暗区,有利于阴性结石与血块、肾盂肿瘤的鉴别。
(二)肾肿瘤与肾囊肿 USG对发现肾肿瘤敏感性高,对实质性肿物与囊肿的鉴别准确率可达到95%,因此,可疑肾肿瘤时应首选USG检查。
1.肾癌 USG可见肾增大、形态异常,肿瘤呈实质性暗区,其内可有细小、散在、分布均匀的光点,肿瘤侧壁出现边界不清的低回声带,肿瘤内出血、坏死、液化则出现液性暗区。肾盂、肾盏因受肿块推压,致其光点移位,甚至消失(图4-4-5)。血管内瘤栓形成散在或稀疏的血管内回声;肾门淋巴结增大则呈类圆实质性低回声区环绕肾蒂及主动脉与肾动脉的连接部;主动脉旁淋巴结增大,使大血管轮廓不清,或于腹膜后中线部出现实质性肿块,这些对肾癌的分期十分重要。肾癌术后USG检查是肿瘤复发及局部淋巴结转移的有效诊断方法。

图4-4-5 左肾癌
左肾大部被混杂回声肿物占据,
内部回声不均,边界不清
2.肾盂肿瘤USG可肾盂、肾盏光点分离,其间现现低回声区,与肾实质回声强度相似,诊断价值不如IVP。
3.肾囊肿①单纯性肾囊肿,USG表现为单侧性、轮廓鲜明的液性暗区,远侧壁回声增强表现典型,诊断可靠,并可在超声引导下对较大囊肿进行穿剌,为首选治疗方法。②多囊肾,USG示两肾增大,形态异常,并见多个大小不等的、圆形液性暗区,边界鲜明,因许多微小囊肿反射,紧实质暗区内回声增多,呈明暗不一的大小光点,与单纯性肾囊肿不同。并可发现肝、胰、脾囊肿。
(三)肾盂积水 肾盂积水量达到20~30ml时方可由USG显示,肾盂光点分离,中间出现液性暗区,其形态随断面角度而变化,横断面探查呈圆形,纵断面探查呈椭圆形,周围为肾实质低回声区。严重者,肾明显增大,肾实变薄,肾呈一巨大液性暗区。
(四)肾先天性异常 肾先天性异常多见,本节仅讲述肾盂重复畸形及肾位置异常。
1.肾盂重复畸形 USG可见两个肾盂、肾盏的回声。
2.异位肾及游走肾肾窝内不能测出肾脏的回声。异位肾,经手法推压不能纳入本侧之肾窝内;游走肾,经手法推压可纳入本侧肾窝之内。
(五)肾炎性疾病肾炎性疾病需发展一到一定程度时方有USG异常表现,且不具特征。
1.肾结核 USG表现随病理变化不同而异,不具特征性。肾仅有轻度形态变化时,USG多不能分辨;脓肿形成时,显示为肾实质内低回声暗区;钙化表现为带有声影的强回声。
2.慢性肾盂炎 USG可表现为肾盏扩张、变形、实质变薄、肾影变小、形态异常等。
二、肾上腺
正常肾上腺被肺及肋骨遮盖,USG较难显示,但肾上腺肿瘤时,可由USG探出。表现为境界鲜明的实质性低回声区(图4-4-6)。如有液化、坏死则回声不均或呈液性暗区;如有浸润则境界不清。疑嗜铬细胞却未发现肾上腺肿瘤者,应探查腹主动脉旁及膀胱等,以发现异位肿瘤。

图4-4-6 左肾上腺癌
左肾上腺区实质性低回声暗区,边界清楚(↓)
三、膀胱与前列腺
USG不能显示空虚的膀胱,因此,检查前应大量饮水,使之充盈。取仰卧位,经耻骨上行纵断或横断探查,探查应包括整个盆腔。
正常膀胱,呈一液性暗区,部分充盈时为圆形,充盈时呈卵圆形,内壁光滑。
正常前列腺,表现为对称的细长形、三角形或半月形,包膜声光滑、连续呈细线状,内部回声细致而均匀。
1.膀胱癌 USG表现为膀胱的液性暗区内出现边缘不整的实质性回声,并可显示肿瘤析的大小及形态。非手术治疗时,USG随诊可明确肿瘤对治疗的反映。
2.前列腺肥大与前列腺癌 前列腺肥大早期呈半月形,晚期为圆形或椭圆形;包膜回声光滑、连续,内部回声增强。
前列腺癌USG显示为前列腺非均匀性增大。未发生浸润时包膜回声连续,但厚度不均,发生浸润时则回声断续而不规则,内部回声不均。
第三节 CT与MRI诊断
CT对肾、肾上腺、膀胱和前列腺疾病的诊断优于USG。CT不仅能显示肾盂、肾盏及膀胱内腔,还能显示肾实质和膀胱壁。MRi 在显示病变的内部结构;恶性肿瘤对邻近器官、血管的侵犯情况,有无瘤栓存在;有无远处淋巴结转移;对恶性肿瘤的分期及治疗后的随访、评价,有无瘤复发等,均优于CT。与CT有互补性,可弥补CT的不足。
一、肾
肾CT扫描无需特殊准备。扫描范围上界应略高于肾上极,下迄肾下极,层厚1cm.,扫描12~14层面。一般无需口服造影剂。除怀疑肾结石及有造影剂过敏和肾功能不全时,一般均应常规行增强扫描。采用团注法显示肾动、静脉及肾实质,效果较好。肾盂一般于注造影剂后约2分钟显影。MRI一般采用横断面和冠状面或加矢状面,自旋回波T1WI,以显示解剖结构同时再作横断面T2WI,以判断病变性质。
肾在横断面CT图像上,呈边缘清楚、轮廓光滑的圆形或椭圆形软组织影。肾门部内陷,有肾动、静脉和输尿管进出。平扫时,肾实质密度均一,不能分辨皮质与髓质,CT值为30~50Hu。利尿作用强时,密度降低,仅约15Hu。增强扫描,肾实质密度增高,CT值达80~120Hu。肾盂与肾盏平扫时为水样密度,增强扫描密度明显增高。肾盂大小不定。输尿管平扫呈点状影,增强扫描密度高,易于辨认,肾筋膜在50%例可显影,呈横行细线状致密影,居肾之前后。
MRI可清楚显示肾。T1WI上,肾皮质呈中等强度信号,肾髓质信号低于肾皮质,二者形成皮髓质差异。但T2WI,二者差异不显,整个肾实质均呈高信号。肾盂肾盏因含尿液,信号强度与水相似。肾包膜呈中等强度信号,与肌肉、纤维性病变相似。肾周脂肪在T1WI和T2WI上,信号均较高。
(一)肾肿瘤 CT对显示肾癌、肾盂癌相当准确。还可确定肿瘤的大小、浸润的范围、邻近和远处淋巴结转移,因之有助于分期。MRI对肾肿瘤侵犯肾周、对肾静脉和下腔静脉的侵入及瘤栓情况、对肾包膜的累及等均优于CT。对病变显示的机率也大于CT。
1.肾癌 CT平扫可见密度略低于或等于肾实质的肿块,有时为略高密度。肿瘤边缘光滑或不整,与肾实质分界不清,可突出于肾外。肿瘤内部坏死或囊变为低密度区,钙化与出血则为高密度区。增强扫描,在多血管性肿可见异常血管和肿瘤强化,注射后半分钟,肿瘤血管与强化消失,而肾实质强化,则肿瘤呈低密度(图4-4-7)。少血管性癌则不强化。MRI的T1WI上,肿瘤呈低信号,正常的皮髓质差异于肿瘤区丧失,且可出现肿瘤的假包膜征。较低的环影为受肿瘤压迫的肾质和(或)血管、纤维组织所致。T2WI上肿瘤呈高信号,MRI对于肾癌的分期优于CT,但对肿瘤钙化则较难显示。

图4-4-7 肾癌CT扫描
增强扫描,右肾中部有一肿块,其强化程度低於肾
实质,肿瘤向肾窦突入
肾切除后肾癌复发,无论CT或MRI肾床局部均可见肿块,腹膜后淋巴结可增大。
2.肾盂癌 CT增强扫描显示肾盂内充盈缺损。通过其CT值及形态可帮助除外新鲜血块、囊肿和结石等。肿块浸润肾实质,则需与肾癌鉴别。肿瘤常使肾窦变形并闭塞正常肾窦脂肪。由于肿瘤可向输尿管或膀胱种植转移,CT扫描应包括输尿管及膀胱。肿瘤内偶可见细小钙斑。MRI肿瘤在T1及T2WI上信号与肾皮质信号强度相近,或T2较短。常依肾窦脂肪受压推移征象帮助判断。MRI可更好显示对邻近血管的侵犯。
(二)肾囊肿 CT诊断肾囊肿相当可靠。
单纯肾囊肿在应用CT后,于生体发现率提高。平扫可见肾包膜内圆形或类圆形、边缘光滑、密度均匀、水样密度的病灶,囊壁薄,与正常肾实质分界清楚(图4-4-8)。增强扫描,无强化。表现典型,不难诊断。囊壁可钙化。有时囊肿密度高或囊壁厚,则需与肿瘤内坏死及脓肿鉴别。对这些不典型例,USG和血管造影有一定帮助,必要时行穿刺。

图4-4-8 肾囊肿CT扫描
CT平扫,左肾前部肾囊肿,呈水样密度,圆形、光滑
多囊肾平扫可见两肾增大,呈分叶状外形,内有多个囊肿,大小不等,壁薄。肾实质内可见钙化。还可发现肝、胰、脾的囊肿。平扫多可确诊。
MRI单纯囊肿呈长T1和长T2。边缘较清晰,内在信号均匀一致。多囊肾的囊肿可为单纯囊肿也可为出血性囊肿,故T1WI呈低信号或混杂信号,T2WI呈高信号或混杂信号,既可以均匀也可以不均匀。
(三)肾盂积水 肾积水功能丧失时,IVP上不能显影,CT则易于显示。可见肾盂、肾盏扩大,肾影增大,严重者肾实质变薄。增强检查,肾实质密度低于正常。如对侧正常,经比较易别。当输尿管梗阻不全或在梗阻早期,注射造影剂后,可见不含造影剂的尿与造影剂形成界面。CT不能确诊肾盂积水,还有可能明确期病因。MRI同样可以显示。肾功能差者肾皮髓质差异变得不明显。
(四)肾、输尿管结石 阳性结石,平扫易于发现,为肾、输尿管内大小与形状不一的高密度影,阴性结石也为高密度影。当IVP上发现充盈缺损,难于判断为阴性结石、凝血块与肾盂癌时,CT有鉴别意义。结石或钙化,MRI价值较低。
(五)肾外伤 CT及MRI诊断外伤并分期。可显示肾实质的不全裂伤及肾内血肿,完全性肾裂伤、肾断离,肾包膜下血肿、肾周间隙或腹膜后其他间隙血肿,新鲜出血,CT平扫可见局部密度增高。血肿液化,则密度减低。增强扫描,肾实质内出血或血肿区的密度常低于增强的正常肾实质的密度。肾盂内可因有血块占据而充盈不佳。MRI可更好显示出血并评价出血所处阶段。
(六)肾炎性疾病 急性肾感染,如肾脓肿,CT平扫可显示比正常肾实质密度略低的病灶,但肾的增大不显著。增强扫描病灶的边缘清晰,密度较低。其内方为脓肿壁,较厚,可不均匀。脓肿中心不增强,为坏死、液化区。一般不大,直径约1~2cm。需与肾囊肿或肿瘤区别,结合史及临床表现,诊断不难。MRI所见,在形态学方面与CT相似。
肾结核属慢性炎症。早期CT扫描改变较轻,易忽略。进展期可见肾盂积水、脓肿和肾实质萎缩等。肾内钙化,CT较易显示,但MRI则较困难。
二、肾上腺
CT和MRI对肾上腺及其病变的显示率很高。因此,是诊断肾上腺疾病的重要影像学手段。MRI由于可三维成像,又可根据不同脉冲序列信号强度变化分析病变性质,比CT有更大的优势。
肾上腺CT扫描无需特殊准备,短扫描时间、薄层面和放大扫描,对显示肾上腺及其病变较好。,后面包括肾上极上方到肾门的平面。无需口服造剂。增强扫描有助于观察肿瘤内的血管结构,并判断有无肝转移。
肾上腺横断面CT图像,正常呈倒V形、倒Y形,三角形或线状,尖嵴向前,内、外肢后伸。边缘光滑,不出现结节状轮廓。增强扫描,则均一强化。MRI正常上腺的T1WI和T2WI上信号强度与肝相近。
(一)嗜铬细胞瘤 嗜铬细胞瘤来自肾上腺髓质嗜铬细胞。肿瘤直径常大于2cm,CT多可查出。由于10%~15%可发生在肾上腺以外,因此如未发现肾上腺肿瘤,应对其他部位,特别是腹部进行扫描。在成人10%、小儿20%肿瘤为两侧性。临床表现主要是阵发性或持续性高血压,发作持续几分钟至几小时后血然缓解。
CT表现为边缘清楚,密度均匀,直径为2~4cm的肿块。肿瘤内坏死表现为低密度,还可钙化。增强扫描可见强化。嗜铬细胞瘤中10%~15%为恶性,肿瘤多较大,只靠CT表现难于分辨良性或恶性。但如有腹膜后淋巴结转移、邻近组织浸润和肝转移,则可诊断为恶性。
MRI因肿瘤含水较多,T1WI呈低信号,T2WI呈显著高信号。多数病变信号较均匀,少数因肿瘤内出血、坏死致信号不均匀。
(二)肾上腺皮质腺瘤 肾上腺皮质腺瘤CT可见边缘光滑、圆形或椭圆形肿瘤,密度均匀,等于或低于肾的密度。增强扫描有均一强化。对侧肾上腺萎缩变小,但也可正常。肾上腺皮质瘤因分泌的激素性质不同,而有原发性醛固酮增多症和皮质醇增多症之分。前者腺瘤较小。约0.5~0.3cm。后者腺瘤较大,约2~8cm。均表现为圆形或椭圆形肿块。前者因瘤体小,常仅累及肾上腺的某一部分。两种功能性异常除腺瘤外也可因相应的肾上腺皮质增生所致。MRI腺瘤在T1和T2WI上信号强度与肝的信号相似或稍低于肝(图4-4-9)。

横断面

冠状面
图4-4-9 右肾上腺腺瘤MRI(T1WI)
(三)肾上腺皮质增生和萎缩 肾上腺皮质增生,CT表现为两侧肾上腺增大,轮廓饱满,或伴有多发结节。但肾上腺大小、形状正常者也不少见。
慢性肾上腺皮质功能减退,即Addison病。多因自身免疫异常引起特发性肾上腺萎缩后致。也见于结核、淀粉样变和两侧肾上腺转移瘤等。
CT表现为两侧肾上腺萎缩变小。结核性者可见一侧或两侧肾上腺钙化。
三、膀胱与前列腺
CT与MRI均适于诊断膀胱和前列腺疾病。但对于显示病变向器官邻近脂肪组织的侵犯,对于显示前列腺内在组织结构,例如显示中央区和周围区以及移行区,MRI优于CT。因此,对膀胱和前列腺疾病的诊断,MRI更好。
CT检查膀胱,需适当胀满,以区分膀胱壁与内腔。多饮水、不排尿以充胀膀胱,方法简便,但不够准确。经尿道插管注入低浓度碘造剂、生理盐水、空气或CO2气充胀膀胱易显示病变。
常规用横断面扫描,由耻骨联合向上到骨盆上缘,层厚1cm。膀胱顶部或底部肿瘤或前列腺癌侵犯膀胱底部最好用冠状重建。增强扫描可使输尿管显影,有助于鉴别增大的淋巴结,但扫描膀胱要在膀胱充盈造影剂的早期,因为过晚,膀胱内造影剂过浓,易发生伪影。
MRI除横断面外,需如作矢面或(和)冠状面扫描,尤其是膀胱三角区病变。多回波扫描有助于判断病变组织特点及向邻近浸润。
膀胱居盆腔前部,大小形状因盈程度和层面高低而不同。CT上膀胱呈软组织密度,厚度均匀。闭孔平面可见前列腺,呈类圆形,为均一的软组织密度。中心小圆形低密度区为尿道。前列腺后方有肛门外括约肌,为软组织密度。与前列腺界限不清,再上层面可见直肠,与前列腺分界清楚。膀胱底背侧,与前列腺相连之精囊,呈两侧对称外突的突出物。精囊与膀胱后壁的间隙为精囊角。
正常前列腺在T1WI上呈较低信号,比较均匀,T2WI上可显示中央区、移行和周围区。中央区信号稍低,周围区因腺体含水量较大,信号较强,移行区很细窄,信号低。
(一)膀胱癌 CT诊断膀胱癌比较简便、准确。可见由膀胱壁突入膀胱腔内的软组织肿块,还可埂明向壁内的浸润,表现为局部增厚。邻近组织的浸润和淋巴结转移,CT也可发现。因之,CT对膀胱癌的分期有帮助。
MRI检查,尤其是增强扫描较有利于早期诊断和鉴别诊断以及肿瘤的分期(图4-4-10)。
膀胱癌切除术后复查,MRI有助于区分术后瘢痕或肿瘤复发。

图4-4-10 膀胱癌
膀胱腔内突起的肿块(白↓),
肿瘤已侵犯至壁外(黑↑)
(二)前列腺肥大与前列腺癌 前列腺的大小同年龄有关,但一般其直径不超过5cm。前列腺肥大可,见前列腺向膀胱底突入。边缘光滑,密度均匀,一般是两侧对称,便可一侧肥大明显。冠状面显示更为清楚。
前列腺癌在包膜内生长时,CT难于确诊,只有当侵破包膜向周围脂肪组织中浸润时才可能诊断。表现为前列腺轮廓不整,密度不均。直肠前壁及膀胱壁可被浸润,精囊角消失。CT还可发现淋巴结转移和盆骨转移。CT对前列腺癌的分期有帮助。
MRI上,因前腺增生主要发生于中央区,故T2WI上显示中区央增大。而前列腺癌多发生于周围区,致使周围区在T2WI上信号有局限低或稍低信号的结节影。因此MRI比CT更具诊断价值。但前列腺癌的MRI表现不典型时,诊断仍较困难。
第五章 女性生殖系统
影像学检查对女性生殖系统的诊断有一定的价值。生殖器官的X线造影可以了解子宫和输卵管的情况,为某些炎症和肿瘤的诊断提供依据。泌尿系统和消化系统的X线造影检查对女性生殖系统疾病的诊断也有间接的帮助。
由于性腺和胎儿对X线的辐射作用很敏感,因而对生殖系统X线检查更应慎重。尤其对胎儿,愈早龄的胎儿对X线愈敏感,甚至一次小量的照射都可引起发育畸形,而应避免使用。
USG在妇产科方面的应用有很大发展,特别在胎儿和妇科肿瘤方面更为突出,已为首选检查方法。CT和MRI诊断也有相当价值。
第一节 X线诊断
一、X线检查方法与正常表现
(一)骨盆平片 除能了解骨盆的形状、大小、有无畸形及骨质病变外,还能发现生殖器官病变的异常钙化,如结核、卵巢肿瘤和子宫肌瘤的钙化。
(二)子宫输卵管造影 子宫输卵管造影(hystero-salpingography)是经宫颈口注入40%碘化油、碘苯酯或有机碘水剂以显示子宫和输卵管内腔的一种检查方法。主要用于观察输卵管是否通畅,子宫有无畸形等。个别患者造影后可变为通畅。对于多次刮宫后引起的宫腔内粘连,造影还有分离粘连作用。临床上主要是寻找不孕症的原因,也用于各种绝育措施后观察输卵管情况。如需要将输卵管再接通,术前需作造影。在有生殖器官急炎症,月经期、子宫出血和妊娠期禁用。
正常造影子宫腔呈倒置三角形,底边在上,为子宫底,下端与子宫颈管相连。宫腔上部两侧为子宫角,与输卵管相通。两侧壁和宫底光滑整齐。子宫颈管呈长柱形,边缘呈羽毛状。两侧输卵管自子宫角向外并稍向下走行,呈迂曲柔软的线条状影。输卵管近子宫的一段细而直,为峡部。其远端较粗大,为壶腹部;壶腹部未端呈漏斗状扩大,为输卵管的伞端(图4-5-1)。如果输卵管通畅,造影剂可进入腹腔,分布于肠管之间以及子宫直肠窝和子宫膀胱窝内,呈多数弧形和波浪形条纹影。

