葡萄球菌感染
| A+医学百科 >> 葡萄球菌感染 |
葡萄球菌感染是葡萄球菌引起的感染。葡萄球菌属细球菌科,葡萄球菌属,因其排列如葡萄串状而得名。革兰氏染色阳性。主要引起疖、痈、毛囊炎、肺炎、脑脓肿、肝脓肿、化脓性骨髓炎及伤口感染等。在自然界中分布广泛,绝大多数不致病,仅少数引起人和动物的化脓性感染。
目录 |
简要介绍
葡萄球菌引起的感染。葡萄球菌属细球菌科,葡萄球菌属,
因其排列如葡萄串状而得名。革兰氏染色阳性。主要引起疖、痈、毛囊炎、肺炎、脑脓肿、肝脓肿、化脓性骨髓炎及伤口感染等。在自然界中分布广泛,绝大多数不致病,仅少数引起人和动物的化脓性感染。其致病性随细菌侵入途径、菌量、毒力及机体免疫力不同而异。由于抗生素的广泛使用,耐药菌株逐年增加,目前金黄色葡萄菌对青霉素的耐药率已高达90%,但对新型青霉素、庆大霉素和头孢唑啉还比较敏感,体外实验证明黄连、黄芩、连翘、大青叶、板蓝根、蒲公英等对金黄色葡萄球菌有抑菌或杀菌作用。
病原体种类
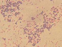
根据细胞壁组成、血浆凝固酶和毒素产生的不同,葡萄球菌分为致病性的金黄色葡萄球菌(简称金葡菌)和非致病性(或条件致病性)的表皮葡萄球菌。
金黄色葡萄球菌
生物学特性:金葡菌呈球形,直径0.48微米,排列成葡萄
串状,无鞭毛,无芽孢,多数无荚膜。金葡菌的细胞壁有大量磷壁酸构成该菌的表面抗原,通过共价键与粘肽层的胞壁酸相连,在细胞膜的外面尚有膜磷壁酸,对维持胞膜稳定性和胞膜酶的激活都具有重要意义,胞壁可耐25个大气压。
金葡菌的营养要求不高,在普通琼脂培养基上37℃、pH7.4左右经24~48小时后生长良好,金葡菌在有氧和CO、22℃以及培养基中含有牛奶奶油等情况下生长最好,在血琼脂平板上产生菌落大,且绝大多数在菌落周围可见溶血环。金葡菌在无芽孢菌中抵抗力较强,在干燥衣服上可存活3~6个月。在干的痰中,2~3个月后,仍可培养出菌来。金葡菌在10~15%NaCl溶液中可很好生长。纯培养可抵抗1%酚溶液15分钟,浓度增至2%才能杀死金葡菌。80℃经30分钟可杀死本菌,但金葡菌对龙胆紫很敏感,血清培养基中含1:125000(浓度)龙胆紫即能抑制其生长。
金葡菌的变异可以自然发生,但与临床关系密切的可能是药物敏感性变异和菌落L型变异。也有对青霉素、苯唑青霉素(新型青霉素)、头孢唑啉等多种药物耐药的菌株,这些
菌株又被称为抗甲氧苯青霉素(新青)金葡菌(MRSA),这些菌株已构成对医院内感染控制的威胁。产生耐药性的途径有二:①产生了分解抗生素中有效基因的诱导酶,如β内酰胺酶。②敏感菌株通过有关噬菌体转导耐药基因的质粒而获耐药性。
另一种金葡菌的变异,是在一些慢性或反复感染的病灶中分离出的金葡菌L型。这些变异型用常规方法检查不出来,需通过特殊培养基,延长培养时间才能获得。为此,临床上怀疑金葡菌感染时,若培养阴性,要考虑到是否有变异为L型的问题。
金葡菌的噬菌体分型特异性不高,因为多数菌株能与两种以上噬菌体起反应。
金葡菌株表面含有一种蛋白质成分,称葡萄球菌蛋白质A(SPA),它结合于胞壁的粘肽部分,大约30%是金葡菌分裂的对数生长期产生的,若使用胰酶处理胞壁,可破坏SPA的活性。SPA在体外可抑制对金葡菌和大肠杆菌的吞噬;损伤血小板;对人的T和B淋巴细胞有无致分裂作用
,意见尚不一致。SPA对噬菌体吸附于金葡菌体的作用也有影响,它的含量与所吸附噬菌体量呈负相关,SPA含量低的菌株吸附噬菌体的能力大。
实验室检查 主要有以下几种:
