急性化脓性中耳炎
| A+医学百科 >> 疾病百科 >> 炎症 >> 急性化脓性中耳炎 |
急性化脓性中耳炎
目录 |
疾病概述
急性化脓性中耳炎(acute suppurative otitis media)
是中耳粘膜的急性化脓性炎症。病变主要位于鼓室,但中耳其他各部亦常受累。主要致病菌为肺炎球菌、流感嗜血杆菌、溶血性链球菌、葡萄球菌、变形杆菌等。本病较常见,好发于儿童。急性化脓性中耳炎是中耳炎的急性化脓性炎症,好发于儿童,冬春季多见,常继发于上呼吸道感染。
疾病分类
症状体征
主要症状如下:
如为搏动性跳痛或刺痛,可向同侧头部或牙齿放射,鼓膜穿孔流脓后而痛减轻。少数病人可无明显耳痛症状。
2、听力减退及耳鸣 病程初期病人常有明显耳闷、低调耳鸣和听力减退。后期鼓膜无穿孔后耳聋反而可能减轻。耳痛剧烈者,听觉障碍彰被忽略。有的病人可伴眩晕。
3、流脓 鼓膜穿孔后耳内有液体流出,初为血水脓样,以后变为脓性分泌物。
4、全身症状 轻重不一。可有畏寒、发热、倦怠、纳差。小儿选深症状较重,常伴呕吐、腹泻等类似消化道症状。一旦鼓膜穿孔,体温即逐渐下降,全身症状明显减轻。
5、患儿表现烦躁不安、哭闹,双手抓耳挠腮。伴有耳鸣和听力下降,但常被耳痛掩盖。至化脓期间,一旦鼓膜穿孔,则儿童顿减。可见耳溢脓,初为血水,后为粘性脓液,体温逐渐恢复正常。若耳流脓后症状不缓解或缓解后发热及耳痛复又加重,则应警惕并发症的发生。
临床表现
主要症状为耳痛、耳漏和听力减退,全身症状轻重不一,婴幼儿不能陈述病情,常表现为发热、哭闹不安、抓耳摇头,甚至出现呕吐、腹泻等胃肠道症状。因此,要详细检查鼓膜,以明确诊断。临床症状及检查所见随病理改变而不同,一般分为以下四期:
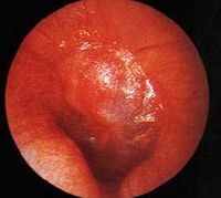
1.早期(卡他期):鼓室粘膜充血水肿、血管扩张,腺体分泌增加,鼓室内有浆液性炎性渗出物。自觉耳堵塞感、轻度听力减退和轻微耳痛,一般无明显全身症状,或有低热。检查:鼓膜松弛部充血、紧张部周边及锤骨柄可见放射状扩张的血管,此期为时不久,常被忽视,特别是小儿更不易觉察。
2.中期(化脓期):炎症继续发展,鼓室粘膜充血肿胀加重,浆液性炎性渗出物转为粘脓性及脓性。症状随之加重,耳痛剧烈,呈捕动性跳痛或刺痛,可向同侧头部或牙齿放射。听力减退显著。全身症状亦明显,可有畏寒流、发热、怠倦、食欲减退。小儿哭闹不安,体温可高达40°C。惊劂,伴呕吐、腹泻等消化道症状。
检查:鼓膜弥漫性充血,伴肿胀,向外膨出,初见于后上部。后渐全部外凸。正常标志难以辩认。血象:白细胞总数增多,中性白细胞比例增加。
3.晚期(穿孔期):鼓室积脓增加,鼓膜毛细血管受压,出现小静脉血栓性静脉炎,局部坏死溃破。致鼓膜穿孔,脓液由此外泄。由于脓液得以引流,局部症状和全身症状亦随着改善,耳痛减轻,体温下降。耳漏初为血水样,后为粘脓性或脓性。
检查:鼓膜穿孔前,局部先出现小黄点。穿孔开始一般甚小,不易看清,彻底清洁外耳道后,方可见到鼓膜穿孔处有闪烁搏动的亮点,有脓液自该处涌出。听力检查呈传导性聋。
急性传染病并发的急性化脓性中耳炎,病变可深达骨质,称急性坏死性中耳炎,表现脓臭、鼓膜大穿孔。
4.恢复期:鼓膜穿孔引流通畅后,炎症逐渐消退,鼓室粘膜恢复正常,耳流脓逐渐消失,小的穿孔可自行修复。
检查:可见鼓膜紧张部小穿孔,外耳道内有脓性分泌物或干燥。
疾病病因
主要致病菌为肺炎球菌、流感嗜血杆菌、葡萄球菌等。感染主要通过3种途径:
1、咽鼓管途径 最常见
(2)急性传染病:如猩红热、麻疹、百日咳等,可通过咽鼓管途径并发本病;急性化脓性中耳炎亦可为上述传染病的局部表现。此型病变常深达骨质,酿成严重的坏死性病变。
(3)在污水中游泳或跳水,不适当的咽鼓管吹张、擤鼻或鼻腔治疗等,细菌循咽鼓管侵入中耳。
(4)婴幼儿因其咽鼓管的解剖生理特点,更易经此途径引起中耳感染。哺乳位置不当,如平卧吮奶,乳汁可经咽鼓管流入中耳。
2、外耳道鼓膜途径 不符合无菌操作的鼓膜穿刺、鼓室置管,鼓膜外伤,致病菌由外耳道直接侵入中耳。
3、血行感染 极少见。
病理病机