图4-5-1 正常子宫输卵管造影
(三)盆腔动脉造影 经皮穿刺股动脉插管,将导管端置于腹主动脉分叉处或髂内动脉进行造影,可显示髂内动脉及子宫动脉。置于肾动脉稍下方进行造影,可显示卵巢动脉。本法主要用于:①生殖器官的血管性疾病如动脉瘤和血管畸形等;②经导管作局部治疗,如注血管收缩药止血,注抗癌药和(或)栓塞治疗肿瘤等;③确定盆腔肿块的血供、来源和性质。
二、妇科疾病X线表现与诊断
(一)先天性异常 子宫、输卵管造影易于观察子宫、输卵管的各种先天畸形,如双子宫、双宫颈、双角子宫、纵隔子宫、半隔子宫、鞍状子宫、单角子宫和子宫发育不良等(图4-5-2)。






图4-5-2 子宫先天性畸形
(二)女性生殖系统炎症 常见者为以下两类。
1.子宫、输卵管结核 多为双侧性,首先累及输卵管,由伞端到壶腹部,逐步蔓延到子宫和子宫颈。
子宫输卵管造影可见宫腔边缘不规则,严重时可见子宫狭小、变形。可有锯齿状小龛影。宫颈管变僵直,边缘不整。输卵管狭窄、变细、僵直、边缘不规则,管腔可有局限性狭窄与憩室状突出相间。由于多数溃疡形成的小瘘道,形如植物的根须状,是结核的重要征象(图4-5-3)。输卵管可以发生完全闭塞,闭塞端圆钝,其近端可有局限性花蕾状膨大,但很少形成囊状积水。

图4-5-3 子宫输卵管结核
右侧输卵管近端闭塞(↓),左侧输卵管壶腹部
扩大,伞端不通(↓),子宫腔小,轮廓不整
2.慢性输卵管炎 多为双侧性。炎症易于造成伞端或输卵管腔内粘连,使输卵管不通。阻塞近侧输卵管扩大,并可形成输卵管积水(hydrosalpinx),可粗如拇指。如碘化油进入积水的输卵管内,则显示为多数油珠集合在一起。这种改变是非结核性炎症的重要征象。有时炎症主要在伞端附近和盆腔,输卵管只有轻微的改变,但碘化油不能顺畅地通过伞端并在腹腔内自由弥散,而是堆积在伞端附近。
(三)女性生殖系统肿瘤 女性生殖系统肿瘤,X线诊断价值有限。
1.卵巢畸胎瘤(ovarianteratoma)约一半病例可显示骨和牙影,根据这些征象可作出诊断。巨大的卵巢囊肿有时可占满全腹,需与腹水鉴别。卵巢囊肿时肠曲被推向上腹部,在囊肿区见不到肠曲,肠管下缘形成一个弧形压迹;而当腹水时,则肠管,分散浮动,可布满全腹,且有很大的活动度。
2.子宫肌瘤(myomaof uterus)可以发生钙化,X线平片能显示。血管造影可见子宫动脉增粗、增多,或有推移与变直,有时在肌瘤之中出现螺旋状病理性血管。
(四)子宫内膜粘连 多次刮宫可引起子宫内膜粘连,较常见。临床表现主要为月经减少和不孕。子宫输卵管造影可见子宫缩小且变形,内腔形状不规则或出现小的充盈缺损,输卵管多正常。依此,并结合多次刮宫史,可作出诊断。
三、产科疾病X线表现与诊断
关于妊娠、胎儿异常、死胎以及前置胎前等诊断,USG明显优于X线检查,是首选的方法。
(一)妊娠与胎儿 X线检查对妊娠和胎儿的诊断虽有一定帮助,但由于射线影响,应避免使用。
X线检查可以了解胎式与胎位,是否多胎、以及胎儿是否死亡。
死胎的X线表现为:①颅盖骨重叠嵌合,甚至完全塌陷变形;②脊柱明显屈曲。整个胎儿可蜷成球形;③胎儿体内出现气体;④由于头皮下脂肪层与颅骨分离,在颅骨周围出现一圈透明晕环;⑤胎儿明显小于妊娠月份应有的大小。
石胎是由于腹腔内妊娠胎儿死亡,和期存留后胎儿和胎盘发生钙盐沉着所致。X线平片表现为大块高密度的类似结石的影像,并保留死胎的某些征象。
胎儿畸形造成骨骼改变者,可由X线检查发现。无脑儿X线表现为颅盖骨缺如,只见一堆致密的颅底骨和颜面骨。脑积水的X线表现为胎儿头颅过大,颅缝过宽,颅壁薄,而颜面骨相对小。
(二)前置胎盘 前置胎盘X线检查用腹部站侧位软组织摄影,如胎头已入盆。可排除前置胎盘。正常时,胎头与骶骨岬和胎头与耻骨联合的距离基本相等。如有不称,应怀疑有前置胎盘。
四、节育环的X线检查
子宫腔内放置节育器是简便有效的避孕方法,在我国已普遍应用。目前常用的节育器是金属制成或含有金属成分的节育环,易为X线所查出。X线检查可确定节育环的位置和形状,判断有无异常情况,从而保证避孕效果。有些节育环由塑料或硅橡胶制成,有多种形状,视其中是否含有金属成分或是否带金属物而决定其是否能由X线查出。
一般可透视即可,需缩小光圈,压紧下腹部。节育环可显示清楚。卧位比立位易于见到,因为卧时下腹部较平坦,如有可疑应摄影。
子宫在盆腔内的位置并非固定,而且子宫本身常有不同程度的前倾、后倾或倾斜,因而节育环的正常位置和形状也有较大差异。
在立位检查,一般节育环位于耻骨联合上方2~6cm,中线两旁3cm范围之内。少数人,环的下缘与耻骨联合上缘相重或在耻骨上10cm亦属正常。环中心在耻骨联合上6cm者称高位环。节育环的形状大多呈圆形或椭圆形。子宫前倾或后倾较显著,使环呈椭圆形,极度前倾或后倾可使环呈横线形。立位和卧位检查时,节育的位置可以有0.5~4cm的变动。
节育环超过耻骨联合上6cm应考虑环有穿过子宫进入腹腔的可能。环的位置过低,例如环在耻骨联合以下,要考虑环已落入宫颈管或阴道内。如果环呈纵位椭圆形且与耻骨联合重迭,表示环在宫颈管内。环呈∞字形或三角形属异常形状,多系宫腔过小或不对称以致节育环不能充分弹开,扭曲变形所致。这种形状的环常为节育环脱落先兆。
节育环可能离开宫腔而进入腹腔,可能由于子宫的压力使环经过宫壁肌肉间隙而穿入腹腔,这个过程可以很慢而不出现临床症状。也可能由于手术器械损伤,环在子宫收缩时经缺损区进入腹腔。环进入腹腔的特点是远离子宫的正常位置,活动范围大,可达骨盆边缘或骶髂关节下方,环的形状也变化较大,如呈长血长条形,半月形等。如普通透视难于确定环是否离开宫腔,可放置宫腔探针后透视,观察环与探针的关系而判定环的位置。必要时可作子宫输卵管造影以明确环与宫腔的关系。
第二节 USG诊断
USG在妇产科应用广泛,尤其在产科更有独特价值,为影像诊断的首选方法。
一、USG检查方法与正常表现
(一)检查方法 妇科疾病USG检查中多用扇形扫描仪。频率多为3.5MHz或5.0HMz。
多用经腹壁直接探查,为了避免肠内容物,尤其是气体的干扰,检查前应饮水使膀胱适度充盈,以推开肠管,使子宫图像清晰。对盆腔后壁的肿块,需于直肠内放置水囊后检查,使子宫和病灶的边界轮廓及内部回声显示清楚。还有专用阴道探头行直接探查法,子宫输卵管声学造影法是利用2%双氧水在宫腔和输卵管内产生的微气泡,在声象图上呈明显强回声,以识别造影剂到达的部位,借以鉴别肿块与子宫的关系和了解输卵管通畅情况。经阴道内腔USG对子宫内膜病变及微小肿块有良好的显示能力,更具有临床诊断价值。彩色多普勒血流显像,则可增加对子宫和卵巢病变的血流信息,有助于定性断。
(二)正常表现
1.子宫 纵向扫描时,前倾或水平位子宫纵断面一般呈倒置梨形,子宫体为实质性均质结构,轮廓光滑清晰,内部回呈均匀的中等强度,宫腔呈线状强回声,其周围有低回声的内膜围绕,依月经周期内膜的改变宫腔回声有所不同。宫颈回声较宫体稍强,且致密,常可见带状的宫颈管强回声。阴道部前后穹窿间常可呈圆形低回声。横断面子宫近宫底角部呈三角形,体部侧呈椭圆形,其中心部尚可见宫腔强回声(图1-4-3)。后倾子宫纵断面的形状呈球形,且多呈低回声,子宫内膜回声常难以显示。正常子宫的大小,常因不同的发育阶段,未产妇与产妇和体型而有差异,不同发育阶段的妇女正常子宫测值表4-5-1。
青春期子宫体长约与子宫颈等长,生育期子宫体长约为子宫颈的一倍,老年期又成为1:1。
表4-5-1 不同发育阶段妇女正常子宫USG测直
| 纵径(cm) | 前后径(cm) | 横径(cm) | |
| 青春前期 | 2.0~3.3 | 0.5~1.0 | 5.0~1.0 |
| 青春后期 | 5.5~7.5 | 3.0~4.0 | 4.5~5.5 |
| 绝经期 | 3.5~6.5 | 1.2~1.8 | 1.2~1.8 |
2.卵巢及输卵管卵巢多位于子宫体部两侧外上方,但有较多变异,后倾位的子宫,两侧卵巢位于宫底上方。正常位置的卵巢其后外侧可显示同侧的输尿管和骼内血管,可作为卵巢定位的标志,正常卵巢断面声象图呈杏仁形,其内部回声强度略高于子宫,成年妇女的卵巢其大小约4×3×1cm。生育期妇女,其大小随月经周期而有变化。双侧输卵管自子宫底部蜿蜒伸展呈强回声边缘的管状结构,其内径小于5mm,一般较难显示。
二、妇科疾病USG诊断
USG在妇科领域,尤其对盆腔肿块的诊断,应用广泛。子宫、卵匀有良好的声学界面,在病变增殖、肿大时,多含有液体或有包膜,界面清晰。易从声象图上分辨,借以判断盆腔肿块的有无,肿物来自子宫抑或附件以及有无恶变。
从盆骨肿块的声象的声象图可以获得以下信息:
1.确定肿块的物理性质 ①液性肿块;边缘轮廓清晰,透声良好,内部呈无回声暗区,有时可见条状分隔光带,肿块后方回声增强,侧边声影内收;②实质性肿块;边缘轮廓清楚或不规则。内部光点散在、稀疏、分布均匀时,为实质均质性肿块。光点强弱不一,形态多样,大小不等,混有光团,分布较密而不均匀时,为实质非均质性肿块;③混合性肿块:肿块轮廓不规则,内部呈液性暗区和实质性成分,在肿块的不同部位透声性能不一(图4-5-4)。



图4-5-4 盆腔肿块声象示意图
2.测量肿块的大小,了解其部位,对较大的肿块可用手推动,以观察肿块与周围组织的关系,有无粘连或浸润固定。
3.从切面上观察肿块的形状,边缘是否规则和清楚。
4.肿块的透声是否良好,有无衰减和声影。
5.如为囊性肿块,可观察囊壁的厚度,边界光滑整齐或凹凸不平,内部有无囊壁分隔,囊液内有无飘浮的细弱光点,对较大的囊性肿块亦可采用加压方法,了解其张力,有无变形。
6.了解肿块与子宫的毗邻关系,有无融合连续,以鉴别肿块来自子宫或附件。子宫直肠窝为卵巢癌.盆腔脓肿、积液的好发部位。子宫前方为卵巢良性畸胎瘤、囊肿好发部位。两侧附件区,宫底上方为卵巢良性肿瘤、囊性畸胎瘤好发部位。
7.有时直肠粪块可与输卵管肿块、子宫直肠窝炎性包块混淆,必要时可在清洁灌肠,排便后复查,粪块局部无触痛,移动度大,实时超声可看到肠蠕动。
USG对子宫肌瘤、子宫腺肌病、子宫内膜癌、子宫畸形、卵巢囊性肿瘤、卵巢实质性肿瘤和盆腔炎性肿块有诊断价值。举几个疾病加以介绍。
(一)子宫肌瘤 子宫肌瘤声象图表现主要与肌瘤的位置、大小和有无继发变性等因素有关。其主要表现为:①子宫增大或出现局限性隆起,致子宫断面形异常,轮廓线不规则;②肌瘤结节部一般呈圆形低回声或等回声区,有时则呈分布不均的强回声作区。等回声结节周围常可见假包膜所形成的低回声晕圈,肌瘤结节内无继发变性时回声较均匀,以低回声最为多见。一般肌瘤衰减不甚明是,肌瘤后面的子宫回声常较清楚,但当探查到肌纤维排列紊乱,几何形态复杂而又较大的肌瘤时,衰减可变得明显,致肌瘤后面子宫图像模糊不清;③子宫内膜回声的移位与变形,肌壁间瘤结节可压迫和推挤宫腔,使宫腔内膜回声移位或变形,粘膜下肌瘤则表现为子宫内膜回声增强、增宽或显示圆形的瘤体结构;④膀胱压迹与变形,大的肌瘤,特别是浆膜下肌瘤,可明显地使膀胱移位、变形和引起尿潴留等表现。
从声象图改变可确定肌瘤为单发名多发,后者可显示宫轮廓线有多处隆起,断面形态不规则,内部回声强弱不均或出现各种继发变性的征象。在瘤体结节内出现局限性强回声区主要为脂肪变性和钙化所致。后者可显示声影。当肌瘤有玻璃样变组织液化为假性囊肿,在声象图上则出现圆形无回声区,边界清晰,后方回声增强,经阴道内腔USG对1cm以下的粘膜肌瘤亦可发现。
(二)子宫畸形 根据声象图上子宫小、纵横断面上均不能发现子宫,可诊断幼稚子宫和先天性无子宫。根据子宫外形的异常可诊断双子宫、双角子宫和单角子宫等。
(三)卵巢囊性肿物 卵巢囊性肿物包括非肿瘤性和瘤性两类;前者包括滤泡囊肿、黄体囊肿、黄素囊肿、多囊卵巢和卵巢子宫内膜异位囊肿;后者主要包括浆液性和粘液性囊腺瘤(癌)和皮样囊肿。
卵巢囊肿声象图上多表现为圆形无回声暗区,边缘清晰光滑。大小、数目依不同病变而异。滤泡囊肿和黄体囊肿常单发,突出于卵巢表面,随访观察,可自行缩小或消失。多囊卵巢则两侧卵巢增大,内有多个无回声暗区。卵巢子宫内膜异位囊肿由于血液的机化和纤维素沉积,在无回声暗区可出现不均匀回声。
浆液性与液性囊腺廇(癌)均表现为无回声暗区。前者壁薄,后者壁厚,且可有散在细小光点回声和多房性间隔光带。若囊内有乳头状结构,则可见光团或光斑向囊内突入。如为癌,则肿块形状不整,囊壁厚薄不一,表面不光滑,内部有散在浮动光点和光团。
囊性畸胎瘤(皮样囊肿)在声象图上可见液性暗区内明显的强光点、光团,并伴有衰减或声影(图1-4-3)。
浆液性、粘液性卵巢囊肿及卵巢皮样囊肿三者占卵巢肿瘤中的90%以上,在声象图上表现均为液性无回声区,其鉴别点见表4-5-2。
表4-5-2 浆液性、粘液性和皮样囊肿USG鉴别诊断
| 浆液性襄肿 | 粘液性囊肿 | 皮样囊肿 | |
| 大小 | 中等或偏大 | 大或巨大 | 中等大 |
| 内部回声 | 单纯液性无回声区 | 无回声区内有细弱光点 | 强弱不等的细小光点 |
| 单、多房 | 单(多)房性 | 多房性间隔 | 单房性 |
| 囊壁回声 | 薄 | 厚 | 厚 |
| 单、双侧 | 双侧 | 单侧 | 单侧 |
(四)卵巢实质性肿瘤 卵巢实质性肿瘤较卵巢囊性肿瘤少见,USG可表现为均质性强回声和均匀性低回声,前者有纤维瘤、腺纤维瘤等,后者有肉瘤、卵泡腺瘤等。实质非均质性有腺癌,实质性畸胎瘤,当各种实质性肿瘤有出血、坏死时可表现为混合性图像。良性实质性肿瘤图像表现为肿瘤形态规则,轮廓清晰,边缘光滑完整,内部回声为分布均匀的散在细小光点;均质性透声性良好者可有后方回声轻度增强效应。恶性实质性肿瘤则形态多不规则,轮廓模糊,边缘回声不整,厚薄不均,内部回声强弱不均,呈杂乱光点或融合性光团,后方回声无增强效应或有轻度衰减。
(五)盆腔炎性肿块 早期声象图上一般无特殊表现或仅表现子宫边界模糊,附件部呈实质不均质性肿块,边界不清。当有输卵管积脓或积水或有盆腔脓肿形成时,则表现为大小不等的圆形无回声区或呈单个腊肠形无回声区,常有周围肠管粘边,边界不规则或不清楚。
三、产科疾病USG诊断
USG诊断在产科领域的应用极为广泛,可自妊娠至分娩前各时期进行周密观察,揭示宫内胚胎的发育,一般闭经后第5周即可显示妊娠囊图像。且获得胎心、胎动的资料早,这不仅是确诊妊娠的依据,并能鉴别胎儿是否存活。同时通过某些参数的观测可提供胎儿生长、发育的资料,对某些先天畸形、胎盘位置异常等可作出诊断。羊水穿刺时超声定位也安全可靠。USG方法简便易行,提供结果迅速,对母婴均无损害,因而,在许多方面已代替其他影像诊断方法。
(一)早期妊娠 妊娠早期,声象图上可见子宫增大,于子宫底部附近显示一圆形光环,即孕囊回声,囊壁完整,厚度均匀,回声强度一致,囊内呈液性无回声区。以后,孕囊迅速增大。
在孕囊的无回区中可见犹如豆芽状的光带,即为胚芽。第6周末,在孕囊内胚芽的部分光点可见有节律的跳动,为原始心管的搏动。第12~ 13周时,羊膜囊充满整个子宫腔而与子宫壁重合,逐渐缺少清晰的孕囊边界。
妊娠早期的胎盘为半月形光点区,附着在孕囊的侧壁上,最早在妊娠第9周显示,其光点的亮度强于子宫肌层。胎头光环在妊娠12周显示(图1-4-3)。
定期连续测量孕囊的大小以及胎儿的有关结构,如头臀长度、胎头双顶径、股骨长度等,可了解胎儿的生长发育情况和估计孕龄。
(二)流产和死胎 流产的声象图表现为:①孕囊皱缩,边缘不规则或不完整;②孕囊下移至子宫下端或宫颈部;③随访中,子宫或孕囊不增大。USG检查相隔1周末见孕囊增大,头臀长度增长或逐渐显示孕囊的凹陷,胎心胎动消失则为宫内死胎。孕14周以后,如胎儿死于宫内,除胎心搏动与胎动消失外,还可以观察到胎头、胎儿胸腹部皮肤、皮下组织呈双线状回声,或同心圆改变。胎儿颅骨可见重叠、变形,脊柱弯曲过度可呈直角。
(三)葡萄胎 声象图表现为:①子宫增大;②宫腔内充满密集不均匀性光点及蜂窝状暗区或间有弥漫、明亮的粗大光斑,形如落雪状;③宫腔内无胎儿结构,无胎心搏动,无胎动;④子宫两侧可见圆形或椭圆形无回声区,其内可有间隔状光带,壁薄且光滑。此为合并卵巢黄素囊肿图像,葡萄胎患者中25%~60%有黄素囊肿。
(四)异位妊娠 USG对异位妊娠的诊断主要依据是有闭经史的早孕妇女,宫内无孕囊回声;子宫周围有边界模糊的混合型肿块;子宫直肠窝内显示无回声区。
(五)多胎妊娠 多胎妊娠中,以双胎最多见,其声象图表现为:①子宫大于同期妊娠周数;②妊娠早期,宫腔内见到两个妊娠襄囊,一般可诊断为双胎,但也有可能仅其中一个发育成长,故不能过早依据孕囊数确定胎儿数,需随访观察;③中期妊娠时,常可在同一帧声象图上显示两个胎头或两胎儿躯干,连续扫查可观察到两个完整的胎儿图像,并可见各自的胎心,两个胎心的搏动频率不同;④多数可见两羊膜囊间的中隔呈一漂浮的条状光带回声;⑤单卵双胎常有一个大的胎盘,双卵双胎可显示有两个胎盘附着子宫壁上。
USG对胎位的判断也有重要价值。
(六)胎儿畸形 USG对胎儿畸形的诊断有重要价值。
羊水过多伴发的胎儿畸形:中枢神经系统畸形最为多见,约占45%。其中以无脑儿及脊柱裂最常见。在孕10~12周时USG如不能见到完整胎头光环或即使看到胎儿眼眶,颞骨和枕骨,但其头端无正常骨结构时,可提示为无脑儿。
正常胎儿脊柱在16~17周时USG便能清晰显示,脊柱裂时,两排串珠样脊柱强回声于某处排列失常,间距增大及缺失,局部皮肤光带断离;脊回声中断处可见囊性膨出物,其壁光滑而薄,内呈液性暗区,为脊膜膨出。脑膜膨出USG所见主要是在胎头的枕或额部,自颅向外突出一囊状物,内充满液体或脑组织。
胃肠畸形:约占30%,胃肠道高位闭锁,USG可见肠腔明显充液,且其外形很少改变。十二指肠闭锁时,可见胎儿上腹部并列有二个液性无回声区,胃泡一般较大,且处于左侧一边。回、空肠闭锁时,腹部可见较多的充液肠段。
羊水过少伴发的胎儿畸形:肾缺如:孕17~22周时90%胎儿在脊柱两侧可发现胎肾,在孕20周后大多数胎儿在骨盆内可见到膀胱无回区,持续观察1~1.5小时膀胱区可见充盈和排空现象,说明胎肾的功能正常。若系肾缺如则二者均不显示。
多囊肾:在胎儿肾区可见多个大小不等的无回声区,代替了正常肾实质。
尿道闭锁;USG可见一大而张的膀胱、肾及输尿管积水。
(七)胎盘异常 胎盘形态的观察及对胎盘成熟度的分级:胎盘声象图随胎龄的增长而有变化,妊娠第8周前,子宫断面上可孕囊部分增厚突起,妊娠第10~12周即可清晰显示具有特征性的光点状回声,约在妊娠第18周,由绒毛膜变成显而易见的胎盘,而出现一种特殊的回声结构。
根据图象上胎盘的回声结构,可对其成熟程度进行分级。
前置胎盘:由于胎盘具有特有的回声结构,故易于识别并确定其附着的部位。正常胎盘附着在子宫前壁、后壁或侧壁,其下缘离子宫内口尚有一段距离。在确定有无前置胎盘时需适度充盈膀胱,观察胎盘缘与子宫内口之间的关系,当胎盘下缘达子宫颈内口边缘处时,为边缘性前置胎盘;子宫颈内口有部分胎盘覆盖时,为部分性前置胎盘;子宫颈内口完全被胎盘所覆盖时为中央性或完全性前置胎盘(图1-4-3)。
胎盘早期剥离:胎盘的正常位置,在胎儿娩出前,部分或全部与子宫发生分离,为胎盘早期剥离,是妊娠晚期阴道出血主要原因之一。其声象图表现为:①胎盘与子宫壁之间出现不规则的液性无回声区,其内亦可有少许光点回声,是为胎盘后血肿;②剥离处的胎盘增厚,向羊膜腔内膨出。严重胎盘早剥,多伴有胎儿死亡、胎动与胎心搏动消失。没有形成血肿的胎盘早剥,期胎盘声象图可无明显变化。
USG在产科领域,诸台对胎儿行为状态的观察(胎动、胎儿呼吸、胎心搏动等),胎儿成熟度的多参数计测以及在围生期医学中均有着极为广阔的应用前景。
第三节 CT与MRI诊断
女性生殖系统由于周围有丰富的脂肪组织,位居盆腔深部而受呼吸运动的影响小,故适于CT检查。由于X线对生殖器官的影响,对年轻患者慎用。USG检查是女性生殖系统的首选检查方法,但如有技术困难或未能明确诊断时,可使用CT检查。
盆腔CT检查主要用于检查盆腔肿块,确定肿块的起源和性质,尤其是区分实性与囊性肿物;了解肿物同周围组织关系;对恶性肿瘤还可判断其发展和转移情况,例如有无盆腔淋巴结转移,盆腔软组织是否受侵,腹膜有无转移以及有无骨转移等。
女性盆腔CT检查需作准备。检查前口服1.5%泛影葡胺充盈小肠和结肠,并经直肠注入造影剂充盈直肠和乙状结肠。多饮水,以使膀胱盈。已婚妇女应阴道内放置纱布卷(低密度并含气),以便易于识别。先行平扫,再行增强扫描。
子宫体在CT上易于识别,显示为横置的密度较高的梭形影像,CT值40~80Hu,宫体中央密度可略低。子宫大小受年龄和生理状态的影响,一般成人前后径为1.5~3cm,左右径为3~5cm,老年人子宫较小。膀胱充盈程度也影响子宫的大小。子宫前方为膀胱,呈液性低密度;后方为直肠,内常有气体。膀胱、子宫、直肠之间常有肠袢存在。宫颈在宫体下方层面,呈卵圆形软组织影。卵巢位于子宫侧壁和臼内壁之间,正常大小时CT常不见。增强扫描,子宫密度均匀增加,膀胱内造影剂为高密度,盆腔内血管输尿管显示为高密度,易于识别(图4-5-5)。