②培养和鉴定。将标本接种于血琼脂平板、甘露醇和高盐培养基上,根据菌落特征、生物化学反应等进行鉴定。致病性金葡菌的主要特点为:产生金黄色色素、有溶血性、发酵甘露醇、凝固酶试验阳性、皮肤坏死和动物致死性试验阳性等。关于金葡菌的药物敏感试验,临床常用纸片抑菌环法,亦有用测定青霉素酶的方法,但较复杂,不作为常规应用。
③血清学检查。可用对流免疫电泳和被动凝胶扩散法,检测病人血清中磷壁酸抗体。正常人滴度低,阳性率少,金葡菌感染患者血清中磷壁酸抗体滴度均≥1:4。用对流免疫电泳法检查金葡菌抗原,有助于早期诊断,在脑脊液和胸水中能查到抗原,血中检到者报道不多。
④毒素的检查。用幼猫或猴做动物实验,取含有毒素的剩余食物对动物灌胃、腹腔或静脉注射毒素来观察动物是否出现恶心、呕吐、腹泻、寒战等反应,或用免疫琼脂扩散法、间接血凝法和反向间接血凝法、免疫萤光法及放射免疫法等血清学检查均可检出食物中肠毒素的含量。
表皮葡萄球菌
一般认为系条件致病菌。细菌性心内膜炎约有10%由此菌引起,免疫功能低下者也可出现此菌的菌血症。
毒素种类
主要有四种:
①溶血毒素。有、β、γ、δ四种,其中、β溶血毒素可损伤绵羊和人的
红细胞,破坏人的血小板
②致剥脱性毒素。又称皮肤溶解毒素,可导致皮肤病变,约5%金葡菌能产生此毒素。
③杀白细胞素。金葡菌的多种产物可以损伤白细胞,如毒素引起白细胞的显著变化,δ毒素可使白细胞的核肿大,细胞随即溶解。有一种杀白细胞素(P-V杀白细胞素),可引起白细胞运动功能丧失,细胞内颗粒丢失,导致细胞的破坏,P-V杀白细胞素对其他细胞无作用。P-V杀白细胞素的作用部位主要在细胞膜,开始时
细胞膜中三磷酸肌醇发生构型变化,随后细胞通透性增高,造成钾的丢失,其他变化有钙蓄积、ATP酶受刺激等。受P-V杀白细胞素作用的嗜中性粒细胞,最初表现细胞伪足丢失,细胞变圆并轻度肿胀,同时伴有部分细胞颗粒脱出,细胞的多叶核变得较突出,随后形成球形,最后轮廓消失,整个作用进行缓慢(20~30分钟),细胞不立即溶解。
④肠毒素。金葡菌可产生A、B、C、D、E、F等多种肠毒素。金葡菌性食物中毒以A型肠毒素引起者最多。肠毒素对热的抵抗力极强,加热至100℃、30分钟不能完全破坏,仍能使人致病,其中以B型最耐热,C型次之,A型最差。
临床表现
新生儿感染通常发生于出生后6周之内,最常见的是脓疱性或大泡性皮肤病损,一般位于腋下,腹股沟或颈部皮肤皱褶处;但多发性皮下脓肿(特别是乳腺),表皮剥脱,菌血症,脑膜炎或肺炎也可发生。化脓性病变显微镜检查可发现嗜中性白细胞和革兰氏阳性葡萄球菌,后者常位于嗜中
性白细胞内。
产后1~4周发生乳腺脓肿或乳腺炎的喂奶母亲,应视为有耐抗生素葡萄球菌感染,很可能通过其婴儿从婴儿室传入所致。
手术后感染可从缝线处脓肿直到广泛的创口感染,一般由葡萄球菌感染所致。这种感染可出现于手术后数日或数周;若病人在手术时接受过抗生素,则感染的出现可能推迟。金葡菌感染中以化脓性感染为多见。
①化脓性感染,如疖、毛囊炎、痈、肺炎、心内膜炎、化脓性骨髓炎以及败血症等。
②食物中毒,金葡菌污染食物后,在20~30℃经4~2小时繁殖并产生肠毒素,人进食带有此毒素的食物1~5小时后,出现急性胃肠炎的症状,表现恶心、呕吐和腹泻。食物中毒主要由肠毒素引起,与细菌无关。造成食物中毒最小剂量的肠毒素是1~7.2g/kg体重。美国报告敏感人群摄入肠毒素<100ng就能引起发病,多数经1~2天后自愈,死亡罕见。治疗主要是输液以维持水和电解质的平衡,不需用。