(一)咽鼓管途径:最常见。
1.急性上呼吸道感染时,如急性鼻炎、急性鼻咽炎等,炎症向咽鼓蔓延。咽鼓管咽口及管腔粘膜充血、肿胀、纤毛运动障碍,致病菌乘虚侵入中耳。
2.急性传染病,如猩红热、麻疹、百日咳等,可通过咽鼓管途径并发本病。急性化脓性中耳炎亦可为上述传染病的局部表现。此型病变常深达骨质,引起严重的坏死性病变。
3.在污水中游泳或跳水、不适当的咽鼓吹张、擤鼻或鼻腔治疗等,均可导致细菌循咽鼓管侵入中耳。
婴幼儿基于其解剖生理特点,比成人更易经此途径引起中耳感染。婴幼儿的咽鼓管短、宽而平直,如哺乳位置不当,平卧吮奶,乳汁或呕吐物可经咽鼓管流入中耳。
(二)外耳道鼓膜途径:鼓膜外伤、鼓膜穿刺、鼓膜置管时,致病菌可由外耳道直接侵入中耳。
(三)血行感染:极少见。
病理生理
感染初期,鼓膜呈明显的放射状血管充血、中耳粘膜充血及咽鼓管咽口闭塞,鼓室氧气吸收变为负压,血浆、纤维蛋白、红细胞及多形核白细胞渗出,粘膜增厚,纤毛脱落,杯状细胞增多。鼓室内有炎性渗出物聚集,逐渐转为脓性,价值炎症波及鼓膜,终致局部坏死溃破,鼓膜穿孔,导致耳流脓。若治疗得当,局部引流通畅,炎症可逐渐消退,粘膜恢复正常,小的鼓膜穿孔可自行修复。病变深达骨质的急性坏死型中耳炎可迁延为慢性。
诊断检查
1、耳镜检查 起病早期,鼓膜松弛部充血,捶骨柄及紧张部周边可见放射状扩张的血管。
继之鼓膜弥漫性充血、肿胀、向外膨出,正常标志难以辨识,局部可见小黄点。如炎症不能得到及时控制,即发展为鼓膜穿孔。穿孔一般开始甚小,不易看清,彻底情节外耳导后,方见穿孔处有搏动亮点,实为脓液从该处涌出。坏死型者鼓膜迅速溶溃,形成大穿孔。
3、听力检查 多为传导性聋,少数病人可因耳蜗受累而出现混合性聋或感音神经性聋。
4、血象 白细胞总数增多,多形核白细胞增加,鼓膜穿孔后血象渐趋正常。
鉴别诊断
(一)外耳道炎及疖肿 外耳道口及耳道内弥漫性肿胀,有渗出浆性分泌物,晚期局限成疖肿有脓,分泌物没有粘液,耳聋不重是其特点。按压耳屏剧痛,耳后淋巴结常肿大。
(二)急性鼓膜炎 常并发于流行性感冒和耳带状疱疹,鼓膜充血形成大炮,有剧烈耳痛,但无穿孔及流脓现象,听力损失不重,血象白细胞不增多。
治疗方案
控制感染,通畅引流,去除病因为其治疗原则。
1、全身治疗 及早应用足量抗生素或其他抗菌药物控制感染,务求彻底治愈。一般可用青霉素类、头孢军素类等药物。如早期治疗及时得当,可防止鼓膜穿孔。规模穿孔后取脓液作细菌培养及药敏试验。参照其结果改用敏感的抗生素。抗生素需使用10天左右,注意休息,疏通大便。全身症状重者给以补液等支持疗法。
2、局部治疗
(1)鼓膜穿孔前:可用2%酚甘油滴耳,消炎止痛。如全身及局部症状较重,鼓膜明显膨出,经一般治疗后无明显减轻;或穿孔太小引流不畅;或有并发症可疑,但无需立即行乳突手术时,应在无菌操作下行鼓膜切开术,以利通畅引流。
(2)鼓膜穿孔后:1)先以3%双氧水尽量彻底清洗并拭净外耳道脓液或用吸引器将脓液吸净(注意吸引器负压不可过大)。2)局部用抗生素水溶液滴耳,如0.25%-1%氯霉素液,0.3%氧氟沙星(泰利必妥)滴耳液,复方利福平液等,不主张采用粉剂,以免与脓液结块,影响引流。3)脓液减少、炎症逐渐消退时,可用甘油或酒精制剂滴耳;如3%硼酸甘油,3%硼酸酒精,5%氯霉素甘油。4)感染完全控制、炎症完全消退后,穿孔多可自行愈合。穿孔长期不愈者,可作鼓膜修补术。
3.病因治疗 积极治疗鼻部及咽部慢性疾病,如腺样体肥大、慢性鼻窦炎、慢性扁桃体炎等。
疾病预防
1、普及有关正确擤鼻及哺乳的卫生知识。
2、积极防治上呼吸道感染和呼吸道传染病。
3、有规穿孔或鼓室置管者避免参加有用等可能导致鼓室进水的活动。
保健贴士
1、好发于儿童。
2、以上呼吸道感染后病菌经耳咽管进入中耳的病因较为多见。
参看
健康问答网关于急性化脓性中耳炎的相关提问
|
|||||||||||||||||||||||||||||||||||||||||||
|
|||||||||||||||||
| 关于“急性化脓性中耳炎”的留言: | |
|
目前暂无留言 | |
| 添加留言 | |