图4-5-5 女性盆腔正常CT表现
子宫呈横行的梭形软组织影(↓),其前方为膀胱(B)
其后方、骶骨之前为直肠(R)
女性生殖系统很适于作MRI检查。常用自旋回波得T1和T2WI。作横断面、矢状面和冠状面成像。阴道在矢状面观察最好、膀胱内的尿液和直肠内气体为显示阴道提供了对比。在T1WI上阴道显示为较低信号,T2WI则信号稍高。子宫颈在矢状和横断面上显示较好。呈中等强度信号,其内的粘膜呈线状高信号。生育期妇女子宫体在矢状和横断面显示最好,在T1WI显示为中等信号,在T2WI宫体可分三种信号:肌层显示中等信号;内膜及宫腔粘液为高信号;两者之间有一薄而较低信号的中间层。在子宫前方,膀胱内尿液在T1WI上表现为低信号;T2WI上尿液为高信号;膀胱壁则为较低信号。卵巢在半数病例可以见到,在T1WI上为中等信号,与周围脂肪可以区分(图4-5-6)。


图4-5-6 女性骨盆正常MRI表现
T1WI矢状面,子宫肌层为中等信号强度(↓)子宫内膜为稍低信号强度(▽),膀胱内尿液为极低信号强度(↓)T2WI矢状面,子宫肌层信号降低(↓),子宫内膜信号增强(↓),膀胱内尿液信号明显增强(↓)
(一)子宫肌瘤CT表现为子宫增大,有时可见肿块向外隆突或呈分叶状。肌瘤密度可等于或低于正常子宫。如出现瘤内钙化则可确诊为子宫肌瘤。子宫肌瘤在T1WI上表现为均匀的中等强度信号,略低于正常子宫肌层,但难以区分;T2WI上则肌瘤信号高于子宫肌层,易于识别。瘤内钙化表现为低信号。坏死区在T1WI上为低信号,T2WI上为高信号(图4-5-7)。


图4-5-7 子宫肌瘤MRI
T1WI横切面,子宫肌瘤表现为中等强度信号,轮廓光滑整齐(↓),压迫膀胱左后壁(↓)
B、T2WI子宫肌瘤信号稍低且不均匀(↓),膀胱内尿液成为极强信号(↓)
(二)子宫癌 宫体癌初时子宫并不增大,癌的密度与正常子宫相等,CT平扫不能发现。增强扫描子宫增强而癌瘤不增强。其后子宫增大,可表现为不规则肿块隆突,瘤内坏死表现为低密度区。如肿瘤向宫旁、膀胱或直肠延伸,可见宫旁脂肪层消失,子宫轮廓模糊,有软组织影向膀胱、直肠、宫旁组织甚至盆壁浸润。淋巴结大于1.5cm可认为有淋巴结的转移。
宫颈癌时CT见宫颈增大,或呈不规则的软组织块。CT检查子宫癌主要在于了解肿瘤向宫外侵犯的范围,有助于癌瘤的分期。
宫体癌在T1WI上表现为略低信号的肿块,T2WI上表现为高信号。
宫颈癌的T1值与正常子宫无大差别,因而在T1WI上难以识别。如癌瘤使宫颈增大、变形,成肿块状,才可以在T1WI上见到。注造影剂后,宫颈癌信号明显增强。T2WI对确认宫颈癌最好,它表现为信号增强的肿块,宫颈管增宽,正常分层消失。矢状面易于观察肿瘤是否侵犯周围组织。
(三)卵巢囊肿或肿瘤 单纯的卵巢囊肿,大多是潴留囊肿,常较小,CT易于显示。表现为囊性低密度影,CT值接近水,边界光滑整齐,大小常为数厘米(图4-5-8)。囊性畸瘤表现为密度不均的低密度肿块,内含多种组织如脂肪、钙化、牙或骨组织。皮样囊肿,其壁常有钙化。卵巢囊腺瘤常较大。浆液性囊腺瘤可为单房性或多房性,壁较薄,少数可为双侧性。粘液性囊腺瘤壁较厚,常为多房性。它们的CT值约为15Hu,增强扫描其壁和囊均不增强。卵巢恶性肿瘤表现为盆腔或下腹部肿块,呈软组织密度,CT值40~50Hu,肿瘤大多同时具有实性和囊性部分,边缘不规则,这些有别于良性囊腺瘤和单纯性囊肿,增强扫描实体部分有增强。卵巢癌可产生腹水,其CT值偏高,可达60Hu,30%的病例可见腹膜或大网膜转移,表现为前腹壁后方扁平形软组织肿块,密度不均,境界不清。有时可见腹膜、腹腔内及肠壁间结节肿块。CT检查了解卵巢癌的范围和转移情况比判断原发癌更为重要。

图4-5-8 卵巢囊肿
子宫(U)左侧有一长圆形低密度区(→),边界清楚,其CT值与膀胱CT值相似
MRI上,卵巢囊肿视其内容物成分,在T1WI上可为边界清楚的低信号、中或高信号区;T2WI上,囊肿信号强度明显增高。囊腺瘤主要包含多房性囊性肿瘤部分,有时还有实体部分,T1WI上见中等偏低信号,T2WI信号强度增高。卵巢畸胎瘤以含有较多脂肪为特征,不论T1WI还是T2WI其信号强度都能与脂肪相当,即T1WI呈极高信号,T2WI信号只稍减弱,钙化与毛发等则呈低信号。卵巢癌显示为轮廓不规则肿块。T1WI上肿块呈中等信号,介于液体与肌肉信号之间。T2WI上,其液性部分信号强度明显增高,实体部分只稍增高。坏死区则信号强度不均匀。大网膜和(或)腹膜转移表现为增厚及信号稍低而不均匀(低于脂肪的信号)。最近资料认为,以优良的MRI机与CT机为基本条件,对判断子宫癌的范围,MRI略优于CT;对判断卵巢癌尤其是腹膜转移CT略优于MRI;对判断淋巴结转移,两者大致相同。
第五篇 中枢神经系统与头颈部
第一章 中枢神经系统
影像学检查对中枢神经系统疾病的诊断很重要,脑瘤、颅脑外伤、脑血管疾病和脊髓疾病,常需要影学检查以确定病变的有无、位置、大小及数目和性质。诊断主要靠X线检查与CT,自从应用MRI以来,诊断的准确率又有提高。由于颅骨对透声的限制,使USG应用受限。
第一节 X线诊断
一、X线检查方法
1.一般用后前位及侧位。
头颅平片有几种诊断的可能:提示病变存在,但不能确诊,例如只发现有颅内压增高;明显病变的位置与性质;临床表现明但无异常发现,这是平片诊断的限度。
2.脊椎平片 通过脊椎正、侧位片的观察有可能发现椎管内病变,如椎管内肿瘤。
3.体层摄影 可对颅骨某部或脊椎某段进行检查,发现骨改变或钙化。
4.脑血管造影 脑血管造影(cerebralangiography)是将有机碘造影剂引入脑血管中,使脑血管显影的方法。颈动脉造影(carotidarteriography),可显示大脑的大部分血管。需摄动脉期、静脉期和静脉窦期照片。脑血管造影主要用于诊断动脉瘤、血管发育异常和血管闭塞等症并了解脑瘤的供血动脉。常用DSA技术。对幕下病变可用椎动脉造影。严重动脉硬化、冠状动脉疾病、心肾功能不良及对造影剂过敏时为脑血管造影的禁忌证。
5.脊髓造影 脊髓造影(myelography)是将造影剂引入于脊蛛网膜下腔中,通过改变患者体位,在透视下观察其在椎管内流动情况和形态,以诊断椎管内病变的一种检查方法。造影剂多用非离子型水溶性有机碘剂。诊断效果较好。脊髓造影可确定椎管有无梗阻和梗阻部位,对椎管内肿瘤和脊蛛网膜粘连有诊断价值。
二、正常X线表现
(一)头颅平片 正常头颅因个体、年龄和性别而有明显差别。侧位及后位所见见图5-1-1。
1.颅壁 儿童较薄,成人较厚,还因部位不同而有差异。成人颅壁分内、外板及障三层。内、外板为致密骨,呈高密度线状影,板障居其间为松质骨,密度较低。
2.颅缝 冠状缝、矢状缝及人字缝为颅盖骨缝,呈锯齿状线状透明影。儿童期比较清楚。后卤和人字缝间有时可见多余之骨块,为缝间骨,数目不定。缝间骨多无病理意义。但不可误认为骨折。
3.颅壁压迹 ①脑回压迹是大脑脑回压迫内板而形成的局限变薄区,X线表现为圆形或卵圆形的较透明影,见于颅盖骨。其多少与显著程度正常差别较大。2岁以前和成人较不明显,卤门闭合后,脑发育较快,压迹较显蓍。②脑膜中动脉压迹是脑膜中动脉对内板压迫所致,侧位上呈条状透明影,分前后两支,前支较清楚,居冠状缝稍后,后支细小,较不易显示。③板障静脉压迹粗细不均呈网状或树状排列,多见于顶骨。粗细、多少及分布正常差别较大。④蛛网膜粒压迹表现为边缘清楚而不规则的低密度区,位于额顶骨中线两旁。多在内板,有时形成薄的外突骨壳,甚至造成骨缺损。压迹本身无病理意义,但应同骨破坏鉴别。


图5-1-1 正常颅骨
4.蝶鞍侧位上可观察蝶胺大小、形状及结构。正常蝶鞍差较大。正常蝶鞍前后径为7~16mm,平均为11.5mm,深径为7~14mm,平均为9.5mm。形分椭圆形、扁平形和圆形。蝶鞍各部厚度与密度不同,年老可因骨质疏松而密度减低。正位上可观察鞍底,呈一平台。正常宽度为8~20mm,平均为15mm。还可计算蝶鞍体积。
5.岩骨及内耳道后前位片可从眶内观察。内耳道两侧基本对称,大小相差一般不超过0.5mm。内耳道宽径最为10mm,平均为5.5mm。内耳道口居内端,呈弧状。
6.颅内非病理性钙斑 ①松果体钙斑侧位上居岩骨上后方,后前位上居中线。大小、形状及密度不同。成人显影率高达40%。其位置较恒定,可根据其移位方向,判断肿瘤或血肿的大致位置。②大脑镰钙斑后前位上呈三角或带状致密影,居中线。显影率近显影率近10%。③床突间韧带骨化侧位上呈带状致密影居蝶鞍前后床突之间,使蝶鞍呈“桥形”。显影率为4%。④侧脑室脉络丛球钙斑少见,显影率不及0.5%。
(二)颈动脉造影颈动脉造影动脉期的造影如图5-1-2。


图5-1-2 正常颈动脉造影
颈内动脉进颅后先分出眼动脉,前行入眶,继分出脉络膜前动脉及后交通支向后走行,后者分为大脑前、中二动脉。大脑前动脉分为胼周动脉及胼缘动脉,大脑中动脉分出额顶升支、顶后支、角回支和颞后支,于侧位上易分辨。前后位上大脑前动脉居中线,而大脑中动脉则居外方,其分支重迭。
正常脑动脉有一定的迂曲,走行自然,由近向远逐渐变细,管径光滑,分布匀称,而各支的位置较为恒定并与脑叶有一定的对应关系。
三、脑瘤
脑瘤(brain tumour)常见,X线检查主要用头颅平片,有时用脑血管造影。
(一)头颅平片 脑瘤在颅平片的表现可能是:①出现颅内压增高征;②出现脑瘤定位征,有时可估度其病理性质;③无异常发现,因之头颅平片正常不能除外脑瘤的存在。
颅内压增高征:脑瘤由于本身的占位性和继发的脑水肿使颅内容体积增加或者脑瘤梗阻脑脊液循环径路,致使颅内压增高。一般持续3~6个月即可出现X线变化。
颅内压增高的主要X线变化是颅缝增宽,脑回压迹增多而显蓍,蝶鞍增大及后壁骨破坏。后壁骨吸收自上而下,表现为后床突变小或消失,鞍背变短、变薄或消失。颅缝增宽多见于儿童,蝶鞍变化于成人明显。
颅内压增高多见于脑瘤,但也见于其他疾病,如蛛网膜粘连或脑囊虫病等,故颅内压增高只说明有颅内病变,应作进一步检查。
脑瘤定位征:头颅平片上可出现以下定位征:①颅壁局限性变化,接近颅壁的脑瘤可压迫或侵蚀颅壁而发生局限性骨破坏或骨增生。多见于颅盖骨。根据骨变化的部位可确定脑瘤的位置。这种变化多见于脑膜瘤。②蝶鞍变化,垂体肿瘤居鞍内,可使蝶鞍呈气球状增大,鞍背还可后移并竖直,出现“鞍内型”改变,可诊断为鞍内肿瘤。蝶鞍上方肿瘤可使鞍背短,蝶鞍扁平和开口增大,出现“鞍上型”改变。蝶鞍旁肿瘤可使同侧鞍底,甚至鞍背出现双重影像,蝶鞍增大以及同侧前床突上翘或破坏,出现“鞍旁型”改变。③岩骨及内耳道变化,靠近岩骨尖和内耳道的肿瘤,如听神经瘤可使内耳道扩大、岩骨头破坏,晚期可形成骨缺损。④钙斑,脑瘤较易发生钙斑,显影率为3%~15%。根据钙斑可大致确定脑瘤位置。注意钙斑的位置与形态还能估计性质。例如蝶鞍区弧形或不规则形钙斑多为颅咽管瘤;团块状钙斑为脑膜瘤:幕上条带状钙斑则多为少支胶质细胞瘤。⑤松果体钙斑移位,根据松果体钙斑移位方向可大致估计脑瘤位置。一侧大脑半球肿瘤使其向对侧移位。额区肿瘤使其向后下方移位,顶区肿瘤使其向下移位。
上述征象可综合出现。例如脑膜瘤可同时出现局限性骨增生、团块状钙斑、松果体钙斑移位颅内压增高等征象。
(二)脑血管造影 脑瘤推挤邻近的脑和血管。使血管发生移位、集拢或分开、牵直或迂曲。根据所累及的血管可诊断肿瘤的位置。一些恶性胶质瘤、脑膜瘤和转移瘤,肿瘤内血循环较丰富,造影时可显影。借此可能确定肿瘤的性质。但现在除为了解肿瘤的供血动脉外,已较少用脑血管造影检查脑瘤。
四、颅脑外伤
颅脑外伤(injury of skull andbrain)常见,死亡率高,后遗症多。除颅骨骨折与颅缝分裂外,还可引起脑震荡和脑挫裂伤,继发脑水肿、颅内血肿和脑疝等。继发病变后果严重。应尽早发现颅内血肿,以便及时手术清除。因为颅血肿的漏、误诊造成治疗不及时是致死的主要原因。脑血管造影对诊断颅内血肿虽有一定帮助。但不及CT简单、可靠。急性外伤,多用头颅平片和CT检查。
头颅平片是诊断颅骨骨折与颅缝分裂的有效方法,但在病情危重时,则不应勉强进行。在疑有颅底骨折时,也不应作颅底摄影,因为不仅难于显示骨折,而且可加重病情,应在伤情稳定后进行,摄影要求迅速。安全。骨折的出现对于了解颅内外伤也有帮助。如骨折横过脑膜中动脉压迹,又有颅内血肿的临床表现,则在骨折下方可能有硬膜外血肿。
五、脑血管疾病
脑动脉瘤(cerbral aneurysm)、脑血管发育异常(cerebral vascular malformation)和脑血管闭塞(cerebralvascular occlusion)是常见的脑血管疾病(cerebrovascular disease)。前二者可以引起蛛网膜下腔出血,后者可造成脑供血不全,引起脑梗塞。诊断主要靠脑血管造影。头颅平片无诊断价值。
(一)脑动脉瘤 好发于颈内动脉海绵窦段和脑底动脉环及其分支。脑血管造影可指明其位置、大小及其与脑血管的关系。颈内动脉海绵窦段动脉瘤多表现为动脉局部膨大,居蝶鞍旁。脑动脉分支动脉瘤多呈浆果状与动脉相连。如有出血,形成血肿,则邻近血管发生移位。动脉瘤出血也常引起有关动脉痉挛,表现为动脉均匀变细、牵直。
(二)脑血管发育异常 常见的是动静脉发育异常。血管造影表现为一簇血管团,与扩大、迂曲的动脉及静脉相连。由于动静脉间有交通,所以病变及引流静脉多提早于动脉期显影。更因血液多流入病变中,以致其他血管显影不良或变细。除非出血形成血肿,否引起血管移位。
(三)脑血管闭塞 多发生于颈内动脉及大脑中动脉。血管造影显示血管于闭塞处突然中断,闭塞以远的血管不显影。远侧的血液供应则来自侧支循环。这些侧支循环可为造影所显示,也是诊断的根据。但疾病早期多不易显示。由于血管闭塞,则发生血流改道,例如大脑中动脉闭塞,则大脑前动脉及颈内动脉分支过度充盈,显影极佳,对诊断也有帮助。
六、脊髓疾病
(一)椎管内肿瘤(intraspinaltumour)分硬脊膜外、脊髓外硬脊膜内和脊髓内三种。脊髓外硬脊膜内肿瘤多见,多为神经纤维瘤和脊膜瘤,髓内肿瘤多为胶质瘤。
1.脊椎平片 椎管内肿瘤常有椎管骨质改变,尤其在儿童。因此,脊椎平片有助于诊断。
平片上于肿瘤所在平面可见椎弓根内缘变平、凹陷、椎弓根变窄或消失,椎弓根间距离增大和椎体后缘凹陷以及椎间孔增大等。增大的椎间孔边缘多整齐、致密,常见于神经纤维瘤。此外,局部不可见骨破坏、钙斑和椎旁软组织块影等。
2.脊髓造影 脊髓造影可明确肿瘤所在位置及其同脊膜与脊髓的关系。造影表现为造影剂流动受阻。根据梗阻面形态可确定肿瘤之所在。脊髓外硬脊膜内肿瘤梗阻面呈杯口状,脊髓受压移位;硬脊膜外肿瘤梗阻面呈梳齿状,病侧造影剂柱边缘受压变平。并向内移位,而脊髓移位较轻;脊髓内肿瘤多不引起完全梗阻,造影剂往往经膨大脊髓两侧缓慢流动,显示脊髓局部膨大,多呈梭形。
(二)脊蛛网膜粘连 临床上不易同椎管内肿瘤鉴别。脊髓造影可见造影剂分散成滴状或不规则的斑片状,其分布及形态不因改变体位而有较大的改变,范围较广。一不难诊断。
第二节 CT与MRI诊断
一、检查方法
(一)CT检查方法
1.平扫 脑CT主要用横断面,有时加用冠状面。横断面CT多以眦耳线(眼外眦与外耳道中心联线)为基线,依次向上扫描8~10个层面。层面厚主多用5或10mm。层面与基线平行(图5-1-30。检查后颅凹,则层面与眦耳线成20。角。扫描头部需固定。不合作患者或儿童需给麻醉。