③中毒性休克综合征(TSS),葡萄球菌肠毒素F和致热原性外毒素C可以引起TSS,目前认为这两种毒素为相似的糖蛋白,分子量均在22000,现总称其为TSST-1。TSS最早在1978年报道了7例,均为8~17岁有外伤史的青少年,起病急,主要表现高热、神志恍惚、猩红热性皮疹、肾功能衰竭、严重的低血压,恢复期全身有大片脱皮,当时诊断不清。至1980年逐渐弄清TSS与经期用月经栓有关,患者90%为年轻的女性,有经期用月经栓史,阴道分泌物培养有金葡菌噬菌体型,亦有报告型的。当时死亡率很高,复发率有报告达30%。经调查,制造月经栓的工厂从1977年起将生产月经栓由棉花加人造纤维改为用吸水性能好的聚丙烯酸酯纤维。发病可能与之有关,目前还不太清楚其机理。亦有少数男性病人,因伤口感染而发生类似的病症。TSS病人血培养无金葡菌生长,而阴道分泌物培养阳性。
美国疾病控制中心对TSS诊断归纳5点:发冷发热、猩红热样皮疹、低血压、多个脏器功能损害、恢复期有大片脱皮。
TSS的治疗为:停用月经栓改用月经带,输液扩容纠正低血压,用新型青霉素或头孢唑啉,严重者可与氨基糖苷类合用。也可用激素等治疗。关于TSS的预防,大力宣传TSS的发病与月经栓有关,病人需停用月经栓。
易感人群
新生儿和喂奶的母亲好发葡萄球菌感染,而流感,慢性支气管肺部疾患(如囊性纤维性变,肺气肿),白血病,肿瘤,器官移植,假体或其他异物,烧伤,慢性皮肤疾病,手术切口,糖尿病以及血管内塑料导管留置的病人,也容易受此菌感染。接受肾上腺皮质类固醇,放射治疗,免疫抑制剂或抗肿瘤化疗的病人,受感染的危险性也很大。易感病人可从自身其他带菌部位或医院工作人员获得耐抗生素的葡萄球菌。经工作人员的手是最普遍的传播方式,但也可经空气传播。
葡萄球菌肺炎
葡萄球菌肺炎是由葡萄球菌所引起的急性肺部化脓性感染。本病起病多急骤
,有高热、寒战、胸痛,痰为脓性,量多,带血丝或呈粉红色乳状。病情重笃者可早期出现周围循环衰竭。院内感染病例起病稍缓慢,但亦有高热、脓痰等。肺部X线显示肺段或肺叶实变,或呈小叶样浸润,其中有单个或多发的液气囊腔。X线阴影的易变性是金葡萄肺炎的另一重要特征。
病情较重,常发生于免疫功能已经受损的病人,如糖尿病、血液病(白血病、淋巴瘤、再障等)、艾滋病、肝病、营养不良、酒精中毒以及原已患有支气管-肺病者。儿童患流感或麻疹时,葡萄球菌可经呼吸道而引起肺炎,若未予恰当治疗,病死率较高。皮肤感染灶(痈、疖、毛囊炎、蜂窝组织炎、伤口感染)中的葡萄球菌亦可经血循环而产生肺部感染,细支气管往往受阻而伴发气囊肿,尤多见于儿童患者。脓肿可以溃破而引起气胸、脓胸或脓气胸,有时还伴发化脓性心包炎、胸膜炎等。
葡萄球菌性菌血症
可发生于任何与血管内导管或其他异物有关的局限性葡萄球菌脓肿或感染,它是严重烧伤病人死亡的常见原因。持续性发热常见,而且可伴有休克。表皮葡萄球菌和其他凝固酶阴性的葡萄球菌,已成为与导管和其他异物相关的医院菌血症的日益增多的原因。也是虚弱病人的发病率(特别是长期住院者)和死亡率的重要原因。
葡萄球菌性心内膜炎
特别好发于静脉注射给药者和装有人工心脏瓣膜的病人。突然出现心脏杂音,脓毒性栓子和其他经典体征便可作出可疑诊断,确诊需依据超声心动图和血培养。
葡萄球菌性骨髓炎
主要见于儿童,可引起寒战,发热和受累骨疼痛,继之出现红肿。关节周围感染常引起关节积液,提示为化脓性关节炎而不是骨髓炎。白细胞计数常>15000/μl并且血培养常阳性。X线变化在10~14日内不明显,骨质疏松和骨皮质反应甚至更长时间仍不能测出,而放射性核素骨扫描则常能较早出现异常。
免疫性