图5-1-3 头部CT横断层面
2.造影增强CT 以静脉注入含碘水容性造影剂再行扫描。剂量以60%的泛影葡胺为例,每公斤体重用1.5~2.0mL。给药方法可用静脉滴注法或静脉注射法。增强是指病灶密度的增高。病灶增强与病变组织血循环丰富,病变周围组织充血与过度灌注,病变血脑屏障形成不良或被破坏有关。病灶增强后显示更加清楚。依有无增强、增强的程度和增强的形式,帮助确定病变的性质。不能使用含碘水溶性造影剂患者,不能进行本项检查。
3.脑池造影CT(cisterongraphyCT)是经枕大池或腰脊穿刺注入非离子型水溶有机碘造影剂或气体,使拟检查的脑池充盈,再行扫描的方法,可使脑池清楚显影。易查出脑池内的肿块。多用于桥小脑角池和鞍上池,以查出池内小的肿瘤。应强调水溶性造影剂只能用非离子型者。
脊柱CT扫描一般采取横断面,先作定位扫描片,以选定适合的扫描层面和扫描架倾斜角度。检查方法因目的要求而异。疑椎管狭窄者以层厚10mm连续扫描可疑狭窄椎管段;疑椎间盘突出者,分别对怀疑突出的椎间盘及其上下方椎体扫描3~5层为一组,层厚2~5mm;疑为椎管内病变则需经椎管内注入非离子型碘造影剂5~10mL,翻动体位,使造影剂和脑脊液充分混匀,然后以5~10mm层厚边疆扫描病变区。对怀疑脊髓血管畸形或血管丰富肿瘤者,还应静脉内注射造影剂作增强CT扫描。
(二)MRI检查方法
脑部MRI常规采用横断面,根据需要再选择冠面或(和)矢状面扫描作为补充;为观察脑中线和后颅窝病变,矢状面扫描十分重要。层面厚度一般为8~10mm,特殊部位和垂体和内耳道层厚用5mm或更薄。脊柱MRI一般以矢状面扫描为基础,能比较全面地显示脊柱顺列。椎弓、椎间盘和脊髓的解剖结构与病变细节,辅以病变区横断面扫描,以观察脊髓及病变与周围组织结构的三维关系,有时也取冠状面扫描。矢状面和横断面的层厚分别为3~5mm和5~8mm为适宜,薄层扫描可提高信噪比和清晰度。
脉冲序列主要应用自旋回波序列T1WI、T2WIT和质子密度加权象。使用表面线圈以缩短检查部位与接收信号的距离,提高空间分辨率和对比度。必要时可用顺磁性造影剂Gd-DTPA作增强MRI检查。
二、正常图像分析
(一)脑CT横断面层面一般要有8个标准层面图像。了解这些正常标准层面图像的特征,有利于观察和分析脑部疾病。
10mm底颅层面 此层面通过眦耳线上方10mm,由前向后可见眼眶上部、蝶窦和中颅凹底、枕骨及枕大孔等颅底结核。20mm蝶鞍层面 可见垂体、四脑室、桥池和桥小脑角池、岩锥与内耳道、前、中和后颅凹脑组织结构。本层面重点观察垂体和后颅凹结构。(图5-1-4A)。30mm鞍上池层面 可见鞍上池呈六角星或五角星形低密度脑脊液间隙,增强CT扫描尚可见脑底动脉环在池内的分布情形(图5-1-4B)。鞍上池后方、环池和四叠体池包绕部分即为中脑。40mm三脑室前部层面 重点观察内囊、基底节和丘脑区(图5-1-4C)。50mm三脑室后部层面除显示内囊、基底节和丘脑区外,同时是观察三脑室后部松果体区重点扫描层面(图5-1-4D)。60mm侧脑室体层面可观察侧脑室体部、三角区和后角(图5-1-4E);增强CT尚可见直窦、上矢状窦和大脑镰强化显影。70mm侧脑室顶层面 可见侧脑室顶部、大脑纵裂、脑皮质和脑髓质(图5-1-4F)。80~100mm脑室上层面 脑皮、髓质、脑沟和大脑纵裂清楚显示。
(二)脊柱横断面CT扫描 可见三个标准层面图像,即通过椎弓根、椎间孔和椎间盘的扫描层面。
1.椎弓根层面 由椎体、椎弓根、椎弓板和棘突围成一完整的骨环称为椎管(图5-1-5A)。正常椎管前后径为16~17mm,下限11.5mm;横径20~24mm,下限16mm。
2.椎间孔层面 可见椎间孔呈裂隙状位于椎管前外侧(图5-1-5B),通过脊神经根硬膜囊借周围脂肪显影,呈圆形或卵圆形,囊内含脊髓,二者平扫不能区分。颈髓的前后径正常时为6~8mm,横径7~12mm颈膨大横径可达12~15mm;胸腰髓的前后径5~7mm,横径7~9mm。
3.椎间盘层面 椎间盘呈软组织密度影,其后方可见脊椎小关节及其关节面(图5-1-5C)。黄韧带位于椎弓板及小关节突的内侧面,厚约2~4mm,超过5mm为黄韧带肥厚。
(三)MRI图像脑髓质比脑皮质含氢质子的数目少10%左右,其T1和T2值较皮质为长,故T1WI上脑髓质信号高于脑皮质,而在T2WI上侧低于脑灰质。脑脊液的主要成分为水,在T1WI为低信号,T2WI为高信号。脂肪的氢质子分子结构不同于水,在T1WI和T2WI上均为高信号骨皮质、钙化和脑膜因缺少水分,在T1WI和T2WI上均为低信号。快速流动的血液,因其流空效应也为低信号。有时血管可出现流动相关增强现象,呈类似血栓形成的高信号(表5-1-1)。
表5-1-1 正常脑组织MRI的信号强度特征
| 脑白质 | 脑皮质 | 脑脊液 | 脂 肪 | 骨皮质 | 骨 髓 | 脑 膜 | 血 管 | |
| T1WI | 高 | 中 | 低 | 高 | 低 | 高 | 低 | 低 |
| T2WI | 低 | 中 | 高(中) | 高(中) | 低 | 中 | 低 | 低 |






图5-1-4 正常头部CT扫描
A、蝶鞍一鞍上池层面,鞍上池和后颅凹同时显示,
B、鞍上池层面增强扫描,可见颅底动脉环显形
C、第三脑室前部层面 D、第三脑室后部层面
E、侧脑室体部层面 F、侧脑室顶层面



图5-1-5 正常脊柱CT横断面扫描
A.椎弓根层面显示椎管由椎体、椎弓根和椎弓板围成的骨环,椎管中央为脊髓(→)
B、椎间孔层面显示椎间孔位于椎管前外侧呈裂隙状(→)
C.椎间盘层面显示椎间盘呈软组织密度影(→)
脊柱MRI以SE脉冲序列正中矢状央T1WI上显示较好,椎体呈方形或长方形中等信号,均匀一致,外围以骨皮质低信号线形影,椎弓亦因骨髓腔含有脂肪和骨髓组织得以显示。椎间盘的信号强度和椎体相似或略低,髓核的信号强度较纤维软骨板略高。旁正中矢状面像上,椎间孔内有脂肪组织充填呈高信号影,其间低信号圆形或长圆形影为脊神经根。
矢状面T2WI上,脊髓位于椎管中心呈中等强度信号的带状影,周围环绕以高信号的蛛网膜下腔。横断面像上,可清楚显示硬膜囊及脊神经根。
三、脑瘤
CT对确定有无肿瘤,并作出定位与定量诊断相当可靠,对定性诊断也有帮助。
常见脑瘤多有典型的CT表现,70%~80%的病例可作出定性诊断。例如脑膜瘤多表现为高密度,边界清楚,球形或分叶状病灶,且与颅骨、小脑镰或小脑幕相连。病灶有增强。转移瘤多在脑周边,呈小的低、高或混杂密度病灶,增强检查,低密度病灶周围可出现环状增强,高密度病灶可均匀增强。病灶多发性对诊断意义较大。鞍上有增强的稍高密度灶多为垂体瘤有鞍上延伸。鞍上低的或混杂密度病灶,有增强多为颅咽管瘤。松果体生殖细胞瘤,病灶出现于松果体区,呈稍高密度并有点状钙化病灶,增强明显。听神经瘤为桥小脑角区的低或稍高密度病灶,有增强,同时可见内耳道扩大与破坏。但仅依CT表现而不考虑肿瘤部位,则诊断困难。由于常见肿瘤有时出现不典型CT表现,而一些少见肿瘤还可出现常见肿瘤的典型表现,致使诊断不够准确。由于CT表现反映的不是肿瘤细胞,因此,难于确定其组织学类型。
MRI因无骨骼伪影干扰,且有多维扫描断面和多种参数成像的优点,适宜于鞍区(图5-1-6A、B)和颅底特别是后颅凹病变的观察;应用血管的流空效应不用造影剂即可显示肿瘤与周围血和宾关系和供血情况。Gd-DTPA的应用可早期发现微小听神经瘤、垂体微腺瘤以及肿瘤的脑膜侵犯。MRI对钙化病变的显示不如CT敏感。
四、脑外伤
CT确定颅内血肿和脑挫裂伤比较容易而且可靠。
(一)颅内血肿 在急性期为均匀的高密度灶,由于血肿显影,故不难确定其位置、大小及范围,还可明确有无并发其他的脑损伤。血肿的形状与密度因血肿的期龄和部位而不同。依血肿密度与形状变化,可判断血肿的病理演变过程。
急性硬膜外血肿表现为颅骨内板下方局限性梭形均匀高密度区,与脑表面接触缘清楚。常有轻微占位表现。
急性硬膜下血肿,表现为颅骨内板下方新月形、薄层广泛的均匀高密度区。亚急性期,形状不变,但多为高或混杂密度或等密度。后者需依脑沟与脑室改变来确定。慢性期血肿呈梭形,为高、混杂、等或低密度。
急性脑内血肿表现为脑内圆形或不整形均匀高密度区,轮廓清楚,周围有脑水肿。多在外伤着力点下方、较表浅。如血液流入脑室或蛛网膜睛腔,则积血处呈高密度影。
CT对于诊断多发与复合血肿较为可靠。
(二)脑挫裂伤 表现为边界清楚的大片低密度脑水肿区中,有多发高密度小出血灶。同侧脑室常受压变窄和移位。单纯脑挫伤只表现为低密度的脑水肿,边界清楚,于伤后几小时至3天内出现,以12~24小时最明显,可持续几周。
(三)硬膜下水瘤 表现为颅骨内板下方新月形或半月形近于脑脊液的低密度区。多见于额颞区,累及一侧或两侧。无或只有轻微占位表现。硬膜下水瘤可能是慢性硬膜下血肿表现之一。
急性外伤性颅内出血在T1WI和T2WI上多为等信号,不易和血肿周围脑组织区别;而CT上急性血肿均为高密度灶,易于观察。亚急性血肿恰相反,MRI上均显示为高信号区;而在CT扫描上可为等密度灶。所以,急性期血肿选择CT扫描为宜,亚急性或慢性血肿则选择MRI较好。此外,少量的脑底出血,轻微的脑挫伤水肿MRI比CT敏感。
五、脑卒中
脑卒中又称为中风或脑血管意外,可分为出血性和缺血性两种,是由多种病因引起的急性脑循环障碍疾病。以高血压和脑动脉硬化最为常见,好发于中老年人。由于脑出血和脑塞梗塞二者治疗的方法不同,治疗前明确诊断十分重要,目前CT扫描是诊断脑卒中的首选方法。
(一)高血压性脑内血肿 CT表现同血肿的病期有关。新鲜血肿为边缘清楚、密度均匀的高密度区。2~3天后血肿周围出现水肿带,约1周后,血肿从周边开始吸收,高密度灶向心缩小,边缘不清,周围低密度带增宽。约于4周后则变成低密度灶。2个月后则成为近于脑脊液密度的边缘整齐的低密度囊腔。CT可反映血肿形成、吸收和囊变的演变过程。在吸收过程中,如行增强检查可见周边的环状增强,至囊变期则无增强。
血肿好发于基底节或(和)丘脑。血肿周围水肿以第2周明显,可持续1个月。血肿及水肿可引起占位表现。基底节与丘脑血肿易破入脑室,表现为脑室积血部分密度增高。破入脑室的大血肿死亡率高,预后差。
CT还可发现出血引起脑脊液循环梗阻所致的脑积水和脑扩大。
(二)脑梗塞 CT表现与梗塞类及病期有关,分述如下。
1.缺血性脑梗塞 脑血管闭塞后24小时内,CT可无阳性发现。以后则出现低的或混杂密度区,累及髓质和皮质,多为楔形和不整形,边缘不清。常并发脑水肿和占位表现,1~2周后边缘变清楚,2~3周后病灶变成等密度,与脑水肿消失和巨噬细胞反应有关。4~6周则变为边缘清楚,近于脑脊液密度的囊腔,病侧脑室扩大。脑梗塞3天至6周时于低密度区中可出现脑回状,斑状或环状增强,多在皮质,也见于髓质。增强同脑梗塞后修复反应性新生血管长入有关,而血脑屏障破坏,造影剂血管外渗则是次要的。
2.出血性脑梗塞 缺血性脑梗塞经抗凝治疗,血栓碎裂变小,向远侧移动,血液进入再通、但已有坏死的血管,易破裂出血而形成出血性脑梗塞。好发于皮质和基底节,为大片低度区中出现不规则的高密度出血斑。
3.腔隙性脑梗塞 系因小的终未动脉闭塞所致,位于基底节与脑干,直径小于1.0cm。为边缘清楚的低密度灶。
MRI 适宜于观察CT扫描为等密度的亚急性脑内血肿,已如前述。脑梗塞的发现MRI比CT扫描要早,一般起病后6小时MRI即可出现异常。脑干和小脑腔隙性梗塞灶的探测,MRI明显优于CT。脑梗塞灶在T1WI上呈低信号,在T2WI上呈高信号(图5-1-6C、D)。
六、脑血管疾病
(一)脑动脉瘤 直径小于1.0cm,无血栓,无钙化的动脉瘤,虽行增强CT检查也不易显影。较大动脉瘤增强检查后可呈圆形致密影。动脉瘤破裂出血,CT可查出血液在蛛网膜下腔,脑内或脑室内分布情况。还可发现出血引起脑血管痉挛所致的脑梗塞、脑水以及阻塞脑脊液循环引起的脑室扩大。
(二)脑血管发育异常 小的病变CT不易发现,较大或显示为不均等密度、不规则形病灶。出血和钙化则表现为高密度病灶。如无血肿则无占位变化。增强检查可显示迂曲、粗大的供血及引流血管,而病灶则有不规则增强。如发现位置表浅、外形不整的脑内血肿,应行脑血管造影以确定是否因脑血管发育异常出血所致。
脑动脉与脑血管发育异常的诊断靠脑血管造影,但CT诊断其并发症则很难准确。
MRI不需注射造影剂便能直接观察动脉瘤的瘤壁和瘤内血栓(图5-1-6E、F)、血管畸形的供血和引流血管、畸形血管团以及继发性改变,例如脑出血、缺血和软化等情况。但动脉瘤和血管畸形在手术前一般还需作脑血管造影或DSA,以便详细了解脑的供血和脑循环情况。






图5-1-6 MRI扫描SE序列图像
在矢状面(A)和冠状面(B)T1WI可见垂体肿块向鞍上延伸,呈等信号区(→);在横断面T1WI(C)和T2WI(D)上分别可见左枕和右基底节区脑梗塞灶呈低和高信号区(→);在矢状面T1WI(E)和横断面T2WI(F)上,可见基底动脉瘤环形影,其内为低信号和高信号区,高信号区为瘤内血栓形成(→)
七、颅内感染
颅内感染的病种很多,包括化脓性、结核性、病毒性和感染,以及脑寄生虫病。
(一)化脓性感染 化脓性脑膜炎早期CT扫描常无异常发现,脑膜粘连可出现脑室积水。并发硬膜下或外积脓时,在脑凸面或大脑镰旁可见新月形或梭形低密度灶,脓肿壁明显增强。脑脓肿早期CT表现为边缘模糊的低密度灶,伴有占位效应,代表急性脑炎期。脓肿形成期在大片低密度区内可见等密度环,壁薄和均匀性环形强化;产气杆菌感染,脓腔内可出现气泡或液面。CT可明确脓肿的部位、大小、数目和多房性;协助脓腔穿剌引流,并动态观察其发展和演变过程。目前脑脓肿的死亡率已由过去的36%~53%下降接近为零,这是由于CT的早期诊断和精确定位,配合临床及时准确治疗的结果。
(二)结核性感染 结核性脑膜炎的脑底渗出或肉芽增生,在CT上可表现为脑底池广泛或局灶性增强。结核瘤则出现等或混杂密度灶,可有钙化,均匀或环形强化。
(三)病毒性感染 单纯疱疹病毒性脑炎,CT表现为颞区低密度灶,边界模糊或清楚,占位效应轻,无增强。散发性脑炎可由多种病毒感染引起,CT上显示脑内散在性低密度灶,有时CT扫描阴性。
(四)真菌性感染 自然界普遍存在着真菌,当机体免疫或能低下时,常易罹患真菌感染,常见者有新形陷球菌、毛霉和茀状菌等。CT表现为脑炎、脑膜炎、肉芽肿、囊肿、脑出血或脑梗塞。真菌性肉芽肿呈等或高密度灶,灶周有脑水肿,增强CT呈大小和数目不等的强化结节,类似脑转移瘤的CT改变。
(五)脑寄生虫病 脑囊虫病典型CT表现为多发性小囊,囊壁或囊内的致密小点代表虫体的头节;散在性小圆形钙化点则表示死亡变性的囊肿;有时二者同时存在提示重复感染。脑血吸虫病急性脑炎型CT表现为低密度脑不肿区;慢性肉芽肿型则表现为强化结节,其形状、大小和数目不一。脑包虫病CT表现为巨大脑内囊肿,边界清楚,CT值类似水,周围无水肿。
CT扫描阴性的颅内感染性疾病例如脑膜炎和病毒性脑炎等,MRI常可获得进一步的证实。
八、其他脑疾病
(一)变性脑病 大脑变性脑病常见的老年性痴呆和多发脑梗塞性痴呆,CT扫描可见幕上脑室普遍性扩大,脑沟增宽,对称或非对称性,血管性痴呆尚可见多发性新老梗塞灶存在。
小脑和脑干变性疾病常见的有橄榄-脑桥-小脑萎缩和Marie共济失调,CT显示第四脑室扩大,小脑上沟增宽,后颅凹脑干周围脑池扩张。
基底节变性疾病有Wilson病、Parkinson病和CO中毒等,CT上显示脑室扩大以侧脑室前角扩大为明显,脑底池和外侧裂池增宽,脑基底节区有时可见对称或非对称性低密度灶。
(二)脱髓鞘脑病 先天性髓发育不良或称为脑白质营养不良,可见于异染性脑白质营养不良、类球状细胞白质营养不良、肾上腺脑白质营养不良等。CT表现脑白质对称性密度减低,与脑皮质的对比鲜明。获得性髓鞘脱失又称为脑白质病,常见有多发性硬化和皮质下小动脉硬化性脑病等,CT表现为脑室周围散在性斑片或带状低密度灶,伴有程度不同的脑萎缩。
(三)先天性畸形 脑膜(脑)膨出CT可见颅骨缺损,自缺损处突出一液性软组织包块,有的包块内有脑组织。胼低体发育不全显示双侧侧脑室扩大并分离,第三脑室扩大向上前移位于分离侧脑室之间,有的合并脂肪瘤或囊肿。Chiari畸形上CT可见小脑扁桃体下疝;有时伴有脑干、小脑和第四脑室延长下疝及脑积水改变,可合并脊髓空洞症、脑膜膨出及其他脑脊髓畸形。
(四)新生儿脑病 新生儿窒息CT可见弥漫性脑水肿、颅内出血或脑室内外积水。新生儿颅内出血由于产伤或缺氧所引起,出血于硬膜下或硬膜外腔、蛛网膜下腔、脑和脑室内,而以室管膜下出血具有特征性,CT表现沿脑室壁出现高密度线形影,后期遗留交通或非交通性脑积水。
MRI对许多变性脑病、脱髓鞘脑病和先天性畸形能够比CT提供更多的信息资料,可作为CT扫描诊断的补充。
九、脊柱和脊髓疾病
(一)椎管狭窄 椎管狭窄分为骨性和软组织狭窄,骨性椎管狭窄又分为中心型狭窄和周围型狭窄,后者指侧隐窝和椎间孔狭窄。先天性椎管狭窄常伴发于骨发育不全;获得性椎管狭窄可由骨折、炎症、肿瘤和退行性变引起,临床上出现一系列脊髓、脊神经和营养血管的压迫症状。横断面CT扫描可直接观察椎管狭窄变形,测量椎管大小并探明引起椎管狭窄的病因。
(二)椎间盘脱出CT扫描可直接显示突出于椎管或椎间孔内的软组织块影,与椎间盘相连或游离于椎管内,硬膜囊受压变形,硬膜外脂肪层变薄或消失,脊神经根增粗或湮没。椎间盘性变性显示变扁变形,向周围膨出,或出现气体(直空现象)。MRI上显示更为清楚。
(三)脊髓疾病 脊髓损伤急性期可见脊髓出血、水肿、受压、移位、挫伤或断裂;慢性期可见脊髓软化、萎缩、囊变或空腔化。脊髓肿瘤位于髓内者多为星形细胞或室管膜瘤,髓外硬膜内者多为脊膜或神经纤维瘤,硬外肿瘤以转移瘤常见。脊髓造影配合CT扫描才能对椎管内肿瘤作出正确的定位诊断。先天性畸形常见有脊髓空洞症、脊髓纵裂和脊髓血管畸形等,后者需行增强CT扫描。可显示脊髓表面扩张扭曲的血管影,并能确定血管畸形在椎管内大致伸延的范围。
MRI的软组织分辨率比CT高,矢状面扫描图像上可直观地显示脊髓病变的全貌及与周围组织结构的关系,是当今诊断脊髓疾病的最佳选择。
第二章 头颈部
头颈部器官包括眼、耳、鼻窦、咽、喉、腮腺、甲状腺和甲状旁腺等X线检查可显示含气空腔及骨质改变,CT和MRI适于观察头颈部的软组织病变。
第一节 眼
眼的影像学检查主要用于眼球突出的病因诊断、眶内肿瘤的诊断和眶内异物的定位。一般先用眼眶平片检查。眶内肿瘤未引起眶骨改变前,平片检查难于确定有无肿瘤和肿瘤的位置,USG、CT与MRI诊断价值较大,但对肿瘤的性质较难判断。眶内异物定位则主要用平片。
一、X线诊断
眼眶检查用平片,不用透视。常用摄影位置有20后前位及53后前斜位,前者用于检查眶骨,后者主要用于检查视神经孔。这两个位置用于眼球突出或眶内肿瘤的检查。
眼眶平片应观察:眶窝大小与形状,眶壁,包括眶顶、蝶骨小翼、蝶骨大翼、眶上裂、筛骨纸板(图5-2-1)等和眶窝密度,上述表现在两侧眼眶基本对称。

图5-2-1 正常眼眶(20后前位)
视神经孔:53后前斜位上,形近圆而略呈三角。边缘光滑整齐,密度较高。
眼眶病变有时与鼻窦或颅内病变有关,因此观察时也应注意鼻窦与颅骨情况。
(一)眼眶肿瘤 可分为:①眶内;②起于眶周;③颅内侵入眶内。临床上常有眼球突出,X线检查的目的是为了确定眼球突出的病因,病变的位置、范围和性质。
眶内肿瘤的主要改变为眶骨变化和钙斑的出现,依其部位可大致作出定位诊断,并判断其来源,但估计病变的范围与性质则较为困难。常见以下改变。
1.眶窝增大 发生于眶内生长较久的肿瘤,多呈匀称增大。
2.眶壁改变 邻近眶壁慢性生长的肿瘤,也可出现局限性受压、变形或破坏缺损。泪腺肿瘤可引起泪腺窝局部扩大或局限性骨缺损。眼球后肿瘤可造成蝶骨大小翼的骨缺损。局限性骨增生见于脑膜瘤。
3.眶窝软组织密度增加与钙斑 密度增加是眶内占位病变常见表现,多均匀一致这一征象虽不具特征,但可与眶周或颅内病变引起的眼球突出鉴别。
眶内静脉曲张可出现多个小的边界清楚的圆形钙斑,即静脉石,对诊断有一定价值。视网膜母细胞瘤、泪腺混合瘤、神经胶质瘤和血管瘤也可发生钙化。
4.眶上裂增大与破坏 不常见,可发生于眶内肿瘤、眶周病变和邻近眶上裂区的颅内病变。
5.视神经孔增大 见于视神经肿瘤,如视神经胶质瘤、视网膜母细胞瘤侵入视神经;视神经孔破坏见于颅内病变和眶周病变。
眶内原发肿瘤或炎性肿块,在确定其位置与范围上,常需CT检查。至于定性诊断,则不论平片或CT检查均较困难。
起于眶周的病变包括肿瘤或囊肿可来自鼻窦与眶骨。前者包括鼻窦粘液囊肿、骨瘤、癌或肉瘤,后者则可以是软骨瘤、血管瘤或肉瘤。X线可查出眶周病变本身的变化,如骨破坏与增生、鼻窦的膨大以及窦壁破坏等。
颅内病变引起眶骨的改变少见,常只限于蝶鞍及前中颅凹。
(二)眶内异物定位X线检查眶内不透X线异物的目的是确定①眶内有无异物;②异物的位置;③异物在眼球内或眼球外。眼球内异物需手术取出,定位要求准确。
确定眶内有无异物:用20后前位及侧位,如均可见异物,且位置一致,则可确定有异物存在。
眶内异物定位:常用的方法是几何学法。利用异物同放在角膜缘上标志的关系以确定异物的位置。定位检查需在确定有眶内异物后进行。
通过测量可得知异物的方位,异物在角膜缘平面后方的深度和异物距眼球轴的距离等。作出异物在球内、球外的判断。因为球大小有个体别,对于眼球壁附近的异物究竟在眼球内抑或在眼球外是难以判断准确的。但CT则不难判断。
二、CT与MRI诊断
眼及眼眶的CT检查用横断面和冠状面,层面厚度常用5mm,常用增强检查。
正常横断层面可见眼球,以赤道平面最大。外围以由巩膜、脉络膜和视网膜形成的致密度环,称眼环,增强后更为清晰。其内为低密度的玻璃体,稍前有梭形高密度的晶状体。球后间隙为脂肪组织形成的低密度区。视神以及眼外肌于不同横断层面上显影,在眼球后的冠状层面上,显示更为清楚。
(一)眶内肿瘤 CT对确定眶内肿瘤的存在、位置、大小、范围和区别良性与恶性比较可靠。良性肿瘤表现为边缘清楚、光滑、密度均匀的高密度肿块(图5-2-2A)。而囊肿则为边缘清楚圆形低密度区。靠近眶壁时可出现凹窝,外围以硬化带。恶性肿瘤形态不规则,密度不均匀,边界也不清楚,常有眶骨破坏,并向颅内、鼻窦延伸。这些对恶性肿瘤的诊断有一定帮助。由鼻窦、颅内或眶骨肿瘤向眶内延伸,CT发现肿瘤主要部分在眶外,而眶内部分较小,有助于肿瘤起源的判断。对肿瘤病理性质的判断困难。


图5-2-2 眼眶CT扫描
左眼眶内血管瘤,肿瘤边缘清楚、光滑,均匀性显著强化
左眼眶内炎性假瘤,弥漫性,眼正常结构消失,伴眼球突出
眼球肿瘤累及脉络膜,表现为眼环偏心性肥厚,并突向眼环内,成为球内高密度灶。也可向球后延伸进入球后间隙。
(二)眶内炎症(炎性假瘤) 这种非感染性炎症CT上有弥漫型和肿块型两种。前者CT可见眼环增厚,泪腺弥慢性增大,球后间隙密度增高,眼外肌肥大、密度增高,眶内各种结构分辨不清(图5-2-2B)可累及双眼。肿块型,除眼外肌与视神经增粗,眼环增厚外,还可见边缘清楚、密度均匀的块影。有时泪腺增大成一肿块。
(三)眼型Grave病 主要临床表现为眼球突出,眼肌麻痹,而甲状腺功能正常。多为双眼受累。CT可见眼外肌肥大、视神经增粗和眼球突出,多无眼环增厚和增强,也无炎性假瘤时的肿块。与弥漫型眶内炎症鉴别较难。
(四)血管性疾病
1.眶内静脉曲张 一般CT可能无重要发现或发现肿块和静脉石。压颈后扫描出现高密度块影或原有肿块增大,形状不规则,增强检查,则有明显增强。视神经与眼外肌也可增粗。
2.颈内动脉海绵窦瘘 扩张的眼上静脉可清楚显影,尤其在增强检查时。同时可见患侧海绵窦扩大,密度增高。
(五)眼眶外伤与眶内异物 眶骨骨折、眶内气肿、眶内血肿和视神经挫伤均可由CT查出。气肿为低密度区,血肿为均匀的高密度区,而视神经挫伤,则为视神经均匀增粗。
CT易于显示金属或非金属异物,根据异物所在也不难确定其位于眼球内外,并粗略定位。但金属异物出现多条放射状伪影,影响异物的判断。
MRI常规采取横断面,并辅以冠状面或(和)矢状面的T1WI和T2WI,层厚2~5mm。头位要正,眦耳线垂直于台面,使中心线垂直通过瞳间线的中点。由于MRI具有分辨细微解剖结构和显示组织学特性的能力,适合于眼眶内占位病变、炎症、外伤和视网膜病变的诊断,而CT扫描对眶壁和眶周疾病的评价优于MRI。
第二节 耳
中耳及乳突小房内含气体,有自然对比,适于X线检查。主要用在慢性中耳炎时了解中耳乳突有无炎症,确定乳突类型和变异,作为制定治疗方案的参考。
CT对发现小的胆脂瘤,观察听骨及内耳迷路价值较大。
一、X线诊断
平片是常规方法。常用250侧斜位或称Schüller位,X线所见图5-2-3。

图5-2-3 正常中乳突(25侧斜位)
体层摄影,可较好地显示鼓室、上鼓室及鼓窦的改变。
乳突的X线表现与乳突的类型有关。乳突分气分型、板障型、混合型和硬化型四型。气化型为发育良好型,后三型属发育不良型。气化型乳突内有很多含气小房,呈蜂窝状,与鼓窦相通,再经鼓窦入口与鼓室相通,鼓室经咽鼓管通入鼻咽部。乳突小房、鼓窦、鼓室及咽鼓管内均有连续的粘膜被覆,腔内含有空气。乳突小房表现透明、清晰,间隔完整、锐利。小房的大小不等,靠近乳突边缘者较大,特别是乳突尖部。不可将大而孤立的小房误认为病变。鼓窦周围的小房较小。大的小房间隔较薄,比较透明;小的小房间隔较厚,较不透明。乙状窦压迹可因小房重迭而显影欠清晰。
板障型乳突,乳突较小,皮质较厚,其结构如颅骨之板障,乳突内不含或少含小房。鼓窦周围有小数较小的小房,但透明、清晰。乙状窦压迹显示清楚,但置可偏前,鼓室盖位置也可偏低。混合型乳突界于板障型与气化型之间。硬化型乳突,乳突致密、硬化、皮质厚,小房缺如。
25侧斜位上,乳突前方有一圆形透明影为外耳道,同鼓室及内耳道重迭。其上方可见微向上突的横行致密线影,为岩骨的鼓室盖,后方可见由上向下,呈微向前突的致密线影,系乙状窦压迹的前缘。上述两条致密线于后方相交构成锐角,称窦硬膜角。在外耳道后上方可见一边缘模糊的略透明区为鼓窦。在外耳道后方可隐约看到致密的骨迷路影。外耳道前方可见颞颌关节。于乳突后方有时可见一血管沟,与乙状窦压迹相连,长短不等,直行或迂曲,宽2~3mm ,有时较宽,为头皮静脉与乙状窦相连的导静脉,其相连位置不定,常在乙状窦压迹中部。
乳突炎是乳突小房内粘膜的化脓性感染,多继发于化脓性中耳炎。X线检查不仅可帮助诊断,还可了解乳突的解剖及变异。乳突类型同乳突感染密切相关,气化型乳突,中耳感染易扩散到乳突小房粘膜,引起急性乳突炎,而板障型乳突,为板障骨,所以感染不易扩散到乳突。
(一)急性乳突炎 急性乳突炎(acutemastoiditis)多继发于急性化脓性中耳炎,小儿较常见。气体型乳突,炎症扩散快,症状急。除鼓膜充血、穿孔和耳溢脓外,常有乳突压痛及耳后肿胀。板障型乳突,炎症局限于鼓室、鼓窦及其周围小房,乳突不易受累,临床表现不明显。
急性乳突炎,由于小房内粘膜肿胀,气体减少,X线上,乳突小房模糊不清。病情发展,粘膜坏死,小房内出现渗出液,小房间隔骨吸收而显示不清,致乳突小房均匀致密。当间隔破坏,小房融合,形成脓肿则出现轮廓不整较不透明的空腔,但周围无致密线。脓肿可引起邻近的骨破坏。急性中耳炎,累及板障型乳突,则乳突密度增高。如出现骨破坏及死骨,则成为乳突骨髓炎。
(二)慢性乳突炎 急性乳突炎未治愈则变为慢性乳突炎(chronicmastoiditis),多于幼年即得病。表现为乳突小房密度增高,有时在小房内可以看到与小房壁平行的增厚的粘膜影。在慢性化脓性中耳炎,易受破坏力强的变形杆菌及绿脓杆菌感染,而常有肉芽组织和胆脂瘤形成,并易引起颅内并发症。
(三)胆脂瘤 胆脂瘤(cholesteatoma)是慢性化脓性中耳炎常见的并发症,由脱落上皮聚集而形成的团块。好发于上鼓室、鼓窦入口和鼓窦,并可延及乳突。临床上除有长期耳溢脓和听力下降等慢性中耳炎表现外,还有脓臭和脓内含豆渣样物。鼓膜穿孔多在边缘或松弛部,且可看到胆脂瘤。X线检查可观察胆脂瘤的位置、大小和有无骨壁破坏,并能了解解剖变异,这些对诊断与治疗者很有价值。
胆脂瘤是慢性生长、具有包膜的炎性肿块,使骨壁发生骨吸收,从而形成边缘清楚、光滑的空腔,多呈圆形,偶为不整形。空腔比较透明,周围有骨硬化,呈连续或不连续的致密环影,空腔于25侧斜位上,居外耳道后上方,相当于上鼓室及鼓窦区,大胆脂瘤,则空腔大,并涉及乳突。小胆脂瘤,只占据上鼓室与鼓窦入口时,则仅显示该区之扩大。胆脂可引起空腔骨壁的破坏,表现为骨壁断裂、缺损。鼓室盖、乙状窦前壁或外耳道后壁可被破穿,使感染扩散到中颅凹或乙状窦周围,引起颅内并发症。鼓室盖低位和乙状窦前位,在乳突手术时,可伤及中颅窝硬膜及乙状窦而引起出血并扩散感染。鼓室盖低位在25侧斜位上表现为鼓室盖低而平和窦硬膜角凹下。乙状窦压迹前缘和外耳道后壁间距离如小于1.0cm,则可判定为乙状窦前位。导血管开口位置偏高可为手术所伤及,也应注意观察。
二、CT与MRI诊断
耳部CT宜采取高分辨力CT扫描方法,扫描体位和脑部CT扫描相同。横断面扫描自外耳道下缘向头顶侧连续扫至岩骨上缘,层厚为2mm。冠状面扫描使头部过伸,扫描基线与眦耳线垂直,自外耳道后方1cm处连续向前扫描。
(一)先天性畸形 高分辨力CT扫描上可清楚显示听骨、内耳骨迷路、软组织结构如鼓膜、肌腱和韧带等,有利于先天性耳畸形的诊断,例如先天性骨性外耳道闭锁、听骨分节不良、耳蜗及半规管发育障碍等。正确地评估先天性畸形的部位及程度,便于手术方案的制定。
(二)中耳乳突炎 较大胆脂瘤X线检查可诊断,不需作CT扫描;较小的脂瘤CT上可见骨性空腔及软组织肿块,其边界清楚或模糊。听骨和半规管有无骨质破坏,在高分辨力CT上可清楚显示,此点对根治手术十分重要。
(三)肿瘤 中耳癌表现为以中耳为中心的骨质破坏区,听骨多破坏消失,并可见软组织肿块。颈静脉球瘤则显示颈静脉孔区骨质破坏,边缘清楚,光滑,鼓室内充满软组织肿块。
MRI由于其对骨骼病变显示不敏感,故在耳部疾病的应用有限,目前不能证明比高分辨力CT更为优越。
第三节 鼻窦
鼻窦居颅面和颅底骨内,与鼻腔有窦口相通,正常鼻窦内含空气,同邻近骨结构有良好的自然对比,适于X线检查.对常见的鼻窦疾病,平片常可确定病变的存在和位置,CT显示病变更清楚。
一、X线诊断
平片是检查鼻窦的基本方法。一般取坐位,鼻窦显示较好,且可查出鼻窦内积液。常用枕颏位,可显示两侧额窦、筛窦、上颌窦及鼻腔。正常所见,见图5-2-4。
体层摄影用于观察鼻窦骨壁轻微破坏和窦腔内病变。
正常鼻窦窦腔透明,粘膜不显影,所以窦壁边缘清晰、锐利。鼻窦的透明度因窦腔大小与窦周骨壁薄而不同。窦腔小、含气少、骨壁厚,则较不透明,反之则较为透明。