感染金葡菌后可以产生抗毒素,但抗毒素免疫主要是对毒素的中和作用,不能直接抑制金葡菌在体内繁殖,抗毒素和抗菌免疫不同。有人在1966年用菌细胞制剂的不同部分进行免疫研究,认为金葡菌的保护性抗原可能有两种:一为耐热的细胞壁成分,可以产生抗体,有特异调理作用。另一种成分是不耐热对胰酶敏感的细胞蛋白抗原,使寄主产生非特异性保护作用。
预防措施
无菌措施(如检查病人前后彻底洗手和消毒合用的器械)至关重要。已被感染的病人应与其他易感病人隔离,患有活动性葡萄球菌感染,即使是局部性的感染(如疖)的医护人员,在其感染治愈前不得接触病人或器械。无症状的鼻腔带菌者,除非所带菌株十分危险或被怀疑为暴发流行的传染源,一般不必隔离。
治疗方法
治疗包括脓肿引流,抗生素(重症病人需肠外给药)和全身支持疗法。培养标本应在开始治疗前或更换抗生素之前获取。抗生素的选择和剂量取决于感染的部位,疾病的严重程度和细菌对药物的敏感性。
医院获得的葡萄球菌和大多数社区获得的菌株,通常对青霉素G,氨苄青霉素和抗假单胞菌青霉素有耐药性。大多数菌株对耐青霉素酶青霉素(甲氧苯青霉素,苯甲异恶唑青霉素,乙氧萘青霉素,邻氯青霉素,双氯青霉素),头孢菌素(头孢菌素Ⅰ,头孢唑啉,头孢菌素Ⅳ,头孢拉定,头孢羟唑,头孢西丁和第三代头孢菌素),卡巴培南类(亚胺培南,美罗匹宁),庆大霉素,万古霉素,替考拉宁,林可霉素和氯林可霉素,是敏感的。虽然头孢菌素和万古霉素都有效,但通常首选一种耐青霉素酶的青霉素。很多葡萄球菌菌株对红霉素,四环素类药物,氨基糖苷类,杆菌肽和氯霉素也敏感,但因有更好更安全的药可用,故很少使用氯霉素和杆菌肽。目前在美国,特别在第三级保健中心和大城市医院,耐甲氧苯青霉素金黄色葡萄球菌(MRSA)菌株日益增多。这种细菌虽可从社区获得感染的病人中分离得到,但多数是从感染的静脉吸毒者和重症监护室的病人中分离获得。MRSA菌株通常对耐β-内酰胺酶青霉素,头孢菌素和卡巴培南类有耐药性。实验室的错误报告日益频繁,报告称这些细菌对头孢菌素是敏感的,但实际上头孢菌素治疗MRSA感染不可靠。这些细菌对氨基糖苷类和大环内酯类(红霉素,克拉霉素,阿齐霉素,林可霉素和氯林可霉素)的耐药性也很普遍。虽然亚胺培南-西拉司丁或喹诺酮类对某些MRSA感染是有效的,但静脉注射万古霉素为首选。肾功能正常成人的通用剂量是每6小时静脉注射500mg或每12小时静滴注1000mg,至少在1小时内滴完。肾功能受损时,剂量应根据血清中药物的浓度加以调整,疗程视感染部位及病人的反应而定,但一般为2~4周。某些严重的或有并发症的感染,可能需要静脉给药治疗6~8周,然后再口服治疗1个月或更长时间。最近在日本和美国已发现对万古霉素有中间耐药性的MRSA菌株。
可用于替代万古霉素治疗MRSA感染的药物有:TMP-SMZ,成人剂量为TMP10~15mg/(kg。D)加SMZ50~75mg/(kg。D),分剂口服或肠外给药,每次间隔8小时或12小时,连续2~4周;利福平(600mg/d)口服或肠外给药;肠外给亚胺培南-西拉司丁(500mg每6小时1次)或美罗匹宁(0。5~1。0g每8小时1次。但利福平不要单独应用,因为细菌很易产生抗药性。在治疗异物相关性MRSA感染或浆膜腔MRSA感染时,利福平和氨基糖苷类是有用的辅助药物。邻氯青霉素,双氯青霉素,TMP-SMZ,环丙沙星及局部用莫匹罗星(mupirocin)可用于治疗MRSA带菌状态,但MRSA对这些药物可产生抗药性。
参考
健康问答网关于葡萄球菌感染的相关提问
| 关于“葡萄球菌感染”的留言: | |
|
目前暂无留言 | |
| 添加留言 | |