图5-2-4 正常鼻窦(枕颏位)
额窦:多呈扇形,腔内可有骨性间隔。窦腔透明度因骨壁各部厚薄不同而不均。大小及形状个体差别较大,两侧多不对称。一侧或两侧可不发育或发育不良。
筛窦:呈蜂窝状居鼻中隔两侧和眼眶之间,其外壁为眼眶内壁。枕颏位上,蜂窝上部为前组窦,蜂窝下部为后组筛窦。蜂窝小房透明,间隔清晰、锐利,两侧多较对称。
上颌窦:居眶下方,鼻腔外侧,呈尖向下的三角形。上颌窦较透明。如嘴唇较厚,与下部重迭,可使窦腔下部密度较大,鼻翼较大,可从内壁上中部向窦腔内突入呈半圆形软组织重迭影,两侧对称,不难确认。岩骨可投影于窦腔下部,使窦腔下部密度高,不可误认为液面。两侧上颌窦的大小、形状和透明度多对称,有时一侧较小,透明度较低。
蝶窦:用颏顶位观察。呈近似椭圆形透明影,窦腔清晰、锐利。大小及外形个体差别较大,两侧可不对称。
鼻腔:鼻腔透明,鼻中隔为纵行致密带影,近于中线,多稍向一侧弯曲,上鼻甲不易显示,中鼻甲骨片垂直,下鼻甲骨片卷曲。鼻甲粘膜厚,由气体衬出。鼻甲大小个体差别较大,两侧可不对称。
观察鼻窦时,应注意鼻窦发育情况, 窦腔透明度及窦壁情况,窦腔有无混浊、密度增高,有无软组织块或液面,窦腔是否膨大,窦壁有无骨吸收、骨硬化和骨破坏。也应注意鼻腔,有无密度增高或软组织肿块充填。
(一)鼻窦炎 鼻窦炎是鼻粘膜的病变,分化脓性和变态反应性两种。前者感染多来自鼻腔,常累及几个鼻窦,如单发则以上颌窦为常见;后者是人体对外物或物理因素的变态反应,鼻部变化乃全身疾病的一部分,可并发感染。
化脓性鼻窦炎于急性期,因粘膜肿胀而使鼻窦透明度减低,混浊,边缘模糊,窦腔外围可出现与窦壁平行的环形软组织影像。出现渗出液,而窦口通畅,则可见液面;如脓液充满窦腔,则窦腔密度增高。在慢性期,粘膜增生形成息肉,则有圆形或半圆形软组织块影突入窦腔,如息肉充满窦腔则窦腔密度增高,难于显示出息肉影。炎症引起窦壁骨吸收,则窦壁骨密度减低,模糊不清,如有反应性骨增生,则窦壁绕以致密带影,额窦及上颌窦易于显示。
变态反应性鼻窦炎,鼻窦粘膜发生水肿,致使窦腔混浊或密度增高,难同急性化脓性鼻窦炎鉴别。粘膜易发生息肉样变,可见半圆形软组织块影突入。诊断需结合临床表现,如鼻腔粘膜水肿、苍白,出现息肉和病变于短期内消退,则变态反应性鼻窦炎的可能性大。
鼻窦炎时可发生粘膜下囊肿,系液体潴留于间质中而形成,又称间质囊肿,好发于上颌窦。X线表现为半圆形软组织块影突入窦腔,轮廓清楚.光滑。多在窦腔的底部或侧壁。息肉也常见于鼻窦炎,也好发于上颌窦,两者鉴别诊断较难。如单发,无鼻窦粘膜增厚,则以粘膜下囊肿的可能性为大。如果多发,鼻腔内也有息肉,则以息肉的可能性为大。
(二)鼻窦粘液囊肿 鼻窦粘液囊肿主要因炎症使鼻窦开口阻塞,致粘液潴留而成。其囊肿壁是窦是窦腔内变薄的粘膜,好发于额窦及筛窦。另一种是粘膜粘液腺口阻塞,致粘液潴留而成,囊肿壁是腺体上皮,发生于上颌窦。囊肿内含粘液或脓性粘液,生长缓慢。
粘液囊肿的基本X线表现是窦腔密度增高,骨隔消失和窦腔膨大。
额窦粘膜囊肿,当窦内有粘液积聚,但尚未引起窦腔膨大时,则表现为窦腔密度均匀增高,似鼻窦炎,但窦内骨隔消失。囊肿增大,则窦腔呈近圆形膨大,窦壁变薄或围以致密线影。囊肿进一步增大则压迫骨壁,形成边缘清楚的骨缺损,此时窦腔反较透明,因为额窦前后骨壁变薄或消失。
筛窦粘液囊肿可见蜂窝密度增高,小房间隔消失,筛窦膨大,眶侧骨壁变薄,且向眶内膨出,骨壁可因吸收而消失。上颌窦粘液囊肿系因粘液腺口阻塞所致,于窦底出现半圆形或圆形软组织块影。如囊肿长大充满窦腔,则窦腔密度增高。晚期窦腔也可膨大。
(三)鼻窦肿瘤
1.骨瘤 骨瘤好发于额窦和筛窦。分致密骨瘤和松质骨瘤两种,前者多见。生长缓慢。
X线表现是窦腔内骨性肿块,边缘光滑,大者可充满窦腔,外形多不整。致密骨瘤密度高,边缘清楚。松质骨瘤密度较低,边缘不整。诊断不难。
2.鼻窦恶性肿瘤 癌比肉瘤多见,起于粘膜,好发于上颌窦,其次为筛窦,而额窦及蝶窦少见。
上颌窦恶性肿瘤的X线表现是当肿瘤只累及鼻窦粘膜时,表现为窦腔密度增高,难与鼻窦炎区别。肿瘤侵蚀骨壁则引起局限性骨破坏。轻微破坏,体层摄影较易显示。病变发展,则骨壁破坏广泛。
筛窦恶性肿瘤表现为蜂窝密度增高,小房间隔及窦壁破坏。
上颌窦和筛窦恶性肿瘤都可侵入同侧鼻腔,使鼻腔密度增高,还可阻塞鼻窦开口而引起同侧鼻窦炎,侵入眶内,引起眶壁相应部分骨破坏。筛窦肿瘤还可侵入颅内。
鼻窦恶性肿瘤早期X线表现无明显特征,诊断较难,及至侵蚀骨壁,引起骨破坏,则多不难诊断。
二、CT与MRI诊断
鼻窦的CT扫描体位如同脑部CT扫描,鼻腔及上颌窦横扫描自眦耳线下方5cm开始;额筛窦扫描的位置可较高。横断面扫描上可观察鼻窦的前后和内外侧壁,显示病变向前后和左右方向蔓延较好。一般层厚为10mm;若观察窦壁骨质破坏宜取较薄扫描层面。冠状面扫描使头部过伸,扫描层面与眦耳线垂直,自外耳孔前2cm处向前扫描,可依次显示蝶窦、筛窦、上颌窦及额窦,冠状面扫描主要用于显示上下窦壁和肿瘤的上下方向延伸情况。鼻窦病变多为乏血管性,一般无需作增强扫描。
鼻腔和鼻窦内含气体,CT上为低密度区;窦壁、鼻甲和鼻中隔骨质为高密度区,其对比鲜明。






图5-2-5 鼻窦、鼻咽和喉部CT扫描
右上颌窦癌,肿块突入鼻腔和鼻咽部(↓)双上颌窦炎,右侧明显并积液(↑)鼻咽癌,右侧咽壁变直,咽鼓管开口和侧隐窝消失(↑)鼻咽癌,左侧咽壁肿块向咽腔内突起,咽旁间隙侵犯,双上颌窦受累右侧声门癌,右声带增厚并有结节状突起(↑),声门裂变形声门下癌,气管左侧软组织肿块,气道受压变窄
(一)鼻窦肿< 良性病变常见为粘液囊肿和息肉,肿块较小者呈窦腔内密度均匀结节影,边缘光滑锐利,骨壁无破坏;较大者占据整个窦腔,并压迫窦壁使之膨隆扩大,窦壁变薄。一般囊肿的CT值较低。息肉为实性肿块密度较高。恶性肿瘤以鼻窦癌和转移瘤为主。其肿块轮廓多不规则,常伴有窦壁骨质破坏;并伸向鼻咽、鼻腔和眼眶,于该区出现软组织肿块,引起周围脂肪层消失,从而为根治手术或放射野的确定提供可靠的依据(图5-2-5)。
(二)鼻窦炎 急、慢性鼻窦炎均显示窦腔混浊,密度增加,粘膜增厚,窦壁可有骨质侵蚀或硬化。鼻窦炎一般X线检查作出明确诊断者,无需再行CT扫描检查(图5-2-5)。
MRI主要目的是对鼻窦肿瘤作定性诊断,并确定肿瘤的范围和与邻近结构的关系。翼腭窝高信号脂肪层受累可作为上颌窦癌周围侵犯的一项客观指标。良性肿瘤MR信号均匀,边界光滑,很少引起窦壁信号改变;而恶性鼻窦肿瘤信号多不均匀,边界不规则,窦壁骨质破坏出现信号异常。MRI不可分辨襄囊或实性肿瘤,粘液囊肿的信号较高,浆液囊肿在T1WI为低信号,T2WI则为高信号。
第四节 咽
咽部分为鼻咽、口咽和喉咽部,是呼吸和消化的共同通道。颈侧位和颅底位X线照片可显示含气咽腔及咽壁情况;而CT和MRI可进一步观察肿瘤向粘膜下和咽旁间隙的侵犯,提供肿瘤诊断分期的依据。
一、X线诊断
咽部X线检查常规采取颈侧位和颅底位平片。在颈侧位片上,可显示咽腔及咽后壁软组织结构情况。正常咽后壁厚度在10岁以下儿童为4~5mm,5岁以下幼儿可稍厚,但不超过8mm;成人厚度为2~4mm,不应超过5mm。颅底主要观察鼻咽腔的前后壁和侧壁,同时可观察颅底骨的破坏情况。鼻咽腔造影使用碘化油或钡胶浆来显示鼻咽腔及咽鼓管的表面粘膜。咽部X线检查主要用于诊断咽部脓肿和肿瘤。
(一)咽部脓肿好发于儿童,急性以化脓性感染为常见,慢性多为结核性感染。颈侧位片上可见咽后壁肿胀增厚,其内可有气泡影散布或出现气液面。有时可见异物存留,或伴有颈椎半脱位;脓肿向下延伸形成纵隔脓肿。
(二)咽部肿瘤 鼻咽纤维血管好发于10~25岁男性青少年,主要症状为反复大量出血和鼻塞症状,颈侧位片上鼻咽腔可见光滑软组织块影突出,邻近骨质可有侵蚀破坏。
鼻咽癌为较常见的恶性肿瘤,中年男性患者居多,鼻咽部淋巴组织丰富,常早期转移至颈淋巴结;远处转移常见于骨、肺和肝。颈侧位片可见鼻咽顶壁增厚或出现软组织肿块,鼻咽腔狭窄变形。鼻咽腔造影可早发现粘膜上肿块结节。颅底片可见颅底骨质破坏和颅内转移。
二、CT与MRI诊断
咽部CT扫描以横断面为主,体位和脑CT扫描相同。扫描层面平行于眦耳线,或头部略后伸使扫描层面与眦耳线成10~15角。自基线下4cm 向头顶侧扫描,层厚5或10mm。横断面上,鼻咽侧壁各有两个切迹,前方为咽鼓管开口,呈三角形,指向后外;后方为咽隐窝,其后壁与鼻咽后壁相续。两切迹间为咽鼓管后壁隆起。翼前、翼后及上颌窦后壁脂肪垫,CT上表现为低密度带影。
鼻咽部良性肿瘤的CT特征为边缘光整的肿块,纤维血管瘤强化明显;脊索瘤可见以斜坡为中心的骨质破坏、软组织肿块和团块钙化。
恶性肿瘤以鼻咽癌为主,偶为肉瘤。CT横断面扫描可见鼻咽侧后壁增厚或有软组织块影突出入鼻咽腔,引起咽腔变窄变形,咽鼓管开口和侧隐窝闭塞(图5-2-5)。咽旁侵犯可见咽旁脂肪间隙消失(图5-2-5)。翼腭窝和颞下窝受累,该区见软组织肿块,可有骨质破坏。肿瘤向颅内蔓延可见颅底骨质破坏,并于海绵窦、鞍旁或眶尖见到强化结节。CT扫描有助于鼻咽癌的诊断和分期、制定治疗计划和观察治疗效果。
MRI在鉴别鼻咽癌放疗后肿瘤复发和纤维瘢痕方面重要作用。复发性肿瘤在T1WI为低信号,T2WI为高信号;而纤维瘢痕组织在T1WI和T2WI均为低信号。另外,Gd-DTPA增强MRI显示复发性肿瘤出现强化,其信号强度增加。
第五节 喉
喉部是以软骨为支架,由软组织构成的空腔器官,具有通气和发音双重功能。当今开展的部分喉癌切除术,旨在保存宝贵的发音功能,因此准确地定位及确定肿瘤延伸的范围,对制定合理的手术计划十分重要。虽然喉部断层为临床提供了定位诊断的信息,但对喉旁软组织和支撑软骨的显示较困难;而CT和MRI提供了显示喉部这些组织结构三维解剖图像细节的可能性。
一、X线诊断
颈侧位片上,由于喉部组织结构互相重叠,喉室结构分辨不清;正位喉部体层摄影具有重要的诊断价值。检查方法:自喉结后方2cm处开始向后断层,摄取平静呼吸及发“吚”声两种状态断层片,以观察喉内结构及运动状况。喉部断层像上显示喉前庭、真假声带、声门裂和声门下区诸结构。
(一)喉部炎症 非特异性喉炎多数由上呼吸道感染引起,少数由化学性刺激或损伤所致;特异性感染可见于结核、白喉、梅毒等。断层片上可见喉部结构肿胀,室腔透亮度减低,真假声带分辨不清。声门裂闭合不良。声带息肉可见声带边缘不整,或突入喉腔内软组织块影。慢性喉炎多有结构损坏及瘢痕形成,致使喉腔及声门下气道狭窄变形。
(二)喉部肿瘤 良性肿瘤有乳头状瘤、血管瘤、纤维瘤、软骨瘤、神经鞘瘤、囊肿及淀粉样瘤等。断层片上可见边缘清楚的软组织块影,突入喉室、喉前庭或声门下区,引起气道狭窄变形。
恶性肿瘤以喉癌为常见,患者多为40~60岁男性,多有慢性喉炎。声门癌常向声门下区蔓延,而声门上区癌主要向喉外蔓延侵犯甲状软骨、会厌前间隙和喉咽部。断层片上可见肿瘤的起源及蔓延范围,早期表现为局部软组织增厚或结节状块影,晚期呈菜花样块影,表现凹凸不平,并向周围广泛浸润生长。
二、CT与MRI诊断
喉部CT检查以横断面扫描为主,患者仰卧位,扫描基线平行于眦耳线,自甲状切迹下2cm处向上扫描至切迹上方3cm,层厚5~10cm,声门区需扫薄层。在声门上区层面可见会厌前方为会厌前间隙,后方为喉前庭,两侧为梨状窝。声门层面喉前庭两侧可见假声带呈带状软组织影;稍下层面为真声带,声带之间为声门裂。当发“吚”声扫描时,可见两侧真声带彼此靠拢,声门裂缩小呈裂隙状。声门下层面可见气管及环绕其后外侧的环状软骨。喉部CT主要用于检查喉癌和喉部损伤。
(一)喉癌 CT上肿瘤呈密度较高的软组织块影,当喉周间隙和会厌前间隙被肿瘤侵犯时,这些间隙中的低密度脂肪影消失。较大肿块造成梨状窝闭塞,气道偏移。杓会厌皱襞受累显示增宽,两侧不对称。肿瘤侵犯喉部软骨,表现为不规则的破坏,但应与正常软骨钙化不全区别。声带受累显示声带增厚、固定,声门裂不对称(图5-2-5)。颈部淋巴结转移时,颈动脉和静脉周围正常低密度脂肪间隙消失。喉部软组织水肿可类似肿瘤侵犯表现,因此活检后48小时内不应行喉部CT检查。
(二)喉部损伤 喉部损伤病情严重,CT可安全迅速地进行检查,是喉部损伤的道选检查方法。CT可查出气道梗塞的部位及其程度,鉴别水肿与出血,后者表现为高密度区。喉癌放射治疗后,由于软组织和软骨的坏死和纤维而发生萎缩和气道狭窄。
MRI对喉癌显示优于CT,可提供如下的重要信息;①声带前后联合受侵;②声门上区会厌前间隙、喉周围隙、会厌谿和梨状窝的蔓延;③声带固定的原因;④喉外组织例如颈动脉鞘。淋巴结和舌根受侵犯。
第六节 腮腺
腮腺是涎腺中最大腺体。位于外耳道前方颈筋膜内,腺管横过咬肌开口于上颌第二磨芽颊侧粘膜,主导管位于外耳道至鼻翼和口角连线的中1/3处。腮腺疾病的X线检查以腮腺造影为主;CT和MRI能直接显示腮腺结构及病变,对临床诊断和治疗具有较大的参考价值。
一、X线诊断
腮腺软组织摄影采用后前位。侧位或口内片,主要用于观察涎石。腮腺造影是经导管开口注入40%碘化油或60%泛影葡胺1~1.5ml后,摄后前和侧位造影片。功能片是将蘸有2.5%棕檬酸的棉签含于舌背1分钟,以刺激腮腺分泌排空造影剂,再用清水漱口后摄片。正常时腮腺内造影剂应大部分排空。
(一)涎石 软组织摄影可显示涎石的部位、大小和数目。涎石多呈圆形或卵圆形,均匀或分层,沿主导管方向排列。少数非钙化的阴性涎石则需作腮腺造影诊断。
(二)腮腺炎 常见为慢性化脓性腮腺炎,偶可为结核性。造影上可有三型表现:①主导管及叶导管扩张,边缘不整呈腊肠状;②腺体内小导管扩张,呈多数小囊影,弥漫分布;③整个导管系均有扩张,腺体破坏萎缩,代表腮腺炎的晚期。
(三)肿瘤 良性肿瘤有混合瘤、腺瘤、腺淋巴瘤、血管瘤、淋巴瘤和脂肪瘤等,恶性肿瘤有恶性混合瘤、粘液皮样癌、腺癌和转移瘤等。腮腺造影良性肿瘤显示导管阻塞扩张和受压移位,充盈缺损的边缘整齐,清楚。恶性肿瘤可见导管侵蚀破坏,边缘不整齐,出现杯口压缩或突然截断;造影剂外溢显示腺体内不规则充盈区;充盈缺损不规则,其边缘模糊,下颌骨侵蚀破坏。
(四)米枯力兹(Mikulcz)病 可能是一种自身免疫性疾病,多发于中年妇女。双侧腮腺和泪腺弥漫性肿大或呈结节状肿块,临床上有口干、眼干症状,如合并类风湿性关节炎称为舍格林(Sjōgren)综合征。造影表现为未梢导管扩张,或伴有主导管扩张及充盈缺损,腺体萎缩,腺泡无造影剂充盈。如表现为肿块病变,则不易与腮腺的良恶性肿瘤区别。
二、CT与MRI诊断
腮腺造影结合CT扫描对查出腮腺疾病的敏感性很高,几乎可达100%;但对病变的性质仍存在一定的困难,其诊断特异性约75%,主要困难是在肿瘤与炎症的鉴别诊断方面。CT的主要作用在于判断肿瘤的部位及蔓延范围,良性病变与恶性肿瘤的鉴别,以及腮腺外肿瘤的侵犯等。良性肿瘤的CT特征是肿块多呈类圆形,边缘光整,密度均匀,血管瘤有明显的强化。恶性肿瘤的形态多不规则,边界模糊,密度不均匀,肿块内常有出血、坏死或囊变,且常侵犯周围软组织及脂肪间隙,颅底骨质破坏及淋巴结转移。
腮腺内含有脂肪,在MRI显示为高信号图像,与周围组织结构的对比鲜明。且腮腺中较低信号的面神经亦可衬托显影,提供临床更多的信息资料,对于确定治疗方案不无裨益。
第七节 甲状腺及甲状旁腺
甲状腺分成左右侧叶,中间以峡部相连。甲状腺侧叶自甲状软骨中部向下延至第6气管环平面,峡部覆盖于第2~4气管环。甲状旁腺有两对,位于甲状腺的后内缘与食管的交角内,包含于甲状腺鞘囊中。上对甲状旁腺位于甲状腺侧叶后面上中1/3交界处,下对位于侧叶后侧面的下端。异位甲状旁腺可位于甲状腺内、纵侧,气管和食管后,上、下颈部和纵隔内,对诊断造成一定程度的困难。
一、X线诊断
X线检查由于其软组织密度分辨率差,故对甲状腺疾病的诊断作用有限。甲状腺肿大颈部正、侧位片上,可见局部软组织肿胀和钙化,气管可有受压移位,肿块向胸骨后延伸时,则显示上纵隔影增宽。透视下可见块影随吞咽动作向上下移动。
甲状腺肿瘤一般较小,X线检查不易发现。但由于腺体分泌功能过盛造成的骨质疏松、尿路结石或纤维囊性骨炎改变,则可由X线平片得到证明。
二、CT与MRI诊断
甲状腺和甲状旁腺CT扫描通常采取横断面,以层厚5mm作连续扫描,其范围视甲状腺大小而定。常规应用造影剂作增强扫描。CT平扫正常甲状腺呈光滑、均质性软组织结构,由于腺体内含碘其密度超过周围肌肉组织密度;且因甲状腺的血流丰富,静脉内注射造影剂后强化显著。正常甲状旁腺腺体较小(3~8mm大小)不论是平扫或增强CT扫描均不易显影。
甲状腺肿大是临床常见的症状,可为弥漫性或局限性,由多种疾病引起。各种病因在CT扫描上都有一定的特征性表现,可帮助诊断(图5-2-6)。
(一)甲状腺癌 多发生于中年妇女,早期呈膨胀性生长,有假包膜形成,以后逐渐转变为浸润性生长,颈淋巴结肿大和血行转移。病理上分为四种亚型,即乳头状、滤泡状、,髓样和未分化型,以前二者型多见。
CT表现为边界不清、形态不规则的混杂密度肿块,常有坏死、囊变和钙化,呈不均匀性强化。可侵及喉、气管、食管,并引起颈部淋巴结肿大。
(二)甲状腺腺瘤 为甲状腺常见的良性肿瘤,多发生于青、中年妇女。常为单发,具完整包膜。CT上呈边界清楚的稍低或等密度肿块,可有钙化,呈均匀性强化。
(三)甲状腺囊肿 包括胶样囊肿和出血囊肿,囊内分别贮有丰富的蛋白粘液和陈旧血液。CT上均表现为水样密度囊腔,边缘光滑。




图5-2-6 甲状腺肿块示意图
A、甲状腺癌 B、甲状腺肿
C、 甲状腺腺瘤 D、甲状腺囊肿
(四)甲状腺肿 结节性甲状腺肿根据有无甲亢症状分为毒性和非毒性二型,结节由增生的甲状腺滤泡上皮及不同数量的贮留胶质构成,可伴有出血。弥漫性甲状腺肿包括淋巴细胞性甲状腺炎(桥本甲状腺炎)和突眼性甲状腺肿二种,都以女性多发,属自身免疫性疾病。CT上显示甲状腺弥漫性增大,结节性甲状腺肿尚可见散在性大小不一的低密度结节,其边缘清楚或模糊,不均匀性强化,结节性囊变区无强化。
(五)甲状腺炎 CT表现为双侧甲状腺弥漫性增大,密度均匀,轮廓不光滑,有轻度强化。
甲状旁腺功能亢进可由甲状腺腺瘤(84%)。增生(12%)和腺癌(1%)引起。唯一治疗方法是手术摘除,有时遗留异位甲状旁腺肿瘤未切除,需要再次手术。甲状旁腺肿瘤CT表现为圆形或卵圆形较低密度结节影,增强CT扫描呈均匀性或环形强化。
MRI对显示较小的甲状腺肿瘤较CT敏感;对甲状腺肿大可区别实性肿瘤与囊肿,胶样囊肿与血囊肿,甲状腺肿瘤手术后改变是水肿、纤维化或肿瘤化复发,后者应用Gd-DTPa 增强MRI显示明显强化。
第六篇 介入放射学
介入放射学是在影像诊断学、选择或超选择性血管造影、细针穿剌和细胞病理学等新技术基础上发展起来的。它包括两个基本内容:①以影诊断学为基础,利用导管等技术,在影像监视下对一些疾病进行非手术治疗。②在影像监视下,利用经皮穿剌、导管等技术,取得组织学、细菌学、生理和生化资料,以明确病变的性质。
介入放射学分为血管和非血管技术。前者是指在血管内进行的治疗和诊断性操作,也称之为介入血管造影(interventional angiography)或治疗性血管造影(therapeuticangiography);后者是指在血管以外进行的治疗和诊断性操作。
第一章 血管介入技术
血管内介入技术是应用选择性或超选择性血管造影,先明确病变产位、性质、范围和程度之后,根据适应证,经插入血管内的导管进行栓塞、血管腔内血管成形术和灌注药物等治疗。
第一节 经导管栓塞术
经导管栓塞术(transcatheter embolization),也称栓塞治疗(embolotherapy),是经动脉或静脉内导管将塞物有控制地注入到病变器官的供应血管内,使之发生闭塞,中断血供,以期达到控制出血、治疗肿瘤和血管性病变以及消除患病器官功能之目的。
一、栓塞物
栓塞物种类很多。按性质可分为对机体无活作用的物质、自体物质和放射性微粒。按使血管闭塞时间的长短分短期、中期和长期三种。按在身体内能否被吸收又分为可吸收和不可吸收两种(表6-1-1)。下面介绍几种常用的栓塞物。
表6-1-1 栓 塞 物
| 1.颗粒 (1)自体物质:血块、肌肉、脂肪、硬膜 (2)可吸收物质:明胶海绵、氧化纤维素 (3)不吸收物质:聚乙烯醇、各种质地的小球 |
| 2.液体 (1)可吸收物质:无水乙醇 (2)不吸收物质:IBCA、硅酮 |
| 3.机械性栓子:螺圈、可脱球囊 |
| 4.放射性微粒:载药微囊(球) |
| 5.电凝 |
(一)自体血块 是目前唯一的短期栓塞物,闭塞血管时间一般为24~48小时。由于体内纤溶作用,血栓阻塞血管后多在几小时就开始溶解。血块的优点是取材方便,无抗原性,不需消毒,易经导管注入,多用于控制较小动脉出血,如胃肠道小动脉出血。为了延长再通时间,血块内可加入亮氨酸。
(二)明胶海绵(gelfoam) 系术止血剂,注入血管内造成继发性血栓形成。闭塞血管时间从几周到几个月。明胶海绵可消毒,无抗原性,可按需要制成不同大小的颗粒或小条,易得,价廉,广泛应用于栓塞中、小血管,如栓塞肿瘤、血管性疾病和控制出血等。氧化纤维素的作用类似于明胶海绵。
(三)聚乙烯醇 商品名为ivalon,是合成材料,闭塞时间长,不被吸收。干燥ivalon吸湿后膨胀,利用这一特性可闭塞较大血管;例如用于堵塞开放的动脉导管。市售ivalon多为一定大小的颗粒。ivalon的磨擦系数大,投送不如明胶海绵顺利。
(四)异丁基-2-氰丙烯酸盐(isobutyl-2-cyanoacrylate,IBCA)系组织粘合剂。为液体,遇离子性物质,如血液和离子型造影剂后很快聚合固化,可长期闭塞血管。常用于动静脉畸形、食管静脉曲张出血等。加入适量碘油、碘苯酯后延缓聚合时间,并使之不透X线。与此同类制剂为正丁基-2-氰丙烯酸盐(N-butyl-2-cyanoacrylate,NBCA),聚合时间较长,有利于技术操作,近来已逐渐替代IBCA用于临床。
(五)螺圈(coil)也称不锈钢圈、弹簧圈,为机械性栓子,可用于大、中小动脉,永久闭塞血管,对机体无活性作用(图6-1-1)。

第二节 经皮血管腔内血管成形术
经皮血管腔内血管成形术(percutaneoustransluminal angioplasty,PTA)是经导管等器械扩张再通动脉粥样硬化或其他原因所致的血管狭窄或闭塞性病变,这一疗法是60年代开始应用的,在80年代前主要采用球囊导管进行治疗,称为球囊血管成形术(balloon angioplasty)。在80年代陆续出现了几种血管成形术的新技术,主要是激光血管成形术(laser angioplasty)。粥样斑切除术(atherectomy)、血管内支撑器(endovascular stent)等。
PTA原来主要用于肢体血管,以后扩展至内动脉,如肾动脉、冠状动脉,并且由动脉发展至静脉,如扩张治疗腔静脉狭窄,以至治疗人造血管、移植血管的狭窄或闭塞。
一、球囊血管成形术
(一)适应证 理想的适应证是中等大小或大血管局限、孤立性短段狭窄。其次为多发、分散的短段狭窄和闭塞。长段狭窄或闭塞、小血管病变、溃疡性狭窄或已有钙化的狭窄或闭塞病变不适宜于PTA治疗。
(二)操作技术 在血管造影确定病变位、程度和侧支供血情况以及狭窄上下方的血压等血液动力学改变后,将造影导管调换成球囊导管(图6-1-3)。将球囊置于狭窄区,用压力泵或手推稀释的造影剂充胀球囊。充胀的球囊作用于狭窄的血管,使之发生扩张。扩张结束后,要复查血管造影,了解血管扩张情况,同时再次测量原狭窄区上下方的血压差以确定扩张治疗的效果。为了减少并发症和预防再狭窄,从术前一天开始应用抗血小板聚集药物,如阿司匹林等。术中要用肝素抗凝,术后1~6个月服用阿司匹林、潘生丁等药物。
(三)血管扩张的机理 充胀的球囊压力造成了狭窄区血管壁内、中膜局限性撕裂。血管壁特别是中膜过度伸展以及动脉粥样斑的断裂,从而导致血管壁张力减退和腔径的扩大。
(四)疗效 PTA的近期和远期疗效均较好。髂、肾动脉的PTA成功率在90%以上,五年平均血管开放率在70%以上。冠状动脉脉单支病变PTA成功率在90%以上。影响疗效的因素中,除病变部位外,病变性质、病变的解剖与病理学特征、患者全身状况、设备情况以及术者经验等也是重要因素。例如在肾动脉狭窄中,以纤维肌发育不良的疗效最好,扩张成功率在90%~95%,临床上高血压治愈和改善率达93%;其次为动脉粥样硬化症;而多发性大动脉炎的疗效较差。
PTA比外科手术的优点在于对患者创伤小,并发症少,收效快,操作较简便,减少用费,门诊即可进行,一旦发生再狭窄可以重复PTA治疗。
(五)再狭窄问题 PTA虽然具有较好的疗效,但是扩张后再狭窄的发生率较高,平均发生率约为30%。再狭窄多发生在PTA后数月至1年之内。主要原因是球囊扩张部位内膜纤维细胞增生的结果。扩张的机理表明,成形术是一种损伤血管壁成分的机械治疗方法,术后必然会引起一系列修复反应,这就成为再狭窄的病理学基础.因此球囊扩张的结局具有两重性。内、中膜局限性撕裂造成了血管腔的扩大,血流灌注得以恢复;同时内、中膜撕裂也成为纤维组织增生导致再狭窄的原因。
再狭窄的其他原因是血管壁的弹性回缩和原有病变的进展。
为了减少再狭窄,可采取以下三种措施:①改进设备:已研制成新型成新型材料的球囊,可减少对血管的损伤。②药物治疗:减少、预防和治疗PTA进程中和PTA后出现的血管痉挛、血小板粘附、血栓形成和内膜纤维细胞增生。常用药物为阿司匹林、肝素、硝苯吡啶(心痛定)硝酸甘油以及正在试用的前列腺环素、血栓素合成酶抑制剂等。③新技术的应用:即下述几项血管成形术。
(六)并发症 PTA的并发症较少,有时可发生穿剌局部血肿、动脉壁撕裂孔、远侧端血管塞以及球囊破裂等。
二、激光血管成形术
80年代初用于再通外周动脉,现已大量用于临床,取得了很有希望的疗效,激光能量消融粥样斑或血栓使血管再通的机理,主要在于热效应和化学解吸作用。
激光源有气体、固体和液体等物质。激光血管成形术用得较多的是钕钇铝石榴石(Nd-YAG)激光和准分子(excimer)激光。传输系统用多根石英纤维。为减少血管发生穿孔,在石英端头加用金属帽、蓝宝石帽。激光以连续或脉冲方式发射。连续发射可造成组织的明显热损伤。脉冲发射能量多,易消融病变组织,也无明显的热损伤。故现多用脉冲波。激光波长可采用紫外线(200~400mm)。可见光(400~700mm)或红外线(700~1000nm)。
激光血管成形术可能有以下优点:①治疗血管慢性闭塞、弥漫病变、钙化病变优于球囊血管成形术,而且对球囊成形术后出现的急性血管闭合有效。②热效应热抛光或封焊作用,在球囊扩张后接着应用,可使球囊扩张所造成的血管腔面由不规则变平滑,且封焊剥离的内膜,从而减少血小板粘附近和血栓形成。③光热作用可改变血管壁的顺应性,降低动脉壁对血管活性物质的反应,减轻球囊扩张后所引起的血管壁弹性回缩,有利于血管的持久扩张。因此,激光血管成形术现多与球囊血管成形术配合应用,称之为激光辅助球囊血管成形术(laser-assisted balloon angioplasty)。
激光再通血管仍处于研究开发阶段,有许多技术问题需进一步解决。
三、动脉粥样斑切除术
有些学者简称之为旋切法,主要适用于血管高度狭窄或完全闭塞,也是一种机械治疗方法。
按照用于这一疗法的导管功能看,其治疗方式分为两种:①经皮切割,取出粥样物质,称之为atherectomy,意即切除术:②经皮破碎粥样斑,使之成为微粒,存留于血液循环中,有待于机体自然清除,称之为atheroablation,意即破碎术。
用于这一治疗的导管头端有一高速或低速旋转的削刀或磨球,当导管头端置于血管闭塞病变处,操纵体外导管尾端驱动装置,削刀或磨球旋转,切除或磨碎病变,使血管再通。正在研制的导管很多,目前用于临床的有Kensey导管、Simpson导管、经腔抽吸导管(TEC)等。
旋切法除用于外周血管外,也开始用于肾动脉和冠状动脉。外周血管的再通成功率在95%以上。由于旋切法仍是机械性治疗手段,所以损伤血管壁后的修复反应还可造成再狭窄。这一疗法也在发展中。
四、血管支撑器
血管支撑器是采用特殊的合金,制成不同结构的圆筒形,支撑于血管狭窄病变处,使之保持血流通畅。目前支撑器有三种:①热记忆合金支撑器(thermal memory alloy stent):由镍钛合金丝制成,称为Nitinol。②自膨支撑器(self-expandablestent);用不锈钢合金丝编织成圆筒形,放入血管后,由于金属弹力而支撑于血管腔内。③球囊膨支撑器(balloon-expandable stent):支撑器是圆筒网眼形,先在球囊之上,放入血管后充胀球囊,使支撑器张开支撑于血管腔内(图6-1-4)。

图6-1-4 球囊膨胀支撑器
支撑器置与血管后,机体能耐受,无异物反应。支撑器内表现由于纤维蛋白原覆盖,不久即可形成新生内膜,同支撑器两端处的正常血管内膜相接,从而保证血管的通畅。
支撑器主要同球囊血管成形术、激光血管成形术和旋切法等相配合应用。在后几种技术扩张或再通病变血管后。放置支撑器,可提高血管开放率,减少再狭窄。
此外,利用超声能量消除粥样斑、血栓等以再通血管也试用于临床,称之为超声血管成形术(ultrasonic angioplasty ,angiosonoplasty)。一些新的血管影像技术,如血管镜、血管内超声和MRA对于经皮血管成形术的发展有重要作用。
第三节 心脏瓣膜狭窄经皮球囊成形术
心脏瓣膜狭窄以往主要采取外科治疗,1982年开始用球囊导管扩张,取得了满意的临床效果。
一、二尖瓣成形术
风湿性心脏病在我国是多发病,其中绝大部分为风湿性瓣膜病。二尖瓣最为常见,主动脉瓣次之。有单纯狭窄、关闭不全和狭窄伴关闭不全等病理改变,而二尖瓣单纯狭窄是最常见的病变。正常成人二尖瓣口面积为4cm2,休息状态每分钟通过5L血液。当瓣口面积小于2cm2时,即发生有血液动力学意义的二尖瓣狭窄。小于1cm2,则发生严重的机械性循环障碍。
1984年首次报告了经皮穿刺球囊二尖瓣成形术(percutaneous balloon mitral valvuloplasty,PBMV)的临床应用。目前所采用的技术有两类:①顺行途径技术;球囊导管经股静脉入右心房,穿过房间隔进入左心房,顺血流方向置于二尖瓣口;②逆行途径技术;球囊导管经股动脉、主动脉至左心房。逆血流方向置于二尖瓣口。
(一)适应证与禁忌证
1.适应证 ①中、重度单纯二尖瓣狭窄,瓣膜无明显变形、弹性好、无严重钙化,瓣膜下结构无明显异常,左心房无血栓,瓣口面积≤1.5cm2,,窦性心律。②二尖瓣交界分离手术后再狭窄,心房纤颤,二尖瓣钙化,合并轻度二尖瓣或主动脉瓣关闭不全,可作为相对适应证。③二尖瓣狭窄伴重度肺动脉高压,手术治疗危险性很大者,不宜换瓣者,也可作为PBMV的选择对象。
2.禁忌证风湿活动,有体循环栓塞史及严重心律失常,二尖瓣叶明显变形,瓣下结构严重异常,二尖瓣或主动脉瓣中度以上关闭不全,房间隔穿剌禁忌者。
(二)操作技术以顺行途径技术为例说明。采用Seldinger技术,经右股静脉穿刺插管,行右心导管检查,观察各部血氧饱和度、肺动脉压、肺毛细血管嵌顿压以及测定心排出量,再行右心房造影,观察三尖瓣环、左心房及主动脉根部的相对解剖关系。穿刺股动脉,送入5F猪尾导管,测量主动脉及左心室压力以及血氧饱和度,再作左心室造影,观察二尖瓣有无返流,然后将5F猪尾导管后退至降主动脉,作为监测血压用。经右股静脉送入Brockenbrough穿刺针,穿刺房间隔。穿刺成功后,用14F扩张器扩张股静脉穿刺孔和房间隔穿刺孔,然后经导丝送入球囊导管(Inoue球囊导管系统),在荧屏连续监视下充胀球囊扩张二尖瓣口(图6-1-5)。扩张结束后。重复左右心导管检查,观察扩张的效果。

图6-1-5 Inoue球囊扩张二尖瓣口示意图
(三)疗效 判断PBMV临床成功的指标是:①心尖部舒张期杂音消失或明显减弱。心功能提高一级以上。②左心房平均压≤1.5kPa(llmmHg),二尖瓣压差≤18mmHg(2.4kPa)。③心排出量增加,全肺阻力下降、④二尖瓣口面积为。≥2cm2,⑤无重要并发症发生。PBMV的技术成功率一般在95%以上。
(四)并发症 穿刺房间隔可引起心包填塞,误穿入主动脉后,造成主动脉-右心忙瘘以及房间隔缺损.心律不齐等。球囊扩张可引起二尖瓣返流、体循环栓塞、心律不齐、心脏穿孔及急性肺水肿等。严重者可造成死亡。
二、肺动脉瓣成形术
肺动脉瓣狭窄是常见的先天性心脏病。1982年开始采用球囊导管扩张治疗。临床践证明,经皮球囊肺动脉瓣成形术(percutaneous balloon pulmonary valvuloplasty,PBPV)是安全、有效的治疗方法。
(一)适应证与禁忌证
1.适应证无并发畸形的肺动脉瓣狭窄,跨瓣压差≥5.3kPa(40mmHg);复杂先天性心脏病伴发的肺动脉瓣狭窄,需行姑息性体-肺动脉转流术者。
2.禁忌证 并存心内复合畸形;3岁以下患者。
(二)操作技术 先行右心导管检查和右心室造影,计算肺动脉瓣环直径,选用适宜的球囊。将球囊导管经股静脉、右心房、右心室送入肺动脉,置球囊于肺动脉瓣口,充胀球囊,扩张狭窄的肺动脉瓣口。
(三)疗效 以肺动脉-右心室收缩压差大小为判断疗效的标准。≤3.3kPa(25mmHg)为优,3.3~6.6kPa(25~50mmHg)为良。PBPV的临床有效率约在96%,再狭窄发生率低,行再次PBPV效果满意。
(四)并发症 极少发生严重并发症,死亡率低。可能并发症有静脉损伤、心律失常、肺动脉瓣关闭不全等。
三.主动脉瓣成形术
主动脉瓣狭窄的公认有效治疗方法是手术。1984年后开展了经皮球囊主动脉瓣成形术(percutaneous balloon aortic valvuloplasty,PBAV),取得良好效果。
(一)适应证与禁忌证
1.适应证先天性或获得性主动脉瓣狭窄,左心室主动脉压差≥6.6kPa(50mmHg)主动脉瓣狭窄而不能作手术换瓣者。
2.禁忌证伴中度以上关闭不全的主动脉瓣狭窄;严重左心功能衰竭;不可控制的室性心律失常。
(二)操作技术 经股动脉穿刺插管,测量左心室-主动脉压差。并作左心室、升主动脉造影,以确定瓣口狭窄程度。将球囊送至主动脉瓣口,充胀球囊扩张瓣口。
(三)疗效 PBAV疗效较好。临床成功的指征为:①主动脉瓣区杂音减轻;②左心室-主动脉压差<5.3kPa(40mmHg);③心排出量增加;④未发生主动脉瓣关闭不全。
(四)并发症 主要并发症为主动脉瓣关闭不全,发生率约为50%。PBAV术中也有发和猝死的报告。
第四节 经导管灌注药物治疗
一、血管收缩治疗
经导管灌注加压素(vasopressin)是治疗胃肠出血的有效方法。
1.胃食管静脉曲张出血灌注加压素治疗的目的是控制急性出血,使病情趋于平稳,然后择期手术。方法是经股动脉插管,导管置于肠系膜上动脉内,以0.2~0.3单位/分的速度灌注加压素。加压素直接作用于血管平滑肌,使血管收缩,可有效地降低门静脉血流量和门静脉压,加上胃肠道平滑肌收缩,从而可以控制出血,其成功率为55%~95%。
2.胃粘膜弥漫性出血经胃左动脉插管灌注,有效率约80%~90% ,如胃左动脉插管困难,也可经腹腔动脉灌注。
3.溃疡出血 效果较差,成功率为30%~60%,以胃十二指肠动脉插管灌注为好。
4.下胃肠道出血结肠憩室出血经肠系膜上动脉或肠系膜下动脉插管灌注加压素,止血成功率为60%~75%。
二、化疗药物灌注治疗
化疗药物对肿瘤的作用大多是非特异性的,静脉给药后全身毒副反应重,而肿瘤局部药物浓度不高。选择性动脉灌注化疗药物治疗,可增加肿瘤局部的药物浓度,延长肿瘤细胞同高浓度药物的接触时间,减轻药物的全身毒副反应,可提高化疗的效果。
(一)常用的化疗物 经导管灌注的常用化疗药物有丝裂霉素-C(mitomycin-C)、顺氯氨铂(cis-platinum-diamine-dichloride,PDD)、阿霉素(adriamycin,ADM)、5-氟尿嘧啶(5-fluorouracil,5-Fu)以及长春新硷(vincristine,VCR)等。
(二)临床应用 主要用于原发性肺癌和原发性肝癌。
1.原发性肺癌 肺癌主要由支气管动脉供血,肿瘤血管一般较丰富。为经支气管动脉灌注化疗提供了解剖基础。经股动脉穿刺插管,首先行支气管动脉造影,在明确诊断与观察病变部位血管结构等以后,经导管灌注化疗药物。一般主张联合用药,即一次治疗时选择2~3种药物顺序给药。灌注时间一般为15~30分钟。每间隔2~3周重复治疗。治疗后摄胸片、CT观察肺部肿瘤缩小情况,作为判断疗效的根据之一。肺癌经灌注化疗治疗后,Ⅱ~Ⅲ期患者完全缓解和部分缓解率约占一半以上。经支气管动脉灌注化疗已成为肺癌综合治疗中的重要措施之一。
2.原发性肝癌经肝动脉灌注化疗药物是目前治疗肝癌的重要方法,有较好的临床疗效。在此基础上已发展成为化疗栓塞(chemoembolization),即把经导管栓塞肿瘤与灌注化疗结合起来的一种方法,疗效优于单纯灌注化疗。
三、溶栓治疗
经导管灌注溶栓药物进行溶栓治疗是在静脉溶栓基础上发展起来的有效治疗方法。
(一)常用药物 尿激酶、链激酶是常被选用的药物。前者无抗原性,疗效可靠,应用更为普遍。此外,组织型纤维蛋白溶酶原激活剂(tissue-type plasminogen activator,tPA)是较为理想的纤溶剂。蛇毒也用于溶栓治疗。
(二)临床应用
1.冠状动脉溶栓 冠状动脉内血栓形成是急性心肌梗死的重要促发因素,采用经冠状动脉灌注溶栓治疗是一有效方法。先行选择性冠状动脉造影,确定闭塞血管及其部位和程度之后,经导管灌注溶栓剂。取得成功的关键因素之一是从患者胸痛发作至灌注开始的时间长短。一般认为3小时之内开始溶栓,成功率高。若超过9小时,成功率明显降低。6小时之内开始灌注是合适的。
2.脑动脉溶栓 脑动脉急性栓塞所致梗塞,在经临床、CT确诊后,可采用经导管溶栓治疗。导管置入颈内动脉或超选择性插入栓塞的大脑前动脉或中动脉的分支内。现一般采用蛇毒制剂,如精制蝮蛇抗栓酶,临床上有较好的效果。
3.周围血管溶栓 各种原因造成的血栓形成均可采用经导管溶栓。导管头端置于病变血管的上游进行灌注。目前发展至导管头端抵近血栓,甚或穿入血栓内进行压力灌注(团注法),其效果优于一般灌注方法。
溶栓治疗中应对患者的出血、凝血状态进行严密监护,一旦发现出血并发症,应立刻停止治疗。
第五节 其他介入技术
除上述几种介入治疗方法外,经皮摘取血栓和经皮取血管内异物也取得良好的临床效果。
经皮采集血标本是深入,明确诊断的介入方法。现举两例说明:①胰岛细胞活性肿瘤,如胰岛素瘤、胃泌素瘤,体积一般较小,USG、CT和血管造影的发现率不高,手术前可经皮肝穿刺作门静脉插管,导管从脾门至门静脉主干分成左右门静脉处进行分段取血,化验检测血内相应激素水平,即可较精确地确定肿瘤在胰腺内的位置,以利于手术切除。②嗜铬细胞瘤,约10%的病例发生在肾上腺区外,若体积小,影像学方法难以定位,也可经导管取血化验诊断。经股静脉穿刺插管,导管从髂静脉至颈内静脉分段取血,测定多份样品中儿茶酚胺的含量,可确定肿瘤所在平面部位,为手术切除提供依据。
肝内门-体静脉分流(transjug ularintrahepatic portosystemic shunt,TIPSS)是治疗门脉高压症的新方法。导管经皮插入肝内静脉,穿刺门静脉分支,在肝静脉与门静脉之间放置支撑器,分流门静血流进入体静脉。目前这一技术正在发展中。
第二章 非血管介入技术
第一节 管道狭窄扩张成形术
胃肠道、胆系、气管支气管等发生狭窄后,可用球囊扩张和放置支撑器的方法治疗。
一、胃肠道狭窄
胃肠道狭窄原以外科手术治疗为主,1982年开始用球囊扩张治疗。
(一)适应证和禁忌证
1.适应证 食管狭窄,幽门良性梗阻,上胃肠道吻合术后吻合口狭窄,不宜手术的贲门失弛缓症。食管癌梗阻和食管癌并发气管瘘也可用支撑器治疗。
2.禁忌证 食管灼伤后的炎症期,上胃肠道吻合术后3周内发生吻合口狭窄。
(二)操作技术 透视下将导管、导丝一并送入食管,操纵导丝使之通过狭窄部,沿导丝将选好的球囊导管送入,使球囊中部置于狭窄处,充胀球囊扩张狭窄病变。
(三)疗效 球囊扩张对于食管灼伤后狭窄、食管蹼以及其他先天性狭窄;上胃肠道吻合口狭窄均有良好疗效,有效率约90%。
(四)并发症 一般少见。较为严重并发症为胃肠道穿孔。球囊扩张后可出现局部粘膜出血,水肿,数天可缓解。
二、胆管狭窄
胆管狭窄可造成梗阻性黄疸,具备手术条件者,外科治疗效果较好,但对患者创伤大、恢复时间长,为此开展了介入治疗方法。
(一)良性胆管狭窄 球囊扩张术 先行经皮肝穿刺胆管造影,明确胆管狭窄的部位及程度。再采用经皮肝穿刺途径,将导丝放至胆管,通过狭窄段,由此导管在扩张穿刺通道后送入球囊导管,将球囊置于狭窄段,充胀球囊扩张狭窄。扩张结束。再行造影复查,如结果满意,可经穿刺通道放一外引流管,引流数日,待梗阻性黄疸缓解后,即可拔除引流管。
(二)恶性胆管狭窄支撑器治疗 对于不能手术治疗的恶性胆管狭窄,原采用内引流可塑料导管制成的永久性内涵管引流。目前采用的支撑器引流要优于前者。用于胆系的支撑器为自膨胀性支撑器,经导管放入后,靠金属弹性膨胀,支撑于胆管狭窄处。若肿瘤生长阻塞支撑器,可采用用于血管介入的旋切导管,切除肿瘤,使支撑器再通。
三、气管支气管狭窄
80年代起用自膨胀式支撑器治疗气管支气管狭窄、气管软化和气道塌陷。肺癌术后气管支气管吻合部狭窄可用支撑器治疗。对于肿瘤性狭窄应用支撑器价值有限。
四、良性前列腺增生
老年前列腺增生肥大发生率较高。多造成尿道狭窄、梗阻性改变,以往以手术治疗为主。采用球囊导管扩张和支撑器治疗,对患者损伤小,效果较好。
第二节 经皮穿刺引流与抽吸技术
一、经皮肝穿刺胆管引流
分外引流、内引流和永久性涵管引流,这种非手术性胆系引流已成为恶性胆系梗阻减压和梗阻性黄疸术前减压的有效方法,优于手术引流。
(一)外引流 先行经皮肝穿刺胆管造影,在明确病变部分范围及程度后,将有多个侧孔的引流管置入扩张的胆管内,导管头端放在梗阻的上方,即可将胆汁引流至体外,降低胆系内压力。缓解黄疸(图6-2-1)。由于外引流会丧失大量电解质。体外端导管有引发感染的危险,因此外引发主要用于手术前。待病情缓解平稳后,再治疗引起胆管狭窄的疾病。




图6-2-1 经皮肝胆系外引流示意图
1.穿刺肝内胆管;2.经穿刺针放入导丝至狭窄近端;
3.经导丝放入有侧孔的导管;4.拔出导丝即行外引流
(二)内引流 方法基本同外引流,但引流导管头端要通过狭窄梗阻区,置于梗阻远端的胆管内或十二指肠内,胆汁即经引流导管之侧孔流入梗阻下端胆管,进入十二指肠内(图6-2-2)。留于体外的引流管在贴近皮肤处切断,用缝线缝于皮肤上,用消毒纱布包扎。内引流避免丧失胆汁和感染的弊病,对于不能手术的恶性梗阻较为适宜。如引流管阻塞,流通不畅,可经原途径调换新引流管。




图6-2-2 经皮肝胆系内引流示意图
1.穿刺肝内胆管2.导丝通过狭窄段3.有侧孔导管头端通过狭窄
段4.狭窄段上下导管均有侧孔即可行内引流
(三)永久性涵管引流 主要用于不能手术切除的恶性胆系梗阻患者,作姑息治疗用。这是在内引流的基础上,将一段塑料导管置于梗阻狭窄段的胆管内,以便胆汁经此管流入梗阻远侧胆管,进入十二指肠内。这种引流。体外无引流管,可进一步避免感染发生。正如上节所述,目前多已开始采用支撑器支撑方法,代替塑料导管引流。
经皮胆系引流近期效果满意,并发症少,但长期引流易发生胆管炎和引流管阻塞。因此安置引流管后,应加强导管护理,及时观察与处理功能发生异常引流管。
二、经皮尿路引流
上尿路梗阻可采用经皮肾盂造影、经皮肾盂造口术以及经皮引流等诊断与治疗措施。
(一)经皮肾盂造影 当上尿路梗阻在静脉尿路造影、逆行肾盂造影无法判断梗阻部位、性质时,可采用经皮顺行肾盂造影。这一造影是在影像系统导向下(如透视、超声),以细针从后路穿刺患侧肾盂肾盏。针进入肾盂后,先抽吸积蓄的尿液行化验检查。随后注入造影剂,观察尿路梗阻的原因与部位,并可通过顺行输尿管灌注试验鉴别梗阻与非梗阻性尿路扩张,判断输尿管瘘的部位与程度,还可测量肾盂静止压。经皮肾盂造影为经皮肾盂造口提供准确的定位标志,也利于经皮针活检肾组织,因此成为经皮肾盂造口术的必须措施。
(二)经皮肾盂造口术 经皮肾盂造影或其他方法确诊,如适宜进行尿路引流治疗可以肾盂造影所显示肾盂肾盏为目标,在影像系统导向下,经皮穿剌,将引流导管置于肾盂、输尿管内进行引流或灌注药物或行诊断性操作(表6-2-1)。如需经此通道作肾镜检查或取石,可用不同规格的扩张器,将通道(皮肤小切口、软组织和肾盂穿刺孔道)逐步扩张,以便使较粗的器械经此通道进入肾盂内进行操作(图6-2-3)。
| 外引流 | 内引流 | 其他 |
| 1.尿路梗阻引流 2.治疗输尿管瘘 3.测定分肾功能 4.灌注药物治疗(化疗、溶石) 5.扩张治疗输尿管狭窄 6.肾周积液(脓)引流 |
1.肿瘤性梗阻的引流 2.输尿管狭窄的引流 3.无梗阻的输尿管瘘引流 |
1.肾镜检查 2.活检 3.取石 |

图6-2-3 经皮肾盂造口术(套取结石)示意图
经皮肾盂造口术的成功率高,并发症少,是治疗尿路梗阻的有价值方法,使一些患者免于手术,一些不能手术的肿瘤患者得到姑息治疗效果。
三、囊肿、脓肿经皮抽吸引流
囊肿、脓肿、血肿和积液均可在影像系统(CT、USG、透视尿路梗阻或各种造影)导向下,经皮穿刺放置引流管进行引流、抽吸。抽吸液可作细胞学、细菌,生化等项检查,进一步明确病变性质,还可经引流管灌注硬化剂,抗生素或化疗药物进行治疗。
第三节 结石的介入处理
一、胆石
胆石可经T形管、经T形管瘘道、经内镜和经皮经肝进行取石或溶石治疗。
(一)经T形管瘘道取石 这一比较成熟的治疗方法,适用于术后残留胆管结石,成功率可达95%。先行T形管造影,明确结石的部位、数量、大小和形状,在荧屏监视下,经T形管插入导丝,拔出T形管,再经导丝置入导管,拔出导丝后,顺导管插入取石网篮导管。将网篮深入到结石附近,张开网篮,轻轻旋转,使呈张开状态的网篮网住结石,收紧网篮,经T形管瘘取出结石,然后重新放置T形管进行引流(图6-2-4)。对于胆管内嵌顿性结石,肝内Ⅱ级胆管分支以上的胆管结石,T形管瘘过长、过于纡曲或有急性感染者不适于这一疗法。

图6-2-4 经T形管瘘道网篮取石示意图
1、T形管 2、导管 3、网篮 4、结石
此外,可经T形管瘘道用取石钳取石。这对于结石较大,取石网篮无法套住或网篮套住后无法从瘘道取出的病例是一种有效的措施。
(二)溶石 口服或静脉注射溶石药物,因在胆汁内浓度低,副作用大,故较少使用。目前甲基叔丁烷乙醚(methyl tertiarybutyl ether,MTBE)溶解胆固醇石效果较好,已在临床上应用。但尚无溶解胆色素石的较好药物用于临床。
二、上尿路结石
上尿路结石一般经肾盂造口导管作网套取、钳取、推移至膀胱内(较小结石)或灌注溶石药物等方法进行治疗。
第四节 经皮椎间盘脱出切吸术
腰椎间盘脱出是常见病,原以保守治疗和手术治疗为主。手术治疗虽然有效,但创伤大,术后部分病例的症状仍持续存在,部分病例复发。80年代后期临床开始应用经皮穿刺腰椎间血脱出切除术,取得了良好的疗效。
切吸术需在有影像增强器的X线机透视下进行,患者俯卧于X线床上,根据术前的X线片,CT所确定的椎间盘脱出平面,在消毒、局麻之后,用套管针穿刺。在透视下确诊进针方位正确后,逐渐扩张穿刺通道,并将套管送至椎间盘。经此通道送入环锯切割纤维环,退出环锯后送入髓核夹取钳,夹碎并夹取髓核,通过负压抽吸夹碎的髓核。
此术适用于经影像学方法确诊的病例,并有明显症状体征。既往有腰椎手术史、腰椎骨质明显增生和骨关节病所致的腰腿病则不适用。
现已对颈椎间盘脱出采取这一技术,取得较好的疗效
第五节 经皮针活检
经皮针活检是有价值的介入诊断方法,已应用于身体各部位、多器官病变。经皮针活检有三种活检方式,即细针抽吸活检、切割式活检与环钻式活检。三种活检所用活检针不同,适于不同部位病变的活检需要。
一、活检针
目前活检针种类很多,但大致可分三种:①抽吸针:针的口径较细,对组织损伤小,只能获得细胞学标本,如千叶(Chiba)针。②切割针:口径较粗,针尖具有不同形状,活检时可得到组织芯或组织碎块,可行病理学诊断。这类针很多,如Turner针、Rotex针等。③环钻针:主要用于骨组织病变的活检,针尖有尖锐的切割齿,便于过较硬的骨、软骨组织,取得组织学标本,如Franseen针等。
二.经皮针活检的导向方法
经皮针活检是在影像技术导向下进行,不同于开放式和盲目活检。常用的导向方法为透视、USG和CT。透视最简单,适用于能在透视下定位的病变,如肺部肿块、骨骼病变等。USG对实质器官的囊性或实体性肿物定向准确。USG可以显示活检针的针迹、针的导向方法(图6-2-5)。CT导向准确,但操作程序较超声导向复杂,多用于腹部、盆部和胸部病变活检。

图6-2-5 超声引导穿刺示意图
1.针吸活检超声换能器
2.欲活检的肿物
三、临床应用
除颅内病变外,已广泛用于诊断各系统、各器官的病变。①胸部;诊断不明的肺内结节、肿块病变,以已知为恶性病变,但组织类型不明者均适于经皮针活检。针活检对恶性病变的准确率为90%,良性病变为95%。②腹部:肝、胰、肾、腹膜后等部位的性质不明的病变可以经皮针活检,尤其对胰腺癌与胰腺炎鉴别诊断有价值。③其他:骨关节、肌肉系统、盆部、乳腺、椎管内病变等均可行经皮针活检。
细针活检的并发症很少,因此是安全有效的检查方法。